Kariesmanagement bei Senioren
Die Gruppe der älteren Erwachsenen und Senioren gewinnt für die zahnärztliche Behandlung immer mehr an Bedeutung. Zum einen wächst wegen der gestiegenen Lebenserwartung und der geringen Geburtenraten in vielen Industrieländern sowohl die Gesamtanzahl als auch der relative Anteil älterer Erwachsener an der Bevölkerung. Zum anderen nimmt – anders als bei Kindern und Erwachsenen – der Versorgungsbedarf bei älteren Erwachsenen nicht ab, sondern tendenziell sogar zu [Schwendicke et al., 2018; Jordan et al., 2019; Schwendicke et al., 2018a]. Ein wesentlicher Grund hierfür ist der allgemeine Rückgang der Zahnlosigkeit.
Während vor einigen Jahrzehnten bei Senioren Zahnlosigkeit weit verbreitet war und viele zumindest einen Großteil ihrer Zähne verloren hatten, werden heute die eigenen Zähne aufgrund der Erfolge von Prävention, restaurativer Zahnheilkunde und Parodontologie bis ins hohe Alter hinein erhalten. Damit einhergehend bleibt allerdings auch das Risiko bestehen, dass diese Zähne an Karies oder Parodontitis erkranken. Getriggert werden diese Risiken durch altersbedingte Faktoren – reduzierte manuelle Geschicklichkeit bei der häuslichen Mundhygiene, Rückgang der Speichelfließrate, Freiliegen von Wurzeloberflächen und viele weitere.
Empfehlungen zum Kariesmanagement

In einem Konsensusprozess haben die European Organisation for Caries Research (ORCA) und die European Federation of Conservative Dentistry (EFCD) inklusive der Deutschen Gesellschaft für Zahnerhaltung (DGZ) Empfehlungen zum Kariesmanagement erarbeitet. Grundlage waren mehrere systematische Reviews; die Empfehlungen wurden im Juni 2019 in einem Experten-Workshop diskutiert und mittels eines „e-Delphis“ finalisiert.
Bei dem Online-Konsensusverfahren stimmten 24 durch die Fachgesellschaften entsandte Delegierte über die Empfehlungen ab. Die Ergebnisse wurden in den Zeitschriften „Caries Research“ und „Clinical Oral Investigations“ publiziert.In drei Beiträgen werden in der zm die zentralen Aussagen zum Kariesmanagement für die Altersgruppen Kinder (zm 19/2020, S. 42–49 ), Erwachsene (zm 20/2020, S. 70–75) und Senioren (zm 21/2020) vorgestellt.
Die Gruppe der älteren Erwachsenen ist sehr heterogen (Tabelle 1). Dazu zählen körperlich und geistig rundherum gesunde Erwachsene im Rentenalter („Best-Ager“) wie auch gebrechliche, pflegebedürftige und präfinale Patienten mit multiplen Erkrankungen. Nehmen bei Kindern mit zunehmenden Alter die kognitiven Fähigkeiten und die manuelle Geschicklichkeit im Laufe ihrer Entwicklung zu, nehmen diese bei älteren Erwachsenen mit zunehmendem Alter im Rahmen physiologischer Abbauvorgänge ab. Anders als bei Kindern geschieht dies jedoch individuell in sehr unterschiedlichem Ausmaß und abhängig von bestehenden Allgemeinerkrankungen.
Die zunehmenden Einschränkungen der individuellen Fähigkeiten bestimmen ganz maßgeblich die Durchführbarkeit und Wirksamkeit zahnmedizinischer präventiver und therapeutischer Maßnahmen bei Senioren. Zudem leiden ältere Erwachsene häufiger an Allgemeinerkrankungen und nehmen daher eine Vielzahl an Medikamenten ein. Sowohl die Allgemeinerkrankungen als auch die Nebenwirkungen der Medikamente haben oftmals großen Einfluss auf die orale Gesundheit sowie die Durchführbarkeit und Wirksamkeit zahnmedizinischer präventiver und therapeutischer Interventionen. Auch umgekehrt können orale Erkrankungen und Zustände die Allgemeingesundheit beeinflussen. So gibt es zunehmend Hinweise darauf, dass orale Erkrankungen und die Mundhygiene mit Allgemeinerkrankungen wie Diabetes und respiratorischen Erkrankungen assoziiert sind [Azarpazhooh und Leake, 2006].
Zahnverlust hat nicht nur negative Folgen auf die Ernährung des Patienten, sondern ist auch mit sozialen Einschränkungen [Thomson et al., 2002], einem geringeren Selbstwertgefühl [Hakeem et al., 2019] sowie mit einem erhöhten Risiko für Demenz assoziiert [Yoo et al., 2019]. Aufgrund dieser wechselseitigen Beziehungen zwischen allgemeiner und oraler Gesundheit ist bei Senioren mehr noch als bei anderen Altersgruppen der Zahnarzt in der Rolle als Mediziner gefragt, und eine enge Zusammenarbeit mit allgemeinmedizinischen Kollegen und Spezialisten sowie mit pflegenden Angehörigen und dem Personal ist notwendig.
