KFO-Therapie für parodontal erkrankte Patienten
Gerade Patienten mit fortgeschrittener Parodontitis stellen sich häufig mit vertikalen parodontalen Defekten und pathologischen Zahnwanderungen vor. Ein interdisziplinäres Vorgehen ist erforderlich, um
die parodontale Entzündung zu kontrollieren,
die Defekte regenerativ parodontalchirurgisch zu beseitigen,
die fehlstehenden Zähne kieferorthopädisch einzuordnen und zu stabilisieren
das Therapieergebnis durch eine unterstützende Parodontitistherapie langfristig zu erhalten.
Daraus ergibt sich die Notwendigkeit der präzisen Koordination der involvierten Behandler aus den Fachdisziplinen Parodontologie und Kieferorthopädie. Aus Sicht des Patienten ist darüber hinaus eine initiale Aufklärung über den zeitlichen und finanziellen Gesamtaufwand aller interdisziplinären Therapiemaßnahmen relevant.
Kieferorthopädische Befunde und Aufgaben
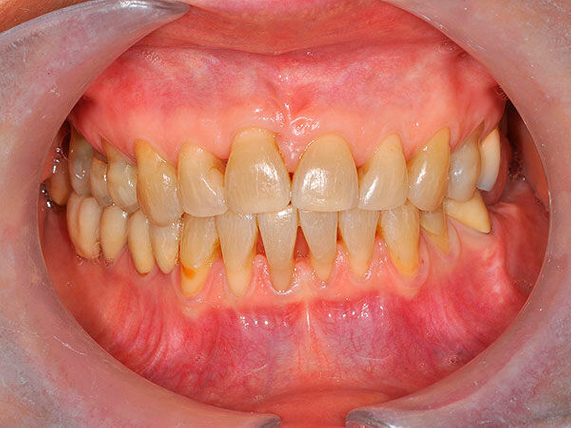
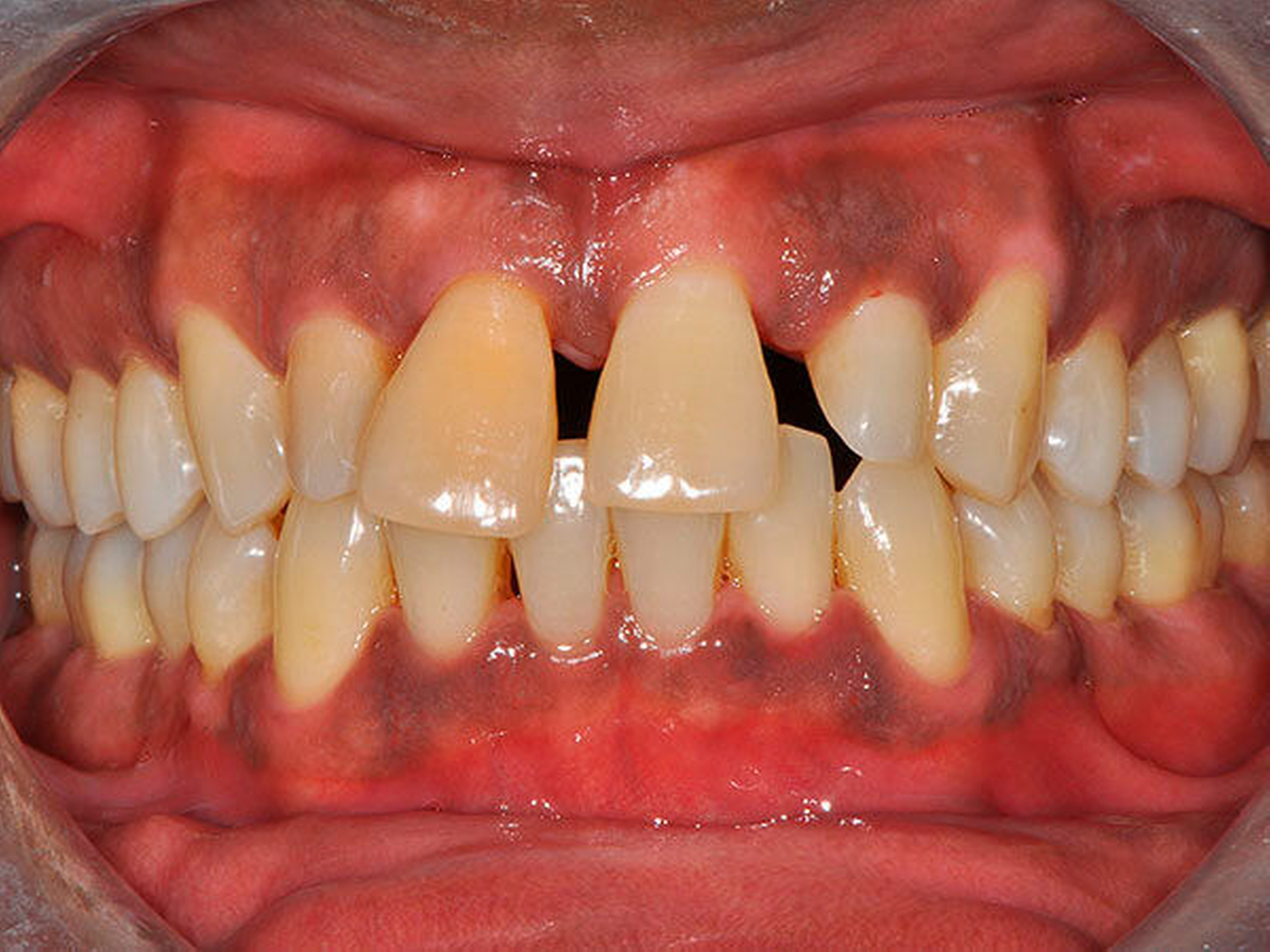
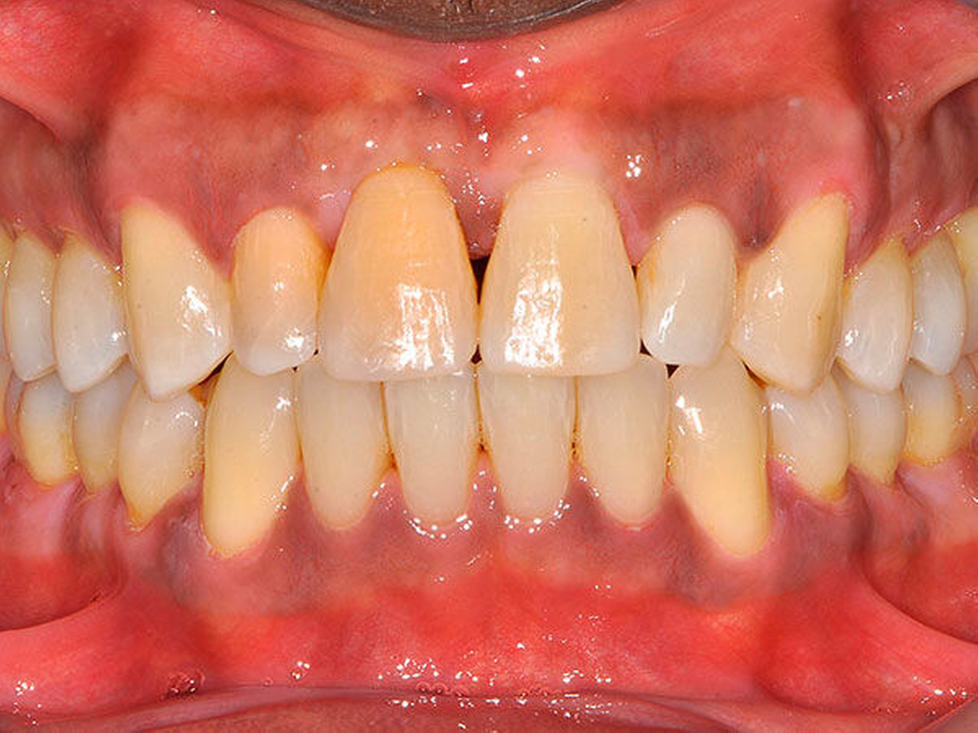
Mit dem krankheitsbedingten Verlust von Strukturen des Zahnhalteapparats als Folge einer Parodontitis ändern sich die biomechanischen Parameter der betroffenen Regionen derart, dass Zahnmigrationen entstehen können, wobei zumeist Elongationen und Lückenbildung beobachtet werden [Brunsvold, 2005; Martinez-Canut et al., 1997; Towfighi et al., 1997]. Diese Zahnstellungsänderungen sind somit ein makroskopisches Korrelat einer fortgeschrittenen Parodontitis und werden von den Patienten und deren Umfeld häufig als Symptom einer kompromittierten Gesundheit wahrgenommen (Abbildungen 1 und 2). Betroffene suchen zur Korrektur der Zahnstellung vielfach Hilfe in kieferorthopädischen Praxen und können von einer kombiniert parodontologisch-regenerativen und kieferorthopädischen Therapie profitieren (Abbildungen 3 und 4).
