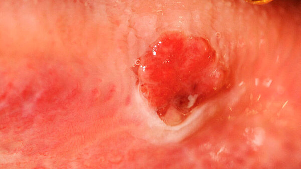
Pyogenes Granulom am Zungenrand
Anamnestisch bestanden keine Schmerzen, der Befund sei tendenziell regredient. Weitere Erkrankungen bestanden bis auf Allergien keine, auch die Medikamentenanamnese war blande bis auf die Einnahme homöopathischer Mittel.
Bei der klinischen Untersuchung fiel eine kleine pigmentierte Veränderung an der Unterlippe rechts vor der wet line auf. Im Bereich des Zungenrandes links auf Höhe der Molaren konnte man eine Raumforderung sehen (Abbildung 1), die über das Zungenniveau hinausragte, umgeben von einer dezenten, eher sklerosierten Zone, wobei sich hier keine für ein Plattenepithelkarzinom typischen Teleangiektasien zeigten. Der Befund selbst zeigte eine nicht von normaler Schleimhaut überzogene, homogene Oberfläche ohne Fibrinablagerungen. Am caudalen Pol wirkte die Veränderung ulzeriert. Palpatorisch waren der Befund wie das sklerotische Nachbarareal relativ weich. Eine Druckdolenz bestand nicht.
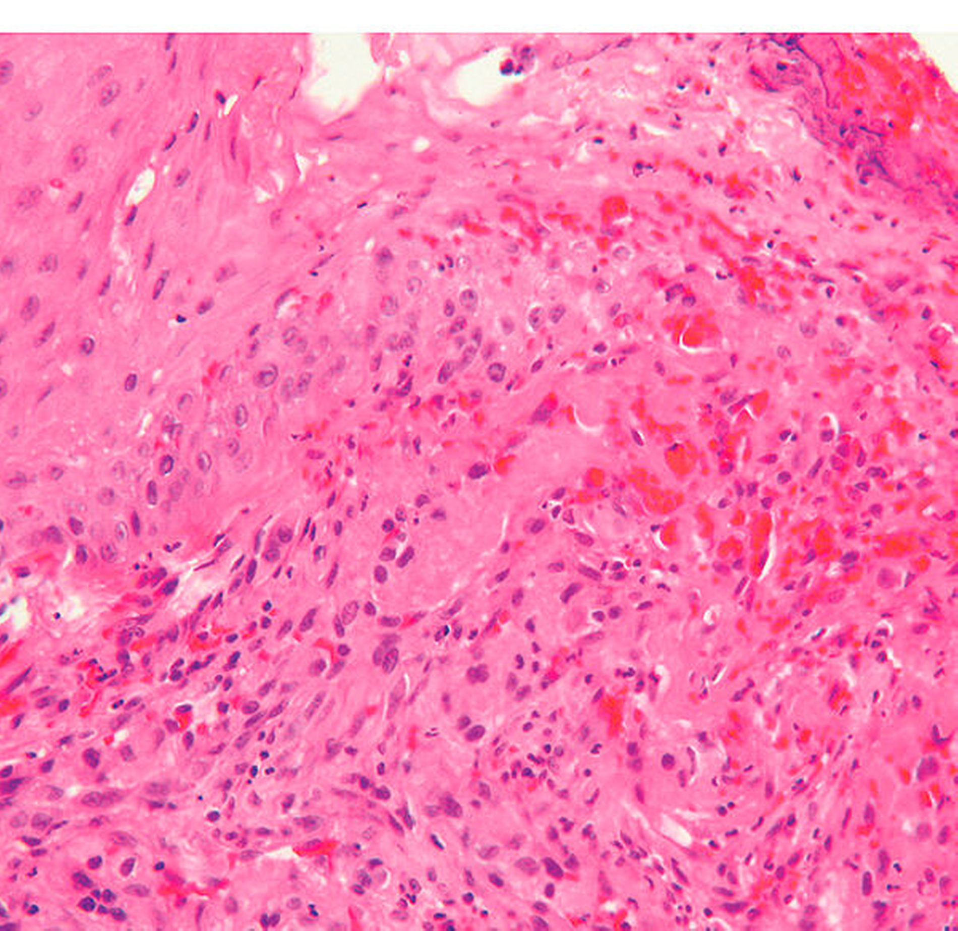
In Lokalanästhesie wurde eine komplette Exzisionsbiopsie durchgeführt und das entnommene Präparat der histopathologischen Untersuchung zugeführt. Dort wurde die Diagnose eines pyogenen Granuloms gestellt.
Diskussion
Beim pyogenen Granulom handelt es sich um eine nicht neoplastische, tumorähnlich wachsende Veränderung der Mundhöhle, die in jedem Lebensalter auftreten kann und mit 75 Prozent vornehmlich auf der Gingiva entsteht. Sie kann sich aber auch auf Lippe und Zunge bilden [Klöppel et al., 2009], auch ein Auftreten auf der Haut ist nicht unüblich.
