Periorbitaler Abszess nach Explantation eines Zygoma-Implantats
Ein 50-jähriger männlicher Patient stellte sich mit Überweisung aus der Klinik für Augenheilkunde in unserer Notaufnahme vor. Grund der Vorstellung war eine seit fünf Tagen bestehende, zunehmende Schwellung periorbital und an der Wange rechts. Ein Trauma war nicht vorausgegangen. Vor einer Woche hatte sich der Patient bei einem niedergelassenen Mund-, Kiefer- und Gesichtschirurgen ein vor über zehn Jahren inseriertes Implantat aus dem rechten Oberkiefer entfernen lassen. Als er nach der Operation geschnäuzt hatte, war die Schwellung periorbital erstmalig aufgetreten. Zwei Tage später kamen eine starke Diplopie und eine eitrig phlegmonöse Infektion der Orbita hinzu. Wegen dieser Beschwerdesymptomatik stellte sich der Patient in der hiesigen Augenklinik vor.
Anamnestisch war der Patient unauffällig. Allergien oder eine Dauermedikation bestanden nicht. Der Patient gab an, circa 30 Zigaretten am Tag zu rauchen.
Befunde:
Klinisch zeigte sich ein altersentsprechender Allgemein- und Ernährungszustand. Die Symmetrie der Stirn war unauffällig. Im Bereich des rechten Jochbeins zeigte sich eine deutlich sichtbare Schwellung und Rötung. Die Pupillen waren seitengleich und der Visus rechts bei bekannter Amblyopie war leicht reduziert. Rechtsseitig zeigte sich eine