Nie wieder Chipping!
In unserer Praxis werden die Seitenzahn-bereiche in der Regel mit 0,5 bis 0,7 mm starken, adhäsiv befestigten monolithischen
Lithium-Disilikat LS2-Restaurationen als okklusale Veneers (Kauflächenveneers) oder Teilkronen rekonstruiert (e.max-press). Vollkronen mit einer Stärke von mehr als 0,8 mm müssen nicht adhäsiv, sondern können auch konventionell, zum Beispiel mit Glasionomer-Zement, befestigt werden. Die Frontzähne werden mit adhäsiv befestigten monolithischen Lithium-Disilikat-360°-Veneers mit einer Schichtstärke von 0,3 bis 0,5 mm, Teilkronen oder Veneers wiederhergestellt.
Im Unterschied zu althergebrachten Materialien wie Gold, das sich bei Interferenzen verformt – bis hin zur Perforation – oder Metallkeramik, die bei Interferenzen chippt, sind moderne Materialien wie Zirkonoxid, aber auch Lithium-Disilikat praktisch unzerstörbar. Daher sind die Anforderungen, welche eine Rehabilitation mit diesen Materialien an uns stellt, im Hinblick auf die statische, aber ganz im Speziellen auf die dynamische Okklusion sehr hoch.
Bei parafunktionierenden Patienten muss nicht nur der Einfluss der hohen Kräfte bei der Rekonstruktion berücksichtigt werden. Selbst individuell einstellbare Artikulatoren sind nicht in der Lage, Bewegungen des Unterkiefers bei parafunktionellen Aktivitäten exakt wiederzugeben. Nachfolgend wird ein praxisgerechtes Vorgehen vorgestellt, mithilfe dessen man das Kauorgan erfolgreich wiederherstellen kann – auch bei bruxierenden Patienten.
Diagnostik und Behandlungsplanung
Unser Arbeitsprotokoll zeigt, wie bei einer komplexen Rehabilitation vorzugehen ist. Wir teilen die Rehabilitation in kleine überschaubare Teilstücke auf. Nur wenn ein Teilschritt perfekt abgeschlossen ist, darf der nächste Schritt angegangen werden. Dies ermöglicht auch weniger erfahrenen Kollegen, stets gute Behandlungsergebnisse zu erzielen (Tabelle 1).
Die wenig zeitaufwendige Erstuntersuchung beginnt mit einer Befragung des Patienten nach seinen Problemen, Wünschen und Erwartungen. Darauf folgt eine ausführliche ärztliche und zahnärztliche Anamnese. Im Anschluss werden alle Anteile des Kausystems im „Screening-Verfahren“ untersucht. Zielsetzungen sind: Erstellen von Primär-diagnosen, das Aufdecken von kompensierten Störungen und von Befunden, die im Rahmen einer prothetischen Rehabilitation zu Problemen führen könnten. Obligat sind ein detaillierter Zahn-Kiefer-Status, ein Fotostatus und bildgebende Verfahren je nach Indikation. Fakultativ sind Manuelle Funktionsanalyse (MFA), Manuelle Strukturanalyse (MSA), Instrumentelle Analyse der Unterkieferbewegungen zur Artikulatorprogrammierung und/oder Funktions-, Strukturanalyse (IFA).
Im Rahmen der Vorbehandlung, der ein Mundhygiene-Intensivprogramm vorausgeht, werden Erkrankungen aus den Bereichen Parodontologie, Konservierende Zahnmedizin, Chirurgie, Implantologie und – falls nötig – Kieferorthopädie behandelt. Probleme aus den Bereichen Funktion und Struktur werden meist parallel zu den genannten Maßnahmen mittels funktions-therapeutischer Geräte oder wie hier im unten geschilderten Patientenfall mittels temporärer Behandlungsrestauration therapiert. Zielsetzungen sind neuromuskulär koordinierte Unterkieferbewegungen sowie eine stabile zahngetragene interkuspidale Position (IKP) oder eine physiologische, stabile gelenkbezogene Position (ZKP) als Referenz-Position (RP) bei den unterschiedlichen Teilschritten der durchzuführenden Rehabilitation.
