Zentrales Riesenzellgranulom des Unterkiefers
Vor sechs Jahren wurde bei dem damals gesunden und beschwerdefreien zehn‧jährigen Patienten im Zuge einer kiefer‧orthopädischen Routineuntersuchung mittels Orthopantomogramm eine unklare Raumforderung im aufsteigenden Ast des Unterkiefers linksseitig festgestellt. Es folgten dreidimensionale Aufnahmen mittels CT und MRT. Beide zeigten eine Auftreibung des Knochens mit Perforation der äußeren Kortikalis. In Intubationsnarkose wurde von der unklaren Raumforderung eine Probebiopsie entnommen. Das histopathologische Gutachten beschrieb ein ossifizierendes Fibrom des Kiefers.
Das ossifizierende Fibrom zählt zu den gutartigen odontogenen Tumoren, präsentiert sich als fibro-ossäre Läsion und ist durch ein langsam progredientes Wachstum, das unbehandelt sogar zu Gesichtsdeformitäten führen kann, gekennzeichnet. In 90 Prozent der Fälle entwickelt sich dieser Tumor bei jungen Erwachsenen im Unterkiefer. Diese Tumoren bleiben lange asymptomatisch, müssen jedoch wegen ihres nicht stag‧nierenden Wachstums operativ entfernt werden [Knochentumoren, 2011].
Da in der Literatur gelegentliche Spontan‧remissionen ossifzierender Fibrome im Jugend‧alter beschrieben wurden, wurde zunächst auf die weitere chirurgische Therapie verzichtet. Vereinbart wurden engmaschige, regelmäßige Verlaufskontrollen. Dabei zeigten sich bereits beim klinisch symptomlosen Befund zunehmende knöcherne Regenerationszeichen im OPG in der Region des linken aufsteigenden Unterkieferastes.
Sechs Jahre vergingen, bis erneut ein kieferorthopädischer Kollege im Zuge seiner Planung bei multiplen persistierenden Milchzähnen auf die radiologisch auffällige Raumforderung im linken Unterkieferast stieß (OPG). Erneut wies der nun 16-Jährige keinerlei Symptome oder Beschwerden auf.
Die Computertomografie zeigte im linken Unterkieferwinkel eine im Ausmaß von 4,2 cm x 1,3 cm große, septierte Raumforderung mit Destruktion der bukkalen und der lingualen Kortikalis.
Intraoral wie extraoral imponierten keinerlei Auffälligkeiten. Asymmetrien waren nicht ersichtlich, die Schleimhaut war intakt, die Okklusion nicht gestört, die Sensibilität des N. alveolaris inferior beidseits seitengleich und nicht beeinträchtigt. Der Patient wurde über das erhöhte Frakturrisiko eingehend aufgeklärt.
Bei bekannter histologischer Entität wurde ein einzeitiges operatives Vorgehen mit zeitgleicher Exkochleation der Raumforderung im linken Kieferwinkel sowie einer Augmentation durch ein autologes kortikospongiöses Beckenkammtransplantat festgelegt und komplikationslos durchgeführt.
Das histopathologische Bild passte jedoch nach definitiver Aufarbeitung nicht mehr zu dem vordiagnostizierten ossifizierenden Fibrom, sondern vielmehr zu einem zentralen Riesenzellgranulom. Die vorangegangene Histologie konnte jedoch nicht mehr zum Vergleich herangezogen werden. Aufgrund der Diskrepanz wurden die Proben zum DÖSAK-Referenzregister am Institut für Patho‧logie des Universitätsspitals Basel geschickt und der Parathormonspiegel des Patienten zum Ausschluss eines braunen Tumors bestimmt.
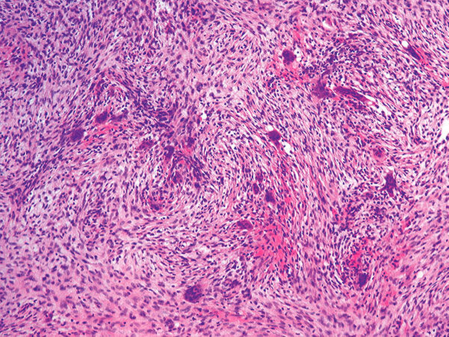
In Basel wurde die Diagnose eines zentralen Riesenzellgranuloms bestätigt. Histologisch zeigte sich die klassische Konstellation einer lobulär gegliederten und teilweise stori‧formen Proliferation monomorpher Spindel‧zellen mit eingeschlossenen und unregelmäßig verteilt gelegenen mehrkernigen Riesen‧zellen und Siderophagen (Abbildung 6) [Driemel et al., 2006]. Unter Berücksich‧tigung eines normwertigen Parathormons wurde die Diagnose eines zentralen Riesenzellgranuloms festgelegt.
