Therapie einer medikamentös modifizierten Gingivawucherung bei chronischer Parodontitis
Gingivavergrößerungen oder -wucherungen sind fibröse Vergrößerungen des Zahnfleischs in lokalisierter oder generalisierter Form. Histologisch liegt eine Zunahme der Fibroblastenzahl mit gesteigerter Kollagensynthese vor. Ihnen können multiple ätiologische Faktoren zugrunde liegen. Dazu zählen entzündungsbedingte oder medikamentös induzierte Faktoren, Assoziationen mit systemischen Erkrankungen oder Zuständen und Neoplasien. In seltenen Fällen treten idiopathische Gingivawucherungen auf, für die bisher keine Ursachen gefunden wurden [Bork K et al., 2003].
Medikamentös modifizierte Gingivawucherungen, die als unerwünschte Arzneimittelwirkung bei der Einnahme bestimmter Substanzen auftreten, werden insbesondere durch Antikonvulsiva (Hydantoine), Immunsuppressiva (Ciclosporine) und Kalziumkanalblocker (Dihydropyridinderivate, Benzothiazinderivate, Phenylalkylaminderivate) hervorgerufen [Bork K et al., 2003]. Zu diesen Medikamentengruppen zählen Phenytoinpräparate, Ciclosporin A sowie die Kalziumkanalblocker Nifedipin und Amlodipin. Die Erhebung der Medikamentenanamnese hilft daher in der differenzialdiagnostischen Abgrenzung der medikamentös modifizierten Gingivavergrößerung gegen die übrigen Formen der gingivalen Wucherungen. Neben der Gabe des auslösenden Medikaments wird als lokaler begünstigender Faktor insbesondere die bakterielle Plaque diskutiert. Eine Gingivahyperplasie kann sich so als überschießende Reaktion bei vorhandener Disposition von Patientenseite und gleichzeitiger allgemeinmedizinischer Therapie mit einem auslösenden Medikament entwickeln [Moffitt ML et al., 2013].
In ihrer klinischen Erscheinung können Gingivawucherungen in individuell unterschiedlichen Ausprägungen vorliegen: Sie reichen von der Vergrößerung weniger Papillen bis hin zu starken, die Zähne überwuchernden Gingivavergrößerungen in beiden Kiefern. Medikamentös modifizierte Gingivawucherungen entstehen ausschließlich in zahntragenden Arealen der Mundhöhle, sowie um dentale Implantate. Häufig gehen die Vergrößerungen von den Papillen der Frontzahnregion des Ober- und Unterkiefers vestibulär aus und können mit Voranschreiten der Gingivawucherungen dann generalisiert vorliegen [Livada R et al., 2014].
Die Therapie besteht bestenfalls im Absetzen des auslösenden Medikaments und Ersatz mit alternativen Wirkstoffen sowie einer professionellen Plaquekontrolle. Sofern die zugrunde liegende Allgemeinerkrankung eine Substitution des Medikaments zulässt, sollte diese durch den behandelnden Arzt durchgeführt werden. Optimale Plaquekontrolle ist grundlegend für einen Therapieerfolg und bildet außerdem die Basis für weiterführende chirurgische Interventionen zur Abtragung des überschüssigen Gewebes im Rahmen von Gingivektomien und Lappenoperationen. Wenn ein Ersatz des auslösenden Medikaments durch einen alternativen Wirkstoff nicht möglich ist, ist auch nach chirurgischer Entfernung der Gingivawucherungen mit einer hohen Rezidivrate zu rechnen [Bork K et al., 2003].
Im folgenden Patientenfall werden die nicht-chirurgische Behandlung einer durch Amlodipin modifizierten Gingivawucherung mit Substitution des Amlodipins durch ein Medikament aus einer anderen Wirkstoffgruppe und einer optimalen Plaquekontrolle sowie die Therapie der bereits bestehenden chronischen Parodontitis und die Diagnostik eines oralen Lichen ruber planus beschrieben.
