Update Wurzelspitzenresektion – die aktuelle Evidenz im Fokus
Dem statistischen Jahrbuch der KZBV zufolge wurden im Jahr 2020 insgesamt 579.100 Wurzelspitzenresektionen (WSR) bei GKV-Versicherten durchführt (BEMA-Positionen 54a bis 54c). Im Vergleich zum Jahr 2000 mit 557.000 abgerechneten Resektionen stellt dies ein leichtes Plus von 3,9 Prozent dar.Diese Zahlen deuten darauf hin, dass der Bedarf an chirurgischer Behandlung apikaler Probleme in den vergangenen 20 Jahren weitgehend konstant geblieben ist. Allerdings spielt heute insbesondere die Behandlung der Molaren eine größere Rolle, während die Zahl der Frontzahnresektionen abgenommen hat.
Die Prognose wurzelspitzenresezierter Zähne
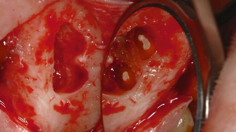
Der Erfolg der Wurzelspitzenresektion beinhaltet den In-situ-Verbleib des Zahns, die Symptomfreiheit und eine röntgenologische Ausheilung des knöchernen Defekts (Abbildung 1). Der erste Punkt dient als Grundlage für die Berechnung der Überlebensrate, alle Punkte zusammen dienen der Berechnung der Erfolgsrate. Literaturangaben zur Prognose wurzelspitzenresezierter Zähne sind ausreichend vorhanden und unter Berücksichtigung der jeweiligen Nachbeobachtungszeiträume (1 bis 10 Jahre) erscheinen die Überlebens- beziehungsweise Erfolgsraten (47,5 bis 91,5 Prozent) (Tabelle 1) akzeptabel, insbesondere vor dem Hintergrund der Tatsache, dass die WSR oftmals die allerletzte Therapieoption für einen Zahn darstellt.
Es ist aufgrund der heterogenen statistischen Ausarbeitung der publizierten Studien allerdings kaum möglich, Vergleiche anzustellen oder die Daten zusammenzufassen. Ein methodisches Problem der meisten Studien ist der Umgang mit Drop-outs. Nur ein Teil der publizierten Arbeitenführte bei der Berechnung der Überlebensrate der Zähne eine Kaplan-Meier-Analyse durch. Alle anderen Arbeiten machen nur deskriptive statistische Angaben zu definierten Zeitpunkten. Die Notwendigkeit eines Schätzverfahrens ergibt sich aber aus der Tatsache, dass bei einem Teil der Studienteilnehmer das Ereignis (Extraktion beziehungsweise Rezidiv) bis zum Ende der Nachbeobachtungszeit nicht eintritt oder die Patienten die Studie vorzeitig verlassen (Drop-outs) [Zwiener et al., 2011]. Ohne Berücksichtigung dieser Zensierungen kann es zu verzerrten Ergebnissen kommen und dieser Effekt ist so stark, dass andere Einflussfaktoren auf die Überlebensrate in den Hintergrund treten. Mithilfe des Log-Rank-Tests können bei dem Kaplan-Meier-Verfahren Gruppenvergleiche durchgeführt werden und mit der Cox-Regression der gleichzeitige Einfluss von mehreren Variablen auf die Überlebenszeit untersucht werden.
Einen eher unkonventionellen wissenschaftlichen Weg beschritt eine Untersuchung, bei der Abrechnungsdaten einer deutschen gesetzlichen Krankenversicherung ausgewertet wurden. Es wurde nach den bekannten Abrechnungspositionen für Wurzelspitzenresektionen gefiltert und anschließend abgefragt, ob in der Folgezeit eine Position für eine Extraktion oder Osteotomie abgerechnet worden war. So konnte auf einen Zahnverlust geschlossen und zeitbezogen eine Schätzung der Überlebensrate mithilfe der Kaplan-Meier-Methode durchgeführt werden. Ausgewertet wurden 93.797 Zähne bei 77.636 Patienten. Die Ergebnisse ergaben eine kumulative Überlebensrate von 81,6 Prozent nach drei Jahren [Raedel et al., 2015].
Bei einer retrospektiven Studie aus einer freien MKG-Praxis wurden retrospektiv Krankenblätter und Röntgenaufnahmen von 149 Behandlungsfällen analysiert, die in einem Fünfjahreszeitraum in der Praxis behandelt worden waren, und mit der Kaplan-Meier-Analyse eine Überlebensrate geschätzt. Die Autoren ermittelten Überlebensraten von 90,4, 60,4 und 48,3 Prozent nach einem, drei und zehn Jahren [Beck-Broichsitter et al., 2018].
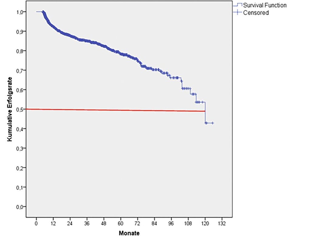
Die Anwendung der Kaplan-Meier-Analyse erlaubt bei einer ausreichend langen Nachbeobachtungszeit auch die Angabe einer medianen Überlebenszeit und Erfolgsrate. Es ist die Zeit, nach der genau die Hälfte der Zähne noch in situ verblieben (mediane Überlebenszeit) beziehungsweise klinisch und röntgenologisch asymptomatisch (mediane Erfolgsrate) sind (Abbildung 2). Erfahrungsgemäß lässt sich diese Zahl leichter verständlich ins Patientenaufklärungsgespräch einfügen als die Erläuterung einer Kaplan-Meier-Kurve. Eigene Daten aus der Auswertung von 3.895 nachbeobachteten Zähnen zeigen unter Berücksichtigung der klinischen Symptomatik eine mediane Erfolgsrate von 120 Monaten (Abbildung 2) und von 109 Monaten unter Berücksichtigung klinischer und röntgenologischer Befunde [Kreisler, 2018].
Sehr wichtig ist es, bei der Analyse der Überlebens- und Erfolgsrate zu differenzieren, ob die Entfernung des Zahns tatsächlich aufgrund einer Reinfektion erfolgte, was tatsächlich als Fehlschlag der WSR interpretiert werden müsste, oder aufgrund anderer Ursachen. Häufige andere Gründe sind später eingetretene Wurzel- und Kronenfrakturen, Extraktionen im Rahmen von prothetischen Neuversorgungen und Änderungen der Behandlungsplanung, eine fehlende Erhaltungswürdigkeit aufgrund parodontaler Probleme und andere unbekannte Gründe, die eher das Schicksal der resezierten Zähne und nicht den Therapiemisserfolg der WSR darstellen.