Grundlagen unseres Okklusionskonzeptes
Hierbei ist es unerlässlich, sich an den Aufgaben der Zähne zu orientieren.
1. Nahrungszerkleinerung
Die Zahnreihen müssen hierbei im Nahkontakt aneinander vorbeigleiten können, um die mechanische Aufschlüsselung der Nahrung so effizient wie möglich zu gestalten. Konzepte, die Disklusion über steile Schneidezahn- und/oder steile Eckzahnpalatinalflächen erzwingen, sind daher zu verwerfen (Abbildungen 1a und b). Stampfhöcker sind rund, kräftig und bewegen den Bolus. Scherhöcker und Dreieckswülste haben schneidende Kanten. Sie übernehmen die Hauptzerkleinerungsfunktion.
2. Sprache
Beim Sprechen kommt es speziell im Frontzahnbereich zu funktionellen Zahnkontakten. Dieser Funktion muss bei Erstellung eines künstlichen Okklusionskonzeptes Rechnung getragen werden.
3. Die Propriozeption
„Zähne sind Tastorgane“, Zitat Prof. Rudolf Slavicek aus Wien. Flüchtige Berührungen der Zähne, speziell im Frontbereich, paraachsiale Auslenkungen der Zähne und ultrastrukturelle Verformungen im Schmelz-Dentinbereich sind hochsensible sensorische Signale zur Steuerung der Kaumuskulatur. Dies muss Eingang in unser Okklusionskonzept finden.
4. Die Stressverarbeitung
Bei psychischer Belastung, aber auch bei körperlicher Kraftanstrengung kann und darf das Kauorgan hoch belastet werden. Für diese Aufgabe ist es bei einer durchzuführenden Rehabilitation in optimaler Weise vorzubereiten. Hierzu wurde eine Vielzahl von Okklusionskonzepten entwickelt.
Wir folgen bis auf einige Modifikationen grundlegend immer noch dem „Konzept der sequentiellen Laterotrusion“ von Prof. Slavicek, das in unserem Buch „Rekonstruktion von Kauflächen und Frontzähnen“ bereits vor 27 Jahren ausführlich beschrieben wurde (Weitere Informationen unter: https://www.westerburgerkontakte.de/service/login.html ).
Dynamische Okklusion
Die folgenden Ausführungen treffen zu bei der skelettalen Klasse I und tendenziell bei allen dentoalveolären Kompensationen.
Die anteriore Führung der Frontzähne ist gegenüber einer mittelwertigen Kondylenbahn-Neigung um etwa 10 Grad steiler. Die durchschnittliche Neigung der Führungsbahn beträgt bezogen auf die Achse Orbitale Ebene (A-O-Ebene) bei den Schneidezähnen etwa 55°, bei den Eckzähnen etwa 48°. Die Länge der Führungsbahn beträgt etwa 3 bis 5 mm (Abbildungen 2a und b). Eine zu steile Führung kann eine dorsal-cranial gerichtete Vermeidungsbewegung erzeugen, da der intercoronale Freiraum eingeengt ist.
Dorsal der crista transversa des ersten oberen Molaren sollte es keine laterotrusive Gleitführung geben. Eine Eckzahnführung ist einfacher zu etablieren als eine Gruppenführung. Eine 1:2-Verzahnung ist einfacher als eine 1:1-Verzahnung (GV 97). Bei exzentrischen Bewegungen fordern wir eine unmittelbare Disklusion, das heißt, keine Führungen auf der Mediotrusionsseite. Diese führen zu einer Erhöhung der Muskelaktivität.
Bei exzentrischer Gleitbewegung unter hohem Kraftaufwand (Bruxismus) wird die Führungsfunktion vom Gelenk und – in individueller Weise und Ausdehnung – von den anterior, außerhalb der Adduktorenschlinge liegenden Frontzähnen übernommen.
Statische Okklusion
Bei Kraftschluss sind Molaren und Prämolaren krafttragend. Frontzähne sind fühlbar weniger belastet.