Abhängig von Art und Ausmaß der Zahnstellungsänderungen entwickeln sich neben Interferenzen mit den Weichgeweben traumatische Okklusionen. Zudem kann sich die parodontalchirurgische Deckung zervikaler Wurzeloberflächenanteile einzelner, räumlich erheblich elongierter Zähne mit Weichgewebstransplantaten und regenerativen Materialien als problematisch erweisen.
Nach dem aktuellen Stand der Literatur und der eigenen klinischen Erfahrung sind Intrusionen und Angulationskorrekturen im Frontzahnbereich in ihrer Häufigkeit die dominierenden Behandlungsaufgaben. Komplexere Anforderungen ergeben sich bei Überlagerungen von Parodontitis-assoziierten Zahnmigrationen mit präexistenten skelettalen Dysgnathien und Zahnstellungsanomalien.
Effekte und Risiken einer KFO-Therapie
In Anbetracht eines durch eine Parodontitis kompromittierten Zahnhalteapparats muss für eine rationale Therapie eingeschätzt werden, welche Wirkungen eine die parodontaltherapeutischen Maßnahmen ergänzende orthodontische Zahnbewegung erzielen kann, und ausgeschlossen werden, dass diese in der Gesamtbilanz schadhaft ist. In der wissenschaftlichen Literatur mit klinischem Fokus existieren neben Übersichtsarbeiten derzeit in erster Linie klinische Fallserien, Fallberichte und retrospektive Studien, die die Effekte kombiniert parodontologisch-kieferorthopädischer Behandlungen untersucht haben. Hinsichtlich der Zielparameter Sondierungstiefe (PD), klinisches Attachmentlevel (CAL) und röntgenologisch nachweisbare Gewebsregeneration wurden in der Mehrzahl vorteilhafte Effekte beschrieben, aber auch Bedenken geäußert [Roccuzzo et al., 2018; Antoun et al., 2017; Zhang et al., 2017; Zasciurinskiene et al., 2016; Jepsen et al., 2015; Cardaropoli et al., 2014; Ghezzi et al., 2013; Rotundo et al., 2011; Kessler, 1976]. Andererseits belegen Untersuchungen, dass sich unter alleiniger kieferorthopädischer Therapie infolge einer Apparatur-bedingten Plaque-Akkumulation insbesondere bei unzureichender Mundhygiene die parodontalen Parameter vorübergehend, aber auch langfristig verschlechtern können [Davis et al., 2014; Ghijselings et al., 2014; Bollen et al., 2008]. Darüber hinaus können orthodontische Zahnbewegungen je nach Art, Dauer und Disposition des Patienten irreversible Wurzelresorptionen induzieren. Als gesicherte Risikofaktoren gelten neben der genetischen Disposition vor allem die Dauer, das Ausmaß der Bewegung und sogenannte Jiggling-Bewegungen mit höheren Kräften [Shen et al., 2017; Eross et al., 2015; Kocadereli et al., 2011; Walker, 2010; Weltman et al., 2010].
Faktoren für eine erfolgreiche Therapie
Vor dem Hintergrund möglicher gegensätzlicher Effekte sollen hier kurz relevante Grundlagen in Erinnerung gerufen werden, um daraus herzuleiten, worauf für die Erreichung einer klinisch positiven Bilanz bei einer kombiniert parodontologisch-kieferorthopädischen Therapie zu achten ist. Orthodontische Zahnbewegungen sind die Folge einer durch Mechanotransduktion vermittelten Modellation des Alveolarfortsatzes und des Parodontiums. Dabei kommt es in Gegenwart von Inflammationsmediatoren und Wachstumsfaktoren zu Resorptions- und Regenerationsprozessen. Bei mechanischer Stimulation von Stützgeweben können proliferative und anabole Effekte ihrer zellulären Systeme und extrazellulären Matrix hervorgerufen werden. So kann eine kieferorthopädische Zahnbewegung zur Erzeugung einer positiven Bilanz bei der Modellation der Knochen und Weichgewebe genutzt werden [Galli et al., 2010; Danciu et al., 2004; Diedrich et al., 1996]. Um dies zu erreichen, müssen negative Einflussfakoren minimiert und das zur Verfügung stehende Potenzial der Regeneration beziehungsweise regenerativer Techniken optimal genutzt werden. Einige der wichtigen Aspekte einer erfolgreichen Therapie sind anknüpfend aufgeführt.
Aspekte der Plaquekontrolle
Zahlreiche Studien haben die Auswirkung orthodontischer Zahnbewegungen auf Zähne mit einem reduzierten, aber gesunden Parodont sowohl bei experimentellen Tiermodellen als auch an Patienten untersucht. Kieferorthopädische Zahnbewegungen per se führen nicht zu parodontalen Attachmentverlusten [Fan & Caton, 2018; Jepsen et al., 2018b; Re et al., 2000]. Bei gleichzeitigem Vorliegen einer Plaque-assoziierten parodontalen Entzündung können sie aber zu einem weiteren, unkontrollierten parodontalen Abbau führen. Deshalb muss die parodontale Entzündung vor dem Beginn einer orthodontischen Therapie kontrolliert sein [Wennström et al., 1993, 1987; Polson et al.,1984; Ericsson et al., 1977].
Zur Vermeidung einer vermehrten parodontalen Destruktion durch eine ungünstige Überlagerung der Biofilm-assoziierten parodontalen Inflammation mit einer kieferorthopädisch induzierten Inflammation müssen folgende, die Kontrolle des Biofilms betreffende Punkte sichergestellt sein:
Eine erfolgreiche Parodontitistherapie ist durch eine deutliche Verbesserung aller parodontalen Parameter, einschließlich der Mundhygiene sowie der Kontrolle der Risikofaktoren gekennzeichnet [Chapple et al., 2018; Mombelli et al., 2014; Jepsen & Dommisch, 2014]. Angestrebt werden ein Plaqueindex < 20 Prozent und Sondierungstiefen < 5 mm ohne Blutung auf Sondierung [Levin et al., 2012] (Abbildung 5).
Da bei einer orthodontischen Therapie häufig intrusive Zahnbewegungen erfolgen, muss hierbei verhindert werden, dass Plaque nach apikal in Defektregionen transportiert wird. Das heißt, dass vor entsprechenden Bewegungsaktivierungen regelmäßige Kontrollen und gegebenenfalls Reinigungen der betroffenen Regionen vorgenommen werden müssen. Hierbei steht die kieferorthopädische Fachdisziplin gleichermaßen in der Verantwortung.
Die kieferorthopädische Apparatur sollte möglichst wenig Plaque-retentiv sein. Da dies unter den spezifischen Behandlungsaufgaben eher selten zu erreichen ist, werden besondere Mundhygieneinstruktionen und häufigere UPT-Termine, gegebenenfalls flankierend zur KFO-Therapie, alle vier bis sechs Wochen notwendig.