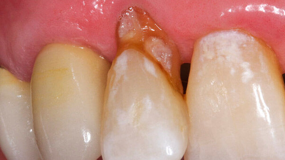
Wurzelkaries
Wurzelkaries ist eine sehr häufige und zunehmende Kariesform bei Älteren [Schwendicke et al., 2018a]. Im zweiten Beitrag dieser Reihe (zm 20/2020) wurde bereits Bezug auf Karies an Restaurationen genommen, die auch bei älteren Erwachsenen verbreitet ist und sich nicht immer klar von Wurzelkaries abgrenzen lässt. Wurzelkaries entsteht an freiliegenden Wurzeloberflächen, wie sie bei älteren Erwachsenen aufgrund parodontaler Vorerkrankungen und physiologischer Alterungsprozesse wesentlich häufiger zu finden sind als in allen anderen Altersgruppen.
Die hohe Anfälligkeit der Wurzeloberflächen für Karies liegt in mehreren Ursachen begründet. Zum einen sind Wurzeloberflächen wesentlich schwieriger zu reinigen als die meisten Schmelzoberflächen und viele Senioren sind aufgrund der abnehmenden manuellen Geschicklichkeit und eines reduzierten Sehvermögens zunehmend weniger in der Lage, ihr Gebiss adäquat selbstständig zu reinigen. Zum anderen sind Dentin und Wurzelzement aufgrund ihrer Zusammensetzung wesentlich anfälliger für Demineralisationen als Zahnschmelz. Dieser Effekt wird dadurch verstärkt, dass freiliegende Wurzeloberflächen anders als der darüber liegende Zahnschmelz keine jahrelange „posteruptive Reifung“ durch Einlagerung von lokal zugeführten Fluoriden erfahren haben. Ebenso kann ein Abtragen von oberflächlichem Wurzeldentin während parodontaler Therapien dazu führen, dass oberflächliche Fluorideinlagerungen verloren gehen.
Abgesehen von den oben genannten Besonderheiten zeigen Wurzelkaries und koronale Karies aber auch Gemeinsamkeiten. Auch Wurzelkaries ist ein dynamischer Prozess, der durch eine Veränderung der pathogenen Faktoren zugunsten einer Remineralisation arretiert werden kann. Hierzu zählen Maßnahmen zur Beeinflussung des Biofilms wie Mundhygienemaßnahmen oder antimikrobielle Substanzen.
Empfehlungen
Die Wirksamkeit von non-invasiven zahnmedizinischen präventiven und therapeutischen Maßnahmen hängt wesentlich von deren Anwendung durch den Patienten ab. Da ältere Erwachsene sehr unterschiedlich dazu in der Lage sind, sollten zahnärztliche Maßnahmen auf die individuellen Möglichkeiten, den Allgemeinzustand, die Unterstützung durch pflegende Angehörige oder das Pflegepersonal abgestimmt werden. Ebenso sollte bei der Festlegung des Recall-Intervalls neben dem individuellen Kariesrisiko berücksichtigt werden, dass sich der Gesundheitszustand bei gebrechlichen Senioren mitunter sehr schnell ändern kann. Da bei gebrechlichen, pflegebedürftigen und/oder dementen Senioren umfangreiche und zeitaufwendige Rehabilitationen, die ein hohes Maß an Mitarbeit des Patienten erfordern, oft nicht möglich sind, sollten pragmatische Ansätze favorisiert und nötigenfalls Kompromisse eingegangen werden. Die Erhaltung von Kaufunktion und Sprache sollte hierbei im Vordergrund stehen (Tabelle 1).
Aktive Wurzelkariesläsionen sollten therapiert werden (Tabelle 2, Abbildung 2). Falls die Zugänglichkeit der Läsion und die Fähigkeiten des Patienten / der Pflegenden es zulassen, sollten non-invasive Maßnahmen gegenüber restaurativen Maßnahmen vorgezogen werden. Hierzu zählen die regelmäßige Reinigung, die Anwendung hochfluoridhaltiger Zahnpasta, Fluorid-Lacke oder Silberdiaminfluorid. Aktive Wurzelkariesläsionen, bei denen non-invasive Maßnahmen allein nicht erfolgreich sind oder scheinen, sollten restaurativ behandelt werden.
Hierfür kommen neben Komposit-Kunststoffen auch kunststoffverstärkte oder konventionelle Glasionomerzemente infrage. Bei eingeschränkten Behandlungsmöglichkeiten (zum Beispiel in Heimen) kann die Atraumatische Restaurationstechnik (ART) einen Kompromiss darstellen, auch wenn hierbei mit höheren Versagensraten zu rechnen ist.