Wir fordern eine „tiefe“ Verzahnung, denn nur Tiefe bietet Freiraum in der Exzentrik. Kontakte finden sich auf den Randleisten und als tripodisierende Kontaktareale auf gegenläufigen Höckerabhängen. Tiefe bietet eine stabile Abstützung und gibt eindeutige Informationen an das neuromuskuläre System. Verzahnungstiefe bewirkt auch hohe Effizienz bei der Nahrungszerkleinerung.
Das Prinzip der gegenseitigen Schutzfunktion – mutual protected occlusion – beinhaltet: In der statischen Okklusion schützen die Seitenzähne Kiefergelenke und Frontzähne. In der dynamischen Okklusion schützen Kiefergelenke und Frontzähne die Seitenzähne (Abbildung 3).
Referenz-Positionen: IKP versus ZKP
Die IKP ist eine zahngetragene Position. Macht die Rehabilitation eine Präparation vieler oder aller Zähne nötig und/oder ist eine Erhöhung der VDO geplant, geht die IKP verloren. Daher, aber auch aus weiteren Gründen, die hier in diesem kurzen Beitrag nicht diskutiert werden können, führen wir eine umfassende Rehabilitation grundsätzlich gelenkbezogen in Zentrischer Kondylen-Position (ZKP) durch. Dies beinhaltet eine gelenkbezogene, physiologische, stabile, zu verschiedenen Terminen immer wieder reproduzierbare Referenz-Position (RP).
Bezugsebene
Unsere Bezugsebene ist die Achse-Orbitale-Ebene (AO-Ebene). Bei vorzunehmenden Änderungen der Vertikalen (VDO) muss der hintere Schenkel des Dreiecks der Bezugsebene ident sein mit der arbiträr oder exakt bestimmten Scharnierachse in ZKP. Nur so sind bei Änderungen der Vertikalen Zahnkontakte am Patienten und im Artikulator ident. Aus dieser Referenz-Position starten die Bahnen bei Aufzeichnung der Unterkieferbewegungen (Abbildungen 4a und b).
Vorstellung des Patienten
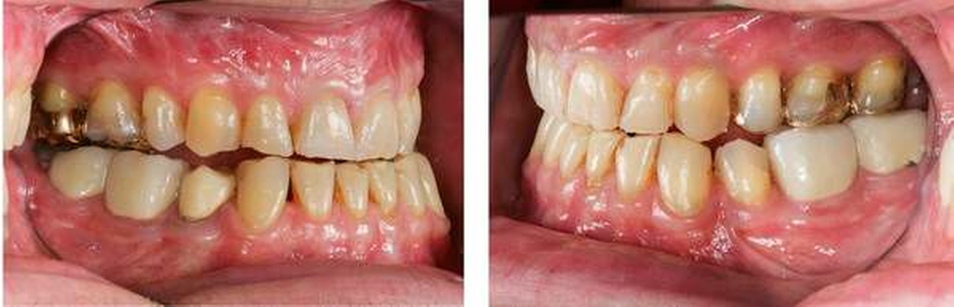
Nach kieferorthopädischer/kieferchirurgischer Behandlung sowie prothetischer Versorgung der Unterkieferseitenzähne mit Vollkronen stellte sich der 57-jährige Patient in unserer Praxis mit dem Wunsch nach einer umfassenden prothetischen Rehabilitation vor. Sein Hauptproblem sind die mangelnde Kauleistung sowie erschwertes „Schneiden“ mit den Frontzähnen. Die Schneidekanten und Eckzahnspitzen der Ober- und Unter-kiefer-Frontzähne sind aufgrund hoher parafunktioneller Aktivität stark attritiert. Die vier ersten Prämolaren wurden aus kiefer-orthopädischen Gründen entfernt. Ober- und Unterkieferfrontzähne sind retrudiert und stehen im Kopfbiss. Die Schneidezahn- und Eckzahnführung ist nicht gegeben. Sowohl in Protrusion als auch bei Laterotrusion nach rechts und links führen „gelenknah“ die Molaren, so dass der Frontzahnkontakt in dynamischer Okklusion aufgehoben wird (Abbildungen 5a und b).