Aspekte der regenerativen PAR-Therapie
Einige klinische Studien an Patienten mit fortgeschrittener Parodontitis haben die positive Auswirkung einer kieferorthopädischen Therapie nach chirurgischer (nicht-regenerativer) Parodontalbehandlung dokumentiert [Zasciurinskiene et al., 2018; Re et al., 2004; Corrente et al., 2003; Cardaropoli et al., 2001; Re et al., 2000]. Trotz der umfangreichen Evidenz für die Wirksamkeit regenerativ-parodontalchirurgischer Techniken bei vertikalen, intraossären Defekten [Kao et al., 2015; Cortellini et al., 2011, 2017; Bröseler et al., 2017] liegen bisher nur wenige Fallberichte beziehungsweise Fallserien zu deren Kombination mit KFO-Therapie vor [Roccuzzo et al., 2018; Cao et al., 2015; Jepsen et al., 2015; Ghezzi et al, 2013; Tietmann et al., 2013; Attia et al., 2012; Ogihara & Wang, 2010; Ghezzi et al., 2008; Cardaropoli et al., 2006]. Eingesetzt wurden dabei Membranen, Knochenersatzmaterialien, Schmelzmatrixproteine oder aber Kombinationen. Der Zeitpunkt zur Einleitung der orthodontischen Zahnbewegungen variierte deutlich. Während in einigen Untersuchungen die KFO-Therapie erst sechs bis zwölf Monate nach dem regenerativen Eingriff durchgeführt wurde, um nicht mit der parodontalen Wundheilung zu interferieren [Roccuzzo et al., 2018; Jepsen et al., 2015; Ghezzi et al., 2008], berichteten andere Autoren von vorteilhaften Ergebnissen, wenn die Zahnbewegung sofort beziehungsweise innerhalb von vier bis zwölf Wochen initiiert wurde [Ghezzi et al., 2013; Tietmann et al., 2013; Attia et al., 2012; Ogihara & Wang, 2010; Cardaropoli et al., 2006]. Sie spekulierten, dass eine frühe Zahnbewegung die parodontale Wundheilung sogar positiv beeinflussen könnte. Die Ermittlung des optimalen Zeitpunkts für die Einleitung der orthodontischen Zahnbewegung nach regenerativer PAR-Therapie ist derzeit Gegenstand randomisierter klinischer Multicenterstudien.


Sollte für den operativen Eingriff eine Stabilisierung von Zähnen mit kritischem Lockerungsgrad notwendig sein, kann hier eine zunächst passive kieferorthopädische Apparatur genutzt werden (Abbildung 12).



Aspekte der Biomechanik
Durch einen Parodontitis-assoziierten Verlust von parodontalem Stützgewebe ändern sich die mechanischen Voraussetzungen für die orthodontische Zahnbewegung.
Je nach Ausmaß der Reduktion der parodontalen Oberfläche erzeugt dieselbe applizierte Kraft physikalisch einen höheren Druck. Unter Berücksichtigung der Evidenz für vermehrte Wurzelresorptionen bei Jiggling-Bewegungen unter hohen Kräften sollten – wenn möglich – die applizierten Kräfte angepasst reduziert und die betroffenen Zähne vor Störkräften abgeschirmt oder Störkontakte vermieden werden.
Bei von parodontalem Abbau betroffenen Zähnen kann die räumliche Lokalisation ihrer Widerstandszentren erheblich verändert sein. Abhängig von dem Ausmaß und der Morphologie des Defekts findet unter anderem eine deutliche Verlagerung des Widerstandszentrums nach apikal statt. Dadurch ist der Abstand zu den üblichen Kraftansatzpunkten im Bereich der Zahnkrone vergrößert. Im Vergleich zu parodontal gesunden Zähnen können unter diesen Voraussetzungen applizierte exzentrische Kräfte gleichen Betrags und gleicher Richtung erheblich größere Drehmomente verursachen, was bei der Planung zielführender Kraftsysteme berücksichtigt werden muss. Unerwünschte Drehmomente können beispielsweise durch die gleichzeitige Applikation entgegengesetzter Drehmomente am Bracket kompensiert oder durch die Erzeugung eines Kraftvektors mit einer in räumlicher Relation zum Widerstandszentrum geeigneten Wirklinie mithilfe einer Zweivektormechanik vermieden werden (Abbildung 11).
Da die mit Parodontitiden assoziierten Zahnmigrationen die Dentition zumeist partiell betreffen – wie bereits erwähnt sind häufig Front- und Eckzähne betroffen – und die übrigen Bereiche eine gute oder akzeptable Okklusion aufweisen können, besteht die Herausforderung für den Kieferorthopäden darin, Zahnbewegungen in akzeptablen Regionen zu vermeiden und gleichzeitig die migrierten Zähne in ihre Zielposition zu bewegen. Daraus ergibt sich die Frage nach einer geeigneten Verankerung und die Notwendigkeit einer gezielten Analyse, ob und welche Parodontien einer Verankerung dienen können. Hiernach können Strategien zur Verankerung festgelegt werden. Solche sind zum Beispiel die Blockbildung größerer parodontaler Verankerungseinheiten gegen einzelne zu bewegende Zähne bei gleichzeitiger Anwendung sehr geringer Kräfte, die zusätzliche Nutzung okklusaler Kräfte mithilfe von vorübergehend fest eingesetzten Aufbissschienen, die direkte oder indirekte Nutzung intraossär inserierter Verankerungshilfen, dentaler Implantate, intentionell ankylosierter und nicht zuletzt zu extrahierender Zähne. Abhängig von den Ausgangsbedingungen erscheint vor diesem Hintergrund die Anwendung von segmentierten Behandlungstechniken, zumindest für Phasen der Therapie, als alternativlos.
Um das Risiko von Wurzelresorptionen weiter zu reduzieren, sollten die Dauer und das Ausmaß der Zahnbewegungen nicht zu umfangreich sein. Dafür müssen die Zahnbewegungen mechanotherapeutisch so gezielt wie möglich umgesetzt und es sollte bei der Planung realistischen sowie in vergleichbar kurzer Zeit erreichbaren Zielen der Vorzug gegeben werden.
Die Stabilisierung oder auch Retention der erreichten Zahnpositionen ist bei Parodontitispatienten eine besondere Herausforderung. Je nach Lockerungsgrad der betroffenen Zähne ergibt sich bei festsitzenden Stabilisierungsmaßahmen eine relativ große Dauerbelastung mit konsekutiv erhöhter Frakturgefahr. Je nach Befund können für festsitzende Stabilisierungshilfen herkömmliche Retainerdrähte, individuell gegossene oder gefräste Retainer epi- oder intrakoronal adhäsiv befestigt werden. Prinzipiell sind auch herausnehmbare Schienen, die nur nachts getragen werden sollen, geeignet. Da das Verlustrisiko festsitzender Retainer erhöht ist, sollten in jedem Fall zusätzlich Schienen über den festsitzenden Retainern angefertigt werden, um gewährleisten zu können, dass bis zu einem Reparaturtermin keine unerwünschten Zahnstellungsänderungen auftreten.
Übergeordnete Aspekte
Abhängig von der patientenseitigen Ausgangssituation können umfangreiche alle zahnmedizinischen Bereiche involvierende Behandlungsmaßnahmen eine erhebliche zeitliche und finanzielle Belastung darstellen. Um für die Patienten eine partizipatorische Entscheidungsfindung zu ermöglichen, gilt es frühzeitig, prognosenbasierte Behandlungsalternativen zu definieren und darüber umfangreich aufzuklären. Für eine Missverständnis-freie parodontologisch-kieferorthopädisch interdisziplinäre Kommunikation sind Visualisierungen der gewünschten und geplanten Zahnbewegungen empfehlenswert (Abbildung 10). Die zeitliche Abfolge der interdisziplinären Behandlungen und notwendige parallele Behandlungsmaßnahmen sollten zur Optimierung der Synergien stringent koordiniert werden.