Protusio Bulbi mit leichtem Lagophthalmus. Der Patient hatte Motilitätseinschränkungen in jede Richtung mit Doppelbilderwahrnehmung sowie einen erhöhten Augeninnendruck rechts, besonders beim Aufblick.
Augeninnendruck: rechts: 20 mmHg / bei Aufblick 27 mmHg, links: 15 mmHg
Latero-infraorbital bestand eine circa 1,5 cm × 1 cm große, fluktuierende Schwellung. An dieser Stelle war der Orbitarand nicht palpabel. Der Nervenaustrittspunkt des Nervus infraorbitalis rechts war druckdolent. Die Mundöffnung war nicht eingeschränkt, zervikal bestanden keine Veränderungen oder palpable Lymphknoten.
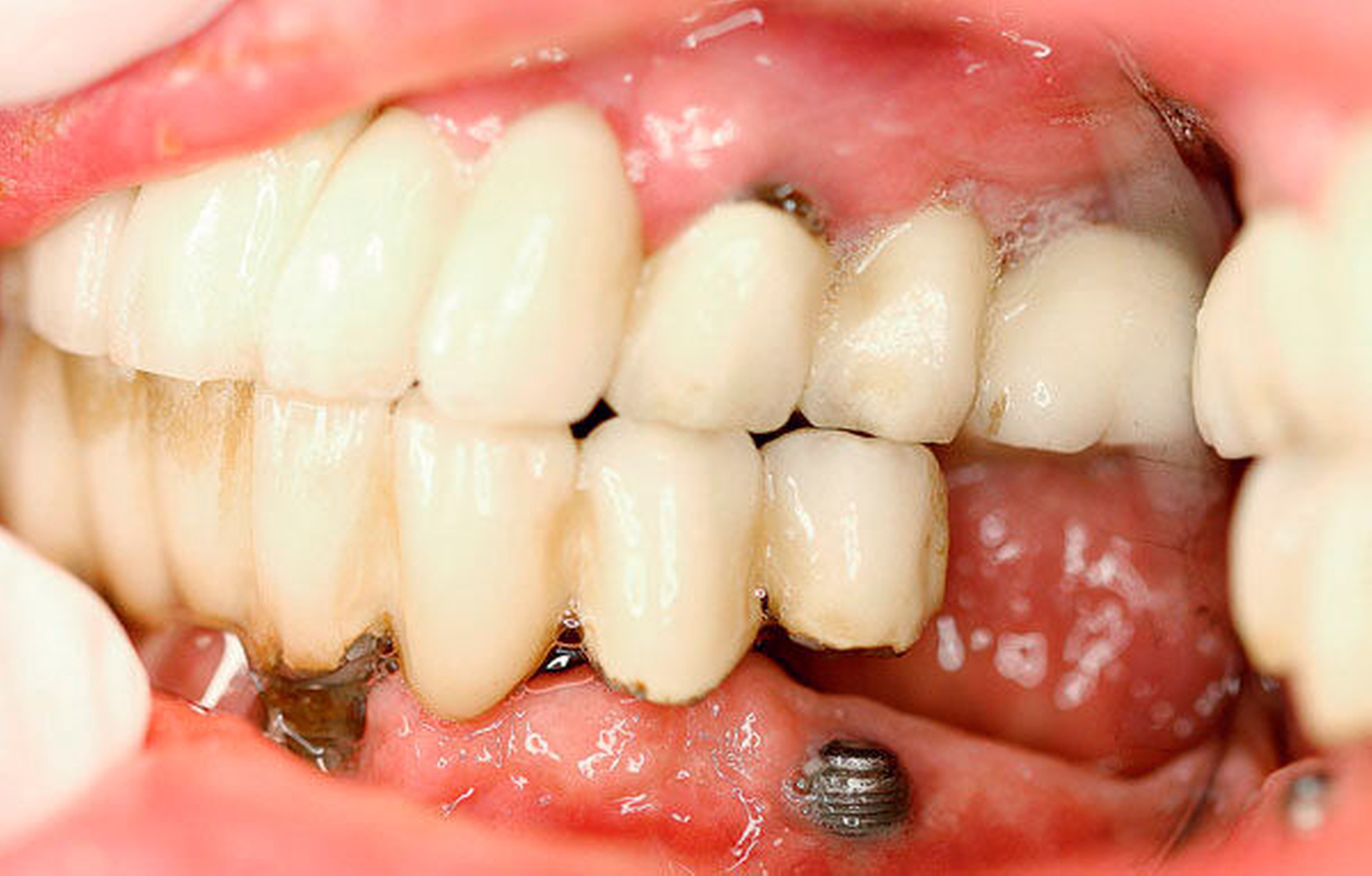
Intraoral zeigten sich implantatgetragene Kronen-Brückenkonstruktionen im Ober- und im Unterkiefer. Diese waren initial sowohl im Ober- als auch im Unterkiefer auf jeweils vier Implantaten befestigt. Im Bereich des rechten Oberkiefers zeigte sich in Regio 16 eine Mund-Antrum-Verbindung, die offenbar nach dem Versuch einer primären plastischen Deckung weiterbestand. Es bestand eine breite Dehiszenz bis ins Kieferhöhlenlumen hinein. An allen Implantaten zeigte sich eine chronische Periimplantitis mit ausgeprägtem Knochenabbau und freiliegenden oberen Gewindegängen.
Das Aufnahmelabor zeigte ein erhöhtes C-Reaktives Protein (40 mg/l). Ansonsten bestanden keine Auffälligkeiten der Laborparameter.
