Füllung, Krone, Extraktion? Die Entscheidungsregeln
Obwohl sich immer mehr gezielte Prophylaxemaßnahmen für das Milchgebiss etablieren, gilt die frühkindliche Karies nach wie vor als häufigste chronische Erkrankung im Kleinkind- und Vorschulalter. Zwar steigt die Zahl der Kinderzahnarztpraxen in Deutschland, dennoch wird der Großteil der Kinder in der allgemeinzahnärztlichen Praxis versorgt. Die Behandlung von Kindern erfordert ein Umdenken, da gängige und erprobte Therapien der bleibenden Dentition nicht einfach auf das kindliche Gebiss übertragen werden können. So zählen beispielsweise eine reduzierte Schmelz- und Dentindicke, der geringere Mineralgehalt des Schmelzes, eine größere Pulpakammer sowie eine limitierte Regenerationsfähigkeit der Pulpa zu den anatomisch-morphologischen Besonderheiten des Milchzahns, die bei dessen Behandlung berücksichtigt werden müssen.
Neben medizinischem und technischem Know-how braucht der Zahnarzt / die Zahnärztin auch Erfahrung im Umgang mit Kindern und eine auf den kindlichen Patienten ausgerichtete Praxisorganisation. Dazu gehören die Option einer Desensibilisierungsbehandlung für die Vorbereitung des eigentlichen Eingriffs, die Kinderprophylaxe sowie die Möglichkeit einer Sanierung in Vollnarkose. Da diese organisatorischen Bedingungen nicht in jeder Zahnarztpraxis gegeben sind, ist es umso wichtiger, seine eigenen Grenzen als Behandler zu kennen und das Kind rechtzeitig an einen Spezialisten zu überwiesen.
Allgemein lassen sich zwei Problemgruppen identifizieren: Die erste sind Kleinkinder mit massiver Flaschenkaries, die aufgrund des Alters und der Schwere des Befunds nur in Allgemeinanästhesie behandelt werden können. Zur zweiten Gruppe gehören ältere, behandlungswillige Kinder mit kariösen Defekten, bei denen die „einfache“ Füllungstherapie nicht mehr möglich ist, da eine pulpanahe Karies vorliegt. Trotzdem können auch Generalisten zufriedenstellende und schnelle Therapien anbieten, wenn das klinische Wissen dem aktuellen Stand der Kinderzahnheilkunde entspricht.
Die richtige Diagnostik im Milchgebiss
Zentraler Anspruch der Kinderzahnheilkunde ist: Jeder Milchzahn sollte (wenn überhaupt) nur einmal behandelt werden. Daher sind frühzeitige sowie regelmäßige zahnärztliche Kontrollen unerlässlich. Neben einer soliden klinischen Untersuchung (Karies, Zahnfarbe, Schwellung, Rötung, Fistel, Zahnbeweglichkeit in Abhängigkeit von Zahnwechsel, Zustand der Nachbarzähne) spielt die röntgenologische Diagnostik (Umfang der Karies, interradikuläre Aufhellungen, Resorptionen, Lage des Zahnkeims) für die vorausschauende Planung und für die erfolgreiche Therapie eine wichtige Rolle. Vor allem die Röntgenuntersuchung bringt meistens einen entscheidenden Mehrwert, da die Karies bei Kindern aufgrund der breiten, flächigen Approximalkontakte klinisch oft sehr schwer zu diagnostizieren ist (Abbildung 1) [Fuks, 2005].
Auch wenn Eltern sich besorgt in Hinsicht auf die Röntgenstrahlung zeigen, sollte keine Therapie ohne Röntgenbild stattfinden. Nicht selten endet eine scheinbare Fissurenkaries in einer Caries profunda, die mit einer Krone versorgt werden muss. Um sowohl Sicherheit für die Therapieentscheidung zu erlangen als auch die Eltern rechtzeitig über die Intervention aufzuklären, ist das systematische Röntgen bei Kariesverdacht unerlässlich. Bei einer noch nicht kavitierten Läsion am Einzelzahn sollten auch die Zähne des antagonistischen Kiefers mithilfe von Bissflügeln untersucht werden (Abbildung 2).