Fallpräsentation
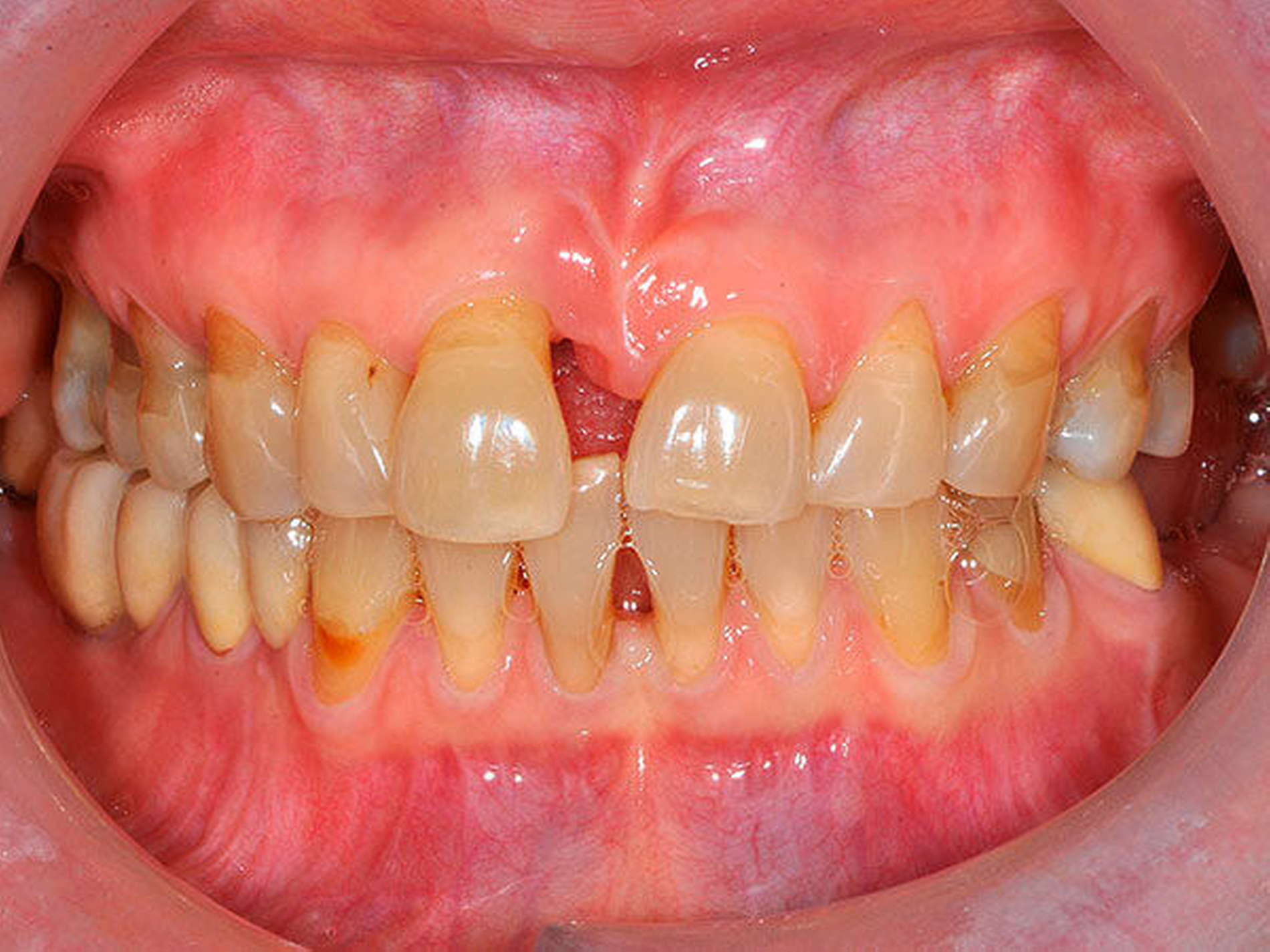
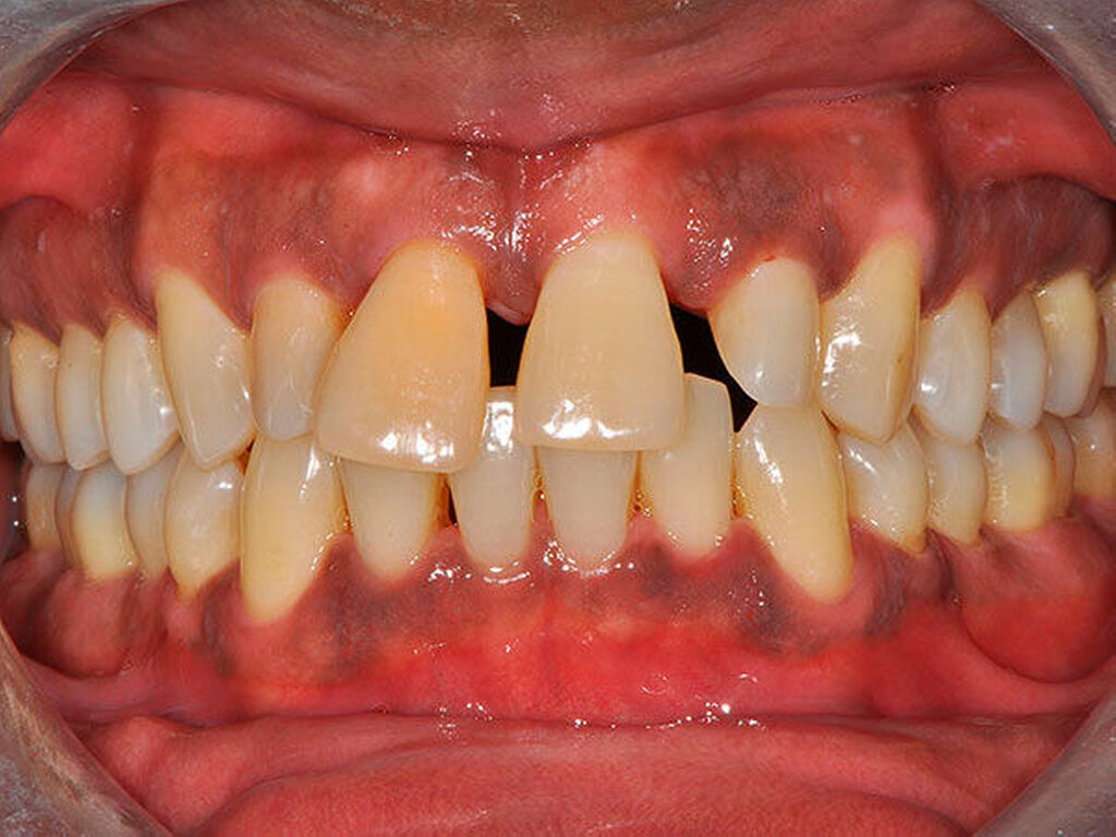
Der seinerzeit 44-jährige Patient stellte sich im Zentrum für Zahn-, Mund- und Kieferheilkunde des Universitätsklinikums Bonn vor. Sein Wunsch war, die Frontzahnästhetik möglichst schnell wiederherzustellen und alle Zähne zu erhalten. Die anamnestischen Hauptbeschwerden waren die zunehmende Lockerung, Lückenbildung und Auffächerung der oberen, mittleren Frontzähne (Abbildungen 6 und 7). Der Patient war zum damaligen Zeitpunkt Raucher, die Allgemeinanamnese ergab, dass bei den Eltern einige Zähne durch Lockerung verloren gegangen waren. Seine Mundhygiene war als gut zu bezeichnen.
Kurzer PAR-Befund
Die in Abbildung 8 reduziert dargestellte parodontale Befunderhebung ergab einen Lockerungsgrad III an Zahn 11 bei röntgenologischem Hinweis auf eine Paroendoläsion und einen Lockerungsgrad II an 21. Die Sondierungs- und Blutungsbefunde (BOP) sind ebenfalls der Abbildung zu entnehmen. Nach aktueller Klassifikation ergab sich eine Parodontitis im Stadium IV, Grad C [Jepsen, 2018c; Papapanou et al., 2018]. Die Zähne 11 und 21 wurden nach den Kriterien von Mc Guire und Nunn als „hoffnungslos“ bewertet [McGuire & Nunn, 1999].
Verkürzter KFO-Befund
OK: Lückige Protrusion der Front bei tendenziell hypoplastischen Zähnen 12, 22; Distalkippung und Mesiorotation 11, Distorotation 22; geringgradige Dreh- und Kippstände der Seitenzähne; Supraposition der Front; geringgradige Frontmittenabweichung nach rechts
UK: Protrusion und geringgradiger Engstand; geringgradige Dreh- und Kippstände im Seitenzahnbereich
Bisslage: Neutralokklusion an M1 und C beidseits bei skelettal sagittal und vertikal neutraler Kieferrelation (Abbildung 9).
Interdisziplinärer Plan
1. Endodontische Behandlung 11 und anti-infektiöse Parodontitistherapie,
2. parodontal resektive Maßnahmen und Reevaluation,
3. regenerative PAR-Chirurgie 12, 11, 21, 22 unter Stabilisierung mittels passiver Multibracket-Apparatur (Abbildung 12),
4. Beginn der aktiven orthodontischen Zahnbewegung vier Wochen postoperativ mit begleitender unterstützender Parodontitistherapie (Abbildung 13),
5. Stabilisierung mittels festsitzendem Retainer plus zusätzlichen Tiefziehschienen und weitere unterstützende Parodontitistherapie.
