Ausgedehnte Epidermoidzyste des gesamten Mundbodens und des Kinns
Ein 21-jähriger Mann stellte sich zur Abklärung einer schmerzlosen, seit etwa einem Jahr bekannten Schwellung des Kinns und des Mundbodens in unserer Klinik vor. Anamnestisch berichtete er über eine langsam über zwei Jahre hinweg zunehmende Schwellung. Inzwischen bestünden eine deutlich eingeschränkte Zungenbeweglichkeit sowie eine Schluck- und Sprachstörung.
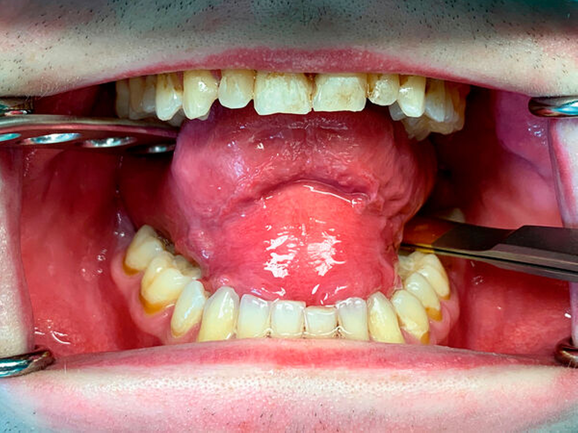
Bei der klinischen Untersuchung zeigte sich eine mäßig ausgeprägte, weiche, schmerzlose submentale Schwellung. Die Haut im Bereich des Kinns war unauffällig. Klinisch bestand keine Vergrößerung der regionalen Lymphknoten oder der Speicheldrüsen (Abbildung 1). Intraoral stellte sich eine deutlich ausgeprägte, weiche Schwellung des Mundbodens mit deutlicher Verdrängung des Zungenkörpers nach palatinal dar. Die Mundschleimhaut war ansonsten unauffällig. Die Speichelsekretion, insbesondere der Glandula submandibularis beidseits, war regelrecht. Außer einem sanierungsbedürftigen Gebiss bei schlechter Mundhygiene waren keine Auffälligkeiten festzustellen (Abbildung 2).
Zur Diagnostik erfolgten eine Sonografie sowie eine Magnetresonanztomografie des Halses. Hierbei kamen zwei voneinander getrennte zystische Raumforderungen submental und im Bereich des Mundbodens zur Darstellung: Die submentale Raumforderung mit einer Größe von maximal 3,5 cm war direkt zwischen der Hautoberfläche und dem M. mylohyoideus, dem Unterkieferknochen angrenzend, lokalisiert. Die zweite Raumforderung mit einer Größe von 6,5 cm erstreckte sich großflächig entlang des gesamten Mundbodens, oberhalb des M. mylohyoideus, mit resultierender Verdrängung der tiefen Zungenmuskulatur und des Zungenkörpers sowie direkter Nachbarschaft zum Ausführungsgang und der Glandula submandibularis beidseitig und ohne Kontakt zum Zungenbein (Abbildungen 3 bis 5).
Aufgrund der Ausdehnung und der Lokalisation beider Läsionen erfolgte die operative Entfernung über einen extraoralen Zugang unter Schonung der Mundbodenstrukturen (Abbildungen 6 und 7). Makroskopisch präsentierten sich zwei ovale, prall-elastische Raumforderungen. Nach Eröffnung entleerte sich reichlich gelblich talgartiger Inhalt (Abbildungen 8 und 9).
Nach der Aufarbeitung des Präparats zeigte das histologische Bild zwei Epidermoidzysten mit dentritischem Material, Nekrosen, abgeschilferten Hornlamellen und Anteilen von Hautanhangsgebilden in Form von Talgdrüsen und Follikelstrukturen.
Diskussion
Bei der Epidermoidzyste handelt es sich um eine entwicklungsbedingte, gutartige Läsion, die auch als gutartige zystische Form des Teratoms klassifiziert wird. Die orale Dermoid- oder Epidermoidzyste entsteht durch versprengte Zelllinien der Dermis oder Epidermis während der Embryonalentwicklung. Davon zu unterscheiden ist die epidermale Einschlusszyste, die durch traumatische Implantation von Epidermisanteilen in die Dermis bei Verletzungen oder operativen Eingriffen entsteht. Histopathologisch werden drei Typen dermaler beziehungsweise subdermaler zystischer Raumforderungen unterschieden: Epidermoidzysten mit plattenepithelialer Auskleidung und umgebendem Bindegewebe, Dermoidzysten mit zusätzlichen Hautanhangsgebilden wie Talgdrüsen und Haaren sowie teratoide Zysten mit mesodermal differenzierten Geweben wie Muskeln, Knochen und Zähnen [Koca et al., 2007; Pancholi et al., 2006; Meyer, 1955].
Fazit für die praxis
Orale Dermoid- oder Epidermoidzyste bilden sich zumeist während der Embryonalentwicklung. Diese weisen einen benignen Charakter auf und entstehen durch versprengte Gewebsanteile der Keimblätter.
Aufgrund des asymptomatischen und langsamen Größenwachstums können die Zysten durch lokale Verdrängung funktionelle Beschwerden wie Sprech-, Schluck- und Atembeschwerden provozieren.
Eine fundamental bedeutsame Rolle kommt der gründlichen klinischen Untersuchung und der adäquaten Diagnostik zu, da differenzialdiagnostisch andere Zysten oder maligne Prozesse in Betracht gezogen werden müssen.
