Reicht ein Implantat im zahnlosen Unterkiefer?
Der demografische Wandel – konkret die prognostizierte Zunahme der Anzahl älterer Menschen in den nächsten 40 Jahren – hält auch Einzug in den zahnmedizinischen Alltag. Bis ins Jahr 2060 wird ein Anstieg der Lebenserwartung auf 90,4 Jahre bei Frauen und 86,7 Jahre bei Männern gemutmaßt. Für das Jahr 2060 wird vermutet, dass jeder Dritte in Deutschland älter als 65 Jahre alt sein wird. Dies bedeutet für Frauen 7,6 Jahre und für Männer 9,0 Jahre mehr Lebenszeit als im Jahr 2010/2012 [Pötzsch and Rößger, 2015]. Das steigende Alter und die entsprechenden zahnmedizinischen Bedürfnisse älterer Menschen werden in der Zukunft immer mehr in den Praxisalltag integriert werden müssen.
Im Jahr 2005 lag der Anteil der 65- bis 74-Jährigen mit Totalprothesen in Deutschland bei 30,5 Prozent [Micheelis and Schiffner, 2006] Trotz immer besserer Behandlungsmethoden zur konventionellen Versorgung des zahnlosen Ober- und Unterkiefers geben immerhin 10 bis 30 Prozent der Prothesenträger eine Unzufriedenheit mit ihrem Zahnersatz an [van Waas, 1990]. Genannt werden Schmerzen bei Unterkieferbewegungen, Probleme bei der Nahrungsaufnahme sowie beim Sprechen, Defizite beim äußeren Erscheinungsbild und ein insuffizienter Prothesenhalt. Diese Defizite können – gerade bei älteren Patienten – unter Umständen schwerwiegende Folgen (Mangelernährung und soziale Isolation) haben und infolgedessen die Lebensqualität deutlich reduzieren [Fiske et al., 1998]. Die größten Probleme scheinen insbesondere auf die geringe Stabilität und Retentionsmöglichkeit der Totalprothesen im atrophierten Unterkiefer zurückzuführen zu sein.
Zur Optimierung des Prothesenhalts sind konventionelle Möglichkeiten im Rahmen einer Unterfütterung des Zahnersatzes oder einer chirurgischen Vorbehandlung des Prothesenlagers möglich, doch führen diese nicht immer zum gewünschten Erfolg. Eine sichere Alternative bietet dagegen die Abstützung des Zahnersatzes auf dentalen Implantaten, die bei guter Verteilung über den Zahnbogen dem Zahnersatz mehr Retention und Lagestabilität verleihen können. Einigen Patienten erscheinen jedoch die (unter Umständen aufwendigen) erforderlichen chirurgischen Interventionen, zum Beispiel Knochenaugmentationen, sowie die mit dieser Versorgung einhergehende finanzielle Belastung als nachteilig. Dies ist vor allem deswegen problematisch, da Zahnlosigkeit oft mit geringem Einkommen assoziiert zu sein scheint. Diesen Zusammenhang evaluierten Marcus et al. in einer umfangreichen Studie, in der die Autoren Zahnlosigkeit bezogen auf die demografische Entwicklung der Bevölkerung in den USA untersuchten [Marcus et al., 1994]. Erforderlich ist, eine geeignete Lösung für diese Patientengruppe zu finden, die eine funktionell adäquate Versorgung bei gleichzeitig akzeptablem Aufwand und akzeptablen Kosten ermöglicht.
Üblicherweise galten zwei Implantate im zahnlosen Unterkiefer als minimalinvasives Mittel der Wahl für implantatgetragenen Zahnersatz [Feine et al., 2002; Thomason et al., 2009]. Zwei interforaminär gesetzte Implantate weisen laut diverser Studien eine hohe Erfolgsaussicht auf [Gotfredsen and Holm, 2000; Feine et al., 1994; Kronstrom et al., 2010]. In einer Studie von Kappel et al. konnte für eine Versorgung von zwei Implantaten mittels Steg oder Locator eine Überlebensrate von 93,5 beziehungsweise 95,7 Prozent nach zwei Jahren evaluiert werden. Um den chirurgischen und prothetischen Aufwand weiter zu reduzieren und damit die finanzielle Belastung geringer zu halten, entstand die Idee eines mittig inserierten Implantats im Unterkiefer zur Abstützung einer Totalprothese.
