Therapieoptionen nach Implantatverlust und Prävention von Folgeschäden
Implantat-gestützte Kronen, Brücken und Prothesen weisen langfristig gute Überlebensraten auf [Pjettursson, 2008; Moraschini, 20b15]. Je nach Versorgungsart kann die Lebensdauer dieser Restaurationen allerdings durch Komplikationen der Suprastruktur oder durch Implantatverluste verkürzt werden. Schwerwiegende Komplikationen an der prothetischen Versorgung lassen sich in der Regel durch Erneuerung derselben beheben, ohne dass die Implantate ersetzt werden müssen. Dagegen stellen Implantatverluste häufig das bisherige Versorgungskonzept infrage oder machen Nachimplantationen notwendig, je nach Knochenangebot an gleicher Position oder in benachbarten Regionen.
In den zahlreichen — teils reichlich bebilderten — Fortbildungsartikeln über implantologische Versorgungen spielen Implantatverluste und Misserfolge kaum eine Rolle. Meist entsteht der Eindruck, dass sich diese vermeiden lassen, wenn nur die modernsten Verfahren und Materialien zum Einsatz kommen. Werden Implantatverluste überhaupt thematisiert, erscheinen sie häufig als Einzelschicksale, die durch eine Verquickung unglücklicher Umstände oder durch vermeidbare Fehler infolge unzureichender Erfahrungen des Operateurs oder des Prothetikers auftreten.
Klinische Langzeitstudien und Reviews dokumentieren jedoch, dass nach zehn Jahren mit einer Verlustrate von circa zehn Prozent zu rechnen ist, ohne dass dabei Behandlungsfehler eine Rolle spielen müssen. Daher müssten in Deutschland grob geschätzt circa 100.000 Implantate im Jahr verloren gehen, wenn man berücksichtigt, dass die Anzahl der jährlich in Deutschland gesetzten Implantate bei über einer Million liegt (Schätzung der DGI für 2018: 1,3 Mio [ZWP online, 2018]). Eine intensivere Beschäftigung mit den Folgen von gescheiterten Implantaten erscheint deshalb gerechtfertigt, auch wenn Misserfolge häufig erst nach einer mehr oder weniger langen erfolgreichen Nutzungsdauer auftreten.
Steht nach einem Implantatverlust eine prothetische Neuversorgung an, so ist die Nachimplantation eine wichtige Therapieoption. Die Prognose von nachimplantierten Implantaten ist allerdings bisher weitgehend unbekannt. Die wenigen klinischen Studien sind auf kleine Stichprobenumfänge und kurze Beobachtungszeiten begrenzt [Agari und Le, 2020; Kim et al., 2010; Oh et al., 2020; Wang et al., 2015]. Daher sollte im Rahmen einer prospektiv dokumentierten klinischen Langzeitstudie auch die Prognose von Implantaten, die nach einem vorangegangenem Implantatverlust gesetzt wurden, systematisch evaluiert werden.
Optionen nach Implantatverlust
Auch wenn ein Implantat im Allgemeinen mit der Erwartung gesetzt wird, möglichst lebenslang funktionell suffizient in situ zu bleiben, sollte der Gedanke an einen Misserfolg von vornherein in die Planungen bei der Erstimplantation einbezogen werden.
Die einfachste Reaktion auf einen Implantatverlust stellt die Re-Implantation am gleichen Ort dar, weil das bisherige prothetische Versorgungskonzept dabei nicht geändert werden muss. Dies setzt jedoch voraus, dass das Knochenangebot nach dem Implantatverlust für eine Zweitimplantation noch ausreicht. Da die meisten Implantatverluste durch Periimplantitis mit entsprechenden Knochenverlusten bedingt sind, ist diese günstige Konstellation — selbst nach längerer Wartezeit zur Konsolidierung des Knochendefekts — selten gegeben.
Kommt es nach dem Abheilen der Explantationswunde zu Knochendefiziten, sind häufig Augmentationsverfahren nötig, um eine Zweitimplantation in der gleichen Lokalisation zu ermöglichen. Bei kleineren Defekten kommen eher simultane Augmentationen — zum Beispiel Guided Bone Regeneration, Sinusbodenelevation, Bone Spreading oder Bone Splitting — infrage, die gleichzeitig mit der Nachimplantation erfolgen. Bei ausgedehnten Knochendefiziten nach einem Implantatverlust wird eher ein zweizeitiges Vorgehen nötig, mit Knochenblocktransplantation und einer Nachimplantation erst nach der Konsolidierung des Knochentransplantats.
Bei ausreichendem Knochenangebot in der Nähe des verloren gegangenen Implantats kann die Nachimplantation in der gleichen Position vermieden werden. Die unbelastete Einheilung des nachgesetzten Implantats und die Konsolidierung des Explantationsdefekts können dann parallel erfolgen, zusätzliche Augmentationsverfahren erübrigen sich häufig.
