Herz-Kreislauf-Erkrankungen und ihre oralen Implikationen
Die wachsende Lebenserwartung der westlichen Bevölkerung impliziert eine Zunahme chronischer Krankheiten. Zahlreiche Allgemeinerkrankungen führen nicht nur zu Einbußen der körperlichen Beweglichkeit und der mentalen Leistungsfähigkeit, sondern können sich auch direkt oder durch eine begleitende Medikation negativ auf den oralen Gesundheitszustand auswirken und eine individuelle Anpassung von zahnärztlichen Behandlungsmaßnahmen erforderlich machen.
Dazu gehören neben dem Diabetes mellitus als häufigste Stoffwechselerkrankung zahlreiche Herz-Kreislauf-Erkrankungen. Nachfolgend werden Krankheiten des Herz-Kreislauf-Systems beschrieben, die relevanten Einfluss auf orale Leiden und/oder die zahnärztliche Therapie haben.
Herz-Kreislauf-Erkrankungen
Herz-Kreislauf-Erkrankungen verursachen etwa 40 Prozent aller Todesfälle und sind damit die führende Todesursache in Deutschland [Destatis, 2021]. Die wichtigsten Erkrankungen mit zahnärztlicher Relevanz sind in Tabelle 1 aufgeführt.
Arterielle Hypertonie
Ein dauerhaft erhöhter Blutdruck ist einer der bedeutendsten Risikofaktoren für eine hypertensive Herzkrankheit, arteriosklerotische Gefäßveränderungen, ischämische Herzerkrankungen und Schlaganfälle sowie für eine Niereninsuffizienz [Sprint Research Group, 2015]. Für die Blutdruckwerte gilt gemäß der European Society of Cardiology [ESC, 2018] die in Tabelle 2 dargestellte Einteilung.
Periphere arterielle Verschlusskrankheit (pAVK) / Karotisstenose
Die pAVK ist ein durch Gefäßverengung bedingter Durchblutungsmangel in den Beinen oder – seltener – den Armen. Wegen der oft typischen Schmerzen beim Gehen wird sie umgangssprachlich auch als „Schaufensterkrankheit“ bezeichnet. Ein hoher Prozentsatz von Patienten mit einer pAVK entwickelt im Sinne einer generalisierten Atherosklerose auch eine Karotisstenose. Bei dieser Sonderform, der zerebrovaskulären arteriellen Verschlusskrankheit (cAVK), handelt es sich um eine durch Arteriosklerose entstandene Verengung (Stenose) der hirnversorgenden Halsschlagader (Arteria carotis interna). Bei einer Karotisstenose sind je nach Ausprägung der Gefäßveränderungen keine Beschwerden bis hin zu lebensbedrohlichen Zuständen möglich. Risikofaktoren für beide Erkrankungen sind arterielle Hypertonie, Hypercholesterinämie, Diabetes mellitus, Rauchen und ein höheres Lebensalter.
Zahnärztliche Behandlung bei kardiovaskulären Erkrankungen
In drei Beiträgen geben die Autoren einen Überblick über das Thema – von der Vorstellung der kardiovaskulären Erkrankungen (Teil 1 in der zm 19/2021) über die patientenindividuelle Anpassung der zahnärztlichen Behandlung (Teil 2 in der zm 20/2021) bis zum Umgang mit kardiovaskulären Notfällen (Teil 3 in der zm 21/2021).
Die Therapie besteht bei der pAVK zunächst aus der Ausschaltung beziehungsweise Minimierung der begleitenden Risikofaktoren (Rauchen, Behandlung von Bluthochdruck, Diabetes oder Fettstoffwechselstörungen) und einer ausgewogenen Ernährung mit viel Bewegung [Libby Everett, 2019]. Durch eine zusätzliche Medikation mit vasoaktiven Medikamenten (zum Beispiel Cilostazol®, Naftidrofuryl®) kann eine Verbesserung der Gehleistung erzielt werden [G-BA, 2011]. In fortgeschrittenen Stadien kann die Durchblutung oft nur noch durch eine endovaskuläre Dilatation, gefäßchirurgische Revaskularisationen mit einer Ballonangioplastie, Stentversorgung, Entfernung von Plaques oder einer Bypassoperation verbessert werden. Zur Therapie der Karotisstenose stehen in Abhängigkeit vom Stenosegrad und den Beschwerden konservativ medikamentöse Verfahren (Plättchenaggregationshemmung, CSE-Hemmer), die endovaskuläre Behandlung (Karotis-Stenting) und zur Beseitigung der Plaques offen-chirurgische (Karotis-Endarteriektomie) Eingriffe zur Verfügung [Eckstein et al., 2020].
