Peripheres Osteom des Unterkiefers
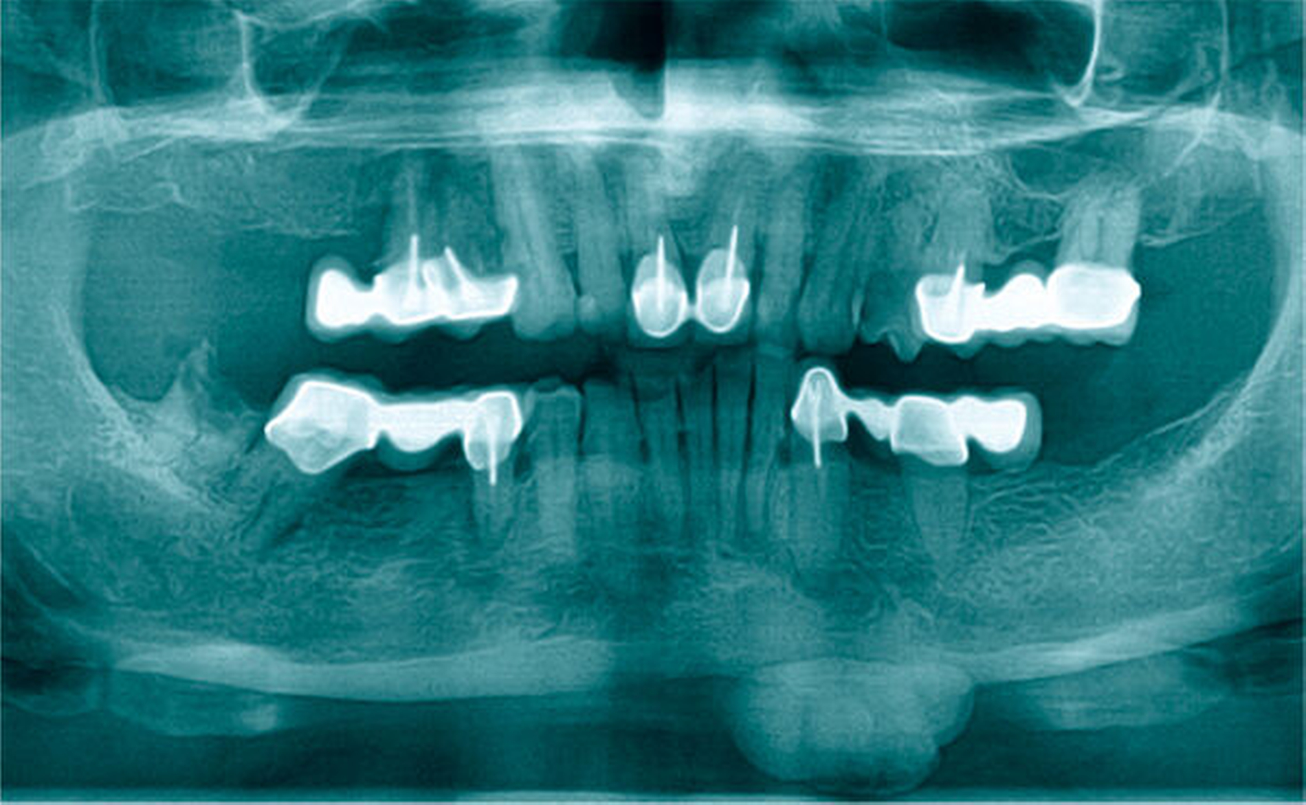
Im Rahmen der klinischen Untersuchung zeigte sich eine nicht-druckdolente, circa 2 cm x 2 cm große, solide, nicht-verschiebliche, knochenfeste Raumforderung submental links (Abbildung 1). Eine alio loco angefertigte Panoramaschichtaufnahme (PAN) zeigte eine knochendichte, scharf begrenzte Verschattung am links-frontobasalen Rand des Corpus mandibulare regio 31 bis 34 (Abbildung 2). Ein dentoalveolärer Zusammenhang konnte in der Zusammenschau von Klinik und radiologischem Befund ausgeschlossen werden.
Die zur weiterführenden dreidimensionalen Diagnostik erstellte digitale Volumentomografie (DVT) zeigte eine 1,9 cm x 2,0 cm x 1,4 cm große, nodulär konfigurierte Raumforderung am basalen Unterkieferrand (Abbildung 3). Infolge der klinischen und der radiologischen Untersuchung wurde die Verdachtsdiagnose eines solitären peripheren Osteoms gestellt und der Patient über die geplante Befundexstirpation sowie die dabei bestehenden Operationsrisiken aufgeklärt.
Zwei Wochen später erfolgte die Abtragung der ossär-konfigurierten Raumforderung in Intubationsnarkose von extraoral unter Zuhilfenahme der Piezosurgery® (Abbildung 4).
Der postoperative Verlauf zeigte sich komplikationslos, sodass der Patient am dritten postoperativen Tag zurück ins häusliche Umfeld entlassen werden konnte.