Kieferorthopädischer Plan
OK: Angulations- und Rotationskorrektur der Front; Korrektur der Frontmittenabweichung; Intrusion und geringe Retrusion der Front; Lückenschluss; Belassen der Seitenzahnpositionen
UK: Auflösung des Platzmangels in der Front mittels approximaler Schmelzreduktion; Belassen der Rotationen im Seitenzahnbereich; Aufhebung des Engstands und geringe Retrusion der Front
Bisslage: Belassen der Bisslage; Reduktion des Overbites
Die kieferorthopädischen Ziele wurden mittels eines Set-ups sowie einer FRS-Simulation visualisiert und es wurde ein zur Erreichung der gewünschten Zahnbewegungen geeignetes Kräftesystem geplant (Abbildungen 10 und 11).
Mechanotherapeutischer Plan
OK: Passive MB-Apparatur (Abbildung 12); Verankerung 17–12 plus 22–27 via MB-Apparatur; an Kreuzzröhrchen fixierter Umgehungsbogen mit Rücksicht auf die PA-Situation von distal 13 nach distal 23; Kraftsystem zur Angulationskorrektur, Derotation und Mittellinienkorrektur 11, 22 via am Stahlumgehungsbogen befestigten TMA-Rechteckschlaufen (Abbildung 13); anschließend Kraftsystem zur Intrusion und Retrusion 11, 21 sowie Restlückenschluss mittels Zweivektormechanik durch eine vertikal eingesetzte 25-cN-Nitifeder plus einen in horizontaler und sagittaler Richtung circa 30 cN freisetzenden elastischen Faden, woraus sich für 11 und 21 eine circa 1 mm palatinal des Widerstandzentrums befindliche resultierende Kraft von rund 40 cN und ein negatives Drehmoment von etwa 40 cNmm ergeben (Abbildung 11 und 14)
UK: Geringgradige ASR; reziproker Lückenschluss im Seitenzahnbereich an MB-Apparatur und Nutzung des Platzgewinns zur Auflösung des Engstands sowie zur bogengeführten minimalen Retrusion der Front an einem Häkchen tragenden Stahlbogen.
Verlauf
Nach der initialen Parodontitistherapie konnten die parodontalen Zielparameter deutlich verbessert werden. Unglücklicherweise blieb die Zigarettenabstinenz unvollständig, der Konsum war aber auf weniger als zehn Zigaretten/Tag reduziert. Dennoch wurde in Absprache mit dem Patienten entschieden, eine parodontal-chirurgisch regenerative Therapie durchzuführen. Intraoperativ zeigten sich sehr tiefe zweiwandige Defektmorphologien mit bis zu 12 mm vertikaler Komponente. Aufgrund des ausgeprägten Knochenverlusts wurde der Patient über einen möglichen Verlust der Zähne 21 und 11 aufgeklärt. Vier Wochen postoperativ wurde mit der aktiven Zahnbewegung begonnen (Abbildung 13). Das Ergebnis wurde festsitzend stabilisiert. Die erzielten Zahnbewegungen (Abbildung 15 und 16) wurden durch Modellüberlagerungen vor und nach KFO-Therapie evaluiert (Abbildung 17 und 18). Der letzte parodontale Status zeigt eine deutliche, aber nicht vollständige Verbesserung aller Sondierungstiefen. Zu diesem Zeitpunkt betrug der Blutungsindex 4 Prozent, der Plaqueindex 21 Prozent, 88 Prozent der Sondierungstiefen lagen zwischen 0 und 3 mm und 12 Prozent zwischen 4 und 6 mm (Abbildungen 19a und 19b).
Diskussion
Dem Patientenwunsch entsprechend konnte eine deutliche Verbesserung der Frontzahnästhetik und der Funktion erreicht werden. Der aktuelle Stand der Literatur zeigt, dass eine kieferorthopädische Therapie von Parodontitispatienten in Zusammenhang mit einer effektiven parodontalen Therapie und Infektionskontrolle keine negative Auswirkung auf den Erfolg der parodontalen Behandlungsmaßnahmen hat. Relevante Kriterien hierfür wurden dargelegt. Kieferorthopädische Maßnahmen können – wie das Fallbeispiel zeigt – eine ästhetische und funktionelle Rehabilitation von Patienten mit schwerer Parodontitis ermöglichen. In dem gewählten Beispiel wurde auch unter ungünstigen Voraussetzungen ein Erfolg erzielt, das Risiko neu zu erkranken bleibt aufgrund von Familienanamnese und Raucherverhalten allerdings hoch (Abbildung 19c). Enge Recallintervalle im Rahmen der UPT sind dringend angeraten. Ein deutlich positiver Effekt war eine Verbesserung der Prognose der Zähne 11 und 21 von „hoffnungslos“ auf „fraglich“.
Die aktuelle Studienlage zum synergistischen Effekt einer kieferorthopädischen Zahnbewegung und regenerativer Therapie vertikaler Knochendefekte ist noch relativ begrenzt, es gibt allenfalls einzelne Fallserien und -berichte. Die Ermittlung der optimalen zeitlichen Abfolge kieferorthopädischer Zahnbewegungen in Bezug auf den regenerativen parodontalchirurgischen Eingriff ist aktuell Gegenstand randomisierter klinischer Multicenterstudien.
Dr. med. dent. Eric Kutschera
Poliklinik für Kieferorthopädie, Zentrum für ZMK,
Universität Bonn
Welschnonnenstr. 17, 53111 Bonn
eric.kutschera@ukb.uni-bonn.de
Univ.-Prof. Dr. med. dent. Andreas Jäger
Poliklinik für Kieferorthopädie, Zentrum für ZMK,
Universität Bonn
Welschnonnenstr. 17, 53111 Bonn
PD Dr. med. dent. Karin Jepsen
Poliklinik für Parodontologie, Zahnerhaltung und Präventive Zahnheilkunde,
Zentrum für ZMK,
Universität Bonn
Welschnonnenstr. 17, 53111 Bonn
Univ.-Prof. Dr. med. dent. Dr. med. Søren Jepsen
Poliklinik für Parodontologie, Zahnerhaltung und Präventive Zahnheilkunde,
Zentrum für ZMK,
Universität Bonn
Welschnonnenstr. 17, 53111 Bonn
Kurze Übersicht Parodontitis
Gingivitis und Parodontitis sind die häufigsten Erkrankungen der Menschheit. Weltweit wird die Prävalenz schwerer Parodontitis auf 10,5 bis 12 Prozent geschätzt [Kassebaum et al., 2014]. Nach der Fünften Deutschen Mundgesundheitsstudie (DMS V) [Jordan & Micheelis, 2016] weisen etwa 8 Prozent der jüngeren Erwachsenen, 20 Prozent der jüngeren Senioren und 44 Prozent der älteren Senioren eine schwere Parodontitis auf. Schätzungsweise 8 Millionen Erwachsene in Deutschland sind an einer schweren Parodontitis erkrankt. In Anbetracht des demografischen Wandels in Deutschland und der zunehmenden Zahl erhaltener Zähne auch im höheren Lebensalter muss von einer weiteren Steigerung des Behandlungsbedarfs ausgegangen werden. Der Kampf gegen die Volkskrankheit Parodontitis stellt eine der größten Herausforderungen für die zahnmedizinische Versorgung dar [KZBV, 2017; Tonetti et al., 2017].
Parodontitis ist eine Biofilm-induzierte chronische, entzündliche Erkrankung. Bei parodontaler Gesundheit besteht eine Symbiose zwischen dem mit Gesundheit assoziierten Biofilm und einer angemessenen immuninflammatorischen Wirtsantwort. Eine Parodontitis entsteht als Folge der Entwicklung einer Dysbiose in anfälligen Individuen, die mit einer Dysregulation der immunentzündlichen Antwort einhergeht und die zu einem wirtsvermittelten Abbau von Bindegewebe und Alveolarknochen führt [Jepsen et al., 2018a; Kinane et al., 2017; Mira et al., 2017; Sanz et al., 2017; Hajishengallis & Lamont, 2016; Kilian et al., 2016; Meyle & Chapple, 2015; Jepsen & Dommisch, 2014]. Als komplexe, multifaktorielle Erkrankung werden die Entstehung und der Verlauf der Parodontitis zudem von einer Reihe von Risikofaktoren beeinflusst, die einerseits modifizierbar (beispielsweise ungenügende Mundhygiene, Rauchen, Adipositas, unkontrollierter Diabetes), andererseits nicht-modifizierbar (Genetik, systemische Erkrankungen) sind. [Chapple et al., 2017; Jepsen et al., 2017; Lertpimonchai et al., 2017; Knight et al., 2016; Schäfer et al., 2015; Genco & Borgnakke, 2013].
