Zahnspange im Bauch
Die bisher gesunde Frau stellte sich in der Notfallambulanz mit angeschwollenem Bauch und starken Bauchschmerzen vor. Zwei Tage später hatten sich die Schmerzen so verschlimmert, dass sie kaum aufrecht gehen konnte.
Bei der ersten Untersuchung kamen die Ärzte zu dem Schluss, dass die Frau an einer Gallenkolik leidet, obwohl Ultraschall- und HDA-Scans darauf keine Hinweise gaben. Sie hatte einen Puls von 105, alle Blut- und Vitalwerte waren normal. Auf eine komplette Aufnahme des Bauchraums wurde zuerst verzichtet.
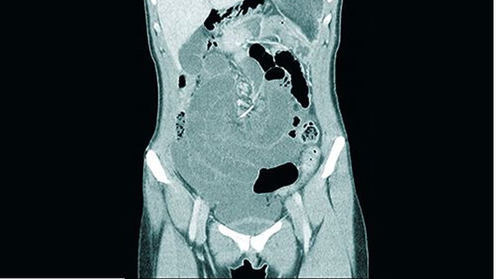
Bei der zweiten Untersuchung stellten die Ärzte dann fest, dass sich das Bauchfell entzündet hatte. Das CT zeigte einen dünnen Metalldraht an der Mesenterialwurzel, also an der Stelle des Dünndarms, an der das Bindegewebe mit der Bauchwand verwachsen ist (Abbildung 1).
Dünndarm durchbohrt und Darmabschnitt aufgespießt
Die Notfall-OP förderte schließlich einen sieben Zentimeter langen Draht zutage, wie er für kieferorthopädische Zahnklammern verwendet wird (Abbildung 2). Der Draht hatte den Dünndarm durchbohrt und einen anderen Darmabschnitt aufgespießt. Dies führte dazu, dass der Darm sich nicht mehr frei bewegen konnte, und es kam zu einer Darmverschlingung rund um den Draht, der die Achse für dieses Knäuel bildete, um die sich der Volvulus entwickelte.
Bei einer solchen Verdrehung wird die Blutzufuhr abgeklemmt oder ganz unterdrückt, mit der bedrohlichen Folge, dass das Organ absterben kann.
In der Not-OP führten die Chirurgen eine Adhäsiolyse durch und lösten damit einige der Verwachsungen, so dass der Darm nicht reseziert werden musste. Die Frau konnte gerettet werden, konnte sich anschließend allerdings weder daran erinnern, dass sie vor 10 Jahren eine kieferorthopädische Spange getragen hatte, noch daran, dass sie diese verschluckt hatte.
Die meisten verschluckten Gegenstände, werden auf natürlichem Weg wieder ausgeschieden. Die häufigste Stelle für eine Perforation ist dabei das Ileocaecale Ventil am Blinddarm. Der hier beschriebene Fall ist aufgrund der verzögerten klinischen Folgeerscheinungen von zehn Jahren neuartig.
Fazit zu verschluckten Fremdkörpern
Verschluckte Fremdkörper sollten immer als Ursache für Bauchschmerzen bei Patienten ohne eine andere medizinische oder chirurgische Historie in Betracht gezogen werden.
Eine Aufnahme des Bauchraums ist eine nützliche erste Untersuchung, die immer vorgenommen werden sollte.
Literatur: Talia Shepherd, Adrian Teo, Richard Naunton-Morgan, Orthodontic braces come back to bite: a novel presentation of a small bowel volvulus, in: BMJ Case Reports 2017; doi:10.1136/bcr-2017-221152, published 7. August 2017