Koronare Herzkrankheit (KHK)
Die KHK ist gekennzeichnet durch arteriosklerotische Veränderungen der Herzkranzgefäße (Abbildung 1a). Die Folge kann eine verminderte Durchblutung und dadurch bedingte Schädigung der Herzmuskulatur sein. Klinische Korrelate für die gestörte Koronardurchblutung sind die Angina pectoris (Brustenge) und Herzrhythmusstörungen bis hin zum plötzlichen Herztod. Ein Herzinfarkt mit nachfolgender Herzinsuffizienz stellt eine bedeutsame Komplikation der KHK dar. Als Therapie kommen bei der Erkrankung der kleineren Gefäße Medikamente (Nitrate, Betarezeptorenblocker, Calcium-Kanal-Blocker) und bei Beteiligung der großen Koronargefäße bevorzugt die Dilatation/Stentversorgung im Rahmen einer interventionellen Therapie oder einer Operation (aortokoronare Bypass-Versorgung) in Betracht (Abbildungen 1b und 1c).
Herzinfarkt, Schlaganfall
Eine kritische Unterbrechung des Blutflusses in einem Koronargefäß des Herzens oder der versorgenden Hirnarterien ist die Hauptursache für einen Herzinfarkt respektive Schlaganfall. Durch eine Ischämie oder austretendes Blut bei einer Ruptur von Hirngefäßen (hämorrhagischer Schlaganfall) kommt es zu einer Zerstörung des von der Durchblutung abhängigen Gewebes. Die Folgen eines Herzinfarkts beziehungsweise Schlaganfalls hängen unter anderem vom Ausmaß des ischämischen Gewebes und der Lokalisation ab. Bei vielen Patienten, die einen Herzinfarkt überlebt haben, sind bleibende Schäden des Herzmuskels die Folge. Im weiteren Verlauf können sich eine chronische Herzschwäche (Herzinsuffizienz) und/ oder Herzrhythmusstörungen einstellen, die eine spezifische Langzeittherapie erfordern. Die Auswirkungen nach einem Schlaganfall sind bei den Patienten sehr unterschiedlich und können verschiedene Teilfunktionen betreffen. Zu den häufigsten Beeinträchtigungen nach einem Schlaganfall gehören Lähmungen, Bewegungsstörungen, Sprach-, Sprech- und Schluckstörungen. Patienten, die einen Herzinfarkt oder einen Schlaganfall erlitten haben, müssen zum Schutz vor erneuten Gefäßverschlüssen langfristig meist mehrere Medikamente einnehmen (Tabelle 3).
Arrhythmien
Mit zunehmendem Alter kommt es auch bei herzgesunden Menschen zu einer kontinuierlichen Zunahme von Herzrhythmusstörungen in Form von Extrasystolen [Manolio et al., 1994]. Diese Extrasystolen sind in der Regel völlig harmlos und erfordern keine spezifische Behandlung. Bei kardiologischen Patienten hingegen finden sich sowohl Störungen in der Erregungsbildung (zum Beispiel als Sinusknotensyndrom) als auch Störungen der Erregungsleitung (zum Beispiel unterschiedliche Formen von AV-Blockierungen). Das häufigste Symptom einer kardialen Arrhythmie ist die bewusste Wahrnehmung des Herzschlags, die sich in einem sogenannten „Herzstolpern“ äußert. Wahrgenommen wird dabei meist nicht der Extraschlag selbst, sondern der erste reguläre Schlag nach einer mehr oder weniger langen Pause im Anschluss an den Extraschlag, da dieser zu einer stärkeren kardialen Kontraktion führt.
Bei länger dauernden Beschwerden oder bei einem gleichzeitigen Auftreten von Schwindel oder Bewusstseinsstörungen sind eine kardiale Abklärung und gegebenenfalls therapeutische Maßnahmen notwendig. Therapeutisch stehen verschiedene Methoden zur Verfügung. Diese richten sich unter anderem nach der kardialen Grunderkrankung, Begleiterkrankungen sowie dem klinischen Erscheinungsbild und bestehen im Einsatz unterschiedlicher Medikamente, der Elektrokardioversion (insbesondere zur Terminierung von Vorhofflimmern) und katheterablativer Maßnahmen, die in den meisten Fällen und im Gegensatz zu anderen Therapieformen ein kuratives Verfahren darstellen. Bei der medikamentösen Therapie kommen Antiarrhythmika im engeren Sinne, Betarezeptorenblocker und Kalzium-Kanal-Blocker zur Anwendung. Werden Vorhofflimmern oder -flattern und ein entsprechendes Risikoprofil nachgewiesen, kommt in der Regel eine orale Antikoagulation zur Prävention thromboembolischer Ereignisse in Betracht. Bei ausgeprägten Formen von bradykarden Rhythmusstörungen erfolgt größtenteils die Versorgung mit einem Herzschrittmachersystem. Bei anhaltenden, rezidivierenden oder lebensbedrohlichen Formen ventrikulärer Tachykardien ist zur Prävention des plötzlichen Herztodes die Versorgung mit einem kombinierten Kardioverter/Defibrillator die Therapie der Wahl.
