Revaskularisation bei Wurzelquerfraktur
Die Wurzelquerfraktur stellt einen Anteil von circa einem Prozent aller dentalen Traumata im bleibenden Gebiss [Glendor, 1996]. Die Diagnose kann abhängig von der Lokalisation und dem Verlauf klinisch und/oder röntgenologisch erfolgen. Bei der klinischen Diagnostik kann eine Dislokation des koronalen Fragments nach oral oder vestibulär beziehungsweise nach mesial oder distal (laterale Dislokation) zu beobachten sein. Eine sichtbare oder messbare Dislokation des koronalen Zahnfragments ist jedoch keine unbedingte Voraussetzung für eine Wurzelquerfraktur. Für eine sichere Diagnose ist eine präzise radiologische Untersuchung erforderlich. Häufig wird der Verdacht auf eine Wurzelquerfraktur erst nach röntgenologischer Beurteilung gestellt.
Zu den wichtigsten Parametern gehören der radiologische Strahlengang und damit die Projektionsrichtung, die Lokalisation der Fraktur, deren Verlauf (horizontal oder diagonal) und die Anzahl der Frakturen (multiple Querfrakturen) [Bourguignon, 2020]. Deshalb kann eine Wurzelquerfraktur bei der Erstuntersuchung unter Umständen unentdeckt bleiben. Bei einem Verdacht empfiehlt es sich daher, entweder ein weiteres Röntgenbild — zum Beispiel in einer anderen Ebene — aufzunehmen oder eine dreidimensionale Röntgenuntersuchung (digitales Volumentomogramm, DVT) durchzuführen.
Vorgehen während der klinischen Untersuchung
Ein strukturiertes klinisches Untersuchungsregime ist im Rahmen der ersten Untersuchung am Unfalltag unbedingt erforderlich. Das Wissen um die zu erhebenden klinischen Befunde verkürzt die Untersuchungszeit für die Patienten erheblich. Besonders in der schwierigen Situation am Unfalltag helfen eine Struktur und ein besonnenes, ruhiges Vorgehen.
Allem voran müssen zuallererst die Symptome der unterschiedlichen Graduierungen des Schädel-Hirn-Traumas (Commotio, Contusio, Compressio) erfragt werden.
Folgende Befundreihenfolge sollte eingehalten werden:
1. extraoraler Befund
Inspektion der Weichteile auf Verletzungen jeder Art sowie hinsichtlich sichtbarer Hämatome (inklusive aktive Blutungen) und Asymmetrien (Schwellungen)
vorsichtige Erhebung von Sensibilität und Druckdolenz an den Nervenaustrittspunkten des Nervus trigeminus
Palpation der knöchernen Strukturen, mindestens am mittleren und am unteren Gesichtsschädel
2. intraoraler Befund
Inspektion sämtlicher intraoraler Weichteile (Innenlippe, Gingiva, Wangenschleimhaut, Zunge) auf Verletzungen jeder Art sowie auf sichtbare Hämatome (inklusive aktive Blutungen) und Asymmetrien (Schwellungen)
Achtung: Hämatome im Bereich der Gingiva und unterhalb der mukogingivalen Grenzlinie können Hinweis auf eine Alveolarfortsatzfraktur sein, die mit einer Wurzelquerfraktur einhergehen kann.Inspektion der Zahnhartsubstanzen auf Frakturen jeder Art
Achtung: Das Gebiss, also der betroffene Kiefer und die entsprechende Gegenbezahnung, muss vollständig beurteilt werden.Palpation der Alveolarfortsätze
Untersuchungen der Zähne und des Parodonts: Perkussion, Sensibilität, Zahnbeweglichkeit, Farbeinschätzung, parodontale Sondierungstiefen, Zahnstellung, Dolenz nach Aufbiss auf Watterolle
Achtung: Sämtliche Befunde sollten zusätzlich ebenfalls an den entsprechenden Nachbarzähnen sowie an den entsprechenden Zähnen des Gegenkiefers erhoben werden.
