Restaurative Aspekte
Die Mehrheit aller Zahnunfälle führt zu einem Verlust an Zahnhartsubstanz und erfordert daher eine restaurative Versorgung. Dies betrifft Kronenfrakturen und Kronen-Wurzel-Frakturen, aber auch Situationen, in denen nach einem unfallbedingten Zahnverlust eine Versorgung der entstandenen Lücke nötig ist.
Fortbildungsreihe zur neuen S2k-Leitlinie „Therapie des dentalen Traumas bleibender Zähne“
Als interdisziplinäres Fach ist die zahnärztliche Traumatologie auf ein fundiertes Wissen in verschiedenen Disziplinen der Zahnmedizin angewiesen. Gerade in komplexen Fällen müssen Entscheidungen auch außerhalb der eigenen therapeutischen Komfortzone getroffen werden. Daher ist es für viele Behandler sehr hilfreich, wenn sie auf aktuelle evidenzbasierte Therapieempfehlungen zurückgreifen können. Die im Oktober 2022 publizierte S2k-Leitlinie „Therapie des dentalen Traumas bleibender Zähne“ wurde unter Beteiligung zahlreicher Fachgesellschaften grundlegend aktualisiert und ergänzt. In fünf Fortbildungsbeiträgen werden die verschiedenen Aspekte der zahnärztlichen Therapie vorgestellt:
Teil 1: Dentales Trauma: Diagnostik, Dokumentation und Nachsorge (zm 9/2023)
Teil 2: Dentales Trauma: Endodontische Aspekte (zm 10/2023)
Teil 3: Dentales Trauma: Restaurative Aspekte (zm 10/2023)
Teil 4: Dentales Trauma: Chirurgische Aspekte (zm 11/2023)
Teil 5: Dentales Trauma: Kieferorthopädische Aspekte (zm 11/2023)
Grundsätzlich beeinflusst das Patientenalter die Wahl der restaurativen Versorgung. Gerade bei jungen Patienten stehen möglichst minimalinvasive Therapievarianten im Vordergrund.
Kronenfrakturen und Kronen-Wurzel-Frakturen
Korrektur durch Glätten scharfer Kanten
Auf den Schmelz beschränkte Frakturen der Zahnkrone ohne Dentinexposition bedürfen – sofern ästhetisch vertretbar – nicht zwingend einer restaurativen Versorgung. Vorhandene scharfe Kanten können geglättet und poliert werden. Wenn aus ästhetischen Gründen indiziert, bietet sich die Formkorrektur mit Komposit an.
Fragmentbefestigung
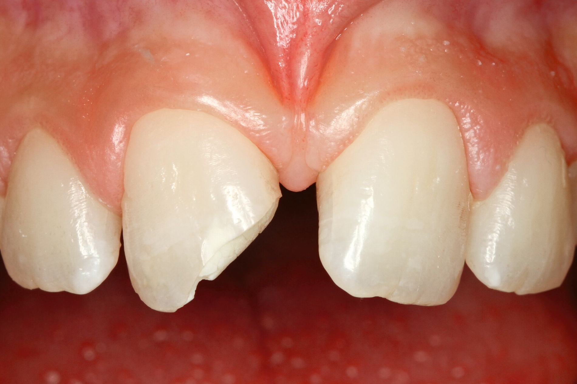
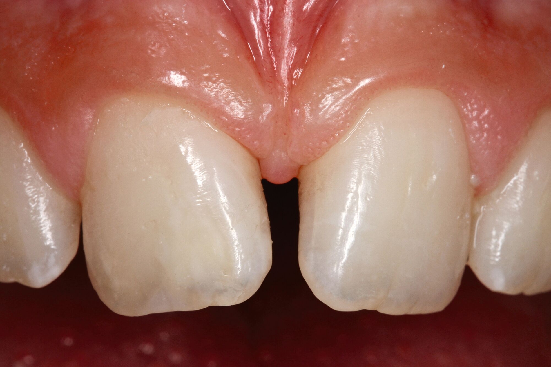
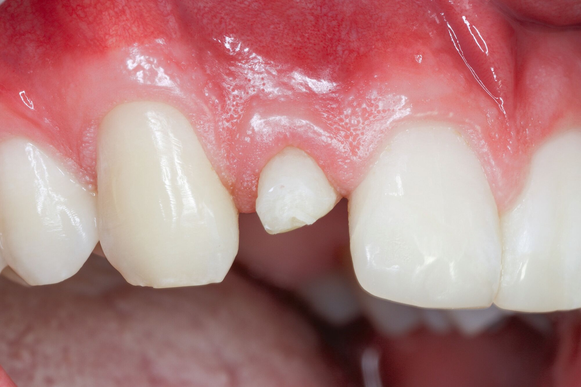
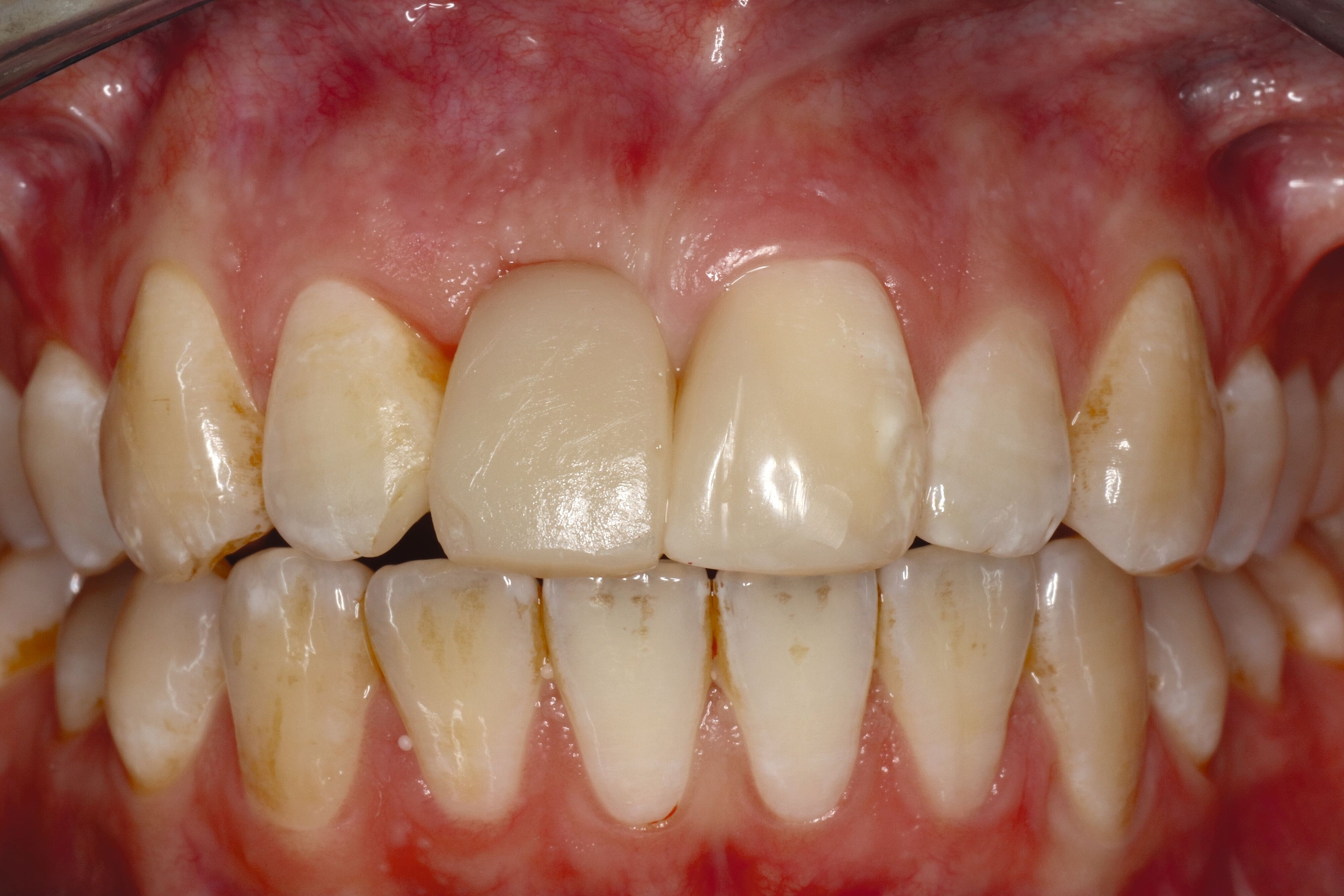
Die adhäsive Wiederbefestigung mitgebrachter Kronenfragmente bietet sich als einfache und konservative Methode zur Wiederherstellung von Funktion und Ästhetik an (Abbildung 1). Wenn das Fragment nach dem Unfall unter feuchten Bedingungen gelagert wurde, wird die Wiederbefestigung idealerweise sofort während der Notfallbehandlung durchgeführt. Wurde das Fragment jedoch durch eine längere Trockenlagerung dehydriert, sind sowohl das ästhetische Ergebnis als auch die Komposithaftung kompromittiert. In solchen Fällen wird eine Lagerung in physiologischer Kochsalzlösung oder in Wasser für einen Tag empfohlen, um eine Rehydrierung des Fragments zu ermöglichen [Farik et al., 1999], während das Dentin in der Zwischenzeit mit einem leicht entfernbaren temporären Material bedeckt ist (zum Beispiel Kalziumhydroxid-Zement). Die Rehydrierungszeit kann durch eine feuchte Lagerung des Fragments in einem sauberen Drucktopf auf 30 bis 60 Minuten verkürzt werden.
