Erfolgreich bei Karies und auch bei Fluorose
Allen weißlichen Veränderungen gemein ist der erhöhte Mineralverlust und die somit innerhalb des „White Spots“ erhöhten Anteile an Luft oder Wasser (Speichel). Beide Medien induzieren einen geringeren Brechungsindex (1,0 beziehungsweise 1,33) als der umgebende gut mineralisierte, gesunde Schmelz (1,62). Diesen Unterschied nimmt man als eine weißliche Veränderung wahr [Kidd und Fejerskov, 2004]. Der Infiltrant weist einen ähnlich hohen Brechungsindex (1,52) auf wie der gesunde Schmelz, so dass bei möglichst vollständiger Infiltration eine gute ästhetische Anpassung der Läsion erwartbar ist. Bei älteren kariösen Läsionen sekundär, aber auch bei manchen MIH-Läsionen sowie bei mittelgradiger bis schwerer Fluorose bereits primär, können gelbliche bis schwärzliche Verfärbungen zusätzlich vorhanden sein. Diese sollten möglichst vor der Infiltration entfernt werden – etwa durch Bleichen.
Diagnostik
Die Diagnostik ästhetisch relevanter Veränderungen beruht auf der visuell-taktilen Beurteilung. Wichtiger ist die Abgrenzung der Ätiologie (Tabelle 1) und des Kavitationsgrades des „White Spots“ anhand klinisch sichtbarer Merkmale . Beide Faktoren beeinflussen das klinische Vorgehen und die erwartbaren ästhetischen Ergebnisse.
Klinische Anwendung
Die Arbeitsschritte sind grundsätzlich die gleichen wie bei der approximalen Kariesinfiltration, das heißt Ätzen mit 15-prozentigem Salzsäuregel, Trocknung mit Ethanol und anschließende Infiltration mit einem gebrauchsfertigen Monomer. Eine Trockenlegung kann sinnvoll sein, allerdings sollte insbesondere bei zervikal gelegenen „White Spots“ darauf geachtet werden, dass die Infiltration hierdurch nicht behindert wird, gegebenenfalls ist das Legen eines Retraktionsfadens eine gute Alternative.
Folgende zusätzliche Maßnahmen können bei der Infiltration im sichtbaren Bereich wichtig sein:
stärkere Abrasion der Oberflächenschicht bei inaktiven kariösen Läsionen und allen entwicklungsbedingten Veränderungen durch wiederholtes Ätzen
Wiederbefeuchtungstest zur Vorausschau, ob die Kariesinfiltration zufriedenstellend funktionieren wird
Politur der infiltrierten Zähne
Bei kavitierten Läsionen kann eine Infiltration der unkavitierten Umgebung und eine anschließende Füllung des kavitierten Bereichs erfolgen. Der Infiltrant scheint eine relativ gute Haftung auf Schmelz zu besitzen, so dass zumindest bei sehr kleinen Defekten eine separate Behandlung des Schmelzes nach Infiltration unnötig erscheint [Wiegand et al., 2011].
Ist hingegen Dentin beteiligt, sollte dieser Bereich nach der Infiltration des umgebenden Schmelzes mit einem Dentinadhäsiv behandelt werden. Da der Infiltrant zuvor versehentlich in die Kavität gelangt sein könnte, empfiehlt sich eine vorherige „Anfrischung“ mit einem Hartmetallbohrer oder einem Diamanten.
Maskierung kariöser Zahnflächen
Insbesondere die Maskierung von ästhetisch relevanten, nicht kavitierten kariösen Zahnflächen (vor allem vestibulär an Frontzähnen und Prämolaren), deren Erscheinungsbild durch non-invasive Maßnahmen nicht verbessert werden kann, stellt einen wichtigen Anwendungsbereich der Kariesinfiltration dar.

