Therapie einer apikalen Läsion bei nicht abgeschlossenem Wurzelwachstum
Die Therapie von avitalen Zähnen mit nicht abgeschlossenem Wurzelwachstum und periapikalen Läsionen stellt eine große endodontologische Herausforderung dar. Meist sind die Zähne junger Menschen betroffen, die bereits früh eine Karies entwickelten, Anomalien und tiefe Fissuren aufweisen oder ein Trauma erlitten haben [Flanagan, 2014]. Bei einem Vitalitätsverlust solcher Zähne kommt es zum Stillstand der posteruptiven Zahnentwicklung, die Wurzeln des betroffenen Zahnes sind – je nach Zeitpunkt des Stillstands – stark verkürzt, die Dentinwände sehr dünn und divergent [Trope, 2010]. Das macht diese Zähne besonders anfällig für Frakturen [Andreasen et al., 2002; Hargreaves et al., 2008]. Darüber hinaus wird die Therapie durch das Fehlen der natürlichen apikalen Konstriktion erschwert und die Gefahr einer Materialextrusion ins periapikale Gewebe ist erhöht. Die Trocknung des Kanals ist oftmals aufgrund der Feuchtigkeit der periapikalen Gewebe nicht suffizient möglich, sodass konventionelle Obturationstechniken kontraindiziert sein können.
Die klassische Apexifikation mit Kalziumhydroxid ist der Versuch der Induktion der Ausbildung körpereigener Hartgewebssubstanz, um eine Obturation des Wurzelkanals zu ermöglichen [Frank, 1966]. Hierzu erfolgen klassischerweise eine oder mehrere Einlagen mit Kalziumhydroxid bis zur Ausbildung einer Hartgewebsbarriere. Dies kann bis zu 24 Monate dauern. Auch wenn gute klinische Ergebnisse erzielt werden konnten [Frank, 1966; Webber, 1984; Cvek, 1992], ist diese Technik mit erheblichen Nachteilen behaftet. Studien zeigen, dass die Frakturresistenz des Dentins durch die Langzeittherapie mit Kalziumhydroxid deutlich reduziert wird [Andreasen et al., 2002; Batur et al., 2013; Rosenberg et al., 2007; Doyon et al., 2005; Zarei et al., 2013]. Die Tatsache, dass die Zähne in den langen Zeiträumen zwischen den Terminen nur provisorisch versorgt sind, könnte die Frakturanfälligkeit begünstigen. Darüber hinaus können die zahlreichen Sitzungen über mehrere Monate, gerade für junge Patienten, eine große Belastung darstellen und der Therapieerfolg ist stark von der Compliance abhängig.
MTA scheint der klassischen Apexifikation überlegen
Mit der Entwicklung und Markteinführung von Mineral Trioxide Aggregate (MTA) [Parirokh und Torabinejad, 2010] und anderen biokeramischen Materialien [Prati und Gandolfi, 2015] haben sich die apikalen Verschlusstechniken in der Therapie von offenen Apices zunehmend etabliert [Torabinejad und Chivian, 1999; Witherspoon und Ham, 2001; Simon et al., 2007; Witherspoon et al., 2008]. Hierbei wird der Verschluss des offenen Foramens direkt mit der Applikation eines biokompatiblen Verschlussmaterials vorgenommen. Neben dem technischen Vorteil, dass die Therapie im Rahmen von einer oder zwei Sitzungen erfolgen kann, weist MTA hervorragende biokompatible Materialeigenschaften auf. Es ist feuchtigkeitstolerant und kann auch im feuchten und blutigen Milieu aushärten [Torabinejad et al., 1994]. MTA ist dimensionsstabil, unlöslich und besitzt sehr gute antibakterielle Eigenschaften, die auf den hohen pH-Wert während der chemischen Aushärtung zurückzuführen sind [Parirokh und Torabinejad, 2010; Torabinejad und Parirokh, 2010]. Darüber hinaus interagiert MTA mit periradikulärem und pulpalem Gewebe und kann bei entsprechender Indikation zur Gewebsregeneration eingesetzt werden [Torabinejad und Chivian 1999; Galler et al., 2016].
