Was in der Alterszahnmedizin auf uns zukommt
Der Begriff demografischer Wandel ist mittlerweile in der Mitte der Gesellschaft angekommen, die meisten Menschen können sich etwas darunter vorstellen. Welche Folgen dieser Wandel insgesamt hat, wird jedoch häufig noch nicht ausreichend betrachtet und in Entscheidungen einbezogen. Die durchschnittliche Lebenserwartung steigt seit vielen Jahren, insbesondere durch die Fortschritte in der medizinischen Versorgung. Wer heute geboren wird, hat in Deutschland als Frau eine durchschnittliche Lebenserwartung von 84 Jahren, als Mann 79 Jahre [Statistisches Bundesamt, 2015]. Auch bei den heutigen Senioren kann nicht mehr die Lebenserwartung zu Geburt angesetzt werden, da viele Gefahren und Ereignisse bereits überstanden sind, die sich negativ auf das Überleben auswirken können. Wenn wir also einen fitten 80-Jährigen in der Praxis antreffen, dann hat dieser die durchschnittliche Lebenserwartung zwar bereits überschritten, aber bei guter Gesundheit sind zehn bis 15 weitere Jahre absolut plausibel. Allerdings steigt die Wahrscheinlichkeit, schwerbehindert zu sein, mit zunehmendem Alter stark an. In der Altersgruppe ab 65 Jahren ist rund ein Viertel schwerbehindert. Insgesamt ist zwischen 2009 und 2017 die Anzahl der Menschen mit einer Beeinträchtigung um neun Prozent gestiegen [Statistisches Bundesamt Deutschland, GENESIS-Online, 2023]. Unabhängig von körperlichen oder kognitiven Beeinträchtigungen sollten auch die letzten Lebensjahre mit guter Lebensqualität genossen werden können.
Dr. Anna-Lena Hillebrecht
Funktionsoberärztin und Bereichsleitung Gerostomatologie, Klinik für Zahnärztliche Prothetik, Universitätsklinikum Freiburg
Hugstetter Str. 55, 79106 Freiburg
anna-lena.hillebrecht@uniklinik-freiburg.de
2009: Gesellenprüfung Zahntechnik
2009–2014: Studium der Zahnmedizin, Georg-August-Universität Göttingen
2014–2018: Assistenzzahnärztin in der Polikilinik für Präventive Zahnmedizin, Parodontologie und Kariologie, Universitätsmedizin Göttingen
2018–2021: Assistenzzahnärztin in der Klinik für Allgemein-, Behinderten- und Seniorenzahnmedizin, Universität Zürich
2020: Spezialistin für Alterszahnmedizin der Deutschen Gesellschaft für Alterszahnmedizin (DGAZ).
2020: Promotion: „Die Auswirkungen der zahnärztlichen Behandlung in Intubationsnarkose auf die mundgesundheitsbezogene Lebensqualität von Patienten mit kognitiver Einschränkung“
2021–2023: Assistenzzahnärztin und wissenschaftliche Mitarbeiterin, Klinik für Zahnärztliche Prothetik Universitätsklinikum Freiburg
seit 2021: Schriftführerin und Vorstandsmitglied der Deutschen Gesellschaft Zahnmedizin für Menschen mit Behinderung und besonderem medizinischem Unterstützungsbedarf (DGZMB)
seit 2023: Funktionsoberärztin und Bereichsleitung Gerostomatologie, Klinik für Zahnärztliche Prothetik Universitätsklinikum Freiburg
Veränderungen im Versorgungsbedarf
Mit Zunahme der Lebenserwartung steigt auch die Zahl der älteren Menschen in Deutschland. Gleichzeitig steigt durch den Erfolg präventiver Maßnahmen die Anzahl der Zähne, mit denen der letzte Lebensabschnitt durchlebt wird [Jordan et al., 2021]. Die signifikant höhere Anzahl von erhaltenen Zähnen und dentalen Implantaten bei älteren Menschen bedingt auch vermehrt exponierte Zahnoberflächen mit dem Risiko für (Wurzel-)Karies sowie einem Bedarf an parodontaler und periimplantärer Nachsorge. Obwohl der demografische Wandel und der wachsende zahnmedizinische Behandlungsbedarf seit vielen Jahren bekannt sind, sucht man die Rubrik „Alterszahnmedizin“ in den Katalogen der einschlägigen Dentaldepots vergeblich. Liegt die Unterversorgung an einem Mangel an speziellen Geräten und Materialien? Wohl eher nicht, denn die Zähne der Seniorinnen und Senioren unterscheiden sich makroskopisch und mikroskopisch nicht wesentlich von den Zähnen der jungen Erwachsenen. Gealterte orale Strukturen sprechen ähnlich gut auf zahnmedizinische Therapien und präventive Interventionen an wie jugendliche orale Strukturen [López et al., 2017].