Der Fall
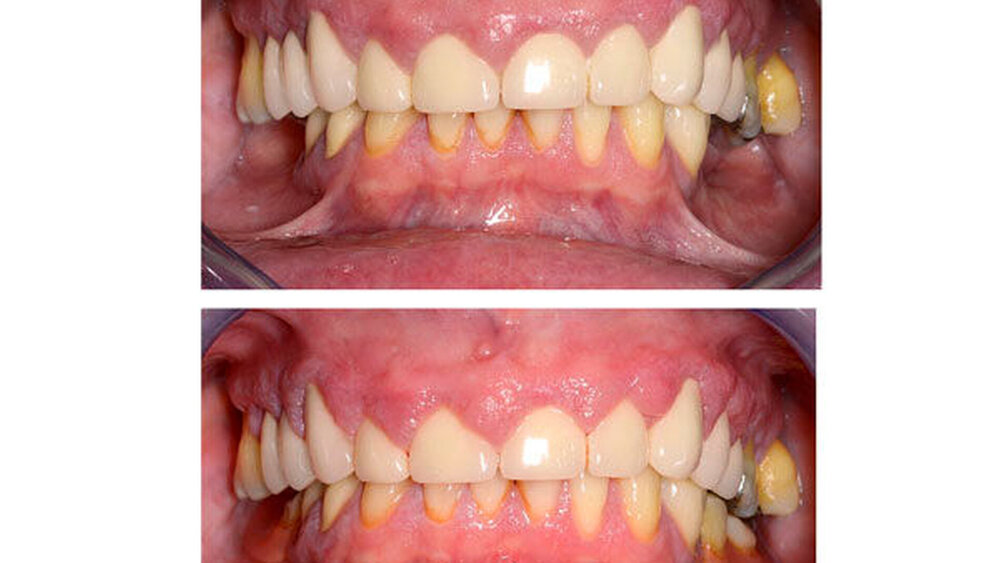
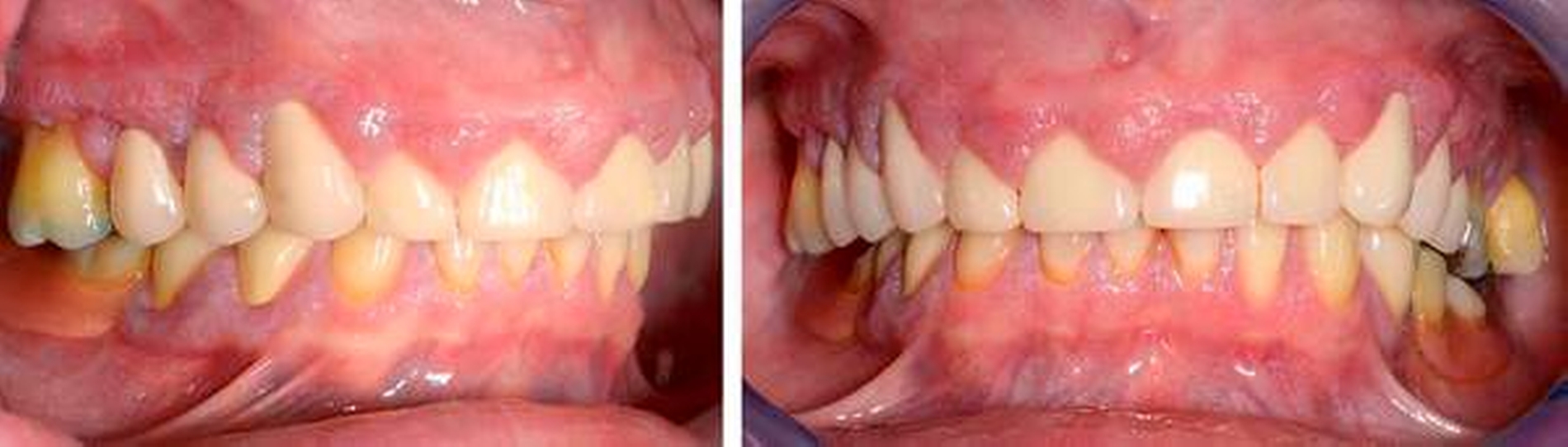
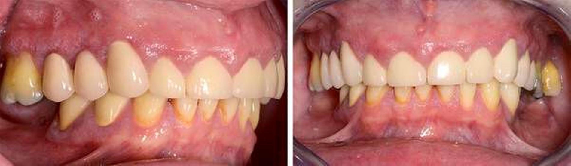
Anamnese: Die 53-jährige Frau stellte sich im Januar 2015 in der Poliklinik für Parodontologie des Universitätsklinikums Dresden vor. Sie war von ihrer Hauszahnärztin mit der Bitte um Diagnostik und Therapie der gingivalen Größenzunahmen (Abbildungen 1a bis 1e) überwiesen worden. Die Patientin gab an, dass die Vergrößerung der Gingiva vor ungefähr einem Jahr begonnen habe und diese sie mittlerweile in ihrer häuslichen Mundhygiene einschränke. Die Benutzung von Hilfsmitteln zur Interdentalraumpflege sei nicht mehr möglich und die Gingiva blute seitdem häufig. Den Kaukomfort ihres 2009 angefertigten Zahnersatzes empfand sie als gut. Als Grund für die multiplen endodontischen Therapien und die Überkronungen an den Zähnen 15, 13 bis 22 sowie 24 und 25 gab die Patientin starke Abrasionen an. Seit dem Auftreten der Gingivawucherungen ergänzte sie auf Anraten ihrer Hauszahnärztin die häusliche Mundhygiene einmal täglich mit Chlorhexidingel, 1-prozentig.
