Lymphknotenmetastase bei einem benignen Tumor?
Ein 57-jähriger Patient mit anamnestisch angegebenem Nikotinabusus stellte sich mit einer seit sechs Monaten bestehenden Raumforderung im Bereich der rechten Präaurikular-Region in der Klinik für Mund-, Kiefer- und plastische Gesichtschirurgie der Universität Mainz vor (Abbildung 1). Zuvor war durch den Hauszahnarzt aufgrund einer symptomlosen, progredienten Schwellung eine Überweisung an einen niedergelassenen Mund-, Kiefer- und Gesichtschirurgen erfolgt – die durch diesen veranlasste initiale Bildgebung ließ den Verdacht auf ein Zystadenolymphom (Warthin-Tumor) oder differenzialdiagnostisch ein pleomorphes Adenom zu.
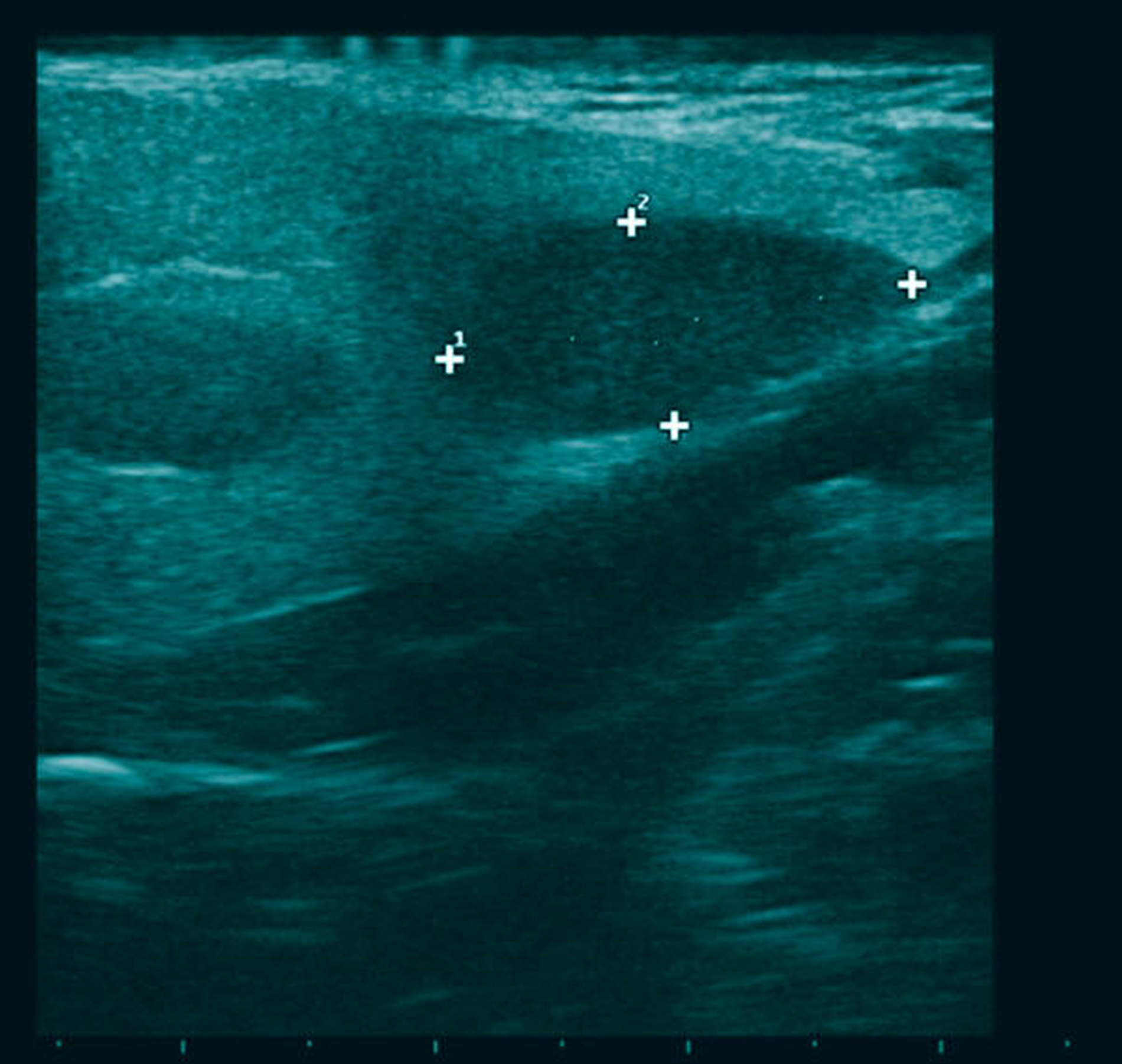
Die durchgeführte Magnetresonanztomografie (MRT) zeigte multiple zystische Raumforderungen innerhalb des Drüsenparenchyms ohne Beeinträchtigung des Nervus facialis (Abbildung 2). In der klinischen Untersuchung stellten sich die Befunde als verschiebliche, nicht druckdolente Raumforderungen ohne Nahrungsaufnahmeabhängige Zunahme der Schwellung oder Beeinträchtigung der mimischen Muskulatur dar. Die Sonografie bestätigte das Vorliegen multipler inhomogener Raumforderungen mit basalem Schallschatten (Abbildung 3).