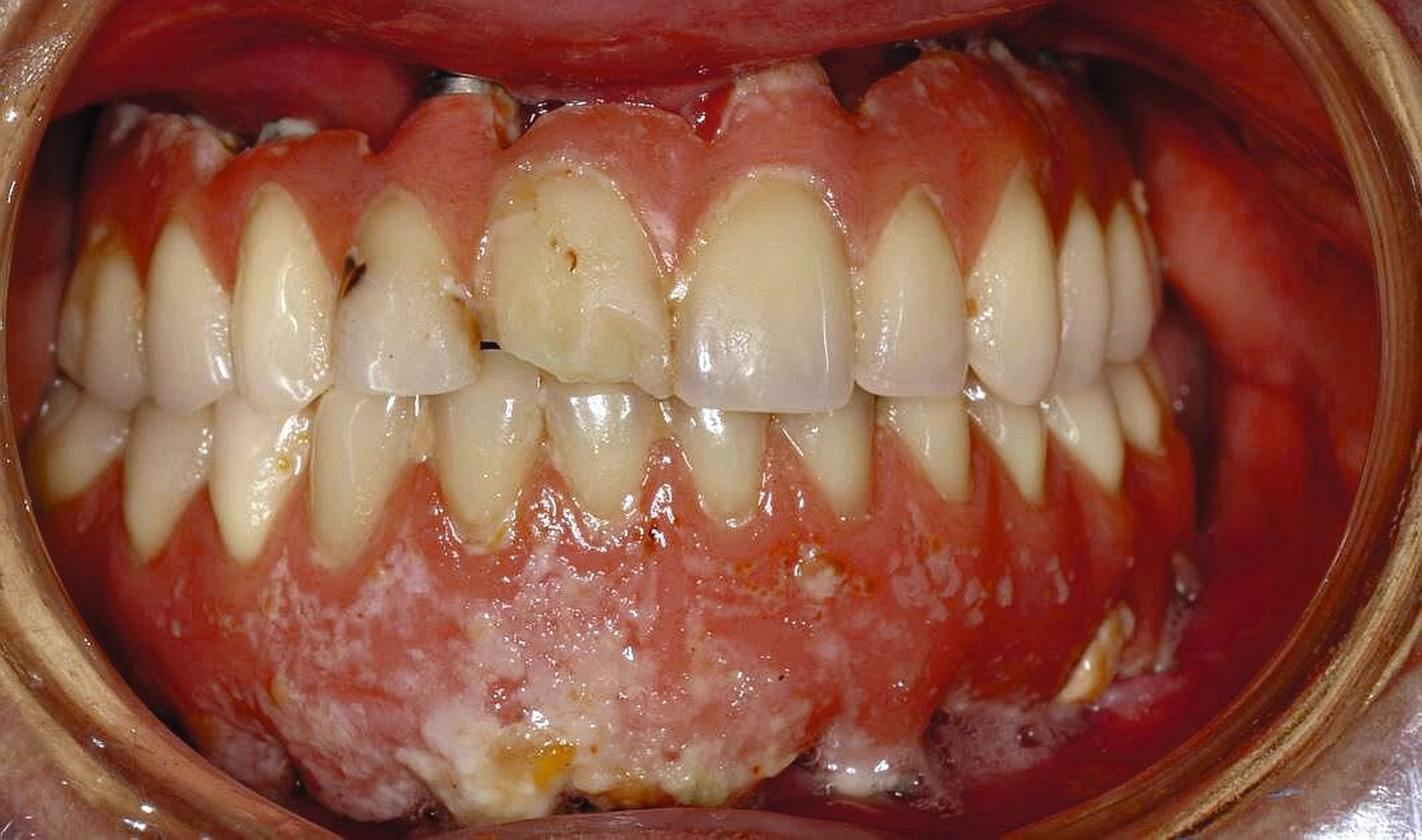
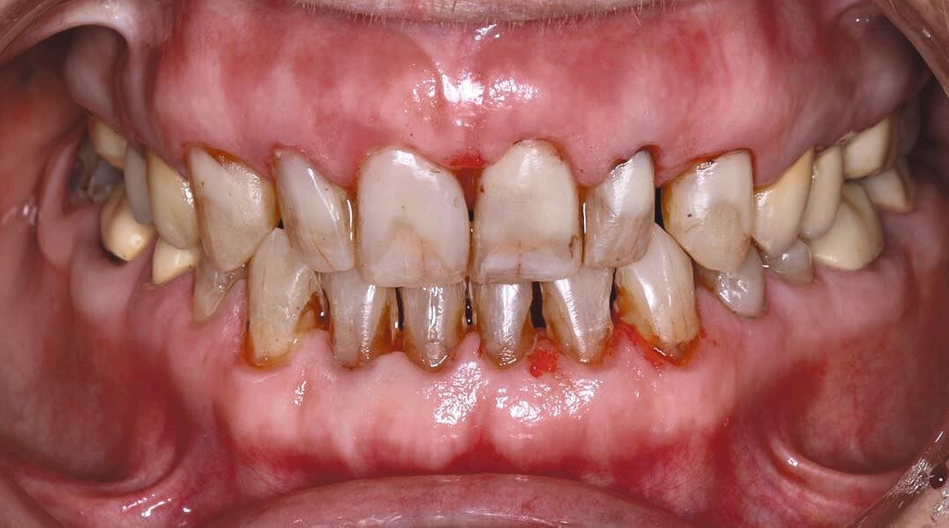
Die Herausforderungen der zahnmedizinischen Betreuung im höheren Lebensalter liegen außerhalb der Mundhöhle und haben nur indirekt etwas mit dem Alter zu tun. Im höheren Lebensalter steigt die Gefahr für Erkrankungen und Funktionseinschränkungen wie Gebrechlichkeit (Frailty), Demenz und Depressionen und/oder internistische sowie muskuloskelettale Erkrankungen. Diese Erkrankungen und Funktionseinschränkungen führen zu einer reduzierten Mundhygienefähigkeit der betroffenen Person. In der Folge kommt es besonders im vorgeschädigten Gebiss zu einer schnellen Progression kariöser oder parodontaler Erkrankungen. In Kombination mit organischen Funktionseinschränkungen wie zum Beispiel einer medikamenteninduzierten Xerostomie führt die Summation der Noxen – auch bei Personen, die ihre Mundgesundheit bis dato aufrechterhalten haben – zu oralen Komplikationen wie Zahnverlust und Entzündungen (Abbildung 1).
