Machen wir die Eltern zu Experten für den Mund ihres Kindes!
Säuglinge und Kleinkinder sind keine kleinen Erwachsenen! Deshalb weicht die Mundpflege des Kleinkinds von der eines Erwachsenen ab. Vieles müssen Eltern – neu oder anders – lernen, auch die Eltern, die sich ihre Zähne sehr gut sauber putzen können. Inhalt der neuen BEMA-Positionen ist neben der Beratung der Eltern deren Anleitung zum täglichen Sauberputzen der Kinderzähne. Das Ziel hierbei ist, Ressourcen bei den Eltern zu erkennen und weiterzuentwickeln. Das Prophylaxeteam hat die Aufgabe, durch das Üben der Mundpflege den Eltern die Sicherheit zu geben, dass sie es richtig machen. Das heißt konkret, dass Eltern de facto in die Lage versetzt werden, die Plaque auf den Zähnen ihres Kindes zu erkennen und diese am Zahnfleischrand, in den Zahnzwischenräumen und in den Fissuren effektiv zu beseitigen. Gleichzeitig soll das Kind Freude an der Pflegehandlung der Eltern entwickeln. Eltern, die sich auf diese Art und Weise als selbstwirksam erfahren, übernehmen gerne die Verantwortung für das Sauberputzen der Zähne ihres Kindes.
Was müssen Eltern über die Mundpflege eines Kindes unter drei Jahren (U3) wissen? Was unterscheidet die Mundpflege U3 von der Mundpflege bei einem Erwachsenen? Die Pflege des Mundes ist Teil der Körperpflege eines Kindes von Anfang an. Aus dem Interesse für diesen Bereich des Körpers entwickeln sich Gewohnheit und Selbstverständlichkeit fürs ganze Leben.
„Mundpflege ist etwas Schönes!“
Die Eltern sollen neugierig in den Mund ihres Kindes schauen und fühlen, was sich dort verändert. Durch das Schauen werden Eltern zu Experten (nicht zu Fachleuten!) für ihr Kind. Durch den Vergleich – Wie sah es gestern im Mund aus und wie sieht es heute aus? – erkennen Eltern „Hier stimmt was nicht!” und reagieren automatisch angemessen. Sie fragen den (Zahn)Arzt um Rat. Auch das Kind profitiert von der Pflegehandlung seiner Eltern: Deren liebevoller Blick, der Singsang der elterlichen Stimme, das Sprachbad mit seinen positiven Formulierungen und das achtsame Fühlen des Kieferkamms signalisieren dem zahnlosen Säugling „Mundpflege ist etwas Schönes!”.
Was sehen Eltern und was kann/sollte das Prophylaxeteam den Eltern zeigen? Aus dem weichen und schmalen Kieferkamm wird in den ersten sechs Wochen eine breite und harte Zahnleiste, die Milchzahnkronen sind deutlich als Wölbungen zu erkennen. Im Unterkiefer bilden sich kleine Schlitze, durch die die Zähne sich schieben.
„Hurra, ich bin da!” heißt das Faltblatt (Abbildung 1), das man den Eltern nach dem „Begreifen“ der Zähne ihres Kindes mit nach Hause geben kann. Auf YouTube finden Eltern auf dem Zahnputz-Zauberkanal kurze Videosequenzen, die ihnen ermöglichen, das Gelernte zu Hause in aller Ruhe nochmals anzuschauen. Ob sich Eltern mit einem sauber gewaschenen Finger im Kindermund wohl fühlen oder ihren Finger lieber mit einer Mullwindel oder einem Fingerling schützen, sollte den Eltern zur Auswahl gestellt werden.
Lift the lip! Das Lippenbändchen anschauen!
Das Anschauen des Oberkieferlippenbändchens ist Pflicht (Abbildung 2). Zum einen lernen die Eltern so das Hoch- beziehungsweise Wegschieben der Lippen (Abbildung 2), damit sie die Zähne, die sie später putzen sollen, sehen können. Nur unter Sicht können Eltern den Zahnbelag am Zahnfleischrand und später in den Zahnzwischenräumen beseitigen. Zum anderen soll sich das Kind an das Hochschieben gewöhnt haben, bevor der erste Zahn im Kindermund erscheint.