Evaluation des mittigen Implantats im UK
Untersucht wurde die Versorgung des Unterkiefers mit einem mittig inserierten Implantat erstmals im Jahr 1993 von Cordioli [Cordioli et al., 1997]. Er beobachtete eine Erfolgsrate von 100 Prozent nach fünf Jahren. Die Zufriedenheit der Patienten bei Versorgung mit einem Implantat gegenüber zwei Implantaten evaluierten Walton und Kollegen in einer Vergleichsstudie mit 86 Patienten nach zwölf Monaten. Sie kamen zu dem Ergebnis, dass beide Versorgungsmöglichkeiten gleichwertige Ergebnisse erzielten [Walton et al., 2009]. Harder et al. untersuchten in einer klinischen Studie zum mittigen Einzelimplantat Faktoren wie Kaustabilität und mundgesundheitsbezogene Lebensqualität nach Insertion des zentralen Implantats im Unterkiefer und kamen zu dem Ergebnis, dass sich mit der Versorgung eines zentralen Implantats in der Unterkiefermitte eine deutliche Verbesserung beider Parameter erzielen lässt [Harder et al., 2011].
Multizentrische Studie
In einer von Prof. Dr. Matthias Kern, Kiel, und seiner Arbeitsgruppe initiierten DFG-geförderten, multizentrischen Studie, an der die Universitätskliniken Hannover, Hamburg, Greifswald, Dresden, Heidelberg, Aachen, Freiburg und Ulm beteiligt sind, wurde das mittige Einzelimplantat im Unterkiefer umfassend untersucht, damit das System als alltagstaugliche Alternative auch Einzug in die Praxis erhalten kann.
Untersucht wurden im Rahmen der Studie insgesamt 158 Patienten. Randomisiert wurden die Studienteilnehmer entweder der Gruppe mit Sofortbelastung des Implantats (n = 81) oder der Gruppe mit verzögerter Belastung nach drei Monaten Einheilungszeit (n = 77) zugeordnet. Voraussetzungen zur Teilnahme an der Studie waren (unter anderem) eine ausreichende Knochenhöhe von 11 bis 20 mm, keine Kontraindikationen für Implantate, ein Knochenlager, das keiner Augmentation bedarf, eine vorhandene, suffiziente Totalprothese im Ober- sowie im Unterkiefer mit bilateral balancierter Okklusion, die seit mindestens drei Monaten in situ ist, aber einen mangelhaften Halt im Unterkiefer aufweist. Für die präoperative Bildgebung wurde mithilfe einer Röntgenmesskugel, adjustiert an der Unterkieferprothese mit einem Durchmesser von 4 mm, eine Panoramaschichtaufnahme erstellt und das Knochenlager entsprechend für das Setzen eines enossalen Implantats (Camlog Screw Line, Camolg Biotechnologies, Wimsheim, Länge 13 mm, Durchmessser 3,8 mm) beurteilt (Abbildungen 1 und 2). Die Implantation folgte dem üblichen Vorgehen mit den zugehörigen Bohrern des Camlogsystems. Die Primärstabilität des Implantats wurde anhand des Osstell-Geräts (Osstell, Grothenburg, Schweden) beurteilt.
Die Zeitabstände für den Recall betrugen einen, vier, zwölf und 24 Monate. Lediglich die Patienten der verzögerten Belastungsgruppe wurden zusätzlich einen Monat nach Implantation kontrolliert. Im Rahmen der Nachuntersuchungen wurden diverse Parameter wie die Kaustabilität, die gesundheitsbezogene Lebensqualität, die individuelle Beurteilung des Zahnersatzes sowie die Mundgesundheit untersucht. Auch parodontale Werte wurden erhoben und die Primärstabilität des Implantats wurde im weiteren Verlauf regelmäßig kontrolliert.
Bisher wurden die Studieneilnehmer bis zu 24 Monate nachuntersucht. Im Jahr 2017 gelang es, eine weitere Förderung der Deutschen Forschungsgemeinschaft für diese einmalige Studie einzuwerben, um eine multizentrische Fünf-Jahres-Nachuntersuchung durchzuführen.