Zusammenfassung
Die Altersklasse der älteren Erwachsenen ist sehr heterogen und mit steigendem Alter vermehrt durch Gebrechlichkeit, Multimorbidität und Multimedikation charakterisiert. Die Auswirkungen auf die orale Gesundheit und Therapiefähigkeit erfordern vom behandelnden Zahnarzt umfassendes medizinisches Wissen und eine gute Zusammenarbeit mit den betreuenden Ärzten und Pflegenden.
Das allgemein geringe Evidenzniveau, auf dem die Empfehlungen des Experten-Workshops der European Organisation for Caries Research (ORCA), der European Federation of Conservative Dentistry (EFCD) und der Deutschen Gesellschaft für Zahnerhaltung (DGZ) beruhen, wie auch die zunehmende Relevanz der Senioren als Patientengruppe für den zahnärztlichen Alltag unterstreichen die Notwendigkeit für verstärkte Forschung in diesem Bereich.
Univ.-Prof. Dr. Sebastian Paris
Leiter der Abteilung für Zahnerhaltung
und Präventivzahnmedizin
Centrum 3 für Zahn-, Mundund
Kieferheilkunde,
Charité – Universitätsmedizin Berlin
Aßmannshauser Str. 4–6, 14197 Berlin
Prof. Dr. Christian H. Splieth
Leiter der Abteilung für Präventive Zahnmedizin & Kinderzahnheilkunde
Universitätsmedizin Greifswald, Zentrum
für Zahn-, Mund- und Kieferheilkunde
Fleischmannstr. 42, 17475 Greifswald
splieth@uni-greifswald.de
Prof. Dr. Falk Schwendicke, MDPH
Leiter der Abteilung für Zahnärztliche Diagnostik, Digitale Zahnheilkunde und Versorgungsforschung
Centrum 3 für Zahn-, Mund- und
Kieferheilkunde,
Charité – Universitätsmedizin Berlin
Aßmannshauser Str. 4–6, 14197 Berlin
Literaturliste
C.H. Splieth, P. Kanzow, A. Wiegand, J. Schmoeckel, A. Jablonski-Momeni, How to intervene in the caries process: proximal caries in adolescents and adults-a systematic review and meta-analysis, Clin Oral Investig (2020).
H. Meyer-Lueckel, V. Machiulskiene, R.A. Giacaman, How to Intervene in the Root Caries Process? Systematic Review and Meta-Analyses, Caries Res (2019) 1-10.
H. Askar, J. Krois, G. Gostemeyer, P. Bottenberg, D. Zero, A. Banerjee, F. Schwendicke, Secondary caries: what is it, and how it can be controlled, detected, and managed?, Clin Oral Investig (2020).
R.S. Santamaria, G. Gül, S. Mourad, G.F. Gomez, A. Ferreira-Zandonna, How to intervene in the caries process: dentine caries in primary teeth, Caries Res (2020 in press).
J. Schmoeckel, K. Gorseta, C.H. Splieth, H. Juric, How to Intervene in the Caries Process: Early Childhood Caries - A Systematic Review, Caries Res (2020) 1-11.
F. Schwendicke, J. Krois, T. Kocher, T. Hoffmann, W. Micheelis, R.A. Jordan, More teeth in more elderly: Periodontal treatment needs in Germany 1997-2030, Journal of clinical periodontology 45(12) (2018) 1400-1407.
R.A. Jordan, J. Krois, U. Schiffner, W. Micheelis, F. Schwendicke, Trends in caries experience in the permanent dentition in Germany 1997-2014, and projection to 2030: Morbidity shifts in an aging society, Sci Rep 9(1) (2019) 5534.
F. Schwendicke, J. Krois, U. Schiffner, W. Micheelis, R.A. Jordan, Root caries experience in Germany 1997 to 2014: Analysis of trends and identification of risk factors, J Dent 78 (2018a) 100-105.
A. Azarpazhooh, J.L. Leake, Systematic review of the association between respiratory diseases and oral health, J Periodontol 77(9) (2006) 1465-82.
W.M. Thomson, A.J. Spencer, G.D. Slade, J.M. Chalmers, Is medication a risk factor for dental caries among older people?, Community Dent Oral Epidemiol 30(3) (2002) 224-32.
F.F. Hakeem, E. Bernabe, W. Sabbah, Association between oral health and frailty: A systematic review of longitudinal studies, Gerodontology (2019).
J.J. Yoo, J.H. Yoon, M.J. Kang, M. Kim, N. Oh, The effect of missing teeth on dementia in older people: a nationwide population-based cohort study in South Korea, BMC Oral Health 19(1) (2019) 61.
Paris et al., How to intervene in the caries process in older adults? Ajoined ORCA and EFCD expert Delphi consensus statement. Caries Res. 2020 DOI: 10.1159/000510843









