Ausgedehnter Wangenabszess nach Superinfektion eines Weichgewebefillers
Bei ästhetischen Eingriffen im Mund-, Kiefer- und Gesichtsbereich werden neben Botulinumtoxin-Behandlungen vor allem Filler-Therapien durchgeführt. „Filler“-Materialien werden aufgrund ihrer auffüllenden Eigenschaften so bezeichnet und dienen dem Volumenaufbau von Gewebe bei Falten, Weichgewebsdefekten oder Narbeneinzügen.
Man unterscheidet temporäre, semi-permanente und permanente Filler zur Weichgewebsaugmentation im Gesicht. Temporäre Filler beinhalten zumeist Hyaluronsäure, eine körpereigene Substanz, die nach Einbringen sukzessive enzymatisch abgebaut wird. Daneben sind Präparate aus tierischem oder allogenem Kollagen zugelassen, auch Eigenfett zur Augmentation wird den temporären Fillern zugeordnet. Deren Haltbarkeit variiert in einem Zeitraum von drei bis zwölf Monaten. Semipermanente Filler, die bis zu zwei Jahre im injizierten Bereich verbleiben, bestehen beispielsweise aus Calciumhydroxid, das ebenfalls enzymatisch über längere Zeit verstoffwechselt wird. Permanente Filler enthalten hauptsächlich Silikone oder Methacrylate und werden nicht abgebaut [Pavicic, 2009].
Aus der Einteilung nach Haltbarkeit ergeben sich verschiedene Vor- und Nachteile. So erscheinen permanente Filler zunächst auf lange Sicht als elegante und auch preiswerte Lösung, da diese nach einmaliger Anwendung im Prinzip lebenslang ihre Aufgabe als Augmentat erfüllen. Im Gegenzug ist die Komplikationsrate und -schwere teilweise so hoch, dass heutzutage oft generell von deren Einsatz abgeraten wird. Gerade die Ausbildung von entzündlichen Granulomen geht häufig mit einem langwierigen Komplikationsprozess einher, der in der chirurgischen Entfernung des Granuloms inklusive des verbliebenen Fremdmaterials gipfelt.
Im Unterschied zu permanenten Fillern müssen temporäre Substanzen nach der Abbauzeit nachgegeben werden und sind kein definitiver Therapieansatz. Sie gehen jedoch mit einer viel geringeren Nebenwirkungsrate einher. Bei Komplikationen reicht zudem oft ein minimalinvasives Therapiekonzept aus. Bei den aktuell am häufigsten eingesetzten temporären Fillern ist die Rate an unerwünschten Nebenwirkungen relativ gering. Aufgrund der Vielzahl der Anwendungen in den vergangenen Jahren nimmt jedoch die Anzahl der Patienten mit relevanten Nebenwirkungen zu.
Unterschieden wird zwischen frühen Komplikationen in den ersten zwei Wochen nach der Behandlung (zum Beispiel akute Infektionen, allergische Reaktionen, Schmerzen, Schwellungen, Rötungen, Blutungen, Gefäßverschlüsse) und späten Komplikationen ab der dritten Woche nach der Behandlung (Entzündungen mit Granulombildung, Dysästhesie, Dyspigmentierung und Verlagerung des Augmentats). Die Therapie hängt von der Art der Komplikation ab und reicht von der lokalen Kühlung bei Schwellung oder Rötung über die Reperfusionstherapie bei intravaskulärer Injektion mit konsekutivem Gefäßverschluss bis zur Verabreichung von Antibiotika bei Infektionen [De Boulle, 2004; Philipp-Dormston et al., 2020; Signorini et al., 2016; Philipp-Dormston et al., 2017].
Diskussion
Aufgrund der verbreiteten Anwendung vermeintlich risikoarmer ästhetischer Fillerbehandlungen kommt es immer häufiger zur Vorstellung von Patienten mit eindrücklichen Komplikationen. Infektionen nach Injektion eines Fillers sind mit einer Häufigkeit von 0,04 bis 0,2 Prozent eher selten, können dann aber ein ernstes Krankheitsbild darstellen, das einer zeitnahen und adäquaten Therapie bedarf [Ferneini et al., 2017].