Anhand klinischer Beispiele werden im Folgenden unterschiedliche Herangehensweisen an die prothetische Neuversorgung nach einfachen und multiplen Implantatverlusten beschrieben.
Präprothetische Maßnahmen und Zweitversorgungen nach Implantatverlust
Fall 1
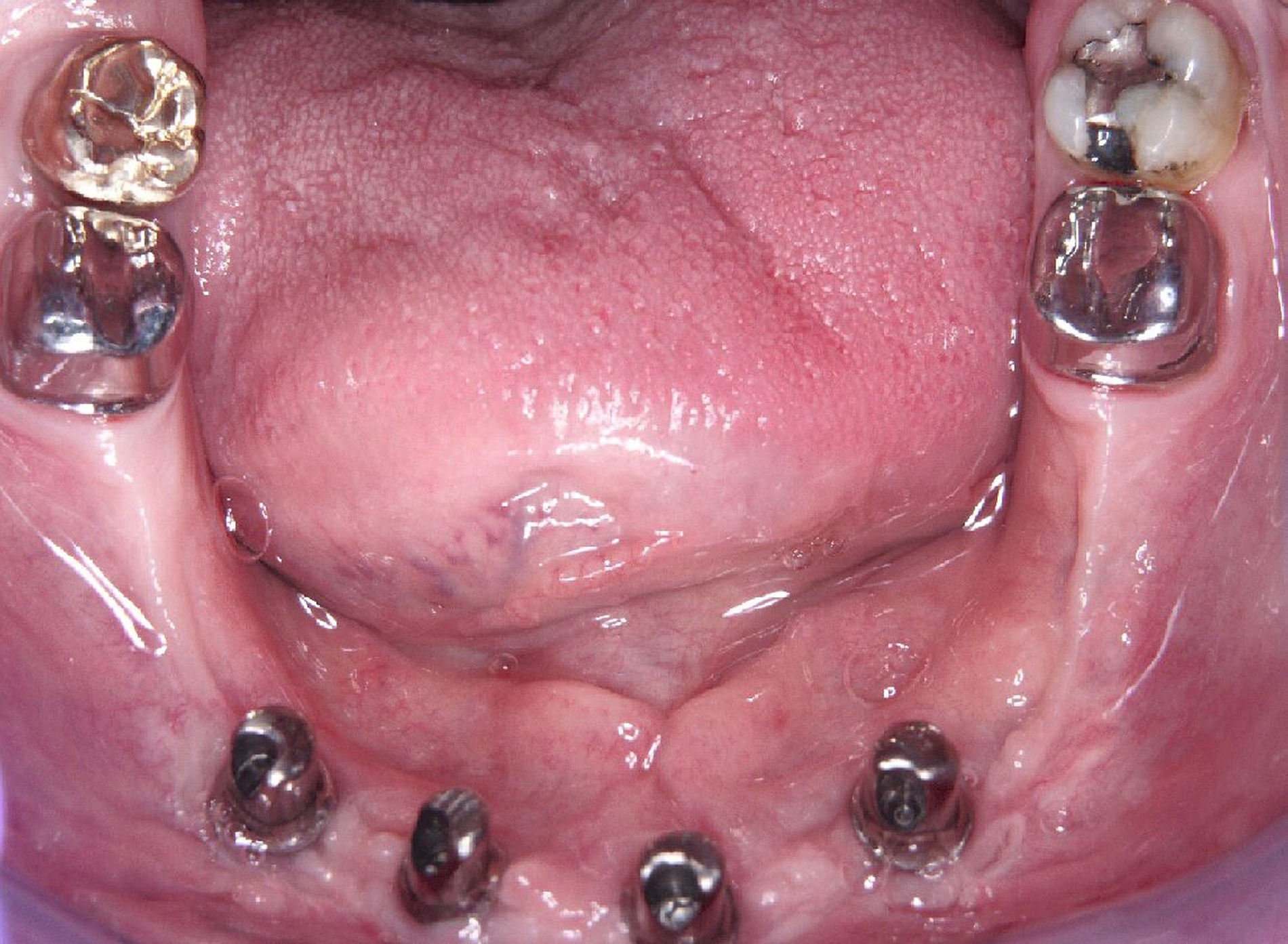
Nachdem der Patient bei einem Berufsunfall mit Ausnahme der zweiten Molaren und der Weisheitszähne alle Zähne im Unterkiefer verloren hatte, erfolgte 1996 im Alter von 44 Jahren die definitive Lückenversorgung. Hierzu wurden eine verschraubte Brückenkonstruktion (044-034-043-044) sowie zwei verblockte Kronenpaare auf insgesamt acht Implantaten eingesetzt. Nach sieben Jahren Tragedauer wurde an mehreren Implantaten röntgenologisch ein Knochenabbau festgestellt. Verkürzte Kontrollintervalle mit professionellen Zahnreinigungen und intensiven Instruktionen zur Interdentalhygiene konnten nicht verhindern, dass nach weiteren sieben Jahren Anfang 2011 der Knochenverlust an den meisten Implantaten auf 50 bis 80 Prozent zunahm (Abb. 1a).