Wenn bereits Schmerzen oder eine umfangreiche Zerstörung an einem Zahn vorliegen, muss ein Zahnfilm angefertigt werden, um das mittlere Wurzeldrittel beziehungsweise die interradikuläre Zone beurteilen zu können. Der dünne Pulpaboden besitzt viele akzessorische Kanäle, so dass sich eine Pulpitis nicht wie bei einem bleibenden Zahn periapikal, sondern meistens interradikulär im Sinne einer Osteolyse im Bereich der Bi- oder Trifurkation darstellt [Waterhouse et al., 2011; Van Waes und Steffen, 2009].
Um den Erhalt der Oberkieferfrontzähne bei der Nuckelflaschenkaries oder nach Frontzahntrauma einzuschätzen, hat sich der Aufbiss bewährt. Falls das Kind den Mundfilm nicht toleriert, stellt das Orthopantomogramm keine Alternative zur exakten Diagnostik dar und sollte nur im Ausnahmefall, zum Beispiel bei Verdacht auf eine Durchbruchstörung, Verlagerung, allgemeines Trauma oder Molaren-Inzisivi-Hypomineralisaton Anwendung finden. Zudem kann über die Akzeptanz des Röntgens die generelle Compliance getestet werden. Scheitert eine intraorale Aufnahme, so ist auch die Compliance für eine Füllung oder gar eine Krone nicht gegeben.



Die Indikation für Füllungstherapien ist begrenzt
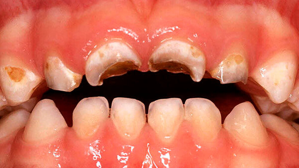
Fast jede klinisch sichtbare Karies im Milchgebiss stellt eine Caries profunda dar, die durch das Füllungsmaterial indirekt überkappt wird. Die Applikation von Kalziumhydroxid verbessert das Ergebnis selten, vor allem wenn zwischen Kalziumhydroxid und Pulpa Reste kariösen Dentins verbleiben. Anders als beim bleibenden Zahn findet im Milchzahn nahezu keine Tertiärdentinbildung statt [Van Waes und Stöckli, 2001]. Demnach ist eine indirekte Überkappung nur eingeschränkt zu empfehlen und die direkte Überkappung am Milchzahn kontraindiziert, da diese Maßnahmen meistens interne Resorptionen oder sogar interradikuläre Entzündungen hervorrufen. Diese resultieren oftmals in einem Abszess (Abbildung 3) oder in einer Fistel (Abbildung 4) und führen damit letztendlich in die Extraktion des Milchzahnes.
Somit ist die konventionelle Füllungstherapie am Milchmolar, vorzugsweise mit lichthärtendem Glasionomerzement oder Komposit, nur bei kleinen maximal zweiflächigen Kariesdefekten mit ausreichender Dentinschichtstärke zur Pulpa sinnvoll. Da der Milchzahnschmelz auch eine geringere Mineralisation mit aprismatischen Bereichen und größerem Porenvolumen aufweist, ist er schlechter anätzbar [Van Waes und Stöckli, 2001]. Zudem wird durch die reduziertere Schmelzdicke der adhäsive Verbund zwischen Zahnhartsubstanz und Komposit verringert. Bei der Füllungsgestaltung ist ein kinderfreundliches Matrizensystem, beispielsweise die T-Band-Matrize (Pulpdent, USA) ohne Matrizenhalter, empfehlenswert. Im Zuge der Quadrantensanierung lassen sich zwei angrenzende approximale Kavitäten bei guter Verkeilung problemlos füllen, ohne auf einen straffen Kontaktpunkt verzichten zu müssen (Abbildung 5). Dieses Vorgehen spart Zeit und findet bei den Kindern gute Akzeptanz. Die Anschaffung des erforderlichen Instrumentariums lohnt sich auch als Anschaffung für die allgemeinzahnärztliche Praxis.