Bei Verdacht auf einen Warthin-Tumor – ohne differenzialdiagnostisch rein bildgebend ein pleomorphes Adenom ausschließen zu können – wurde die Indikation zur lateralen Parotidektomie rechts gestellt. Nach präaurikulärer Schnittführung (Abbildung 4) konnten die Parotiskapsel und der Muskulus sternocleidomastoideus dargestellt werden. Die Präparation des Hautlappens erfolgte nach anterior und im Bereich des Gehörgangs in die Tiefe, hierbei konnte der Hauptast des Nervus facialis identifiziert und geschont werden. Durch Verfolgung des Hauptstamms nach antero-lateral zeigten sich Verwachsungen zwischen Anteilen des Nervens und dem Befund selbst (Abbildung 5). Der laterale Teil der Drüse wurde vom tiefen Blatt gelöst und als pathologisches Präparat verschickt (Abbildung 6). Während der Präparation nach kaudal konnte der N. marginalis mandibulae nervi facialis dargestellt und geschont werden. Innerhalb des tiefen Parotisblatts stellte sich der zweite Befund dar, der mitsamt zweier Lymphknoten aus direkter Nähe zum Nerven-Hauptstamm herausgelöst wurde.
Der weitere Verlauf gestaltete sich bis auf eine dezente Einschränkung der Fazialisfunktion komplikationslos, so dass der Patient nach einem fünftägigen stationären Aufenthalt in die ambulante Weiterbetreuung entlassen werden konnte. Bei Wiedervorstellung zur Wundkontrolle zeigte sich eine progrediente Besserung der Nervenfunktion.
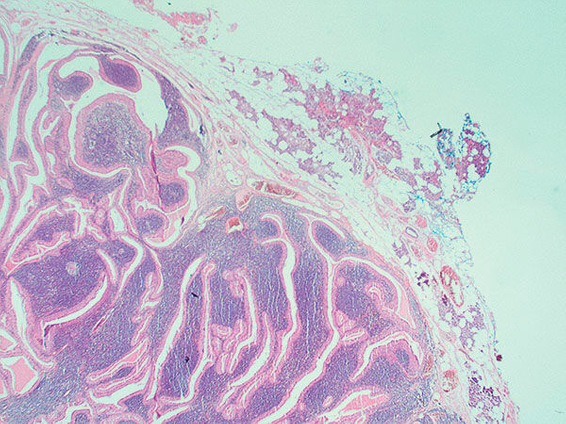
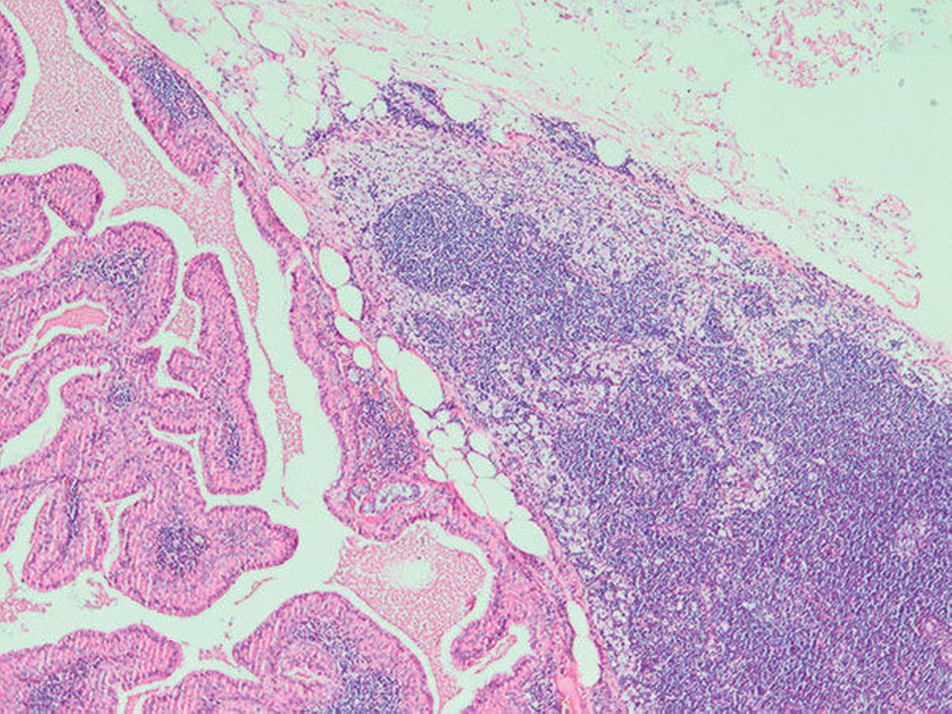
Die histologische Begutachtung der vorliegenden Präparate zeigte mehrere pathologische Herde innerhalb des Speicheldrüsenparenchyms und der resezierten Lymphknoten. Hierbei stellten sich jeweils biphasisch aufgebaute Tumore mit einerseits epithelialer Komponente mit onkozytären Zellen – in Form von Papillen in Spalträume hineinragend – und andererseits stromalem Anteil bestehend aus lymphatischem Gewebe dar (Abbildung 7). Das angrenzende Speicheldrüsengewebe zeigte sich regelrecht aufgebaut. Der vorliegende Befund war mit dem Bild multipler Zystadenolymphome (Warthin-Tumore) vereinbar. Ebenso enthielten mehrere der entnommenen Lymphknoten Absiedlungen des Tumors (Abbildung 8).
