Frakturversorgung der Orbita mit patientenspezifischem Implantat (PSI)
Die nach obligater klinischer Untersuchung zum Ausschluss eines intrakraniellen Blutungsgeschehens erfolgte Schichtbildgebung mittels Computertomografie (CT) bestätigt die Verdachtsdiagnose einer Orbitabodenfraktur rechts. Neben der auffälligen Dislokation des Orbitabodens mit geringgradiger Herniation von Fettgewebe nach kaudal in den angrenzenden Sinus maxillaris zeigt die CT zusätzlich eine Fraktur der Lamina papyracea, der fragilen lateralen Fläche des Siebbeinlabyrinths, mit ausgeprägter Fragmentdislokation nach medial (Abbildung 2). Ein retrobulbäres Hämatom liegt nicht vor, ebenso wenig bestehen Inkarzerationen ipsilateraler Augenmuskeln oder Anzeichen für ein intrakranielles Blutungsgeschehen. Weitere Frakturen lassen sich nicht nachweisen und klinisch imponieren keine Anzeichen für ein Schädel-Hirn-Trauma. Eine eingehende augenärztliche Untersuchung erbringt ferner keinen Nachweis einer traumabedingten Visusverschlechterung oder einer pathologisch eingeschränkten Bulbusmotilität.
Aufgrund der Komplexität der vorliegenden Fraktur, insbesondere unter Involvierung medialer Orbitaanteile mit ausgeprägter Dislokation der getrümmerten Fragmente, wird die Indikation zur operativen Intervention und Rekonstruktion des knöchernen Orbitarings mittels eines patientenindividuellen Implantats (PSI) gestellt. Zur Planung des Eingriffs, der intravenös-antibiotischen Therapie und der Überwachung wird die Patientin noch am Unfalltag stationär aufgenommen.
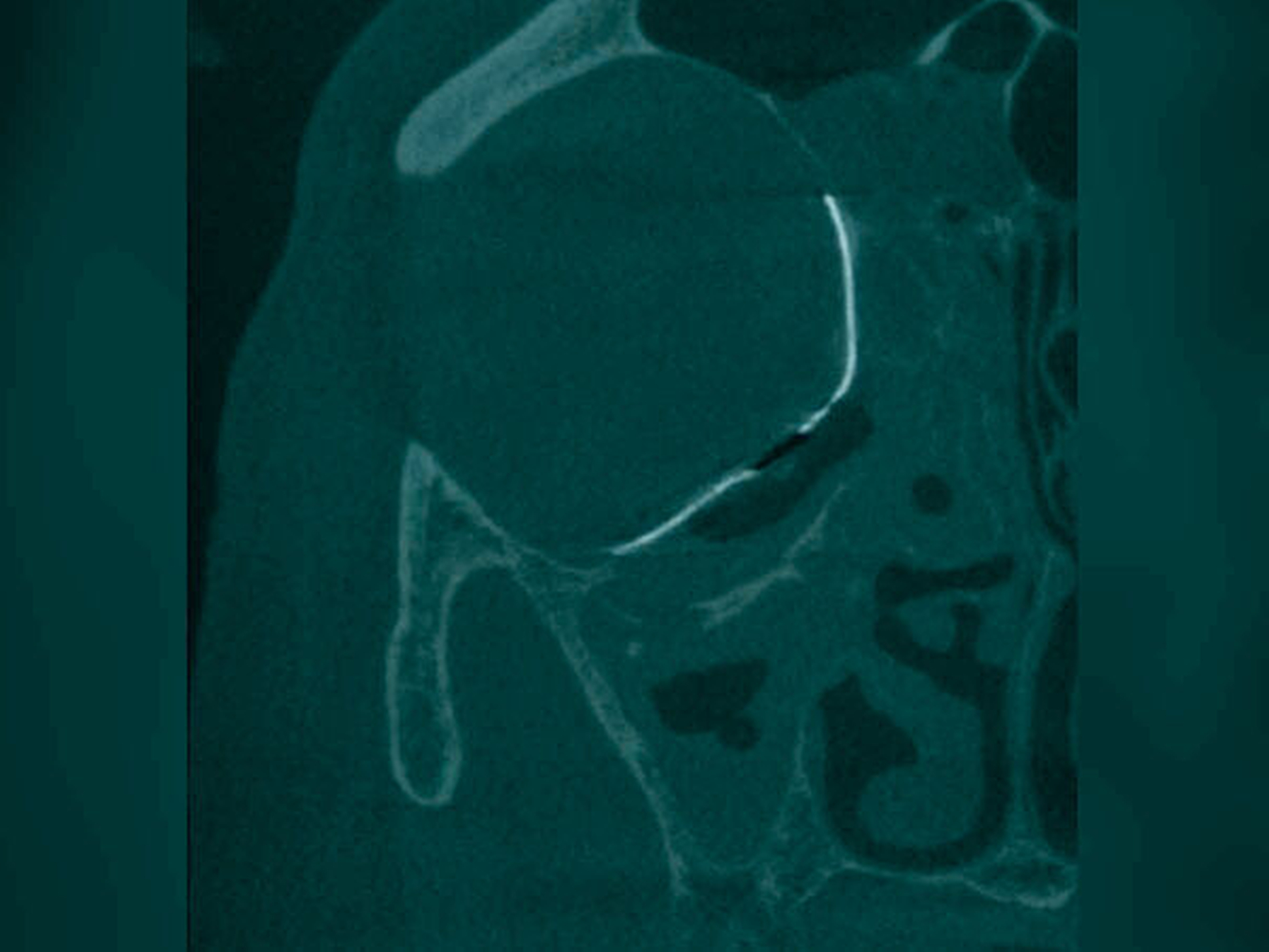
Anhand einer präoperativ durchgeführten Dünnschicht-CT kann im Anschluss gemeinsam mit dem Hersteller (KLS Martin Group, Tuttlingen) im volldigitalen Workflow (IPS CaseDesigner®) eine präzise Planung und die Anfertigung des patientenindividuellen Orbitameshs (Abbildung 3) erfolgen. Zur Rekonstruktionsplanung wird der gesunde, nicht verletzte Orbitaring digital basierend auf den oben genannten CT-Daten auf die frakturierte Seite gespiegelt. Das so generierte PSI zur Rekonstruktion des dislozierten Orbitabodens und ausgesprengter medialer Orbitaanteile wird