Klinische Studien zeigen sehr gute Erfolgsquoten für MTA als apikales Verschlussmaterial, unabhängig davon, ob die Therapie in einer [Simon et al., 2007; Witherspoon et al., 2008] oder zwei [Witherspoon et al., 2008; Moore et al., 2011] Sitzungen erfolgte. Diese Technik scheint der klassischen Apexifikation überlegen [Bonte et al., 2015; El-Meligy und Avery, 2006; Jeeruphan et al., 2012]. Auch der Langzeiterfolg konnte in klinischen Untersuchungen nachgewiesen werden. Pace et al. berichteten eine Erfolgsquote von 94 Prozent nach zehn Jahren mit nur einem Zahnverlust durch Längsfraktur [Pace et al., 2014]. Die kürzlich publizierte Arbeit von Ree und Schwartz [Ree und Schwartz, 2017] verzeichnete keinen Zahnverlust und eine Heilungsrate von 96 Prozent, bei einem durchschnittlichen Nachbeobachtungszeitraum von 8,3 Jahren.
Fallbericht
Der folgende Fallbericht demonstriert den Einsatz von MTA für die apikale Verschlusstechnik bei nicht abgeschlossenem Wurzelwachstum.
Anamnese, Befund und Diagnose
Die 12-jährige Patientin wurde im Januar 2017 vom Hauszahnarzt zur Beurteilung der Erhaltungswürdigkeit und Therapie überwiesen. Die allgemeine Anamnese des Mädchens war unauffällig. Sie klagte über sporadische Schmerzen im rechten Unterkiefer und Druckgefühl im Kieferknochen.
Das Ausgangsröntgenbild (Abbildung 1) der Regio 44–46 zeigte eine apikale Transluzenz im Bereich der Wurzelspitze des Zahnes 45. Der Zahn weist ein nicht abgeschlossenes Wurzelwachstum mit weit offenem Foramen und weitlumigem Wurzelkanal auf. Im Bereich der klinischen Zahnkrone imponiert eine transluzente, kariesdichte Zone, die sich vom mesialen Anteil der Krone bis ins Pulpenkavum erstreckt. Die Fissur des Zahnes scheint stark invaginiert und ist radiologisch nachzuvollziehen.
Klinisch stellte sich der Zahn als nicht perkussionsempfindlich dar und reagierte nicht auf den Kältetest. Es lag keine Schwellung vor, jedoch ein Fistelgang lingual des Zahnes 45 (Abbildung 2) sowie eine leichte Druckdolenz im Vestibulum Regio 45. Eine große Kavitation, wie es das Röntgenbild vermuten lässt, war klinisch nicht festzustellen (Abbildung 2). Die Nachbarzähne reagierten adäquat auf den Kältereiz und waren perkussionsunempfindlich. Die Fissurenversiegelung an Zahn 46 wurde als insuffizient bewertet.
Als Diagnose ergab sich ein avitaler Zahn 45 mit nicht abgeschlossenem Wurzelwachstum und periapikaler Läsion mit einer unterminierenden Karies profunda als Eintrittspforte für die Bakterien ins Wurzelkanalsystem.
Therapie
Nach der Aufklärung von Patientin und Erziehungsberechtigten über die Therapiemöglichkeiten erfolgte in der ersten Behandlungssitzung die Kariesexkavation mit Kofferdam unter dem OP-Mikroskop mit Verzicht auf Lokalanästhesie. Nach vorsichtiger und schonender Entfernung der unterminierenden, tiefen Karies folgte zwangsläufig die großflächige Eröffnung des Pulpenkavums (Abbildungen 3 bis 6). Es folgte die Spülung mit Natriumhypochlorid-Lösung 5 % (NaOCl) und die Entfernung des nekrotischen Gewebes mittels Gates-Glidden-Bohrern der Größe 4 und 5 (ISO 110 und 130). Die Eröffnung der Pulpa sowie die Instrumentierung des Kanals spürte die Patientin nicht – bis zu einer Länge von 15 mm. Es erfolgte eine Einlage mit Ledermix-Paste (Riemser Pharma GmbH, Greifswald).