Die Wurzelspitzenresektion im Vergleich zu therapeutischen Alternativen
Bezüglich der Versorgung eines avitalen Zahns mit einer kritischen Prognose herrscht unter den Klinikern ein nicht unerheblicher Dissens. Mögliche Therapiealternativen zur WSR sind die endodontische Versorgung und die Extraktion mit anschließender Implantatinsertion.
Die aktuellste Übersichtsarbeit [Chércoles-Ruiz et al., 2017] zu dem Thema wertete die vorhandene Literatur aus dem Zeitraum von 2006 bis 2016 aus. Gegenübergestellt wurde der konservative Ansatz mit entweder endodontischer Erstbehandlung, endodontischer Revisionsbehandlung und/oder WSR auf der einen Seite und die Extraktion und spätere Einzelzahnimplantation auf der anderen Seite. Das Untersuchungskriterium war die Überlebensrate des Zahns beziehungsweise die Überlebensrate des Implantats. Dieser Literaturanalyse nach führt die endodontische Erstbehandlung zu einer Zahnüberlebensrate von 42,1 bis 86 Prozent nach zwei bis zehn Jahren. Die endodontische Revisionsbehandlung liegt bei 84,1 bis 88,6 Prozent nach vier bis zehn Jahren. Die WSR liegt bei 59,1 bis 93 Prozent nach einem bis zehn Jahren und die Implantatüberlebensrate liegt bei 91,8 bis 100 Prozent nach einem bis zehn Jahren.
Die Frage, die sich ungeachtet aller analytischen Bemühungen stellt, ist, was sinnvoll miteinander verglichen werden kann. Auch ist die Frage zu klären, inwieweit man die verschiedenen Ausgangsbedingungen berücksichtigen muss, wenn man das Implantat mit der Wurzelkanalbehandlung oder mit der Wurzelspitzenresektion vergleichen will. Da Zähne, die einer WSR unterzogen werden, meist schon eine entsprechende konservierende, endodontische und prothetische Anamnese haben, ist der Vergleich umso schwieriger. Ein sinnvoller Vergleich dieser gänzlich verschiedenen Therapieformen ist eigentlich nicht möglich.
Vergleichbare Ausgangsbedingungen vorausgesetzt, ist nur der Vergleich WSR versus endodontische Revision möglich. Eine Metaanalyse von Kang et al. aus 2015 hat klinische Studien ausgewertet, die den Erfolg der endodontischen Revision und der WSR untersucht hatten.Die Erfolgsbeurteilung erfolgte zahnbezogen unter Berücksichtigung klinischer (Schmerz, Schwellung, Perkussionsempfindlichkeit, Fistel, Abszessgeschehen) und röntgenologischer Befunde (WSR-Gruppe: Einteilung nach Rud und Molven Gr. 1 und 2 vs. 3 und 4; Endorevision-Gruppe: Periapical Index PAI ≤ 2 vs. PAI ≥ 3). Dann wurden entsprechend der Nachbeobachtungsdauer drei Untergruppen gebildet, nämlich Studien mit einer Nachbeobachtungsdauer von bis zu zwei Jahren, von zwei bis vier und von über vier Jahren. Die Metaanalyse führte zu folgenden Ergebnissen: Bei kurzen Follow-ups schneidet die WSR mit einer Erfolgsrate von 95 Prozent signifikant besser ab als die endodontische Revision mit 84 Prozent. Bei den längeren Nachbeobachtungszeiträumen von zwei bis vier Jahren ist der Unterschied immer noch signifikant. Hier liegen die Werte bei 90 Prozent (WSR) und 71 Prozent (Endorevision). Nach vier Jahren sind die Ergebnisse nicht mehr signifikant verschieden. Hier liegen die Werte in beiden Gruppen bei 82 Prozent (Tabelle 2). Diese Ergebnisse wurden durch eine weitere Metaanalyse von Dioguardi et al. [2022] im Wesentlichen bestätigt.
Es gibt unter Berücksichtigung der publizierten Daten bis heute keinen wissenschaftlichen Beweis dafür, dass bei der Behandlung der persistierenden apikalen Parodontitis nach vorangegangener primärer Wurzelbehandlung der konservative Ansatz in Form der Revision dem chirurgischen langfristig (mehr als vier Jahre Nachbeobachtungszeit) überlegen wäre oder umgekehrt. Bei kurzer Nachbeobachtungsdauer weist die WSR im Vergleich zur endodontischen Revision bessere Werte auf. Dies spielt nicht zuletzt bei der Behandlung akuter Fälle eine bedeutende Rolle.
Prognosefaktoren für den Erfolg der WSR
Der Frage, welche Faktoren den Behandlungserfolg beeinflussen können, wurde vielfach wissenschaftlich nachgegangen [Tsesis et al., 2009; von Arx et al., 2010; Kreisler et al., 2013; Serrano-Giménez et al., 2015; Kreisler et al., 2018].