Die Patientin gab weiter an, dass eine systematische Parodontitistherapie bisher nicht stattgefunden habe. Sie lasse einmal im Jahr eine professionelle Zahnreinigung (PZR) durchführen. Zur häuslichen Mundhygiene verwende sie zweimal täglich eine Handzahnbürste und Zahncreme, sowie einmal pro Tag ergänzend Interdentalraumbürstchen zur Zahnzwischenraumpflege.
Die Patientin litt an Diabetes mellitus Typ 2, Hypertonie und rheumatischen Beschwerden der Kniegelenke. Diese Grunderkrankungen wurden mit Valsartan-Actavis 320 mg/Tag, Amlodipin 10 mg/Tag, Allopurinol 200 mg/Tag und Valoron 4 mg/Tag medikamentös behandelt. Die Medikation mit Amlodipin bestand seit ungefähr 1,5 Jahren. Die Patientin war Nichtraucherin.
Befund: Bei der klinischen Untersuchung zeigten sich vestibulär und oral im Bereich der Papillen und der befestigten Gingiva generalisierte Gingivawucherungen im Oberkiefer (OK) und im Unterkiefer (UK). Die Interdentalräume waren aufgrund der Gingivawucherungen nicht für Hygienehilfsmittel durchgängig. Der Parodontale Screeningindex (PSI) wies im OK die Codes 3/3/4, im UK die Codes 3/1/3 auf. Der daraufhin erhobene Parodontalstatus (Abbildung 2) zeigte im OK Sondierungstiefen bis 7 mm mit Furkationsbeteiligungen Grad I (Zähne 16, 26, 27). Im UK betrugen die Sondierungstiefen bis zu 4 mm. Die Zahnbeweglichkeit an den Zähnen 16, 26 (Grad I) und 27 (Grad II) war erhöht.
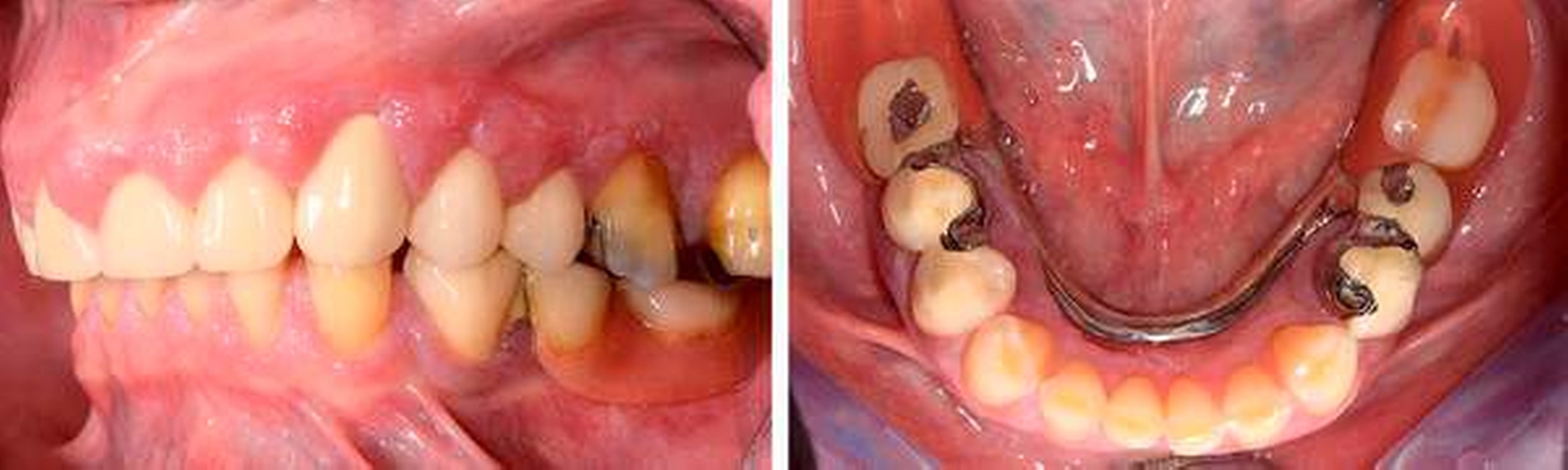
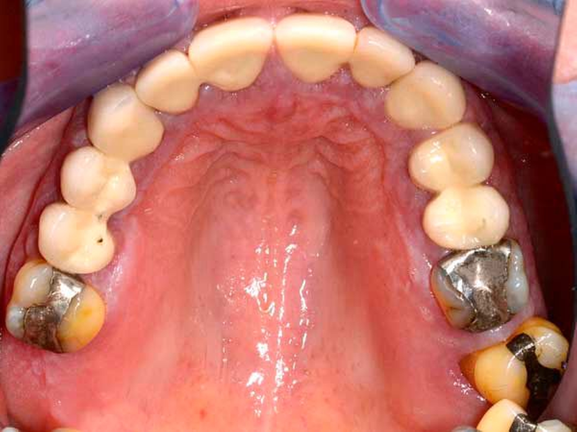
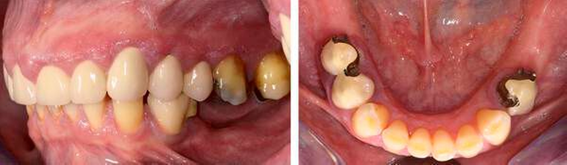