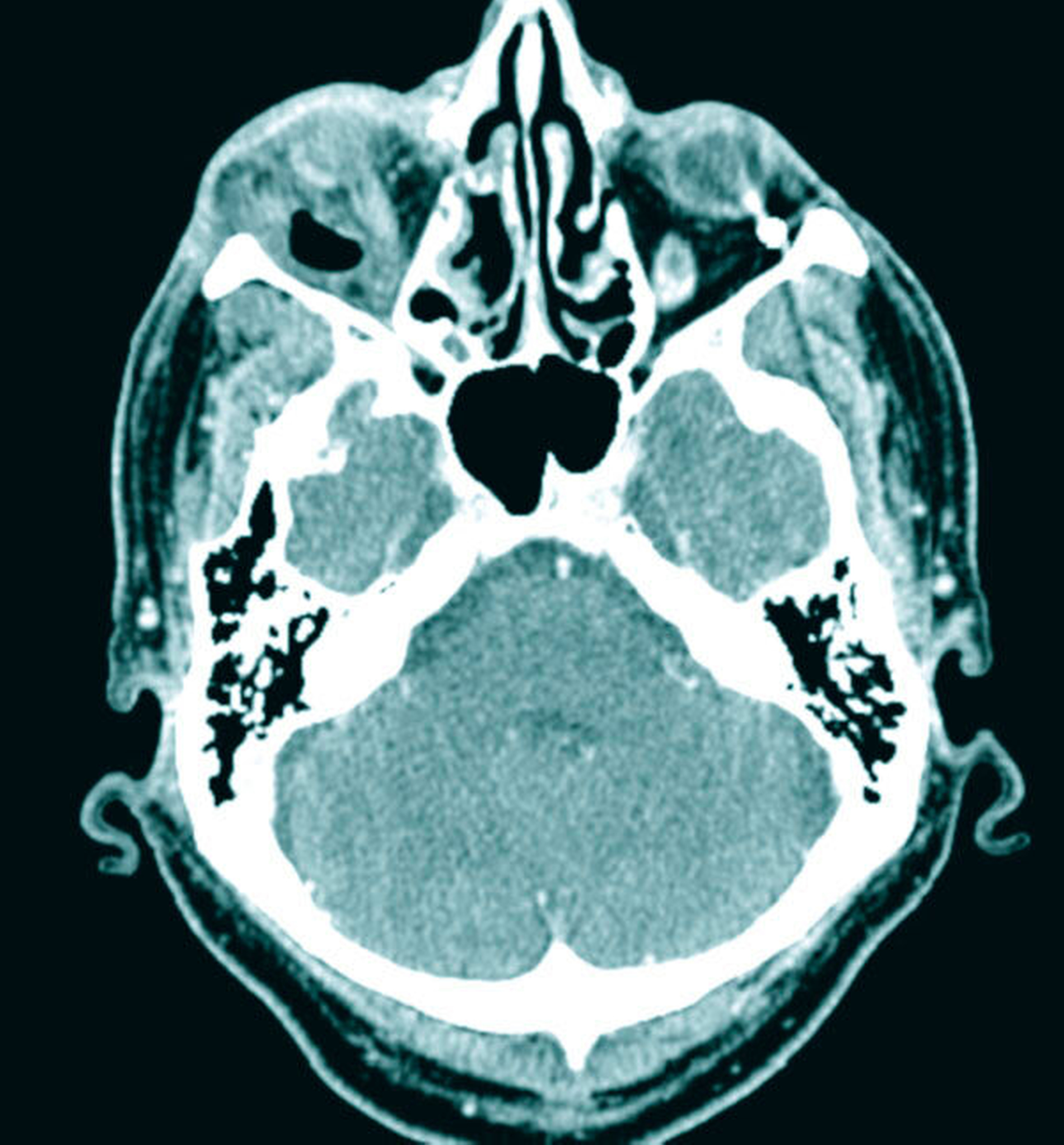
Wegen der unklaren Genese der akuten entzündlichen Veränderungen in der Orbital- und in der Periorbitalregion wurde eine CT- Diagnostik des Schädels mit Kontrastmittelgabe zum Ausschluss einer akuten retrobulbären Raumforderung veranlasst. Hierbei fand sich ein hochgradiger Verdacht auf eine Abszedierung in der rechten Orbita mit dem klinischen Bild von Protrusio bulbi und entzündlicher Mitreaktion der Augenmuskeln M. rectus lateralis und M. rectus inferior. Diese Veränderungen waren auch der Grund für die Weichteilschwellung am Unterlid. Ein intraorbitales Hämatom ließ sich ausschließen.