Ist das Lippenbändchen stark ausgeprägt, verläuft es breit und fleischig bis zur Papilla incisiva hin, dürfen die Eltern nicht horizontal mit der Zahnbürste über die zarte, empfindliche Schleimhaut schrubben. Sie müssen dann die Milchfrontzähne einmal von rechts und einmal von links getrennt reinigen. Die Plaque muss nur gelockert werden! Eltern, die es besonders gut machen wollen, neigen oft zu zu viel Druck. Beides ist dem Kind unangenehm. Brechen die Milchzähne hinter dem breitflächigen Lippenbändchen durch, ist das Kariesrisiko höher, weil es für die Eltern schwieriger ist, den Zahnfleischrand zu erreichen. Trotz der Zahnpflege durch die Eltern können kariöse Läsionen entstehen (Abbildung 3).
Noch bevor der erste Zahn im Kindermund erscheint, soll das Kind selbst mit einer Zahnbürste oder einem Beißring mit integriertem Zahnbürstenkopf spielen dürfen. Die Zahnbürste soll in den Mund, bevor der erste Zahn erscheint, denn dann ist das Spiel reine Lust, reines Vergnügen. Kommt zur Zahnbürste der Zahn hinzu, kommt der Zweck/die Funktion der Zahnbürste ins Spiel: Der rein zweckgebundene Einsatz einer Zahnbürste kann beim Kind Abwehr erzeugen. Der spielerische Einsatz der Zahnbürste vor dem ersten Zahn verringert die Abwehrhaltung eines Kindes entscheidend. Aus diesem Grund machen Eltern gute Erfahrungen mit ihrem Kind, wenn sie zum Fühlen und zur Massage des Kieferkamms einen Fingerling genommen haben und diesen dann fürs Erste-Zähne-sauber-putzen verwenden. Das Kind ist an den Fingerling gewöhnt, bevor der erste Zahn erscheint. Jetzt kommt auf den Fingerling nur noch eine Reiskorngröße fluoridhaltiger Kinderzahnpasta und in fünf bis zehn Sekunden sind die ersten Stückchen Zahn plaquefrei „geputzt”.
Mit der Zahnbürste spielen – vor dem ersten Zahn
Singen die Eltern von Anfang an dazu das Zahnputz-Zauberlied für die KAIplus Systematik (siehe Zahnputzzauberkanal auf YouTube oder www.lagh.de) wird die Mundpflege zu einem positiven Pflegeritual: Freude statt Stress ist das Ziel bei der Mundpflege U3!
Trotzdem fangen manche Kinder an, sich im Alter von einem bis eineinhalb Jahren gegen die Zahnbürste zu wehren. Sie sind in der Autonomie-Phase und wollen alles selber machen. Sie wollen sich selber anziehen, selber essen, selber Zähne putzen. Das Kleinkind will lernen, die angeborene Neugier ist dabei der Hauptmotor des Lernen, es will Unbekanntes erforschen und sich selbst Wissen und Fertigkeiten aneignen. Eltern sollten deshalb das Abgreifen der Zahnbürste zulassen. Wo eine Zahnbürste in den Kindermund passt, passt auch eine zweite hinein. Aus dem Streit um eine Zahnbürste wird so ein geduldiges Spiel mit zwei Zahnbürsten. Statt eine Zahnbürste zu benutzen, machen jetzt zwei Zahnbürsten Sinn: eine fürs Kind (Kinderzahnbürste) und eine für die Eltern (Elternzahnbürste). Erstere darf ruhig zerkaut sein, zweitere muss funktionstüchtig sein – mit geraden Borsten zur effizienten und sanften Plaquebeseitigung.
Während der Autonomie-Phase des Kindes tritt meist zeitgleich ein physiologisches Problem auf. Im normalen Zahndurchbruch erscheint nach den Frontzähnen der erste Milchbackenzahn, dann der Eckzahn und dann der zweite Milchbackenzahn. Wenn jetzt die Eltern in der üblichen Putzrichtung hin und her arbeiten (Abbildung 4 roter Pfeil), berühren sie automatisch das geschwollene Zahnfleisch des durchbrechenden Eckzahns und kurze Zeit später das meist deutlich gerötete und entzündete Zahnfleisch des durchkommenden zweiten Milchbackenzahns. Um hier Schmerzen zu vermeiden, sollte das Prophylaxeteam den Eltern früh genug das Einzelnputzen der Milchmolaren zeigen. Einzeln heißt entweder quer mit der Handzahnbürste (grüner Pfeil in Abbildung 4) oder einzeln mit der elektrischen Zahnbürste oder einer Schallzahnbürste.