Vor der adhäsiven Befestigung sollten sowohl das Fragment wie auch der Zahn gründlich gereinigt werden. Sandstrahlen kann eine gute Option sein, um Reste von provisorischem Material zu entfernen, die während der Notfallbehandlung zur Versiegelung des Dentins aufgebracht wurden. In Bereichen mit reduzierter Restdentinstärke ist jedoch höchste Vorsicht geboten, um keine Pulpaexposition zu riskieren. Zusätzliche Präparationen wie das Abschrägen der Schmelzränder oder das Präparieren einer inneren Rille im Dentin führen zu einer verbesserten Haftung, erschweren jedoch die exakte Repositionierung des Fragments. Dennoch kann im Einzelfall, bei offensichtlichen kohäsiven Schmelzrissen im Randbereich (aufgelockerte Schmelzprismen), eine vorsichtige Randpräparation sinnvoll sein, um eine qualitativ hochwertige Adhäsivfläche zu erzielen.
Zahnoberfläche und Fragment werden mit einem Adhäsivsystem vorbehandelt, wobei eine vorherige Schmelzätzung mit Phosphorsäure unabhängig vom verwendeten Adhäsivsystem sehr zu empfehlen ist. Bei gefüllten, schichtbildenden Adhäsivsystemen würde die Polymerisation des Adhäsivs die Passung des Fragments beeinträchtigen und sollte daher unterbleiben. Universaladhäsive sind diesbezüglich im Vorteil, da sie so dünn verblasen werden, dass sich trotz Vorhärtung keine Passungsprobleme ergeben. Ein fließfähiges Komposit wird auf die Bruchflächen beider Teile aufgetragen und über die Oberfläche verteilt. Nach der Reposition des Fragments wird überschüssiges Material entfernt und die Frakturlinie von labial und palatinal lichtgehärtet. Empfohlen werden leistungsfähige Polymerisationslampen und längere Belichtungszeiten, um sicherzustellen, dass über die Zahnstruktur genügend Energie an die gesamte Klebefläche abgegeben wird. Das Kühlen des Zahnes mit Druckluft hilft, den Temperaturanstieg während der Polymerisation zu verringern und kann somit hitzebedingten Pulpaschäden vorbeugen. Kompositüberschüsse, die nach der Polymerisation im Bereich der Frakturlinie verbleiben, können einfach mit einem Skalpell entfernt und bei Bedarf poliert werden. Im Einzelfall kann bei einer geringen Klebefläche die Frakturlinie nach der adhäsiven Wiederbefestigung hohlkehlartig ausgeschliffen und anschließend mit Komposit aufgefüllt werden.
Die Prognose nach einer Fragmentbefestigung wird in einer aktuellen klinischen Studie mit 84 Prozent nach einer durchschnittlichen Beobachtungsdauer von 20 Monaten angegeben, wobei Retentionsverluste in den meisten Fällen durch ein erneutes Wiederbefestigen erfolgreich behandelt werden konnten [Bissinger et al., 2021]. Erneute Traumata scheinen die Hauptursache für einen Misserfolg zu sein [Andreasen et al., 1995].
Im Fall von Kronen-Wurzel-Frakturen ist die adhäsive Fragmentbefestigung auch empfehlenswert, sofern die Fraktur suprakrestal verläuft und durch Elektrotomie oder Aufklappung suffiziente Bedingungen für adhäsive Maßnahmen geschaffen werden können. Gleichzeitig müssen zusätzliche kleinere Frakturen, die sich oftmals im palatinal-zervikalen Bereich der Wurzel befinden, ausgeschlossen werden. Die Datenlage zur klinischen Bewährung ist überschaubar. Studien zeigen sehr gute Ergebnisse innerhalb der ersten zwei Jahre [Eichelsbacher et al., 2009], aber auch erhöhte Komplikationsraten und einen negativen Einfluss auf die parodontale Gesundheit der versorgten Zähne nach einem Beobachtungszeitraum von acht Jahren [Soliman et al., 2020].
Kompositrestauration
Wenn die adhäsive Fragmentbefestigung aufgrund fehlender oder multipler schwer positionierbarer Fragmente nicht infrage kommt, werden routinemäßig gängige Komposite für die Restauration frakturierter Zähne verwendet. Universalkomposite bieten eine vergleichsweise einfache Möglichkeit, frakturierte Zähne „freihändig“ oder unter Verwendung einer durchsichtigen Strip-Krone mit einer einzigen farblich passenden Kompositmasse aufzubauen [Krastl und Weiger, 2010]. Der Aufbau ist monochromatisch ohne individualisierte Farbgestaltung der verschiedenen Zahnregionen. In vielen Fällen erzielen Komposite aus Patientensicht völlig akzeptable Resultate, sofern die Zahnform korrekt umgesetzt wurde.
Bei hohem ästhetischem Anspruch sind aufwendigere polychromatische Schichttechniken erforderlich. Die entsprechenden Ästhetikkomposite bieten Massen unterschiedlicher Opazität zur Wiederherstellung der Dentin- und Schmelzstrukturen und weisen somit ideale Voraussetzungen zur Nachahmung natürlicher Zähne auf.
Während die initial mit Komposit erreichbaren ästhetischen Resultate unbestritten sind, wird die Langzeitprognose direkter Kompositaufbauten nach einem Zahntrauma kontrovers diskutiert [Macedo et al., 2006]. Einer aktuellen Metaanalyse zufolge beläuft sich die Erfolgsprognose von Klasse-IV-Restaurationen nach zehn Jahren auf rund 90 Prozent [Heintze et al., 2015]. Allerdings ist gerade bei jungen Patienten mit einer deutlich höheren Misserfolgsrate zu rechnen. Als Ursache werden auch hier vor allem Folgetraumata angegeben [Spinas, 2004].
Indirekte Restauration
Vollkeramische Restaurationen in Form von Keramikveneers, Teilkronen oder Kronen ermöglichen hervorragende ästhetische und funktionelle Resultate und können daher immer als Alternative zur direkten Komposittechnik gesehen werden. Die hohen Überlebensraten minimalinvasiver Keramikveneers von bis zu 95 Prozent nach zehn Jahren werden vor allem unter idealen Bedingungen, in denen die Präparationen fast ausschließlich im Zahnschmelz liegen, erreicht [Layton et al., 2012]. Dementsprechend haben Veneerversorgungen in vielen Studien das Ziel, Zahnform- und Zahnstellungskorrekturen herbeizuführen. Zähne mit frakturbedingt größerer Dentinexposition sind nicht die typische Indikation für Keramikveneers und daher in den publizierten klinischen Studien kaum vertreten. Eine unzureichende Schmelzunterstützung zählt jedoch neben Bruxismus und dem Vorhandensein einer Wurzelkanalfüllung nach wie vor zu den Hauptrisikofaktoren für das Versagen von Keramikveneers [Burke, 2012; Edelhoff et al., 2018]. Daher dürfen die verfügbaren prognostischen Daten für Veneers nicht vorbehaltlos auf die Versorgung nach Kronenfraktur übertragen werden.