Zur weiteren Abklärung erfolgte nach zweidimensionaler Beurteilung die dreidimensionale Rekonstruktion der CT-Daten. Hierbei kamen die röntgenopaken Implantate im Kiefer sehr gut zur Darstellung und konnten in Bezug auf deren anatomische Lage beurteilt werden. Im atrophen Ober- und Unterkiefer zeigte sich ein mittelgradiger horizontaler Knochenabbau mit vertikalen Einbrüchen an allen Implantaten. In der rechten Maxilla regio 016 bestand nach Explantation eines rechtsseitigen Zygoma-Implantats ein circa 2 cm großer Defekt, der, aufgrund der verdrängten Weichgewebe und Lufteinschlüsse sicher bis in die mittlere, zentrale Orbita reichte.
Als auffälliger Nebenbefund fand sich auch auf der linken Seite ein 60-mm-Zygoma-Implantat, das 17 mm in die linke Augenhöhle ragte. Neu aufgetretene Veränderungen oder Behinderungen in diesem Bereich waren vom Patienten subjektiv nicht wahrgenommen worden, die Implantation selbst lag bereits zehn Jahre zurück.
Diagnosen:
Infraorbitaler beziehungsweise retrobulbärer Abszess rechts mit Motilitätsstörung des rechten Bulbus,
Verbindung von Kieferhöhle und Orbita und durchgehende Mund-Antrum-Verbindung rechts bei Zustand nach Entfernung des Zygoma-Implantats,
Generalisierte Periimplantitis,
Fehlpositionierung eines Zygoma-Implantats in der linken Orbita.Nach eingehender klinischer, radiologischer sowie laborchemischer Untersuchung wurde der Verdacht auf einen bakteriellen, infraorbitalen und retrobulbären Abszess gestellt.
Therapie:
Bei bereits reduziertem Visus und Einschränkung der Bulbusmotilität erfolgte nach ausführlicher Aufklärung des Patienten notfallmäßig die Inzision und Entlastung des Abszesses. Der Eingriff wurde noch am Aufnahmetag in der Notaufnahme unserer Mund-, Kiefer- und Gesichtschirurgischen Ambulanz in Lokalanästhesie von infraorbital anterior durchgeführt. Vom abfließenden Eiter wurde ein Abstrich genommen und zur mikrobiologischen Untersuchung geschickt. In den Inzisionsbereich wurde eine circa 4 cm lange, passive Kunststoffdrainage bis in die mittlere Orbita eingelegt und mit einer Naht fixiert. Der Patient wurde zur Überwachung und Weiterbehandlung stationär aufgenommen.
Im Rahmen des stationären Aufenthalts erfolgte eine hochdosierte intravenöse antibiotische Therapie mit 3 x 3 g Unacid sowie eine einmalige Cortisongabe mit 500 mg Soludecortin intravenös, um ein kurzfristiges Abschwellen und eine schnelle Entlastung des Bulbus zu erzielen.
Die mikrobiologische Beurteilung ergab den Nachweis von Streptococcus constellatus. Eine Anpassung der Antibiose nach Antibiogramm war somit nicht notwendig.
Unter dieser Therapie zeigte sich eine deutliche Besserung der Symptomatik im Verlauf der folgenden drei Tage, so dass die passive Kunststoffdrainage nach drei Tagen entfernt werden konnte.
Die bestehende Mund-Antrum-Verbindung wurde nach Rücksprache mit dem Patienten am vierten stationären Tag in Lokalanästhesie geschlossen. Im Einzelnen wurden die Wundränder angefrischt, der Bichat‘sche Fettkörper dargestellt und mit Vicryl eingenäht, bevor der abschließende plastische Verschluss mit horizontalem Verschiebelappen und Periostschlitzung durchgeführt werden konnte.