Diskussion
Klinisch auffällig wird das Zystadenolymphom in Form einer schmerzlosen Raumforderung, in seltenen Fällen ist es mit Tinnitus, Ohrenschmerzen oder Taubheit assoziiert [Chedid et al., 2011]. Der Befund stellt sich als 1 cm bis 10 cm große, scharf begrenzte, zystisch-knotige Struktur dar. Diffenzialdiagnostisch sind sowohl infektiöse (Tuberkulose, EBV, CMV, Borreliose) wie auch nicht-infektiöse, entzündliche (Sarkoidose), ebenso wie Raumforderungen benigner und maligner Genese, insbesondere Metastasen auszuschließen [Teymoortash et al., 2002].
Zu Beginn der sechsten Schwangerschaftswoche entsteht die Glandula parotis aus Anlagen der hinteren Mundbucht, die sich lateral in Strängen über den sich entwickelnden Musculus massetericus ausdehnt. Die Kapsel der Parotis entsteht aus dem die Drüse umgebenden Mesenchym und steht in enger Beziehung zu den assoziierten Lymphknoten. Die synchrone Entwicklung von lymphatischem und glandulärem Gewebe, ebenso wie die späte Entwicklung einer unvollständigen Kapsel erlauben den Einschluss von Ductuli und Acini innerhalb der entstehenden Lymphknoten in und außerhalb der Parotis [Teymoortash, 2013].
Neoplasien der Parotis repräsentieren 3 Prozent der in der Kopf-Hals-Region und 80 Prozent aller in den Speicheldrüsen vorkommenden Tumoren. Da vier Fünftel des parotidealen Parenchyms oberhalb des Fazialisnervs liegen, treten 90 Prozent der Neubildungen im oberflächlichen Lappen auf, davon befinden sich wiederum 90 Prozent im unteren Pol [Larian, 2016]. 60 bis 80 Prozent dieser Neoplasien sind als benigne zu klassifizieren [Chulam et al., 2013]. Darunter stellt das Zystadenolymphom (Warthin-Tumor) mit einer Häufigkeit von 15 Prozent nach dem pleomorphen Adenom die zweithäufigste Entität dar. Weniger als 10 Prozent der Warthin-Tumore treten außerhalb der Parotis auf [Chulam et al., 2013], davon finden sich 7,6 Prozent innerhalb cervicaler Lymphknoten und 2,3 Prozent in der Glandula submandibularis [Orabona et al., 2015].