Ferner ist zu berücksichtigen, dass Restaurationsränder an Frontzähnen, die zum Zeitpunkt der Eingliederung para- oder leicht subgingival liegen, im Zuge der passiven Eruption bei Jugendlichen exponiert werden. Letztere wird als apikale Migration der gingivalen Gewebe beschrieben, die auch in den Jahren nach dem Zahndurchbruch zu einer Zunahme der klinischen Kronenlänge führt und erst nach Erreichen der Volljährigkeit allmählich sistiert [Morrow et al., 2000]. Daher sollten indirekte Restaurationen eher bei ausgedehnten Defekten, insbesondere bei erwachsenen Patienten eingesetzt werden.
Wurzelkanalbehandelte Zähne nach einem Trauma bedürfen nicht grundsätzlich einer Kronenversorgung. Vielmehr richtet sich die Art der Restauration nach dem koronalen Substanzverlust und schließt sowohl direkte als auch indirekte Restaurationen ein. Bei hohem Substanzverlust ist eine Überkronung allerdings sinnvoll. Kann der Stumpfaufbau aufgrund einer ungenügenden Adhäsionsfläche nicht ausreichend verankert werden, sollte ein intrakanalärer Stift als zusätzliche Retention eingesetzt werden [Mannocci et al., 2021].
Vorbereitende Maßnahmen zur Versorgung tiefer subgingivaler Defekte
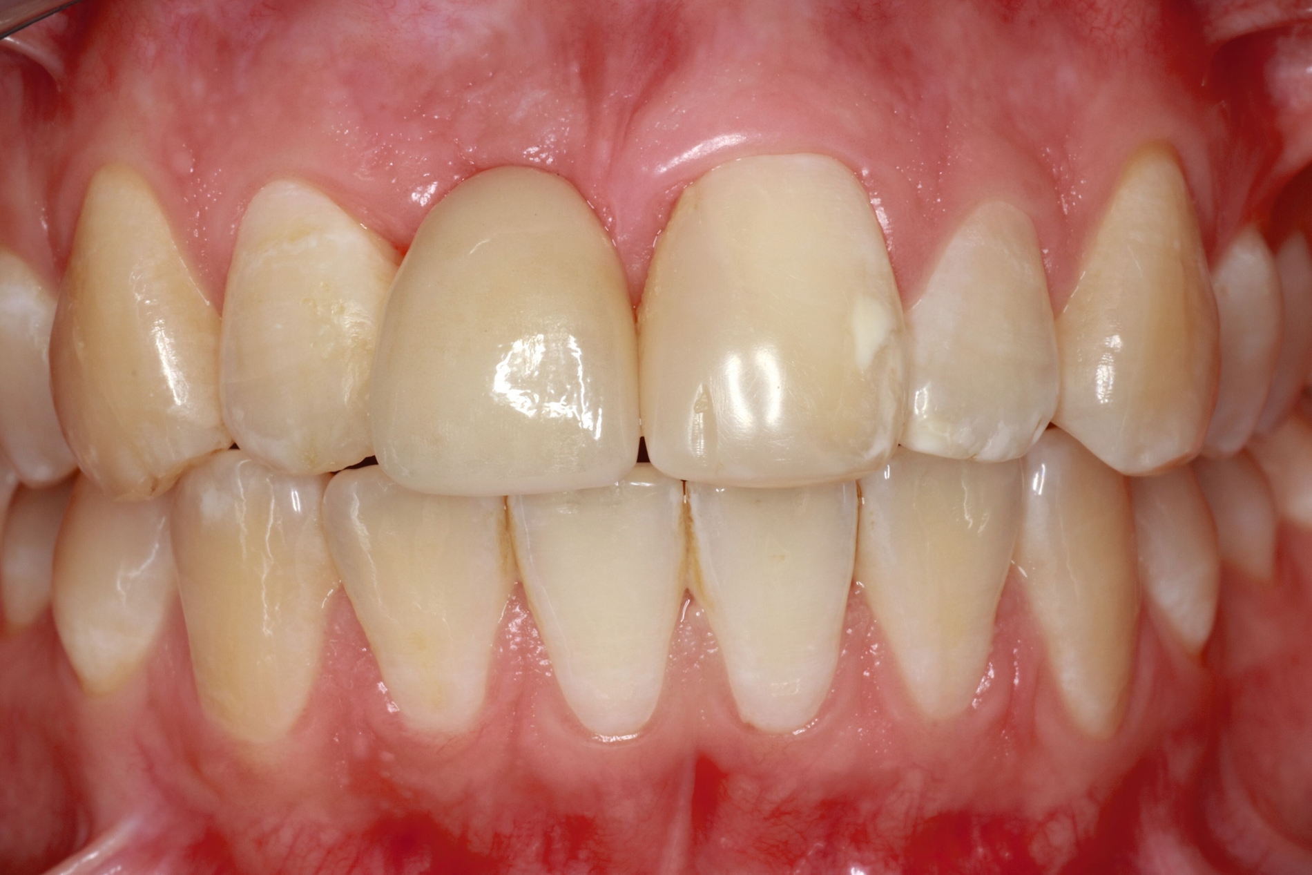
Bei tief subgingival beziehungsweise intraossär verlaufenden Kronen-Wurzel-Frakturen, deren Versorgung mit den beschriebenen Verfahren nicht möglich erscheint, können vorbereitende Maßnahmen die Defektgrenzen nach supragingival verlagern und damit die Restaurierbarkeit ermöglichen. In Einzelfällen (steiler Frakturverlauf) kann bei Kronen-Wurzel-Frakturen als Kompromiss auf eine komplette Fassung der ursprünglichen Defektgrenzen durch die Restauration verzichtet werden mit dem Ziel, invasivere Therapieoptionen zu vermeiden.
Die chirurgische Kronenverlängerung ist aufgrund der notwendigen Ostektomie das invasivste Verfahren zur restaurativen Versorgung tief frakturierter Zähne. In ästhetisch nicht relevanten Bereichen (zum Beispiel palatinal in der Oberkieferfront) kann der Defekt durch eine gezielte chirurgische Kronenverlängerung für die nachfolgende Restauration zugänglich gemacht und gleichzeitig die biologische Breite wiederhergestellt werden. Als Nachteile werden Rezidive [Pilalas et al., 2016] sowie eine mögliche Beeinträchtigung der Ästhetik am therapierten Zahn und an den Nachbarzähnen [Nobre et al., 2017] beschrieben.
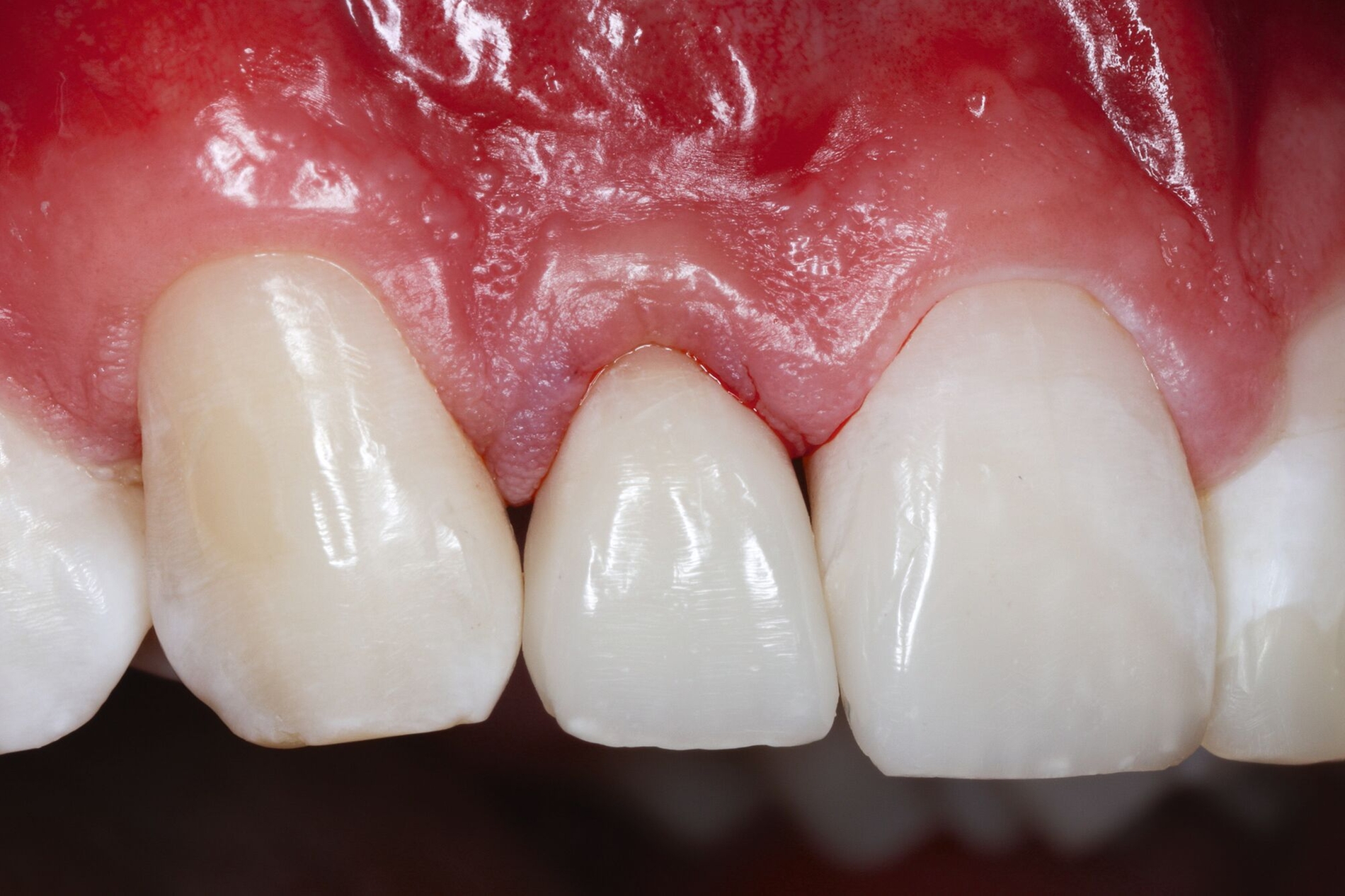
Alternativ dazu bietet sich die Koronalverlagerung der Defektgrenze mit gleichzeitiger Wiederherstellung der biologischen Breite durch eine kieferorthopädische (siehe Teil 5 der Fortbildung „Dentales Trauma“: Kieferorthopädische Aspekte) oder die chirurgische Extrusion an (Abbildung 2).