Nach der Entlassung in die ambulante Weiterbehandlung empfahlen wir die Fortsetzung der oralen antibiotischen Therapie mit Amoxicillin/Clavulansäure 875/125 mg dreimal täglich für weitere sieben Tage sowie flüssige/weiche Kost für zwei Wochen und Schnäuzverbot für weitere vier Wochen.
Postoperativer Verlauf:
Der postoperative Verlauf zeigte sich insgesamt regelrecht. Nach sechs Tagen stationärer Betreuung konnte der Patient entlassen werden. Die Entfernung des Nahtmaterials erfolgte am zehnten Tag postoperativ und die postoperativ durchgeführte augenärztliche Untersuchung zeigte eine nun wieder unauffällige Motilität, die Visusrehabilitation (von 0,1 auf 0,16 bei bekannter Amblyopie) sowie einen normalisierten Augeninnendruck. Auch sechs Wochen nach Erstvorstellung waren die Wundverhältnisse regelrecht.
Im Verlauf wurde mit dem Patienten über die Reevaluation der Implantate im Oberkiefer gesprochen. Die Entfernung des verbliebenen, linksseitigen Zygoma-Implantats wurde vom Patienten derzeit nicht gewünscht.
Diskussion
Der periorbitale Abszess und insbesondere die intraorbitale Phlegmone und Abszessbildung stellt immer einen Notfall dar. Nicht selten führt der akute Druckanstieg in der Orbita zu Exophthalmus, Augenmotilitätsverlust und schlimmstenfalls zu Visusverlust und Blindheit. Am häufigsten treten diese Entzündungen im Kindesalter auf. Hier kann es bei ausgeprägten Nasennebenhöhlenentzündungen zu aufsteigenden Entzündungen um das Auge bis ins Gehirn mit vitaler Gefährdung führen [Caruso et al., 2006].
Im Erwachsenenalter kommt es weitaus seltener zu periorbitalen Entzündungen. Die gut dokumentierten Einzelfälle sind vorwiegend odontogener und traumatogener Ursache, wie beispielsweise Pfählungsverletzungen [Howe et al., 2004].
Ebenfalls gut dokumentiert sind einzelne Fälle von odontogenen Entzündungen, zum Beispiel nach Wurzelkanalbehandlung am Molaren [Koch et al., 2006], ausgehend von einer radikulären Zyste an Prämolaren [Procacci et al., 2017; Vijayan et al., 2012] sowie weiteren dentogenen Infektionen [Bullock et al., 1985]. Einen weiteren dokumentierten Fall nach dentaler Implantation beschrieben Griffa et al. Sie „verloren“ ein Implantat in die rechte Orbita und konnten es anschließend endoskopisch über die Mund-Antrum-Verbindung bergen [Griffa et al., 2010].
Die Diagnose der orbitalen Infekte wird nach der klinischen Untersuchung meist mit einer 3-D-Bildgebung gestellt [Howe et al., 2004]. Das Keimspektrum wird durch Bakterien der oberen Atemwege und der Mundhöhle dominiert. Im vorliegenden Fall konnte Streptococcus constellatus nachgewiesen werden. Diese sind typische Vertreter der beschriebenen Gruppe [Whiley et al., 1992]. Als Antibiose der Wahl gelten hier zur Abdeckung eines breiten Spektrums Aminopenicilline mit Betalaktamase-Inhibitoren [Quinn et al., 1994].
Die Therapie ist neben der hochdosierten intravenösen antibiotischen Therapie immer die schnelle chirurgische Entlastung [Gans et al., 1974]. Die umgehende chirurgische Entlastung kann Komplikationen verhindern und ist im Zweifelsfall auch vor abgeschlossener diagnostischer Bildgebung indiziert [Howe et al., 2004]. Sinnvoll ist in solchen dringlichen Notfällen stets ein schnelles und effektives interdisziplinäres Vorgehen mit den Kollegen der HNO-Heilkunde zur Beurteilung der Nasennebenhöhlen, der Augenheilkunde zur optimalen Behandlung und Wiederherstellung der okulären Strukturen und der Neurochirurgie bei Beteiligung der Schädelbasis [Howe et al., 2004].