Das Ergebnis der histopathologischen Nachuntersuchung zeigte eine solide, lamellenartige Struktur des eingesendeten Gewebematerials und bestätigte die Verdachtsdiagnose eines peripheren solitären Osteoms (Abbildung 5).
Die ambulante Nachsorge verlief bei zeitgerechter Wundheilung unauffällig. Weitere Kontrolltermine mit klinischer und radiologischer (PAN) Nachuntersuchung sind nach einem Jahr und nach zwei Jahren vorgesehen.
Diskussion
Eine größenprogrediente Auftreibung des Kieferknochens kann ein Symptom unterschiedlicher Krankheitsbilder sein. Häufig handelt es sich dabei um benigne Veränderungen wie beispielsweise lingual, bukkal oder palatinal gelegene Exostosen (Torus mandibularis / Torus palatinus), Osteoidosteome, Osteoblastome, das peripher ossifizierende Fibrom oder, wie im vorliegenden Fall, um ein peripheres Osteom [Johann et al., 2005; Bulut et al. 2010].
Das Osteom gehört zur Gruppe der gutartigen Tumoren des reifen Knochens, der bevorzugt bei jungen Erwachsenen zwischen dem 20. und dem 50. Lebensjahr auftritt [Kshirsagar et al., 2015] und durch ein langsames Wachstum mit häufig asymptomatischem Verlauf gekennzeichnet ist [Ragupathy et al., 2015; Kucukkurt et al., 2016]. Aufgrund der fehlenden Beschwerden werden Osteome in den meisten Fällen erst als Zufallsbefund im Zuge einer radiologischen Untersuchung diagnostiziert [Celenk et al., 2012; Viswanatha, 2012; Saratziotis und Emanuelli, 2014]. In Abhängigkeit von Lokalisation und Größe kann es jedoch zur Ausbildung von Druckbeschwerden und zu Schmerzen mit zunehmender Intensität infolge der Affektion benachbarter Strukturen kommen. Durch das bevorzugte Auftreten in verschiedenen Regionen des Gesichtsschädels gehören der Kopf- und Gesichtsschmerz daher zu den bekanntesten Symptomen [Larrea-Oyarbide et al., 2008; Manjunatha et al., 2013; Lee et al., 2015]. Dabei sind die Nasennebenhöhlen als Teil des Mittelgesichts am häufigsten betroffen. Das hier beschriebene Auftreten im Bereich der Unterkieferbasis ist vergleichsweise selten zu beobachten [Agrawal et al., 2015; Kucukkurt et al., 2016]. Allgemein stellt der basale Unterkieferrand jedoch die am häufigsten von peripheren Osteomen betroffene Region der Mandibula dar. Ebenfalls, jedoch deutlich seltener, sind der Kondylus sowie die Region des Unterkieferwinkels betroffen [Khan et al., 2013; Manjunatha et al., 2013; Tarsitano und Marchetti, 2013].
Die Pathogenese des Osteoms ist noch nicht geklärt. Einige Autoren gehen von einer osteogenen Neoplasieentstehung infolge lokaler Traumata aus. Eine weitere Theorie beschreibt das periphere Osteom als Exostose / reaktive Läsion im Sinne einer Anpassungsreaktion auf mechanische Zugkräfte [Longo et al., 2001; Kerckhaert et al., 2005; Kaplan et al., 2008].
Histologisch unterteilt man das periphere Osteom in das kompakte „Osteoma durum“ und das spongiöse „Osteoma medullare“, wobei ersteres vorwiegend im Bereich der Schädelknochen vorkommt und im Gegensatz zum „Osteoma medullare“ neben einem dichten, lamellären Knochenmaterial keine markhaltigen Hohlräume beinhaltet [Richardson et al., 1999; Manjunatha et al., 2013]. Grundsätzlich ist ein solitäres von einem multilokulären Auftreten zu unterscheiden, wobei ein multilokuläres Vorkommen als erstes Anzeichen für das Vorliegen eines Gardner-Syndroms gewertet werden kann. Bei dieser zumeist autosomal-dominat vererbten Erkrankung kommt es – neben der multiplen Ausbildung von Knochen- (Kiefer- und Mittelgesichtsknochen) und Weichgewebstumoren – zu einer Variante der familiären adenomatösen Polyposis (FAP). Deshalb sollte der klinische Verdacht stets die Untersuchung des Gastrointestinaltrakts zur Folge haben, um die als obligate Präkanzerose bezeichnete FAP frühestmöglich therapieren können [Jones und Korzcak, 1990; Schulze, 2008]. Generell ist die maligne Entartung von Osteomen als äußerste Rarität zu verstehen und das Auftreten von Lokalrezidiven sehr selten beschrieben [Richardson et al., 1999; Woldenberg et al., 2005; Kucukkurt et al., 2016].