Lückenversorgung nach Zahnverlust
Mit dem enossalen Implantat steht heutzutage eine gute Möglichkeit zur Verfügung, um unfallbedingt verloren gegangene oder nicht erhaltungswürdige Zähne zu ersetzen. Allerdings können Implantate nicht in jeder klinischen Situation und nicht in jeder Altersgruppe zum Einsatz kommen [Bohner et al., 2019; Thilander, 2008; Zitzmann et al., 2009]. In geeigneten Fällen (vor allem bei Einzelzahnlücken) bieten die Transplantation oder auch der kieferorthopädische Lückenschluss eine hervorragende biologische Basis für die restaurative Versorgung bei Kindern und Jugendlichen. In manchen Situationen ist es auch erforderlich, die Zeit bis zu einer definitiven Versorgung so zu überbrücken, dass die knöchernen und die Weichgewebsstrukturen weitgehend erhalten werden und idealerweise die spätere Versorgung schon vorbereitet wird. Die Wahl der überbrückenden Maßnahmen bis zu einer definitiven Lösung nach Zahnverlust richtet sich primär nach dem Alter und dem zu überbrückenden Zeitraum.
Kurzfristige Temporäre Lückenversorgungen
Eine einfache und schnelle Option zur Lückenversorgung ist das Ankleben einer eventuell vorhandenen natürlichen Zahnkrone oder eines Kunststoffzahns an die Nachbardentition. Der Zahn sollte idealerweise nur an einen Nachbarzahn geklebt werden, um Torsionsbelastungen zu vermeiden und das Wachstum durch die Verblockung nicht negativ zu beeinflussen. Basal sollte die anzuklebende Zahnkrone mit Komposit im Sinne eines ovalen Pontic-Designs im Querschnitt eiförmig gestaltet werden. Dies ermöglicht eine positive Beeinflussung des Heilungsverlaufs der Alveole nach einer Zahnextraktion durch eine funktionell und ästhetisch günstigere Unterstützung des Weichgewebes für eine spätere (implantat)prothetische Versorgung [Dieterich, 2011]. Um Frakturen im Bereich des Verbinders vorzubeugen, ist darauf zu achten, eine in bukko-oraler Richtung ausreichende Schichtstärke aus Komposit aufzubauen.
Die Versorgung einer Frontzahnlücke mit herausnehmbaren Apparaturen (Klammerprothese, Tiefziehschiene mit Zahn) ist prinzipiell möglich, aber aufgrund des suboptimalen Patientenkomforts und einer gegebenenfalls mangelnden Akzeptanz vonseiten der Patienten in der Regel nur als kurzfristige Maßnahme geeignet. Zudem ist zu berücksichtigen, dass gerade im Wechselgebiss häufige Korrekturen oder Neuanfertigungen notwendig werden. Ein Vorteil herausnehmbarer Versorgungen ist, dass diese selbst bei einer deutlich lückigen Frontzahnregion noch eine akzeptable ästhetische Versorgung bieten können. Wenn andere Optionen ausscheiden, sind daher herausnehmbare Apparaturen eine verlässliche Möglichkeit, um eine akzeptable Temporärversorgung zu ermöglichen [Krastl et al., 2022].
Adhäsivbrücke
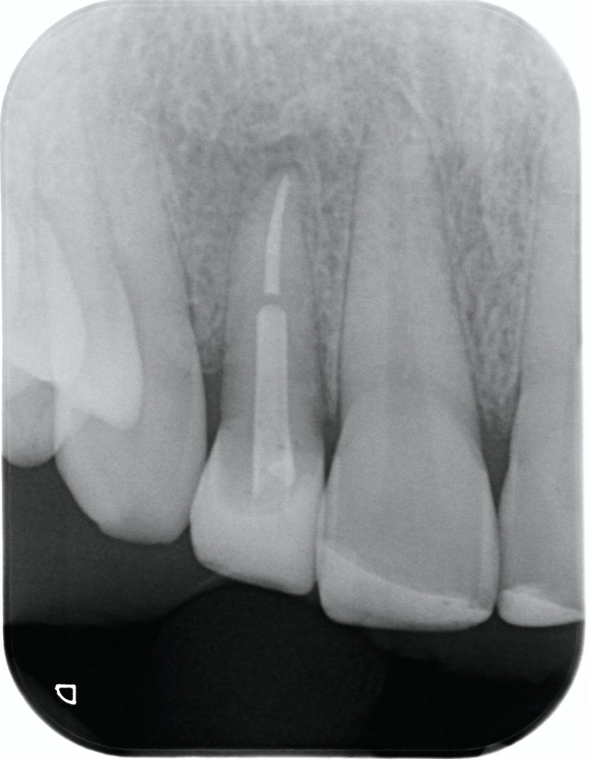
Nach einem vollständigen Zahnverlust oder auch nach einer erfolgten Dekoronation ankylosierter Zähne bietet sich insbesondere bei jungen Patienten die Versorgung mit einer Adhäsivbrücke an. Die einflügelige Adhäsivbrücke stellt eine minimalinvasive Möglichkeit zur Versorgung der Lücke bei Schneidezähnen dar (Abbildung 3). Für diese Versorgungsform liegen sehr gute Langzeitüberlebensraten von über 98 Prozent vor [Kern et al., 2017]. Einflügelige Adhäsivbrücken haben im Vergleich zu zweiflügeligen Adhäsivbrücken eine signifikant höhere Überlebensrate [Thoma et al., 2017].
Konventionelle Brückenversorgung
Bei erwachsenen Patienten steht die Versorgung der Zahnlücke mit einer konventionellen Brücke immer zur Verfügung, sofern die Nachbarzähne als Brückenpfeiler geeignet sind. Gerade bei intakten Nachbarzähnen muss diese Art der Versorgung aufgrund der invasiven Präparation kritisch hinterfragt werden.