Große Kontroversen bestehen über den Ursprung der Entität. Im Jahr 1895 beschrieb Hildebrand weltweit erstmals einen Fall des heute als Zystadenolymphom bekannten Tumors, den er der Kategorie der lateralen Halszysten zuordnete. Namensgebend war schließlich jedoch der Amerikaner Warthin im Jahr 1929 mit der Veröffentlichung zweier Fallberichte [Teymoortash, 2013]. Die Pathogenese des Zystadenolymphoms wird kontrovers diskutiert. Vermutet wird heterotop vorkommendes Speicheldrüsengewebe innerhalb parotisnaher Lymphknoten [Chedid et al., 2011; Orabona et al., 2015]. Durch das Fehlen einer vollständigen Kapsel können sich Lymphknoten- und Speicheldrüsengewebe innerhalb der Embryonalperiode vermischen, wobei das konsistente Vorkommen lymphatischer Sinus – als spezifische Komponente von Lymphknoten – im Warthin-Tumor die Hypothese der intranodalen Entstehung unterstützt. Hierdurch lässt sich das im Bereich benigner Tumore äußerst atypische Auftreten tumoröser Absiedlungen innerhalb lymphatischer Gewebe, wie es in diesem Fall dargestellt wurde, erklären. Die Polyklonalität der epithelialen und lymphatischen Elemente legt die nicht-neoplastische Herkunft der Läsion nahe [Teymoortash, 2013]. In bis zu 14 Prozent der Fälle tritt das Zystadenolymphom bilateral auf und stellt mit einem Anteil von 12 bis 20 Prozent den am häufigsten multifokal vorkommenden Speicheldrüsentumor dar [Sayar et al., 2012]). Rauchen – wie im vorliegenden Fall – ist als signifikanter Risikofaktor für das Auftreten von Warthin-Tumoren bekannt [Orabona et al., 2015], während Autoimmunität und Infektionen mit dem EBV-Virus weiterhin als ätiopathogenetische Ursache in Betracht gezogen werden [Orabona et al., 2015]. Ein epidemiologisch gehäuftes Auftreten findet sich bevorzugt bei Männern (Verhältnis der Erkrankungen bei Männern und Frauen 4:1) in der sechsten bis siebten Lebensdekade [Chulam et al., 2013].
Histopathologisch ist eine epitheliale Komponente papillärer Struktur mit zwei Reihen onkozytärer Zellen umgeben von zystischen Räumen und ein variabler Stromaanteil mit lymphatischem Gewebe ähnlich dem eines Lymphknotens mit Keimzentren zu sehen [Chulam et al., 2013]. Hierbei ist der differenzialdiagnostische Ausschluss eines papillären Zystadenoms, einer lymphoepithelialen Zyste oder Sialadenitis, eines MALT-Lymphoms oder einer Metastase extraglandulären Ursprungs, besonders der des papillären Schilddrüsen-Karzinoms bedeutend. Im Fall metaplastischer Raumforderungen sollten auch Plattenepithel- oder Adenokarzinome als Ursache bedacht werden [WHO, 2005].
Wie im vorliegenden Fall stellt die MRT die diagnostische Methode der Wahl dar [Orabona et al., 2015]. Alternativ kann bei Unklarheiten über den Charakter der Raumforderung eine Feinnadelbiopsie erwogen werden, die jedoch das Risiko einer Verschleppung der Zellen in das umliegende Gewebe ebenso wie Schwellung und Schmerzen birgt [Espinoza et al., 2016]. Wenn über bildgebende Verfahren andere Ursachen für die Raumforderung sicher ausgeschlossen werden können und ein Warthin-Tumor diagnostiziert werden kann, kann sich – aufgrund der geringen Entartungstendenz – therapeutisch auch eine langfristige Überwachung des Patienten anbieten. Besteht jedoch Unklarheit zur Dignität oder kann differenzialdiagnostisch ein anderer Tumor, wie im vorliegenden Fall das pleomorphe Adenom, nicht ausgeschlossen werden, stellt die laterale Parotidektomie die Therapie der Wahl dar [Chedid et al., 2011]. Komplikation dieser Methode sind in 10 bis 68 Prozent der Fälle eine temporäre Einschränkung oder seltener (0 bis 19 Prozent) eine permanente Dysfunktion des Fazialisnervs [Espinoza et al., 2016]. Am häufigsten ist hierbei der Ramus marginalis mandibulae (95,8 Prozent) betroffen. In der Regel kommt es zur Rekurrenz der Nervenfunktion innerhalb von 1 bis 19 Monaten, wobei der Umfang der Funktionseinschränkung vom Ausmaß der Operation abhängig ist. Weitere mögliche Komplikationen sind das Frey-Syndrom (17,6 Prozent), Serome und Infektionen [Chulam et al., 2013]. Die Rekurrenzrate nach operativer Therapie liegt bei 0 bis 13 Prozent, wobei in einigen dieser Fälle statt eines echten Rezidivs unentdeckte separate Tumorlokalisationen die Ursache darstellen dürften. Eine maligne Transformation des Zystadenolymphoms ist mit einer geschätzten Häufigkeit von 0,1 bis 2 Prozent äußerst selten [Chulam et al., 2013; Orabona et al., 2015].