Die Diagnostik der Parodontitis beinhaltet eine sorgfältige Erfassung und Dokumentation von Sonderungstiefen, klinischen Attachmentverlusten, Sondierungsblutungen (BOP), Zahnlockerungen, Furkationsbeteiligungen sowie eine röntgenologische Beurteilung des parodontalen Knochenniveaus. Die individuellen Rikofaktoren werden ebenfalls ermittelt. Hieraus ergeben sich die relevanten Daten zur Diagnose der Parodontitis nach Stadium und Grad gemäß der im Sommer 2018 vorgestellten Neuen Klassifikation parodontaler Erkrankungen [Jepsen, 2018c; Papapanou et al., 2018]. Die systematische PAR-Therapie beinhaltet die Phasen der
antiinfektiösen, Ursachen-gerichteten, nicht-chirurgischen Therapie zur supra- und subgingivalen Entfernung des Biofilms und harter Auflagerungen,
gegebenenfalls der weiterführenden chirurgischen Parodontitistherapie zur Korrektur verbliebener tiefer Defekte sowie
der Langzeitbetreuung durch eine unterstützende Parodontitistherapie (UPT), wie sie auch im PAR-Versorgungskonzept von KZBV, BZÄK und DG PARO abgebildet sind [Kebschull et al., 2018; KZBV, 2017].
Diagnostische Reevaluationen nach der antiinfektiösen und der chirurgischen Phase sind dabei sehr wichtig und dienen der Dokumentation und Bewertung des Therapiefortschritts und -erfolgs. Insbesondere eine fortgeschrittene beziehungsweise schwere Parodontitis (Stadium III und IV entsprechend der Neuen Klassifikation) ist durch tiefe Taschen, weit fortgeschrittene Attachmentverluste und parodontale Knochendefekte gekennzeichnet. Bei geeigneter Indikationsstellung können betroffene Zähne von regenerativer Therapie profitieren, denn es gibt zunehmende Evidenz dafür, dass Maßnahmen der regenerativen Parodontalchirurgie zum Langzeiterhalt von Zähnen mit initial tiefen Taschen in Verbindung mit vertikalen Defekten beitragen [Bröseler et al., 2017; Cortellini et al., 2017; Miron et al., 2016; Kao et al., 2015; Cortellini et al., 2011].
Als Endpunkte der aktiven PAR-Therapie, deren Erreichen die Voraussetzung für die Überführung des Patienten in die Phase der UPT ist, dienen Kriterien der Schweizer Qualitätsleitlinien [Mombelli et al., 2014]. Gefordert wird unter anderem eine wesentliche Reduktion des Blutens auf Sondieren (BOP) sowie eine Reduktion der Sonderungstiefen auf Werte unter 5 mm. Das Belassen von Resttaschen hingegen führt zu einem deutlich erhöhten Risiko für künftige Attachment- und Zahnverluste [Matuliene et al., 2008]. In der Neuen PAR-Klassifikation wird der Zustand parodontaler Gesundheit nach erfolgreicher PAR-Therapie durch das Vorliegen von Sondierungstiefen kleiner/gleich 4 mm definiert, wobei Taschen mit 4 mm Sondierungstiefe keine Sondierungsblutung aufweisen sollten [Chapple et al., 2018]. Gleichzeitig wird betont, dass auch ein solcher, erfolgreich behandelter Parodontitispatient immer das Risiko einer erneuten Erkrankung in sich trägt. Ganz entscheidend für eine günstige Langzeitprognose von Parodontitispatienten ist die Teilnahme an einer risikoorientierten Nachsorge im Rahmen der systematischen UPT [KZBV, 2017; Lee et al., 2015, Sanz et al., 2015].
Dr. med. dent. Eric Kutschera

- 2006 Approbation als Arzt und Zahnarzt in Frankfurt a. M.
2006–2008 ärztlicher Bereitschaftsdienst, allgemeinzahnärztliche Tätigkeit, Beginn der Weiterbildung zum Fachzahnarzt für Kieferorthopädie
2008–2010 Wissenschaftlicher Mitarbeiter Universitätsklinikum Köln, Poliklinik für Kieferorthopädie, Direktor: Prof. Dr. B. Braumann
2010 Fachzahnarzt für Kieferorthopädie
2010 Wissenschaftlicher Mitarbeiter Universitätsklinikum Bonn, Poliklinik für Kieferorthopädie, Direktor: Prof. Dr. A. Jäger
2010 Ernennung zum Oberarzt
2013 Zertifizierung als Prüfarzt für klinische Studien, Studienzentrum Bonn
2016 Promotion an der Medizinischen Fakultät der Rheinischen Friedrich-Wilhelms-Universität Bonn
Literaturliste
Antoun, J.S., Mei, L., Gibbs, K., Farella, M. (2017) Effect of orthodontic treatment on the periodontal tissues. Periodontol 2000, 74, 1, 140–57.
Attia, MS, Shoreibah, EA, Ibrahim, SA, & Nassar, HA. (2012) Regenerative therapy of osseous defects combined with orthodontic tooth movement. J Int Acad Periodontol, 14(1), 17-25.
Bollen, A.-M., Cunha-Cruz, J., Bakko, D.W., Huang, G.J., Hujoel, P.P. (2008) The effects of orthodontic therapy on periodontal health: a systematic review of controlled evidence. J Am Dent Assoc, 139, 4, 413–22.
Bröseler, F., Tietmann, C., Hinz, A.K., Jepsen , S. (2017) Long-term results of periodontal regenerative therapy: A retrospective practice-based cohort study. J Clin Periodontol, 44(5):520-529
Brunsvold, M.A. (2005) Pathologic tooth migration. J Periodontol, 76, 6, 859–66.
Cao T, Xu L, Shi J, Zhou Y. (2015) Combined orthodontic-periodontal treatment in periodontal patients with anteriorly displaced incisors. Am J Orthod Dentofacial Orthop, 148(5):805-813.
Cardaropoli D, Re S, Corrente G, Abundo R. (2001) Intrusion of migrated incisors with infrabony defects in adult periodontal patients. Am J Orthod Dentofacial Orthop, 120: 671-675.
Cardaropoli, D., Re, S., Manuzzi, W., Gaveglio, L., Cardaropoli, G. (2006) Bio-Oss collagen and orthodontic movement for the treatment of infrabony defects in the esthetic zone. Int J Periodontics Restorative Dent 26, 553-556.
Cardaropoli, D., Gaveglio, L., Abou-Arraj, R.V. (2014) Orthodontic movement and periodontal bone defects: Rationale, timing, and clinical implications. Seminars in Orthodontics, 20, 3, S. 177–87.
Chapple IL, Bouchard P, Cagetti MG, Campus G, Carra MC, Cocco F, Nibali L, Hujoel P, Laine ML, Lingstrom P, Manton DJ, Montero E, Pitts N, Rangé H, Schlueter N, Teughels W, Twetman S, Van Loveren C, Van der Weijden F, Vieira AR, Schulte AG. (2017)
Interaction of lifestyle, behaviour or systemic diseases with dental caries and periodontal diseases: consensus report of group 2 of the joint EFP/ORCA workshop on the boundaries between caries and periodontal diseases. J Clin Periodontol, 44 Suppl 18:S39-S51.