Die Entscheidung zur Explantation fiel wegen des beschleunigten Knochenverlusts und der extrem erschwerten Bedingungen für eine effektive Mundhygiene im Bereich der Implantate mit Sondierungstiefen bis zu 12 mm (Abb. 1b und 1c). Unter Lokalanästhesie wurden sieben der acht Implantate mit einem passenden Trepanbohrer mit 0,1 mm Aufmaß im Vergleich zum Außendurchmesser der Implantate umbohrt, anschließend mit einem kleinen Rasparatorium gelockert und dann mit einer Arterienklemme entfernt. Entscheidend für die Eignung der Trepanbohrer war die Längenmarkierung, um eine Nervverletzung bei der Entfernung der sehr tief gesetzten Seitenzahnimplantate zu vermeiden (Abb. 1d und 1e). Eine ausgedehnte Lappenbildung konnte durch dieses Vorgehen vermieden werden.
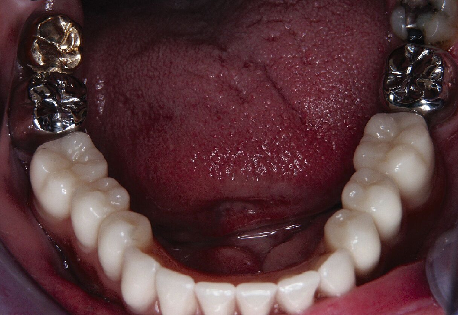
Eine präoperativ vorbereitete Interimsprothese, die über zwei gegossene Bonwill-Klammern sowie das verbliebene Implantat in regio 35 stabil abgestützt war, diente gleichzeitig als Verbandsplatte (Abb. 1f). Auf eine Glättung scharfer Knochenkanten oder die Nivellierung der Kieferkämme wurde verzichtet, um einen iatrogenen Knochenverlust zu vermeiden und das regenerative Potenzial des verbliebenen Knochens zu nutzen (Abb. 1g). Bereits bei der röntgenologischen Kontrolle nach drei Monaten war eine deutliche Zunahme des Knochens im Bereich der alten Implantatpositionen zu erkennen (Abb. 1h). Eine Nachimplantation von vier Implantaten in den Positionen 32, 34, 42 und 44 erfolgte neun Monate nach der Explantation und einer vorangegangenen Verbesserung der Weichgewebsbedeckung durch multiple freie Schleimhautransplantate vom harten Gaumen. Die knöcherne Regeneration unter der gut abgestützten Modellgussprothese verlief so günstig, dass sich der vertikale Höhenverlust des Alveolarkamms im Bereich der gescheiterten Implantate auf circa 2 mm begrenzen ließ. Das zur Entlastung der Kieferkämme und der einheilenden Implantate außerordentlich hilfreiche Implantat in regio 35 wurde erst nach dem Einheilen der nachgesetzten Implantate entfernt. Nach der Einheilzeit der Implantate von weiteren drei Monaten wurde eine kombiniert Zahn/Implantat-gestützte Teleskopprothese mit intraoral verklebten Galvano-Sekundärkronen eingegliedert (Abb. 1k bis 1m). Inzwischen ist diese, wie eine herausnehmbare Brücke abgestützte UK-Prothese seit zehn Jahren funktionstüchtig ohne Zeichen einer Periimplantitis an den vier Implantaten.