anschließend komplikationslos unter navigationsgestützter Kontrolle über einen transkonjuktivalen Zugang in Intubationsnarkose eingebracht und unter Schonung des N. infraorbitalis mit drei Osteosyntheseschrauben verankert (Abbildung 4). Die postoperativ erfolgte, dreidimensionale Bildgebung mittels digitaler Volumentomografie (DVT) zur Lagekontrolle des PSI zeigt eine regelhafte Position mit suffizienter Anlagefläche sowohl kaudal als auch medial (Abbildungen 5 und 6).
Der postoperative stationäre Aufenthalt gestaltete sich unter Fortführung der antibiotischen und analgetischen Therapie sowie regelmäßigen Visus-Kontrollen unauffällig, so dass die Patientin am zweiten postoperativen Tag in gutem Allgemeinzustand bei regredienter Schwellung und gleichermaßen rückläufigem Hämatom in die ambulante Weiterbetreuung entlassen werden konnte. Die engmaschige klinische Nachkontrolle in ambulanter Sprechstunde zeigt einen regelhaften und beschwerdefreien Verlauf. Ein weiterer operativer Eingriff zur Entfernung des eingebrachten Titanmeshs ist aktuell bei nach wie vor unauffälliger Wundsituation nicht geplant.
Diskussion
Frakturen des Mittelgesichts lassen sich nach Le Fort I–III und Wassmund I–IV in isoliert zentrale oder laterale sowie in kombiniert zentrolaterale Frakturen einteilen [Le Fort, 1901; Wassmund, 1927]. Die Häufigkeit und die Ursachen von Mittelgesichtsfrakturen variieren geografisch teils stark aufgrund kultureller, sozialer und umweltbedingter Einflüsse. In westlichen Industrieländern stellen Verkehrsunfälle die häufigste Ursache für Traumata des Mittelgesichts dar, wohingegen besonders in Entwicklungsländern Rohheitsdelikte gegenüber anderen Unfallmechanismen dominieren [Goedecke et al., 2019; Schneider et al., 2015]. Mit lokoregionalen Schwankungen treten Verletzungen des lateralen Mittelgesichts, darunter insbesondere Frakturen des zygomaticomaxillären Komplexes, mit 63 Prozent etwas häufiger auf als isolierte zentrale Frakturen. Männer sind dabei deutlich häufiger betroffen als Frauen, wobei die meisten Verletzungen zwischen der zweiten und der dritten Lebensdekade auftreten [Motamedi et al., 2014].