Die längere Lebenserwartung und mehr eigene Zähne sind für das Gesundheitssystem eine große Herausforderung. Bei Zahnlosigkeit ist die klassische Totalprothese das Mittel der Wahl, was eine kosteneffiziente Lösung bedeutet, im individuellen Fall aber mit einer erheblichen Beeinträchtigung der Lebensqualität durch eine eingeschränkte Kaufunktion, eine eingeschränkte Phonetik und psychosozialen Einfluss verbunden sein kann. Mehr eigene Zähne oder Implantate bedeuten mehr Lebensqualität, bedingen aber einen höheren Nachsorge- und Mundhygieneaufwand, höhere Kosten bei prothetischen Versorgungen und ein gewisses Risiko für die Zukunft. Müssen Zähne oder Implantate nämlich entfernt werden und hat sich die allgemeine Gesundheitssituation erheblich verschlechtert, kann dies in einigen Fällen nur unter Vollnarkose durchgeführt werden, was weitere gesundheitliche Risiken (zum Beispiel Delir) mit sich bringt. Auch die Überführung einer festsitzenden prothetischen Restauration in eine abnehmbare kann die Adaptationsfähigkeit im Alter übersteigen. Daher sind bei der Planung der zahnmedizinischen Versorgung älterer Menschen viele Aspekte zu berücksichtigen. Besonders relevant sind dabei die Aspekte, die das physiologische Altern vom pathologischen Altern und den damit verbundenen Beeinträchtigungen unterscheiden.
Beim Vorhandensein schwerer Allgemeinerkrankungen und von Pflegebedürftigkeit werden zahnmedizinische Kontrolluntersuchungen und auch die Durchführung häuslicher Mundhygienemaßnahmen oft nicht prioritär eingeschätzt [Hoben et al., 2017]. Hinzu kommt, dass Patienten die Zahnarztpraxis eventuell nicht mehr selbstständig oder nur mit großem Aufwand aufsuchen können. Seniorinnen und Senioren mit Pflegebedarf sind beim Zugang zu zahnmedizinischen Leistungen behindert [Göstemeyer et al., 2019; Gomez-Rossi et al., 2022]. Das Konzept der Weltgesundheitsorganisation (WHO) zur funktionalen Gesundheit, die Internationale Klassifikation der Funktionsfähigkeit, Behinderung und Gesundheit (ICF) gewichtet die Umweltfaktoren als entscheidenden Faktor beim Erhalt von Funktionalität, Aktivität und Teilhabe bei Personen mit Gesundheitsproblemen Sowohl die Funktionsfähigkeit und die Teilhabe im Alltag als auch die Behinderung einer Person an der Teilhabe bei Alltagsaktivitäten oder Gesundheitsmaßnahmen sind demnach das Ergebnis beziehungsweise die Folge einer komplexen Beziehung zwischen dem Menschen mit einem Gesundheitsproblem und seinen Umwelt- und personenbezogenen Faktoren [Cibis, 2009] (Abbildung 2).
Wendet man das bio-psycho-soziale Modell der ICF auf die Zahnmedizin an, stehen auf der einen Seite die zahnmedizinisch relevante Funktionseinschränkung oder die Allgemeinerkrankung (zum Beispiel demenzielle Erkrankung oder Funktionseinschränkungen nach Schlaganfall) und dem gegenüber die Umweltfaktoren, die in erster Linie durch das Zusammenspiel des betreuenden Umfelds (Pflegefachpersonen, Angehörige) mit dem zahnmedizinischen Praxisteam mitgestaltet werden (Kompensation von Mundhygienedefiziten, Zugang zu niederschwelligen zahnmedizinischen Betreuungs- und Behandlungsangeboten, die die aus der Funktionseinschränkung resultierenden besonderen Bedürfnisse berücksichtigen). Ob die Funktionseinschränkung/Allgemeinerkrankung tatsächlich Auswirkungen auf die Mundgesundheit beziehungsweise auf die mundgesundheitsbezogene Lebensqualität hat, hängt im besonderen Maß vom erfolgreichen Zusammenspiel der (kompensatorischen) Umweltfaktoren ab. Dem zahnmedizinischen Team wird hiermit eine erhebliche Verantwortung zuteil, zu deren Umsetzung es adäquater Rahmenbedingungen bedarf [Gomez-Rossi et al., 2022].