Entzündliche Herzerkrankungen
Bei den verschiedenen Formen entzündlicher Erkrankungen des Herzens unterscheidet man eine Endokarditis (Entzündung der Herzinnenhaut, typischerweise der Herzklappen), Myokarditis (entzündliche Erkrankung des Herzmuskels), Perikarditis (Entzündung des bindegewebigen Herzbeutels) und eine Pankarditis (Entzündung des gesamten Herzens). Entzündliche Herzerkrankungen können zur Entstehung einer Herzklappeninsuffizienz, zu Herzrhythmusstörungen, zur Herzinsuffizienz oder zu narbigen Verwachsungen und Verkalkungen des Herzbeutels (bei einer Perikarditis) führen. Patienten mit durchgemachter Endokarditis bleiben Risikopatienten im Zusammenhang mit allen schleimhautverletzenden Eingriffen und bedürfen daher einer konsequenten Endokarditisprophylaxe [Wilson et al., 2007].
Herzklappenerkrankungen
Eine Herzklappenerkrankung ist die Folge einer Behinderung des normalen Blutflusses im Herzen durch eine Verengung (Klappenstenose) oder des Rückflusses durch eine Undichtigkeit (Klappeninsuffizienz). Herzklappenerkrankungen können ebenso wie kongenitale Herzfehler von Geburt an bestehen oder sich im Laufe des Lebens als Folge von Infektionen oder von degenerativen Veränderungen entwickeln. Die überwiegende Mehrheit von Herzklappenschädigungen tritt mit zunehmendem Alter auf [Lung et al., 2003]. Eine Herzklappenerkrankung kann bei geringer Ausprägung medikamentös, bei höheren Schweregraden durch minimal-invasive Eingriffe oder durch Klappenprothesen behandelt werden. Therapie der Wahl bei hochgradiger Mitralklappeninsuffizienz ist, wenn immer möglich, die operative Klappenrekonstruktion, die heute auch minimal-invasiv durchgeführt werden kann [Gillinov und Cosgrove, 2003]. Sekundäre hochgradige Mitralklappeninsuffizienzen infolge Klappenringdilatation als Folge einer Herzinsuffizienz können heute durch katheterinterventionelle Verfahren (Segelraffung durch Mitraclip) oder durch Ringraffung (Carillon) therapiert werden.
Wenn durch eine medikamentöse Therapie der Krankheitsverlauf nicht wesentlich beeinflusst werden kann, eine Herzklappenrekonstruktion nicht möglich ist oder die hämodynamische Situation und das klinische Befinden des Patienten kritisch sind, ist zur Verhinderung einer weiteren Verschlechterung ein Herzklappenersatz durch eine mechanische Prothese oder eine biologische Klappe unumgänglich. Der operative Herzklappenersatz kann offen-chirurgisch oder minimal-invasiv, zum Beispiel als Transkatheter-Aortenklappenimplantation (TAVI), erfolgen.
Grundsätzlich ist bei allen Patienten mit einer mechanischen Herzklappenprothese eine lebenslange Medikation zur Abschirmung (orale Antikoagulantien zum Beispiel durch Marcumar®) notwendig, um eine Klappendysfunktion infolge einer Thrombenbildung zu verhindern [Gohlke-Bärwolf, 2001].
Während nach einer Herzklappenrekonstruktion mit Fremdmaterial eine Endokarditis-Prophylaxe nur für eine begrenzte Dauer von sechs Monaten nach dem Eingriff notwendig ist, benötigen alle Patienten mit einem Klappenersatz (biologisch und mechanisch) bei fieberhaften bakteriellen Infekten oder bei bestimmten invasiven Eingriffen (zum Beispiel im Mund-Rachen-Raum) eine Endokarditis-Prophylaxe, um eine Entzündung im Bereich der Klappe zu vermeiden [Glück, 2019].