Restaurative Versorgung nach Zahntransplantation oder nach kieferorthopädischem Lückenschluss
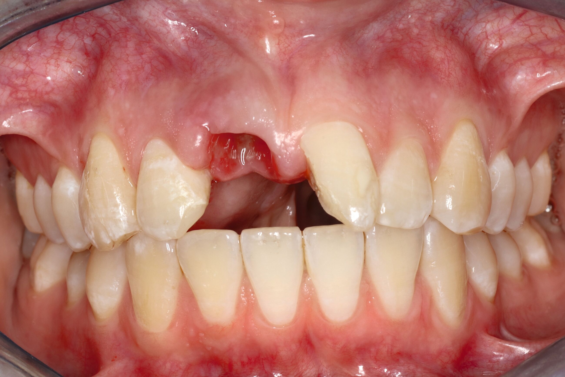
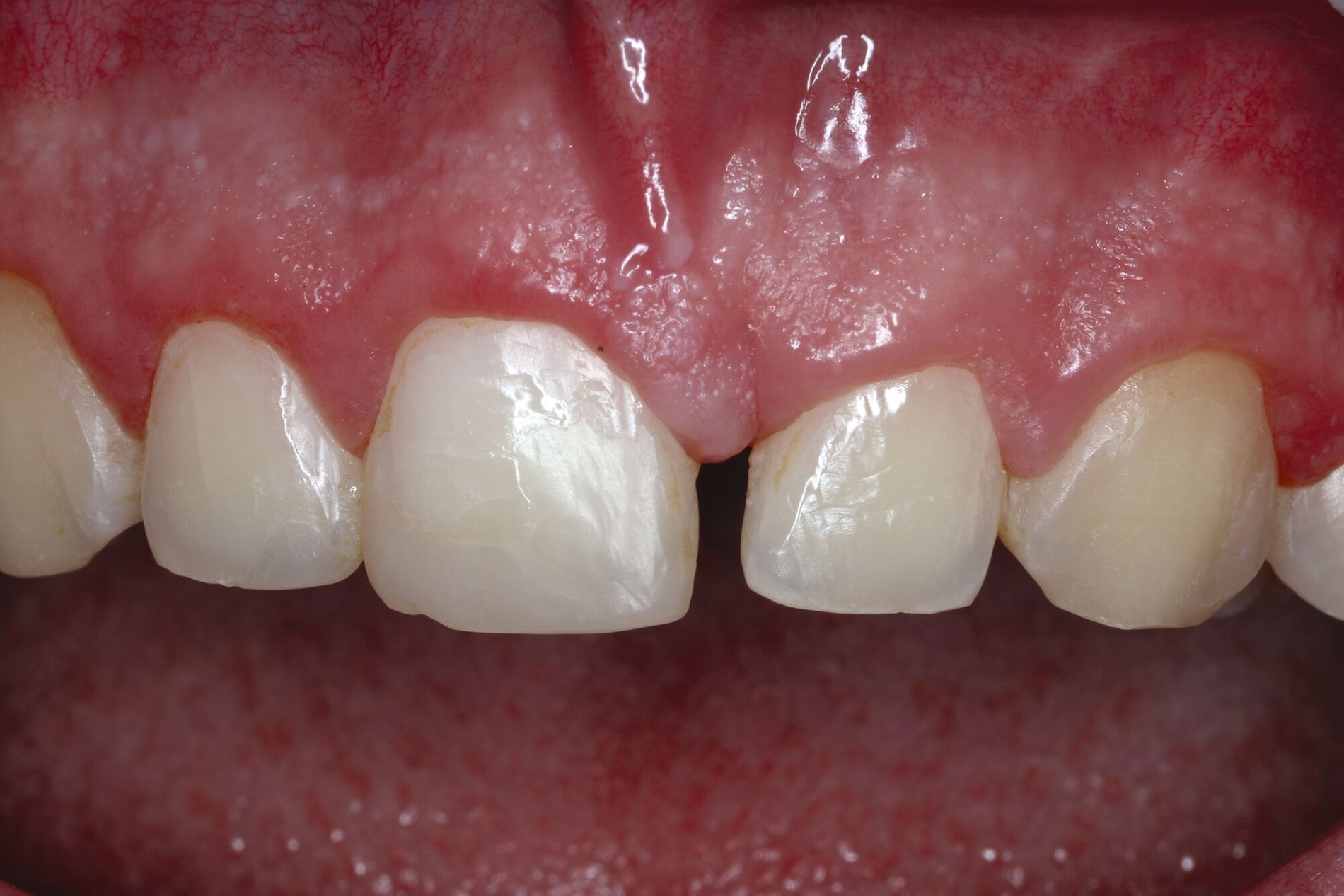
Wenn die Lückenversorgung durch eine Transplantation (siehe Teil 4 der Fortbildung „Dentales Trauma“: Chirurgische Aspekte) oder einen kieferorthopädischen Lückenschluss (siehe Teil 5 der Fortbildung „Dentales Trauma“: Kieferorthopädische Aspekte) vorbereitet wurde, beschränkt sich die restaurative Versorgung auf eine Formkorrektur der Zähne. Diese kann – je nach Situation und Präferenz des Behandlers – mit direkten (Abbildung 4) oder mit (minimalinvasiven) indirekten Restaurationen (Veneers, Teilkronen) erfolgen. Gerade bei jungen Patienten muss allerdings berücksichtigt werden, dass im Zuge der passiven Eruption [Mele et al., 2018] Veränderungen des Gingivaverlaufs an den restaurierten Zähnen zur Exposition der Restaurationsränder führen und eine neue Versorgung nach mehreren Jahren erforderlich machen können.
Restaurative Versorgung nach Implantation
Wenn nach sorgfältiger Abwägung aller Vor- und Nachteile ein Implantat in der kritischen Frontzahnregion geplant und inseriert wurde, steht die ästhetische Integration der prothetischen Versorgung in die umliegenden Gewebe im Vordergrund. Trotz hoher Überlebensraten ist die Evidenz in Bezug auf die langfristigen ästhetischen Resultate von Implantatversorgungen nach unfallbedingtem Zahnverlust noch überschaubar [Norgaard Petersen et al., 2022].
<bibliography>
Andreasen FM, Noren JG, Andreasen JO, Engelhardtsen S, Lindh-Stromberg U. 1995. Long-term survival of fragment bonding in the treatment of fractured crowns: A multicenter clinical study. Quint Int. 26(10):669-681.
Bissinger R, Muller DD, Hickel R, Kuhnisch J. 2021. Survival analysis of adhesive reattachments in permanent teeth with crown fractures after dental trauma. Dent Traumatol. 37(2):208-214.
Bohner L, Hanisch M, Kleinheinz J, Jung S. 2019. Dental implants in growing patients: A systematic review. Br J Oral Maxillofac Surg. 57(5):397-406.
Burke FJ. 2012. Survival rates for porcelain laminate veneers with special reference to the effect of preparation in dentin: A literature review. J Esther Restor Dent. 24(4):257-265.
Dieterich H. 2011. Temporäre Restaurationen als Schlüsselelement zur Erarbeitung der Ästhetik. Quintessenz. 62(6):759–767.
Edelhoff D, Prandtner O, Saeidi Pour R, Liebermann A, Stimmelmayr M, Guth JF. 2018. Anterior restorations: The performance of ceramic veneers. Quint Int. 49(2):89-101.
Eichelsbacher F, Denner W, Klaiber B, Schlagenhauf U. 2009. Periodontal status of teeth with crown-root fractures: Results two years after adhesive fragment reattachment. J Clin Periodontol. 36(10):905-911.
Farik B, Munksgaard EC, Andreasen JO, Kreiborg S. 1999. Drying and rewetting anterior crown fragments prior to bonding. Endod Dent Traumatol. 15(3):113-116.
Heintze SD, Rousson V, Hickel R. 2015. Clinical effectiveness of direct anterior restorations-a meta-analysis. Dent Mater. 31(5):481-495.
Kern M, Passia N, Sasse M, Yazigi C. 2017. Ten-year outcome of zirconia ceramic cantilever resin-bonded fixed dental prostheses and the influence of the reasons for missing incisors. J Dent. 65:51-55.
Krastl G, Krug R, Nolte D. 2022. Überbrückende Maßnahmen bei verunfallten Zähnen mit infauster Prognose. Quintessenz. 73(2):162-169.
Krastl G, Weiger R. 2010. Frontzahnrestaurationen: Brauchen wir überhaupt Keramik? Quintessenz 61(5):511-520.
Layton DM, Clarke M, Walton TR. 2012. A systematic review and meta-analysis of the survival of feldspathic porcelain veneers over 5 and 10 years. Int J Prosthodont. 25(6):590-603.
Macedo G, Raj V, Ritter AV. 2006. Longevity of anterior composite restorations. J Esthet Restor Dent. 18(6):310-311.
Mannocci F, Bhuva B, Roig M, Zarow M, Bitter K. 2021. European society of endodontology position statement: The restoration of root filled teeth. Int Endod J. 54(11):1974-1981.
Mele M, Felice P, Sharma P, Mazzotti C, Bellone P, Zucchelli G. 2018. Esthetic treatment of altered passive eruption. Periodontology 2000. 77(1):65-83.