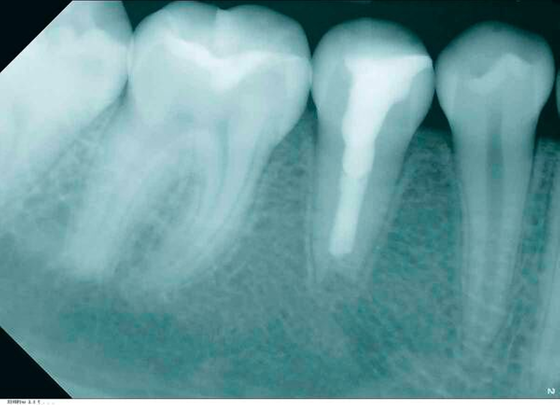
Die zweite Therapiesitzung folgte eine Woche später. Der Fistelgang war bereits ausgeheilt. Nach Spülung mit NaOCl 5 % und EDTA 17 % sowie der Schallaktivierung mittels EDDY (VDW, München) erfolgte die Trocknung des Zahnes. Im Anschluss wurde ein apikaler Verschluss mit weißem ProRoot MTA (Dentsply Sirona, York, PA, USA) appliziert (Abbildung 7). Der Plug wurde auf eine Länge von 15 mm eingebracht – genau der Punkt, ab dem die Patienten das Sondieren wieder gespürt hat. Zur Kontrolle des Plugs erfolgte eine Kontrollaufnahme vor definitivem Verschluss (Abbildung 8).
Anschließend wurde der Rest des Kanals adhäsiv verklebt und indirekt mit Komposit versorgt. Eine Kontrollaufnahme wurde angefertigt (Abbildung 9). Abbildung 10 zeigt die postendodontische Versorgung des Zahnes.
Nachsorge
Die Patientin klagte weder über eine Symptomatik, noch zeigten sich Entzündungszeichen im Verlauf. Die sporadischen Schmerzen und das Druckgefühl im Kiefer waren beim ersten Kontrolltermin nach vier Wochen gänzlich abgeklungen. Der Klopfschall war unauffällig, der Zahn reagierte nicht auf Perkussion und das Vestibulum war schmerzfrei bei Palpation. Nach vier Monaten erfolgte ein Verlaufsröntgenbild (Abbildung 11), bei dem bereits eine Hartsubstanzausbildung und ein fast vollständiger Rückgang der Läsion zu erkennen sind. Nach zehn Monaten wurde ein weiteres Verlaufsröntgenbild angefertigt (Abbildung 12). Die Läsion scheint vollständig rückläufig und mit Hartgewebe ersetzt zu sein. Die radiologische Nachkontrolle nach 18 Monaten zeigt eine deutliche Dickenzunahme des Dentins im Vergleich zur Ausgangssituation und stabile periapikale Verhätnisse (Abbildung 13). Der Zahn ist nach wie vor symptomfrei und in situ.
Prognose und Diskussion
Die Länge der Wurzel ist suffizient für eine gute Verankerung des Zahnes im Knochen. Die Dicke der Dentinwände scheint ausreichend stabil und die Therapie konnte substanzschonend durchgeführt werden. Weder der mesiale noch der distale Approximalkontakt mussten aufgelöst werden. Da der Zahn gut auf die Behandlung angesprochen und die Läsion sich in kürzester Zeit zurückgebildet hat, ist die Prognose des Zahnes als gut bis sehr gut anzusehen.