Bei Aufnahme stehen zunächst die Anamnese und die klinische Untersuchung im Vordergrund. Dabei ist es wichtig zu erfragen, welche Substanz zu welchem Zeitpunkt verabreicht wurde. Beispielsweise reichen im Fall eines Abszesses die Inspektion und die klinische Untersuchung meist aus, um die richtige Diagnose zu stellen und eine passende Therapie einzuleiten. Daneben sind weitere Vorerkrankungen und die Hausmedikation zu eruieren, da somit mögliche komplikationsfördernde Faktoren erfasst werden und ins Therapiekonzept einbezogen werden können. Zusätzlich kann eine Blutentnahme erfolgen, um initiale Infektionsparameter (zum Beispiel Leukozyten, CRP, Procalcitonin) zu erfassen, die neben der Klinik als Verlaufsparameter des Therapieerfolgs dienen.
Patientenfall
Eine 61-jährige Patientin in leicht reduziertem Allgemeinzustand stellte sich aufgrund einer seit drei Wochen bestehenden, indurierten Schwellung der rechten Wange in der mund-, kiefer- und gesichtschirurgischen Ambulanz vor. Im Bereich der rechten Nasolabialfalte war alio loco bereits zweimalig ein Abszess vorinzidiert worden, bei der Aufnahme in der Klinik trat an dieser Stelle massiv Pus aus. Acht Jahre zuvor war dort ein unbekannter Filler zur Weichgewebsaugmentation injiziert worden. Weiterhin waren beidseitig Facelifts, Blepharoplastiken und Eigenfettbehandlungen im Wangenbereich durchgeführt worden.
Bis auf Allergien gegen Penicillin und Paracetamol bestanden bei der Patientin keine Vorerkrankungen. Die weitergehende extraorale und intraorale Inspektion erbrachte keinen pathologischen Befund, der Laborbefund war bis auf diskret erhöhte Entzündungswerte unauffällig.
Nach ausführlicher Aufklärung über den Befund und das geplante Vorgehen wurde eine erneute, ausgedehntere Eröffnung des Abszesses von extraoral in Lokalanästhesie durchgeführt. Hierbei konnte wiederum massiv Eiter entlastet werden. Zusätzlich wurden mikrobiologische Abstriche entnommen und mehrere schleimige, bräunliche Gewebeproben aus dem Subkutangewebe entfernt und zur histopathologischen Untersuchung eingesandt. Nach ausgiebiger Wundspülung wurde eine temporäre Drainage eingelegt und die Patientin in den darauffolgenden Tagen zur Kontrolle und Spültherapie wiedereinbestellt.
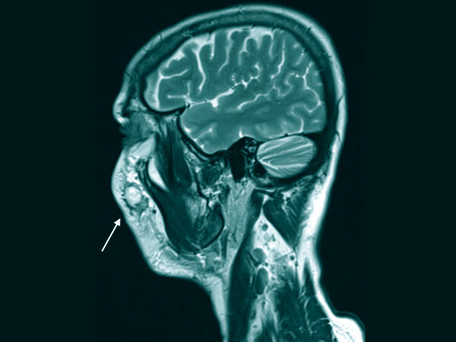
Nach einer Woche zeigte sich der Befund zunächst deutlich regressiv, jedoch nahm die Schwellung nach einer weiteren Woche wieder zu und es kam zu erneutem Eiteraustritt aus der Inzisionswunde. In der mikrobiologischen Diagnostik wurden spärlich Staphylokokken und Streptokokken nachgewiesen, woraufhin wegen der Penicillin-Allergie eine orale Antibiotikatherapie mit Clindamycin 600 mg dreimal täglich begonnen wurde. Zusätzlich wurde aufgrund der Langwierigkeit des Geschehens eine Magnetresonanztomografie (MRT) angefertigt, um eine detaillierte Beurteilung der Weichteile zu ermöglichen. Hierbei kamen mehrere abgekapselte Areale (im Maximum 1,5 cm x 1 cm) zur Darstellung, die prinzipiell mit eingebrachten Fremdkörpern (Filler) beziehungsweise mit Abszessformationen zu vereinbaren waren. Darüber hinaus waren eine diffuse entzündliche Veränderung der rechtsseitigen Wangenweichteile und vergrößerte, am ehesten reaktiv veränderte, zervikale Lymphknoten auffällig.