Fall 2
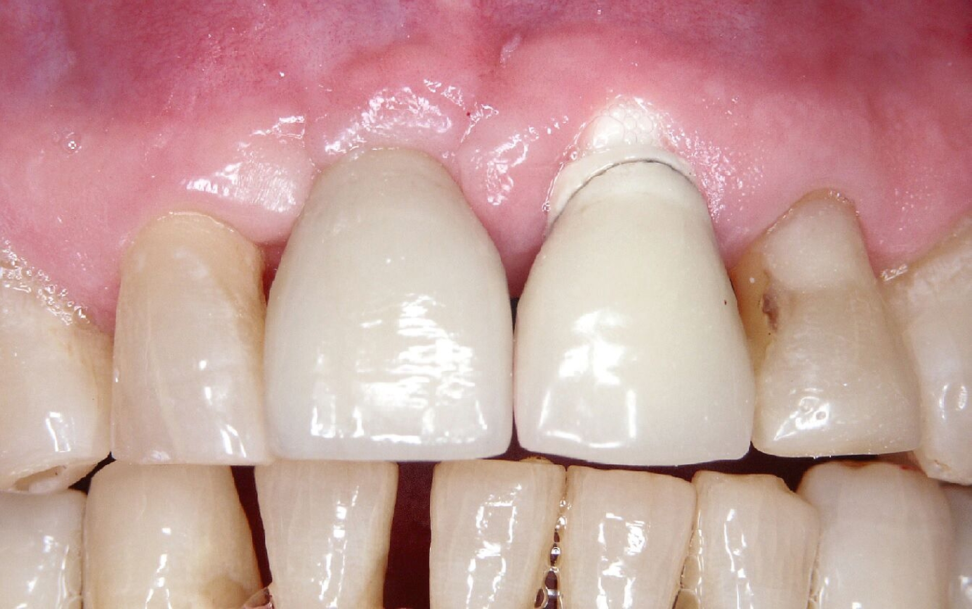
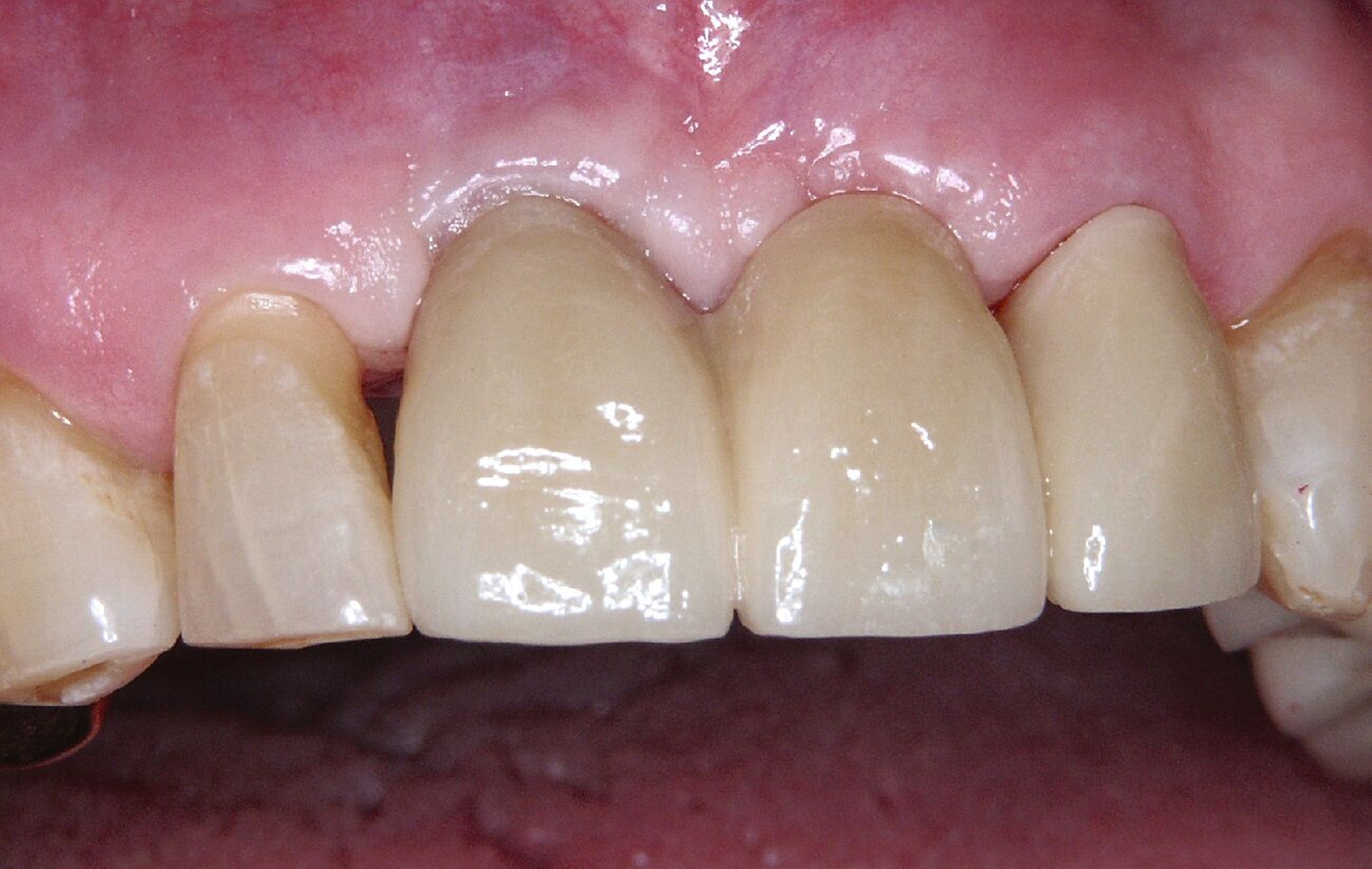
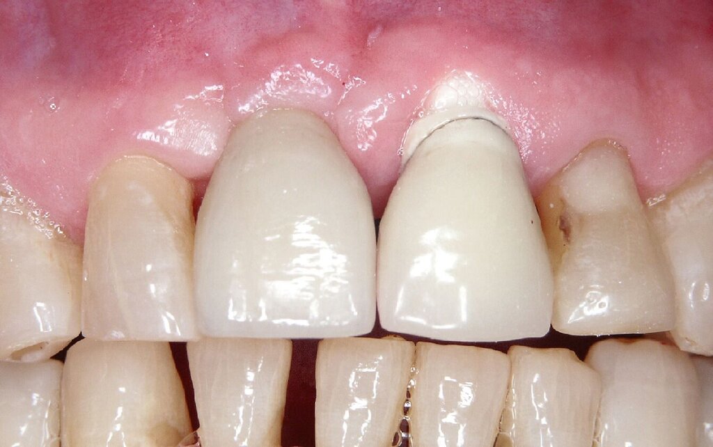
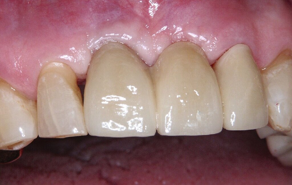
Bei einem 76-jährigen Patienten wurde ein circa 20 Jahre altes Aluminiumoxid-Implantat (Abb. 2a) entfernt, nachdem die ausgeprägte Gingivarezession in Kombination mit dem Abbau der vestibulären Knochenlamelle keine ausreichende Mundhygiene mehr zuließ. Nach Entfernung der Krone auf dem intakten Implantat in regio 11 konnte zur provisorischen Lückenversorgung eine stuhlgefertigte, kombiniert Zahn/Implantat-gestützte Brücke von 011 auf 22 eingegliedert werden (Abb. 2b). Eine Nachimplantation war aufgrund der günstigen Prognose für den Pfeilerzahn 22 überflüssig. Das verbliebene Weichgewebsdefizit wurde drei Monate nach der Explantation mit einem Bindegewebstransplantat vom harten Gaumen kompensiert (Abb. 2c bis 2e). Nach einer Konsolidierungsphase von weiteren drei Monaten wurde das Provisorium durch eine monolithische Zirkoniumdioxidbrücke mit ausschließlich vestibulärer Verblendung ersetzt (Abb. 2g). Eine invasive knöcherne Augmentation mit Wiederherstellung des knöchernen Kieferkamms nach dem Implantatverlust in regio 21 konnte vermieden werden, da eine erneute Implantation für das Behandlungsziel einer festsitzenden Versorgung nicht nötig war.