Vorgehen
1. Instrumentelle Funktionsanalyse (IFA)
Nach Abformungen des Ober- und Unterkiefers werden Split-Cast-Modelle hergestellt. Diese dienen der Dokumentation und dürfen nicht bearbeitet werden. Die Modelle werden dupliert. Ein zweites Oberkiefer-modell mit Split-Cast und ein segmentiertes Unterkiefermodell mit Split-Cast sind für die Diagnosewachsung notwendig.
Die Oberkiefermodelle werden schädelgerecht mit arbiträrer Achse im Reference-SL-Artikulator (Gamma, Wien) montiert. Bezugsebene ist die Achse-Orbitale-Ebene.
Mittels eines am Patienten genommenen Zentrikregistrats aus Primobyte (Primotec, Bad Homburg) werden die Unterkiefer-modelle gelenkbezogen den Oberkiefermodellen zugeordnet. Mittels Cadiax-Compact (Gamma, Wien) wird eine Gelenkbahnaufzeichnung, ausgehend von den arbiträren Achspunkten durchgeführt. Mit den gewonnenen Daten wird der Reference-SL-Artikulator programmiert.
2. Zielsetzungen der Diagnosewachsung bei unserem Patienten sind:
Geringe Vertikalerhöhung , um Front- und Seitenzähne im Ober- und Unterkiefer zur ursprünglichen Zahnform zu ergänzen.
Schaffung eines, wenn auch geringen, horizontalen und vertikalen Überbisses bei genügend intercoronalem Freiraum. Hierdurch erreichen wir eine geringe Schneidezahn-Eckzahnführung.
Um diese Ziele umzusetzen, wird der Oberkiefer-Frontzahnbogen durch Aufbringen von Wachs auf die Facialflächen etwas geweitet, die Inzisalkanten werden protrudiert. Die Zähne werden verlängert.
Um intercoronalen Freiraum und eine flachere Frontzahnführung zu etablieren, müssen wir von unserer Standard-Teilkronenpräparation abweichen. Nur ein Einkürzen der Inzisalkanten ist nicht genügend. Ein Teil der Palatinalfläche bis oberhalb des Tuberculums muss in die Präparation einbezogen werden. Im Seitenzahnbereich wird eine Höckeranalyse durchgeführt (Stampfhöcker rot /Scherhöcker grün).
Bei Lateralbewegung werden die Höckerpositionen insoweit geändert, dass eine unmittelbare Disklusion bei jeder Bewegung gegeben ist. Der Oberkiefer-Seitenzahnbogen muss etwas vergrößert werden (grünes Wachs auf Scherhöckern und Bukkalflächen). Um auch im Seitenzahnbereich interkoronalen Freiraum zu generieren, werden die Scherhöcker im Oberkiefer etwas stärker als üblich abgetragen, die unteren Stampfhöcker etwas nach lingual versetzt – siehe flächige Radierung an Bukkalflächen der Seitenzähne (Abbildungen 6a und b).
Diese Diagnosewachsung beinhaltet alle Vorgaben für die durchzuführende Präparation. Auf den Zähnen ist der momentane Höckerstand eingezeichnet, auf der Gingiva die Verlegung der Höcker dargestellt.
3. Duplierung der Diagnosewachsung-Modelle
Auf den Duplikatmodellen werden Folien gezogen oder durchsichtige Silikonschlüssel angefertigt. Diese Hilfsmittel dienen als Grundlage für ein Mock-up am Patienten. Weitere Silikonschlüssel der Frontzähne ermöglichen eine Kontrolle des Substanz-abtrags nach der Präparation sowie die Herstellung direkter oder indirekter Provisorien.
Mock-up beinhaltet, dass der Kunststoff mithilfe von Folie oder Schlüssel auf die noch nicht präparierten Zähne aufgebracht wird. So kann Funktion, Phonetik, Form- und Zahnstellung überprüft werden. Zur Dokumentation der Sprache werden mit dem Smartphone Sprachaufnahmen (Ton und Bild) mit und ohne Mock-up aufgenommen.
4. Temporäre Oberkiefer-Seitenzahnver-sorgung / Definitive Unterkiefer-Seitenzahn-versorgung
Oberkiefer- und Unterkiefer-Seitenzähne werden präpariert. Nach Abformung werden die präparierten Zähne mittels direkt-indirekter Eierschalprovisorien in der ursprünglichen Vertikalen versorgt. Die Modelle werden mittels Gesichtsbogen und Zentrikregistrat im Artikulator eingegipst.
