Basalzelladenom der Parotis
Ein 57-jähriger Mann stellte sich mit einer circa 5 cm großen kugeligen Raumforderung unterhalb des linken Ohrläppchens vor (Abbildung 1). Nach Angaben des Patienten bestand diese progredient wachsende Raumforderung seit etwa drei Monaten. Nebenbefundlich war bei dem Patienten vor mehreren Jahren eine Unterkieferrekonstruktion durch ein mikrovaskulär anastomosiertes Fibulatransplantat bei einem fibromatösen gutartigem Tumor durchgeführt worden. In diesem Rahmen war auch die linke Glandua parotidea partiell entfernt worden. Die allgemeine Anamnese war sonst unauffällig, Nikotinkonsum oder andere mögliche Noxen wurden verneint.
Bei der klinischen Untersuchung zeigte sich der prall-elastische Befund gegen tiefes Gewebe und die unauffällige überliegende Haut verschieblich. Lymphknoten waren nicht tastbar. Bei dem Patienten lag eine schon vorab bekannte Fazialisschwäche im Bereich des Mundastes vor, das Bewegungsvermögen der Augen-, der Nasen- und der Stirnpartie war uneingeschränkt. Zusätzlich war ein Frey-Syndrom links bekannt, weswegen der Patient regelmäßig Injektionen mit Botolinumtoxin erhielt.
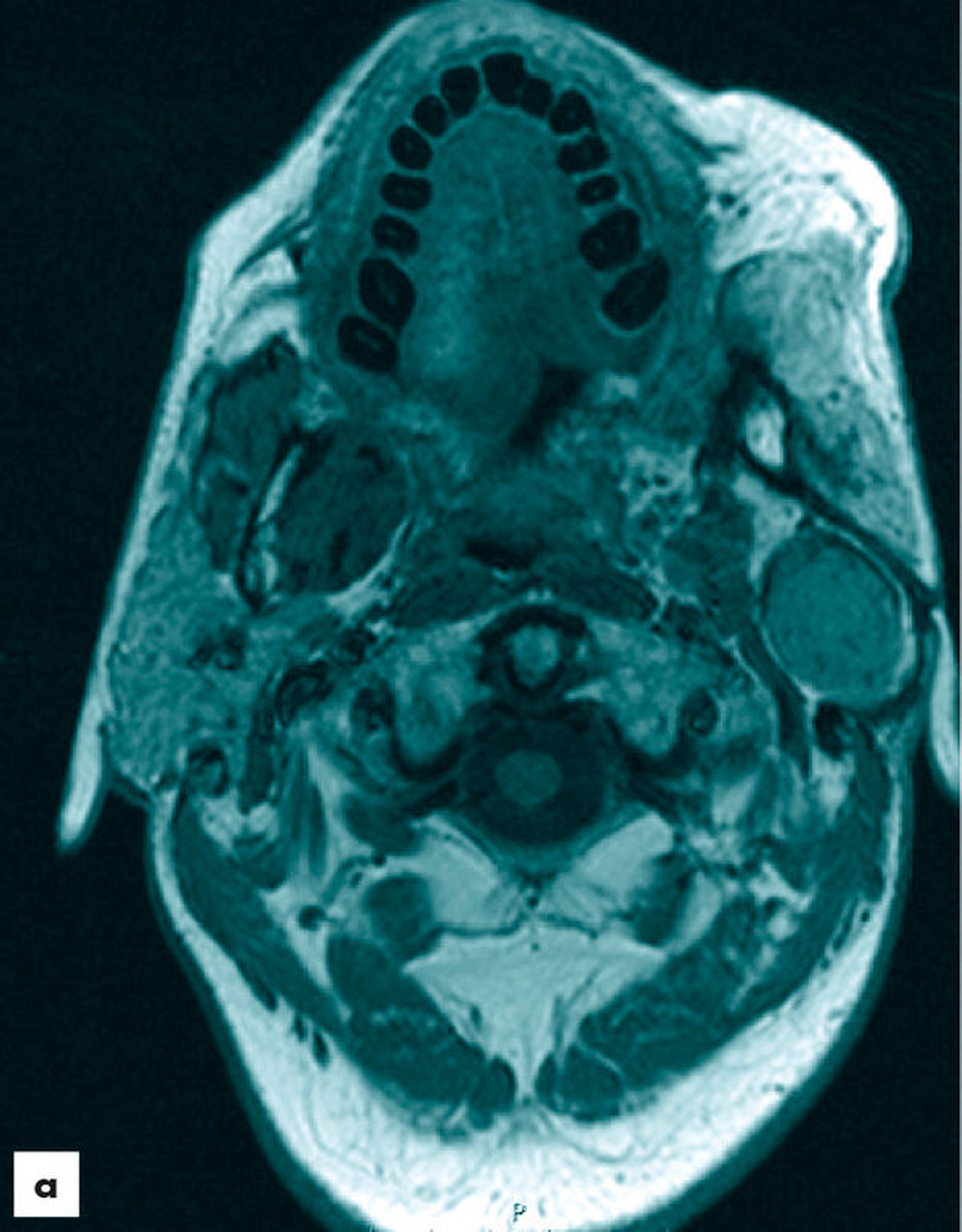
Sonografisch zeigte sich eine gut begrenzte, homogene, hyposonore Raumforderung ohne Nachweis auf eine Hypervaskularisation. Sonomorphologisch bestand damit der Verdacht auf einen gutartigen Speicheldrüsentumor. Zur weiteren Abklärung wurde eine Magnetresonanztomografie durchgeführt. Hierin stellte sich ein circa 4 cm x 3 cm großer, gut abgrenzbarer Tumor unterhalb des linken Ohres dar. Der Tumor zeigte eine Kontrastmittelaufnahme mit homogener Verteilung (Abbildung 2). Auffällige Lymphknoten kamen nicht zur Darstellung. Medial der Unterkieferrekonstruktion zeigte sich ein Parotisrest, der in Verbindung zu der Raumforderung stand. Bildmorphologisch entsprach der Befund einem monomorphen Adenom.
