Reanimation nach Zahnsanierung
Der Fall
Eine 81-jährige, immobile, fortgeschritten und umfassend pflegebedürftige Frau wurde in der Notaufnahme der Klinik durch einen niedergelassenen Kollegen mit Verdacht auf einen dentogenen Abszess vorgestellt. Fremdanamnestisch wurde durch das Pflegepersonal des Pflegeheimes beobachtet, dass es bei der Nahrungsaufnahme zu starken Schmerzen im Bereich des Mundes kommt. Die Nahrungsaufnahme war insgesamt deutlich reduziert.
Weiterhin wurde über „Eiter im Mund“ berichtet. Die Patienten litt an einem fortgeschrittenen M. Alzheimer, einer weit fortgeschrittenen Demenz und zeitweise auftretenden Wahnvorstellungen sowie einer bekannten Dysphagie. Die Anamnese ergab mit Ausnahme einer leichten arteriellen Hypertonie keine weiteren kardiovaskulären bzw. kardiopulmonalen Risikofaktoren.
Die klinische Untersuchung erbrachte die Diagnose eines kariös tief zerstörten, nicht erhaltungswürdigen Restzahngebisses mit Pusaustritt aus den Parodontalspalten der Zähne im Ober- und Unterkiefer.
Aufgrund der Immobilität, der Demenz und des reduzierten Allgemeinzustandes der Patientin wurde auf eine präoperative Bildgebung (Panoramaschichtaufnahme) verzichtet und eine Zahnsanierung in Vollnarkose mit Entfernung der vorhandenen, tief zerstörten Restbezahnung des Ober- und Unterkiefers (nach intraoperativem Befund) mit Abszessentlastung geplant. Eine Behandlung in Lokalanästhesie war aufgrund der klinischen Gesamtsituation nicht möglich.
Nach Abschluss der präoperativen Vorbereitungen erfolgte in Vollnarkose die komplikationslose Extraktion von beherdeten Zähnen im Ober- und Unterkiefer mit anschließender adaptierender Deckung. Die dentogenen Abszesse konnten bei dieser Maßnahme mit entlastet werden. Der Narkoseverlauf mit nasaler Intubation gestaltete sich komplikationslos und die Patientin konnte nach sorgfältiger oropharyngealer Absaugung sowie suffizienter Spontanatmung wach extubiert werden.
Postoperativ entwickelte die Patientin im Aufwachraum aufgrund der vorbestehenden orofazialen Parese einen geringen oralen Sekretverhalt bei diskreter Restblutung aus dem OP-Gebiet. Diese diskrete Sekretansammlung reichte aus, um bei der Patientin einen Laryngospasmus als reflektorischen Atemwegsverschluss infolge Mikroaspiration mit einem schnellen Sauerstoffsättigungsabfall auszulösen, welcher rasch zu einem Herz-Kreislauf-Stillstand führte.
Im Rahmen der sofort eingeleiteten kardio-pulmonalen Reanimation erfolgte die unmittelbare Reintubation der Patientin, die einen schnellen ROSC (return of spontan circulation) zur Folge hatte. Im Zuge der durchgeführten Reanimationsmaßnahmen und der vorbestehenden Osteoporose kam es zu einer linksseitigen Rippenserienfraktur der Costae 3-7 (Abbildung 1), die einen beidseitigen Spannungspneumothorax und ein Pneumoperitoneum über eine Zwerchfellleckage nach sich führte.