Der Stützstift wird entsprechend der geplanten Vertikalerhöhung eingestellt. Mithilfe eines Okklusionsebenen-Messtischs werden die Unterkieferseitenzähne aufgewachst. Die Wachskronen werden eingebettet und in monolithische e-max-press-Kronen umgesetzt. Wir benutzen bei der Rehabilitation überwiegend Presstechnik mit Lithium-Di-silikat monolithisch, coloriert. Die Biegefestigkeit beträgt fast 500 MPa.
Die Unterkiefer-Seitenzahn-e.max-Kronen werden definitiv mit Adhäsivtechnik eingegliedert (Adhese Universal, Variolink, Monobond Etch & Prime von Ivoclar Vivadent). Die Unterkiefer-Frontzähne werden mittels Composite temporär verlängert.
Im Oberkiefer-Seitenzahnbereich wird eine temporäre Behandlungs-Restauration hergestellt. (Abbildungen 7a und b)
Im Frontzahnbereich werden die noch nicht präparierten Zähne mittels Mock-up aus Provisorienkunststoff versorgt, entsprechend der Diagnosewachsung (Abbildungen 8a und b). Der Zahnbogen wird aufgeweitet, die Frontzähne etwas verlängert. Das Mock-up wird am Patienten mittels Flow-Composite temporär eingegliedert.
Die Restaurationen beinhalten die auf Basis der Diagnosewachsung und mittels Mock-up am Patienten überprüfte Vertikalerhöhung und Höckerpositionierung.
Analog einer Aufbissschienentherapie können an der Behandlungsrestauration der Oberkiefer-Seitenzähne noch kleine Korrekturen vorgenommen werden.
5. Definitive Versorgung der Frontzähne
Im Oberkiefer werden die Zähne 13 bis 23 für die Versorgung mittels minimalinvasiver e.max-press-Teilkronen präpariert. Die 0,5 mm Tiefenmarkierungen im Bereich der Facialflächen werden durch das aufgeklebte Mock-up präpariert. Dies bedeutet, dass der am Zahn notwendige Substanzabtrag sich auf den oberflächlichen Schmelzbereich beschränkt. Um die Frontzahnführung abzuflachen, werden die Palatinalflächen bis oberhalb der Tubercula präpariert (Abbildungen 9a und b).
Im Bereich der Unterkiefer-Frontzähne 33 – 43 wird der Zahnschmelz bei der Präparation um 0,3 mm abgetragen (Abbildungen 10a und b). Die vorbereiteten Silikonschlüssel – angefertigt auf dem Duplikatmodell der Diagnosewachsung – werden mit Hydrocolloid oder nach Behandlung mit Separierspray mit einem dünnfließenden Abformmaterial gefüllt. Nach Erhärten werden die Schlüssel abgenommen, das Abformmaterial verbleibt auf den präparierten Stümpfen. Dies ermöglicht eine exakte Überprüfung des Abtrags. So ist gesichert, dass wir dem Zahntechniker die notwendige Schichtstärke zur Herstellung der Teilkrone generieren.
6. Wax-up
Nach Abformung, Modellherstellung und Artikulatormontage wird im Dentallabor ein Wax-up aus zahnfarbenem Wachs (Schuler Dental/Benzer Dental) hergestellt. Die Zahnformen werden jetzt bis ins kleinste Detail festgelegt (Abbildung 11).
Zusammen mit dem Zahntechniker werden am Patienten Funktion, Form, Stellung und die Phonetik überprüft. Wo notwendig, werden Korrekturen vorgenommen. Die phonetische Überprüfung wird mittels Smartphone zwecks Dokumentation aufgenommen.
Nach einer Rohbrandanprobe werden die e.max-press-Teilkronen coloriert und glasiert. Da bei der Coloriertechnik das ästhetische Ergebnis hervorragend ist, arbeiten wir mittlerweile nicht nur bei bruxierenden Patienten monolithisch, sondern auch bei Patienten ohne parafunktionelle Aktivität. Die Gefahr von Chipping besteht so gut wie nicht mehr, da eine Biegefestigkeit von 500 MPa gegeben ist.