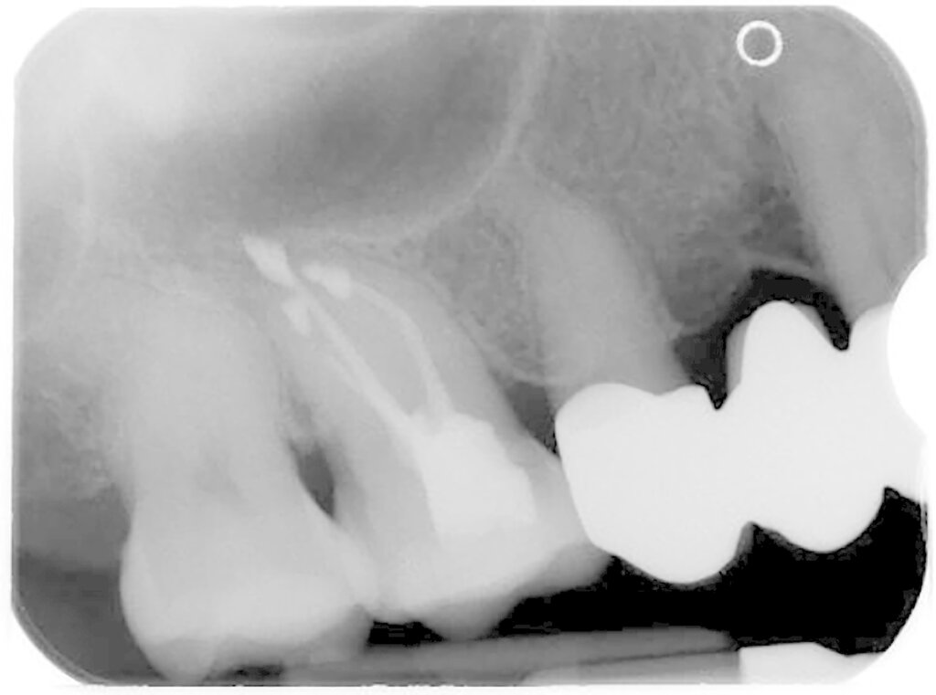
Eine präoperative akute klinische Symptomatik in Form von Schmerzen, Perkussionsempfindlichkeit, einer Schwellung oder einem Abszessgeschehen ist mit einer signifikant schlechteren Prognose des Zahns vergesellschaftet. Gleiches gilt für das Vorhandensein einer Fistel bei chronischem Verlauf. Zähne, die zum ersten Mal einer WSR unterzogen werden, haben eine signifikant bessere Prognose als Zähne mit einer Revision der WSR. Ein weiterer wichtiger prognostischer Faktor sind retentive Wurzelstifte (Abbildung 3). Die besondere Problematik bei diesen Zähnen liegt oftmals in der erschwerten Möglichkeit der apikalen Abdichtung, wenn der Stift bis zum Neoapex reicht. Infolgedessen werden die Wurzeln oft weniger stark gekürzt, um noch ausreichend Wurzelkanal für die retrograde Wurzelfüllung zu haben. Zum anderen werden in dieser Gruppe auch in der Folgezeit Wurzelfrakturen häufiger beobachtet. Dies scheint insgesamt von Relevanz zu sein, denn diese Zähne haben ebenfalls eine signifikant schlechtere Prognose. Zähne mit einer Stiftperforation stellen ohnehin eine Kontraindikation für eine WSR dar und sind hier gar nicht berücksichtigt.
Inwieweit die Größe beziehungsweise das Volumen der periradikulären Osteolyse eine Prognosebeurteilung erlaubt, ist unsicher. Die Problematik der statistischen Auswertung liegt in der Bestimmung des Läsionsvolumens, dessen metrische Erfassung eigentlich nur intraoperativ nach Durchführung der Resektion möglich ist. Zudem muss neben dem Volumen auch die Ausdehnung des osteolytischen Prozesses berücksichtigt werden. Läsionen, die bis in den Furkationsbereich von Molaren reichen, zu bikortikalen perforierenden Knochendefekten oder einer partiellen oder totalen Auflösung der vestibulären Knochenlamelle führen, sind mit einer schlechteren Prognose für die Therapie vergesellschaftet. Tendenziell scheinen größere Läsionen mit einer schlechteren Prognose vergesellschaftet zu sein. Wo der relevante Grenzwert liegt und wie dieser sicher im klinischen Alltag bestimmt werden kann, bleibt offen. Es ist fraglich, ob das alleinige präoperative Vermessen von Röntgenbildern der oben genannten Problematik gerecht wird. Die Analyse der vorhandenen Literatur und das Heranziehen eigener Daten führten zu dem Schluss, dass diese Frage aufgrund methodischer Hürden nicht sicher beantwortet werden kann.
Bezüglich der Zahnlokalisation zeigen eigene Zehn-Jahres-Daten signifikante Unterschiede zugunsten des Oberkiefers. Bei der differenzierteren Betrachtung von Frontzähnen, Prämolaren und Molaren zeigte der paarweise Vergleich signifikante Unterschiede zwischen den Molaren und den Frontzähnen sowie den Molaren und den Prämolaren. Die Unterschiede zwischen Frontzähnen und Prämolaren waren nicht signifikant [Kreisler et al., 2018]. Bei diesem Phänomen handelt es sich möglicherweise mitunter um ein statistisches Problem. Betrachtet man nämlich jede einzelne Wurzel als Lokus des potenziellen Scheiterns, steigt natürlich das Gesamtrisiko bei einem mehrwurzeligen Zahn. Das Vorhandensein von Isthmen als Ursache wurde in der Literatur diskutiert [Kim et al., 2016]. Allerdings stellt das Erkennen von diesen und deren Einbeziehen in die Präparation und Abdichtung heutzutage eigentlich eine Selbstverständlichkeit dar (Abbildung 4). Gleiches gilt für die Berücksichtigung der palatinalen Wurzel bei Oberkiefermolaren.
Aufgrund der vielen Prognose-relevanten Faktoren für den Erfolg der WSR ist die Rolle des Materials für die retrograde Wurzelfüllung nur im direkten Vergleich im Rahmen einer prospektiven randomisierten Studie mit einer Verum- und einer Kontrollgruppe (RCT) möglich. Die Arbeit von Ma et al. [2016] hat in der Literatur vorhandene RCT zu dieser Fragestellung analysiert. Tatsächlich gab es bis zu diesem Zeitpunkt lediglich sechs RCTs, die den Einfluss des Wurzelfüllmaterials auf den Erfolg einer WSR untersucht hatten. In der überwiegenden Zahl der Fälle handelte es sich um Studien mit einer Nachbeobachtungsdauer von einem Jahr. Zwei Studien verglichen MTA mit IRM, eine Studie MTA mit Super-EBA, eine Studie IRM mit Super-EBA, eine Studie ein Komposit mit einem Glasionomerzement und eine ältere Studie Amalgam mit einem Glasionomerzement.
Die sehr umfangreiche Arbeit hat gezeigt, dass es keinen wissenschaftlichen Beweis dafür gibt, dass irgendein Material einem anderen in Bezug auf den klinischen Erfolg der WSR tatsächlich überlegen ist. Bei keinem der direkten Vergleiche fanden sich signifikante Unterschiede. Sehr wahrscheinlich gibt es Faktoren, die für den klinischen Erfolg der WSR entscheidender sind als das verwendete Material für die retrograde Wurzelfüllung. Ähnlich der Wahl der zahnärztlichen Abformmaterialien unterliegt die Wahl des Materials für die retrograde Wurzelfüllung einer persönlichen Präferenz, die sich aus positiven oder negativen Erfahrungen im klinischen Einsatz ableitet. Dies ist nicht zu kritisieren, solange es keinen Beweis für die Überlegenheit eines einzelnen Materials gibt.
Der Einsatz von Vergrößerungshilfen (Lupenbrille, Mikroskop, Endoskop) hat sich positiv auf die Prognose wurzelspitzenresezierter Zähne ausgewirkt. Dass eine adäquate endochirurgische Behandlung ohne Vergrößerungshilfe nicht möglich ist, bedarf heutzutage eigentlich keiner weiteren analytischen Ausarbeitung.
Keinen prognostischen Einfluss haben das Alter und das Geschlecht des Patienten sowie der Nikotinkonsum.
DVT im Rahmen der Diagnostik und der Erfolgsbeurteilung
Soll die 3-D-Diagnostik als Ergänzung oder gar als Ersatz für die routinemäßig angewandte 2-D-Darstellung angesehen werden, müssen die folgenden, logisch aufeinander aufbauenden Fragen geklärt werden: Kann man mit den 3-D-Aufnahmen eine technisch bessere Bildqualität erwarten? Wenn ja, handelt es sich bei den im Rahmen der 3-D-Diagnostik entdeckten Befunden tatsächlich um echte Läsionen und nicht um Artefakte und wenn es sich um echte Läsionen handelt, haben sie dann einen Krankheitswert? Insbesondere ist es hier von Bedeutung, ob die 3-D-Aufnahmen tatsächlich eine höhere diagnostische Genauigkeit im Vergleich zu den herkömmlichen Verfahren haben. In diesem Fall stellt sich die Frage, ob daraus ein optimierter Behandlungsplan resultiert, der dann auch zu einem besseren Behandlungserfolg führt und damit die höhere Strahlenbelastung, die höheren Kosten und den zeitlichen Mehraufwand bei der Bildauswertung rechtfertigt.
Ein Übersichtsartikel von Kruse et al. [2015] hat 25 zwischen 2000 und 2013 erschienene Studien, die die Dentale Volumentomografie im Rahmen der Diagnostik und Therapie der endodontisch bedingten periapikalen Läsionen untersucht hatten, ausgewertet. Das DVT zeigt eine höhere Sensitivität in Bezug auf die Aufdeckung periapikaler Veränderungen. Diese Erkenntnis ist jedoch aus Ex-vivo-Studien (also Studien mit extrahierten Zähnen) gewonnen worden, bei denen mechanisch oder chemisch induzierte Läsionen beurteilt wurden. Diese Erkenntnisse sind nicht unbedingt auf die klinische Situation übertragbar, da die scharf begrenzten Läsionen sich fundamental von den unregelmäßigen natürlichen Läsionen unterscheiden. Aus der analysierten Literatur konnten keine Vorteile für den Patienten herausgearbeitet werden. Keine Studie konnte zeigen, dass der zusätzliche Einsatz der DVT einen Einfluss auf die Diagnosefindung oder den Behandlungserfolg hat. Die Übersichtsarbeit zeigt deutlich, dass ungeachtet der Vorteile bei der Darstellung der apikalen Läsion keine therapierelevanten Vorteile aus der 3-D-Darstellung erwachsen, die das Verfahren als Standarddiagnostik rechtfertigen könnten.
Eine Studie von Kruse et al. [2019] evaluierte die Zuverlässigkeit von DVT-Aufnahmen hinsichtlich der Diagnose einer apikalen Parodontitis. Die Studie wurde an Leichenkiefern durchgeführt, dabei wurden die röntgenologischen Befunde mit histologischen Befunden verglichen. Der Studie nach existiert ein nicht unerhebliches Problem bei der Untersuchung wurzelgefüllter Zähne, die im DVT zu signifikant mehr falsch negativen und falsch positiven periapikalen Befunden führt. Als Ursache kommen Artefakte durch die Radioopazität der Inhaltsstoffe der Wurzelfüllung infrage. Dieses Phänomen wurde bereits von Schulze et al. [2011] beschrieben.Ein anderer möglicher Grund, der in dem Artikel diskutiert wird, ist die Tatsache, dass bei Zähnen nach endodontischer Behandlung ein verbreiterter Parodontalspalt aufgrund der langsamen Ausheilung noch lange Zeit röntgenologisch zu erkennen ist, obwohl histologisch keine Entzündungszeichen mehr erkennbar sind.
Aus der vorhandenen Literaturist bekannt, dass das DVT mehr periapikale Läsionen aufzeigt als der Zahnfilm [Venskutonis et al., 2014; Torabinejad et al., 2018]. Dies wird unisono als positiv bewertet. Es ist aber durchaus zu hinterfragen, ob dies nicht zur Überdiagnose und Übertherapie führt. Mit der Frage der daraus resultierenden klinischen Entscheidungsfindung beschäftigt sich eine Studie von Mota de Almeida et al. [2016], die untersuchte, ob die dreidimensionale Darstellung der zu behandelnden Zähne zu einer veränderten Therapieentscheidung beziehungsweise einem höheren Konsens unter Behandlern bezüglich der optimalen Therapie beitragen kann. Für eine Gruppe von 34 Patienten mit 39 wurzelgefüllten Molaren und einer vermuteten apikalen Parodontitis wurde von fünf Endodontie-Spezialisten anhand einer fiktiven Fremdanamnese und der Mundfilmaufnahmen zunächst für jeden Zahn eine Therapieentscheidung (1. keine Behandlung, 2. Revision der Wurzelkanalbehandlung, 3. WSR, 4. Extraktion) getroffen. Nach ein bis drei Monaten durften die fünf Prüfärzte noch die vorhandenen 3-D-Aufnahmen begutachten und einen neuen Therapievorschlag unterbreiten. Die mit eingeflossenen 3-D-Aufnahmen haben nicht zu einer Erhöhung des Entscheidungskonsenses, aber insgesamt zu einer invasiveren Therapieentscheidung geführt.
Die Gefahr der Überdiagnose und Übertherapie stellt sich insbesondere bei der Beurteilung der Ausheilung im Rahmen der halb- oder jährlichen Nachuntersuchung wurzelspitzenresezierter Zähne. Da auch die DVT-Aufnahme, genauso wie der Zahnfilm, nicht zwischen Granulations- und Narbengewebe differenzieren kann, sondern dieses nur besser erkennbar darstellt, sollte eine Entscheidung zur erneuten invasiven Therapie (WSR-Revision) oder gar der Zahnentfernung umsichtig erfolgen, insbesondere wenn die Patienten keine klinischen Symptome aufweisen.
Während DVT-Aufnahmen ausschließlich zur Beurteilung periapikaler Läsionen nur einen begrenzten Mehrwert für die angestrebte operative Therapie liefern, gerät die zweidimensionale Diagnostik zur Beurteilung angrenzender Strukturen wie den Kieferhöhlen an ihre Grenzen. Ausprägung, Lage und Morphologie von odontogenen Kieferhöhlenpathologien lassen sich nur schwer aus Panoramaschichtaufnahmen oder Zahnfilmen ableiten. In circa 30 Prozent der Fälle ist eine Sinusitis maxillaris dentogener Herkunft [Psilas et al., 2021]. Apikale Parodontopathien spielen hierbei eine wesentliche Rolle [Shahbazia et al., 2012; Lechien et al., 2014]. In einer retrospektiven Analyse von Brüllmann et al. [2012] zeigten DVT-Aufnahmen in 74 Prozent der Fälle verdickte basale Schleimhautschwellungen, wenn gleichzeitig entzündliche periapikale Prozesse vorlagen. In zehn Prozent der Fälle wurde der osteomeatale Komplex als „geschlossen“ klassifiziert. Rechtfertigend lassen sich drei Hauptfragestellungen an die DVT-Aufnahme einer fraglichen odontogenen Sinusitis stellen:
Liegen bildmorphologische und lagebedingte Abweichungen im Sinus in Form von Kollateralödemen, Pseudozysten, ins Lumen ragenden radikulären Zysten, basalen beziehungsweise wandständigen Schleimhautschwellungen oder Spiegelbildungen bis hin zu Totalverschattungen vor?
Ist das Ostium naturale nachvollziehbar und damit die Funktionsweise der Kieferhöhle intakt?
(soweit das Volumen des DVT-Geräts dies zulässt): Liegt eine Ausbreitung der Sinusitis maxillaris in die benachbarten Nasennebenhöhlen (Pansinusitis) vor?
Diese Informationen sind wichtig, um den Umfang des chirurgischen Eingriffs entsprechend planen und gegebenenfalls differenzialtherapeutische Erwägungen anstellen zu können (Abbildung 5). Bei Vorliegen einer Pansinusitis ist zusätzlich eine rhinogene Ursache in jedem Fall abzuklären.

Einfluss der WSR auf die spätere Implantattherapie des ersetzten Zahnes
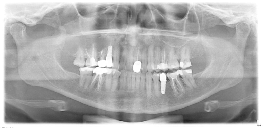
Neben der Frage nach der Chance des Zahnerhalts stellen Patienten häufig die Frage, ob sie durch die WSR Nachteile zu erwarten hätten, wenn sie sich später, bei Fehlschlag der WSR für ein Implantat entscheiden würden (Abbildung 6).
Tatsächlich ist die Datenlage zu dieser Fragestellung sehr dünn. Die Schwierigkeit der wissenschaftlichen Aufarbeitung und damit auch das Fehlen von Publikationen liegt in der Notwendigkeit einer sehr hohen Fallzahl sowohl bei der WSR und als auch bei der Implantattherapie, um Fälle zu finden, wo nach zunächst durchgeführter und später gescheiterter WSR der Patient dann an dieser Stelle tatsächlich ein Implantat bekommen hat und anschließend noch eine akzeptable Zeit in der Nachbeobachtung war. So war bei einer Studie von Saleh et al. [2021] das Screening von 1.241 Wurzelspitzenresektionen und über 9.000 Implantaten in einem 15-Jahres-Zeitraum notwendig, um am Ende 25 Studienteilnehmer für eine retrospektive Untersuchung einschließen zu können.
Bei einer retrospektiven Analyse des eigenen Patientenguts mit einer Nachbeobachtungszeit von fünf Jahren sollten folgende Fragen beantwortet werden:
Beeinflusst eine vorangegangene WSR das spätere Knochenangebot und führt sie möglicherweise häufiger zu einer Augmentation?
Hat sie einen Einfluss auf das Implantatüberleben?
Führt sie vermehrt zu einem periimplantären Knochenabbau?
Hierzu wurde ein Datensatz mit 816 Implantaten bei 598 Patienten mit verfügbaren Röntgenbildern der extrahierten und ersetzten Zähne ausgewertet. Die Behandlungsfälle wurden in eine Gruppe mit (Gruppe A) und eine Kontrollgruppe ohne vorangegangene Wurzelspitzenresektion (Gruppe B) eingeteilt. Ein möglicher Zusammenhang zwischen der vorangegangenen Wurzelspitzenresektion und der Notwendigkeit einer späteren hartgeweblichen Augmentation mittels Schalentechnik beziehungsweise der klassischen Blockaugmentation wurde statistisch untersucht.
Insgesamt 437 Implantate (Gruppe A: 42, Gruppe B: 395) bei 309 Patienten, die am Nachsorgeprogramm teilnahmen, wurden darüber hinaus im Hinblick auf das Implantatüberleben und den periimplantären Knochenverlust ausgewertet. Die Fünf-Jahres-Implantatüberlebensrate wurde mit dem Kaplan-Meier-Schätzer berechnet. Der periimplantäre Knochenverlust wurde auf Röntgenbildern bis zu fünf Jahre nach Implantatinsertion vermessen.
Bei 11,5 Prozent des Gesamtkollektivs (94 Fälle) war eine Wurzelspitzenresektion durchgeführt worden. In 19,1 Prozent der Fälle der Gruppe A (mit vorangegangener WSR) und 26,6 Prozent der Fälle der Gruppe B (ohne WSR) wurde im Rahmen der anschließenden Implantattherapie eine hartgewebliche Augmentation durchgeführt: Der Unterschied war nicht signifikant (p = 0,12). Auch bei der der Fünf-Jahres-Implantatüberlebensrate (Gruppe A: 96,6 Prozent; Gruppe B: 98,0 Prozent) und dem marginalen periimplantären Knochenverlust wurden während des Fünf-Jahres-Follow-ups zu keinem Zeitpunkt signifikante Unterschiede zwischen beiden Gruppen berechnet [Kreisler et al., 2022].
Abgeschlossene apikale Defekte heilen nach Extraktion in der Regel problemlos aus und spielen daher für die spätere Implantattherapie keine Rolle. Problematisch sind Defekte, die bedingt durch eine ausgedehnte apikale Osteolyse keine oder fast keine vestibuläre Lamelle aufweisen (Abbildung 7), wobei dieses Problem bei einer Extraktion als Differenzialtherapie unverändert bleibt. Darüber hinaus können Fälle mit einer sekundär (nach der WSR) aufgetretenen Längsfraktur bekanntermaßen zu ungünstigen Knochendefekten führen.