Trotz des vernachlässigbaren Krankheitscharakters wird aufgrund der häufigen Größenprogredienz und den damit einhergehenden funktionellen und ästhetischen Beeinträchtigungen die lokale Osteomabtragung – unter sorgfältiger Betrachtung des operativen Begleitrisikos – empfohlen. Hiernach sollte die obligate histopathologische Gewebeuntersuchung zur definitiven Diagnosesicherung und zum Malignitätsausschluss erfolgen. Zu den benignen Differenzialdiagnosen des Osteoms zählen, wie bereits beschrieben, neben den Exostosen, Osteoidosteomen und Osteoblastomen das peripher ossifizierende Fibrom oder auch das komplexe Odontom. Differenzialdiagnostisch ausgeschlossen werden muss in diesem Zusammenhang insbesondere das hochmaligne Osteosarkom [Johann, de Freitas et al., 2005]. Im Rahmen der Nachsorge empfiehlt sich eine klinische und röntgenologische Kontrolle in sechsmonatigen Intervallen über einen Zeitraum von drei Jahren [Kshirsagar et al., 2015; Goudar et al., 2011].
Dr. Dr. Daniel G. E. Thiem
Weiterbildungsassistent
Klinik und Poliklinik für Mund-, Kiefer- und Gesichtschirurgie, Plastische OperationenUniversitätsmedizin Mainz
Augustusplatz 2, 55131 Mainz
PD Dr. Dr. Peer W. Kämmerer, MA, FEBOMFS
Leitender Oberarzt und stellvertretender Klinikdirektor
Klinik und Poliklinik für Mund-, Kiefer- und Gesichtschirurgie, Plastische OperationenUniversitätsmedizin Mainz
Augustusplatz 2, 55131 Mainz
peer.kaemmerer@unimedizin-mainz.de
Literaturliste
Agrawal, R., et al. (2015). „An Uncommon Case of Solitary Peripheral Osteoma in the Mandible.“ Case Rep Dent 2015: 319738.
Bulut, E., et al. (2010). „Large peripheral osteoma of the mandible: a case report.“ Int J Dent 2010: 834761.
Celenk, F., et al. (2012). „Paranasal sinus osteomas.“ J Craniofac Surg 23(5): e433-437.
Johann, A. C., et al. (2005). „Peripheral osteoma of the mandible: case report and review of the literature.“ J Craniomaxillofac Surg 33(4): 276-281.
Jones, K. and P. Korzcak (1990). „The diagnostic significance and management of Gardner's syndrome.“ Br J Oral Maxillofac Surg 28(2): 80-84.
Kaplan, I., et al. (2008). „Solitary central osteoma of the jaws: a diagnostic dilemma.“ Oral Surg Oral Med Oral Pathol Oral Radiol Endod 106(3): e22-29.
Kerckhaert, A., et al. (2005). „A giant osteoma of the mandible: case report.“ J Craniomaxillofac Surg 33(4): 282-285.
Khan, S., et al. (2013). „Solitary osteoma of body of the mandible.“ Journal of Orofacial Sciences 5(1).
Kshirsagar, K., et al. (2015). „Solitary Peripheral Osteoma of the Angle of the Mandible.“ Case Rep Dent 2015: 430619.
Kucukkurt, S., et al. (2016). „Peripheral osteoma in an unusual location on the mandible.“ BMJ Case Rep 2016.
Larrea-Oyarbide, N., et al. (2008). „Osteomas of the craniofacial region. Review of 106 cases.“ J Oral Pathol Med 37(1): 38-42.
Lee, D. H., et al. (2015). „Characteristics of paranasal sinus osteoma and treatment outcomes.“ Acta Otolaryngol 135(6): 602-607.
Longo, F., et al. (2001). „Solitary osteoma of the mandibular ramus: report of a case.“ J Oral Maxillofac Surg 59(6): 698-700.
Manjunatha, B. S., et al. (2013). „Peripheral osteoma of the body of mandible.“ BMJ Case Rep 2013.
Ragupathy, K., et al. (2015). „Peripheral Osteoma of the Body of Mandible: A Case Report.“ J Maxillofac Oral Surg 14(4): 1004-1008.
Richardson, P. E., et al. (1999). „Radiopaque mass in the submandibular region.“ J Oral Maxillofac Surg 57(6): 709-713.
Saratziotis, A. and E. Emanuelli (2014). „Osteoma of the medial wall of the maxillary sinus: a primary cause of nasolacrimal duct obstruction and review of the literature.“ Case Rep Otolaryngol 2014: 348459.
Schulze, D. (2008). „Radiographic diagnostics: Osteoma of the left mandibular notch.“ Quintessence Int 39(8): 702-703.
Tarsitano, A. and C. Marchetti (2013). „Unusual presentation of obstructive sleep apnoea syndrome due to a giant mandible osteoma: case report and literature review.“ Acta Otorhinolaryngol Ital 33(1): 63-66.
Viswanatha, B. (2012). „Maxillary sinus osteoma: two cases and review of the literature.“ Acta Otorhinolaryngol Ital 32(3): 202-205.
Woldenberg, Y., et al. (2005). „Peripheral osteoma of the maxillofacial region. Diagnosis and management: a study of 14 cases.“ Med Oral Patol Oral Cir Bucal 10 Suppl 2: E139-142.