Fall 3
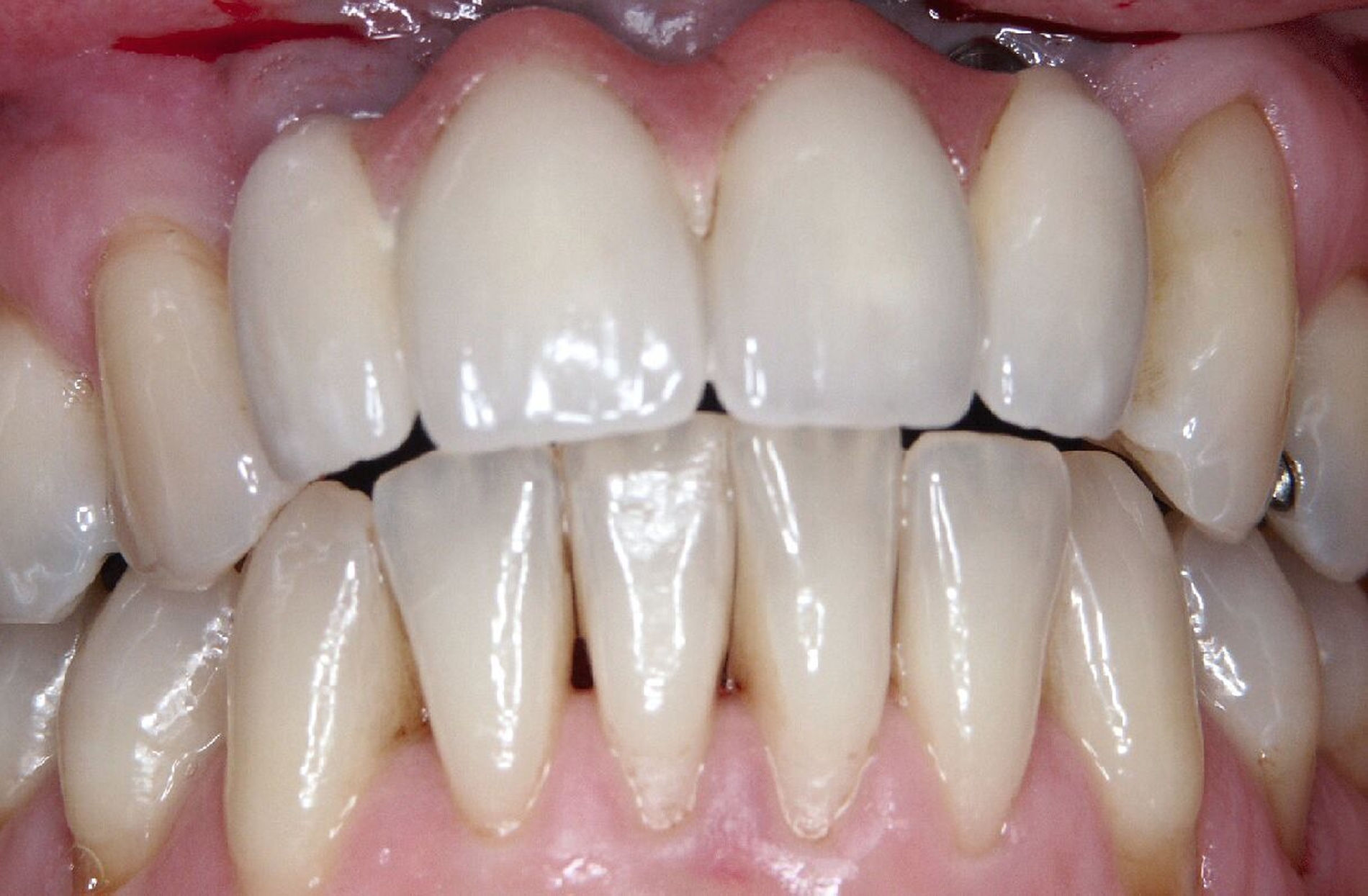
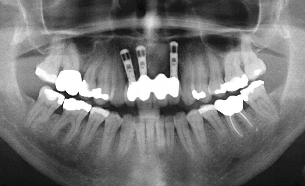
Ursprünglich waren bei dieser Patientin nach einem Frontzahntrauma vier Implantat-gestützte Kronen geplant. Nach dem frühen Verlust des Implantats in regio 21 während der Einheilzeit wurde dann eine auf drei Implantaten abgestützte Brücke eingegliedert. Das bestehende vertikale und horizontale Weichgewebsdefizit wurde bei der verschraubten Implantatbrücke durch aufgebrannte rosafarbene Keramik kaschiert (Abb. 3a). Funktionell war die Brückenversorgung über viele Jahre erfolgreich und zeigte keinerlei Lockerungsgrad. Trotz guter Mundhygiene war in Kontrollsitzungen ein kontinuierlicher Knochenabbau an allen Implantaten festzustellen (Abb. 3b). Zur Vermeidung eines weiteren Knochenverlusts fiel circa 15 Jahre nach der Erstversorgung die Entscheidung zur Explantation. Zu diesem Zeitpunkt war die Patientin 55 Jahre alt.
Nach dem Abschrauben der Suprastruktur (Abb. 3c und 3d) wurden alle Implantate unter Lokalanästhesie mit einem passenden Trepanbohrer umbohrt und ohne Lappenbildung entfernt. Die temporäre Lückenversorgung erfolgte mit einer herausnehmbaren Prothese, die über Gussklammern am Restgebiss abgestützt war.
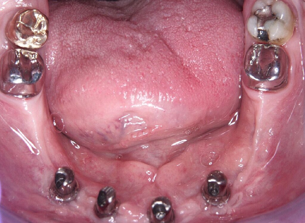