Herzschwäche (Herzinsuffienz)
Die Herzschwäche ist keine eigenständig Erkrankung, sondern meist die Folge einer vorbestehenden Erkrankung. Zu den häufigsten Ursachen für eine Herzinsuffienz gehören unter anderem:
Genetische Faktoren
Koronare Herzkrankheit (KHK)
Herzinfarkt
Herzklappenfehler
Kardiopathie
Bluthochdruck
Diabetes
Schlafapnoe
Krebstherapie (Chemotherapie und/oder Strahlentherapie)
Eine nachlassende Leistungsfähigkeit sowie Luftnot und Ödeme sind Leitsymptome der Herzinsuffizienz. Entsprechend der Einteilung der New York Heart Association [Dolgin et al. 1994] wird die Herzinsuffizienz in vier Stadien unterteilt:
NYHA-Stadium I: Herzschwäche ohne körperliche Einschränkung
NYHA-Stadium II: Herzschwäche mit leichter Einschränkung bei alltäglichen beziehungsweise mittelschweren körperlichen Belastungen
NYHA-Stadium III: Herzschwäche mit höhergradiger Einschränkung, leichte körperliche Tätigkeiten führen zu Beschwerden
NYHA-Stadium IV: Herzschwäche mit Beschwerden bei Belastung und in Ruhe, Betroffene sind meist bettlägerig
Zur eindeutigen Diagnose der Herzschwäche dienen eine Herz-Ultraschall-Untersuchung sowie ein Belastungs-EKG. Eine Herzinsuffizienz kann nicht geheilt, aber ihr Fortschreiten kann durch eine geeignete Therapie verhindert und die Lebenserwartung und die Lebensqualität können verbessert werden. Die Herzinsuffizienz-Therapie ist abhängig von der Grunderkrankung, die zur Herzinsuffizienz geführt hat, und von den Beeinträchtigungen. Sie besteht hauptsächlich in der Behandlung der Grunderkrankung (zum Beispiel koronare Herzkrankheiten oder Herzrhythmusstörungen), einem gesunden Lebensstil sowie einem regelmäßigen Ausdauertraining und der Einnahme von Herzmedikamenten (Spironolacton, Diuretika, Betablocker, Sacubitril/Valsartan). Bei einigen Formen der Herzschwäche ist der Einsatz eines speziellen Herzschrittmachers – gegebenenfalls mit Defibrillator – notwendig.
Orale Erkrankungen bei Patienten mit Herz-Kreislauf-Erkrankungen
Kardiovaskuläre Erkrankungen haben keine direkte Wirkung auf den oralen Gesundheitsstand. Sekundär können verschiedene, im Rahmen der Erkrankungstherapie verordnete Medikamente Veränderungen im Bereich der Mundhöhle auslösen, die eine besondere Betreuung der betroffenen Patienten erfordert. Zu den unerwünschten Nebenwirkungen einer kardinalen Medikation zählen die Xerostomie und die medikamentös induzierten gingivalen Wucherungen.
Xerostomie
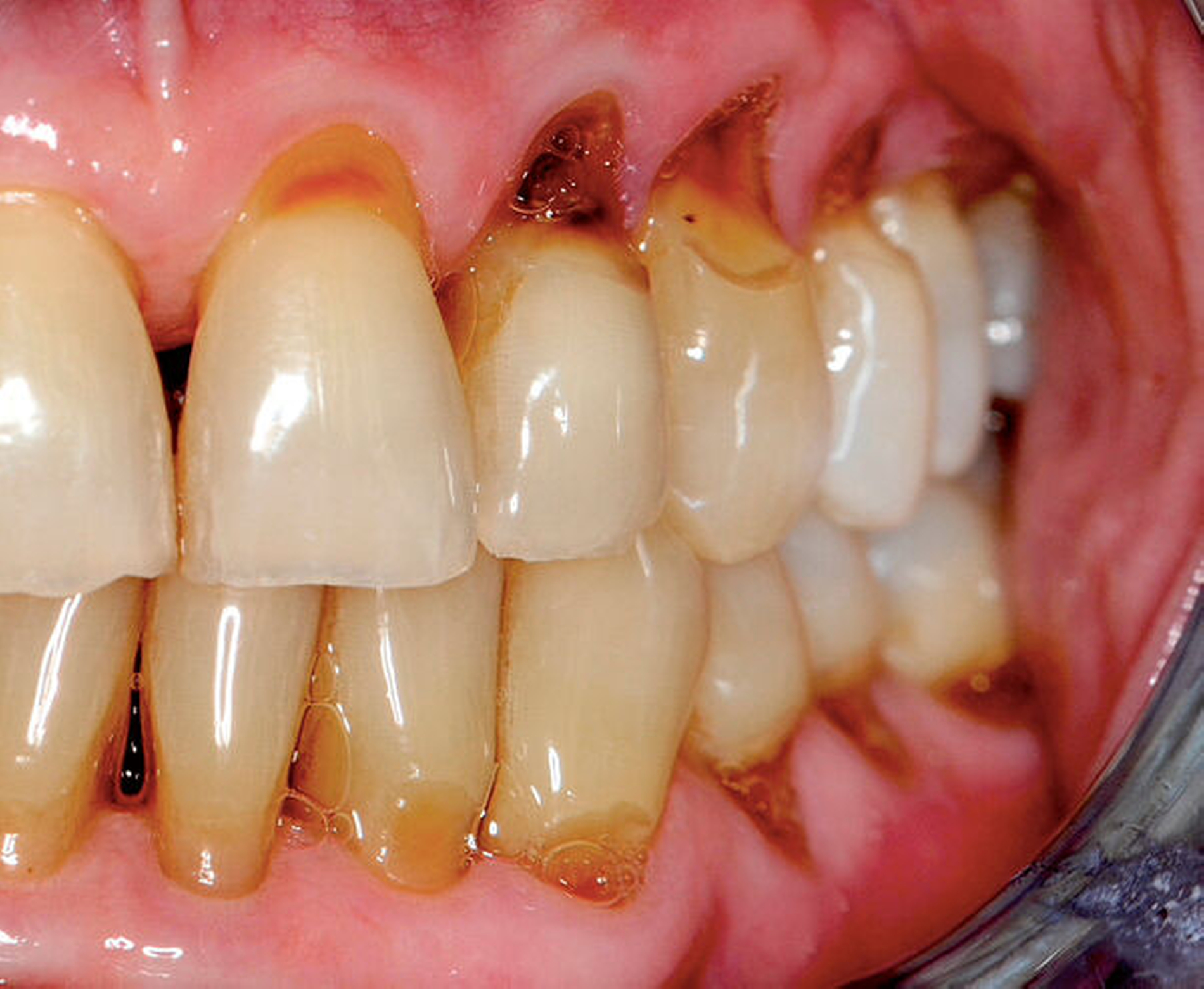