Aufgrund enger anatomischer Lagebeziehungen und der physikalischen Kräfteverteilung über Stützpfeiler des Mittelgesichts treten im Rahmen von Mittelgesichtstraumata häufig auch begleitende Frakturen der Orbita auf [Deichmuller et al., 2018], wobei der Orbitaboden mit 60 bis 70 Prozent die am häufigsten betroffene Wand der knöchernen Orbita darstellt [Manolidis et al., 2002]. Orbitafrakturen führen durch Abweichungen der natürlichen Konfiguration knöcherner Orbitawände häufig zu pathologischen Veränderungen des Orbitavolumens, die sich klinisch typischerweise als Enophthalmus und Diplopie manifestieren [Bratton und Durairaj, 2011].
Diagnostik
Bei Verdacht auf eine Fraktur des Mittelgesichts ist im Anschluss an eine ausführliche Anamnese inklusive Erhebung des genauen Unfallhergangs und -mechanismus in jedem Fall eine umfassende klinische Untersuchung des Patienten mit orientierender ophthalmologischer Funktionsprüfung erforderlich. Hierbei ist nach Ausschluss eines Schädel-Hirn-Traumas neben der Überprüfung der Mundöffnung und der Okklusion bei Palpation knöcherner Schädelstrukturen besonders auf tastbare Knochenstufen, Druckdolenzen sowie abnorme Verschieblichkeiten und Mobilitäten von Ober- und Unterkiefer zu achten. Ferner sind zum Ausschluss traumabedingter Nervläsionen Prüfungen der Sensibilität im Innervationsgebiet des N. trigeminus (Hirnnerv V), insbesondere im Bereich des N. infraorbitalis und des N. alvolaris inferior / N. mentalis unverzichtbar.
Als apparatives Verfahren ist aufgrund der höheren diagnostischen Aussagekraft gegenüber der DVT in Bezug auf knöcherne und weichgewebliche Strukturen und der Möglichkeit, kontrastmittelgestützt etwaige intrakranielle Blutungen zu detektieren, die CT als diagnostischer Goldstandard zu favorisieren. Klassische Nasennebenhöhlen-Aufnahmen gelten vor dem Hintergrund reduzierter Strahlendosen moderner Geräte und der höheren Wahrscheinlichkeit, nicht grob-dislozierte Frakturen zu übersehen, in der Frakturdiagnostik des Mittelgesichts mittlerweile als obsolet [Deichmuller et al., 2018]. Zusätzlich zur konventionellen Bildgebung kann hinsichtlich ihrer universellen Verfügbarkeit und strahlungsfreien Modalität auch eine sonografische Untersuchung als zeit- und kostengünstige Ergänzung fungieren [Lentge et al., 2022; Nath et al., 2020]. Bei hinreichendem Verdacht auf eine Fraktur des knöchernen Orbitarings, insbesondere bei klinisch auffälligen Visus- und Motilitätseinschränkungen des Bulbus, ist eine ophthalmologische Mitbeurteilung unbedingt angezeigt.
Therapie
Die Versorgung von Orbitafrakturen erfolgt in Abhängigkeit des Dislokationsgrades, der klinischen Beschwerden, vom Ausmaß von Begleitverletzungen der umgebenden Strukturen und vom Allgemeinzustand des betroffenen Patienten. Insbesondere bei multimorbiden Patienten, bei denen mit einem erhöhten Narkoserisiko zu rechnen ist, kann laut Leitlinie nach sorgfältiger Nutzen-Risiko-Analyse bei nicht-dislozierten Frakturen ohne klinisch apparente Beschwerden eine konservative Therapie erfolgen [AWMF, 2013; Aldekhayel et al., 2014]. Darunter ist das strikte Einhalten schonender Kautelen (Schnäuzverbot, weiche Kost, keine sportliche Betätigung) für mindestens vier bis sechs Wochen dringend geboten. Während dieser Zeit sind besonders in den ersten Wochen engmaschige fachärztliche Kontrollen erforderlich, um nach dem Rückgang traumabedingter Gesichtsschwellungen beim Auftreten von Komplikationen wie Doppelbildern, Pseudarthrosenbildung oder Bulbustiefstand frühzeitig die Notwendigkeit einer operativen Intervention zu reevaluieren.
