Dermoidzyste des Mundbodens

Ein Elfjähriger stellte sich aufgrund einer Raumforderung im Mundboden in Begleitung seiner Eltern auf Empfehlung seiner Kieferorthopädin vor. Er zeigte einen guten Allgemeinzustand ohne bekannte Vorerkrankungen. Anamnestisch gab der Junge an, dass der Status idem bereits lange bestehe. Der genaue Zeitraum konnte nicht ermittelt werden. Aufgrund fehlender Beschwerdesymptomatik sei die Veränderung bis zur Kontrolluntersuchung der Kieferorthopädin nicht aufgefallen.
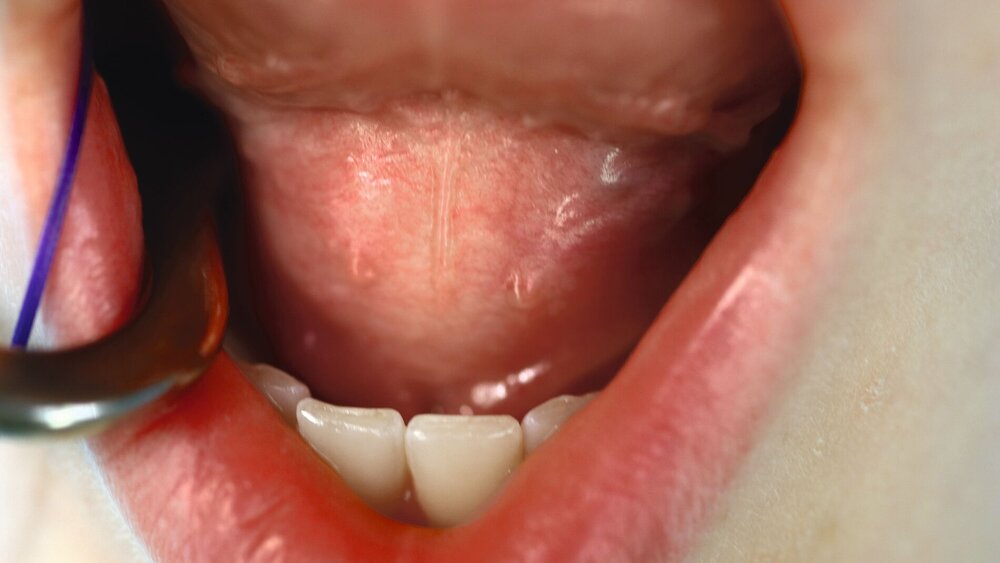
Klinisch zeigte sich eine rundliche Erhabenheit sublingual, die den gesamten Mundboden ausfüllte. Die Palpation ergab eine weiche, nicht druckdolente Raumforderung. Alle Zähne waren vital; ein dentaler Fokus konnte ausgeschlossen werden. Die bereits vorliegende Röntgendiagnostik mittels Orthopantomografie (OPT) (Abbildung 1) zeigte keinen pathologischen Befund. Eine extraorale Schwellung konnte zu diesem Zeitpunkt nicht festgestellt werden.

Zeitnah wurde eine Magnetresonanztomografie (MRT) mit Kontrastmittel durchgeführt (Abbildung 2). Eine Sedierung war aufgrund der guten Mitarbeit des Patienten nicht notwendig. Der radiologische Befund zeigte eine flüssigkeitsisointense, oval konfigurierte Raumforderung in den ventralen Anteilen der Zungenwurzel mit einer Ausdehnung von 6,3 cm (ventrodorsal) x 1,9 cm (mediolateral) x 3,4 cm (kraniokaudal). Nach ventral reichte die Raumforderung bis an die Mandibula. Kaudal bestand Kontakt zur Muskulatur des Mundbodens. Nach kranial und dorsal lag die Zungenmuskulatur der Raumforderung auf. Eine Kontrastmittelaufnahme konnte allenfalls als minimal im Bereich der der Raumforderung angrenzenden Muskulatur beschrieben werden.
Hinweise für eine Diffusionsrestriktion, infiltrierendes Wachstum oder eine Beteiligung der cervicalen Lymphknoten gab es nicht. Der Befund war am ehesten mit einer benignen, zystischen Raumforderung im Sinne einer Ranula vereinbar. Differenzialdiagnostisch erschien eine Ductus-thyreoglossus-Zyste weniger wahrscheinlich, da keine direkte Lokalisation zum Ductus thyreoglossus bestand.
Aufgrund des beschriebenen Befunds und der nicht auszuschließenden Größenprogredienz empfahlen wir eine baldige Exstirpation der Raumforderung. Die operative Entfernung von intraoral erfolgte schließlich unter stationären Bedingungen in nasotrachealer Intubationsnarkose.
Bei medialer Schnittführung unter Schonung des Ductus submandibularis beidseits konnte die Raumforderung durch stumpfe Präparation mittels Metzenbaum- und Jameson-Reynolds-Schere zirkulär enukleiert werden (Abbildung 3). Die Kontinuität der Zystenwand wurde vollständig erhalten (Abbildung 4a). Der Wundverschluss erfolgte mit resorbierbaren Vicrylnähten.