Im vorliegenden Fall stellte sich der 50-jährige Patient elf Jahre nach implantatprothetischer Versorgung nach dem All-on-4 Konzept vor. Das Konzept „All-on-4“ mit einer festsitzenden Versorgung ist gut dokumentiert [Balshi et al., 2014]. Malo et al. konnten den Erfolg und die Ergebnisse über zehn Jahre verfolgen und dokumentieren [Malo et al., 2011]. Die Datenlage scheint so gut, dass das beschriebene Konzept manchen Autoren zufolge einer aufwendigen Sinuslift-Behandlung vorzuziehen ist [Asawa et al., 2015]. Bei hoch atrophierten Kiefern ist ein extralanges Zygoma-Implantat eine gute Option und kann gute Ergebnisse liefern [Brånemark et al., 2004].
Das Problem beim Einbringen der Zygoma-Implantate ist die korrekte Positionierung in den Jochbeinkörper. Hier kann es besonders beim liegenden Patienten leicht zu einer Via falsa kommen. Im vorliegenden Fall wurden die 60 mm langen Zygoma-Implantate statt in den Jochbeinkörper beidseits in die Orbita gesetzt. Das Problem der möglichen Fehlpositionierung langer Fixturen und von Zygoma-Implantaten wurde früh erkannt und es wurden hierfür Navigationshilfen entwickelt [Stella et al., 2000]. Schiroli et al. beschrieben 2011 eine Methode zur Computer-navigierten Insertion dieser Implantate. Sie wiesen auf der Basis ihrer Erfahrungen mit 25 Implantaten darauf hin, dass Komplikationen auch mit der Navigation nicht vollständig ausgeschlossen werden können [Schiroli et al., 2011].
Die Einbringung speziell von überlangen dentalen Verankerungselementen im schwierigen Situs oder in anatomisch anspruchsvollen Regionen geht also mit einem erhöhten Risikoprofil einher. Gerade in diesen Fällen ist der Einsatz von adäquaten Hilfsmitteln wie der schablonengesteuerten Implantation oder der Navigation sinnvoll und gegebenenfalls bei schlechter Übersicht auch notwendig. Die Planung des Eingriffs, das operative Vorgehen und die postoperative Überwachung und Kontrolle des Patienten sollten dabei einem strikten Qualitätsmanagement unterliegen. Auch zum damaligen Zeitpunkt waren die Voraussetzungen und Notwendigkeiten gegeben, durch eine dreidimensionale Planung den operativen Prozess an die individuelle Patientensituation anzupassen, um Risiken zu senken und Komplikationen zu vermeiden. Nicht zuletzt hätte eine postoperative radiologische Kontrolle die kompromittierte Implantatposition zweifelsfrei dargestellt. Es ist sicher auch der inerten Eigenschaft des Titans zu verdanken, dass der Patient im Verlauf von zehn Jahren keine weiteren Komplikationen erlitten hat.
Die Explantation des durch die Periimplantitis gelockerten rechten Implantats und die damit verbundene Mund-Antrum-Orbita-Verbindung verursachte die oben beschriebene Komplikation. Die mechanische Überbeanspruchung (Schnäuzen) verhalf vermutlich den Bakterien aus dem Mund in die Kieferhöhle und in die Orbita zu gelangen. Es bildete sich ein Abszess, der zu einer erheblichen Beeinträchtigung von Visus und Motilität des betroffenen Auges führte. Nach gestellter Diagnose wurde – um Zeit zu sparen – sofort in Lokalanästhesie der Abszess gespalten. Diese Maßnahme führte zum Visuserhalt [Caruso et al., 2006].