Endodontische Therapie im Milchgebiss
Wenn eine Karies am Milchzahn bereits klinisch gut sichtbar ist, wird in den meisten Fällen eine Behandlung des Markorgans (Vitalamputation oder Vitalexstirpation) notwendig. Die Vitalamputation ist die am häufigsten durchgeführte endodontische Maßnahme im Milchgebiss. Sie erfolgt nach Exposition der klinisch symptomlosen Pulpa im kariösen Dentin. Ihr Ziel besteht in der Vitalerhaltung der radikulären Pulpa nach Entfernung der infizierten Kronenpulpa, indem sich eine Hartgewebsbrücke zwischen ihr und dem eingebrachten Wundverband ausbildet [Fuks, 2002].
Röntgenologisch zeigt sich die umgebende Knochenstruktur des Zahnes unauffällig ohne interradikuläre Aufhellungen beziehungsweise Resorptionen. Die Wurzel sollte mindestens zu zwei Dritteln vorhanden sein (Abbildung 6). Die Erfolgsaussichten der Vitalamputation hängen somit von der korrekten klinischen und radiologischen Pulpadiagnostik ab [Seale und Coll, 2010].
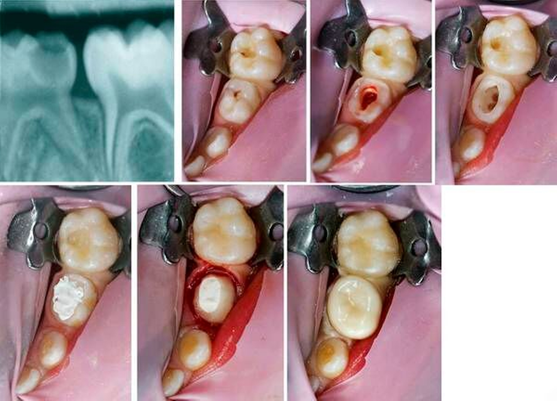
Die Vitalamputation am Milchmolaren sollte zum Standardrepertoire der allgemeinzahnärztlichen Praxis gehören. Die einzelnen Schritte werden im Folgenden erklärt und in den Abbildungen 7a bis 7g dargestellt. Der Eingriff erfolgt in lokaler Anästhesie (Oberflächenanästhesie und Infiltration im Oberkiefer sowie Leitungsanästhesie im Unterkiefer). Nach jeder endodontischen Maßnahme ist eine Überkronung des jeweiligen Zahnes aus Gründen der Stabilität und des bakteriendichten Verschlusses erforderlich. Daher kann direkt nach der endodontischen Behandlung die Präparation für die Krone erfolgen. Das Pulpadach wird trepaniert und die Kronenpulpa bis an die Kanaleingänge hochtourig mit einem Diamanten oder Rosenbohrer unter Wasserkühlung entfernt. Jetzt kann noch einmal der Zustand der Pulpa beurteilt werden.
Eine hellrote, gut kontrollierbare Blutung spricht für einen symptomlosen Zahn, dessen Entzündung auf die Kronenpulpa begrenzt ist. Eine hyperämische, dunkelrote Blutung lässt auf eine Entzündung der Wurzelpulpa schließen und gilt als Kontraindikation für die Vitalamputation [Fuks, 2005]. Nach Säuberung und Trocknung der Kavität mittels Multifunktionsspritze wird ein mit Eisen(III)sulfat getränktes Wattepellet für 20 bis 30 Sekunden auf den Pulpastumpf gedrückt, um die Blutung zu stillen und ein Koagulum zu vermeiden [Fuks, 2008]. Der anschließende Wundverband sollte sowohl bakterizid als auch gewebefreundlich sein. Gute Ergebnisse liefert dabei beispielsweise IRM (Dentsply Sirona, Deutschland), ein Zinkoxid-Eugenol-Zement, der gegen den Pulpenkammerboden und die Kanaleingänge kondensiert wird [Seale und Coll, 2010]. Eine teurere Variante mit ebenfalls sehr guten Erfolgsaussichten stellt die Vitalamputation mit einem MTA-Zement dar. Dabei findet die Blutstillung mit Kochsalz statt [Simancas et al., 2010].
