Vaskuläre Anomalie des Os frontale
Ein 48-jähriger Mann stellte sich in der mund-, kiefer-, gesichtschirurgischen Ambulanz vor aufgrund einer seit anderthalb Jahren größenprogredienten, schmerzhaften Schwellung im Bereich der rechtsseitigen Stirn, wo er im Rahmen seiner beruflichen Tätigkeit ein Anpralltrauma mit einem metallischen Gegenstand erlitten hatte (Abbildung 1). Der ansonsten gesunde Patient berichtete von dauerhaften mäßigen Ruheschmerzen, die bereits bei leichter Berührung der Schwellung stark zunahmen.
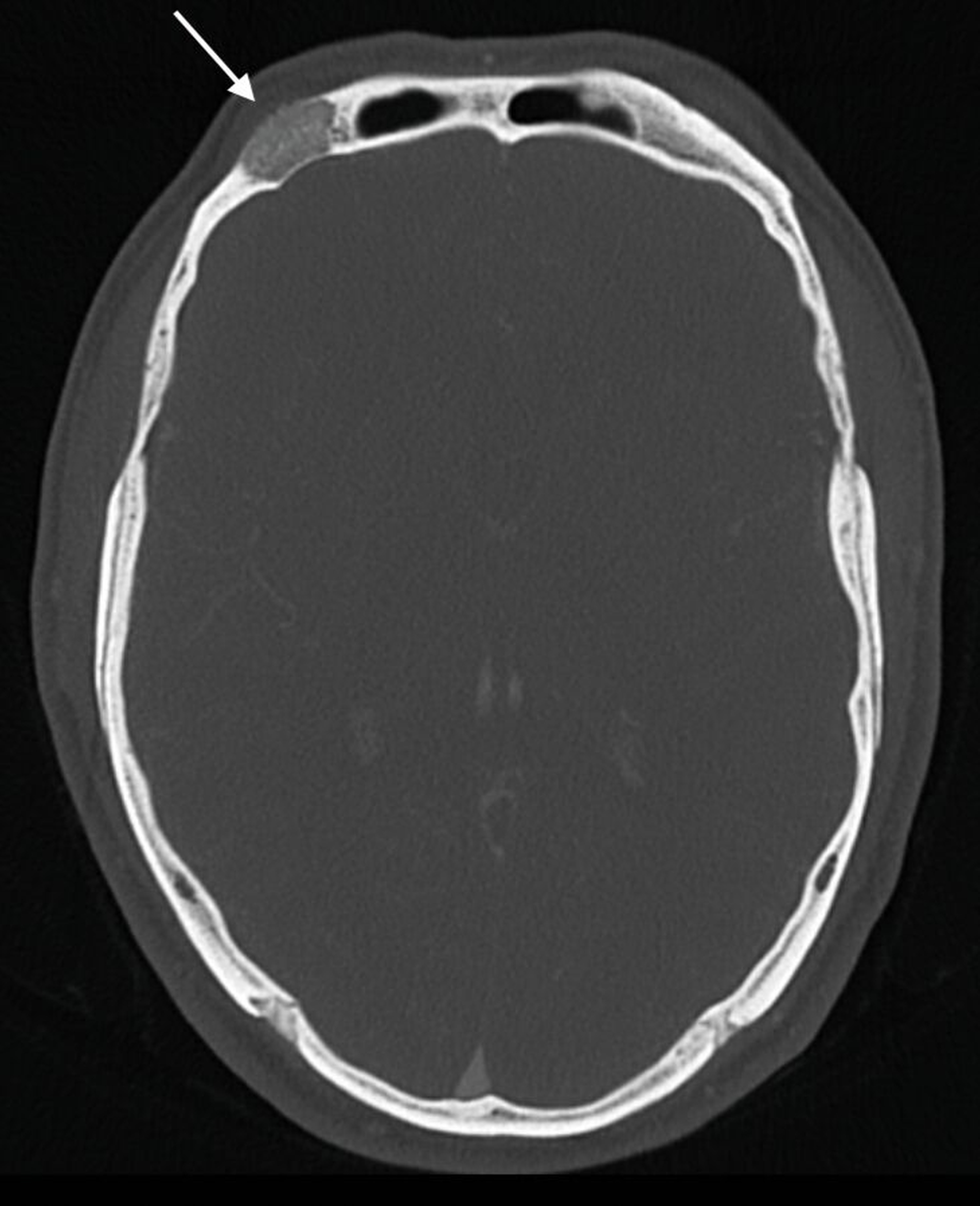
In der klinischen Untersuchung zeigte sich eine harte, unverschiebliche und gut begrenzte Raumforderung. Die sonografische Untersuchung erbrachte keinen wegweisenden Befund, so dass eine Computertomografie (CT) des Mittelgesichts mit Kontrastmittel durchgeführt wurde. Hier konnte eine supraorbital im Os frontale gelegene, glatt begrenzte Raumforderung mit feingranulierter Verkalkung und einer Ausdehnung von circa 2 cm x 2 cm x 1 cm dargestellt werden.