Bei sämtlichen Frakturen mit ausgeprägter Dislokation, klinischen Symptomen und funktionellen Einschränkungen wie Doppelbildern, Enophthalmus, Hypästhesien oder großflächigen Defekten, besteht die Indikation für ein operatives Vorgehen [Aldekhayel et al., 2014]. Primäres Ziel ist hier die funktionelle restitutio ad integrum mit ästhetischer Rehabilitation des äußeren Erscheinungsbildes und der Gesichtssymmetrie durch die Wiederherstellung des physiologischen Orbitavolumens. Besondere Beachtung gilt in jenem Fall auch den benachbarten Strukturen wie den Tränenabflusswegen, Augenlidern mit Lidbändern sowie den angrenzenden Nasennebenhöhlen. Nach Abklingen der Schwellung sollte die chirurgische Versorgung von Mittelgesichtsfrakturen innerhalb von ein- bis spätestens zwei Wochen nach dem Verletzungsereignis durchgeführt werden, um Komplikationen wie Pseudarthrosen oder Bruchspaltosteomyelitis vorzubeugen.
Absolute Notfallindikationen stellen retrobulbäre Hämatome und die traumatische Optikusneuropathie (TON) mit Visusminderung dar. Diese erfordern eine sofortige Therapie, um das Risiko dauerhafter Erblindung zu minimieren [Kämmerer und Saka, 2019; Matheis und Kämmerer, 2021]. Zu den Indikationen, die eine frühe chirurgische Versorgung innerhalb von 24 bis 72 Stunden erfordern, zählen zudem die Inkarzerierung von Muskeln und Weichgewebe mit Auftreten von Doppelbildern, Defekte größer als 2 cm2, pädiatrische Trap-Door-Frakturen, ein Enophthalmus von mehr als 2 mm sowie ein persistierender okulokardialer Reflex [Aldekhayel et al., 2014; Maloney, 2014].
Zur Rekonstruktion knöcherner Orbitadefekte stehen neben humanen, autologen und allogenen auch xenogene Komponenten wie Knochenersatzmaterialien oder Kollagenmembranen zur Verfügung. Im Bereich alloplastischer Materialien lassen sich resorbierbare Kunststoffe von nicht-resorbierbaren Produkten wie Titan-Meshs und PSIs unterscheiden. Zur letztgenannten Gruppe zählt auch das im oben beschriebenen Fall verwendete patientenspezifische Titanimplantat. Indikationen für solche Implantate stellen große und komplexe Knochendefekte dar, die einer an die individuelle Defektsituation angepassten Rekonstruktion bedürfen. Vorteile einer Versorgung mit PSI sind die hohe Präzision und die Passgenauigkeit, die die OP- und Narkosezeiten signifikant verkürzen [Hartmann et al., 2022]. Auch das Auftreten postoperativer Komplikationen ist deutlich geringer, wodurch sich die Dauer der notwendigen Hospitalisierung bei Versorgungen mit PSI insgesamt verringern lässt [Zielinski et al., 2017]. Von Nachteil sind die höheren Kosten sowie die teils zeitaufwendige Planung und Fertigung, weswegen eine Anwendung bei primären Operationen, insbesondere bei Vorliegen entsprechender Notfallindikationen, nicht immer gewährleistet werden kann [Kozakiewicz et al., 2021].
Bei korrekter Indikationsstellung und Planung stellen Orbitarekonstruktionen mit individuell CAD/CAM-angefertigten, patientenindividuellen Implantaten eine sichere, prognostisch gute und reproduzierbare Versorgung mit suffizienten funktionellen und ästhetischen Ergebnissen dar, die in jüngster Vergangenheit immer mehr an klinischer Relevanz gewonnen hat [Hartmann et al., 2022].
Fazit für die Praxis
Im Rahmen von Mittelgesichtstraumata kommt es häufig zu Frakturen des knöchernen Orbitarings.
Zur essenziellen Basisdiagnostik bei Verdacht auf Mittelgesichts- oder Orbitafraktur gehören eine präzise klinische Untersuchung und eine orientierende Prüfung von Visus und Bulbusmotilität.
Auf Zeichen eines Schädel-Hirn-Traumas (Schwindel, Erbrechen, Amnesie) ist zu achten. Insbesondere bei antikoagulierten Patienten sollten intrakranielle Blutungen ausgeschlossen werden.
Absolute Notfallindikationen stellen das retrobulbäre Hämatom und die traumatische Optikusneuropathie (TON) mit Visusminderung/-verlust dar.
Nicht dislozierte Frakturen ohne klinische Beschwerden können konservativ unter Einhaltung schonender Kautelen versorgt werden.