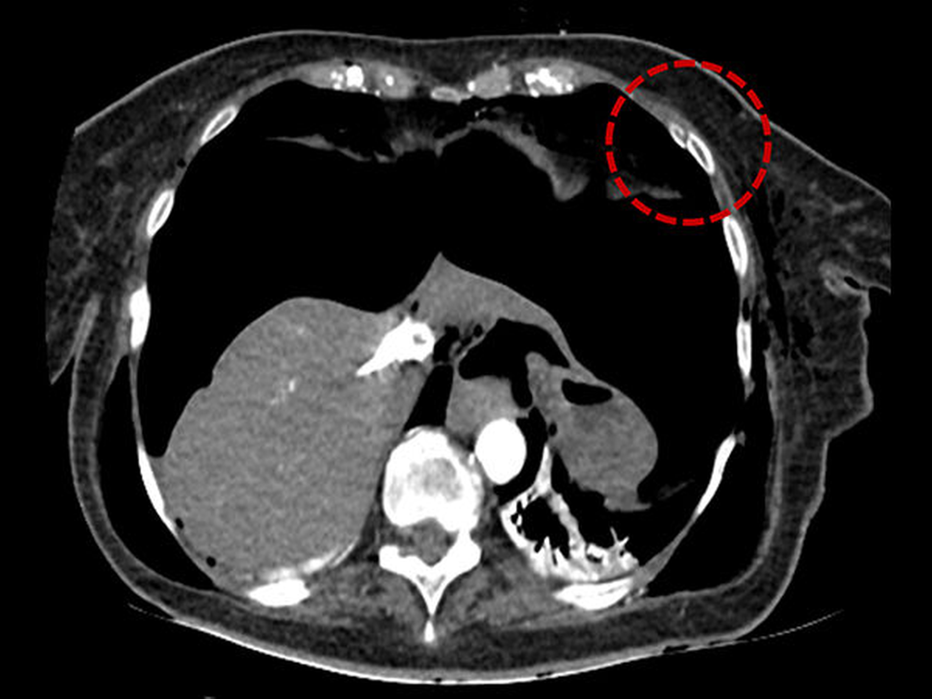
Der Spannungspneumothorax wurde akut per Nadeldekompressionen und dann über Thoraxdrainagen beidseits entlastet. In der anschließend durchgeführten CT-Untersuchung von Thorax und Abdomen zeigte sich neben dem beidseitigen, entlasteten Mantelpneumothorax zusätzlich ein Pneumomediastinum mit Luftansammlungen im oberen, ventralen und dorsalen Mediastinum (Abbildung 2), zusätzlich dazu eine Ansammlung von freier Luft im Abdomen (Abbildung 3).
In der daraufhin durchgeführten diagnostischen Laparoskopie konnten neben einer Perforation des Diaphragmas links keine weiteren Organperforationen bzw. -lazerationen festgestellt werden. Die Patientin wurde im Anschluss auf die Intensivstation verlegt und konnte 24 Stunden später in stabilem Allgemeinzustand wieder auf die Normalstation verlegt werden.
In den nächsten Tagen verbesserte sich der Allgemeinzustand der Patientin kontinuierlich, sodass die Patientin ins Pflegeheim zurückverlegt werden konnte. Die Nahrungsaufnahme hat sich nach Entfernung der Zähne deutlich verbessert. Der Allgemeinzustand der Patientin ist weiterhin stabil und hat sich durch die eingetretenen Komplikationen nicht verschlechtert. Neurologische Folgen beziehungsweise Defizite, die auf die aufgetretenen Komplikationen zurückzuführen wären, wurden nicht beobachtet.
Diskussion
Der sich abzeichnende demografische Wandel und die zunehmend „älter werdende Gesellschaft“ in Deutschland sind hinreichend bekannt. Derzeit geht man davon aus, dass etwa 21 Prozent der Bevölkerung aus über 65-Jährigen besteht [Pötsch und Rößger, 2015].
Erhebungen des Statistischen Bundesamtes aus dem Jahr 2015 prognostizieren, dass bis zum Jahr 2060 jeder dritte Einwohner in Deutschland über 65 Jahre alt sein wird und es doppelt so viele 70-Jährige geben wird, wie Kinder geboren werden [Pötsch und Rößger, 2015]. Weiterhin wird die Zahl der über 80-Jährigen im Jahr 2060 etwa neun Millionen betragen. Dies ist doppelt so viel wie heute und wird jeden achten Einwohner in Deutschland betreffen [Pötsch und Rößger, 2015].
Die durchschnittliche Lebenserwartung im Jahr 2060 wird für Männer etwa 84,8 Jahre und für Frauen rund 88,8 Jahre betragen, ein Umstand, der unter anderem der zunehmend besseren medizinischen Versorgung zu verdanken ist [Pötsch und Rößger, 2015].
Diese altersdemografische Entwicklung geht mit einer Zunahme geriatrischer Krankheitsbilder einher. Dazu zählen unter anderem Immobilität, Harninkontinenz, kardiovaskuläre Erkrankungen (wie Hypertonie, Herzinsuffizienz), Demenz, kognitive Einschränkungen, Diabetes mellitus und Osteoporose, und mehr [Clerencia-Sierra et al., 2015].