Der Tumor wurde in Vollnarkose unter Monitoring der Fazialisfunktion reseziert (Abbildung 3a).
Hierbei wurde über den alten Zugang die bindegewebig umschiedene, gut abgrenzbare Läsion entfernt. Der Nervus facialis war dem Tumor narbig am Oberpol angehaftet und wurde vom Tumor abpräpariert (Abbildung 3b).
Der Tumor konnte so vollständig entfernt werden (Abbildung 3c). Die histopathologische Beurteilung zeigte monomorphe, basaloid gepackte Zellen mit umgebender Kapsel. Dies entsprach dem Befund eines Basalzelladenoms der Speicheldrüse.
Postoperativ zeigte sich ein stabiler Heilungsverlauf bei anfänglich leichter Schwäche der periokularen Fazialisfunktion, die bereits bei Entlassung rückläufig war. Der Patient befindet sich in der Nachsorge und zeigt aktuell – ein halbes Jahr nach Therapie – keinen Anhalt für ein Rezidiv.
Diskussion
Das Basalzelladenom gehört zur Gruppe der monomorphen Speicheldrüsentumore und repräsentiert mit zwei bis sieben Prozent den dritthäufigsten gutartigen Tumor der Ohrspeicheldrüse, nach dem pleomorphen Adenom (circa 70 bis 80 Prozent der Ohrspeicheldrüsentumore) und dem Warthin-Tumor (circa 25 bis 30 Prozent der Ohrspeicheldrüsentumore) [Zhan, Khaja et al., 2016]. Selten kommt das Basalzelladenom an anderen Lokalisation – zum Beispiel parapharnygeal oder multifokal – vor [Lu, Zhang et al., 2015; Wu, Bao et al., 2018; Schapher, Koch et al., 2019]. Der Tumor betrifft häufiger Frauen als Männer und hat seinen Altersgipfel in der fünften Dekade, Risikofaktoren sind nicht bekannt [Zhan, Khaja et al., 2016].
Leitsymptom ist, wie im vorliegenden Fall und bei den meisten Speicheldrüsentumoren die langsame und schmerzlose Schwellung. Der Tumor ist typischerweise gut von der Umgebung abgrenzbar. Liegt er in tieferen Parotisanteilen, ist ein palpatorischer Nachweis erschwert. Für das Basalzelladenom ist eine maligne Entartung nur in Einzelfällen beschrieben [Lu, Zhang et al., 2015]. Warnzeichen wie Fazialisparese, Schmerzen, Adhärenz an umliegenden Strukturen, Trismus, Lymphadenopathie oder Hautveränderungen können Hinweise für eine Abgrenzung zu einem malignen Tumor sein [Zhan, Khaja et al., 2016]. Im hier vorliegenden Fall war deswegen bei schon vorbestehendem Fazialisdefizit eine Abgrenzung erschwert, eine Abklärung damit dringend indiziert.
Zur primären Diagnostik werden neben der klinischen Untersuchung die Sonografie und Schichtbildgebung mittels Computertomografie (CT) oder Magnetresonanztomografie (MRT) empfohlen. In allen Bildgebungsverfahren zeigt sich meist ein homogener Tumor mit guter Begrenzung, zystische Anteile können vorliegen. Bei oberflächlich gelegenen Tumoren kann die Sonografie ausreichend sein und zeigt in der Regel – wie im vorliegenden Fall – eine gut abgrenzbare, homogene, leicht hyposonore Raumforderung. Im Vergleich zum CT lässt die MRT eine bessere Weichgewebsdiskrimination zu und erlaubt Aussagen über die Differenzierung des Tumors [Mukai, Motoori et al., 2016; Wu, Bao et al., 2018]. Basalzelladenome sind hier isointens zu Muskelgewebe in T1-gewichteten Bildern mit hyperintensem Signal in T2-Bildern und einer homogenen Kontrastmittelaufnahme. Allerdings sind Basalzelladenome auch hier nur sehr schwierig von anderen monomorphen Adenomen abzugrenzen [Mukai, Motoori et al., 2016].