Bei großen und komplexen Knochendefekten bieten PSI eine adäquate Rekonstruktionsmöglichkeit und eine gute Prognose.
###more### ###title### Literaturliste ###title### ###more###
Literaturliste
1. Le Fort R. Etude experimentale sur les fractures de la machoire superieure. Revue Chirurgio 1901; 23: 208.
2. Wassmund M. Frakturen und Luxationen des Gesichtsschädels: unter Berücksichtigung der Komplikationen des Hirnschädels: ihre Klinik und Therapie: praktisches Lehrbuch. H. Meusser, 1927.
3. Goedecke M, Thiem DGE, Schneider D, Frerich B, Kämmerer PW. Through the ages-Aetiological changes in maxillofacial trauma. Dent Traumatol 2019; 35: 115-120.
4. Schneider D, Kämmerer PW, Schön G, Dinu C, Radloff S, Bschorer R. Etiology and injury patterns of maxillofacial fractures from the years 2010 to 2013 in Mecklenburg-Western Pomerania, Germany: A retrospective study of 409 patients. J Craniomaxillofac Surg 2015; 43: 1948-1951.
5. Motamedi MH, Dadgar E, Ebrahimi A, Shirani G, Haghighat A, Jamalpour MR. Pattern of maxillofacial fractures: a 5-year analysis of 8,818 patients. J Trauma Acute Care Surg 2014; 77: 630-634.
6. Deichmuller CMC, Welkoborsky HJ. [Orbital traumatology]. HNO 2018; 66: 721-729.
7. Manolidis S, Weeks BH, Kirby M, Scarlett M, Hollier L. Classification and surgical management of orbital fractures: experience with 111 orbital reconstructions. J Craniofac Surg 2002; 13: 726-737; discussion 738.
8. Bratton EM, Durairaj VD. Orbital implants for fracture repair. Curr Opin Ophthalmol 2011; 22: 400-406.
9. Lentge F, Jehn P, Zeller AN, Moysich HC, Gellrich NC, Tavassol F. Quantitative ultrasonographic diagnostics for midface and mandible fractures. J Stomatol Oral Maxillofac Surg 2022;
10. Nath P, Menon S, Suresh A, Archana S. Comparison of Ultrasonography with Conventional Radiography in Diagnosis of Zygomatic Complex Fractures. J Maxillofac Oral Surg 2020; 19: 307-313.
11. AWMF D. S2e-Leitlinie: Rekonstruktion von Orbitadefekten. 2013;
12. Zelken JA, Khalifian S, Mundinger GS, Ha JS, Manson PN, Rodriguez ED, Dorafshar AH. Defining predictable patterns of craniomaxillofacial injury in the elderly: analysis of 1,047 patients. J Oral Maxillofac Surg 2014; 72: 352-361.
13. Aldekhayel S, Aljaaly H, Fouda-Neel O, Shararah AW, Zaid WS, Gilardino M. Evolving trends in the management of orbital floor fractures. J Craniofac Surg 2014; 25: 258-261.
14. Kämmerer PW, Saka B. Der besondere Fall mit CME: Kompartmentsyndrom der Orbita – Retrobulbärhämatom nach Trauma. Zahnärztliche Mitteilungen 2019; 109: 74-76.
15. Matheis P, Kämmerer PW. Der besondere Fall mit CME: Verzögert progredientes Orbitahämatom als behandlungsbedürftiger Notfall. Zahnärztliche Mitteilungen 2021; 111: 22-26.
16. Maloney K. Non-displaced pediatric orbital fracture with displacement of the inferior rectus muscle into the maxillary sinus: a case report and review of the literature. Int J Oral Maxillofac Surg 2014; 43: 29-31.
17. Hartmann A, Kämmerer P, Ortolano LC, Sagheb K, Seiler M. Customised products for orbital wall reconstruction: a systematic review. Br J Oral Maxillofac Surg 2022; 60: e702-e711.
18. Zielinski R, Malinska M, Kozakiewicz M. Classical versus custom orbital wall reconstruction: Selected factors regarding surgery and hospitalization. J Craniomaxillofac Surg 2017; 45: 710-715.
19. Kozakiewicz M, Gmyrek T, Zajdel R, Konieczny B. Custom-Made Zirconium Dioxide Implants for Craniofacial Bone Reconstruction. Materials (Basel) 2021;14:












