B-Zell-Lymphom der Glandula parotis
Im November 2015 stellte sich ein 60-jähriger Patient in der Klinik und Poliklinik für Mund-, Kiefer- und Plastische Gesichtschirurgie der Universitätsmedizin Rostock nach Überweisung durch seinen Hausarzt vor. Er gab eine seit zwei Monaten größenprogrediente, unklare, nicht druckdolente Schwellung links präaurikulär im Bereich der Ohrspeicheldrüse mit lokalen Missempfindungen an (Abbildung 2). Neben der beschriebenen Dysästhesie waren dem Patienten keine weiteren Symptome aufgefallen.
Befund
Fragen nach aufgetretener B-Symptomatik (Fieber, Nachtschweiß, Gewichtsverlust) verneinte er. Die körperliche Untersuchung zeigte keine weiteren Auffälligkeiten. Als Bildgebung erfolgte im Vorfeld eine ambulante Untersuchung via Sonografie und MRT (Abbildungen 1a und 1b). Bei klinischem, sonografischem und radiologischem Verdacht auf das Vorliegen eines pleomorphen Adenoms erfolgte nach ausführlicher Aufklärung des Patienten eine laterale Parotidektomie links in ITN.
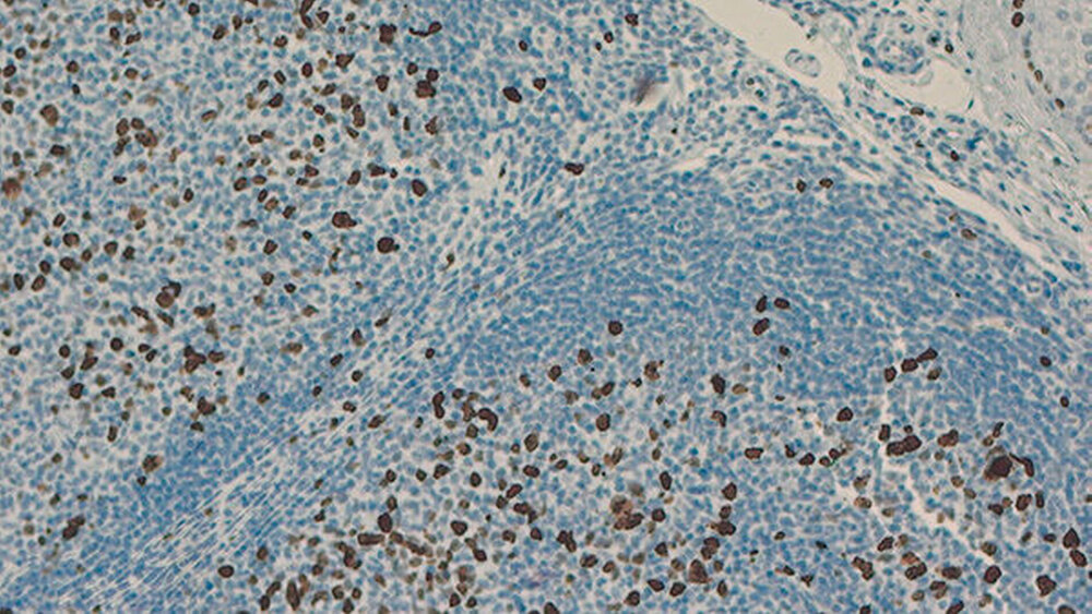
Das intraoperativ in toto resezierte Material (Abbildung 3) wurde zur genauen Dignitätsklärung histopathologisch aufgearbeitet. Bei der Begutachtung zeigte sich Speicheldrüsengewebe mit großen Bereichen atypischer, lymphoider Proliferation. Das Bild war bestimmt durch große Follikel beziehungsweise Pseudofollikel, teilweise ineinander übergehend, mit umgebenden interfollikulären Zonen. Die immunhistochemische Untersuchung ergab eine kräftige, vorwiegend follikuläre Anfärbung von CD20- und CD79a-positiven Zellen. Der Ki67-Proliferationsindex (Antigen Ki-67 ist ein Protein, das zur Markierung von sich teilenden menschlichen Zellen geeignet ist) ergab einen Anteil von 30 Prozent (Abbildung 4).