Bei vielen Patienten mit kardiovaskulären Erkrankungen kann es im Verlauf einer dauerhaften Einnahme von Antihypertonika (ACE-Hemmer) und Diuretika (Spironolacton, Thiazide) zu einer Störung der Speichelphysiologie kommen [Nonzee et al., 2012; Prasanthi et al., 2014]. Der verminderte Speichelfluss (Oligosialie) und die daraus resultierende Xerostomie können vorübergehend oder dauerhaft orale und systemische Probleme verursachen. Aus der fehlenden protektiven Wirkung des Speichels resultieren Störungen des ökologischen Gleichgewichts in der Mundhöhle.
Sekundär entwickeln sich oft bakterielle, virale und mykotische Schleimhautinfektionen. Man beobachtet des Weiteren eine progrediente Zunahme kariöser Läsionen an Glattflächen, Füllungs- und Kronenrändern sowie im Bereich von Wurzeloberflächen [Jaschinski et al., 2009] (Abbildung 2a).
Medikamentös induzierte Gingivawucherungen
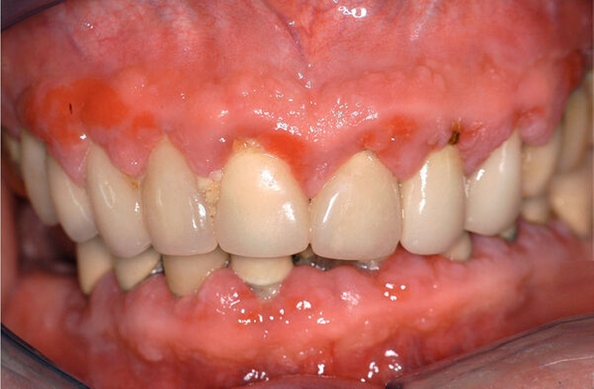
Eine weitere unerwünschte Nebenwirkung der medikamentösen Therapie kardiovaskulärer Erkrankungen sind Veränderungen der gingivalen Strukturen. Bei einer blutdrucksenkenden Medikation mit Kalziumkanal-Blockern (Nifedipin) kann es zu mehr oder weniger stark ausgeprägten gingivalen Wucherungen kommen [Hassel/Hefti, 1991] (Abbildung 3).
Die genauen Vorgänge, die zu den medikamentös-indizierten Gingivawucherungen führen, sind weitgehend unbekannt. Deren Pathogenese ist wahrscheinlich multifaktoriell. Unter dem Einfluss von Kalziumkanal-Blockern kommt es bei Individuen mit entsprechender genetischer Prädisposition nicht nur zu einer gesteigerten Matrixsynthese, sondern auch zu einer verminderten Degradation der Proteine [Kato et al., 2005; Kanno et al., 2008]. Die Entstehung und die Ausdehnung gingivaler Wucherungen sind abhängig von der Pharmakokinetik, der Dosierung sowie der Dauer der Medikation, dem zusätzlichen Gebrauch anderer Medikamente sowie der Anwesenheit harter und weicher Zahnablagerungen und dem gingivalen Entzündungszustand [Hall, 1990].
Beide Formen oraler Veränderungen – die mehr oder weniger stark ausgeprägten Verminderungen des Speichelflusses und die gingivalen Wucherungen – bereiten dem Zahnarzt häufig große Probleme. Als Folge der fehlenden protektiven Wirkung des Speichels können sich kariöse Läsionen – besonders im Bereich der Zahnhälse – 15-mal schneller entwickeln [Jaschinski et al., 2009]. Weiterhin können in fortgeschrittenen Fällen gingivale Wucherungen die Durchführung der Mundhygiene und die Therapie von kariösen Defekten in unmittelbarer Nähe der Gingiva erschweren. Trotz der bestehenden Schwierigkeiten sollte die vom Hausarzt, Kardiologen oder Neurologen verordnete Medikation auf keinen Fall eigenmächtig verändert oder gar abgesetzt werden. Stattdessen empfiehlt sich bei beiden Patientengruppen eine Intensivierung der Plaquekontrolle durch eine individuell abgestimmte Instruktion zur Durchführung der Mundhygiene (MHD) und in kurzen Zeitabständen durchgeführte professionelle Zahnreinigungen (Abbildung 2).