Bei manifesten Befunden stellt die vollständige Entfernung der Zyste die Therapie der Wahl dar. Hierdurch sollen vor allem rezidivierende und komplikationsreich verlaufende entzündliche Prozesse vermieden werden.
Etwa sieben Prozent aller Dermoidzysten befinden sich im Kopf-Hals-Bereich, mit der häufigsten Lokalisation in der periorbitalen Region. Nur etwa 1,6 Prozent dieser Zysten sind in der Mundbodenregion, üblicherweise in der Mitte des Mundbodens zu finden. Andere, seltenere Lokalisationen wie Zunge, Lippen, Uvula, Wangenschleimhaut, Kiefergelenk und Kieferknochen wurden in der Literatur ebenfalls beschrieben. Abhängig von der anatomischen Lokalisation werden die Dermoidzysten des Mundbodens in supramylohyoidal (intraoral und sublingual), inframylohyoidal (cervical) sowie peri-transmylohyiodal (intraoral und cervical) klassifiziert. Durch ein langsames, asymptomatisches, aber stetiges Wachstum der Dermoidzysten können schließlich beachtliche Raumforderungen entstehen, die zu Atem-, Sprech- und Schluckstörungen führen [Shear et al., 2007; Sahoo et al., 2015; Horch, 2002; King et al., 1994; Rosen et al.,1998].
Ergänzend zur klinischen Untersuchung erfolgt meist initial eine Sonografie. Zur Bestimmung der Größe und der Lokalisation sowie zur Abgrenzung des Befunds gegenüber Nachbarstrukturen ist eine Bildgebung mittels Computertomografie oder Magnetresonanztomografie indiziert [Sahoo et al., 2015]. Differenzialdiagnostisch müssen mehrere Erkrankungen, darunter entzündliche Prozesse sowie Tumoren, in Betracht gezogen werden (Tabelle 1) [Sahoo et al., 2015].
Therapie der Wahl ist die Exstirpation in toto. Die Rezidivrate ist gering. Allerdings kann es bei nicht in sano entfernten Epidermoidzysten oft zu schwergradigen rezidivierenden Entzündungen kommen. Die histopathologische Untersuchung ist obligat [Metz et al., 2012; Jordan et al., 1998]. Die Erkennung pathologischer Veränderungen des vorderen Mundbodens hat eine sehr wichtige Bedeutung in der oralen Medizin.
Für die zahnärztliche Praxis soll dieser Fall die Bedeutung der genauen klinischen Untersuchung und Differenzialdiagnostik hervorheben, da neben den Oberflächenläsionen auch relevante Pathologien unter intakter Schleimhautbedeckung vorliegen können.
Dr. med. Marcin Bierc
Klinik für Mund-, Kiefer- und Gesichtschirurgie, Plastisch-ästhetische Operationen
Zentrum für Implantologie, Klinikum der Landeshauptstadt Stuttgart gKAöR
Kriegsbergstr. 60, 70174 Stuttgart
m.bierc@klinikum-stuttgart.de
Dr. med. Dr. med. dent. Jens Rabbels
Klinik für Mund-, Kiefer- und Gesichtschirurgie, Plastisch-ästhetische Operationen
Zentrum für Implantologie, Klinikum der Landeshauptstadt Stuttgart gKAöR
Kriegsbergstr. 60, 70174 Stuttgart
j.rabbels@klinikum-stuttgart.de
Literaturliste
1. Koca H, Seckin T, Sipahi A, Kaznac A. Epidermoid cyst in the floor of the mouth: report of a case. Quintessence Int. 2007, 38:473–477.
2. Pancholi A, Raniga S, Vohra PA, Vaidya V. Midline submental epidermoid cyst: a rare case. Int J Otorhinolaryngol. 2006, 4(2):74–77.
3. Meyer I. Dermoid cysts of the floor of the mouth. Oral Surg Oral Med Oral Pathol. 1955, 8:1149.
4. Shear M, Speight P. Cysts of Oral and Maxillofacial Region. 4th ed. Blackwell Munksgaard; Singapore: 2007. From developmental cysts of head and neck; pp. 181–183.
5. Sahoo NK, Brig AK, Choudhary, Srinivas V. Dermoid cysts of maxillofacial region. Med J Armed Forces India. 2015, 71(Suppl 2):389–394.
6. Horch HH. Zysten der Kiefer und der umgebenden Weichteile. In: Horch HH (Hrsg) Praxis der Zahnheilkunde. 4. Aufl. Urban & Fischer, 2002 München, 293–340.
7. King RC, Smith BR, Burk JL. Dermoid cyst in the floor of the mouth. Oral Surg Oral Med Oral Pathol. 1994, 78:567–576.
8. Rosen D, Wirtschafter A, Rao VM, Wilcox TO Jr. Dermoid cyst of the lateral neck: a case report and literature review. Ear Nose Throat J. 1998, 77(2):125, 129–132 (Review).
9. Metz A, Schnorrenberg J, Daamen J, Schmeling C, Mohr C. Ausgedehnte Dermoidzyste nahezu des gesamten Mundbodens bei einer jugendlichen Patientin. HNO. 2012, 60, 439–442.
10. Jordan RB, Gauderer MW. Cervical teratomas: an analysis. Literature review and proposed classification. J Pediatr Surg. 1988, 23:583–591.