Ergebnisse: In den bisherigen Ergebnissen zeigte sich, dass sich die Kaufunktion in beiden Gruppen (mit Sofortbelastung und mit verzögerter Belastung) deutlich verbessert hat – unabhängig davon, zu welchem Zeitpunkt belastet wurde [Passia, Abou-Ayash, Reissmann et al., 2017]. Ebenfalls konnte kein Zusammenhang bezüglich der mundgesundheitsbezogenen Lebensqualität und der Belastungsvariante evaluiert werden [Schwindling et al., 2018]. Bezüglich der Einflussfaktoren kam man in der Studie zu dem Ergebnis, dass vor allem die Restknochenhöhe den entscheidenden Faktor für eine erfolgreiche mittige Implantatinsertion darstellt [Passia, Abou-Ayash, Bender et al., 2017].
Die 24-Monats-Ergebnisse zeigten zudem, dass die Implantatüberlebensrate statistisch signifikant niedriger bei den Implantaten mit Sofortbelastung als in der Vergleichsgruppe war, so dass diese Indikation vor Anwendung am Patienten besonders gründlich evaluiert werden sollte [Kern et al., 2018].
Bei den Teilnehmern der Studie zeigten sich keine schwerwiegenden Komplikationen während des zweijährigen Untersuchungszeitraums. Prothesenbrüche zählten zu den häufigsten prothetischen Problemen, die auftraten. Um dieser Komplikation bereits im Vorfeld vorzubeugen, war gerade bei sehr zierlich gestalteten Unterkieferprothesen ein Metallbügel im Bereich der Frontzähne eingearbeitet worden, da sich die Frakturen gehäuft im Bereich der einpolymerisierten Matrize befanden. Auch Druckstellen traten vereinzelt durch die neue Lagestabilität der modifizierten Prothese auf, diese wurden auf übliche Weise entfernt.
Eine weitere Komplikation stellte der Retentionsverlust der Matrize da. Das Matrizensystem (Dalbo-Plus, Cendres & METAUX SA, Schweiz) ermöglicht eine einfache Aktivierung chairside mit einem vorgefertigten Instrument. War jedoch bereits das Maximum der möglichen Aktivierung erreicht, so erfolgte ein Austausch der Matrize gegen eine stärkere Variante. Das System ermöglicht eine Auswahl vor drei unterschiedlich starken Retentionen. Zunächst wurden Matrizen in der Standardstärke eingesetzt. Optimiert werden konnte die Retention durch den „Tuning soft“- oder den „Tuning“-Einsatz. Um die Belastung des Implantats gleichmäßig zu gewährleisten, ist es erforderlich, zum einen regelmäßig den Sitz der Prothese zu kontrollieren, zum anderen bei Bedarf zu unterfüttern, damit die Prothesenbasis gleichmäßig auf der Schleimhaut zu liegen kommt. Komplikationen wie Prothesenbrüche würden sich durch das Setzen von zwei Implantaten reduzieren. Dies belegen auch Bryant et al. in ihrer Studie, in der ein Vergleich zwischen einem und zwei Implantaten nach einem Zeitraum von fünf Jahren evaluiert wird [Bryant et al., 2015].
Klinisches Vorgehen zur Mittelimplantatinsertion
Eine Indikation für die Versorgung liegt vor, wenn die oben genannten anatomischen und funktionellen Voraussetzungen vorliegen. Im ersten Schritt sollte über eine röntgenologische Evaluation eine Überprüfung der Knochenqualität und -quantität erfolgen, wobei eine Mindesthöhe von 11 bis 20 mm erforderlich ist. Im Anschluss daran kann das Setzen des mittigen Implantats (Camlog Screw Line, Camolg Biotechnologies, Wimsheim, Länge 13 mm, Durchmessser 3,8 mm) erfolgen. Nach der Implantat-Insertion sollten ein 1,5 mm hoher Gingivaformer in das Implantat eingebracht und ein spannungsfreier Nahtverschluss durchgeführt werden. Um die Operationswunde nicht zu stark zu belasten, sollte die Totalprothese im Bereich des Implantats ausgeschliffen werden und danach eine weichbleibende Unterfütterung erhalten (Softliner, GC, Tokio, Japan).