Da sechs Monate nach der Explantation keine nennenswerte knöcherne Regeneration festzustellen war, wurde eine zweizeitige Implantation nach Knochenaugmentation mithilfe dünner Knochenscheiben aus dem Kieferwinkel geplant. Die Entnahme erfolgte mit oszillierenden Instrumenten (Piezosurgery). Der Knochenblock wurde in dünne Scheiben geschnitten und mit Osteosyntheseschrauben am Alveolarfortsatz fixiert (Abb. 3e). Darüber wurden die Weichgewebe dicht vernäht. Weitere fünf Monate später erfolgte die Schraubenentfernung und die Implantation von zwei Bone-Level-Implantaten in regio 12 und 22 mit geschlossener Einheilung (Abb. 3f und 3g). Bei der Implantatfreilegung weitere sechs Monate später wurden die Weichgewebsdefizite im Brückengliedbereich durch ein kombiniertes Bindegewebs-/Schleimhauttransplantat aufgefüllt und gleichzeitig die keratinisierte periimplantäre Gingiva und Alveloarmukosa verbreitert (Abb. 3h und 3i). Die prothetische Versorgung erfolgte erst weitere drei Monate später, nach dem Konsolidieren der Weichgewebe. Die umfangreichen Augmentationsmaßnahmen konnten das transversale Weichgewebsdefizit vollständig kompensieren, während das verbleibende vertikale Defizit zu zervikal etwas längeren Kronen und Brückengliedern führte. Aufgrund der guten Abdeckung durch die Oberlippe kann das ästhetische Ergebnis als zufriedenstellend bewertet werden (Abb. 3j bis 3l).