Morrow LA, Robbins JW, Jones DL, Wilson NH. 2000. Clinical crown length changes from age 12-19 years: A longitudinal study. J Dent. 28(7):469-473.
Norgaard Petersen F, Jensen SS, Dahl M. 2022. Implant treatment after traumatic tooth loss: A systematic review. Dent Traumatol. 38(2):105-116.
Soliman S, Lang LM, Hahn B, Reich S, Schlagenhauf U, Krastl G, Krug R. 2020. Long-term outcome of adhesive fragment reattachment in crown-root fractured teeth. Dent Traumatol. 36(4):417-426.
Spinas E. 2004. Longevity of composite restorations of traumatically injured teeth. AmJDent. 17(6):407-411.
Thilander B. 2008. Orthodontic space closure versus implant placement in subjects with missing teeth. Journal of oral rehabilitation. 35 Suppl 1:64-71.
Thoma DS, Sailer I, Ioannidis A, Zwahlen M, Makarov N, Pjetursson BE. 2017. A systematic review of the survival and complication rates of resin-bonded fixed dental prostheses after a mean observation period of at least 5 years. Clin Oral Implants Res. 28(11):1421-1432.
Zitzmann NU, Krastl G, Hecker H, Walter C, Weiger R. 2009. Endodontics or implants? A review of decisive criteria and guidelines for single tooth restorations and full arch reconstructions. Int Endod J. 42(9):757-774.
</bibliography>
Die Mehrheit aller Zahnunfälle führt zu einem Verlust an Zahnhartsubstanz und erfordert daher eine restaurative Versorgung. Dies betrifft Kronenfrakturen und Kronen-Wurzel-Frakturen, aber auch Situationen, in denen nach einem unfallbedingten Zahnverlust eine Versorgung der entstandenen Lücke nötig ist.
Fortbildungsreihe zur neuen S2k-Leitlinie „Therapie des dentalen Traumas bleibender Zähne“
Als interdisziplinäres Fach ist die zahnärztliche Traumatologie auf ein fundiertes Wissen in verschiedenen Disziplinen der Zahnmedizin angewiesen. Gerade in komplexen Fällen müssen Entscheidungen auch außerhalb der eigenen therapeutischen Komfortzone getroffen werden. Daher ist es für viele Behandler sehr hilfreich, wenn sie auf aktuelle evidenzbasierte Therapieempfehlungen zurückgreifen können. Die im Oktober 2022 publizierte S2k-Leitlinie „Therapie des dentalen Traumas bleibender Zähne“ wurde unter Beteiligung zahlreicher Fachgesellschaften grundlegend aktualisiert und ergänzt. In fünf Fortbildungsbeiträgen werden die verschiedenen Aspekte der zahnärztlichen Therapie vorgestellt:
Teil 1: Dentales Trauma: Diagnostik, Dokumentation und Nachsorge (zm 9/2023)
Teil 2: Dentales Trauma: Endodontische Aspekte (zm 10/2023)
Teil 3: Dentales Trauma: Restaurative Aspekte (zm 10/2023)
Teil 4: Dentales Trauma: Chirurgische Aspekte (zm 11/2023)
Teil 5: Dentales Trauma: Kieferorthopädische Aspekte (zm 11/2023)
Grundsätzlich beeinflusst das Patientenalter die Wahl der restaurativen Versorgung. Gerade bei jungen Patienten stehen möglichst minimalinvasive Therapievarianten im Vordergrund.
Kronenfrakturen und Kronen-Wurzel-Frakturen
Korrektur durch Glätten scharfer Kanten
Auf den Schmelz beschränkte Frakturen der Zahnkrone ohne Dentinexposition bedürfen – sofern ästhetisch vertretbar – nicht zwingend einer restaurativen Versorgung. Vorhandene scharfe Kanten können geglättet und poliert werden. Wenn aus ästhetischen Gründen indiziert, bietet sich die Formkorrektur mit Komposit an.
Fragmentbefestigung
Die adhäsive Wiederbefestigung mitgebrachter Kronenfragmente bietet sich als einfache und konservative Methode zur Wiederherstellung von Funktion und Ästhetik an (Abbildung 1). Wenn das Fragment nach dem Unfall unter feuchten Bedingungen gelagert wurde, wird die Wiederbefestigung idealerweise sofort während der Notfallbehandlung durchgeführt. Wurde das Fragment jedoch durch eine längere Trockenlagerung dehydriert, sind sowohl das ästhetische Ergebnis als auch die Komposithaftung kompromittiert. In solchen Fällen wird eine Lagerung in physiologischer Kochsalzlösung oder in Wasser für einen Tag empfohlen, um eine Rehydrierung des Fragments zu ermöglichen [Farik et al., 1999], während das Dentin in der Zwischenzeit mit einem leicht entfernbaren temporären Material bedeckt ist (zum Beispiel Kalziumhydroxid-Zement). Die Rehydrierungszeit kann durch eine feuchte Lagerung des Fragments in einem sauberen Drucktopf auf 30 bis 60 Minuten verkürzt werden.
Vor der adhäsiven Befestigung sollten sowohl das Fragment wie auch der Zahn gründlich gereinigt werden. Sandstrahlen kann eine gute Option sein, um Reste von provisorischem Material zu entfernen, die während der Notfallbehandlung zur Versiegelung des Dentins aufgebracht wurden. In Bereichen mit reduzierter Restdentinstärke ist jedoch höchste Vorsicht geboten, um keine Pulpaexposition zu riskieren. Zusätzliche Präparationen wie das Abschrägen der Schmelzränder oder das Präparieren einer inneren Rille im Dentin führen zu einer verbesserten Haftung, erschweren jedoch die exakte Repositionierung des Fragments. Dennoch kann im Einzelfall, bei offensichtlichen kohäsiven Schmelzrissen im Randbereich (aufgelockerte Schmelzprismen), eine vorsichtige Randpräparation sinnvoll sein, um eine qualitativ hochwertige Adhäsivfläche zu erzielen.
Zahnoberfläche und Fragment werden mit einem Adhäsivsystem vorbehandelt, wobei eine vorherige Schmelzätzung mit Phosphorsäure unabhängig vom verwendeten Adhäsivsystem sehr zu empfehlen ist. Bei gefüllten, schichtbildenden Adhäsivsystemen würde die Polymerisation des Adhäsivs die Passung des Fragments beeinträchtigen und sollte daher unterbleiben. Universaladhäsive sind diesbezüglich im Vorteil, da sie so dünn verblasen werden, dass sich trotz Vorhärtung keine Passungsprobleme ergeben. Ein fließfähiges Komposit wird auf die Bruchflächen beider Teile aufgetragen und über die Oberfläche verteilt. Nach der Reposition des Fragments wird überschüssiges Material entfernt und die Frakturlinie von labial und palatinal lichtgehärtet. Empfohlen werden leistungsfähige Polymerisationslampen und längere Belichtungszeiten, um sicherzustellen, dass über die Zahnstruktur genügend Energie an die gesamte Klebefläche abgegeben wird. Das Kühlen des Zahnes mit Druckluft hilft, den Temperaturanstieg während der Polymerisation zu verringern und kann somit hitzebedingten Pulpaschäden vorbeugen. Kompositüberschüsse, die nach der Polymerisation im Bereich der Frakturlinie verbleiben, können einfach mit einem Skalpell entfernt und bei Bedarf poliert werden. Im Einzelfall kann bei einer geringen Klebefläche die Frakturlinie nach der adhäsiven Wiederbefestigung hohlkehlartig ausgeschliffen und anschließend mit Komposit aufgefüllt werden.
Die Prognose nach einer Fragmentbefestigung wird in einer aktuellen klinischen Studie mit 84 Prozent nach einer durchschnittlichen Beobachtungsdauer von 20 Monaten angegeben, wobei Retentionsverluste in den meisten Fällen durch ein erneutes Wiederbefestigen erfolgreich behandelt werden konnten [Bissinger et al., 2021]. Erneute Traumata scheinen die Hauptursache für einen Misserfolg zu sein [Andreasen et al., 1995].
Im Fall von Kronen-Wurzel-Frakturen ist die adhäsive Fragmentbefestigung auch empfehlenswert, sofern die Fraktur suprakrestal verläuft und durch Elektrotomie oder Aufklappung suffiziente Bedingungen für adhäsive Maßnahmen geschaffen werden können. Gleichzeitig müssen zusätzliche kleinere Frakturen, die sich oftmals im palatinal-zervikalen Bereich der Wurzel befinden, ausgeschlossen werden. Die Datenlage zur klinischen Bewährung ist überschaubar. Studien zeigen sehr gute Ergebnisse innerhalb der ersten zwei Jahre [Eichelsbacher et al., 2009], aber auch erhöhte Komplikationsraten und einen negativen Einfluss auf die parodontale Gesundheit der versorgten Zähne nach einem Beobachtungszeitraum von acht Jahren [Soliman et al., 2020].