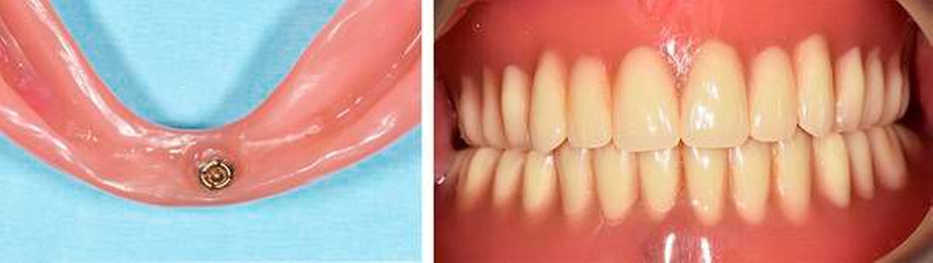
Anschließend sollte eine röntgenologische Kontrolle mittels Panoramaschichtaufnahme erfolgen. Nach einer Implantateinheilung von drei Monaten können chairside die Retentionselemente in den vorhandenen Zahnersatz eingearbeitet werden. Das Kugelkopfattachment (Gingivahöhe 1,5 mm, Camlog) wird mit einem manuellen Drehmomentschlüssel (Camlog) mit einem definierten Drehmoment von 30 Ncm eingesetzt (Abbildung 3).
Es folgt das achsengerechte Ausrichten der Matrize mit ovalem Retentionsdeckel (Dalbo-Plus ellipitic Cendres & METAUX SA) auf dem Kugelkopf (Abbildung 4).
Für das Einpolymerisieren der Matrize in den Kunststoff muss zunächst eine Aussparung regio 31/41 von lingual ausgeschliffen werden, so dass via Spiegel eine Platzbedarfskontrolle erfolgen kann. Die Oberfläche der Matrize sollte für einen stabilen Verbund zum Kunststoff im Rahmen einer Silanisierung und Silikatisierung vorbehandelt werden. Dafür kann die Prothesenbasis mit Aluminiumoxidpulver mit 2 bar mechanisch und mit einem Kunststoffprimer chemisch vorbehandelt werden. Danach kann das Einpolymerisieren in die Prothese mithilfe eines Kunststoffs für Provisorien (Luxatemp, DMG, Hamburg) erfolgen (Abbildung 5). Zu empfehlen ist, die Passung der modifizierten Prothese erneut mit einem Fließsilikon zu überprüfen. Die Patienten sollten wie üblich nach einer Eingliederung von neuem Zahnersatz Instruktionen zur Handhabung sowie zur Hygiene des Zahnersatzes erhalten und über einen regelmäßig notwendigen Recall aufgeklärt werden (Abbildung 6).
Ausblick/Fazit
Die bisherigen Ergebnisse der multizentrischen Studie deuten darauf hin, dass das mittige Implantat im zahnlosen Unterkiefer eine kostengünstige und wenig belastende Alternative zu einer Abstützung über zwei Implantate bietet, die unkompliziert und chairside am Patienten angewendet werden kann. Jedoch scheint die Art der Belastungsvariante für den Langzeiterfolg eine entscheidende Rolle zu spielen, weshalb der verzögerten Belastung der Vorzug gegeben werden sollte. Die Indikation zur Sofortbelastung sollte strengen Richtlinien und einer umfassenden Aufklärung des Patienten unterliegen.
Zu einer Verbesserung der Lagestabilität von Unterkiefer-Prothesen scheint nach den Ergebnissen der heute vorliegenden Studien bereits ein Implantat beizutragen. Dennoch sollten neben den Wünschen des Patienten Parameter wie Anatomie und funktionelle Gegebenheiten essenzielle Punkte vor der Planung einer Implantation darstellen, um unabhängig von der Implantatanzahl ein optimales Ergebnis zu erzielen.