Hierbei sollte zwischen Läsionen, die bereits einige Zeit oberflächlich remineralisiert sind (inaktive Karies) und solchen, die direkt nach kieferorthopädischer Behandlung mit Multibandapparaturen entdeckt werden, unterschieden werden. Letztere sind relativ einfach nach einmaligem Ätzen zufriedenstellend zu infiltrieren, während bei inaktiven Läsionen wie auch bei Fluorose oder bei MIH die dickere Oberflächenschicht oftmals durch mehrfaches Ätzen entfernt werden muss. |
Initialläsionen nach Kieferorthopädie
Nach Abnahme der Brackets kann bei dezenten – also eher flachen – Läsionen für circa zwei Monate eine natürliche (sichtbare) Remineralisation abgewartet werden, die aufgrund der nun veränderten Reinigungsmöglichkeiten erfolgen könnte. Allerdings ist es bei aus einem normalen Sprechabstand im feuchten Milieu sichtbaren Läsionen sehr unwahrscheinlich, dass diese ohne weitere Maßnahmen verschwinden werden [Knosel et al., 2013; Senestraro et al., 2013]. Vielmehr weisen diese Demineralisationen oftmals bereits eine gewisse Dentinbeteiligung auf, was jedoch keine Kontraindikation für eine erfolgreiche Infiltration der darüber liegenden Schmelzareale darstellt.
Bei inaktiven Läsionen mit bis zu 150 µm dicken, stark mineralisierten Oberflächenschichten sollte mehrfach geätzt werden, um ein optimales Ergebnis zu erzielen (zwei Minuten Ätzen mit 15-prozentigem HCl-Gel entfernt circa 40 µm).
Der sogenannte Wiederbefeuchtungstest mit Ethanol oder Wasser kann einen Hinweis darauf geben, ob genügend Oberflächenschicht entfernt wurde, so dass eine schnelle und möglichst vollständige Infiltration gelingt. Hierbei appliziert man nach dem Ätzen das im zweiten Schritt zu verwendende Ethanol, wodurch innerhalb von etwa drei bis vier Sekunden das ästhetische Erscheinungsbild des Zahns deutlich verbessert werden sollte. Falls dies nicht der Fall ist, ätzt man besser ein weiteres Mal (eine maximal fünfmalige Wiederholung scheint ratsam).

Wenn ein zufriedenstellendes Ergebnis durch Wiederbefeuchtung erreicht wurde, kann man davon ausgehen, dass der Infiltrant anschließend einen noch besseren Maskierungseffekt erreichen wird [Kobbe et al., 2019; Meyer-Lückel et al., 2017].
Zahlreiche klinische Studien mit [Knosel et al., 2013; Senestraro et al., 2013; Eckstein et al., 2015] oder ohne – zunächst nicht infiltrierten – Kontrollzähnen [Hammad et al., 2012; Kim et al., 2011] zeigen zufriedenstellende Maskierungserfolge mittels Kariesinfiltration für einen Beobachtungszeitraum von bis zu zwei Jahren. Sogar Läsionen mit kleineren Schmelzkavitationen können zunächst infiltriert und anschließend mit Komposit ästhetisch optimiert werden [Hammad et al., 2012].
Die Maskierungsergebnisse scheinen auch über längere Zeiträume stabil. Falls es dennoch zu einer Verfärbung im Bereich der infiltrierten Läsion kommen sollte, kann man dies meist mit einer Politur beheben. Auch das Bleichen der Zähne scheint ohne Einschränkungen möglich, wodurch tiefer gelegene Verfärbungen ebenfalls aufgehellt werden können [Araujo et al., 2015]. Allerdings gibt es hierzu noch keine klinischen Daten.
Abbildung 1 zeigt einen kombinierten Fall von kariösen Läsionen an mehreren sichtbaren Zähnen sowie Hypomineralisationen an den oberen mittleren Schneidezähnen (Abbildung 1a). Die kariösen Läsionen sind nach der Behandlung fast vollständig maskiert, während die Hypomineralisationen noch dezent sichtbar sind. Der Patient war auch nach vier Jahren sehr zufrieden mit dem Ergebnis (Abbildung 1b).
Maskierung bei Dentalfluorose
Als Dentalfluorose werden Schmelzveränderungen bezeichnet, die durch zu hohe Fluorideinnahmen während der Zahnentwicklung verursacht sind. Diese treten in sehr unterschiedlichen Schweregraden auf. Beginnend mit weißlich-opaken Linien in der Schmelzoberfläche entlang der Perikymatien bis hin zu erhöhtem Schmelzsubstanzverlust und anatomischen Veränderungen der Zahnkronen.