Der Plaqueindex PCR betrug 72 Prozent [O`Leary TJ et al., 1972] und der gingivale Blutungsindex GBI 75 Prozent [Ainamo J et al., 1975]. Das alio loco angefertigte Orthopantomogramm (Abbildung 3) zeigte horizontalen Knochenabbau bis zu einem Drittel der Wurzellänge in beiden Kiefern. Die Zähne 16 und 26 wiesen einen Knochenabbau > 2/3 der Wurzellänge auf. Am Zahn 27 mesial erreichte der Knochenabbau die Wurzelspitze; zudem war der Zahn elongiert und wies eine Kippung nach distal auf. In einer ersten Einzelzahnprognose wurden alle Zähne mit Ausnahme von Zahn 27 als sicher eingestuft. Prothetisch war die Patientin im OK mit einer Brücke (13 bis 15), Kronenblöcken (21/11, 21/22, 24/25) und Amalgamfüllungen an den Zähnen 16 und 26 sowie im UK mit einer geschiebeverankerten Modellgussprothese versorgt.
Verdachtsdiagnosen:
1. Plaqueinduzierte und medikamentös modifizierte Gingivawucherung [Deutsche Gesellschaft für Parodontologie e. V., 2015]
2. Generalisierte leichte, lokalisiert schwere chronische Parodontitis
3. Oraler Lichen ruber planus
Therapie: Nach der Aufklärung der Patientin über die Ursachen ihrer Gingivavergrößerungen und über die notwendige differenzialdiagnostische Abklärung der weißlichen Gingivaveränderungen wurde die Therapie mit einer PZR begonnen. Ausführliche Mundhygieneinstruktionen und Mundhygienetrainings in modifizierter Bass-Technik mit Anwendung von Superfloss sollten der Patientin eine suffiziente häusliche Mundhygiene unter den erschwerten Bedingungen der Gingivavergrößerungen ermöglichen. Chlorhexidingel, 1-prozentig, wurde weiter zur Unterstützung der Mundhygiene angewendet [Deen-Duggins L et al., 1996].