Diana Heimes
Klinik und Poliklinik für Mund-, Kiefer- und Gesichtschirurgie der Universitätsmedizin Mainz
Augustusplatz 2, 55131 Mainz
Dr. Elena Lippe
Institut für Pathologie der Universitätsmedizin Mainz
Langenbeckstr. 1, 55131 Mainz
PD Dr. mult. Peer W. Kämmerer, M.A., FEBOMFS
Klinik und Poliklinik für Mund-, Kiefer- und Gesichtschirurgie der Universitätsmedizin Mainz
Augustusplatz 2, 55131 Mainz
peer.kaemmerer@unimedizin-mainz.de
Fazit für die Praxis
Das Zystadenolymphom (Warthin-Tumor) stellt die zweithäufigste in der Parotis vorkommende Tumorentität dar.
Das MRT ist das diagnostische Mittel der Wahl.
Bei bildgebend unklarem Befund sollte eine laterale Parotidektomie aus diagnostischer Indikation erfolgen.
Häufig besteht ein syn- und metachrones multizentrisches Auftreten.
Die lymphatische Lokalisation des Zystadenolymphoms sollte nicht mit einer Metastasierung des benignen Tumors verwechselt werden.
Literaturverzeichnis
1. Chedid, H. M., Rapoport, A., Aikawa, K. F., Menezes Ados, S. und Curioni, O. A. (2011). „Warthin's tumor of the parotid gland: study of 70 cases.“ Rev Col Bras Cir 38(2): 90-94.
2. Teymoortash, A., Dunne, A. A. und Werner, J. A. (2002). „Parotideal lymph node metastasis in squamous cell carcinoma of the skin.“ Eur J Dermatol 12(4): 376-380.
3. Teymoortash, A. (2013). „Back to the roots of Warthin's tumor of the parotid gland.“ Eur Arch Otorhinolaryngol 270(9): 2397-2402.
4. Larian, B. (2016). „Parotidectomy for Benign Parotid Tumors.“ Otolaryngol Clin North Am 49(2): 395-413.
5. Chulam, T. C., Noronha Francisco, A. L., Goncalves Filho, J., Pinto Alves, C. A. und Kowalski, L. P. (2013). „Warthin's tumour of the parotid gland: our experience.“ Acta Otorhinolaryngol Ital 33(6): 393-397.
6. Orabona, G. D., Abbate, V., Piombino, P., Romano, A., Schonauer, F., Iaconetta, G., Salzano, G., Farina, F. und Califano, L. (2015). „Warthin's tumour: Aetiopathogenesis dilemma, ten years of our experience.“ J Craniomaxillofac Surg 43(4): 427-431.
7. Sayar, H., Oztarakci, H., Sayar, C. und Agirbas, S. (2012). „Adenocarcinoma arising in warthin tumor of the parotid gland.“ Turk Patoloji Derg 28(3): 278-281.
8. WHO (2005). World Health Organization Classification of Tumours. Lyon.
9. Espinoza, S., Felter, A., Malinvaud, D., Badoual, C., Chatellier, G., Siauve, N. und Halimi, P. (2016). „Warthin's tumor of parotid gland: Surgery or follow-up? Diagnostic value of a decisional algorithm with functional MRI.“ Diagn Interv Imaging 97(1): 37-43.