Zur Maskierung von Fluorosen durch Infiltration mit Icon® gab es bereits bei Einführung der Technik 2009 positive Berichte [Paris und Meyer-Lückel, 2009]. In der Zwischenzeit hat sich bestätigt, dass leichte bis mittlere Fluorosen ähnlich erfolgreich wie kariöse Läsionen behandelt werden können. Oftmals empfiehlt sich, wie bei inaktiven kariösen Läsionen, ein häufigeres Ätzen vor der Infiltration.
Im Fall einer mittelschweren Fluorose (Abbildung 2a) wurde die Kavitation mesial an Zahn 21 während der Infiltrationstherapie ohne weitere Vorbehandlung mit Komposit versorgt. Mit der Infiltration war die Fluorose im Wesentlichen behandelt, trotzdem waren Schattierungen auf der Zahnoberfläche zu erkennen, die sich im Bereich zwischen den Farben Vita A2, A3 und A3,5 bewegten. Durch ein anschließendes In-Office-Bleaching wurde eine gleichmäßige Zahnfarbe (Vita A2) erreicht (Abbildung 2b).
Infiltration entwicklungsbedingter Veränderungen
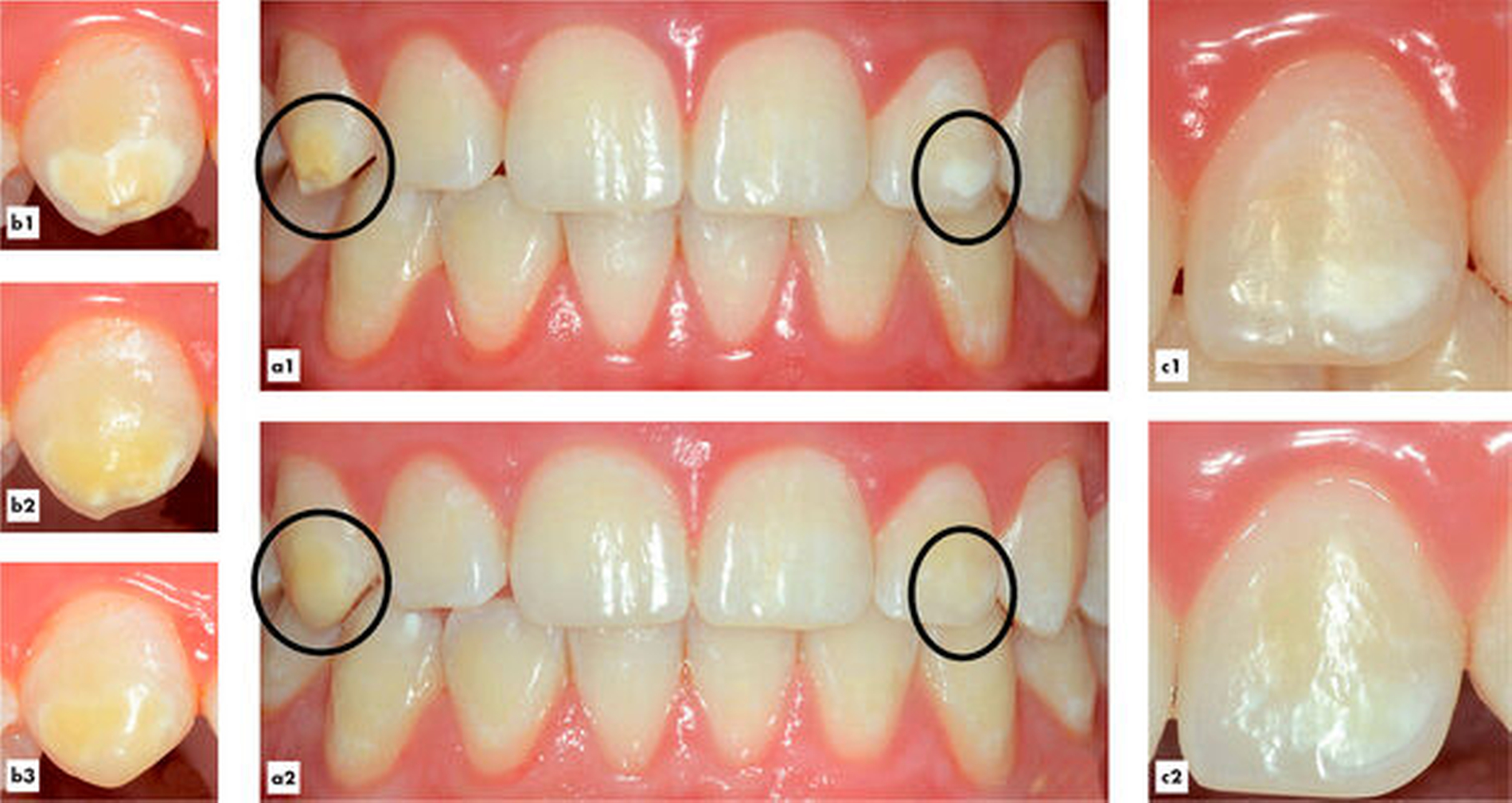
Zur Infiltration von Frontzähnen mit einer ästhetisch relevanten MIH wurden bereits 2011 recht vielversprechende Ergebnisse publiziert [Kim et al., 2011]. Allerdings scheinen diese Läsionen zumindest bei einmaligem Ätzen optisch nicht gleichermaßen gut maskiert werden zu können wie Karies. Insbesondere verfärbte und großflächige Läsionen haben ihre Tücken (Abbildung 3, a1 und a2), so dass oftmals durch vermehrtes oder längeres Ätzen auch tiefere Bereiche der Oberflächenschicht entfernt werden müssen, um ein zufriedenstellendes Ergebnis zu erzielen (Abbildung 3, c1 und c2).