Nach erfolgter Akutversorgung wurde die Orbita-Kieferhöhlen-Verbindung zunächst belassen. Ähnlich wie bei einer Orbitabodenfraktur heilt das Periost in der Regel über den Defekt und kann diesen im Verlauf luftdicht verschließen [Deichmüller et al., 2018]. Die Mund-Antrum-Verbindung stellt jedoch eine komplexe Wundheilungsstörung in der Mund-Kiefer-Gesichtschirurgie dar. Aufgrund der kontaminierten Kieferhöhle kommt es häufig zu erschwerter Wundheilung und einem verzögertem Verlauf [Dym et al., 2012].
Der Verschluss erfolgte im entzündungsfreien Intervall. In einfachen Fällen kann der Wundverschluss des Knochendefekts mit einem einfachen Mukoperiostlappen durchgeführt werden [Visscher et al., 2010]. Im vorliegenden Fall wurde jedoch aufgrund des bereits alio loco erfolgten, frustranen Deckungsversuchs ein schichtweiser Wundverschluss mit dem Bichat´schen Fettkörper durchgeführt. Diese Methode mit zweischichtigem Verschluss stellt in der Literatur die Methode der Wahl dar und zeigt die besten Ergebnisse [Kim et al., 2017]. Im Verlauf zeigte sich nun ein regelrechter Verlauf und dem Patienten stehen die üblichen Weiterbehandlungsoptionen zur Verfügung.
Fazit
Der vorliegende Fall zeigt deutlich, dass die zunehmende Versorgung mit extendierten dentalen Implantaten und Zygoma-Implantaten zu neuen Herausforderungen der Notfallmedizin führen kann. Eine entsprechende Operationsplanung, eine postoperative Evaluation und eine regelmäßige klinische und radiologische Verlaufskontrolle sollte Grundvoraussetzung im Rahmen dieser Therapien sein.
Komplexe Implantate sollten komplex geplant werden. Zur Unterstützung der Insertion der Implantate stehen moderne dreidimensionale Verfahren zur Verfügung. Der Einsatz der Verfahren wird empfohlen, auch wenn selbst dadurch Komplikationen nicht ausgeschlossen werden können. Entsprechende postoperative Lagekontrollen sind daher verpflichtend.
Der Behandler sollte sich der möglichen Komplikationen bewusst sein und auf ein routiniertes interdisziplinäres Notfallmanagement zurückgreifen können. Auch die umfassende Aufklärung des Patienten über mögliche Risiken und Komplikationen ist unverzichtbar.
Dr. med. Dr. med. dent. Friedrich Scheerer
Klink für Mund-, Kiefer- und Gesichtschirurgie
Klinikum Dortmund gGmbH
Münsterstr. 240, 44145 Dortmund
Dietmar Abel M.Sc.
Klink für Mund-, Kiefer- und Gesichtschirurgie
Klinikum Dortmund gGmbH
Münsterstr. 240, 44145 Dortmund
Dietmar.Abel@klinikumdo.de
Dr. med. Dr. med. dent. Lars Bonitz M.Sc., FEBOMFS
Klink für Mund-, Kiefer- und Gesichtschirurgie
Klinikum Dortmund gGmbH
Münsterstr. 240, 44145 Dortmund
Prof. Dr. med. Dr. med. dent. Stefan Haßfeld
Klink für Mund-, Kiefer- und Gesichtschirurgie
Klinikum Dortmund gGmbH
Münsterstr. 240, 44145 Dortmund
Lehrstuhl für Mund-, Kiefer- und Gesichtschirurgie der Universität Witten/Herdecke
Alfred-Herrhausen-Str. 50, 58448 Witten
Grace Linardi
PD Dr. Thorsten Böker
Klinik für Augenheilkunde
Klinikum Dortmund gGmbH
Beurhausstr. 40, 44137 Dortmund
Literaturverzeichnis:
1. Caruso PA, Watkins LM, Suwansaard P, Yamamoto M, Durand ML, Romo LV, Rincon SP, Curtin HD (2006) Odonthogenic orbital inflammation: clinical an CT findings-initial observations. Radiology 239:187–194
2. Howe L, Jones NS (2004) Guidelines for the management of periorbital cellulitis/abscess. Clin Otolaryngol 29:725–728
3. Whiley RA, Beighton D, Winstanley TG, Fraser HY, Hardie JM (1992). „Streptococcus intermedius, Streptococcus constellatus, Streptococcus anginosus (the Streptococcus milleri group): Association with different body site and clinical infections“. J. Clin. Microbiol. 30: 243–244.