Chapple ILC, Mealey BL, Van Dyke TE, Bartold PM, Dommisch H, Eickholz P, Geisinger ML, Genco RJ, Glogauer M, Goldstein M, Griffin TJ, Holmstrup P, Johnson GK, Kapila Y, Lang NP, Meyle J, Murakami S, Plemons J, Romito GA, Shapira L, Tatakis DN, Teughels W, Trombelli L, Walter C, Wimmer G, Xenoudi P, Yoshie H. (2018) Periodontal health and gingival diseases and conditions on an intact and a reduced periodontium: Consensus report of workgroup 1 of the 2017 World Workshop on the Classification of Periodontal and Peri-Implant Diseases and Conditions. J Clin Periodontol 45 Suppl 20:S68-S77
Corrente, G., Abundo, R., Re, S., Cardaropoli, D., Cardaropoli, G. (2003) Orthodontic movement into infrabony defects in patients with advanced periodontal disease: a clinical and radiological study. J Periodontol 74, 1104-1109.
Cortellini, P., Stalpers, G., Mollo, A., Tonetti, M.S. (2011) Periodontal regeneration versus extraction and prosthetic replacement of teeth severely compromised by attachment loss to the apex: 5‐year results of an ongoing randomized clinical trial. J Clin Periodontol, 38(10), 915-924.
Cortellini, P., Buti, J., Pini Prato, G. & Tonetti, M. S. (2017) Periodontal regeneration compared with access flap surgery in human intra-bony defects 20-year follow-up of a randomized clinical trial: tooth retention, periodontitis recurrence and costs. J Clin Periodontol 44, 58-66.
Danciu, T.E., Gagari, E., Adam, R.M., Damoulis, P.D., Freeman, M.R. (2004) Mechanical strain delivers anti-apoptotic and proliferative signals to gingival fibroblasts. J Dent Res, 83, 8, S. 596–601.
Davis, S.M., Plonka, A.B., Fulks, B.A., Taylor, K.L., Bashutski, J. (2014) Consequences of orthodontic treatment on periodontal health: Clinical and microbial effects. Seminars in Orthodontics, 20, 3, 139–49.
Diedrich, P.R., Fuhrmann, R.A., Wehrbein, H., Erpenstein, H. (1996): Distal movement of premolars to provide posterior abutments for missing molars. in: Am J Orthod Dentofacial Orthop, 109, 4, S. 355–60.
Eross, E., Turk, T., Elekdag-Turk, S., Cakmak, F., Jones, A.S., Végh, A., Papadopoulou, A.K., Darendeliler, M.A. (2015) Physical properties of root cementum: Part 25. Extent of root resorption after the application of light and heavy buccopalatal jiggling forces for 12 weeks: A microcomputed tomography study. Am J Orthod Dentofacial Orthop, 147, 6, 738–46.
Ericsson, I, Thilander, B, Lindhe, J, & Okamoto, H. (1977). The effect of orthodontic tilting movements on the periodontal tissues of infected and non‐infected dentitions in dogs. J Clin Periodontol, 4(4), 278-293.
Fan & Caton Fan J, Caton JG. (2018) Occlusal trauma and excessive occlusal forces: Narrative review, case definitions, and diagnostic considerations. J Periodontol, 89 (Suppl 1):S214-S222.
Galli, C., Passeri, G., Macaluso, G.M. (2010) Osteocytes and WNT: the mechanical control of bone formation. J Dent Res, 89, 4, 331–43.
Genco RJ, Borgnakke WS. (2013) Risk factors for periodontal disease. Periodontol 2000, 62(1):59-94.
Ghezzi, C., Masiero, S., Silvestri, M., Zanotti, G., Rasperini, G. (2008) Orthodontic treatment of periodontally involved teeth after tissue regeneration. Int J Periodontics Restorative Dent, 28, 6, S. 559–67.
Ghezzi, C., Viganò, V.M., Francinetti, P., Zanotti, G., Masiero, S. (2013) Orthodontic Treatment After Induced Periodontal Regeneration in Deep Infrabony Defects. in: Clinical Advances in Periodontics, 3, 1, 24–31.
Ghijselings, E., Coucke, W., Verdonck, A., Teughels, W., Quirynen, M., Pauwels, M., Carels, C., van Gastel, J. (2014) Long-term changes in microbiology and clinical periodontal variables after completion of fixed orthodontic appliances. Orthod Craniofac Res, 17, 1, S. 49–59.
Gkantidis, N., Christou, P., Topouzelis, N. (2010) The orthodontic-periodontic interrelationship in integrated treatment challenges: a systematic review. J Oral Rehabil 37, 377 - 390.
Hajishengallis, G., Lamont, R.J. (2016) Dancing with the Stars: How Choreographed Bacterial Interactions Dictate Nososymbiocity and Give Rise to Keystone Pathogens, Accessory Pathogens, and Pathobionts. Trends Microbiol 24(6):477-489.
Jepsen, K., Jäger, A., Jepsen, S. (2015) Esthetic and functional rehabilitation of a severely compromised central incisor: an interdisciplinary approach. Int J Periodontics Restorative Dent, 35, 3, e35-43.
Jepsen, S., Dommisch, H. (2014) Die parodontale Entzündung. ZM 104, 32-40.
Jepsen, S., Blanco, J., Buchalla, W. et al. (2017) Prevention and control of dental caries and periodontal diseases at individual and popuation level: consensus report of group 3 of joint EFP/ORCA workshop on the boundaries between caries and periodontal diseases. J Clin Periodontol; 44 (Suppl. 18): 85-93.
Jepsen, S., Dommisch, H., Kebschull, M. (2018a) Ätiologie der Parodontitis – gibt es neue Erkenntnisse? ZM, 01-02, S. 64–71.
Jepsen, S., Caton, J.G., Albandar, et al. (2018b) Periodontal manifestations of systemic diseases and developmental and acquired conditions: Consensus report of workgroup 3 of the 2017 World Workshop on the Classification of Periodontal and Peri-Implant Diseases and Conditions. J Periodontol, 89 Suppl 1, S237-S248.
Jepsen, S. (2018) Parodontale und periimplantäre Erkrankungen: Neue Klassifikation vorgestellt. ZM 108, Nr. 13, 76-82.
Jordan AR, Micheelis W (Hrsg): Fünfte Deutsche Mundgesundheitsstudie (DMS V). Materialienreihe Band 35 des Instituts der Deutschen Zahnärzte. Deutscher Zahnärzte Verlag (D.V), Köln 2016
Kao, R.T., Nares, S., Reynolds, M.A. (2015) Periodontal regeneration - intrabony defects: a systematic review from the AAP Regeneration Workshop. J Periodontol 86 (suppl), 77-104.
Kassebaum NJ, Bernabé E, Dahiya M, Bhandari B, Murray CJ, Marcenes W. (2014) Global burden of severe periodontitis in 1990-2010: a systematic review and meta-regression. J Dent Res, 93:1045-1053.
Kebschull, M., Jepsen, S., Dommisch, H. (2018) Parodontitistherapie – invasiv, nicht-invasiv oder beides? ZM, 01-02, S. 72–79.
Kessler, M. (1976): Interrelationships between orthodontics and periodontics. in: Am J Orthod, 70, 2, 154–72.
Kilian M, Chapple IL, Hannig M, Marsh PD, Meuric V, Pedersen AM, Tonetti MS, Wade WG, Zaura E. (2016) The oral microbiome - an update for oral healthcare professionals. Br Dent J. 18; 221(10):657-666.
Kinane, D.F., Stathopoulou, P.G., Papapanou, P.N. (2017) Periodontal diseases. Nat Rev Dis Primers, 3, 17038.
Knight, E. T., Liu, J., Seymour, G. J., Faggion, C. M., Jr. & Cullinan, M. P. (2016) Risk factors that may modify the innate and adaptive immune responses in periodontal diseases. Periodontol 2000 71, 22-51.
Kocadereli, I., Yesil, T.N., Veske, P.S., Uysal, S. (2011) Apical Root Resorption: A Prospective Radiographic Study of Maxillary Incisors. Eur J Dent, 5, 3, 318–23.
Lee, C. T., Huang, H. Y., Sun, T. C. & Karimbux, N. (2015) Impact of Patient Compliance on Tooth Loss during Supportive Periodontal Therapy: A Systematic Review and Meta-analysis. J Dent Res 94, 777-786.
Lertpimonchai, A., Rattanasiri, S., Arj-Ong Vallibhakara, S., Attia, J. & Thakkinstian, A. (2017) The association between oral hygiene and periodontitis: a systematic review and meta-analysis. Int Dent J. 67(6):332-343
Levin L, Einy S, Zigdon-Giladi H, Aizenbud D, Machtei EE. (2012). Guidelines for periodontal care and follow-up during orthodontic treatment in adolescents and young adults. J Appl Oral Sci 20:399–403
Martinez-Canut, P., Carrasquer, A., Magán, R., Lorca, A. (1997) A study on factors associated with pathologic tooth migration. in: J Clin Periodontol, 24, 7, 492–97.