Gegebenenfalls können nicht ausreichend maskierte Bereiche wie auch solche, die bereits vor der Infiltration einen Zahnhartsubstanzverlust aufwiesen, mit einer oberflächlichen Kompositfüllung versorgt werden (Abbildung 3, b1 bis b3). Dieses Vorgehen ist vorteilhaft gegenüber der bisherigen Füllungstherapie ohne zusätzliche Infiltration, da die hypomineralisierten Schmelzbereiche weitestgehend belassen werden können.
Infiltration traumatisch bedingter Hypomineralisationen
Eigene Fälle sowie Fallberichte zu zwei Patienten mit traumatisch bedingter Hypomineralisation [Attal et al., 2014] zeigen die prinzipielle Anwendbarkeit der Kariesinfiltration zur Maskierung. Ein mehrmaliges Ätzen wird hier ebenfalls empfohlen, um nach wiederholten Wiederbefeuchtungstests (siehe oben) den Zeitpunkt der eigentlichen Infiltration zu bestimmen.
Fazit und Ausblick
Der Maskierungseffekt durch Infiltration mit Kunststoffen (ICON®) hat weltweit viel Aufmerksamkeit erfahren. Die diagnostische Unterscheidung weißlicher Veränderungen, oft als „White Spots“ bezeichnet, ist wichtig, um den Behandlungserfolg zu optimieren.
Hinsichtlich der Maskierungseffekte bei Karies liegt inzwischen ausreichend Evidenz vor, die den breiten Einsatz insbesondere nach kieferorthopädischer Behandlung mit Brackets rechtfertigt. Auch die ästhetische Behandlung von leichter bis mittlerer Fluorose gehört ins Indikationsspektrum der Infiltration. Der sogenannte Wiederbefeuchtungstest sowie die gegebenenfalls sich anschließende stärkere Entfernung der Oberflächenschicht sind wichtige Behandlungsempfehlungen. Darüber hinaus sollte man die Erwartungshaltung bei Patienten mit MIH-Läsionen oder traumatisch bedingten Hypomineralisationen gering halten und gegebenenfalls eine Füllung unzufriedenstellend maskierter Bereiche im Anschluss an die eigentliche Infiltration in Erwägung ziehen.