Die histopathologische Untersuchung der Gewebeproben erbrachte den Nachweis einer granulierenden, floriden, teils granulomatösen Entzündungsreaktion aufgrund eines superinfizierten Fremdmaterials. Hinweise auf eine Pilzinfektion ergaben sich nicht, ein malignes Geschehen konnte ausgeschlossen werden. Über mehrere Wochen war der Befund langsam rückläufig.
Es ist davon auszugehen, dass es sich bei dem Weichgewebsaugmentat um einen permanenten Filler handelte, da dieser nach Jahren noch nachweisbar war. Falls durch die langwierige Spül- und Drainagetherapie in Verbindung mit der antibiotischen Behandlung keine Besserung eingetreten wäre, wäre die radikale Entfernung der verbliebenen Fremdkörperanteile mit dem umliegenden Granulationsgewebe die letzte Option gewesen. Hierbei besteht jedoch die Gefahr einer verstärkten Narbenbildung beziehungsweise des postoperativen Auftretens eines Weichgewebsdefekts mit folgender Asymmetrie des Gesichts.
Falls anhand von Anamnese und Klinik keine eindeutige Diagnose gestellt werden kann, sollte eine weitergehende Bildgebung erfolgen. Hierbei ist im Bereich der Kopf/Hals-Weichteile die Ultraschalldiagnostik das erste Mittel der Wahl, da diese schnell und kostengünstig verfügbar und mit keiner Strahlenbelastung verbunden ist. Nachteil der Sonografie ist, dass diese untersucherabhängig ist und nur bei ausreichender Erfahrung valide Ergebnisse liefert [Kotecha et al., 2008; Schön et al., 2002]. Bei unklaren sonografischen Befunden sollte daher eine Schnittbildgebung durchgeführt werden, zur Weichteildiagnostik empfiehlt sich die MRT. Ein großer Vorteil der MRT liegt darin, die genaue Ausdehnung des Befunds in Bezug auf die Nachbarstrukturen darzustellen – auch im Hinblick auf eine mögliche spätere chirurgische Intervention. Eventuell können in der MRT auch Rückschlüsse auf das eingebrachte Material gezogen werden [Mundada et al., 2017].
Bei Infektionen beziehungsweise im Fall eines Abszesses sollte Material zur mikrobiologischen Diagnostik gewonnen werden. Falls eine antibiotische Therapie notwendig wird, kann nach einer anfangs breit aufgestellten kalkulierten Antibiose nach Erregeridentifikation und Antibiogramm auf eine gezielte Antibiose umgestellt werden. Ausgeprägte Befunde, ein reduzierter Allgemeinzustand mit Fieber, hohe Infektparameter oder Vorerkrankungen sprechen für eine intravenöse Antibiotikagabe im Rahmen eines stationären Aufenthalts.
Die häufigsten Erreger sind Staphylokokken und Streptokokken, die zum residenten oder transienten Hautmikrobiom zählen. Es wird eine hochdosierte antibiotische Therapie über einen längeren Zeitraum empfohlen, beispielsweise Amoxicillin/Clavulansäure 875/125 mg drei- bis viermal täglich über 15 Tage, in anderen Therapieregimen wird eine antibiotische Abdeckung sogar für bis zu sechs Wochen angeraten [Urdiales-Gálvez et al., 2018].

