Fortbildung „Regenerative Therapien“ – Teil 3
Ab Seite 48
Regeneration der Pulpa
Thema ist die Revitalisierung von wurzelunreifen Zähnen und Pulpanekrose – Indikationsstellung, Durchführung, zu erwartende Ergebnisse. Diskutiert wird auch die Übertragbarkeit des Konzepts auf Zähne mit abgeschlossenem Wurzelwachstum zur „biologischen Wurzelkanalfüllung“. Während mit diesen Verfahren meist repariert statt regeneriert wird, könnten translationale Konzepte nach dem Prinzip des Tissue Engineering in Zukunft das endodontische Behandlungsspektrum erweitern.
AutorInnen: Kerstin Galler, Eva Maier (Erlangen), Matthias Widbiller (Regensburg)
Ab Seite 60
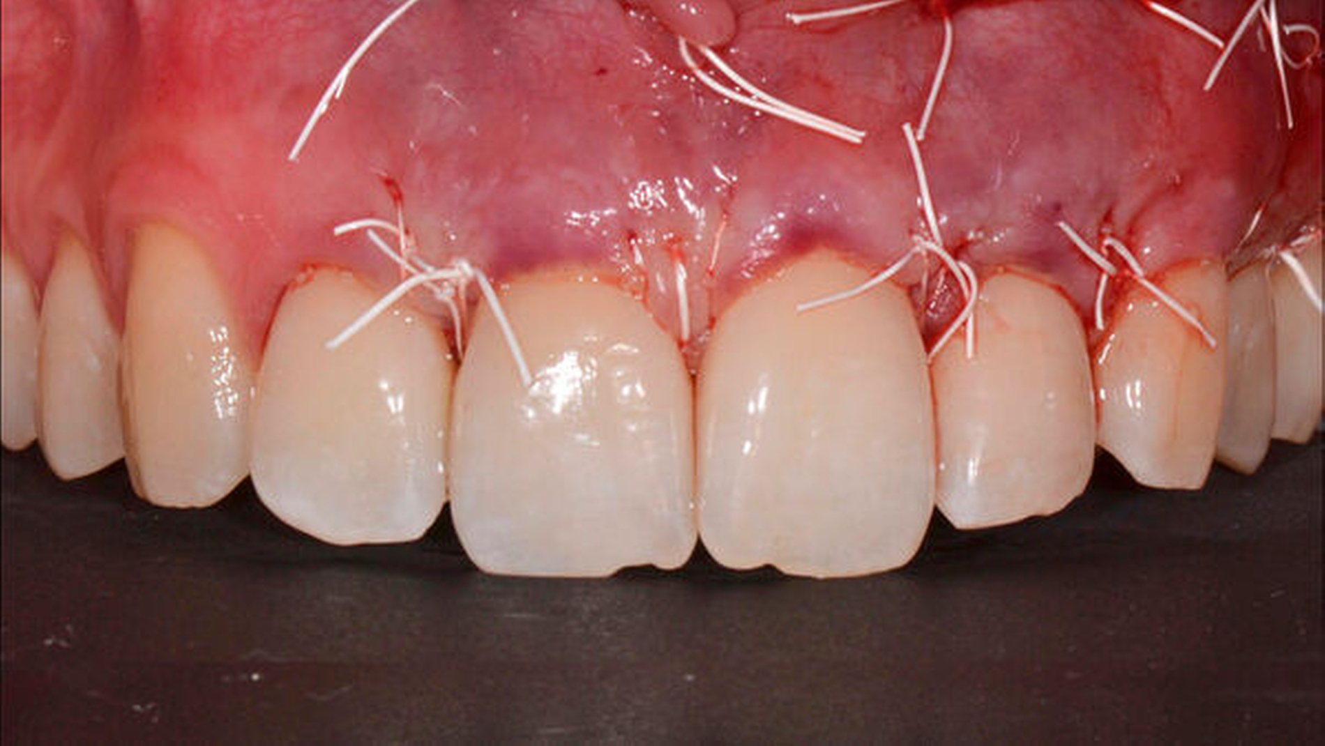
Die Regeneration von Weichgewebe
Weichgewebeaugmentationen an Zähnen und Implantaten dienen nicht allein der Verbesserung der Ästhetik, sondern spielen eine wichtige Rolle bei der Zahnerhaltung und gewährleisten einen Schutz vor Periimplantitis. Vorgestellt werden aktuelle Verfahren und Technologien zur Regeneration mit dem Ziel der Rezessionsdeckung und/oder der Veränderung des gingivalen Phänotyps.
AutorInnen: Karin Jepsen, Raluca Cosgarea, Søren Jepsen (Bonn)
Ab Seite 72
Parodontale Regeneration
Zahlreiche prä-/klinische Studien haben in den vergangenen Jahrzehnten gezeigt, dass eine Vielzahl klinischer Protokolle zur parodontalen Regeneration beitragen und die klinischen Ergebnisse bei vertikalen parodontalen Knochendefekten und bei Furkationsdefekten Grad II verbessern kann. All diese Erkenntnisse sind in die aktuelle S3-Leitlinie zur PAR-Therapie eingeflossen, die klare Empfehlungen gibt, wann und wie regenerative Maßnahmen in Therapiestufe 3 angewendet werden sollten.
Autoren: Søren Jepsen (Bonn), Anton Sculean (Bern)
Alle Beiträge der Fortbildung
- Die Regeneration von verletzten Nerven (zm 15-16/2022)
- PRF: Biologie und Wirkungsweise, Indikationen, klinische Anwendung (zm 15-16/2022)
- Die Sinusbodenelevation (zm 17/2022)
- Die Regeneration des Knochens (zm 17/2022)
- Die Regeneration der Pulpa (zm 18/2022)
- Die Regeneration von Weichgewebe (zm 18/2022)
- Parodontale Regeneration (zm 18/2022)