Dr. Nadine Freifrau von Maltzahn, OÄ
Spezialistin für Prothetik (DGPro)
Medizinische Hochschule Hannover
Klinik für Zahnärztliche Prothetik und Biomedizinische Werkstoffkunde
Carl-Neuberg-Str.1, 30625 Hannover
vonMaltzahn.Nadine@mh-hannover.de
Prof. Dr. Meike Stiesch
Medizinische Hochschule Hannover
Klinik für Zahnärztliche Prothetik und Biomedizinische Werkstoffkunde
Carl-Neuberg-Str.1, 30625 Hannover
Dr. Nadine Freifrau von Maltzahn

2003 bis 2009 Studium der Zahnmedizin in Kiel, 2009 bis 2011 Assistenzzahnärztin in freier Praxis in Kiel, 2011 bis 2016 Wissenschaftliche Mitarbeiterin an der Klinik für Zahnärztliche Prothetik und Biomedizinische Werkstoffkunde der MH Hannover, 2013 Promotion, 2015 Spezialistin für Prothetik (DGPro), 2016 bis heute Oberärztin an der Klinik für Zahnärztliche Prothetik und Biomedizinische Werkstoffkunde der MHH
Literaturliste
1. Pötzsch O, Rößger F. Bevölkerung Deutschland bis 2060 - 13. koordinierte Bevölkerungsvorausberechnung. In; 2015: 6-8
2. Micheelis W, Schiffner U. 4. Deutsche Mundgesundheitsstudie Deutscher Zahnärzte Verlag; 2006
3. van Waas MA. The influence of psychologic factors on patient satisfaction with complete dentures. The Journal of prosthetic dentistry 1990; 63: 545-548
4. Fiske J, Davis DM, Frances C et al. The emotional effects of tooth loss in edentulous people. British dental journal 1998; 184: 90-93; discussion 79
5. Marcus SE, Kaste LM, Brown LJ. Prevalence and demographic correlates of tooth loss among the elderly in the United States. Special care in dentistry : official publication of the American Association of Hospital Dentists, the Academy of Dentistry for the Handicapped, and the American Society for Geriatric Dentistry 1994; 14: 123-127
6. Feine JS, Carlsson GE, Awad MA et al. The McGill consensus statement on overdentures. Mandibular two-implant overdentures as first choice standard of care for edentulous patients. Montreal, Quebec, May 24-25, 2002. The International journal of oral & maxillofacial implants 2002; 17: 601-602
7. Thomason JM, Feine J, Exley C et al. Mandibular two implant-supported overdentures as the first choice standard of care for edentulous patients--the York Consensus Statement. British dental journal 2009; 207: 185-186. doi:10.1038/sj.bdj.2009.728
8. Gotfredsen K, Holm B. Implant-supported mandibular overdentures retained with ball or bar attachments: a randomized prospective 5-year study. The International journal of prosthodontics 2000; 13: 125-130
9. Feine JS, de Grandmont P, Boudrias P et al. Within-subject comparisons of implant-supported mandibular prostheses: choice of prosthesis. Journal of dental research 1994; 73: 1105-1111. doi:10.1177/00220345940730051301
10. Kronstrom M, Davis B, Loney R et al. A prospective randomized study on the immediate loading of mandibular overdentures supported by one or two implants: a 12-month follow-up report. The International journal of oral & maxillofacial implants 2010; 25: 181-188
11. Cordioli G, Majzoub Z, Castagna S. Mandibular overdentures anchored to single implants: a five-year prospective study. The Journal of prosthetic dentistry 1997; 78: 159-165
12. Walton JN, Glick N, Macentee MI. A randomized clinical trial comparing patient satisfaction and prosthetic outcomes with mandibular overdentures retained by one or two implants. The International journal of prosthodontics 2009; 22: 331-339
13. Harder S, Wolfart S, Egert C et al. Three-year clinical outcome of single implant-retained mandibular overdentures--results of preliminary prospective study. Journal of dentistry 2011; 39: 656-661. doi:10.1016/j.jdent.2011.07.007
14. Passia N, Abou-Ayash S, Reissmann DR et al. Single mandibular implant study (SMIS) - masticatory performance - results from a randomized clinical trial using two different loading protocols. Journal of dentistry 2017; 65: 64-69. doi:10.1016/j.jdent.2017.07.005
15. Schwindling FS, Raedel M, Passia N et al. The single mandibular implant study - Short-term effects of the loading protocol on Oral Health-related Quality of Life. Journal of prosthodontic research 2018. doi:10.1016/j.jpor.2017.12.003. doi:10.1016/j.jpor.2017.12.003
16. Passia N, Abou-Ayash S, Bender D et al. Single Mandibular Implant Study: Recruitment Considerations. The International journal of prosthodontics 2017; 30: 43-46. doi:10.11607/ijp.4975
17. Kern M, Att W, Fritzer E et al. Survival and Complications of Single Dental Implants in the Edentulous Mandible Following Immediate or Delayed Loading: A Randomized Controlled Clinical Trial. Journal of dental research 2018; 97: 163-170. doi:10.1177/0022034517736063
18. Bryant SR, Walton JN, MacEntee MI. A 5-year randomized trial to compare 1 or 2 implants for implant overdentures. Journal of dental research 2015; 94: 36-43. doi:10.1177/0022034514554224