Die Daten zeigen, dass eine vorangehende WSR die mögliche spätere Implantattherapie nicht negativ beeinflusst. Dies trifft sowohl für den Behandlungsaufwand als auch für die Implantatprognose zu. Es ist aus unserer Sicht wichtig, dies in jedem Aufklärungsgespräch auch so zu kommunizieren.
![Abb. 7: Problematisch in Bezug auf ein späteres Hartgewebsdefizit sind Fälle, in denen durch die infektionsbedingte Osteolyse die vestibuläre Knochenlamelle stark oder vollständig dezimiert worden ist (Klasse D-F nach [Kim, 2000]). Das ist besonders häufig der Fall, wenn die apikale Osteolyse bis in den Furkationsbereich von Molaren fortschreitet.](/fileadmin/user_upload/Archiv/2023/01-02/36984-flexible-1900.jpg)
Literatur:
1. Statistisches Jahrbuch KZBV 2001 2. Statistisches Jahrbuch KZBV 2021 3. Zuolo ML, Ferreira MO, Gutmann JL. Prognosis in periradicular surgery: a clinical prospective study. International Endodontic Journal. 2000 Mar 1;33(2):91-8. 4. Rubinstein RA, Kim S. Long-term follow-up of cases considered healed one year after apical microsurgery. Journal of Endodontics. 2002 May 1;28(5):378-83. 5. Wesson CM, Gale TM. Molar apicectomy with amalgam root-end filling: results of a prospective study in two district general hospitals. Br Dent J. 2003 Dec 20;195(12):707-14. 6. Wang N, Knight K, Dao T, Friedman S. Treatment outcome in endodontics-The Toronto Study. Phases I and II: apical surgery. J Endod. 2004 Nov;30(11):751-61. 7. Filippi A, Meier ML, Lambrecht JT. Endoskopische Wurzelspitzenresektion--eine klinisch-prospektive Studie [Periradicular surgery with endoscopy--a clinical prospective study]. Schweiz Monatsschr Zahnmed. 2006;116(1):12-7. 8. Taschieri S, Del Fabbro M. Endoscopic endodontic microsurgery: 2-year evaluation of healing and functionality. Braz Oral Res. 2009 Jan-Mar;23(1):23-30. 9. Barone C, Dao TT, Basrani BB, Wang N, Friedman S. Treatment outcome in endodontics: the Toronto study—phases 3, 4, and 5: apical surgery. Journal of Endodontics. 2010 Jan 1;36(1):28-35. 10. von Arx T, Jensen SS, Hänni S, Friedman S. Five-year longitudinal assessment of the prognosis of apical microsurgery. Journal of Endodontics. 2012 May 1;38(5):570-9. 11. Raedel M, Hartmann A., Bohm S., Walter MH. Three-year outcome of apicectomy (apicoectomy): Mining an insurance database. J Dent. 2015; 43: 1218-1222. 12. Kim S, Jung H, Kim S, Shin SJ, Kim E. The Influence of an Isthmus on the Outcomes of Surgically Treated Molars: A Retrospective Study. J Endod. 2016;42:1029-34. 13. Beck-Broichsitter BE, Schmid H, Busch HP, Wiltfang J, Becker ST. Long-term survival of teeth in the posterior region after apical surgery. J Craniomaxillofac Surg. 2018;46:1934-1938. 14. von Arx T, Jensen SS, Janner SFM, Hänni S, Bornstein MM. A 10-year Follow-up Study of 119 Teeth Treated with Apical Surgery and Root-end Filling with Mineral Trioxide Aggregate. J Endod. 2019;45:394-401. 15. Kreisler M. Del Burgo Berzal D, Kemekenidou I, Al-Nawas B. Einfluss patientenimmanenter und –unabhängiger Faktoren auf den Erfolg der Wurzelspitzenresektion: Eine 10-Jahres-Untersuchung. 68. Jahrestagung der Arbeitsgemeinschaft für Kieferchirurgie und 39. Jahrestagung des Arbeitskreises für Oralpathologie und Oralmedizin, 10. - 11. Mai 2018, Bad Homburg 16. Zwiener I ,Blettner M, Hommel G Survival Analysis—Part 15 of a Series on Evaluation of Scientific Publications Dtsch Arztebl Int 2011; 108(10): 163-9 17. Chércoles-Ruiz A, Sánchez-Torres A, Gay-Escoda C. Endodontics, Endodontic Retreatment, and Apical Surgery Versus Tooth Extraction and Implant Placement: A Systematic Review. J Endod. 2017 ;4:679-686. 18. Kang M, In Jung H, Song M, Kim SY, Kim HC, Kim E. Outcome of nonsurgical retreatment and endodontic Microsurgery: a meta-analysis. Clin Oral Investig 2015;19:569-582 19. Dioguardi M, Stellacci C, La Femina L, Spirito F, Sovereto D, Laneve E, Manfredonia MF, D'Alessandro A, Ballini A, Cantore S, Lo Muzio L, Troiano G. Comparison of Endodontic Failures between Nonsurgical Retreatment and Endodontic Surgery: Systematic Review and Meta-Analysis with Trial Sequential Analysis. Medicina (Kaunas). 2022 Jul 4;58(7):894. 20. Kreisler M, Gockel R, Aubell-Falkenberg S, Kreisler T, Weihe C, Filippi A, Kühl S, Schütz S, d'Hoedt B. Clinical outcome in periradicular surgery: effect of patient- and tooth-related factors--a multicenter study. Quintessence Int. 2013 Jan;44(1):53-60. 21. Tsesis I, Faivishevsky V, Kfir A, Rosen E: Outcome of surgical endodontic treatment performed by a modern technique: a meta-analysis of literature. J Endod. 2009; 35: 1505-11.22. von Arx T, Peñarrocha M, Jensen S:Prognostic factors in apical surgery with root-end filling: a meta-analysis. J Endod. 2010; 36: 957-73. 23. Serrano-Giménez M, Sánchez-Torres A, Gay-Escoda C, Prognostic factors on periapical surgery: A systematic review. Med Oral Patol Oral Cir Bucal 2015; 20: e715-22 24. Ma X, Li C, Jia L, Wang Y, Liu W, Zhou X, Johnson TM, Huang D. Materials for retrograde filling in root canal therapy. Cochrane Database of Systematic Reviews 2016, Issue 12, Art. No: CD005517. 