Komplikationen und Notfälle im Rahmen zahnärztlicher Behandlungen bei älteren und multimorbiden Patientinnen und Patienten stellen ein häufig unterschätztes Risiko im ambulanten und stationären Bereich dar. Im vorliegenden Fall konnte durch die unmittelbare notfallmedizinische Behandlung der Patientin ein möglicher letaler Ausgang verhindert werden.
Bei älteren Patienten sollte vor geplanten zahnärztlichen Behandlungen ein individuelles Risikoprofil erstellt werden. Ein wichtiges Instrument ist die Anamnese. Diese liefert hilfreiche Informationen über die Grund- und Vorerkrankungen des Patienten, die oft eine erste gute Einschätzung des individuellen Risikoprofils erlauben.
Die Medikamentenanamnese ermöglicht ergänzend die Einschätzung weiterer Risikoprofile und damit möglicher Komplikationen. Blutdrucksenkende Medikamente (wie Prilate, Sartane) können beispielsweise auf das Risiko einer hypertensiven Krise hinweisen. Die Einnahme blutverdünnender Medikamente (Phenprocumon und NOAKs - neue orale Antikoagulantien) kann neben dem Risiko einer Nachblutung mit einem gesteigerten kardiovaskulären Risiko assoziiert sein.
Ergänzend dazu sollte eine Rücksprache mit dem betreuenden Hausarzt beziehungsweise mit weiteren behandelten Kollegen (zum Beispiel Internisten, Geriater, Neurologen) erfolgen. Aktuelle Untersuchungsergebnisse (wie Labor, EKG, Herz-Echokardiographie) können weitere wichtige Informationen liefern. Es sollte stets beachtet werden, dass bei älteren Patienten auch ohne bekannte Vorerkrankungen immer ein erhöhtes Risiko für Komplikationen und Notfälle bestehen kann.
In einem weiteren Schritt sind die geplanten Behandlungsmaßnahmen, deren Art und Umfang sowie die Indikation kritisch zu prüfen. Mit zunehmendem Komplikationsrisiko sollte zum Beispiel die Indikation zu chirurgischen Eingriffen zunehmend streng gestellt und immer wieder kritisch im Sinne einer Individualentscheidung geprüft werden.
Abschließend muss unter Betrachtung des individuellen Risikoprofils, sowie der Art und dem Umfang der geplanten therapeutischen Maßnahmen entschieden werden, wo und unter welchen Rahmenbedingungen die Behandlung durchgeführt werden soll. Falls diese aufgrund der Art oder des Umfangs sowie dem Risikoprofil in der eigenen Praxis nicht möglich ist, kann zum Beispiel die Überweisung zu einer niedergelassenen Kollegen mit der Option eines fachärztlich betreuten, anästhesiologischen Standby sinnvoll sein.
Je nach Art des Eingriffs beziehungsweise des Risikoprofils besteht ebenfalls die Möglichkeit der Überweisung zu niedergelassenen, fachzahnärztlich beziehungsweise fachärztlich tätigen Kollegen, möglicherweise ebenfalls mit anästhesiologischen Back-ups. Eventuell kann auch eine Behandlung an einer Klinik erforderlich sein, die neben der stationären auch eine umfassende notfall- und intensivmedizinische Betreuung gewährleistet.
Die Frage, wann ältere und multimorbide Patienten an einer Klinik behandelt werden sollten, lässt sich nicht pauschal beantworten. Hier könnten zukünftig Algorithmen entwickelt werden, die auf Basis der bekannten Vorerkrankungen, des Allgemeinzustandes und der Art und Umfang der geplanten Behandlungsmaßnahmen eine Entscheidungshilfe geben können. Dem zunehmenden Bedarf an entsprechenden stationären, zahnärztlichen Behandlungsmöglichkeiten gilt es zukünftig Rechnung zu tragen.
Hinsichtlich des Managements von Notfällen müssen im ambulanten und stationären Bereich die BLS (Basic Life Support)-Maßnahmen und der Umgang mit dem Notfallkoffer/Notfallset von allen Mitarbeitern sicher beherrscht werden. Diese BLS-Maßnahmen können im stationären Umfeld durch ALS (Advanced Life Support) -Maßnahmen ergänzt werden, welche die Mortalität und das Outcome im Vergleich zum alleinigen BLS signifikant verbessern [Kondo et al., 2017].
Ein AED (Automatischer Externer Defibrillator) sollte zur Grundausstattung jeder Praxis und jeder Klinik gehören, denn er verbessert signifikant das Überleben sowie das Outcome nach kardialen, reanimationspflichtigen Ereignissen, wie zum Beispiel dem akuten Koronarsyndrom (ACS) [Abolfotouh et al., 2017].