Kompositrestauration
Wenn die adhäsive Fragmentbefestigung aufgrund fehlender oder multipler schwer positionierbarer Fragmente nicht infrage kommt, werden routinemäßig gängige Komposite für die Restauration frakturierter Zähne verwendet. Universalkomposite bieten eine vergleichsweise einfache Möglichkeit, frakturierte Zähne „freihändig“ oder unter Verwendung einer durchsichtigen Strip-Krone mit einer einzigen farblich passenden Kompositmasse aufzubauen [Krastl und Weiger, 2010]. Der Aufbau ist monochromatisch ohne individualisierte Farbgestaltung der verschiedenen Zahnregionen. In vielen Fällen erzielen Komposite aus Patientensicht völlig akzeptable Resultate, sofern die Zahnform korrekt umgesetzt wurde.
Bei hohem ästhetischem Anspruch sind aufwendigere polychromatische Schichttechniken erforderlich. Die entsprechenden Ästhetikkomposite bieten Massen unterschiedlicher Opazität zur Wiederherstellung der Dentin- und Schmelzstrukturen und weisen somit ideale Voraussetzungen zur Nachahmung natürlicher Zähne auf.
Während die initial mit Komposit erreichbaren ästhetischen Resultate unbestritten sind, wird die Langzeitprognose direkter Kompositaufbauten nach einem Zahntrauma kontrovers diskutiert [Macedo et al., 2006]. Einer aktuellen Metaanalyse zufolge beläuft sich die Erfolgsprognose von Klasse-IV-Restaurationen nach zehn Jahren auf rund 90 Prozent [Heintze et al., 2015]. Allerdings ist gerade bei jungen Patienten mit einer deutlich höheren Misserfolgsrate zu rechnen. Als Ursache werden auch hier vor allem Folgetraumata angegeben [Spinas, 2004].
Indirekte Restauration
Vollkeramische Restaurationen in Form von Keramikveneers, Teilkronen oder Kronen ermöglichen hervorragende ästhetische und funktionelle Resultate und können daher immer als Alternative zur direkten Komposittechnik gesehen werden. Die hohen Überlebensraten minimalinvasiver Keramikveneers von bis zu 95 Prozent nach zehn Jahren werden vor allem unter idealen Bedingungen, in denen die Präparationen fast ausschließlich im Zahnschmelz liegen, erreicht [Layton et al., 2012]. Dementsprechend haben Veneerversorgungen in vielen Studien das Ziel, Zahnform- und Zahnstellungskorrekturen herbeizuführen. Zähne mit frakturbedingt größerer Dentinexposition sind nicht die typische Indikation für Keramikveneers und daher in den publizierten klinischen Studien kaum vertreten. Eine unzureichende Schmelzunterstützung zählt jedoch neben Bruxismus und dem Vorhandensein einer Wurzelkanalfüllung nach wie vor zu den Hauptrisikofaktoren für das Versagen von Keramikveneers [Burke, 2012; Edelhoff et al., 2018]. Daher dürfen die verfügbaren prognostischen Daten für Veneers nicht vorbehaltlos auf die Versorgung nach Kronenfraktur übertragen werden.
Ferner ist zu berücksichtigen, dass Restaurationsränder an Frontzähnen, die zum Zeitpunkt der Eingliederung para- oder leicht subgingival liegen, im Zuge der passiven Eruption bei Jugendlichen exponiert werden. Letztere wird als apikale Migration der gingivalen Gewebe beschrieben, die auch in den Jahren nach dem Zahndurchbruch zu einer Zunahme der klinischen Kronenlänge führt und erst nach Erreichen der Volljährigkeit allmählich sistiert [Morrow et al., 2000]. Daher sollten indirekte Restaurationen eher bei ausgedehnten Defekten, insbesondere bei erwachsenen Patienten eingesetzt werden.
Wurzelkanalbehandelte Zähne nach einem Trauma bedürfen nicht grundsätzlich einer Kronenversorgung. Vielmehr richtet sich die Art der Restauration nach dem koronalen Substanzverlust und schließt sowohl direkte als auch indirekte Restaurationen ein. Bei hohem Substanzverlust ist eine Überkronung allerdings sinnvoll. Kann der Stumpfaufbau aufgrund einer ungenügenden Adhäsionsfläche nicht ausreichend verankert werden, sollte ein intrakanalärer Stift als zusätzliche Retention eingesetzt werden [Mannocci et al., 2021].
Vorbereitende Maßnahmen zur Versorgung tiefer subgingivaler Defekte
Bei tief subgingival beziehungsweise intraossär verlaufenden Kronen-Wurzel-Frakturen, deren Versorgung mit den beschriebenen Verfahren nicht möglich erscheint, können vorbereitende Maßnahmen die Defektgrenzen nach supragingival verlagern und damit die Restaurierbarkeit ermöglichen. In Einzelfällen (steiler Frakturverlauf) kann bei Kronen-Wurzel-Frakturen als Kompromiss auf eine komplette Fassung der ursprünglichen Defektgrenzen durch die Restauration verzichtet werden mit dem Ziel, invasivere Therapieoptionen zu vermeiden.
Die chirurgische Kronenverlängerung ist aufgrund der notwendigen Ostektomie das invasivste Verfahren zur restaurativen Versorgung tief frakturierter Zähne. In ästhetisch nicht relevanten Bereichen (zum Beispiel palatinal in der Oberkieferfront) kann der Defekt durch eine gezielte chirurgische Kronenverlängerung für die nachfolgende Restauration zugänglich gemacht und gleichzeitig die biologische Breite wiederhergestellt werden. Als Nachteile werden Rezidive [Pilalas et al., 2016] sowie eine mögliche Beeinträchtigung der Ästhetik am therapierten Zahn und an den Nachbarzähnen [Nobre et al., 2017] beschrieben.
Alternativ dazu bietet sich die Koronalverlagerung der Defektgrenze mit gleichzeitiger Wiederherstellung der biologischen Breite durch eine kieferorthopädische (siehe Teil 5 der Fortbildung „Dentales Trauma“: Kieferorthopädische Aspekte) oder die chirurgische Extrusion an (Abbildung 2).
Lückenversorgung nach Zahnverlust
Mit dem enossalen Implantat steht heutzutage eine gute Möglichkeit zur Verfügung, um unfallbedingt verloren gegangene oder nicht erhaltungswürdige Zähne zu ersetzen. Allerdings können Implantate nicht in jeder klinischen Situation und nicht in jeder Altersgruppe zum Einsatz kommen [Bohner et al., 2019; Thilander, 2008; Zitzmann et al., 2009]. In geeigneten Fällen (vor allem bei Einzelzahnlücken) bieten die Transplantation oder auch der kieferorthopädische Lückenschluss eine hervorragende biologische Basis für die restaurative Versorgung bei Kindern und Jugendlichen. In manchen Situationen ist es auch erforderlich, die Zeit bis zu einer definitiven Versorgung so zu überbrücken, dass die knöchernen und die Weichgewebsstrukturen weitgehend erhalten werden und idealerweise die spätere Versorgung schon vorbereitet wird. Die Wahl der überbrückenden Maßnahmen bis zu einer definitiven Lösung nach Zahnverlust richtet sich primär nach dem Alter und dem zu überbrückenden Zeitraum.
Kurzfristige Temporäre Lückenversorgungen
Eine einfache und schnelle Option zur Lückenversorgung ist das Ankleben einer eventuell vorhandenen natürlichen Zahnkrone oder eines Kunststoffzahns an die Nachbardentition. Der Zahn sollte idealerweise nur an einen Nachbarzahn geklebt werden, um Torsionsbelastungen zu vermeiden und das Wachstum durch die Verblockung nicht negativ zu beeinflussen. Basal sollte die anzuklebende Zahnkrone mit Komposit im Sinne eines ovalen Pontic-Designs im Querschnitt eiförmig gestaltet werden. Dies ermöglicht eine positive Beeinflussung des Heilungsverlaufs der Alveole nach einer Zahnextraktion durch eine funktionell und ästhetisch günstigere Unterstützung des Weichgewebes für eine spätere (implantat)prothetische Versorgung [Dieterich, 2011]. Um Frakturen im Bereich des Verbinders vorzubeugen, ist darauf zu achten, eine in bukko-oraler Richtung ausreichende Schichtstärke aus Komposit aufzubauen.