Bevor eine Wurzelkanalbehandlung am Milchzahn mit einer irreversiblen Pulpitis geplant wird, sollte ebenfalls eine klinische (keine Mobilität, keine Schwellung/Rötung oder Fistel) und röntgenologische Diagnostik (mindestens zwei Drittel der Wurzel vorhanden, keine interradikuläre Aufhellung, keine interne oder externe Resorption) erfolgen. Ferner sollte die Mitarbeit des Kindes geprüft und die Wirtschaftlichkeit der Therapie abgewogen werden. Die Wurzelfüllung am Milchzahn erfordert erneut ein Umdenken, da keine Verlängerung der Wurzelkanäle erwünscht wird und ein Überinstrumentieren zum Schutz des Zahnkeims unbedingt vermieden werden muss.
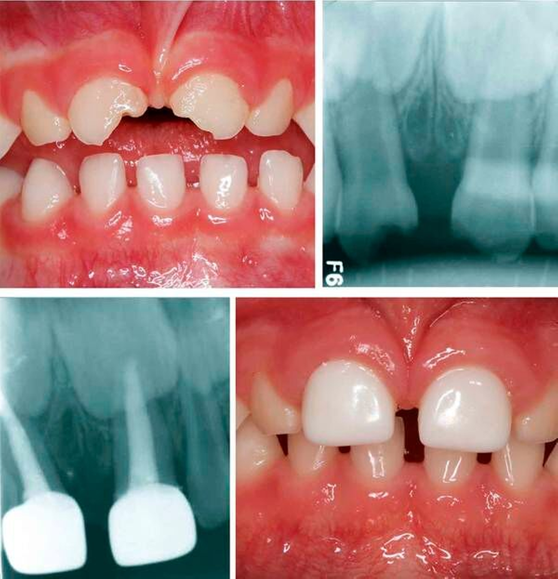
Die Aufbereitung dient der Entfernung der Bakterien und des infizierten Pulpagewebes. Ein großflächiger Abtrag von infiziertem Dentin ist hingegen nicht gewünscht. Zudem sind bei jungen Kindern die Kanalwände sehr dünn, so dass eine forcierte mechanische Kanalreinigung Perforationen hervorrufen kann. Zur chemischen Aufbereitung haben sich Natriumhypochlorid aufgrund seiner gewebsauflösenden und antibakteriellen Eigenschaften sowie Kochsalz als Abschlussspülung bewährt. Nach Trocknung des Kanalsystems mit Papierspitzen wird im Idealfall eine resorbierbare Kalziumhydroxid-Jodoform-Paste (zum Beispiel Vitapex, Neo Dental International Inc, Kanada) mit leichtem Druck eingebracht und der Zahn nach Anfertigung eines Röntgenkontrollbilds mit einer Krone versorgt [AAPD, 2017]. Die Wurzelfüllung des Michzahns wird zumeist zum Erhalt der Oberkieferfrontzähne durchgeführt (Abbildung 8). Aber auch im Seitenzahnbereich ist dieser Eingriff sinnvoll, vor allem bei sehr jungen Kindern, bei denen ein frühzeitiger Zahnverlust vermieden werden soll (Abbildung 9).


Kinderkrone als langlebige Restauration
Da die Füllungstherapie im Milchgebiss sehr schnell an ihre Grenzen stößt und bei nicht adäquaten Restaurationsdefekten das Risiko eines Füllungsverlusts oder einer Sekundärkaries (Abbildung 10) besteht [Van Waes, 1993], stellt die konfektionierte Kinderkrone in vielen Fällen die einzige Möglichkeit zum Zahnerhalt dar.
Die wichtigsten Indikationen für Milchzahnkronen sind die umfangreiche Glattflächenkaries, mehrflächiger Kariesbefall, floride Karies, endodontisch behandelte Zähne, Anomalien der Zahnform und -struktur und der Erhalt des mesio-distalen Kronendurchmessers [Schulte, 1999]. Die wohl am ältesten und am weitesten verbreitete Variante ist die konfektionierte Stahlkrone für den Molarenbereich (Abbildung 11). Nach erfolgter Exkavation, eventuell durchgeführter endodontischer Maßnahme und Aufbaufüllung mittels Glasionomerzement erfolgt die Kronenpräparation. Hierfür wird der Zahn okklusal um circa 1,5 mm reduziert. Die Kontaktpunkte werden mesial und distal gelöst, die Approximalflächen stufenlos präpariert und anschließend alle Übergänge abgerundet. Die bukkal und oral gelegenen zervikalen Schmelzwülste werden nicht beschliffen, da durch diese der gewünschte Schnappeffekt erzielt wird.