Erstmalig beschrieben wurde das Krankheitsbild vermutlich bereits 1844. 1897 erhielt die Erkrankung den Namen Botryomycosis hominis, da man von einer von Pferden auf den Menschen übertragbaren Erkrankung ausging. Der heute noch geläufige Begriff des pyogenen Granuloms wurde 1904 durch Hartzell geprägt [Gomes et al., 2013], wenngleich diese Bezeichnung inhaltlich nicht richtig ist, weil es sich weder um ein Granulom noch um eine bakterielle Infektion handelt.
Ein Granulom ist definiert als knötchenförmige Neubildung aus mononukleären Entzündungszellen und Epitheloid- oder Riesenzellen als Reaktion auf beispielsweise infektiöse Reize.

Dabei gibt es unterschiedliche Granulomtypen:
- das Sarkoidose-Granulom, 
- das Tuberkulose-Granulom, 
- Pseudotuberkulosegranulome, 
- rheumatoide Granulome und 
- das Fremdkörpergranulom [Riede and Schaefer, 1995]. 
Ätiologisch geht man beim pyogenen Granulom nicht von pyogenen Keimen, sondern von lokalen irritativen Faktoren aus. Besonders bei pyogenen Granulomen, die nicht auf der Gingiva zu finden sind, berichten Patienten über vorausgegangene Traumen. Histologisch handelt es sich um eine lobulär aufgebaute, kapilläre Gefäßwucherung [Klöppel et al., 2009].
Klinisch zeigen sich vornehmlich solitäre, glatte, rosafarbene bis rote, gegebenenfalls gelappte, leicht blutende Knötchen, die im Weiteren ulzerieren können und dann auch fibrinbedeckt sind.
Eine Sonderform ist das Auftreten während der Schwangerschaft, meist gegen Ende des ersten Trimenons. Diese wird interpretiert als eine Exazerbation einer Schwangerschaftsgingivitis. Spontanremissionen nach der Schwangerschaft können auftreten [Klöppel et al., 2009]. Die Größe pyogener Granulome reicht von wenigen Millimetern bis zu mehreren Zentimetern.
Symptomatisch für pyogene Granulome ist hauptsächlich eine erhöhte Blutungsneigung bestimmt, Schmerzen verursachen sie in aller Regel nicht. Teilweise zeigen sie ein extremes Größenwachstum.
Histologisch finden sich bei jungen pyogenen Granulomen dünnwandige anastomosierte Blutgefäße in lockerem, ödematösem und mäßig zellreichem Stroma, wodurch diese rötlich erscheinen. Durch Verletzungen können diese Veränderungen sekundär fibrosieren, so dass die Farbe von rot nach rosa umschlägt. Die entzündliche Komponente kann unterschiedlich stark ausgeprägt sein, aber auch komplett fehlen.
Therapeutisch würde man diese Befunde komplett exzidieren. Selten kommt es zu Rezidiven, bei denen dann in der Folge eine ausgedehntere Resektion erforderlich wird.
Im vorliegenden Fall handelte es sich um ein pyogenes Granulom der Zunge. Die Patientin konnte sich jedoch an kein vorausgegangenes Trauma erinnern. Die Palpation des weichen Befunds und die homogene, gleichmäßige Oberfläche sprachen gegen ein malignes Wachstum, jedoch stellt das Plattenepithelkarzinom der Mundhöhle eine ernst zu nehmende Differenzialdiagnose dar.
Fazit für die Praxis
- Das pyogene Granulom kann in jedem Lebensalter auftreten. 
- Eine typische Differenzialdiagnose stellt das Plattenepithelkarzinom der Mundhöhle dar. 
- Die Therapie besteht aus der chirurgischen Exzision. 
Prof. Dr. Dr. Christian Walter
Mund-, Kiefer-, Gesichtschirurgie
Medi+, Zahnärztliche Praxisklinik
Haifa Allee 20, 55128 Mainz
walter@mainz-mkg.de
Dr. Angelika Webersinke
Zahnarztpraxis Pfungstadt
Feldstr. 42, 64319 Pfungstadt
PD Dr. Christoph Renné
Fachärzte für Pathologie
Gemeinschaftspraxis Wiesbaden
Ludwig-Erhard-Str. 100, 65199 Wiesbaden
Literatur:
Gomes, S. R., Shakir, Q. J., Thaker, P. V. & Tavadia, J. K. (2013): Pyogenic granuloma of the gingiva: A misnomer? – A case report and review of literature. J Indian Soc Periodontol, 17, 514–9.
Klöppel, G., Kreipe, H. H. & Remmele, W. (2009): Pathologie Kopf-Hals-Region Weichgewebstumoren Haut. Berlin, Heidelberg, Springer.
Riede, U. N. & Schaefer, H. E. (1995): Allgemeine und spezielle Pathologie. Stuttgart, Thieme Verlag.