3. radiologischer Befund
intraorale Aufnahmen (gegebenenfalls in zwei Ebenen)
weiterführende Diagnostik: DVT
Bei rechtfertigender Indikation: Schädelaufnahmen (Ausschluss weiterer Frakturen)
Allgemeine Empfehlungen
zur Therapie
Bei der Erstversorgung wird grundsätzlich eine Schienung des betroffenen Zahnes empfohlen, wobei sich die Schienungsdauer an der Lage der Fraktur orientiert. Bei einer Wurzelquerfraktur im mittleren und im unteren Wurzeldrittel wird zu einer Schienungsdauer von vier Wochen geraten. Liegt die Fraktur jedoch im oberen Wurzeldrittel und ist das koronale Fragment nach vier Wochen weiterhin stark gelockert, kann eine Schienungsdauer von bis zu vier Monaten indiziert sein.
Generell ist auf eine flexible Schienung zu achten, sofern eine Alveolarfortsatzfraktur ausgeschlossen werden kann [Bourguignon, 2020]. Zusätzlich sollten bereits am Unfalltag die Zahnhartsubstanzen der betroffenen Zähne (zumindest provisorisch) versorgt werden.
Die weitere Therapie ist abhängig vom Dislokationsgrad der Segmente und vom Entwicklungsgrad der betroffenen Wurzeln: So haben Zähne mit nicht abgeschlossenem Wurzelwachstum eine deutlich geringere Wahrscheinlichkeit (circa 3 Prozent) bezüglich des Auftretens einer Pulpanekrose im koronalen Fragment als Zähne mit abgeschlossenem Wurzelwachstum (> 25 Prozent) [Andreasen, 2004].
Bei Zähnen mit nicht abgeschlossenem Wurzelwachstum sind Dislokationen bis zu einem Millimeter mit einer relativ guten Prognose hinsichtlich einer erhaltenen Vitalität der Pulpa in beiden Fragmenten vergesellschaftet [Andreasen, 2004], während bei Zähnen mit abgeschlossenem Wurzelwachstum und erkennbarer Wurzelkanalobliteration eine Ruptur des pulpalen Gewebes bereits bei kleineren Dislokationsdimensionen als wahrscheinlich anzunehmen und eine entstehende Pulpanekrose wahrscheinlicher ist.
Bei diagnostizierter Nekrose im koronalen Fragment sollte hier umgehend eine Wurzelkanalbehandlung erfolgen, damit eine mögliche Infektion des pulpalen Gewebes im apikalen Segment verhindert werden kann. Sollte eine Behandlung des apikalen Segments aufgrund einer Pulpanekrose indiziert sein, existieren in Abhängigkeit vom Dislokationsgrad mehrere Therapiemöglichkeiten:
1. Bei gering ausgeprägter Dislokation unter 1 mm kann eine orthograde Wurzelkanalbehandlung beider Fragmente erwogen werden. Jedoch muss sichergestellt werden, dass keine Schädigung der umliegenden Gewebe durch das Wurzelfüllmaterial resultiert.
2. Sollte aufgrund der vorliegenden Dislokation keine orthograde Wurzelkanalbehandlung möglich sein, ist eine chirurgische Entfernung zu erwägen [Jepsen, 2020].
Eine Alternative zur in 1) beschriebenen konventionellen Wurzelkanalbehandlung könnte die Revaskularisation sein [Galler, 2016]. Der Vorteil ist dabei, dass kein Wurzelfüllmaterial unterhalb der Frakturlinie eingebracht werden muss und das Wurzelwachstum idealerweise voranschreiten kann [Ong, 2020]. Die Therapie einer Wurzelquerfraktur bei vorliegender Pulpanekrose in beiden Segmenten mittels Revaskularisation wird in der folgenden Falldarstellung beschrieben und diskutiert.
Kasuistik

Die Patientin war zum Zeitpunkt der Erstaufnahme im CharitéCentrum für Zahn-, Mund- und Kieferheilkunde der Charité-Universitätsmedizin Berlin acht Jahre alt. Sie stellte sich zur Beratung bei Zustand nach Frontzahntrauma an Zahn 21 zusammen mit ihren Eltern vor. Allgemeinanamnestisch gaben die Eltern keine Erkrankungen an.
Folgender Hergang wurde geschildert: Im Mai 2019 verletzte sich das Mädchen beim Toben, als ein Spielkamerad mit seinem Kopf gegen ihren Zahn 21 stieß. Infolgedessen wies der Zahn unmittelbar eine leicht erhöhte Lockerung auf; es erfolgte eine Vorstellung beim Hauszahnarzt, jedoch wurde keine Therapie durchgeführt.