Diese überschritt nach ventral bereits die Kortikalis und wurde nach dorsal nur noch durch eine dünne Knochenlamelle von den Meningen abgegrenzt. Insgesamt passte der Befund CT-morphologisch zu einem Kalottenhämangiom, differenzialdiagnostisch war auch ein Eosinophiles Granulom möglich (Abbildungen 2 bis 4).
Die anschließend aufgrund der Verdachtsdiagnose durchgeführte Digitale Subtraktionsangiografie (DSA) zeigte einen fokalen Nidus unklarer Entität, der arteriell hauptsächlich über das Stromgebiet der A. carotis externa gespeist wurde (Abbildungen 5 und 6). Nach Vorstellung in einer interdisziplinären Fallkonferenz des Kopf-Hals-Zentrums wurde eine Resektion der Raumforderung über einen bikoronaren Zugang in einer kombiniert mund-, kiefer-, gesichtschirurgisch-neurochirurgischen Operation durchgeführt.
Die knöcherne Defektdeckung erfolgte mit einem Tabula-externa-Transplantat, das vom Os parietale entnommen und mit einer Miniplattenosteosynthese fixiert wurde. Das histomorphologische Bild war am ehesten mit einem kavernösen Hämangiom vereinbar. Die Möglichkeit einer endovaskulären Therapie (zum Beispiel Coiling) war aus radiologischer Sicht nicht gegeben.
Diskussion
In der täglichen klinischen Praxis wird der Begriff „Hämangiom“ oft synonym zur vaskulären Anomalie (VA) gebraucht. Diese Terminologie ist unvollständig, da verschiedene Hämangiome im eigentlichen Sinn eine Unterform der vaskulären Anomalien darstellen.
Eine solch ungenaue Bezeichnung sollte vermieden werden, da sie zur Fehldiagnose und in der Folge zu einer ungenügenden Therapie führen kann. Gemäß der Klassifikation vaskulärer Anomalien der Internationalen Gesellschaft zur Untersuchung von Gefäßanomalien (International Society for the Study of Vascular Anomalies, ISSVA) werden vaskuläre Anomalien primär in vaskuläre Tumoren und vaskuläre Malformationen unterteilt.
Vaskuläre Tumoren, die histologisch von einer gesteigerten Endothelzellproliferation ausgehen und durch eine gesteigerte Angiogenese gekennzeichnet sind, können bei der Geburt bereits vorhanden sein oder entwickeln sich meist in den ersten Lebensmonaten. Sie zeigen nach initialem Größenwachstum eine Wachstumsstagnation mit anschließender Regression und werden entsprechend ihres Charakters in benigne, lokal aggressive/Borderline- und maligne Tumoren eingeteilt.
Vaskuläre Malformationen hingegen, denen eine Gefäßdysmorphogenese zugrunde liegt und die somit immer angeboren sind, nehmen meist proportional zum Gesamtkörperwachstum an Größe zu und werden danach nur durch spezielle Reize, wie hormonelle Einflüsse oder Traumata, zur erneuten Proliferation angeregt. Eine Involution der Malformation tritt in der Regel nicht auf.
Vaskuläre Malformationen werden in weitere vier Untergruppen eingeteilt (einfache und kombinierte Malformationen, Malformationen großer Hauptgefäße und mit anderen Anomalien assoziierte Malformationen), wobei einfache und kombinierte vaskuläre Malformationen nach dem hauptsächlich auftretenden Gefäßtyp (kapillär, lymphatisch, venös, arteriovenös und arteriovenöse Fisteln) benannt werden [Wassef et al., 2015; Müller-Wille et al., 2018; Sadick et al., 2018; Kämmerer, 2018; Kämmerer et al., 2008].