Nach Rücksprache mit dem behandelnden Hausarzt erfolgte die Substitution des Amlodipins durch ein Medikament aus einer anderen Wirkstoffgruppe. Parallel wurden in kurzen Intervallen weitere professionelle Zahnreinigungen durchgeführt. In der ersten Reevaluation sechs Wochen nach Medikamentenumstellung waren die Gingivavergrößerungen und Sondierungstiefen bereits deutlich reduziert. Die persistierenden Sondierungstiefen von 4 mm bis 7 mm belegten trotzdem einen weiteren parodontalen Behandlungsbedarf. Die häusliche Mundhygiene war verbessert (PCR 36 Prozent, GBI 38 Prozent). Der Rückgang der Gingivawucherungen und die damit verbundene Zugänglichkeit der Interdentalräume erforderten nunmehr die Umstellung von Superfloss auf Interdentalraumbürstchen. Die Anwendung von Chlorhexidingel wurde beendet.
Zwölf Wochen nach der Medikamentenumstellung startete die Parodontitistherapie mittels Deep Scaling und Root Planing. Das Deep Scaling wurde im Sinne eines Full-mouth-Debridements unter lokaler Anästhesie (Ultracain D-S, Sanofi, Deutschland) mit Schallinstrumenten und Gracey-Küretten in einer Sitzung durchgeführt. Da die weißlichen Gingivaveränderungen auch nach Absetzen des Chlorhexidingels weiter bestanden, wurde eine Probeexzision in Regio 16 zur histopathologischen Untersuchung vorgenommen [Eisen D et al., 2005].
In der Reevaluation eine Woche nach Deep Scaling und Root Planing erfolgte die Entfernung der supragingivalen weichen Beläge mit rotierenden Bürstchen und Polierpaste. Die Wundheilung war regelrecht, die Nähte an der Entnahmestelle der Probeexzision wurden entfernt. Die histopathologische Untersuchung bestätigte die Verdachtsdiagnose eines oralen Lichen ruber planus.
Sechs Wochen nach Deep Scaling und Root Planing erfolgte eine zweite Reevaluation mit Befunderhebung [MacNeil RL et al., 1999]. Erhöhte Sondierungstiefen lagen nur noch an den Zähnen 27 (5 mm) und 34 (4 mm) vor (Abbildung 4). Die Gingivawucherungen hatten sich vollständig zurückgebildet (Abbildungen 5a bis 5e). Die Plaque- und Blutungsindizes waren niedrig und stabil (20 Prozent). Abschließend wurde eine PZR zusammen mit einer subgingivalen Reinigung an den Zähnen 27 und 34 durchgeführt. Die Prognose der Zähne mit Ausnahme des Zahns 27 ist weiter als sicher einzustufen. Zahn 27 bleibt kritisch. Dies ist durch den Attachmentverlust von 10 mm mesial und den Lockerungsgrad II begründet. Aufgrund der kompromittierenden parodontalen Situation und der eingeschränkten prothetischen Wertigkeit könnte bei Beschwerden an Zahn 27 neben einer chirurgischen Taschenelimination auch eine Extraktion erwogen werden. Die bisherige prothetische Versorgung könnte dann im Konzept einer verkürzten Zahnreihe belassen werden [Fueki K et al., 2015; Levey C et al. 2015]. Da die Patientin vorerst keine weitere Therapie an Zahn 27 wünschte, musste an dieser Stelle von einer chirurgischen Taschenelimination abgesehen und der Zahn belassen werden.
Der orale Lichen ruber planus bereitete der Patientin subjektiv keine Beschwerden, so dass keine symptomatische Therapie erforderlich war [Buser D et al., 1997]. Nach Abschluss der aktiven Therapie wurde sie damit ins Recall übernommen.
Diskussion
Anhand der Anamnese wurde als Modifikator der Gingivawucherung eindeutig der Kalziumkanalblocker Amlodipin identifiziert [Infante Cossio P et al., 1997; Srivastava AK et al., 2010]. Im Vergleich zu anderen Wirkstoffen aus dieser Medikamentengruppe treten Gingivawucherungen unter Amlodipin sehr selten auf [Dongari-Bagtzoglou A et al., 2004]. In einer Untersuchung entwickelten nur 3,3 Prozent der Patienten unter der Therapie mit 5 mg Amlodipin/Tag Gingivawucherungen [Jorgensen MG, 1997].