Da der Zahn auch alle Kriterien für eine Revitalisierung erfüllt [Galler et al., 2016], muss diese als Therapiealternative diskutiert werden. Ziel dieser regenerativen Therapiemaßnahme ist es, ein weiteres Wurzelwachstum in Dicke und Länge zu induzieren, um eine bessere Stabilisierung des Zahnes zu erreichen. Die klinische Datenlage über den Langzeiterfolg der Revitalisierung ist jedoch sehr limitiert [Jeeruphan et al., 2012], wohingegen der Langzeiterfolg des apikalen Verschlusses mit MTA, wie eingangs beschrieben, in zahlreichen Studien nachgewiesen ist [Witherspoon et al., 2008; Ree und Schwartz, 2017; Pace et al., 2014; Bonte et al., 2015]. Aufgrund der besseren Vorhersagbarkeit der apikalen Verschlusstechnik und der bereits suffizient ausgebildeten Zahnwurzel wurde in diesem Fall gegen den Versuch einer regenerativen Maßnahme entschieden. Dennoch könnte das erreichte Dickenwachstum der Dentinwände im apikalen Bereich auf eine induzierte Regeneration im apikalen Bereich hinweisen. Die Extraktion des Zahnes und der kieferorthopädische Lückenschluss wurden als nicht sinnvoll erachtet.
In der Literatur ist die Einlage von Kalziumhydroxid zwischen zwei Sitzungen bei apikalen Verschlüssen beschrieben [Witherspoon et al., 2008; Moore et al., 2011]. Hierbei zeigte sich jedoch kein Unterschied in der Erfolgsquote zwischen den Fällen, in denen direkt MTA appliziert wurde, und den Fällen, bei denen vorher eine Zwischeneinlage mit Kalziumhydroxid erfolgte [Witherspoon et al., 2008]. Die Entscheidung für oder gegen eine medikamentöse Einlage ist also vielmehr vom Zeitmanagement, von der Compliance des Patienten und von der akuten klinischen Symptomatik abhängig. Die Verwendung von Ledermix als medikamentöse Einlage im Rahmen von Apexifikationen und apikalen Verschlüssen ist in der Literatur nicht beschrieben. Normalerweise findet es Anwendung bei akuten pulpitischen Beschwerden, Flare-Ups und zur Resorptionsprophylaxe bei dentalen Traumata [Mohammadi und Abbott, 2009]. Jedoch weist Ledermix auch gute antibakterielle Eigenschaften auf [Taylor et al., 1989] und die Verwendung von Antibiotikapräparaten als medikamentöse Einlage führte zu guten klinischen Ergebnissen bei Revitalisierungsmaßnahmen [Galler et al., 2016].
Dr. Benjamin Mahmoodi, M. Sc.
MVZ-Nahe-Hunsrück, 55543 Bad Kreuznach
benjamin.mahmoodi@mvz-nahe-hunsrueck.de
Literaturliste
Andreasen, J. O., B. Farik, and E. C. Munksgaard. 2002. 'Long-term calcium hydroxide as a root canal dressing may increase risk of root fracture', Dent Traumatol, 18: 134-7.
Batur, Y. B., U. Erdemir, and H. S. Sancakli. 2013. 'The long-term effect of calcium hydroxide application on dentin fracture strength of endodontically treated teeth', Dent Traumatol, 29: 461-4.
Bonte, E., A. Beslot, T. Boukpessi, and J. J. Lasfargues. 2015. 'MTA versus Ca(OH)2 in apexification of non-vital immature permanent teeth: a randomized clinical trial comparison', Clin Oral Investig, 19: 1381-8.
Cvek, M. 1992. 'Prognosis of luxated non-vital maxillary incisors treated with calcium hydroxide and filled with gutta-percha. A retrospective clinical study', Endod Dent Traumatol, 8: 45-55.
Doyon, G. E., T. Dumsha, and J. A. von Fraunhofer. 2005. 'Fracture resistance of human root dentin exposed to intracanal calcium hydroxide', J Endod, 31: 895-7.
El-Meligy, O. A., and D. R. Avery. 2006. 'Comparison of apexification with mineral trioxide aggregate and calcium hydroxide', Pediatr Dent, 28: 248-53.
Flanagan, T. A. 2014. 'What can cause the pulps of immature, permanent teeth with open apices to become necrotic and what treatment options are available for these teeth', Aust Endod J, 40: 95-100.
Frank, A. L. 1966. 'Therapy for the divergent pulpless tooth by continued apical formation', J Am Dent Assoc, 72: 87-93.
Galler, K. M., G. Krastl, S. Simon, G. Van Gorp, N. Meschi, B. Vahedi, and P. Lambrechts. 2016. 'European Society of Endodontology position statement: Revitalization procedures', Int Endod J, 49: 717-23.