Mit 40 Prozent ist der Kopf-Hals-Bereich die häufigste Lokalisation der vaskulären Anomalien, gefolgt von den Extremitäten sowie dem Brust- und Rumpfbereich. Auch gastrointestinale oder urogenitale Läsionen sind nicht untypisch.
Intraossär gelegene vaskuläre Anomalien sind eine sehr seltene Entität und stellen einen Anteil von nur circa ein Prozent der Knochentumoren [Isaac et al., 2018]. Generell können vaskuläre Anomalien oberflächliche und tiefe Gewebeschichten betreffen oder gar intraparenchymal auftreten. Die Diagnosestellung beginnt mit der Anamnese und der klinischen Untersuchung. Hierbei gilt es allgemeinanamnestisch, besonders hämatologische Vorerkrankungen zu erfragen, da vaskuläre Anomalien sowohl mit einer verstärkten Blutungsneigung als auch mit einer erhöhten Thromboseneigung assoziiert sein können [Wassef et al., 2015].
Je nach Art und Lokalisation der Anomalie gibt es verschiedene klinische Erscheinungsformen. So können oberflächliche vaskuläre Anomalien als kleine farbliche Effloreszenzen bis hin zu großflächigen Ulzerationen oder nekrotischen Hautarealen imponieren. Tiefer gelegene Anomalien stellen sich eventuell als weiche oder indurierte Schwellungen dar.
Bei der fazialen intraossären vaskulären Anomalie kommt es typischerweise zu Konturdeformitäten des Gesichts. Differenzialdiagnostisch muss an verschiedene benigne und maligne Raumforderungen gedacht werden. Hierzu zählen unter anderem Exostosen, die Fibröse Dysplasie, die Aneurysmatische Knochenzyste, das Eosinophile Granulom, aber auch Knochenmetastasen, Osteosarkome und Lymphome [Isaac et al., 2018].
Die apparative Diagnostik erster Wahl im Bereich der Kopf-Hals-Weichteile ist die Sonografie, sie weist eine hohe diagnostische Aussagekraft auf — sowohl in Bezug auf die übergeordnete Diagnose einer vaskulären Anomalie selbst als auch für die weitere Spezifikation. Vor allem unter Zuhilfenahme der Duplexsonografie kann zwischen sogenannten „low-flow“- und „high-flow“-Läsionen unterschieden werden, deren Differenzierung einen wichtigen therapeutischen Aspekt darstellen kann [Luhrenberg et al., 2021; Bodem et al., 2013].
Die Darstellung intraossärer Befunde gelingt mittels Sonografie jedoch nicht. Eine Magnetresonanztomografie mit Kontrastmittel oder auch eine MR-Angiografie können die Diagnostik ergänzen. Die Computertomografie (CT) sollte wegen der Strahlenbelastung bei weichteiligen vaskulären Anomalien nicht standardmäßig angewandt werden [Sadick et al., 2018]. Bei Läsionen, die intraossär liegen, weist diese jedoch möglicherweise eine genauere Darstellung, gerade in Bezug auf den umliegenden Knochen, auf.
Im Bereich der Stirn kann mittels CT eine exakte Abgrenzung der Raumforderung nach intrakraniell, zur Orbita und zum Sinus frontalis erfolgen [Isaac et al., 2018]. Ein weiterer Vorteil der CT liegt darin, dass bei ausgedehnten knöchernen Läsionen mit dem CT-Datensatz eine Rekonstruktion mit einem patientenspezifischen Implantat (PSI) geplant werden kann. Als dritter Arm der apparativen Diagnostik steht die DSA zur Verfügung. Bei klinischem und radiologischem Verdacht auf eine intraossäre vaskuläre Anomalie sollte auf eine präoperative Biopsie aufgrund der Gefahr einer massiven Blutung verzichtet werden [Isaac et al., 2018].
Die Therapie einer vaskulären Anomalie sollte multidisziplinär erfolgen und richtet sich nach ihrer Art und Lokalisation. So sollten symptomatische vaskuläre Tumoren, die eine Wachstumstendenz zeigen, zeitnah behandelt werden, während für kleinere Malformationen auch ein abwartendes Verhalten infrage kommen kann [Kämmerer, 2018]. In jedem Fall ist bei schmerzhaften vaskulären Anomalien, bei stattgehabten Blutungen oder bei fazialen Konturdeformitäten eine Therapieindikation gegeben [Isaac et al., 2018]. Je nach Lokalisation kann im Kopf-Hals-Bereich eine neurochirurgische oder eine Hals-Nasen-Ohren-ärztliche Mitbehandlung erforderlich sein.