Individuelle Patientenbedürfnisse
Der lebenslange Erhalt des individuellen Maximums an Mundgesundheit und mundgesundheitsbezogener Lebensqualität sollte Ziel jeder zahnmedizinischen Betreuung sein. Die individuellen Ansprüche an die persönliche mundgesundheitsbezogene Lebensqualität sind bei älteren genauso heterogen wie bei jüngeren Personen [Koistinen et al., 2020]. Je ausgeprägter eine geriatrische Erkrankung ist, desto höher ist das Risiko für einen schlechten Mundgesundheitszustand und desto schlechter bewerten die Personen auch ihre Lebensqualität [Khanagar et al., 2020; Röhrig et al., 2020]. Die mundgesundheitsbezogene Lebensqualität stellt bei allen, aber insbesondere bei älteren PatientInnen, die primäre Zielgröße aller zahnmedizinischen Maßnahmen dar. Viele Aspekte, die wir für die Qualität einer Behandlung betrachten – wie Randspalt, Approximalkontakt oder Okklusionskontakte –, sind letztlich nur Surrogatparameter. Für die Patientinnen und Patienten stehen die Funktion (hauptsächlich Mastikation und Phonation), die Ästhetik, die Schmerzfreiheit und letztlich der psychosoziale Einfluss (zum Beispiel soziale Kontakte, psychisches Wohlbefinden) an erster Stelle. Diese stark fokussierte Betrachtung der PatientInnenperspektive stammt ursprünglich aus der Tumorforschung, etabliert sich aber zunehmend in allen Bereichen der Medizin und Zahnmedizin.
Ein weiterer wichtiger Punkt in der zahnmedizinischen Versorgung ist die Art und Weise der Entscheidungsfindung. Während früher ein stark paternalistisches Modell vorherrschte, geht die Entwicklung heute zu partizipativen Entscheidungsprozessen mit informierten Patientinnen und Patienten. Eine patientenzentrierte zahnmedizinische Betreuung hat einen positiven Einfluss auf die Lebensqualität dieser vulnerablen Personengruppe [Baniasadi et al., 2021]. Der Erhalt der Kaufunktion ist besonders bei Personen mit der Gefahr von Fehl- und Mangelernährung wichtig. Hier kann Zahnmedizin die Gesundheit und die Lebensqualität der Senioren direkt unterstützen.
Versorgungsoptionen
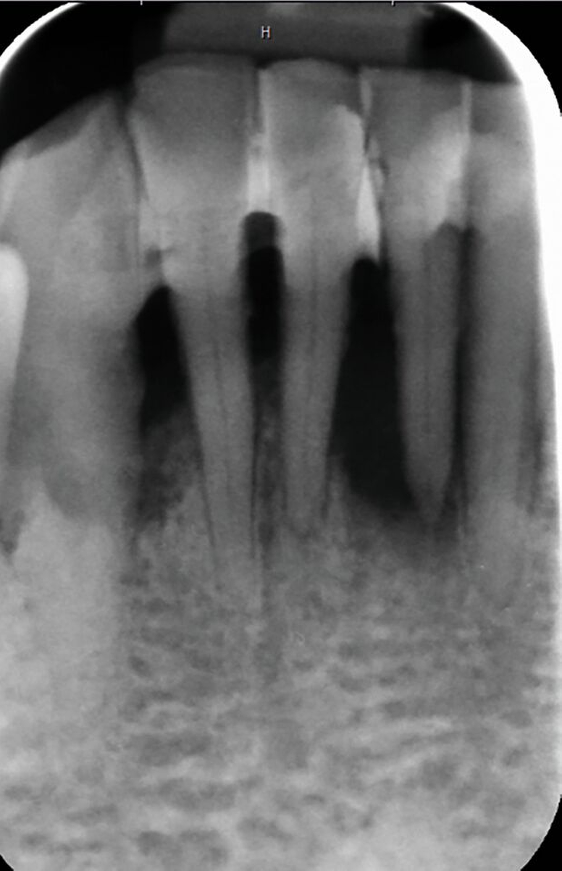
Zahnmedizinische Leitlinien zur zahnmedizinischen Betreuung von geriatrischen und demenziell erkrankten PatientInnen sind aktuell im Entstehungsprozess. Zusätzlich zu den oft komplexen zahnmedizinischen Befunden müssen bei der individuellen Therapieplanung dieser vulnerablen Klientel die Therapiefähigkeit und die Eigenverantwortlichkeit berücksichtigt werden. Dabei ist es weniger das Alter, sondern vielmehr der Zustand der körperlichen und mentalen Funktionsfähigkeit, der den Erfolg zahnmedizinischer Therapien limitiert. Therapien, die bei gesunden Personen jahrelang das Alltagsgeschäft der Zahnmedizin waren, sind bei Personen mit erhöhtem Pflege- und/oder Unterstützungsbedarf eventuell nicht umsetzbar. Gebrechlichkeit (Frailty) ist ein Zustand zwischen guter Gesundheit und Pflegebedürftigkeit im Alter – ein Zwischenstadium, in dem ein vorher fitter älterer Mensch Symptome der Gebrechlichkeit entwickelt und die Gefahr besteht, dass sich sein Zustand verschlechtert. Die geriatrischen Erkrankungen Frailty und auch Demenz sind im Rahmen zahnmedizinischer Behandlungen mit einer reduzierten Kooperations- und Therapiefähigkeit sowie bei der Anfertigung von Zahnersatz mit einer reduzierten Adaptationsfähigkeit assoziiert (Abbildung 3).