Das Problem der Komplikation durch einen permanenten Filler ist, dass Abszesseröffnungen, Spül-, Drainagetherapie und Antibiose keine ursächliche Therapie des Infektionsgeschehens darstellen, da das infizierte Fremdmaterial weiterhin im Patienten verbleibt. Nur eine ausgedehnte chirurgische Entfernung behebt auch die zugrunde liegende Ursache. Die radikale chirurgische Befundausräumung sollte jedoch immer die letzte Option darstellen, da sie meist keine ästhetisch zufriedenstellenden Ergebnisse liefert.
Im entzündungsfreien Intervall können bei Granulomen aufgrund eines Permanent-Fillers intraläsionale Glukokortikoid- oder Fluoruracil-Injektionen eine Befundbesserung herbeiführen [Beleznay et al., 2015; Chiang et al., 2017; Narins et al., 2009]. Dem gegenüber kann bei temporären Hyaluronsäure-Fillern mit Hyaluronidase-Injektionen ein enzymatischer Abbau des Fillers und damit eine kausale Therapie erreicht werden. Dies sollte jedoch im ebenfalls symptomfreien Intervall erfolgen und keine Therapieoption während eines akuten Infektgeschehens sein [Rzany et al., 2015].
Konservative oder minimalinvasive therapeutische Ansätze sind jedoch oft langwierig und die Ergebnisse nicht immer zufriedenstellend, so dass nach einer erfolglosen lokalen Therapie die chirurgische Entfernung des Fillers die letzte Option darstellt. Bei protrahierten Verläufen über mehrere Wochen und besonders dann, wenn bei vermeintlich adäquater Therapie keine Befundbesserung eintritt, muss immer auch ein malignes Geschehen ausgeschlossen werden. Hierbei ist essenziell, eine repräsentative Gewebeprobe zu gewinnen und diese einer histopathologischen Untersuchung zuzuführen. Bei Hautveränderungen im Bereich des Gesichts muss vor allem an Basalzellkarzinome oder kutane Plattenepithelkarzinome und deren Vorläuferläsion, die aktinische Keratose, gedacht werden [Lang et al., 2018; Berking et al., 2020; Breitbart et al., 2020].
Leutnant (Sanoa) Dr. Med. Philipp Becker
Klinik VII; Mund-, Kiefer- und plastische Gesichtschirurgie,
Bundeswehrzentralkrankenhaus
Rübenacherstr. 170, 56072 Koblenz
Philipp1Becker@bundeswehr.org
Oberfeldarzt Dr. Med. Dr. Med. Dent. Andreas Pabst
Klinik VII; Mund-, Kiefer- und plastische Gesichtschirurgie,
Bundeswehrzentralkrankenhaus
Rübenacherstr. 170, 56072 Koblenz
Andreas1Pabst@bundeswehr.org
PD Dr. med. Dr. med. dent. Oliver Thiele, M.Sc., FEBOMFS
Praxis Villa Linhoff
Ostendorfallee 5, 59555 Lippstadt
Oberstarzt Prof. Dr. Dr. Richard Werkmeister
Klinik VII; Mund-, Kiefer- und Plastische Gesichtschirurgie,
Bundeswehrzentralkrankenhaus
Rübenacherstr. 170, 56072 Koblenz
Fazit für die Praxis
Der Patientenfall zeigt, welche Ausmaße ein vermeintlich kleiner, risikoarmer Eingriff nach mehreren Jahren noch annehmen kann.
Eine fundierte Fachkenntnis mit detaillierten Kenntnissen der fazialen Anatomie, eine der Fillertherapie vorausgehende ausführliche Anamnese und klinische Untersuchung des Patienten sowie ein sicherer Umgang mit den verwendeten Therapeutika sind Grundvoraussetzungen für den Erfolg bei geringstmöglicher Komplikationsrate ästhetischer Behandlungen.
Falls dennoch eine Komplikation eintritt, sollte der Behandler diese erkennen und therapieren können.
Bei schwerwiegenden Komplikationen kann eine Zuweisung an eine Klinik erfolgen.
Eine frühzeitige Diagnostik und die geeignete Therapie beeinflussen die Prognose entscheidend.
