Hämangiom in der Mundbodenmuskulatur
Dabei fiel als Zufallsbefund eine Kontrastmittel-aufnehmende Raumforderung auf, die etwas oberhalb des Musculus mylohyoideus zu liegen kam (Abbildung 1). Zur weiteren Diagnostik wurde vom Erstbehandler eine Computertomografie durchgeführt (Abbildung 2), in der man die etwa 1 cm x 1 cm x 1 cm große Raumforderung linkslateral der Medianen sehen konnte.
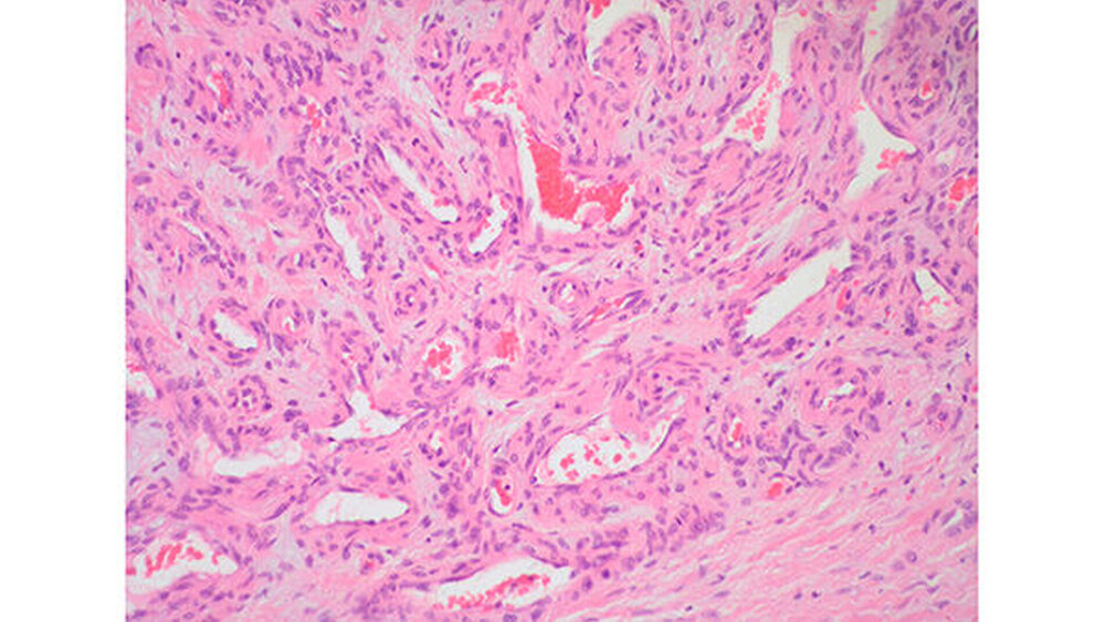
Die Patientin hatte keinerlei Symptomatik, bei bidigitaler Palpation gelang es nicht, die Raumforderung zu tasten. Zur weiteren Abklärung wurde die Raumforderung über einen enoralen Zugang nach Inzision anterior der Karunkula dargestellt (Abbildung 3) und entfernt (Abbildung 4). Die histopathologische Aufarbeitung erbrachte die Diagnose eines Hämangioms (Abbildungen 5 und 6).
###more### ###title### Diskussion ###title### ###more###
Diskussion
Hämangiome gehören zu den benignen vaskulären Tumoren und treten meist in der Haut auf. In der Kopf-Hals-Region findet man sie des Weiteren häufig im Bereich des anterioren Nasenseptums, der Nasenmuscheln und der Nebenhöhlen sowie im Bereich des Larynx und der Speicheldrüsen, wobei die Parotis fast exklusiv betroffen ist [Barnes et al., 2005].
Hämangiome können mit etwa einem Prozent der Fälle intramuskulär zu liegen kommen [Nair et al., 2010]. Intramuskuläre Hämangiome sind relativ selten, jedoch gehören sie unter den tief liegenden Weichteiltumoren wieder zu den häufigeren Entitäten [Fletcher et al., 2002].
Eine Geschlechtsbevorzugung scheint es nicht zu geben. Etwa 50 Prozent fallen in der ersten Lebensdekade und über 90 Prozent bis zum Erreichen des 30. Lebensjahres auf [Nair et al., 2010]. Nach den unteren Extremitäten kommt das intramuskuläre Hämangiom am häufigsten in der Kopf-Hals-Region (etwa 15 Prozent der intramuskulären Hämangiome) zu liegen, danach im Bereich der oberen Extremitäten und des Rumpfes. In Ausnahmen finden sie sich im Bereich des Mediastinums oder des Retroperitoneums [Fletcher et al., 2002].
Symptomatisch werden die intramuskulären Hämangiome auf Basis der Schwellung und nicht selten aufgrund sich einstellender Schmerzen nach muskulärer Aktivität. Radiologisch erkennt man häufig Kalzifikationen bei sich sekundär bildenden Phlebolithen [Fletcher et al.,2002]. Dementsprechend können diese Befunde im Palpationsbefund sehr weich bis zu steinhart sein. Die richtige Diagnosestellung ist auf Basis der Seltenheit und der unspezifischen Symptomatik ausgesprochen schwierig [Nair et al., 2010].
Die Rezidivrate wird mit 30 bis 50 Prozent angegeben, weswegen eine Resektion mit Sicherheitsabstand empfohlen wird [Fletcher et al., 2002]. Im vorliegenden Fall wurde die asymptomatische Veränderung zufällig im Rahmen regelmäßig durchgeführter radiologischer Untersuchungen bei bekannter multipler Sklerose detektiert. Im Zentralnervensystem kommt es zu einer immunvermittelten, entzündlichen Erkrankung, die zur Demyelinisierung und somit zu Schädigungen der Axone führt.
Man geht alleine in Deutschland von etwa 120.000 Multiple-Sklerose-Patienten aus, bei einer Inzidenz von drei bis fünf auf 100 000 Einwohner pro Jahr. Typische Frühsymptome sind Sensibilitätsstörungen, Gangunsicherheit und Optikusneuritiden. Typische Veränderungen kann man in der Magnetresonanztomografie erkennen, weswegen diese auch zum Follow-up eingesetzt wird [Gold, AWMF LL, 2014].
Im vorliegenden Fall gab es in einem mittlerweile knapp zweijährigem Follow- up keinen Hinweis auf ein Rezidiv des Hämangioms.
PD Dr. Dr. Christian Walter, Dr. Dr. Keyvan SaghebKlinik und Poliklinik für Mund-, Kiefer- und Gesichtschirurgie – plastische OperationenUniversitätsmedizin der Johannes Gutenberg-Universität MainzAugustusplatz 2, 55131 Mainzwalter@mkg.klinik.uni-mainz.de
Dr. Cristina L CotareloInstitut für Pathologie der Universitätsmedizin MainzLangenbeckstr, 1, 55131 Mainz