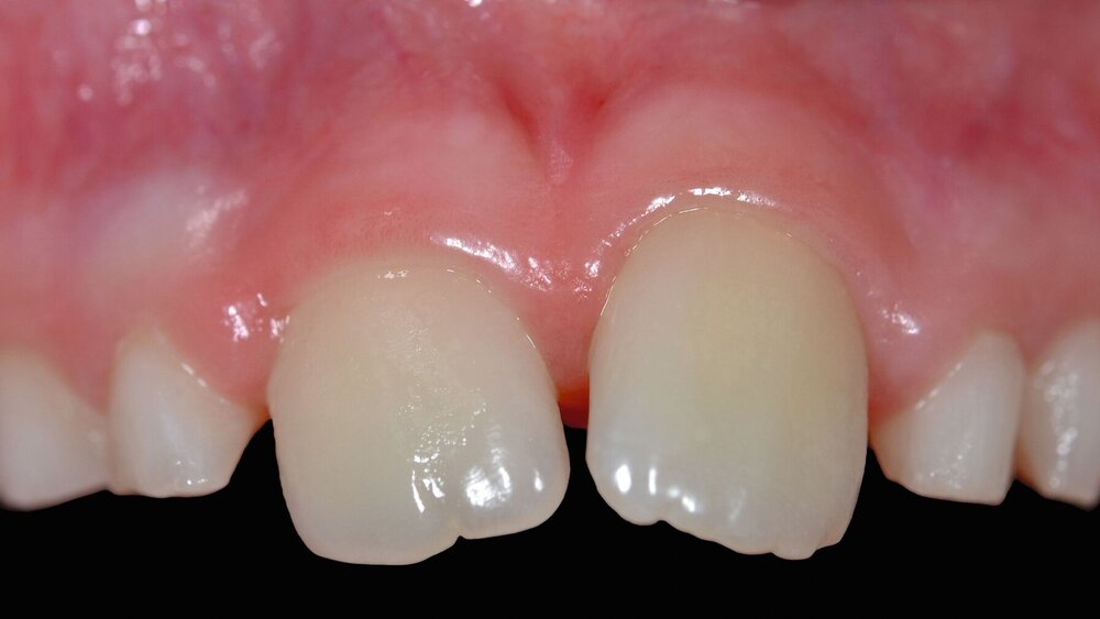
Zum Zeitpunkt des Beratungstermins lagen moderate, reizunabhängige Beschwerden sowie eine deutliche Perkussionsempfindlichkeit und keine Reaktion auf Kälte (— 40°C, Endo Coldspray, Henry Schein, Melville, USA) an Zahn 21 vor. Der horizontale Lockerungsgrad betrug I, die Sondierungstiefen lagen zirkulär bei 2 mm. Klinisch zeigte sich eine ausgeprägte Protrusion des Zahnes 21, die nach Schilderung der Eltern bereits vor dem Unfall vorgelegen hatte (Abbildung 1). Die Zähne 12, 11, 22 und 23 zeigten keine Auffälligkeiten und reagierten plausibel positiv auf Kälte. Zur weiteren Diagnostik wurden eine intraorale Aufnahme der Zähne 12-22 (Abbildung 2a) und eine Aufbissaufnahme (Abbildung 2b) der Frontzahnregion angefertigt. Auf beiden Röntgenbildern war deutlich eine Wurzelquerfraktur an Zahn 21 im mittleren Wurzeldrittel mit Dislokation zu sehen. Zusätzlich war im Vergleich zu Zahn 11 ein Unterschied im Wurzelreifungsgrad erkennbar. Auf Basis der röntgenologischen und der klinischen Befunde musste eine Pulpanekrose mit konsekutiver Entzündung des Parodontiums im Bereich des Bruchspalts als wahrscheinlich angenommen werden.

Es wurden zwei Therapiemöglichkeiten diskutiert: die konventionelle Wurzelkanaltherapie beider Segmente und der Versuch der Revaskularisation ohne konventionelle Wurzelkanaltherapie (inklusive Obturation). Nach entsprechender Aufklärung und Risikoabwägung entschieden sich die Eltern für den Versuch der Revaskularisation.