Die einzugliedernde Krone sollte die mesio-distale Breite des ursprünglichen Zahns wahren und kann beispielsweise mit einem Glasionomerzement befestigt werden. Dabei können die auftretenden Zementüberschüsse noch im flüssigen Zustand mit der Multifunktionsspritze entfernt werden. Leichte Okklusionsunterschiede nivellieren sich innerhalb weniger Tage und anfängliche Spannungen direkt nach der Eingliederung oder Gingivareizungen legen sich schnell, so dass die Krone bei den Kindern gute Akzeptanz findet. Mit etwas Übung und guter Patientencompliance beträgt der Zeitaufwand für die Anfertigung einer Krone maximal zehn Minuten. Eine allgemeinzahnärztliche Praxis sollte diese Versorgungsoption in Kombination mit der Vitalamputation beherrschen, da ein Großteil der Seitenzahnkaries auf diese Art und Weise erfolgreich behandelt werden kann und der Materialaufwand gering ist. Dadurch, dass der zweite Milchmolar oft bis zum elften Lebensjahr im Mund verweilt, stellt die Stahlkrone für diesen Zahn die dauerhafteste Restauration im Milchgebiss dar. Eine Füllung im Milchzahn würde kaum acht Jahre Bestand haben.
Da für viele Eltern die Ästhetik eine zunehmend größere Rolle spielt, haben in den vergangenen Jahren vorgefertigte pädiatrische Zirkoniakronen (NuSmile, USA), für den Front- und Seitenzahnbereich den Dentalmarkt erobert [Waggoner, 2015]. Somit gelingt es auch, die von der Flaschenkaries geschädigten Frontzähne zu erhalten und dem Kind wieder ein strahlendes Lächeln zu schenken (Abbildung 12). Die Anpassung der Zirkoniakronen ist invasiver und zeitaufwendiger als die von Stahlkronen und der Materialaufwand ist deutlich höher. Dadurch ist diese Form der Versorgung mit Privatkosten für die Patienteneltern verbunden. Vermutlich wird diese Therapieoption deshalb vorrangig von spezialisierten Kollegen angeboten.

Maßnahmen bei Zahnverlust
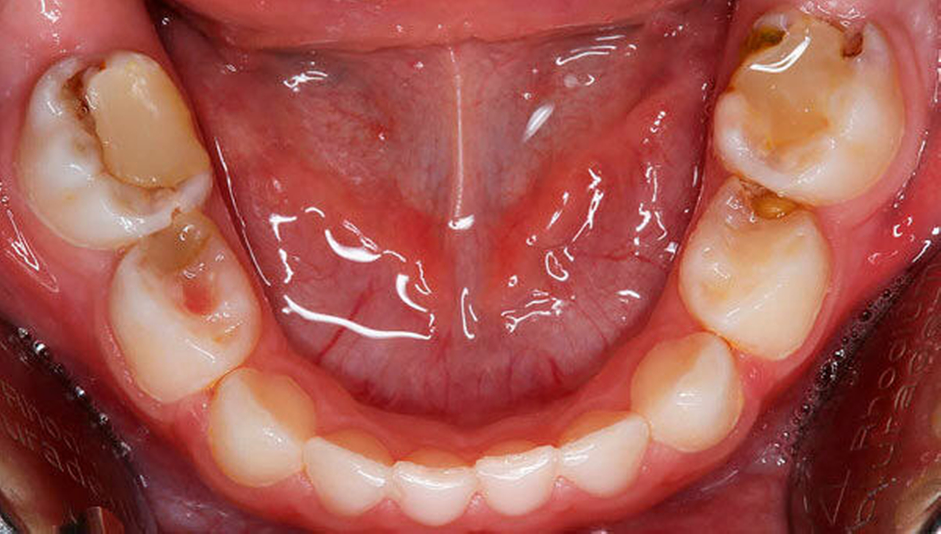
Auch wenn die dargestellten Optionen zum Zahnerhalt im Milchgebiss vielfältig erscheinen, gibt es Situationen, die eine Extraktion erfordern. Die häufigsten Gründe zur Zahnentfernung sind periapikale Prozesse mit Schwellungen im Bereich der Weichteile, tiefe kariöse, nicht mehr restaurierbare Defekte oder Schmerzen, die aufgrund umfangreicher Zerstörung auftreten. Auch in diesem Zusammenhang gibt die klinische und röntgenologische Diagnostik wichtige Hinweise (Abbildung 13).