Je nach Therapiebedarf und -fähigkeit gilt es bei geriatrischen PatientInnen, ein pragmatisches Therapieziel und Behandlungssetting (aufsuchende Betreuung, ambulante Behandlung in der Praxis, Sanierung in ITN) zu wählen. Präventive, erkrankungsspezifische und funktionsorientierte Maßnahmen müssen sich bei der Behandlung älterer, mehrfach erkrankter Patienten sinnvoll ergänzen. Restaurative Therapien sollten immer von einer Intensivierung der Prophylaxemaßnahmen begleitet werden, um die Therapieergebnisse zu erhalten. Bei Personen mit reduzierter Mundhygienefähigkeit sollten diese Defizite frühzeitig erkannt und über individuelle Unterstützungsangebote kompensiert werden. Gesetzlich Krankenversicherte, die einem Pflegegrad nach Paragraf 15 SGB XI zugeordnet sind oder Eingliederungshilfe nach Paragraf 99 SGB IX erhalten, haben deshalb seit dem 01.07.2018 Anspruch auf spezielle Vorsorge- und Früherkennungsmaßnahmen nach Paragraf 22a SGB V.
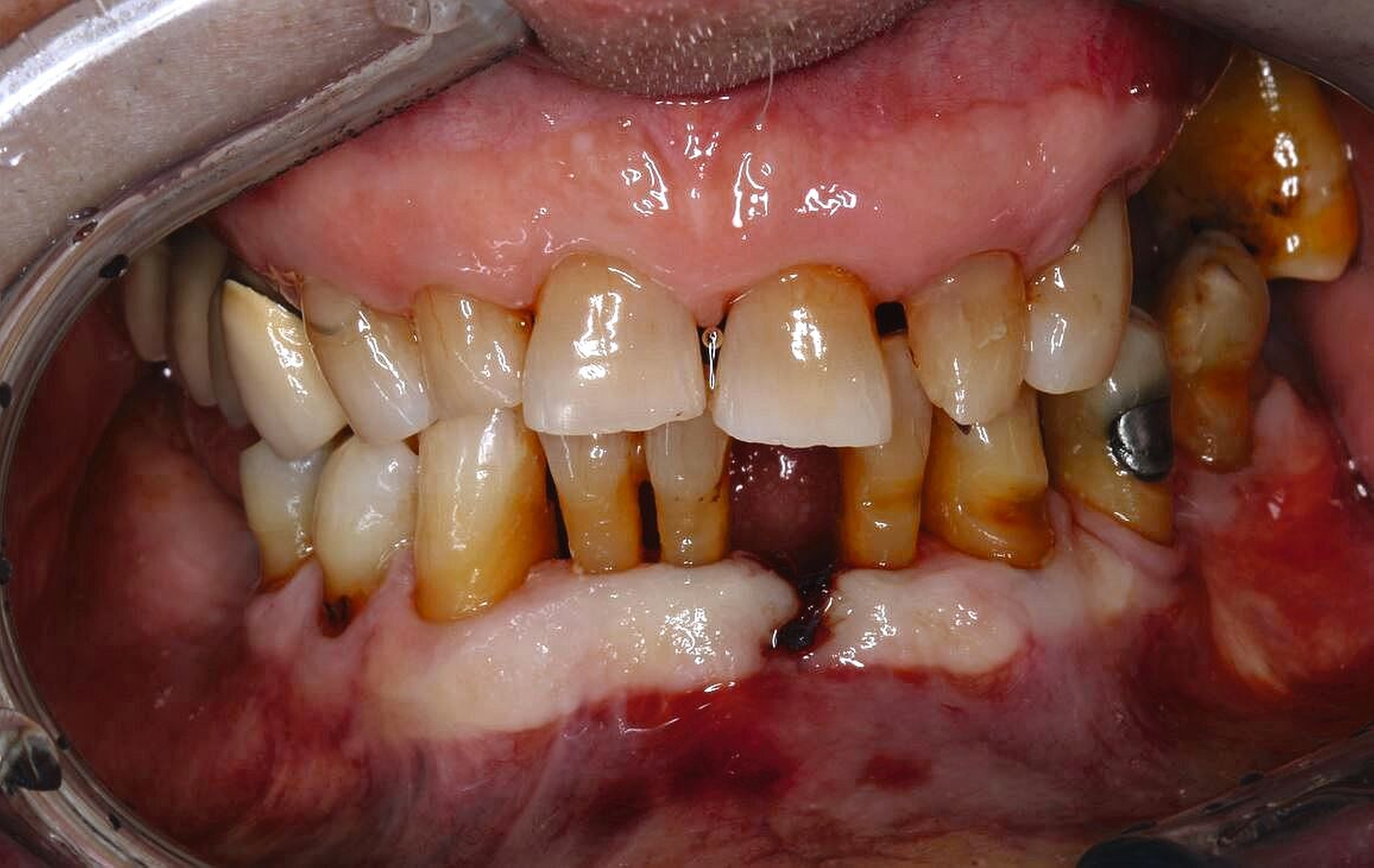
Auch aufseiten der Pflege wurden durch die Einführung des DNQP-Expertenstandards Rahmenbedingungen zur Verbesserung der Mundgesundheit bei Personen mit Pflegebedarf geschaffen. Der Expertenstandard definiert unter anderem das Aufgabenspektrum, den Verantwortungsbereich und das nötige Kompetenzprofil von Pflegefachpersonen in Bezug auf die Mundgesundheit bei Personen mit Pflegebedarf. Als