PD Dr. Med. Marcus Wieczorek
Chefarzt der Klinik für Kardiologie/Elektrophysiologie,
St. Agnes Hospital Bocholt, Barloer Weg 125, 46397 Bocholt
und
Fakultät für Gesundheit,
Universität Witten/Herdecke, Alfred-Herrhausen-Str. 50, 58455 Witten
Apl.-Prof. Dr. Peter Cichon
Zahnarztpraxis Leslie Crawford,
Johann-Walling-Str. 1, 46325 Borken
und
Externer Lehrbeauftragter der Universität Witten/Herdecke am Lehrstuhl für Behindertenorientierte Zahnmedizin,
Alfred-Herrhausen-Str. 45, 58455 Witten
Dr. Stefan Klar
Zahnklinik Bochum und Therapiezentrum für Zahnbehandlungsangst,
Bergstr. 28, 44791 Bochum
und
Externer Lehrbeauftragter der Universität Witten/Herdecke,
Alfred-Herrhausen-Str. 45, 58455 Witten
Dr. Christian Späth
Zahnklinik Bochum und Therapiezentrum für Zahnbehandlungsangst,
Bergstr. 28, 44791 Bochum
und
Externer Lehrbeauftragter der Universität Witten/Herdecke
Alfred-Herrhausen-Str. 45, 58455 Witten
Literaturliste
Adams D, Fulford N, Beechy J, MacCarthy J, Stephens M. The cardiac pacemaker and ultrasonic scalers. Br Dent J 1982; 152: 171–173. doi:10.1038/sj.bdj.4804773
American Society of Dentist Anesthesiologists: Parameters of Care. Anesth Prog. 2018 Fall; 65(3): 197–203. doi:10.2344/anpr-65-03-19
American Society of Anesthesiologists: Task Force on sedation and analgesia by non-anesthesiologists. Practice guide- lines for sedation and analgesia by non- anesthesiologists. Anesthesiology 2002; 96:1004–1017.
Bundesärztekammer. Empfehlungen / Richtlinien der Bundesärztekammer. Empfehlungen zur ärztlichen Schweigepflicht, Datenschutz und Datenverarbeitung in der Arztpraxis. Deutsches Ärzteblatt, Heft 21, 23. Mai 2014
Carlson BK. Pacemakers and dental devices. J Am Dent Assoc 2010; 141(9):1052,3: 1053-4. doi: 10.14219/jada.archive.2010.0320. doi:10.14219/jada.archive.2010.0320
Clemm, R., et al.. Management of anticoagulated patients in implant therapy: a clinical comparative study. Clin Oral Implants Res, 2016. 27(10): p. 1274-1282. doi:10.1111/clr.12732
Crossley GH, Poole JE. More about pacemakers. J Am Dent Assoc 2010; 141(9):1; 1053-4. doi: 10.14219/jada.archive.2010.0324.
Dewilde W, TenBerg J. Design and rationale of the WOEST trial: What is the Optimal antiplatElet and anticoagulant therapy in patients with oral anticoagulation and coronary StenTing (WOEST). American Heart Journal Volume 158, Issue 5, November 2009, Pages 713-718. doi:10.1016/j.ahj.2009.09.001
Destatis (Statistisches Bundesamt). Todesursachen, 2020 | Stand: 10.02.2021
Diehl R. et al., Synkopen, S1-Leitlinie, 2020, in: Deutsche Gesellschaft für Neurologie (Hrsg.), Leitlinien für Diagnostik und Therapie in der Neurologie. DGN 2020 Eckstein HH, Kühnl A, Berkefeld J, Lawall H, Storck M, Sander D. Diagnostik, Therapie und Nachsorge der extrakraniellen Karotisstenose Clinical practice guideline: Diagnosis, treatment and follow-up in extracranial carotid stenosis. Dtsch Arztebl Int 2020; 117: 801-7.
Dolgin M, Fox AC, Gorlin R, Levin RI, New York Heart Association. Criteria Committee. Nomenclature and criteria for diagnosis of diseases of the heart and great vessels. 9th ed. Boston, MA: Lippincott Williams and Wilkins; March 1, 1994.
Doyle DJ, Goyal A, Bansal P, Garmon EH. American Society of Anesthesiologists Classification. In: StatPearls [Internet]. Treasure Island (FL): StatPearls Publishing; 2020 Jan.
Eckstein HE, Heider P, Wolf O. Chirurgische Therapieextrakranieller Karotisstenosen
Schlaganfallprophylaxe auf höchstem Evidenzniveau. Deutsches ÄrzteblattJg. 101Heft 418. Oktober 2004.
European Society of Cardiology (ESC), Deutsche Gesells chaft für Kardiologie (DGK): ESC/ESH Pocket Guidelines, Version 2018.