Diagnose
Die B-Zell-Klonalitätsanalyse wies eindeutig eine lymphoide Zellproliferation mit daraus resultierender Diagnose eines niedrigmalignen B-Zell-Non-Hodgkin-Lymphoms vom Typ eines follikulären Lymphoms nach. Der postoperative Heilungsverlauf war komplikationslos bei uneingeschränkter Facialisfunktion. Eine Stanzbiopsie des Beckenkamms zur Abklärung hämatogener Aussaat zeigte einen unauffälligen Befund. Ebenso erbrachte ein F-18-FDG PET-CT (bildgebende Ganzkörperuntersuchung) keinen Nachweis pathologischer, FDG-positiver Herde. Bei zeitgerechter Wundheilung folgte die ambulante Vorstellung in der Hämatoonkologie, wo der Patient nach Beschluss des interdisziplinären Tumorboards anschließend einer Radiatio zugeführt wurde.
Diskussion
Tumoren der Speicheldrüsen machen etwa drei Prozent aller Kopf-Hals-Tumoren aus [Shum et al., 2014]. Hierbei wird, analog zu der klinischen Kasuistik, in den meisten Fällen ein Auftreten in der Glandula parotis beobachtet. Das Verhältnis von benignen zu malignen Befunden liegt bei 80/20. Der Anteil von Lymphomen innerhalb der malignen Fälle wird mit lediglich ein bis vier Prozent beziffert [Shum et al., 2014; Mehle et al., 1993; Tullio et al., 2001]. Bezüglich der Auftretenshäufigkeit liegen die Non-Hodgkin- (NHL) und die Hodgkin-Lymphome (HL) insgesamt im Kopf-Hals-Bereich prozentual an dritter Stelle hinter den Plattenepithel- und den Schilddrüsenkarzinomen [Yaprak et al., 2015; Cooper et al., 2009; von Stritzky et al., 1998], wobei ein gehäuftes Auftreten bei Patienten mit einem Sjögren-Syndrom beobachtet wurde.
Follikuläre B-Zell-Lymphome – wie im beschriebenen Fall – werden gewöhnlich zu der Klasse der malignen NHL gezählt und gehören damit zu den malignen Erkrankungen des lymphatischen Systems [Harris et al., 2000]. Während die HL ihren Ursprung ausschließlich in monoklonalen B-Zell-Vorläuferzellen haben, können die NHL ebenso von den T-Zellen abstammen. Wenn das Auftreten seinen Ursprung außerhalb des lymphatischen Systems hat, spricht man von einem primär extranodalen B-Zell-NHL [Hiddemann et al., 2005; Nichols et al., 1982], extranodale HL sind eine absolute Rarität [Kämmerer et al., 2013].
Klinisch kommt es bei Parotislymphomen zumeist zu einer relativ schnell größenprogredienten, klinisch asymptomatischen Schwellung über einen Zeitraum von mehreren Monaten [Mehle et al., 1993]. Allerdings ergibt die klinische Untersuchung in der Regel keinen Aufschluss über die Dignität der Raumforderung. Anamnestisch kann eine Einschränkung der Fazialisfunkion richtungsweisend für einen malignen Prozess sein. Ungeachtet der Tatsache, dass das Parotislymphom sehr selten auftritt, sollte es stets als Differenzialdiagnose in Betracht gezogen werden [Yaprak et al., 2015].