Als obligate Faktoren in der multifaktoriellen Krankheitsgenese von Gingivahyperplasien gelten neben der Medikamenteneinnahme das Vorhandensein von Zähnen und das Vorliegen einer bakteriell bedingten Gingivitis [Brown RS et al., 1991]. Weitere Faktoren sind das Alter, die Plaqueakkumulation, die genetische Prädisposition, lokale Gewebeeigenschaften der Gingiva, Medikamentendosis, Pharmakokinetik und die Dauer der Einnahme [Moffitt ML et al., 2013].
Neben der Medikamentensubstitution gilt die Plaque- und Entzündungskontrolle als vorrangig therapeutisch beeinflussbar [Lederman D et al., 1984; Seymour RA et al., 2000, Seymour RA, 2006; Thomas DW et al., 2000]. Hierzu zählen Plaque- und Zahnsteinentfernung sowie die Korrektur von Plaqueretentionsstellen. Diese Maßnahmen wurden im dargestellten Fall intensiv durchgeführt. Durch die multiplen Überkronungen lagen zahlreiche subgingival gestaltete und überkonturierte Kronenränder sowie Kronenverblockungen als begünstigende Plaqueretentionsstellen vor. Diese waren jedoch nicht mit einem vertretbaren Aufwand korrigierbar. Adjunktiv zur mechanischen Therapie wurde Chlorhexidingel zur chemischen Belagskontrolle eingesetzt. Auf die kontrovers diskutierte Gabe von Antibiotika wurde verzichtet [Thomas DW et al., 2006].
Wie im hier gezeigten Patientenfall sollte die Therapie stets primär nicht-chirurgisch durchgeführt werden [Camargo PM et al., 2001], da konservativ bereits gute Ergebnisse erzielt werden können. Die professionelle Plaquekontrolle in Kombination mit der Medikamentensubstitution ist in den meisten Fällen ausreichend, um eine fast vollständige Remission der Gingivawucherungen zu erreichen. Da allerdings auch schwere systemische Erkrankungen den Gingivavergrößerungen zugrunde liegen können, bedarf es grundsätzlich einer sorgfältigen Diagnostik und Anamnese. Wenn Therapieversuche fehlschlagen oder keine ausreichende Remission erzielt werden kann, sollte in jedem Fall eine weiterführende Diagnostik durchgeführt werden [Agrawal AA, 2015]. Es empfehlen sich kurze Kontrollabstände zur Feststellung eines Therapieerfolgs.
Vorsicht ist geboten, wenn sich Gingivavergrößerungen auf dem Boden einer bereits bestehenden Parodontitis entwickeln. Aufgrund des röntgenologisch sichtbaren Knochenverlusts konnte in diesem Patientenfall davon ausgegangen werden, dass die Parodontitis bereits vor dem Auftreten der Gingivaveränderungen bestand.
Die veränderten gingivalen Verhältnisse, die bakterielle Plaque sowie die Entzündung können das Fortschreiten der Parodontitis begünstigen. Deshalb wurde nach Rückgang der Gingivawucherung die bisher nicht behandelte Parodontitis konservativ therapiert.
Weißliche Schleimhautveränderungen im Bereich der oralen Mukosa können unterschiedliche Ursachen haben: Je nach Art der Veränderungen kommen Infektionen, Mykosen, Autiommunerkrankungen sowie physikalische und chemische Traumata infrage. Die weißlichen, nicht abwischbaren, nicht blutenden, subjektiv symptomfreien Veränderungen an den Papillen und im Bereich der befestigten Gingiva hatte die Patientin nicht bemerkt. Die auch aufgrund der typischen streifen- und netzförmigen Epithelveränderungen (Wickhamsche Streifung), des Alters und des Geschlechts [Gupta S et al., 2015] klinisch gestellte Diagnose eines retikulären oralen Lichen ruber planus wurde durch die histopathologische Untersuchung bestätigt. Differenzialdiagnostisch wurden Schleimhautdesquamationen durch die langfristige Anwendung des Chlorhexidingels ausgeschlossen [Almqvist H et al., 1988]. Dies begründet sich einerseits durch das typische klinische Bild, andererseits persistierten die weißlichen Veränderungen auch nach dem Absetzen des Chlorhexidingels.