Gemeinsamer Bundesausschuss. Beschluss des Gemeinsamen Bundesausschusses über eine Änderung der Arzneimittel-Richtlinie (AM-RL) in Anlage IV: Therapiehinweis zu Cilostazol. Dtsch Arztebl 2011; 108(46): A-2502 / B-2098 / C-2070
Girotra C et al.: Assessment of the risk of haemorrhage and its control following minor oral surgical procedures in patients on anti-platelet therapy: a prospective study. Int J Oral Maxillofac Surg 2014; 43: 99–106. doi:10.1016/j.ijom.2013.08.014
Glück T. Welche Endokarditisprophylaxe braucht der Patient? MMW - Fortschritte der Medizin 161, 16 (2019)
Gohlke-Bärwolf C. Aktuelle Empfehlungen zur Thrombembolieprophylaxe bei Herzklappenprothesen. Current recommendations for prevention of thromboembolic events in patients with heart valve prostheses. Zeitschrift für Kardiologie 2001; 90, 112-117
Graetz CH, Bräuning A, Plaumann A, Springer C, Kahl M, . Dörfer CH E. Antiinfektiöse Therapie – Instrumente zur Wurzeloberflächenbearbeitung im Fokus. Parodontologie 2016;27(2):165–183
Gould FK, Elliott TSJ, Foweraker J et al..Working Party of the British Society for Antimicrobial Chemotherapy. Guidelines for the prevention of endocarditis: report of the Working Party of the British Society for Antimicrobial Chemotherapy.J Antimicrob Chemother 2006 Jun;57(6):1035-42. doi:10.1093/jac/dkl121
Hall WB, Dilantin hyperplasia: a preventable lesion? Compendium Contin Educ Dent 1990;11(su:ppl 14): 502-505
Hassel TM, Hefti AF. Drug-induced gingival overgrowth: old problem, new problem. Crit Rev Oral Pathol Med 1991; 2:103. doi:10.1177/10454411910020010201
Hellstein JW, Adler RA, Edwards B, Jacobsen PL, Kalmar JR, Koka S, MiglioratiCA, Ristic H. Managing the Care of Patients Receiving Antiresorptive Therapy for Prevention and Treatment of Osteoporosis.Recommendations from the American Dental Association Council on Scientific Affairs. J Am Dent Assoc 2011, 142 (11): 1243-51. doi:10.14219/jada.archive.2011.0108
Hoffmeister HM et al.: Unterbrechung antithrombotischer Behandlung (Bridging) bei kardialen Erkrankungen. Kardiologe 2010; 4: 365–74
Horstkotte D. Stellungnahme der DGZMK V 2.0, Stand 2/99. DZZ 54 (99)
Jacquiéry C, Burkhart F. Beeinflussbarkeit von Herzschrittmachern durch elektrische Geräte. Schweiz. Monatsschr Zahnmed 1993; 103: 987–992
Jaschinski S, Cichon P, Gängler P: Xerostomie – Die zahnärztliche Betreuung betroffener Patienten. ZM 2009; 18: 40–50
Kämmerer PW, Al-Nawas B. Aktuelle S3-LeitlinieZahnärztliche Chirurgie unter oraler Antikoagulation/Thrombozytenaggregationshemmung.ZM 2018. Seite 5 von 6.
www.dgzmk.de/uploads/tx_szdgzmkdocuments/antikoaglang.pdf
Kato T, Okahashi N, Kawai S , Kato T, Inaba H , Morisaki I, Dr. Amano A Impaired Degradation of Matrix Collagen in Human Gingival Fibroblasts by the Antiepileptic Drug
Phenytoin Journal of Periodontology 2005; 76: No.6: 941-950doi:10.1902/jop.2005.76.6.941
Kebschull et al. S3 Leitlinie. Die Behandlung von Parodontitis Stadium I bis III. Deutsche Gesellschaft für Parodontologie e.V. (DG PARO). 2020.
Kempf C. Medizin trifft Zahnmedizin – Teil 3. ZMK.2014
Libby P , Everett BM. Novel Antiatherosclerotic Therapies. Arteriosclerosis, Thrombosis, and Vascular BiologyVolume 39, Issue 4, April 2019, Pages 538-545. doi:10.1161/ATVBAHA.118.310958
Lockhart PB. The risk for endocarditis in dental practice.Periodontol 2000. 2000 Jun;23:127-35. doi: 10.1034/j.1600-0757.2000.2230113.x
Lung B, Baron G, Butchart EG, et al. A prospective survey of patients with valvular heart disease in Europe: The Euro Heart Survey on Valvular Heart Disease. European Heart Journal, Volume 24, Issue 13, 1 July 2003, Pages 1231–1243. doi:10.1016/S0195-668X(03)00201-X
Machtens E, Lemke B, Irnich W. Die zahnärztliche Behandlung von Patienten mit Herzschrittmachern. Stellungnahme der DGZMK 1 / 96 V 1.0 , Stand 5 / 96 DZZ 51 ( 96 )
Matsuura H. Analysis of systemic complications and deaths during dental treatment in Japan. Anes Prog. 1989;36:223–225.