zentrale Anforderung an Pflegefachpersonen formuliert der Expertenstandard zudem die Kompetenz, einschätzen zu können, wann weitere zahnmedizinische Expertise hinzuzuziehen ist [Sirsch et al., 2022]. Um die Maßnahmen zur Förderung der Mundgesundheit nachhaltig zu implementieren, ist ein dauerhafter Austausch zwischen Zahnmedizinern und Pflegeverantwortlichen, unter regelmäßiger Einbeziehung geriatrisch-hausärztlicher Expertise notwendig. Die Telemedizin verspricht in Bezug auf die Verbesserung des Zugangs zu zahnmedizinischen Leistungen für Personen in Pflegeeinrichtungen Zukunftspotenzial [Aquilanti et al., 2020]. Nicht in allen Fällen sind Defizite der Mundhygienefähigkeit absehbar. Nach Unfällen oder Schlaganfällen sind Patientinnen und Patienten eventuell von einem auf den anderen Tag nicht mehr in der Lage, ihre Mundhygiene selbstständig adäquat durchzuführen (Abbildung 4).
Die Hygienefähigkeit des Zahnersatzes spielt eine wichtige Rolle für die Prävention von Mundhöhlen- und Allgemeinerkrankungen. Das regelmäßige Entfernen des oralen Biofilms oder das Ausgliedern von Prothesen vor dem Schlafengehen sind effiziente Maßnahmen, um das Risiko von Lungenentzündungen zu verringern [Chebib et al., 2021]. Pessimistisch müsste man jeden Zahnersatz so planen, dass er beim Verlust der Mundhygienefähigkeit zu einer einfacher pflegbaren Variante umgearbeitet werden kann.