In der ersten Behandlungssitzung im August 2019 erfolgte unter Kofferdam und Lokalanästhesie ohne Adrenalin (Ultracain D, Sanofi, Paris, Frankreich) die Trepanation und mikroskopische intradentale Inspektion des Zahnes 21, bei der eine vollständige Pulpanekrose festgestellt werden konnte. Der Bruchspalt wurde röntgenologisch durch eine Kontrastaufnahme evaluiert (Abbildung 3). Gemäß dem Positionspapier der European Society of Endodontics für Revaskularisationstherapien erfolgte die Desinfektion des Endodonts mit 20 ml 3 % Natriumhypochlorit, anschließend eine Zwischenspülung mit 5 ml 0,9 % physiologischer Kochsalzlösung (NaCl, Braun, Melsungen, Deutschland) sowie eine Abschlussspülung mit 20 ml 17 % Ethylendiamintetraessigsäure (EDTA/CanalPro EDTA, Coltène, Altstätten, Schweiz). Nach der Trocknung des Kanals mit Papierspitzen wurde ein Calciumhydroxidpräparat (Ultracal XS, Ultradent, South Jordan, USA) in den Wurzelkanal eingebracht sowie mit einem sterilen Schaumstoffpellet und Komposit provisorisch verschlossen.

Am 26. September 2020 erfolgte die zweite Behandlungssitzung unter Kofferdam und Lokalanästhesie ohne Adrenalin (Ultracain D). Nach Entfernung der provisorischen Füllung wurde die medikamentöse Einlage mittels 0,9 % NaCl herausgespült. Im zweiten Schritt erfolgte eine Spülung mit 20 ml 17 % EDTA für 5 min und eine Abschlussspülung mit 5 ml 0,9 % NaCl, die überschüssige Flüssigkeit wurde vorsichtig mit Papierspitzen entfernt. Danach wurde mit einer vorgebogenen ISO-40-Hedströmfeile mit rotierenden Bewegungen im periapikalen Gewebe eine Einblutung ins Kanalsystem (bis 2 mm unterhalb der Schmelz-Zement-Grenze) provoziert. Innerhalb von 14 Minuten konnte sich ein Blutkoagulum ausbilden und mit einer Kollagenmatrix (Hemocollagene, Septodont, Saint-Maur-des-Fossés, Frankreich) abgedeckt werden (Abbildung 4). Darauf wurde ein hydraulischer Kalziumsilikatzement (BiodentineTM, Septodont) geschichtet (Abbildung 5) und nach vollständiger Aushärtung nach 15 min mit einer Kompositfüllung versiegelt (Optibond FL, Kerr, Brea, USA; Ceram X Universal A2, Dentsply Sirona, York, USA). Anschließend wurde eine radiologische Kontrolle der Versorgung durchgeführt (Abbildung 6).



Nach sechs Monaten erfolgte die klinische und röntgenologische Kontrolluntersuchung. Es lagen klinisch physiologische Schleimhautverhältnisse vor, radiologisch zeigten sich gesunde periapikale Verhältnisse sowie eine intrakanaläre Verschattung im Sinne von appositioniertem Hartgewebe in beiden Fragmenten (Abbildung 7). 30 Monate postoperativ zeigten sich klinisch weiterhin physiologische Verhältnisse (Abbildung 8) mit unauffälligem Klopfschall, radiologisch konnte eine Zunahme der intrakanalären Verschattung im Sinne von Hartgewebe festgestellt werden mit gesunden periapikalen Verhältnissen (Abbildung 9).




Diskussion
Die primären Ziele einer Revaskularisationstherapie sind Symptomfreiheit und eine knöcherne Ausheilung. Weitere sekundäre und tertiäre Ziele sind ein Voranschreiten der Wurzelreifung sowie eine positive Reaktion auf einen Kältereiz [Kahler, 2016]. In diesem Fall konnten die primären Ziele erreicht werden, ein Voranschreiten des Wurzelwachstums ist nicht abschließend beurteilbar (und auch ohne prognostische Bedeutung in diesem Fall), es hat jedoch eine röntgenologisch detektierbare intrakanaläre Hartgewebszunahme stattgefunden. Des Weiteren ist nach 30 Monaten von einer Heilung des Frakturspalts mit Einlagerung von Knochen und parodontalem Ligament auszugehen (Heilungstyp 3 nach Hjørting-Hansen [Andreasen, 1967]).