Die Versorgung einer Frontzahnlücke mit herausnehmbaren Apparaturen (Klammerprothese, Tiefziehschiene mit Zahn) ist prinzipiell möglich, aber aufgrund des suboptimalen Patientenkomforts und einer gegebenenfalls mangelnden Akzeptanz vonseiten der Patienten in der Regel nur als kurzfristige Maßnahme geeignet. Zudem ist zu berücksichtigen, dass gerade im Wechselgebiss häufige Korrekturen oder Neuanfertigungen notwendig werden. Ein Vorteil herausnehmbarer Versorgungen ist, dass diese selbst bei einer deutlich lückigen Frontzahnregion noch eine akzeptable ästhetische Versorgung bieten können. Wenn andere Optionen ausscheiden, sind daher herausnehmbare Apparaturen eine verlässliche Möglichkeit, um eine akzeptable Temporärversorgung zu ermöglichen [Krastl et al., 2022].
Adhäsivbrücke
Nach einem vollständigen Zahnverlust oder auch nach einer erfolgten Dekoronation ankylosierter Zähne bietet sich insbesondere bei jungen Patienten die Versorgung mit einer Adhäsivbrücke an. Die einflügelige Adhäsivbrücke stellt eine minimalinvasive Möglichkeit zur Versorgung der Lücke bei Schneidezähnen dar (Abbildung 3). Für diese Versorgungsform liegen sehr gute Langzeitüberlebensraten von über 98 Prozent vor [Kern et al., 2017]. Einflügelige Adhäsivbrücken haben im Vergleich zu zweiflügeligen Adhäsivbrücken eine signifikant höhere Überlebensrate [Thoma et al., 2017].
Konventionelle Brückenversorgung
Bei erwachsenen Patienten steht die Versorgung der Zahnlücke mit einer konventionellen Brücke immer zur Verfügung, sofern die Nachbarzähne als Brückenpfeiler geeignet sind. Gerade bei intakten Nachbarzähnen muss diese Art der Versorgung aufgrund der invasiven Präparation kritisch hinterfragt werden.
Restaurative Versorgung nach Zahntransplantation oder nach kieferorthopädischem Lückenschluss
Wenn die Lückenversorgung durch eine Transplantation (siehe Teil 4 der Fortbildung „Dentales Trauma“: Chirurgische Aspekte) oder einen kieferorthopädischen Lückenschluss (siehe Teil 5 der Fortbildung „Dentales Trauma“: Kieferorthopädische Aspekte) vorbereitet wurde, beschränkt sich die restaurative Versorgung auf eine Formkorrektur der Zähne. Diese kann – je nach Situation und Präferenz des Behandlers – mit direkten (Abbildung 4) oder mit (minimalinvasiven) indirekten Restaurationen (Veneers, Teilkronen) erfolgen. Gerade bei jungen Patienten muss allerdings berücksichtigt werden, dass im Zuge der passiven Eruption [Mele et al., 2018] Veränderungen des Gingivaverlaufs an den restaurierten Zähnen zur Exposition der Restaurationsränder führen und eine neue Versorgung nach mehreren Jahren erforderlich machen können.
Restaurative Versorgung nach Implantation
Wenn nach sorgfältiger Abwägung aller Vor- und Nachteile ein Implantat in der kritischen Frontzahnregion geplant und inseriert wurde, steht die ästhetische Integration der prothetischen Versorgung in die umliegenden Gewebe im Vordergrund. Trotz hoher Überlebensraten ist die Evidenz in Bezug auf die langfristigen ästhetischen Resultate von Implantatversorgungen nach unfallbedingtem Zahnverlust noch überschaubar [Norgaard Petersen et al., 2022].
<bibliography>
Andreasen FM, Noren JG, Andreasen JO, Engelhardtsen S, Lindh-Stromberg U. 1995. Long-term survival of fragment bonding in the treatment of fractured crowns: A multicenter clinical study. Quint Int. 26(10):669-681.
Bissinger R, Muller DD, Hickel R, Kuhnisch J. 2021. Survival analysis of adhesive reattachments in permanent teeth with crown fractures after dental trauma. Dent Traumatol. 37(2):208-214.
Bohner L, Hanisch M, Kleinheinz J, Jung S. 2019. Dental implants in growing patients: A systematic review. Br J Oral Maxillofac Surg. 57(5):397-406.
Burke FJ. 2012. Survival rates for porcelain laminate veneers with special reference to the effect of preparation in dentin: A literature review. J Esther Restor Dent. 24(4):257-265.
Dieterich H. 2011. Temporäre Restaurationen als Schlüsselelement zur Erarbeitung der Ästhetik. Quintessenz. 62(6):759–767.
Edelhoff D, Prandtner O, Saeidi Pour R, Liebermann A, Stimmelmayr M, Guth JF. 2018. Anterior restorations: The performance of ceramic veneers. Quint Int. 49(2):89-101.
Eichelsbacher F, Denner W, Klaiber B, Schlagenhauf U. 2009. Periodontal status of teeth with crown-root fractures: Results two years after adhesive fragment reattachment. J Clin Periodontol. 36(10):905-911.
Farik B, Munksgaard EC, Andreasen JO, Kreiborg S. 1999. Drying and rewetting anterior crown fragments prior to bonding. Endod Dent Traumatol. 15(3):113-116.
Heintze SD, Rousson V, Hickel R. 2015. Clinical effectiveness of direct anterior restorations-a meta-analysis. Dent Mater. 31(5):481-495.
Kern M, Passia N, Sasse M, Yazigi C. 2017. Ten-year outcome of zirconia ceramic cantilever resin-bonded fixed dental prostheses and the influence of the reasons for missing incisors. J Dent. 65:51-55.
Krastl G, Krug R, Nolte D. 2022. Überbrückende Maßnahmen bei verunfallten Zähnen mit infauster Prognose. Quintessenz. 73(2):162-169.
Krastl G, Weiger R. 2010. Frontzahnrestaurationen: Brauchen wir überhaupt Keramik? Quintessenz 61(5):511-520.
Layton DM, Clarke M, Walton TR. 2012. A systematic review and meta-analysis of the survival of feldspathic porcelain veneers over 5 and 10 years. Int J Prosthodont. 25(6):590-603.
Macedo G, Raj V, Ritter AV. 2006. Longevity of anterior composite restorations. J Esthet Restor Dent. 18(6):310-311.
Mannocci F, Bhuva B, Roig M, Zarow M, Bitter K. 2021. European society of endodontology position statement: The restoration of root filled teeth. Int Endod J. 54(11):1974-1981.
Mele M, Felice P, Sharma P, Mazzotti C, Bellone P, Zucchelli G. 2018. Esthetic treatment of altered passive eruption. Periodontology 2000. 77(1):65-83.
Morrow LA, Robbins JW, Jones DL, Wilson NH. 2000. Clinical crown length changes from age 12-19 years: A longitudinal study. J Dent. 28(7):469-473.
Norgaard Petersen F, Jensen SS, Dahl M. 2022. Implant treatment after traumatic tooth loss: A systematic review. Dent Traumatol. 38(2):105-116.
Soliman S, Lang LM, Hahn B, Reich S, Schlagenhauf U, Krastl G, Krug R. 2020. Long-term outcome of adhesive fragment reattachment in crown-root fractured teeth. Dent Traumatol. 36(4):417-426.
Spinas E. 2004. Longevity of composite restorations of traumatically injured teeth. AmJDent. 17(6):407-411.
Thilander B. 2008. Orthodontic space closure versus implant placement in subjects with missing teeth. Journal of oral rehabilitation. 35 Suppl 1:64-71.
Thoma DS, Sailer I, Ioannidis A, Zwahlen M, Makarov N, Pjetursson BE. 2017. A systematic review of the survival and complication rates of resin-bonded fixed dental prostheses after a mean observation period of at least 5 years. Clin Oral Implants Res. 28(11):1421-1432.
Zitzmann NU, Krastl G, Hecker H, Walter C, Weiger R. 2009. Endodontics or implants? A review of decisive criteria and guidelines for single tooth restorations and full arch reconstructions. Int Endod J. 42(9):757-774.
</bibliography>





