Matuliene, G., Pjetursson, B. E., Salvi, G. E., Schmidlin, K., Bragger, U., Zwahlen, M. & Lang, N. P. (2008) Influence of residual pockets on progression of periodontitis and tooth loss: results after 11 years of maintenance. J Clin Periodontol 35, 685-695.
McGuire, M.K., Nunn, M.E. (1999) Prognosis versus actual outcome. IV. The effectiveness of clinical parameters and IL-1 genotype in accurately predicting prognoses and tooth survival. J Periodontol, 70, 1, 49–56.
Meyle, J., Chapple, I. (2015) Molecular aspects of the pathogenesis of periodontitis. Periodontol 2000, 69(1):7-17.
Mira A, Simon-Soro A, Curtis MA. (2017) Role of microbial communities in the pathogenesis of periodontal diseases and caries. J Clin Periodontol, 44 (Suppl. 18): S23–S38.
Miron, R.J., Sculean, A., Cochran, D.L., Froum, S., Zucchelli, G., Nemcovsky, C., Donos, N., Lyngstadaas, S.P., Deschner, J., Dard, M., Stavropoulos, A., Zhang, Y., Trombelli, L., Kasaj, A., Shirakata, Y., Cortellini, P., Tonetti, M., Rasperini, G., Jepsen, S., Bosshardt, D.D. (2016) Twenty years of enamel matrix derivative: the past, the present and the future. in: J Clin Periodontol, 43, 8, S. 668–83.
Mombelli, A., Schmid, J., Walter, C. & Wetzel, A. (2014) Qualitätsleitlinien Parodontologie. Swiss Dental Journal 124, 261-267.
Ogihara, S., Wang, H.L. (2010) Periodontal regeneration with or without limited orthodontics for the treatment of 2- or 3-wall infrabony defects. J. Periodontol. 81, 1734–1742.
Papapanou PN, Sanz M, Buduneli N, Dietrich T, Feres M, Fine DH, Flemmig TF, Garcia R, Giannobile WV, Graziani F, Greenwell H, Herrera D, Kao RT, Kebschull M, Kinane DF, Kirkwood KL, Kocher T, Kornman KS, Kumar PS, Loos BG, Machtei E, Meng H, Mombelli A, Needleman I, Offenbacher S, Seymour GJ, Teles R, Tonetti MS. (2018) Periodontitis: Consensus report of workgroup 2 of the 2017 World Workshop on the Classification of Periodontal and Peri-Implant Diseases and Conditions. J Clin Periodontol, 45 Suppl 20:S162-S170.
Polson, A., Caton, J. Polson, A.P., Nyman, S., Novak, J., Reed, B. (1984) Periodontal Response After Tooth Movement Into Intrabony Defects. J Periodontol, 55(4), 197-202.
Re, S., Corrente, G., Abundo, R., Cardaropoli, D. (2000). Orthodontic treatment in periodontally compromised patients: 12-year report. Int J Periodontics Restorative Dent, 20(1), 31-39.
Re, S., Cardaropoli, D, Abundo, R, Corrente, G. (2004). Reduction of gingival recession following orthodontic intrusion in periodontally compromised patients. Orthodontics & Craniofacial Research, 7(1), 35-39.
Roccuzzo, M., Marchese, S., Dalmasso, P., Roccuzzo, A. (2018) Periodontal Regeneration and Orthodontic Treatment of Severely Periodontally Compromised Teeth: 10-Year Results of a Prospective Study. in: Int J Periodontics Restorative Dent, 38, 6, 801–09.
Rotundo, R., Bassarelli, T., Pace, E., Iachetti, G., Mervelt, J., Pini Prato, G. (2011) Orthodontic treatment of periodontal defects. Part II: A systematic review on human and animal studies. Prog Orthod, 12, 1, 45–52.
Sanz, M., Baumer, A., Buduneli, N., Dommisch, H., Farina, R., Kononen, E., Linden, G., Meyle, J., Preshaw, P. M., Quirynen, M., Roldan, S., Sanchez, N., Sculean, A., Slot, D. E., Trombelli, L., West, N. & Winkel, E. (2015) Effect of professional mechanical plaque removal on secondary prevention of periodontitis and the complications of gingival and periodontal preventive measures: consensus report of group 4 of the 11th European Workshop on Periodontology on effective prevention of periodontal and peri-implant diseases. J Clin Periodontol 42 Suppl 16, S214-220.
Sanz M, Beighton D, Curtis MA, et al. (2017) Role of microbial biofilms in the maintenance of oral health and in the development of dental caries and periodontal diseases. Consensus report of group 1 of the Joint EFP/ORCA workshop on the boundaries between caries and periodontal disease. J Clin Periodontol,44 Suppl 18:S5-S11.
Schäfer, A., Dommisch, H., Jepsen, S. (2015) Genetische Risikofaktoren ZM 105, Nr. 10A, 16.5.2015
Shen, X., Shi, J., Xu, L., Jiao, J., Lu, R.F., Meng, H.X. (2017) Clinical evaluation of periodontal-orthodontic treatment in patients with aggressive periodontitis and malocclusion. Beijing Da Xue Xue Bao, 49, 1, 60–66.
Tietmann C,.Bröseler F, Axelrad T, Jepsen S. (2013) Regenerative procedures and orthodontics in the treatment of severe intrabony defects. A retrospective clinical cohort study. Int Poster J Dent Oral Med 15, Supplement, Poster 690
Tonetti MS, Jepsen S, Jin L, Otomo-Corgel J. (2017) Impact of the global burden of periodontal diseases on health, nutrition and wellbeing of mankind: A call for global action. J Clin Periodontol, 44(5):456-462.
Tonetti, M.S., Greenwell, H., Kornman, K.S. (2018) Staging and grading of periodontitis: Framework and proposal of a new classification and case definition. J Periodontol, 89 Suppl 1, 159-S172.
Towfighi, P.P., Brunsvold, M.A., Storey, A.T., Arnold, R.M., Willman, D.E., McMahan, C.A. (1997) Pathologic migration of anterior teeth in patients with moderate to severe periodontitis. J Periodontol, 68, 10, 967–72.
Walker, S. (2010) Root resorption during orthodontic treatment. Evid Based Dent, 11, 3, S. 88.
Weltman, B., Vig, K.W.L., Fields, H.W., Shanker, S., Kaizar, E.E. (2010) Root resorption associated with orthodontic tooth movement: a systematic review. Am J Orthod Dentofacial Orthop, 137, 4, 462-76; discussion 12A.
Wennström, J.L., Lindhe, J., Sinclair, F., Thilander, B. (1987) Some periodontal tissue reactions to orthodontic tooth movement in monkeys. J Clin Periodontol 14, 121-129.
Wennström, J. L., Stokland, B., Nyman, S., Thilander, B. (1993). Periodontal tissue response to orthodontic movement of teeth with infrabony pockets. American Journal of Orthodontics and Dentofacial Orthopedics, 103(4), 313-319.
Zasčiurinskienė, E., Lindsten, R., Slotte, C., Bjerklin, K. (2016) Orthodontic treatment in periodontitis-susceptible subjects: a systematic literature review. Clinical and Experimental Dental Research , 2, 162 -173.
Zasčiurinskienė, E., Basevičienė, N., Lindsten, R., Slotte, C., Jansson, H., Bjerklin, K. (2018) Orthodontic treatment simultaneous to or after periodontal cause-related treatment in periodontitis susceptible patients. Part I: Clinical outcome. A randomized clinical trial. in: J Clin Periodontol, 45, 2, S. 213–24.
Zhang, J., Zhang, A.-M., Zhang, Z.-M., Jia, J.-L., Sui, X.-X., Yu, L.-R., Liu, H.-T. (2017) Efficacy of combined orthodontic-periodontic treatment for patients with periodontitis and its effect on inflammatory cytokines: A comparative study. Am J Orthod Dentofacial Orthop, 152, 4, 494–500.






