Die Teilkronen weisen eine Stärke zwischen 0,3 und 0,5 mm auf. Sie werden mittels Ätztechnik (Adhese Universal, Variolink, Monobond Etch & Prime von Ivoclar Vivadent) eingegliedert (Abbildung 12).
Der komplette Unterkiefer und die Frontzähne des Oberkiefers sind jetzt definitiv versorgt. Die Seitenzähne des Oberkiefers tragen noch eine temporäre Behandlungsrestauration. Dies lässt, falls notwendig, noch kleinere Korrekturen zu.
7. Referenz-Funktionswachs
Nach Abformung, Modellherstellung und Artikulatormontage werden die Oberkiefer-Seitenzähne mittels Referenz-Funktionswachs aufgewachst (Re-Fu-Wachs, ADS). Dieses Wachs ist so hart, dass man nach Eingliederung am Patienten die Auftreffpunkte der statischen Okklusion mittels Shimstock-Folie prüfen kann.
Bei Mundtemperatur wird das Wachs zähplastisch. Der Patient bewegt jetzt unter Kraftschluss bei unterschiedlichen Kopfpositionen den Unterkiefer in alle Richtungen. Falls Interferenzen vorhanden sind, werden sich diese im Wachs abzeichnen (Abbildung 13). Meist sind es nur kleine Störstellen, die vom Techniker korrigiert werden. Die Kronen aus Refu-Wachs werden eingebettet und in Lithium-Disilikat gepresst.
8. Rohbrandanprobe, Glasurbrand
Bei der Rohbrandanprobe am Patienten wird nochmals mittels Kerr Occlusal Indicator Wax (Kavo Kerr) überprüft, ob Interferenzen vorhanden sind. Ist dies der Fall, so werden diese Interferenzen vom Techniker unter Zuhilfenahme des Indicator Wax korrigiert. Es folgt der Glasurbrand (Abbildung 14).
9. Die Kronen werden adäsiv befestigt.
Da die Seitenzahnkronen in diesem Fall eine Stärke von mehr als 0,8 mm aufweisen, bestünde auch die Möglichkeit, sie konventionell mit Glasionomer-Zement zu befestigen.
Wie zu sehen, ist es möglich, auch bei geringer Schneidezahn-, Eckzahnführung durch wohlüberlegte Platzierung der Höcker und der Einschnitte eine unmittelbare Disklusion bei exzentrischen Bewegungen zu gewährleisten (Abbildungen 15a und b).
10. Brux-Checkerfolie zeigt Interferenzen
Die zur Kontrolle für 1 bis 2 Nächte eingegliederte Brux-Checker-Folie zeigt die hohe Präzision, die möglich wird bei einem Vorgehen in überschaubaren Teilschritten.
Für uns am Behandlungsstuhl nicht feststellbare Interferenzen, die aber beim bruxierenden Patienten in der Nacht, auftreten, werden mittels Brux-Checkerfolie aufgedeckt, was minimalistische Korrekturen ermöglicht (Abbildung 16).
11. Aufbissschiene
Unser Behandlungskonzept beinhaltet, dass bruxierende Patienten in Stressphasen in der Nacht eine Aufbissschiene tragen.
Fazit
Diese Fallvorstellung zeigt auf, dass eine komplexe Rehabilitation durch wohlüberlegte Aufteilung in überschaubare Teilschritte zielsicher mit gutem, vorausplanbarem Erfolg durchgeführt werden kann. Es wird dargelegt, dass zum Erzielen einer unmittelbaren Disklusion bei exzentrischen Bewegungen nicht die Schneidezahn-Eckzahnführung primär ist – eine vorausgeplante Höcker- und Einschnittplatzierung ist von ebenso hoher Wichtigkeit.
Dr. Diether Reusch
ZA Jan Strüder
Westerburger Kontakte GmbH & Co. KG
Schloss Westerburg, 56457 Westerburg
info@westerburgerkontakte.de
