Bei der Behandlung älterer Patienten sollte auch ein Monitoring verfügbar sein, das mindestens eine Puls-, RR- sowie eine Messung der O2-Sättigung ermöglicht. Bezüglich der Lokalanästhesie muss bei älteren sowie bei kardiovaskulär vorerkrankten Patienten nicht zwingend auf einen Adrenalinzusatz im Lokalanästhetikum verzichtet werden, wobei zumindest eine Reduktion auf eine 1:200.000 oder 1:400.000-Verdünnung erfolgen sollte.
Kämmerer et al. konnten hinsichtlich des Adrenalinzusatzes zeigen, dass bei Leitungsanästhesien und intraligamentären Anästhesien im UK-Molarenbereich im Vergleich Articain mit Adrenalin (1:100.000) vs. Articain ohne Adrenalin intraoperativ eine äquivalente, allerdings verkürzte, lokalanästhesiologische Wirkung erreicht werden konnte [Kämmerer et al. 2012, Kämmerer et al. 2014].
Weiterhin sollte die Indikation zur Leitungsanästhesie bei vorbestehender Dysphagie / orofazialer Parese zurückhaltend gestellt werden, da diese die ohnehin schon eingeschränkten Reflexbahnen unterbrechen und eine Aspiration mit daraus resultierenden weiteren Komplikationen begünstigen kann.
Fazit
Dieser Fall zeigt eindrücklich, welche teils lebensbedrohlichen Komplikationen bei zahnärztlichen Behandlungen älterer und multimorbider Patienten auftreten können.
Bei multimorbiden Patienten mit einem hohen Komplikationsrisiko sollte die Indikation zur geplanten Therapie besonders streng gestellt werden und die ambulante versus stationäre Versorgung ebenso abgewogen werden.
Das regelmäßige Training sowie das sichere Beherrschen von BLS- und gegebenenfalls ALS Maßnahmen sowohl der behandelnden Kollegen, als auch des gesamten Praxis- beziehungsweise Klinikpersonals sollte daher ein zwingender Bestandteil im niedergelassenen als auch im stationären Alltag sein.
Oberstabsarzt Dr. Dr. Andreas Pabst
Oberstabsarzt Dr. Dr. John Rudat
Stabsärztin Dr. Anna Meier
Oberstarzt Prof. Dr. Dr. Richard Werkmeister
Klinik für Mund-, Kiefer- und Plastische Gesichtschirurgie
Bundeswehrzentralkrankenhaus Koblenz
Rübenacherstr. 170, 56072 Koblenz
Andreas1Pabst@bundeswehr.org
Oberfeldarzt Dr. Michael Bonerewitz
Stabsarzt Felix Hoffmann
Klinik für Anästhesie und Notfallmedizin
Bundeswehrzentralkrankenhaus Koblenz
Rübenacherstr. 170, 56072 Koblenz
Literaturverzeichnis
Pötsch O, Rößger F: Bevölkerung Deutschlands bis 2060. 13. Koordinierte Bevölkerungsvorausberechnung. Statistisches Bundesamt, Wiesbaden 2015, online erhältlich unter www.destatis.de (letzter Zugriff online 27.10.2017)
Clerencia-Sierra M et al.: Multimorbidity Patterns in Hospitalized Older Patients: Associations among Chronic Diseases and Geriatric Syndroms. PLoS One. 10:e0132909, 2015.
Kondo Y et al.: Effects of advanced life support versus basic life support on the mortality rates of patients with trauma in prehospital settings: a study protocol for a systematic review and meta-analysis. BMJ Open. 7:e016912, 2017.
Abolfotouh MA et al.: Impact of basic life-support training on the attitudes of health-care workers toward cardiopulmonary resuscitation and defibrillation. BMC Health Serv Res. 17:674, 2017.
Kämmerer PW et al.: Comparison of 4% articain with epinephrine (1:100,000) and without epinephrine in inferior alveolar block for tooth extraction: double-blind randomized clinical trial of anesthetic efficacy. Oral Surg Oral Med Oral Pathol Oral Radiol. 113:495-499, 2012.
Kämmerer PW et al.: Comparative clinical evaluation of different epinephrine concentrations in 4% articaine for dental local infiltration anesthesia. Clin Oral Investig. 18:415-421, 2014.