Literaturliste
American-Society-of-Plastic-Surgeons. 2019. 'ASPS National Clearinghouse of Plastic Surgery Procedural Statistics', 2019 Plastic Surgery Statistics Report, www.plasticsurgery.org (last accessed 04.11.2020).
Beleznay, K., J. D. Carruthers, A. Carruthers, et al. 2015. 'Delayed-onset nodules secondary to a smooth cohesive 20 mg/mL hyaluronic acid filler: cause and management', Dermatol Surg, 41: 929-39.
Berking, Carola, Claus Garbe, Ulrike Leiter, et al. 2020. 'S3-Leitlinie Aktinische Keratose und Plattenepithelkarzinom der Haut', AWMF Leitlinie Registernummer 032/022OL.
Breitbart, E.W., Thomas Diepgen, Andrea Bauer, et al. 2020. 'S3-Leitlinie Prävention von Hautkrebs ', AWMF Leitlinie Registernummer 032/052OL.
Chiang, Y. Z., G. Pierone, and F. Al-Niaimi. 2017. 'Dermal fillers: pathophysiology, prevention and treatment of complications', J Eur Acad Dermatol Venereol, 31: 405-13.
De Boulle, K. 2004. 'Management of complications after implantation of fillers', J Cosmet Dermatol, 3: 2-15.
Ferneini, E. M., D. Beauvais, and S. I. Aronin. 2017. 'An Overview of Infections Associated With Soft Tissue Facial Fillers: Identification, Prevention, and Treatment', J Oral Maxillofac Surg, 75: 160-66.
Kotecha, S., P. Bhatia, and P. G. Rout. 2008. 'Diagnostic ultrasound in the head and neck region', Dent Update, 35: 529-30, 33-4.
Lang, Berenice M., Panagiotis Balermpas, Andrea Bauer, et al. 2018. 'S2k-Leitlinie Basalzellkarzinom der Haut', AWMF Leitlinie Registernummer 032 - 021.
Mundada, P., R. Kohler, S. Boudabbous, et al. 2017. 'Injectable facial fillers: imaging features, complications, and diagnostic pitfalls at MRI and PET CT', Insights Imaging, 8: 557-72.
Narins, R. S., W. P. Coleman, 3rd, and R. G. Glogau. 2009. 'Recommendations and treatment options for nodules and other filler complications', Dermatol Surg, 35 Suppl 2: 1667-71.
Pavicic, T. 2009. '[Fillers. An overview]', Hautarzt, 60: 233-43; quiz 44.
Philipp-Dormston, W. G., D. Bergfeld, B. M. Sommer, et al. 2017. 'Consensus statement on prevention and management of adverse effects following rejuvenation procedures with hyaluronic acid-based fillers', J Eur Acad Dermatol Venereol, 31: 1088-95.
Philipp-Dormston, W. G., G. J. Goodman, K. De Boulle, et al. 2020. 'Global Approaches to the Prevention and Management of Delayed-onset Adverse Reactions with Hyaluronic Acid-based Fillers', Plast Reconstr Surg Glob Open, 8: e2730.
Rzany, B., and C. DeLorenzi. 2015. 'Understanding, Avoiding, and Managing Severe Filler Complications', Plast Reconstr Surg, 136: 196s-203s.
Schön, R., J. Düker, and R. Schmelzeisen. 2002. 'Ultrasonographic imaging of head and neck pathology', Atlas Oral Maxillofac Surg Clin North Am, 10: 213-41.
Signorini, M., S. Liew, H. Sundaram, et al. 2016. 'Global Aesthetics Consensus: Avoidance and Management of Complications from Hyaluronic Acid Fillers-Evidence- and Opinion-Based Review and Consensus Recommendations', Plast Reconstr Surg, 137: 961e-71e.
Urdiales-Gálvez, F., N. E. Delgado, V. Figueiredo, et al. 2018. 'Treatment of Soft Tissue Filler Complications: Expert Consensus Recommendations', Aesthetic Plast Surg, 42: 498-510.