Der postoperative Verlauf gestaltete sich regelrecht ohne Nachblutungsepisoden und Wundheilungsstörungen. Der Patient gab keinerlei Beschwerden an. Der Speichelfluss war suffizient. Die Entlassung folgte am zweiten postoperativen Tag.
Im histopathologischen Gutachten zeigte die makroskopische Befundung ein zystisch-konfiguriertes, glatt-überkleidetes Gewebe mit einer Ausdehnung von 3,3 cm x 2,7 cm x 1,5 cm. Der Inhalt entleerte sich talgig-beige mit frischkäseartigem, zerfallendem Granulat (Abbildung 4b). Mikroskopisch waren zystische Gewebsfragmente, ausgekleidet durch verhornendes Plattenepithel nachweisbar. Die mikrobiologische Untersuchung des Punktats zeigte kein Keimwachstum. Der Befund war vereinbar mit einer Dermoidzyste ohne Anhalt für Malignität.
Diskussion
Bei der Dermoidzyste (auch Epidermoidzyste) handelt es sich um einen benignen embryonalen Tumor ektodermalen Ursprungs. Nach den Ovarien ist die Haut die häufigste Lokalisation dieser Entität. Eine Lokalisation im Mundboden ist dagegen selten [Etarbi et al., 2020].
Klinisch zeigt sich die Dermoidzyste meist asymptomatisch. Erst bei ausgedehnter Größenprogredienz fallen Nervenfunktionsstörungen durch verdrängendes Wachstum, zum Beispiel Trigeminusneuralgie oder Fazialisparese, auf.
Durch versprengte mesodermale oder entodermale Zystenanteile können mikroskopisch nahezu alle Gewebe enthalten sein. Hierzu zählen in 70 bis 100 Prozent der Fälle Haarfollikel, Talgdrüsen und Fettgewebe. In bis zu 30 Prozent der Fälle kommen auch Zähne vor. Die Kombination der Keimblätter wird als zystisches Teratom bezeichnet [Howell, 1985].
Eine bildgebende Diagnostik mittels MRT ist ratsam. Bei Verdacht auf ein zystisches Geschehen wird jedoch dringend von einer Probeentnahme aufgrund der Verschleppung von Zystengewebe abgeraten. Die differenzialdiagnostische Abgrenzung der Dermoidzyste gestaltet sich aufgrund der Ähnlichkeit verschiedener Läsionen häufig schwierig [Regis et al., 2019].
So muss die Zyste im Bereich der Haut und des Mundbodens von subkutanen Hämangiomen und anderen benignen sowie malignen Tumoren abgegrenzt werden. Aufgrund der weich-tastbaren Struktur findet sich häufig der Verdacht auf ein Lipom. Bei Lokalisation im Ovar oder im ZNS sind auch diverse Ovarialtumoren sowie Gliome denkbar. Eine In-toto-Exzision ist in jedem Fall indiziert. Aufgrund der Benignität ist hierbei kein Sicherheitsabstand einzuhalten. Ein Rezidiv ist nach vollständiger Entfernung selten [Lima et al., 2003].
Im Vergleich zum extraoralen Zugang lässt sich die Mundbodenzyste gut über einen transoralen Zugang mit einem sehr guten ästhetischen Ergebnis ohne extraorale Narbe entfernen [Kim et al., 2018].
Die Entleerung des meist flüssig bis breiigen Inhalts mit käsigen Anteilen ins OP-Gebiet sollte aufgrund der Gefahr einer großflächigen Wundinfektion dringend vermieden werden. Ein entscheidender Faktor für die Prognose ist das halbjährliche Screening in der zahnärztlichen Praxis. Hierzu sind neben der zahnärztlichen Befundaufnahme eine strukturierte Mundschleimhautkontrolle sowie eine Palpation der Kaumuskulatur und des Mundbodens unerlässlich.