4. Quinn JP. Clinical significance of extended-spectrum beta-lactamases. Eur J Clin Microbiol Infect Dis 1994; 13 (Suppl 1):39-42.
5. Gans H, Sekula J, Wlodyka J (1974) Treatment of acute orbital complications. Arch Otolaryngol 100:329–332
6. Koch F, Breil P, Marroquín BB, Gawehn J, Kunkel M (2006) Abscess of the orbit arising 48 h after root canal treatment of a maxillary first molar. Int Endod J 39:657–664
7. Procacci P, Zangani A, Rossetto A, Rizzini A, Zanette G, Albanese M (2017) Odontogenic orbital abscess: a case report and review of literature. Oral Maxillofac Surg. 271-279
8. Vijayan A1, Sreejith VP, Surendran R, Ahamed G. 2012 Sep Orbital abscess arising from an odontogenic infection. J Contemp Dent Pract. 1;13(5):740-3.
9. Bullock JD, Fleishman JA (1985) The spread of odontogenic infections to the orbit: diagnosis and management. J Oral Maxillofac Surg 43:749–755
10. Griffa A1, Viterbo S, Boffano P. 2010 Jul Endoscopic-assisted removal of an intraorbital dislocated dental implant. Clin Oral Implants Res.;21(7):778-80.
11. Balshi, T.J., et al., A retrospective analysis of 800 Brånemark System implants following the All-on-Four protocol. J Prosthodont, 2014. 23(2): p. 83–8.
12. Malo, P., et al., A longitudinal study of the survival of All-on-4 implants in the mandible with up to 10 years of follow-up. J Am Dent Assoc, 2011. 142(3): p. 310–20.
13. Asawa, N., et al., Angulated implants: an alternative to bone augmentation and sinus lift procedure: systematic review. J Clin Diagn Res, 2015. 9(3): p. ZE10–3.
14. Brånemark, P.I., et al., Zygoma fixture in the management of advanced atrophy of the maxilla: technique and long-term results. Scand J Plast Reconstr Surg Hand Surg, 2004. 38(2): p. 70–85.
15. Stella, J.P. and M.R. Warner, Sinus slot technique for simplification and improved orientation of zygomaticus dental implants: a technical note. Int J Oral Maxillofac Implants, 2000. 15(6): p. 889–93.
16. Schiroli G, Angiero F, Silvestrini-Biavati A, Benedicenti S. Zygomatic implant placement with flapless computer-guided surgery: a proposed clinical protocol. J Oral Maxillofac Surg. 2011 Dec;69(12):2979-89
17. Brånemark, P.I., Tissue-Integrated Prosthesis, Osseointegration in Clinical Dentistry. 1985: Quintessenz Verlags-GmbH Berlin.
18. Deichmüller CMC, Welkoborsky HJ., Orbital traumatology. HNO. 2018 Jul 10. doi: 10.1007/s00106-018-0525-2.
19. Dym H1, Wolf JC. 2012 May Oroantral communication. Oral Maxillofac Surg Clin North Am.;24(2):239-47
20. Visscher SH, van Minnen B, Bos RR., Closure of oroantral communications: a review of the literature. J Oral Maxillofac Surg. 2010 Jun; 68(6):1384-91. doi: 10.1016/j.joms.2009.07.044.
21. Kim MK, Han W, Kim SG, The use of the buccal fat pad flap for oral reconstruction. 2017 Feb 25 Maxillofac Plast Reconstr Surg.;39(1):5



