Miller CS, Leonelli FM, Latham E. Selective interference with pacemaker activity by electrical dental devices. Oral Surg Oral Med Oral Pathol Oral Radiol Endod 1998; 85(1): 33-6. doi:10.1016/s1079-2104(98)90394-8.
Manolio TA, Furberg CD, Rautaharju PM, et al... Cardiac arrhythmiason 24-hr ambulatory electrocardiography in older women and men: The Cardiovascular Health Study. J Am Coll Cardiol1 1994; 23: 916-925. doi:10.1016/0735-1097(94)90638-6
Naber CK, Al-Nawas B,Baumgartner H, et al. Prophylaxe der infektiösen Endokarditis. Kardiologe 2007 · 1:243–250. Robert Koch-Institut. DEGS: Studie zur Gesundheit Erwachsener in Deutschland. Hoher Blutdruck: Ein Thema für alle. Ausgabe 4/2015
Nonzee V, Manopatanakul S, Khovidhunkit SO. Xerostomia, hyposalivation and oral microbiota in patients using antihypertensive medications. J Med Assoc Thai. 2012 Jan;95(1):96-104. PMID: 22379748.
Nowak B, Israel CW, Willems S, Bänsch D, Butter C, Doll N, Eckardt L, Geller JC, Klingenheben T, Lewalter T, Schumacher B, Wolpert C.Empfehlungen zum Einsatz von Elektrokautern bei Patienten mit Herzschrittmachern und implantierten Defibrillatoren. Kardiologe 2010. 1 – 5. doi.org/10.1007/s12181-010-0295-x
Petersilka G, Stypmann J. Die Verwendung von Ultraschallscalern bei Patienten mit Herzschrittmachern und implantierten Defibrillatoren. Gemeinsame Wissenschaftliche Mitteilung der Deutschen Gesellschaft für Parodontologie (DG PARO)und der Deutschen Gesellschaft für Zahn-, Mund- und Kiefer heilkunde (DGZMK). Parodontologie 2014;25:325-328
Philippi-Höhne C, M. Daubländer2, K. Becke3, P. Reinhold4, C. Splieth5, G. Beck6 Einsatz von Lachgas zur minimalen Sedierung von Kindern in der Zahnheilkunde. Gemeinsame wissenschaftliche Mitteilung des wissenschaftlichen Arbeitskreises Kinderanästhesie der DGAI und des Interdisziplinären Arbeitskreises Zahnärztliche Anästhesie von DGAI, BDA, DGKiZ und DGZMK
Prasanthi and Natarajan K.Effect of Diuretics on Salivary Flow, Composition and Oral Health Status: A Clinico-biochemical Study. Annals of Medical and Health Sciences Research · July 2014 DOI: 10.4103/2141-9248.139311.·
Roedig JJ, Shah J, Elayi CS, Miller CS. Interference of cardiac pacemaker and implantable cardioverter-defibrillator activity during electronic dental device use. J Am Dent Assoc 2010; 141(5): 521-6. doi: 10.14219/jada.archive.2010.0224
Sanz M, del Castillo AM, Jepsen S et al..Periodontitis and cardiovascular diseases: Consensus report. J Clinc Periodontol. Volume47, Issue3 March 2020. Pages 268-288.https://doi.org/10.1111/jcpe.13189
Schenkein HA, Papapanou PN, Genco R, Sanz M. Mechanisms underlying the association between periodontitis and atherosclerotic disease. Periodontol 2000. 2020;83(1):90-106
Schenkein HA, Papapanou PN, Genco R, Sanz M. Mechanisms underlying the association between periodontitis and atherosclerotic disease. Periodontol 2000. 2020;83(1):90-106. doi:10.1111/prd.12304
Schmalz G, Ziebolz D, Binner C, Garbade J. „Mundgesundheit und zahnmedizinische Betreuungssituation von Patienten mit schweren Herzerkrankungen - einer Versorgungslücke und Konsequenzen für ein interdisziplinäres Behandlungskonzept“. Millerpreis der DGZMK 2020.
Schmelzeisen R. Zahnärztliche Chirurgie bei Patienten mit Antikoagulanzientherapie. Wissenschaftliche Stellungnahmen DGZMK 2001
SPRINT Research Group. Wright et al. A randomized trial of intensive versus standard blood-pressure control". The New England Journal of Medicine. 2015. 373(22):2103-2116. doi:10.1056/NEJMoa1511939
Stiefelhagen P. Perioperatives Gerinnungsmanagement Bei Rivaroxaban ist kein Bridging erforderlich. Arzneimitteltherapie 2013; 31(12)


