Dieser Beitrag basiert auf der Publikation: Meyer-Lückel, H., Paris, S., Schult, A.: Update Kariesinfiltration 2017; Zahnmedizin up2date, Thieme 2017 (Heft 3, S. 267–290)
Prof. Dr. Hendrik Meyer-Lückel, MPH
Klinik für Zahnerhaltung, Präventiv- und Kinderzahnmedizin Universität Bern, Freiburgstr. 7, CH-3010 Bern - hendrik.meyer-lueckel@zmk.unibe.ch
Dr. Christoph Schmidt
Klinik für Zahnerhaltung, Präventiv- und Kinderzahnmedizin Universität Bern, Freiburgstr. 7, CH-3010 Bern - christoph.schmidt@zmk.unibe.ch
Univ.-Prof. Dr. Sebastian Paris
Abteilung für Zahnerhaltung und Präventivzahnmedizin, Centrum für Zahn-, Mund- und Kieferheilkunde, Charité – Universitätsmedizin Berlin, Aßmannshauser Str. 4–6, 14197 Berlin - sebastian.paris@charite.de
Dr. Andreas Schult
Lohstücker Weg 16, 24576 Bad Bramstedt - zahnpflegepraxis@t-online.de
Literaturliste
1. Kidd, E.A.M. and O. Fejerskov, What constitutes dental caries? Histopathology of carious enamel and dentin related to the action of cariogenic biofilms. J Dent Res, 2004. 83 (Spec. No.): p. C35-38.
2. Wiegand, A., et al., Adhesive performance of a caries infiltrant on sound and demineralised enamel. J Dent, 2011. 39(2): p. 117-21.
3. Knosel, M., A. Eckstein, and H.J. Helms, Durability of esthetic improvement following Icon resin infiltration of multibracket-induced white spot lesions compared with no therapy over 6 months: a single-center, split-mouth, randomized clinical trial. Am J Orthod Dentofacial Orthop, 2013. 144(1): p. 86-96.
4. Senestraro, S.V., et al., Minimally invasive resin infiltration of arrested white-spot lesions: a randomized clinical trial. J Am Dent Assoc, 2013. 144(9): p. 997-1005.
5. Kobbe, C., et al., Evaluation of the value of re-wetting prior to resin infiltration of post-orthodontic caries lesions. J Dent, 2019. 91: p. 103243.
6. Meyer-Lückel, H., S. Paris, and A. Schulte, Kariesinfiltration - update 2017, in Zahnmedizin up2date, H.J. Staehle, Editor. 2017, Thieme: Stuttgart. p. 267-290.
7. Eckstein, A., H.J. Helms, and M. Knosel, Camouflage effects following resin infiltration of postorthodontic white-spot lesions in vivo: One-year follow-up. Angle Orthod, 2015. 85(3): p. 374-380.
8. Hammad, S.M., et al., Effect of resin infiltration on white spot lesions after debonding orthodontic brackets. Am J Dent, 2012. 25(1): p. 3-8.
9. Kim, S., et al., The evaluation of resin infiltration for masking labial enamel white spot lesions. Int J Paediatr Dent, 2011. 21: p. 241-248.
10. Araujo, G.S., et al., Influence of Staining Solution and Bleaching on Color Stability of Resin Used for Caries Infiltration. Oper Dent, 2015. 40(6): p. E250-256.
11. Paris, S. and H. Meyer-Lueckel, Masking of labial enamel white spot lesions by resin infiltration - a clinical report. Quintessence Int, 2009. 40: p. 713-718.
12. Attal, J.P., et al., White spots on enamel: treatment protocol by superficial or deep infiltration (part 2). Int Orthod, 2014. 12(1): p. 1-31.
13. Ekstrand, K.R. and S. Martignon, Visuell-taktile Detektion und Beurteilung in Karies: Wissenschaft & Klinische Praxis, H. Meyer-Lueckel, K.R. Ekstrand, and S. Paris, Editors. 2012, Thieme: Stuttgart - New York. p. 76-94.