Prognose nach vorangegangenem Misserfolg
Die im Rahmen der Fallbeispiele gezeigten Nachimplantationen waren zwar bisher erfolgreich und könnten als Vorlage dienen. Für eine rationale Entscheidungsfindung und die Aufklärung der betroffenen Patienten sollten jedoch zusätzlich belastbare Daten zur Prognose von nachimplantierten Implantaten herangezogen werden. Auch für den Implantologen sind Kenntnisse über zusätzliche Risikofaktoren bei Patienten mit vorangegangenem Implantatverlust hilfreich, bevor ein zweiter Anlauf genommen wird.
Aus einer prospektiv dokumentierten Studie wurden im Rahmen einer Risikoanalyse 1.131 Patienten, darunter 599 Männer, im Alter von 60,94 +/- 12,1 Jahren einbezogen, die in der Abteilung für Zahnärztliche Prothetik am Universitätsklinikum Heidelberg 2.801 Implantate erhielten und prothetisch versorgt wurden. Davon wurden bei 59 Patienten insgesamt 137 Implantate inseriert, nachdem bereits mindestens ein Implantatverlust aufgetreten war. Die Prognose dieser 137 nachimplantierten Implantate wurde mit den 2.664 anderen Implantaten verglichen, die in der Kontrollgruppe von 1.072 Patienten ohne vorangegangenen Implantatverlust gesetzt worden waren. Berücksichtigt wurden nur Implantate, die nach einem konventionellen Belastungsprotokoll (UK ≥ 3 Monate, OK ≥ 6 Monate) versorgt waren.
Während des Beobachtungszeitraums von bis zu 15 Jahren gingen 11 Implantate (8 Prozent) in der experimentellen Gruppe und 74 Implantate (2,5 Prozent) in der Kontrollgruppe verloren. Die kumulative Überlebensrate nach zehn Jahren fiel mit 86,5 Prozent für die experimentelle Gruppe signifikant niedriger aus als für die Kontrollgruppe mit 95,6 Prozent (Abbildung 4). Demnach können nach vorangegangenem Verlust Implantate mit einer akzeptablen Prognose inseriert werden; die um circa neun Prozent höhere Zehnjahresverlustrate für die nachimplantierten Implantate ist jedoch zu berücksichtigen [Leisner et al, 2021].
In beiden Gruppen wurde ein hoher Anteil (> 62 Prozent) in Kombination mit simultanen Augmentationsverfahren inseriert. Die Notwendigkeit zum Einsatz von Augmentationen erhöhte das langfristige Verlustrisiko ebenfalls. Nach zehn Jahren fiel die Überlebenskurve für Implantate, die in ausreichendem Knochenvolumen ohne Einsatz von simultanen Augmentationstechniken inseriert waren, mit einer Überlebenswahrscheinlichkeit von 96,9 Prozent günstiger aus als bei Implantationen mit simultaner Augmentation (93,6 Prozent, Abbildung 5).
Diskussion der Therapieoptionen
Die drei ausgewählten Patientenfälle zeigen ein weites Spektrum von Defiziten am knöchernen Alveolarfortsatz und im Bereich des Weichgewebes, das nach Implantatverlusten auftreten kann. Da Implantate selbst bei einer minimalen Restverankerung von wenigen Gewindegängen im Knochen klinisch fest sind, ist für die schonende Explantation das Umbohren mit einem passenden Trepanbohrer mit minimal (+ 0,1 mm) größerem Innendurchmesser empfehlenswert.
Die Infektion wird mit der Explantation zuverlässig beseitigt. Das Regenerationsvermögen des knöchernen Alveolarfortsatzes unterliegt jedoch großen individuellen Schwankungen. Inwieweit sich das zusätzliche Einbringen von körpereigenen Wachstumsfaktoren oder Fremdmaterial positiv auswirkt, sollte in prospektiven Studien unter Einbeziehung sinnvoll ausgewählter Kontrollgruppen überprüft werden.
Nach eigenen klinischen Erfahrungen ist die Entfernung der bakteriell besiedelten Fremdkörper und das lastfreie Abheilen entscheidend für eine komplikationslose Wundheilung und die knöcherne Regeneration. Daher ist für die Interimslösung auf eine möglichst gut abgestützte Prothese (wie in Fall 1) oder ein festsitzendes Provisorium (wie in Fall 2) zu achten. Jeder erhaltene Kieferkammabschnitt kann Ausgangspunkt für eine knöcherne Regeneration werden. Eine weitere Reduktion durch Glätten des Kieferkamms sollte daher unterbleiben. Scharfe Knochenkanten können auch durch Regeneration abrunden, solange keine schlecht verankerte Interimsprothese zu einer Schleimhautperforation führt.