Histopathologisch präsentiert sich das Basalzelladenom als ein basaloid aussehender Tumor aus epithelialen Zellen mit pallisadenartig kleinen, hyperchromen Basalzellen. Je nach Vorliegen an Zellgruppen unterscheidet man einen trabekulären, einen tubulären, einen soliden und einen membranösen Subtyp. Meistens liegt eine fibröse Kapsel vor, die beim membranösen Subtyp allerdings auch fehlen kann [Lu, Zhang et al., 2015].
Bereits präoperativ kann ein Versuch der histologischen Einordnung mittels Feinnadelbiopsie erfolgen. Das Basalzelladenom zeigt hier jedoch überlappende Charakteristika mit adenoidzystischen Karzinomen, Basalzell-Adenokarzinomen und pleomorphen Adenomen [Lu, Zhang et al., 2015; Zhan, Khaja et al., 2016].
Therapie der Wahl ist die chirurgische Entfernung des Tumors durch eine extrakapsuläre Dissektion oder eine (laterale) Parotidektomie. Die extrakapsuläre Dissektion zeigt hierbei eine geringere Komplikationsrate für Fazialisschäden und gustatorisches Schwitzen (Frey-Syndrom) ohne erhöhte Rezidivgefahr. Die Wahl des Verfahrens ist dabei abhängig von der Lokalisation und der Ausdehnung des Tumors [Schapher, Koch et al., 2019].
Differenzialdiagnostisch kommt für das Basalzelladenom der Speicheldrüse jeder andere Speicheldrüsentumor in Betracht. Bildmorphologisch kann die Abgrenzung zu pleo- oder monomorphen Adenomen schwierig sein, histopathologisch ist die diagnostische Aussagekraft der Feinnadelbiopsie eingeschränkt. Differenzialdiagnostisch sollte auch eine Metastasierung von Skalp-/Gesichtstumoren oder auch in seltenen Fällen von Ferntumoren wie Nierenzell- oder Mammakarzinomen ausgeschlossen werden.
Bei vollständiger Entfernung ist die Prognose günstig. Rezidive können jedoch auftreten. Patienten mit einem Basalzelladenom sollten deswegen nach Abschluss der Therapie in einen regelmäßigen Recall zur Nachsorge aufgenommen werden.
Dr. Elisabeth Goetze
Weiterbildungsassistentin
Klinik und Poliklinik für Mund-, Kiefer- und Gesichtschirurgie, Plastische OperationenUniversitätsmedizin MainzAugustusplatz 2, 55131 Mainz
PD Dr. Dr. Peer W. Kämmerer, MA, FEBOMFS
Leitender Oberarzt und stellvertretender Klinikdirektor Klinik und Poliklinik für Mund-, Kiefer- und Gesichtschirurgie, Plastische OperationenUniversitätsmedizin MainzAugustusplatz 2, 55131 Mainz peer.kaemmerer@unimedizin-mainz.de
Fazit für die Praxis
Langsam auftretende, schmerzlose Schwellungen im Bereich der Ohrspeicheldrüse sind ein Hinweis für gutartige Speicheldrüsentumore.
Fazialisparesen im Zusammenhang mit Speicheldrüsentumoren sind als Warnzeichen für einen malignen Tumor zu werten.
Der häufigste gutartige Speicheldrüsentumor ist das pleomorphe Adenom, gefolgt vom Warthin-Tumor und dem Basalzelladenom.
Literaturliste:
Lu, J., W. Zhang, Z. Wang, H. Jia, Y. Ma, H. Wu and M. Xiang (2015). „Basal cell adenoma of the parotid gland: clinical and pathological findings in 29 cases.“ Int J Clin Exp Pathol 8(3): 2899-2908.
Mukai, H., K. Motoori, T. Horikoshi, H. Takishima, Y. Nagai, Y. Okamoto and T. Uno (2016). „Basal cell adenoma of the parotid gland; MR features and differentiation from pleomorphic adenoma.“ Dentomaxillofac Radiol 45(4): 20150322.
Schapher, M., M. Koch, A. Agaimy, M. Goncalves, K. Mantsopoulos and H. Iro (2019). „Parotid pleomorphic adenomas: Factors influencing surgical techniques, morbidity, and long-term outcome relative to the new ESGS classification in a retrospective study.“ J Craniomaxillofac Surg 47(9): 1356-1362.
Wu, T. T., Y. Y. Bao, S. H. Zhou, Q. Y. Wang and L. F. Shen (2018). „Basal cell adenoma in the parapharyngeal space resected via trans-oral approach aided by endoscopy: Case series and a review of the literature.“ Medicine (Baltimore) 97(34): e11837.
Zhan, K. Y., S. F. Khaja, A. B. Flack and T. A. Day (2016). „Benign Parotid Tumors.“ Otolaryngol Clin North Am 49(2): 327-342.