Zu diagnostischen Zwecken stehen zum einen bildgebende Maßnahmen wie die Sonografie (Methode der ersten Wahl) sowie das CT und das MRT zur Verfügung. Obwohl die Sonografie gut verfügbar und kostengünstig ist, ist das Ergebnis der Untersuchung stark von der Erfahrung des Untersuchers abhängig [Swift et al., 2009]. CT und MRT weisen eine annähernd gleiche Sensitivität auf, wobei die Computertomografie in manchen Instituten präferiert Anwendung findet [Loggins und Urquhart, 2004]. Begründet wird der häufigere Einsatz durch die bessere Verfügbarkeit, den schnelleren
Ablauf der Untersuchung und die geringeren Kosten gegenüber dem MRT [Celebi et al., 2013; Shine et al., 2005; Koyuncu et al., 2003]. Negativ ist jedoch die im Vergleich zum MRT hohe Strahlenbelastung des Patienten sowie die geringere Weichteilauflösung [Caldemeyer et al., 1998]. Eine potenzielle Involvierung des N. fazialis durch den Tumor kann anhand von MRT- Bildern besser beurteilt werden [Shum et al., 2014; Makula et al., 2000]. Parotislymphome erscheinen sowohl in der T1- als auch in der T2-Wichtung homogen hyperintens [Shum et al., 2014; Preis et al., 2010].
Die homogene Kontrastmittelaufnahme sowie die scharfe Randbegrenzung im oberflächlichen Parotislappen stützten in unserem Fall die Verdachtsdiagnose eines pleomorphen Adenoms und führten letztlich zur operativen Therapie (laterale Parotidektomie). Hierbei handelt es sich um eine gängige Operationsmethode in Bezug auf die Verdachtsdiagnose [Machtens, 2000; Hausamen et al., 2012].
Die Literatur gibt bezüglich der diagnostischen Maßnahmen im Vorfeld divergierende Empfehlungen, ob bildgebende Maßnahmen und/oder eine Feinnadelaspirationszytologie vor operativer Resektion durchzuführen sind [Davachi et al., 2014; Yu et al., 2013; Salgarelli et al., 2009]. Die FDG/PET (Fluordesoxyglucose/Positronen-Emissions-Tomografie) stellt zum Beispiel ein bildgebendes Verfahren mit hoher Sensitivität und Spezifität dar [Shum et al., 2014; Shankland et al., 2012].
Oftmals dignitätsklärend kann die Feinnadelaspirationszytologie sein [Celebi et al., 2013; Habermann et al., 2009; Boccato et al., 1998; Johnson et al., 1987; Chernoff et al., 1992; Kaleem, 2006], wobei es jedoch gerade bei niedrigmalignen Tumoren zu Ungenauigkeiten in der Auswertung kommen kann [Klijanienko und Vielh, 1997; Stewart et al., 2000].
Beweisend für die Diagnose ist der histopathologische Nachweis lymphomtypischer Zellen. Zur weiteren Therapieplanung muss der Patient auf eine hämatogene Ausbreitung sowie auf eine Absiedlung in andere Körperregionen hin untersucht werden. Daher wurden im vorliegenden Fall nach Sicherung der Diagnose ein Ganzkörper-FDG/ PET-CT und eine Knochenmarkspunktion am Becken durchgeführt. Die eigentliche Therapie besteht in der Regel aus Bestrahlung und/oder Chemotherapie [Stein et al., 2002; Kewalramani et al., 2000; Jaffe et al., 1999].
Info
Fazit für die Praxis
Bei Raumforderungen in der Glandula parotis sollten Lymphome trotz des seltenen Auftretens stets Teil der Differenzialdiagnose sein.
Rapide progredient zunehmende Schwellungen und der Nachweis von Nervläsionen oder Beeinträchtigungen sind stets Zeichen aggressiven Wachstums.
Die Sonografie von Raumforderungen der Ohrspeicheldrüse ist stark vom Untersucher abhängig.
Bei Lymphomen ist die Therapie primär nicht-chirurgisch. Die Entfernung von einzelnen Befunden zur Diagnosesicherung ist allerdings oft notwendig.
Daniel G. E. Thiem, Arzt, cand. med. dent., PD Dr. Dr. Bassam Saka, PD Dr. Dr. Peer W. Kämmerer
Klinik für Mund-, Kiefer- und plastische Gesichtschirurgie der Universitätsmedizin Rostock
Schillingallee 35, 18057 Rostock