Da die Milchzähne neben der Kau- und der Abbeißfunktion auch als Platzhalter für die bleibende Dentition dienen, ästhetische beziehungsweise psychosoziale Aspekte erfüllen und auch für die Sprach- und die Kieferentwicklung von Bedeutung sind, können beim frühzeitigen Milchzahnverlust Lückenhalter oder Kinderprothesen angezeigt sein. Der frühzeitige Milchzahnverlust ist definiert als ein Zahnverlust mindestens ein Jahr vor der physiologischen Exfoliation und Eruption des bleibenden Zahns. Allgemein ist der Verlust der Frontzähne vom Verlust der Seitenzähne abzugrenzen. Wenn Milchmolaren gezogen werden müssen, ist die Eingliederung eines herausnehmbaren oder festsitzenden Platzhalters oftmals indiziert [Krämer, 2012]. Dies ist vor allem dann der Fall, wenn Mesialisierungen der nachfolgenden Zähne drohen und dadurch ein Engstand oder ein Verlust der Stützzone zu erwarten ist.
Da die Compliance bei Kleinkindern für eine lose Apparatur nur in den wenigsten Fällen ausreicht, gibt es mittlerweile festsitzende Sofortplatzhaltersysteme. Diese können nach der Extraktion innerhalb von 15 Minuten angepasst werden, wie zum Beispiel die Platzhalter der Firma Denovo (Denovo Dental, USA) für Einzelzahnlücken. Dabei handelt es sich entweder um ein „Band & Loop“ (Abbildung 14) oder einen „Distal Shoe“ (Abbildung 15). Nach Auswahl und Anpassung des entsprechenden Molarenbands am Nachbarzahn wird eine Metallschlaufe in die Ösen am Band eingeführt, auf Lückenbreite gebracht und mithilfe einer speziellen Zange an den Ösen fixiert. Anschließend wird der gesamte Platzhalter, beispielsweise mit einem lichthärtenden Glasionomerzement, eingesetzt. Vor der Eingliederung des Distal Shoe sollte ein Röntgenbild angefertigt werden, um den Sitz des Platzhalters in der Alveole zu kontrollieren und gegebenenfalls zu korrigieren (Abbildung 15b).
Die Oberkiefereckzähne fungieren als Distanzhalter zwischen 52 und 62. Somit kommt es bei einem Verlust der Oberkieferschneidezähne zu keiner Lückeneinengung. Um jedoch die phonetischen Funktionen zu bewahren und die soziale Akzeptanz des Patienten zu unterstützen, kann eine festsitzende ästhetische Lückenversorgung (FÄL, Abbildung 16) oder eine herausnehmbare Variante (HÄL) angefertigt werden. Wenn sowohl die Front- als auch die Seitenzähne fehlen, können partielle Kinderprothesen bis hin zur Totalprothese angefertigt werden. Die zuletzt genannten Optionen werden nur der Vollständigkeit halber aufgeführt und nicht näher beschrieben. Sie sollen aufzeigen, dass auch bei Zahnverlust diverse Versorgungsmöglichkeiten zur Verfügung stehen, über die der Generalist umfassend informiert sein sollte, um die Eltern aufzuklären, entsprechende Therapien selbst durchzuführen oder bei Bedarf an einen Spezialisten zu überweisen.
Dr. Dr. Simone Ulbricht, M.A.
Leitende Zahnärztin Kinderzahnheilkunde und Ästhetische Zahnheilkunde
Akademie für Zahnärztliche Fortbildung Karlsruhe
Lorenzstr. 7, 76135 Karlsruhe
simone_ulbricht@za-karlsruhe.de
Fazit für die Praxis
Bei der Behandlung von kariösen Milchzähnen ist die solide klinische und röntgenologische Diagnostik unentbehrlich.