Die Beratungsbox
Die LAGH hat zusammen mit Dr. Birgit de Taillez speziell für die neuen Früerkennungsuntersuchungen eine Beratungsbox entwickelt. Darin finden sich viele Infos, praktisches Anschauungsmaterial und eine CD zur Theorie und Praxis der individuellen Prophylaxe U3.
Beide Milchmolaren werden quer geputzt
Das Querputzen, entwickelt zusammen mit Dr. Sabine Bertzbach, hat viele weitere Vorteile:
Der Druck ist beim Querputzen geringer, weil die Bewegungsstrecke kürzer ist.
Die Milchmolaren, insbesondere die Milchfünfer, stehen oft Monate unterhalb der Okklusionsebene und können in der Bewegungsrichtung auf den Kauflächen hin und her gar nicht erreicht werden.
Die tiefen Fissuren der Milchfünfer, insbesondere die okklusal-palatinalen Fissuren, können mit dem Querputzen besser erreicht werden. Die effektive Plaquebeseitigung senkt das Kariesrisiko.
Die Lingualfäche, insbesondere der linguale Zahnfleischrand kann durch zusätzliches, leichtes Kippen der Bürste besser erreicht werden, weil die Zunge die Elternzahnbürste weniger stark verdrängt. Eltern berichten häufig, dass die Zunge des Kindes das Auswischen lingual gar nicht zulässt. Daher liegt bei vielen Kindern Plaque am lingualen Zahnfleischrand der Milchmolaren.
Das Kind würgt beim Sauberputzen der Zähne durch die Eltern weniger, weil die Eltern mit der Zahnbürste gar nicht so weit nach hinten kommen, wenn sie die Bürste einzeln oder quer führen.
Eltern sind schon aufs Querputzen der 6er vorbereitet.
Dass Eltern anders Zähne putzen als das Kind selbst, macht die Aufgabenverteilung zwischen Kind und Eltern deutlich: Kinder üben die Systematik K-A-I fürs Leben, Eltern putzen Kinderzähne sauber.
Interdentalraumreinigung an den Kariesrisikofläche
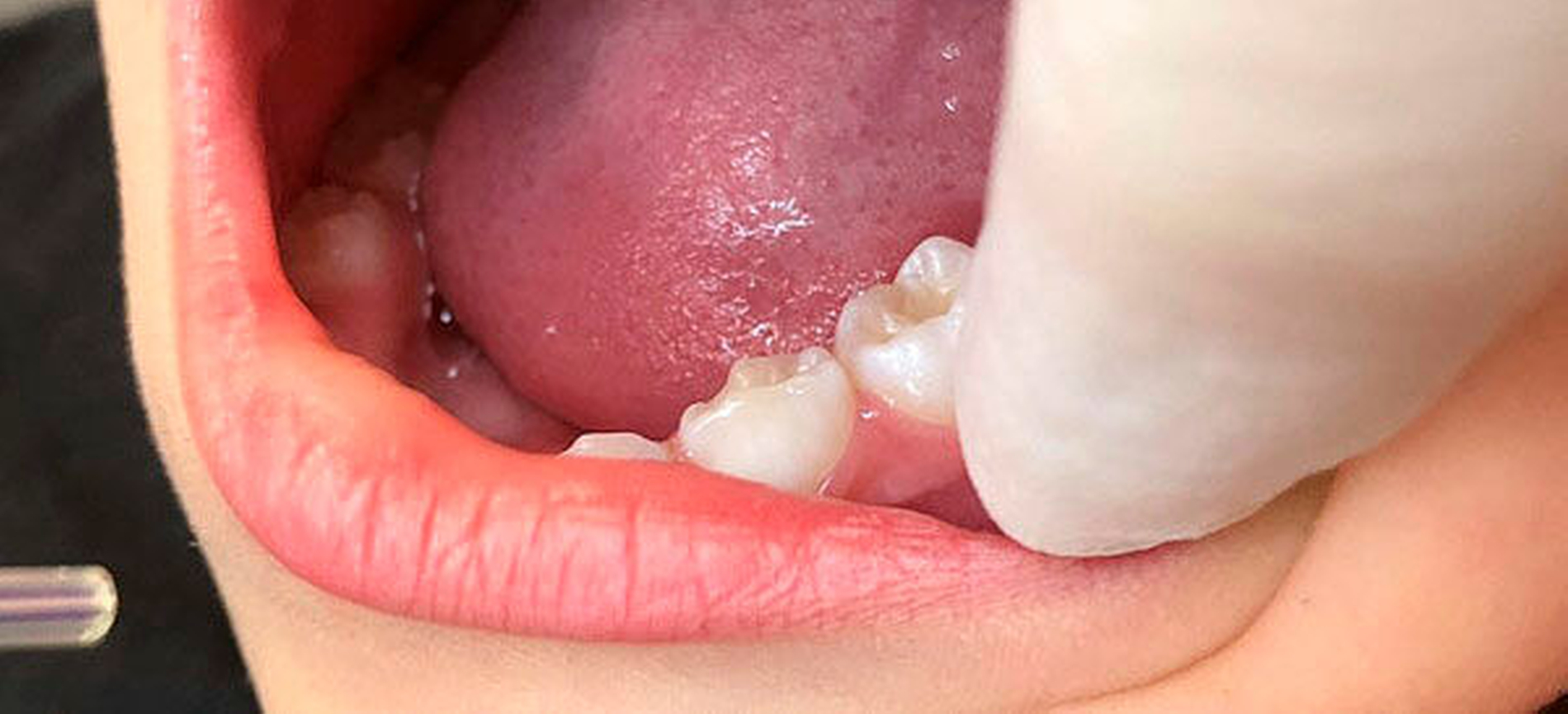