Hargreaves, K. M., T. Giesler, M. Henry, and Y. Wang. 2008. 'Regeneration potential of the young permanent tooth: what does the future hold?', J Endod, 34: S51-6.
Jeeruphan, T., J. Jantarat, K. Yanpiset, L. Suwannapan, P. Khewsawai, and K. M. Hargreaves. 2012. 'Mahidol study 1: comparison of radiographic and survival outcomes of immature teeth treated with either regenerative endodontic or apexification methods: a retrospective study', J Endod, 38: 1330-6.
Mohammadi, Z., and P. V. Abbott. 2009. 'On the local applications of antibiotics and antibiotic-based agents in endodontics and dental traumatology', Int Endod J, 42: 555-67.
Moore, A., M. F. Howley, and A. C. O'Connell. 2011. 'Treatment of open apex teeth using two types of white mineral trioxide aggregate after initial dressing with calcium hydroxide in children', Dent Traumatol, 27: 166-73.
Pace, R., V. Giuliani, M. Nieri, L. Di Nasso, and G. Pagavino. 2014. 'Mineral trioxide aggregate as apical plug in teeth with necrotic pulp and immature apices: a 10-year case series', J Endod, 40: 1250-4.
Parirokh, M., and M. Torabinejad. 2010. 'Mineral trioxide aggregate: a comprehensive literature review--Part I: chemical, physical, and antibacterial properties', J Endod, 36: 16-27.
Prati, C., and M. G. Gandolfi. 2015. 'Calcium silicate bioactive cements: Biological perspectives and clinical applications', Dent Mater, 31: 351-70.
Ree, M. H., and R. S. Schwartz. 2017. 'Long-term Success of Nonvital, Immature Permanent Incisors Treated With a Mineral Trioxide Aggregate Plug and Adhesive Restorations: A Case Series from a Private Endodontic Practice', J Endod, 43: 1370-77.
Rosenberg, B., P. E. Murray, and K. Namerow. 2007. 'The effect of calcium hydroxide root filling on dentin fracture strength', Dent Traumatol, 23: 26-9.
Simon, S., F. Rilliard, A. Berdal, and P. Machtou. 2007. 'The use of mineral trioxide aggregate in one-visit apexification treatment: a prospective study', Int Endod J, 40: 186-97.
Taylor, Mark Anthony, Wyatt Roderic Hume, and Geoffrey Sinclair Heithersay. 1989. 'Some effects of Ledermix® paste and Pulpdent® paste on mouse fibroblasts and on bacteria in vitro', Dental Traumatology, 5: 266-73.
Torabinejad, M., and N. Chivian. 1999. 'Clinical applications of mineral trioxide aggregate', J Endod, 25: 197-205.
Torabinejad, M., R. K. Higa, D. J. McKendry, and T. R. Pitt Ford. 1994. 'Dye leakage of four root end filling materials: effects of blood contamination', J Endod, 20: 159-63.
Torabinejad, M., and M. Parirokh. 2010. 'Mineral trioxide aggregate: a comprehensive literature review--part II: leakage and biocompatibility investigations', J Endod, 36: 190-202.
Trope, M. 2010. 'Treatment of the immature tooth with a non-vital pulp and apical periodontitis', Dent Clin North Am, 54: 313-24.
Webber, R. T. 1984. 'Apexogenesis versus apexification', Dent Clin North Am, 28: 669-97.
Witherspoon, D. E., and K. Ham. 2001. 'One-visit apexification: technique for inducing root-end barrier formation in apical closures', Pract Proced Aesthet Dent, 13: 455-60; quiz 62.
Witherspoon, D. E., J. C. Small, J. D. Regan, and M. Nunn. 2008. 'Retrospective analysis of open apex teeth obturated with mineral trioxide aggregate', J Endod, 34: 1171-6.
Zarei, M., F. Afkhami, and Z. Malek Poor. 2013. 'Fracture resistance of human root dentin exposed to calcium hydroxide intervisit medication at various time periods: an in vitro study', Dent Traumatol, 29: 156-60.

