25. Kruse C, Spin-Neto R, Wenzel A, Kirkevang LL. Cone beam computed tomography and periapical lesions: a systematic review analysing studies on diagnostic efficacy by a hierarchical model. Int Endod J. 2015 Sep;48(9):815-28. 26. Kruse C, Spin-Neto R, Evar Kraft DC, Vaeth M, Kirkevang LL. Diagnostic accuracy of cone beam computed tomography used for assessment of apical periodontitis: an ex vivo histopathological study on human cadavers. Int Endod J. 2019;52(4):439-450. 27. Schulze R, Heil U, Gross D, Bruellmann DD, Dranischnikow E, Schwanecke U, Schoemer E. Artefacts in CBCT: a review. Dentomaxillofac Radiol. 2011 Jul;40(5):265-73.Low et al. 2008 28. Venskutonis T, Daugela P, Strazdas M, Juodzbalys G, Accuracy of digital radiography and cone beam computed tomography on periapical radiolucency detection in endodontically treated teeth J Oral Maxillofac Res. 2014 Jul 1;5(2) epub 29. Torabinejad M, Rice DD, Maktabi O, Oyoyo U, Abramovitch K. Prevalence and Size of Periapical Radiolucencies Using Cone-beam Computed Tomography in Teeth without Apparent Intraoral Radiographic Lesions: A New Periapical Index with a Clinical Recommendation. J Endod. 2018 Mar;44(3):389-394 30. Mota de Almeida FJ, Huumonen S, Molander A, Öhman A, Kvist T. Computed tomography (CT) in the selection of treatment for root-filled maxillary molars with apical periodontitis. Dentomaxillofac Radiol. 2016;45(5):20150391. doi: 10.1259/dmfr.20150391. Epub 2016 Mar 17. 31. Psillas G, Papaioannou D, Petsali S, Dimas GG, Constantinidis J. Odontogenic maxillary sinusitis: A comprehensive review. J Dent Sci. 2021 Jan;16(1):474-481. 32. Shahbazian M, Jacobs R. Diagnostic value of 2D and 3D imaging in odontogenic maxillary sinusitis: a review of literature. J Oral Rehabil. 2012 Apr;39(4):294-300. 33. Lechien JR, Filleul O, Costa de Araujo P, Hsieh JW, Chantrain G, Saussez S. Chronic maxillary rhinosinusitis of dental origin: a systematic review of 674 patient cases. Int J Otolaryngol. 2014;2014:465173. doi: 10.1155/2014/465173. Epub 2014 Apr 8. 34. Brüllmann DD, Schmidtmann I, Hornstein S, Schulze RK. Correlation of cone beam computed tomography (CBCT) findings in the maxillary sinus with dental diagnoses: a retrospective cross-sectional study. Clin Oral Investig. 2012 Aug;16(4):1023-9. 35. Saleh MHA, Khurshid H, Travan S, Sinjab K, Bushahri A, Wang HL. Incidence of retrograde peri-implantitis in sites with previous apical surgeries: A retrospective study. J Periodontol. 2021 Jan;92(1):54-61. 36. Kreisler M, Funk I, Marth K, Al-Nawas B. Einfluss einer Wurzelspitzenresektion auf die nachfolgende Implantattherapie des ersetzten Zahnes – eine retrospektive Kohortenstudie. 70. Jahrestagung der Arbeitsgemeinschaft für Oral- und Kieferchirurgie und 41. Jahrestagung des Arbeitskreises für Oralpathologie und Oralmedizin, 26. - 27. Mai 2022, Bad Homburg 37. Kim S. 2000 Color Atlas of Microsurgery Endodontics W B Saunders Co Ltd
Literatur
1. Statistisches Jahrbuch KZBV 2001
2. Statistisches Jahrbuch KZBV 2021
3. Zuolo ML, Ferreira MO, Gutmann JL. Prognosis in periradicular surgery: a clinical prospective study. International Endodontic Journal. 2000 Mar 1;33(2):91-8.
4. Rubinstein RA, Kim S. Long-term follow-up of cases considered healed one year after apical microsurgery. Journal of Endodontics. 2002 May 1;28(5):378-83.
5. Wesson CM, Gale TM. Molar apicectomy with amalgam root-end filling: results of a prospective study in two district general hospitals. Br Dent J. 2003 Dec 20;195(12):707-14.
6. Wang N, Knight K, Dao T, Friedman S. Treatment outcome in endodontics-The Toronto Study. Phases I and II: apical surgery. J Endod. 2004 Nov;30(11):751-61.
7. Filippi A, Meier ML, Lambrecht JT. Endoskopische Wurzelspitzenresektion--eine klinisch-prospektive Studie [Periradicular surgery with endoscopy--a clinical prospective study]. Schweiz Monatsschr Zahnmed. 2006;116(1):12-7.
8. Taschieri S, Del Fabbro M. Endoscopic endodontic microsurgery: 2-year evaluation of healing and functionality. Braz Oral Res. 2009 Jan-Mar;23(1):23-30.
9. Barone C, Dao TT, Basrani BB, Wang N, Friedman S. Treatment outcome in endodontics: the Toronto study—phases 3, 4, and 5: apical surgery. Journal of Endodontics. 2010 Jan 1;36(1):28-35.
10. von Arx T, Jensen SS, Hänni S, Friedman S. Five-year longitudinal assessment of the prognosis of apical microsurgery. Journal of Endodontics. 2012 May 1;38(5):570-9.
11. Raedel M, Hartmann A., Bohm S., Walter MH. Three-year outcome of apicectomy (apicoectomy): Mining an insurance database. J Dent. 2015; 43: 1218-1222.
12. Kim S, Jung H, Kim S, Shin SJ, Kim E. The Influence of an Isthmus on the Outcomes of Surgically Treated Molars: A Retrospective Study. J Endod. 2016;42:1029-34. 13. Beck-Broichsitter BE, Schmid H, Busch HP, Wiltfang J, Becker ST. Long-term survival of teeth in the posterior region after apical surgery. J Craniomaxillofac Surg. 2018;46:1934-1938. 14. von Arx T, Jensen SS, Janner SFM, Hänni S, Bornstein MM. A 10-year Follow-up Study of 119 Teeth Treated with Apical Surgery and Root-end Filling with Mineral Trioxide Aggregate. J Endod. 2019;45:394-401.