Da der orale Lichen ruber planus von der WHO als fakultative Präkanzerose für Plattenepithelkarzinome definiert wird [WHO Collaborating Centre for Oral Precancerous Lesions, 1978], bedarf es bei diesen Patienten eines regelmäßigen Monitorings. Obwohl die erosiven Formen in Kombination mit Tabakkonsum ein höheres Entartungsrisiko aufweisen als die retikuläre Form [Murti PR et al., 1986], sollte diese trotzdem regelmäßig auf Veränderungen hin untersucht werden. Da sich die Patientin in ihrem subjektiven Wohlbefinden nicht beeinträchtigt fühlte, wurde von einer topischen Kortikoid-Therapie abgesehen und lediglich zu halbjährlichen inspektorischen Kontrollen in Verbindung mit Bürstenbiopsien geraten [Buser D et al., 1997; Remmerbach TW et al., 2001; Thongprasom K et al., 2003].
Von einer weiteren Therapie an Zahn 27 wurde auf Wunsch der Patientin abgesehen.
Schlussfolgerung
Der hier vorgestellte Patientenfall belegt, dass medikamentös modifizierte Gingivawucherungen bei gleichzeitigem Vorliegen einer chronischen Parodontitis und eines oralen Lichen ruber planus erfolgreich durch die Substitution des Medikaments und eine konservative antiinfektiöse Therapie behandelt werden können. Als Basis für ein zufriedenstellendes Therapieergebnis ist eine gründliche Anamnese unabdingbar. Parallel zur Substitution des auslösenden Medikaments sollte mit einer systematischen Parodontitistherapie begonnen werden.
Im Rahmen der unterstützenden Parodontitistherapie sind die umfassende Plaque- und Entzündungskontrolle durch Patient und Zahnarzt der Schlüssel zur langfristigen Sicherung des Therapieergebnisses.
Interessenkonflikt: Die Autoren erklären, dass kein Interessenkonflikt im Sinne der Richtlinien des International Committee of Medical Journal Editors besteht.
Dieser Beitrag erscheint als modifizierter Nachdruck aus DZZ, 2018; 73; 1 mit freundlicher Genehmigung des Deutschen Ärzteverlags.
Christina Eumann, M. Sc.
Universitätsklinikum der TU Dresden
Poliklinik für Parodontologie
Fetscherstr. 74
01307 Dresden
und Praxis Dr. Oberbeckmann
Bertoldstr. 1
45130 Essen
Prof. Dr. med. Dr. h. c. Thomas Hoffmann
Universitätsklinikum der TU Dresden
Poliklinik für Parodontologie
Fetscherstr. 74
01307 Dresden
PD Dr. med. dent. Katrin Lorenz, M. Sc
Universitätsklinikum der TU Dresden
Poliklinik für Parodontologie
Fetscherstr. 74
01307 Dresden
Literaturliste:
Agrawal AA: Gingival enlargements: Differential diagnosis and review of literature. World J Clin Cases. 2015; 3: 779-788
Ainamo J, Bay I: Problems and proposals for recording gingivitis and plaque. Int Dent J. 1975; 25: 229-235
Almqvist H, Luthmann J: Gingival and mucosal reactions after intensive chlorhexidine gel treatment with or without oral hygiene measure. Scand J Dent Res 1988; 96: 557-560
Bork K, Burgdorf W, Hoede N: Mundschleimhaut- und Lippenkrankheiten. Schattauer GmbH, Stuttgart 2003
Brown RS, Beaver WT, Bottomley WK. On the mechanism of drug-induced gingival hyperplasia. J Oral Pathol Med. 1991; 20: 201-209
Buser D, Rankin KV, Meier E, Plemons JM, Altermatt HJ, Rees TD. Oral lichen planus. 1. The clinical manifestations, histopathology, etiology, long-term course and patient data from the Stomatology Center at the Baylor College of Dentistry in Dallas, USA. Schweiz Monatsschr Zahnmed. 1997; 107: 294–306
Camargo PM, Melnick PR, Pirih FQM, Lagos R, Takei HH. Treatment of drug-induced gingival enlargement: Aesthetic and functional considerations. Periodontology 2000 2001; 27: 131-138