Ab dem Zeitpunkt, an dem sich zwischen Milchvierer und -fünfer ein Kontaktpunkt gebildet hat, müssen Eltern den Raum unter dem Kontaktpunkt (Interdentalraum) zusätzlich reinigen, da dieser mit der Zahnbürste nicht erreicht werden kann. In Abbildung 5 hat sich beim gleichen Kind (2 Jahre und 9 Monate alt) bei 74/75 ein Kontaktpunkt gebildet, 84 und 85 stehen noch, wie im Durchbruch üblich, lückig. Da Front- und Eckzähne in der physiologischen Gebissentwicklung lückig stehen, ist die Anwendung der Zahnseide durch die Eltern meist an nur vier Stellen im Milchgebiss notwendig.
Das Zahnarztteam sollte bei jeder Vorsorge die Kontaktpunkte bei den Kindern mit der Zahnseide selbst prüfen. Auf schwarzer Zahnseide kann Eltern die Plaque besser sichtbar gemacht werden. Sobald Kontaktpunkte vorhanden sind, muss den Eltern die Anwendung der Zahnseide im Mund des Kindes nach der Tell-Show-Do-Methode vermittelt werden. Ob Eltern den Zahnseidefaden oder den Zahnseidestick verwenden, können sie selbst entscheiden. Sind Eltern in der Anwendung der Zahnseide im Kindermund geübt, können sie dann die nächste Kariesrisikostelle, nämlich 6 mesial, auch mit der Zahnseide reinigen. Nach Verlust der Milchfünfer sollen Eltern den Zahnarzt aufsuchen, damit dieser die mesiale Fläche des 6ers anschauen kann. Der Sechsjahrmolar hat recht häufig eine initiale Karies mesial, die zu diesem Zeitpunkt sehr gut therapiert werden kann. Alle Therapieoptionen zur Remineralisation wie zum Beispiel Fluoridlack-Touchierung, Fluoridgel, calciumhaltige Pasten, jedoch auch Curodont repair, ICON, eine Versieglung oder eine minimalinvasive Füllung sind je nach Kariesstadium denkbar.
Dr. Andrea Thumeyer
Zahnärztin in Kriftel und Vorsitzende der Landesarbeitsgemeinschaft Jugendzahnpflege in Hessen (LAGH)
Alle genannten und abgebildeten Faltblätter sowie die Beratungsbox können Zahnarztpraxen für die Beratung von Eltern im Rahmen der neuen Früherkennungsuntersuchungen bestellen. Entsprechende Bestellformulare zum Download stehen im Netz zur Verfügung, Adresse: www.lagh.de.Alternativ finden Sie die Bestellformulare zum Download.