Für die allgemeinzahnärztliche Praxis besteht die Option, mit wenig Materialaufwand die Techniken der Vitalamputation und der Stahlkrone zu etablieren, da die Füllungstherapie sehr schnell an ihre Grenzen stößt.
Technik- und materialsensitive Vorgänge wie Wurzelfüllungen, Zirkoniakronen oder die Versorgung nach frühzeitigem Zahnverlust wird es hingegen überwiegend in spezialisierten Praxen geben.
Trotzdem ist eine genaue Kenntnis der Behandlungsoptionen wichtig, um einzuschätzen, was in der eigenen Praxis angeboten werden kann und wann die Überweisung zum Kinderzahnarzt erfolgen soll.
Eine Nichtbehandlung / falsche Behandlung einer Milchzahnkaries birgt die Gefahr einer akuten Abszedierung und der Einschränkung der Lebensqualität des Kindes [Pine et al., 2006]. Dies sollte keinesfalls in Kauf genommen werden, da mit modernen Behandlungsmethoden solche Risiken nahezu ausgeschlossen werden können.
Literaturliste
American Academy of Pediatric Dentistry (AAPD). Pulp therapy for primary and immature permanent teeth. Pediatr Dent 2017; 39: 325-333.
Fuks AB. Current concepts in vital primary pulp therapy. Eur J Paediatr Dent 2002; 3: 115–120.
Fuks AB. Pulp therapy for the primary dentition. In: Pinkham JR, Casamassimo PS, Fields HW, Mc Tigue DJ, Nowak AJ. Pediatric Dentistry. Infancy through Adolescence. 2005, 4. Auflage. Elsevier-Verlag. (S. 343 / S. 385)
Fuks AB. Vital pulp therapy with new materials for primary teeth: New directions and treatment perspectives. Pediatr Dent 2008; 30: 211-219.Krämer N. Zur Indikation von Lückenhaltern in der Kinderzahnheilkunde. Oralprophylaxe & Kinderzahnheilkunde 2012; 34: 102-103.
Pine CM, Harris RV, Burnside G, Merrett MCW. An investigation of the relationship between untreated decayed teeth and dental sepsis in 5-year-old children. Br Dent J (2006); 200: 45-7.
Schulte, A. Konfektionierte Kronen im Milchgebiss. Schweiz Monatsschr Zahnmed 1999; 109: 242-254.
Seale NS, Coll JA. Vital pulp therapy for the primary dentition. General Dentistry 2010; 58: 194-200.
Simancas-Pallares MA, Díaz-Caballero AJ,Luna-Ricardo LM: Mineral trioxide aggregate in primary teeth pulpotomy. A systematic literature review. Med Oral Patol Oral Cir Bucal 2010; 15: 942-946.
Van Waes HJM. Füllungstherapie kariöser Milchmolaren: Materialien und Methoden. Schweiz Monatsschr Zahnmed 1993; 103: 947-957.
Van Waes HJM, Steffen R. Die Pulpotomie in der Milchzahnendodontie. Das Vorgehen, die Materialien und die besondere Rolle des Portland-Zements. Endodontie Journal 2009; 4: 20-25.
Van Waes HJM, Stöckli PW. Kinderzahnmedizin, Farbatlanten der Zahnmedizin. Thieme Verlag Stuttgart.2001 (S. 213 / S. 64)Waggoner WF Restoring primary anterior teeth: updated for 2014. Pediatr Dent 2015; 37: 163-170.
Waterhouse PJ, Nunn JH, Whitworth JM, Soames JV: Primary molar pulp therapy - histological evaluation of failure. Int J Paediatr Dent 2000; 10: 313-321. (S. 819f)
Waterhouse PJ, Whitworth JM, Camp JH, Fuks AB. Pediatric Endodontics: Endodontic treatment for the primary and young permanent dentition. In: Hargreaves KM, Cohen S. Cohen`s Pathways of the pulp. 2011, 10. Auflage. Mosby-Verlag.