15. Kreisler M. Del Burgo Berzal D, Kemekenidou I, Al-Nawas B. Einfluss patientenimmanenter und –unabhängiger Faktoren auf den Erfolg der Wurzelspitzenresektion: Eine 10-Jahres-Untersuchung. 68. Jahrestagung der Arbeitsgemeinschaft für Kieferchirurgie und 39. Jahrestagung des Arbeitskreises für Oralpathologie und Oralmedizin, 10. - 11. Mai 2018, Bad Homburg
16. Zwiener I ,Blettner M, Hommel G Survival Analysis—Part 15 of a Series on Evaluation of Scientific Publications Dtsch Arztebl Int 2011; 108(10): 163-9
17. Chércoles-Ruiz A, Sánchez-Torres A, Gay-Escoda C. Endodontics, Endodontic Retreatment, and Apical Surgery Versus Tooth Extraction and Implant Placement: A Systematic Review. J Endod. 2017 ;4:679-686.
18. Kang M, In Jung H, Song M, Kim SY, Kim HC, Kim E. Outcome of nonsurgical retreatment and endodontic Microsurgery: a meta-analysis. Clin Oral Investig 2015;19:569-582
19. Dioguardi M, Stellacci C, La Femina L, Spirito F, Sovereto D, Laneve E, Manfredonia MF, D'Alessandro A, Ballini A, Cantore S, Lo Muzio L, Troiano G. Comparison of Endodontic Failures between Nonsurgical Retreatment and Endodontic Surgery: Systematic Review and Meta-Analysis with Trial Sequential Analysis. Medicina (Kaunas). 2022 Jul 4;58(7):894.
20. Kreisler M, Gockel R, Aubell-Falkenberg S, Kreisler T, Weihe C, Filippi A, Kühl S, Schütz S, d'Hoedt B. Clinical outcome in periradicular surgery: effect of patient- and tooth-related factors--a multicenter study. Quintessence Int. 2013 Jan;44(1):53-60.
21. Tsesis I, Faivishevsky V, Kfir A, Rosen E: Outcome of surgical endodontic treatment performed by a modern technique: a meta-analysis of literature. J Endod. 2009; 35: 1505-11.
22. von Arx T, Peñarrocha M, Jensen S:Prognostic factors in apical surgery with root-end filling: a meta-analysis. J Endod. 2010; 36: 957-73.
23. Serrano-Giménez M, Sánchez-Torres A, Gay-Escoda C, Prognostic factors on periapical surgery: A systematic review. Med Oral Patol Oral Cir Bucal 2015; 20: e715-22
24. Ma X, Li C, Jia L, Wang Y, Liu W, Zhou X, Johnson TM, Huang D. Materials for retrograde filling in root canal therapy. Cochrane Database of Systematic Reviews 2016, Issue 12, Art. No: CD005517.
25. Kruse C, Spin-Neto R, Wenzel A, Kirkevang LL. Cone beam computed tomography and periapical lesions: a systematic review analysing studies on diagnostic efficacy by a hierarchical model. Int Endod J. 2015 Sep;48(9):815-28.
26. Kruse C, Spin-Neto R, Evar Kraft DC, Vaeth M, Kirkevang LL. Diagnostic accuracy of cone beam computed tomography used for assessment of apical periodontitis: an ex vivo histopathological study on human cadavers. Int Endod J. 2019;52(4):439-450.
27. Schulze R, Heil U, Gross D, Bruellmann DD, Dranischnikow E, Schwanecke U, Schoemer E. Artefacts in CBCT: a review. Dentomaxillofac Radiol. 2011 Jul;40(5):265-73.Low et al. 2008
28. Venskutonis T, Daugela P, Strazdas M, Juodzbalys G, Accuracy of digital radiography and cone beam computed tomography on periapical radiolucency detection in endodontically treated teeth J Oral Maxillofac Res. 2014 Jul 1;5(2) epub
29. Torabinejad M, Rice DD, Maktabi O, Oyoyo U, Abramovitch K. Prevalence and Size of Periapical Radiolucencies Using Cone-beam Computed Tomography in Teeth without Apparent Intraoral Radiographic Lesions: A New Periapical Index with a Clinical Recommendation. J Endod. 2018 Mar;44(3):389-394
30. Mota de Almeida FJ, Huumonen S, Molander A, Öhman A, Kvist T. Computed tomography (CT) in the selection of treatment for root-filled maxillary molars with apical periodontitis. Dentomaxillofac Radiol. 2016;45(5):20150391. doi: 10.1259/dmfr.20150391. Epub 2016 Mar 17.
31. Psillas G, Papaioannou D, Petsali S, Dimas GG, Constantinidis J. Odontogenic maxillary sinusitis: A comprehensive review. J Dent Sci. 2021 Jan;16(1):474-481.
32. Shahbazian M, Jacobs R. Diagnostic value of 2D and 3D imaging in odontogenic maxillary sinusitis: a review of literature. J Oral Rehabil. 2012 Apr;39(4):294-300.
33. Lechien JR, Filleul O, Costa de Araujo P, Hsieh JW, Chantrain G, Saussez S. Chronic maxillary rhinosinusitis of dental origin: a systematic review of 674 patient cases. Int J Otolaryngol. 2014;2014:465173. doi: 10.1155/2014/465173. Epub 2014 Apr 8.
34. Brüllmann DD, Schmidtmann I, Hornstein S, Schulze RK. Correlation of cone beam computed tomography (CBCT) findings in the maxillary sinus with dental diagnoses: a retrospective cross-sectional study. Clin Oral Investig. 2012 Aug;16(4):1023-9.
35. Saleh MHA, Khurshid H, Travan S, Sinjab K, Bushahri A, Wang HL. Incidence of retrograde peri-implantitis in sites with previous apical surgeries: A retrospective study. J Periodontol. 2021 Jan;92(1):54-61.
36. Kreisler M, Funk I, Marth K, Al-Nawas B. Einfluss einer Wurzelspitzenresektion auf die nachfolgende Implantattherapie des ersetzten Zahnes – eine retrospektive Kohortenstudie. 70. Jahrestagung der Arbeitsgemeinschaft für Oral- und Kieferchirurgie und 41. Jahrestagung des Arbeitskreises für Oralpathologie und Oralmedizin, 26. - 27. Mai 2022, Bad Homburg
37. Kim S. 2000 Color Atlas of Microsurgery Endodontics W B Saunders Co Ltd




