Die Alternative zu der oben beschriebenen Revaskularisation wäre die Obturation der beiden Fragmente vorzugsweise mit einem hydraulischen Kalziumsilikatzement gewesen. Aufgrund der Diastase der beiden Fragmente erschien ein technischer Erfolg der Behandlung fraglich: Durch das umgebende vitale Gewebe im Frakturspalt kam es intermittierend zu kleineren Blutungen, die einerseits die Sicht erschwert und andererseits die Obturationsqualität gefährdet hätten.
Zudem hätte bei einem möglichen späteren Verlust des koronalen Fragments (aufgrund der Kombination aus ungünstigem Kronen-Wurzel-Verhältnis und Exversion des Zahnes 21) das apikal verbliebene Fragment mit Wurzelfüllmaterial bei einer weiterführenden Therapie berücksichtigt und möglicherweise entfernt werden müssen.
Bei ausreichender Erfahrung bezüglich endodontischer Therapiemaßnahmen mithilfe des Operationsmikroskops ist der klinische Ablauf der Revaskularisierung technisch einfach. Jedoch müssen einige Aspekte berücksichtigt werden. Vor Therapiebeginn ist es wesentlich, die Wurzelkanalanatomie — vor allem die durch das Trauma veränderte Wurzelkanalanatomie — zu studieren.
Allgemein kann bei einem Stand der Wurzelentwicklung mit einer Länge von bis zu zwei Dritteln der zu erreichenden Wurzellänge von einer hohen Wahrscheinlichkeit für eine erfolgreiche Revaskularisierungstherapie ausgegangen werden [Wigler, 2013]. Damit geht einher, dass das apikale Foramen einen ausreichend großen Durchmesser hat, um eine kontrollierte und ausreichende Einblutung zu gewährleisten. Die oben genannte Wurzellänge erlaubt eine intrakanalikuläre Blutungshöhe bis in die Nähe der Schmelz-Zement-Grenze. Diese anatomische Landmarke ist insofern relevant, da hier zumeist die Dentindicke bereits ausreichend ausgebildet ist. Gleichzeitig dient die Schmelz-Zement-Grenze als Referenz für die Applikation des bioaktiven Zements.
Diese Kriterien können die zukünftige Frakturgefahr reduzieren und die maximale Maturation des apikalen Wurzelanteils erlauben. Daher sind die kontrollierte Einblutung und die präzise Applikation des bioaktiven Zements wichtige Voraussetzungen für den Behandlungserfolg [Dommisch, 2014].
Neben der unbedingten Voraussetzung des sterilen Arbeitens ist zu bedenken, dass das Wurzelkanalsystem infiziert sein kann und dass unter Umständen die einmalige Applikation eines Kalziumhydroxid-Präparats nicht für eine klinisch akzeptable Dekontamination ausreicht. Daher sind sämtliche klinischen Entzündungszeichen vor der abschließenden Revaskularisierungssitzung zu prüfen. Gegebenenfalls muss erneut eine medikamentöse Phase eingeschoben und die abschließende Sitzung neu terminiert werden [Galler, 2016].
Grundsätzlich kann bei Zähnen mit einer Wurzelquerfraktur ein erhöhtes Risiko für eine sekundäre Infektion des Wurzelkanalsystems bestehen. Das kann besonders dann der Fall sein, wenn eine Kommunikation mit dem Parodontalspalt und eine gleichzeitige mikrobielle Kontamination vorliegen [Cvek, 2002]. In solchen Fällen wäre jedoch eine nachträgliche Revision mit erneuter Desinfektion des Wurzelkanalsystems möglich. Dann muss der Zahnerhalt neu evaluiert und die parodontologische Ursache therapiert werden. Gegebenenfalls könnte eine nachträgliche Obturation des Wurzelkanalsystems, ebenfalls mit einem bioaktiven Zement, erfolgen. Vor diesem Hintergrund ist ein strukturiertes Nachsorgeregime für Patientinnen und Patienten nach Revaskularisierung essenziell [Chaniotis, 2017].
Zusammenfassend lässt sich feststellen, dass im vorliegenden Fall ein stabiles endodontisches Therapieergebnis durch eine Revaskularisation bei vorliegender Pulpanekrose und Wurzelquerfraktur ohne Einbringung von Wurzelfüllmaterial unterhalb des Frakturspalts erreicht werden konnte.