Deen-Duggins L, Fry HR, Clay JR, Turner JR: Nifedipine-associated gingival overgrowth: a survey of the literature and report of four cases. Quintessence Int. 1996; 27: 163-170
Deutsche Gesellschaft für Parodontologie e.V.: Die Klassifikation der Parodontalerkrankungen: Eine Systematik mit ihren Möglichkeiten und Grenzen. Quintessenz Verlag, Berlin 2015
Dongari-Bagtzoglou A. Research, Science and Therapy Committee, American Academy of Periodontology (AAP): Drug-associated gingival enlargement. J Periodontol 2004; 75: 1424-1431
Eisen D, Carrozzo M, Bagan Sebastian JV, Thongprasom K.: Number V Oral lichen planus: clinical features and management. Oral Dis. 2005;11 : 338-349
Fueki K, Igarashi Y, Maeda Y, Baba K, Koyano K, Sasaki K, Akagawa Y, Kuboki T, Kasugai S, Garrett NR: Effect of prosthetic restoration on oral health-related quality of life in patients with shortened dental arches: a multicentre study. J Oral Rehabil. 2015; 42: 701-708
Gupta S, Jawanda MK: Oral Lichen Planus: An Update on Etiology, Pathogenesis, Clinical Presentation, Diagnosis and Management. Indian J Dermatol. 2015; 60: 222-229
Infante Cossio P, Torelló Iserte J, Espín Gálvez F, García-Perla A, Rodríguez-Armijo Sánchez L, Castillo Ferrando JR: Gingival hyperplasia associated with amlodipine. An Med Interna. 1997; 14: 83-85.
Jorgensen MG: Prevalence of amlodipine-related gingival hyperplasia. J Periodontol 1997; 68: 676-678
Lederman D, Lumerman H, Reuben S, Freedman PD. Gingival hyperplasia associated with nifedipine therapy. Report of a case. Oral Surg Oral Med Oral Pathol. 1984; 57: 620-622
Levey C, Dunbar C: Shortened dental arch concept shown to be cost effective. Evid Based Dent. 2015; 16: 19-20
Livada R, Shiloah J: Calcium channel blocker-induced gingival enlargement. J Hum Hypertens 2014 28, 10–14
MacNeil RL, Somerman MJ: Development and regeneration of the periodontium: parallels and contrasts. Periodontol 2000. 1999; 19: 8-20
Thomas DW, Ellis JS, Thomason JM, Seymour RA. The management of drug-induced gingival overgrowth. J Clin Periodontol 2006; 33: 434-439
Moffitt ML, Bencivenni D, Cohen RE: Drug-induced gingival enlargement: an overview. Compend Contin Educ Dent. 2013; 34: 330-336
Murti PR, Daftary DK, Bhonsle RB, Gupta PC, Mehta FS, Pindborg JJ: Malignant potential of oral lichen planus: observations in 722 patients from India. J Oral Pathol. 1986; 15: 71-77
O`Leary TJ, Drake RB, Naylor JE: The plaque control record. J Periodontol. 1972;43 : 38
Remmerbach TW, Weidenbach H, Pomjanski N, Knops K, Mathes S, Hemprich A, Böcking A: Cytologic and DNA-cytometric early diagnosis of oral cancer. Anal Cell Pathol. 2001; 22: 211-221
Seymour RA, Ellis JS, Thomason JM. Risk factors for drug-induced gingival overgrowth. J Clin Periodontol 2000; 27: 217-223
Seymour RA. Effects of medications on the periodontal tissues in health and disease. Periodontol 2000 2006; 40: 120-129
Srivastava AK, Kundu D, Bandyopadhyay P, Pal AK: Management of amlodipine-induced gingival enlargement: Series of three cases. J Indian Soc Periodontol. 2010; : 279-281
Thomas DW, Newcombe RG, Osborne GR. Risk factors in the development of cyclosporine-induced gingival overgrowth. Transplantation 2000; 69: 522-526
Thongprasom K, Luengvisut P, Wongwatanakij A, Boonjatturus C: Clinical evaluation in treatment of oral lichen planus with topical fluocinolone acetonide: a 2-year follow-up. J Oral Pathol Med. 2003; 32: 315-322
WHO Collaborating Centre for Oral Precancerous Lesions. Definition of leukoplakia and related lesions: an aid to studies on oral precancer. Oral Surgery 1978; 46: 518-539