Bei kleinen Lücken kann eine Nachimplantation häufig vermieden werden, insbesondere wenn belastbare Pfeilerzähne oder Implantate in der Nähe zur Verankerung genutzt werden können. Aktuelle Studien zeigen, dass sich die Prognose von kombiniert Zahn-Implantat-gestützten Brücken nicht von rein Implantat-gestützten Brücken unterscheidet [Rammelsberg, 2021]. Durch ein Bindegewebstransplantat können Weichgewebsdefekte kompensiert werden, um ästhetische Kompromisse zu reduzieren (wie in Fall 2).
Fehlen nach dem Implantatverlust belastbare Pfeiler im Bereich der Lücke, so ist die Nachimplantation eine gute Option, die mit einer etwas reduzierten Überlebensrate von unter 90 Prozent nach zehn Jahren verbunden ist. Häufig ist im Rahmen der Re-Implantation eine Augmentation zur Kompensation der knöchernen Defizite nötig, die jedoch meist simultan und minimalinvasiv erfolgen kann.
Die Implantation in Kombination mit simultaner Knochenaugmentation verschlechtert die Prognose geringfügig [Tran et al., 2016; Leisner et al, 2021], insbesondere wenn mehrere Techniken gleichzeitig zum Einsatz kommen [Rammelsberg et al., 2012]. Im Einzelfall können jedoch auch extrem belastende und mehrzeitige Augmentationen des Alveolarfortsatzes und der Weichgewebe nötig werden, die sich über bis zu zwei Jahre hinziehen (wie in Fall 3).
Minimierung der Folgen von Implantatverlusten
Aufgrund der Zunahme von implantatverankerten Versorgungen ist auch mit zunehmenden Implantatverlusten zu rechnen. Daraus resultieren immer mehr oder weniger ausgeprägte Knochendefizite. Eine implantatverankerte Zweitversorgung ist häufig möglich, aber in der Regel mit zusätzlichen Augmentationen und längeren Wartezeiten für die Konsolidierung von Knochentransplantaten und der umgebenden Weichgewebe verbunden. Daher sollten schon bei der Planung der Erstimplantation die negativen Folgen eines potenziellen Implantatverlusts berücksichtigt und so weit wie möglich reduziert werden. Folgende Maßnahmen kommen hierfür infrage:
Vermeidung von überdimensionierten Implantaten: Je geringer die Implantatlänge und der Durchmesser sind, desto geringer ist der Knochendefekt durch eine Periimplantitis und die Explantation. Ein Durchmesser von circa 4 mm und eine Implantatlänge von 8-10 mm sind häufig ausreichend und bei den meisten Herstellern mit keinerlei Indikationseinschränkung für die prothetische Suprastruktur verbunden.
Vergrößerung der Abstände zu benachbarten Strukturen: Die Abstände sollten so gewählt werden, dass selbst beim Einsatz eines Trepanbohrers der Nachbarzahn beziehungsweise ein benachbartes Implantat nicht geschädigt wird. Bei konischen Implantaten oder stufenzylindrischen Implantatformen muss die Größe des Trepanbohrers an den größten Implantatdurchmesser angepasst werden. Zu beachten ist außerdem, dass der minimale Sicherheitsabstand für die Implantation bei konischen Implantaten und bei Implantaten mit ausladenden aggressiven Gewinden noch nicht den nötigen Abstand für die Explantation gewährleistet.
Belassen von Kieferkammabschnitten ohne Implantate: Diese Abschnitte können bei Implantatverlust zur Nachimplantation genutzt werden und als Ausgangspunkt für die Regeneration von Knochendefekten nach der Explantation dienen. So ist bei einer Lücke mit drei fehlenden Zähnen eine Brückenversorgung auf zwei Implantaten günstiger für eine potenzielle Zweitversorgung als drei Implantate mit Einzelkronen, zumal die Prognose beider Versorgungen gleichwertig ist.
Einbeziehung von natürlichen Pfeilerzähnen unter Implantat-gestützten Brücken und Prothesen: Dadurch kann die Anzahl der benötigten Implantate reduziert werden, ohne die Prognose der prothetischen Suprastruktur oder der Implantate zu verschlechtern. Dieses Vorgehen reduziert das Ausmaß von durch Periimplantitis bedingten Knochendefekten und sorgt gleichzeitig für implantatfreie Kieferkammabschnitte bei der primären Implantatversorgung.
Schlussfolgerungen
Unter präventiven Gesichtspunkten sollten die Konsequenzen eines Misserfolgs bereits bei der primären Implantatplanung berücksichtigt werden, um die Chancen für eine Zweitversorgung zu verbessern. Die Nachimplantation ist mit einem etwas erhöhten Risiko verbunden; sie wird jedoch durch Zurückhaltung bei der Dimensionierung und bei der Anzahl der Implantate für die Erstversorgung erleichtert.

