Diskussion
Riesenzellgranulome betreffen bevorzugt Patienten vor dem 30. Lebensjahr. Charakteristisch sind das expansive osteolytische und häufig wabenförmige Wachstum, die etwa zwölfprozentige Neigung zu Lokal‧rezidiven und der stets benigne Verlauf. Klinisch können Lockerungen von Zähnen oder eine schmerzlose Auftreibung des Kiefer‧knochens beobachtet werden, Prä‧dilektionsstelle ist der vordere Unterkiefer [Driemel et al., 2006]. Röntgenologisch erscheint die Kompakta ausgedünnt und auf‧gelockert, uni- und multilokuläre Osteolysen dominieren das radiologische Erscheinungsbild [Stavropoulos et al., 2002].
Bei aggressivem Verlauf (schnelles Wachstum, Rezidive) stehen bei Verdacht auf ein Rezidiv nicht nur chirurgische Therapie‧optionen, sondern auch die direkt intra‧läsionale Injektion von Kalzitonin oder Gluko‧kortikoiden sowie das subkutane Einspritzen von alpha-Interferon zur Wahl [Pogrel, 2003; Regezi, 2002]. Die klinischen Langzeitergebnisse zur Verwendung von Antiresorptiva sind zum gegenwärtigen Zeitpunkt noch ausstehend [de Lange et al., 2007].
Fazit für die Praxis
Die Diagnosestellung erfolgt unter Berück‧sichtigung von Bildgebung und histopathologischem Befund und sollte bei unklaren Fällen an ein Referenzzentrum weitergeleitet werden.
Die chirurgische Therapie mit Exkochleation der Raumforderung und zeitgleicher Augmentation mit autologem Knochen gilt als Goldstandard.
Radiologische Verlaufskontrollen sind in regelmäßigen Intervallen indiziert.
Bei Rezidiven kann alternativ zur operativen Therapie eine medikamentöse Injektion von Kalzitonin oder Glukokortikoiden in die Raumforderung erfolgen.
Dr. Dr. Nora Lautner
Klinik und Poliklinik für Mund-, Kiefer- und Gesichtschirurgie
Universitätsklinikum RWTH Aachen
Pauwelsstr. 30, 52074 Aachen
nlautner@ukaachen.de
Univ.-Prof. Dr. Dr. Frank Hölzle
Klinik und Poliklinik für Mund-, Kiefer- und Gesichtschirurgie
Universitätsklinikum RWTH Aachen
Dimitar Gruichev
Klinik und Poliklinik für Mund-, Kiefer- und Gesichtschirurgie
Universitätsklinikum RWTH Aachen
Univ.-Prof. Dr. Daniel Baumhoer
DÖSAK Referenzregister
Pathologie Universitätsspital Basel
Schönbeinstr. 40CH-4031 Basel
PD Dr. Dr. Ali Modabber
Klinik und Poliklinik für Mund-, Kiefer- und Gesichtschirurgie
Universitätsklinikum RWTH Aachen
Literaturverzeichnis
1. Knochentumoren mit Kiefertumoren: Klinik · Radiologie · Pathologie. Jürgen Freyschmidt, Helmut Osertag, Gernot Jundt (Springer Verlag, 2011) 1027-1029.
2. Driemel, O., Staudenmaier, R., Hertel, K., Pistner, H. & Kosmehl, H. Zentrales Riesenzellgranulom des Unterkiefers: Begriffsbestimmung und Differenzialdiagnose. HNO 54, 705–708 (2006).
3. Stavropoulos, F. & Katz, J. Central giant cell granulomas: a systematic review of the radiographic characteristics with the addition of 20 new cases. Dentomaxillofacial Radiol. 31, 213–217 (2002).
4. Pogrel, M. Calcitonin therapy for central giant cell granuloma. J. Oral Maxillofac. Surg. 61, 649–653 (2003).
5. Regezi, J. A. Odontogenic Cysts, Odontogenic Tumors, Fibroosseous and Giant Cell Lesions of the Jaws. Mod. Pathol. 15, 331–341 (2002).
6. de Lange, J., van den Akker, H. P. & van den Berg, H. Central giant cell granuloma of the jaw: a review of the literature with emphasis on therapy options. Oral Surg. Oral Med. Oral Pathol. Oral Radiol. Endodontology 104, 603–615 (2007).