Im Allgemeinen gibt es für die Therapie vaskulärer Anomalien verschiedene Optionen: Interventionell im Sinne einer Okklusion speisender Gefäße im Rahmen einer DSA mittels embolisierender und sklerosierender Substanzen, chirurgisch oder kombiniert interventionell-chirurgisch. Hämangiome im Kindesalter können im Rahmen eines Heilversuchs häufig erfolgreich mit Betablockern behandelt werden, wobei jedoch die fehlende Zulassung dieser Medikamente für das Krankheitsbild beachtet werden muss [Sebaratnam et al., 2021].
Bei intraossär liegenden vaskulären Anomalien scheint eine chirurgische En-bloc-Resektion die beste Möglichkeit bei geringster Rezidivgefahr darzustellen [Isaac et al., 2018]. Weiterhin kann im gleichen Eingriff eine Rekonstruktion, beispielsweise mit autologem Knochen oder einem PSI, durchgeführt werden. Hinzu kommt, dass Konturdeformitäten des Gesichts, wie im beschriebenen Fall, durch eine rein interventionelle Therapie meist nicht behoben werden können.
Ein weiterer Vorteil einer chirurgischen Entfernung des Befunds ist, dass nur so eine vollständige histopathologische Aufarbeitung und damit die Sicherung der Verdachtsdiagnose erfolgen kann. Ein kombiniert interventionell-chirurgisches Vorgehen mit präoperativem Verschluss eines zuführenden Gefäßes kann bei „high-flow“-Läsionen die perioperative Blutungsgefahr signifikant mindern [Isaac et al., 2018; Konior et al., 1999].
Fazit für die Praxis
- Hämangiome sind definiert als proliferierende vaskuläre Anomalien und sollten von vaskulären Malformationen, die eine anlagebedingte Fehlbildung darstellen, unterschieden werden. 
- Die Sonografie ist sowohl für die Diagnostik einer vaskulären Anomalie als auch für die Therapieentscheidung von außerordentlicher Bedeutung. 
- Je nach Art, Ausdehnung und Lokalisation reichen die therapeutischen Möglichkeiten von einer medikamentösen Therapie über Laser- und Lichttherapie, Sklerosierung oder Embolisation bis hin zur vollständigen chirurgischen Entfernung des Befunds. 
Literatur
Bodem, J. , C. Freudlsperger, S. Rohde, et al. 2013. 'Vaskuläre Malformationen', Der MKG-Chirurg: 6(1): 15-22.
Isaac, K. V., T. L. Teshima, R. I. Aviv, et al. 2018. 'An Algorithm for Managing Intraosseous Vascular Anomalies of the Craniofacial Skeleton', J Craniofac Surg, 29: 622-27.
Kämmerer, P. W. 2018. 'Hämangiom oder vaskuläre Malformation?', Zahnärztliche Mitteilungen: 108(19): 38-40.
Kämmerer, P. W., und M. Kunkel. 2008. 'Vaskuläre Malformation der Wange', Zahnärztliche Mitteilungen: 98: 42-44.
Konior, R. J., T. F. Kelley, und D. Hemmer. 1999. 'Intraosseus zygomatic hemangioma', Otolaryngol Head Neck Surg, 121: 122-5.
Luhrenberg, P., K. Sagheb, P. W. Kämmerer, et al. 2021. 'Arteriovenöse Malformation der Zunge', Zahnärztliche Mitteilungen, 07/2021.
Müller-Wille, R., M. Wildgruber, M. Sadick, et al. 2018. 'Vascular Anomalies (Part II): Interventional Therapy of Peripheral Vascular Malformations', Rofo.
Sadick, M., R. Müller-Wille, M. Wildgruber, et al. 2018. 'Vascular Anomalies (Part I): Classification and Diagnostics of Vascular Anomalies', Rofo, 190: 825-35.
Sebaratnam DF, Rodríguez Bandera AL, Wong LF, Wargon O. Infantile hemangioma. Part 2: Management. J Am Acad Dermatol. 2021 Dec;85(6):1395-1404. doi: 10.1016/j.jaad.2021.08.020. Epub 2021 Aug 19. PMID: 34419523.
Wassef, M., F. Blei, D. Adams, et al. 2015. 'Vascular Anomalies Classification: Recommendations From the International Society for the Study of Vascular Anomalies', Pediatrics, 136: e203-14.