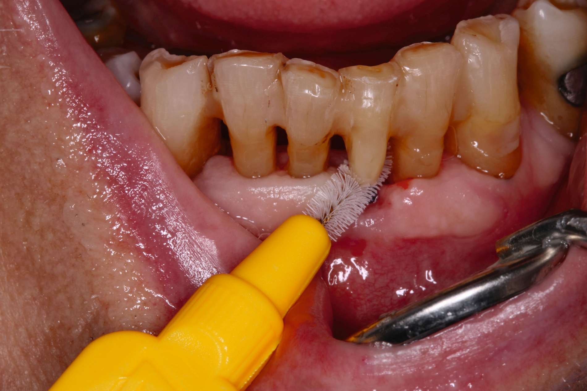
Auch wenn sich Karies, Parodontitis und dentale Traumata bei dieser vulnerablen Hochrisikogruppe in absehbarer Zeit wohl nicht gänzlich vermeiden lassen, ermöglicht die regelmäßige zahnmedizinische Kontrolluntersuchung, dass einzelne Befunde frühzeitig identifiziert und mit moderatem Aufwand therapiert werden können (Abbildung 5). Bei stark reduzierter Therapiefähigkeit sollten als Minimalziel die oralen Strukturen schmerz- und entzündungsfrei sein, um lebensbedrohliche Komplikationen wie Pneumonien oder Bakteriämien zu verhindern. Parodontale und periimplantäre Erkrankungen sollten im Kontext des allgemeinen Gesundheitszustands, der physiologischen Alterung des Immunsystems und der allgemeinen Körperfunktion beurteilt werden [Paris et al., 2020; Müller et al., 2022]. Prothetische Rehabilitationen sind zum Erhalt der Kaufunktion und der mundgesundheitsbezogenen Lebensqualität je nach Lokalisation und Ausmaß des Zahnverlusts sinnvoll, bedingen aber ein Mindestmaß an Mitarbeit von Patient und betreuendem Umfeld. Eine möglicherweise reduzierte Adaptationsfähigkeit an neu angefertigten Zahnersatz gilt es besonders bei neurodegenerativen Erkrankungen im Vorfeld der Therapie zu besprechen [Nitschke et al., 2021].
Umsetzungsmöglichkeiten
Die Umsetzung der Alterszahnmedizin in der Praxis ist anspruchsvoll, da sie zusätzlich zur zahnmedizinischen Expertise besondere kommunikative Fähigkeiten sowie ein fundiertes geriatrisches und allgemeinmedizinisches Wissen bedingt Wenn man diese Hürden aber überwindet, kann die Behandlung älterer und pflegebedürftiger Patientinnen und Patienten subjektiv erfüllend sein.
Orale Rehabilitationen bei Personen mit Pflege- und/oder Unterstützungsbedarf verlangen ein routiniertes und effizientes Behandeln sowie ein barrierefreies Praxiskonzept. Ein barrierefreies Praxiskonzept bedeutet nicht nur, dass die Praxis mit dem Rollstuhl zugänglich ist, sondern vor allem ein im Umgang und in der Kommunikation mit Personen mit erhöhtem Pflegebedarf geübtes Praxisteam, dass die PatientInnen entsprechend ihrer alters- und/oder erkrankungsassoziierten Bedürfnisse unterstützt.
Patientinnen und Patienten mit stark reduzierter Therapiefähigkeit profitieren in besonderem Maß von zeiteffektiven Methoden und Materialien, zum Beispiel Bulk-fill-Kompositen, Reparaturfüllungen, Glasionomerzementen oder Intraoralscans. Die Therapiefähigkeit kann – ähnlich wie in der Kinderzahnmedizin – durch ein vertrauensvolles Verhältnis optimiert werden. Anders als in der Kinderzahnmedizin gibt es in der Alterszahnmedizin aber keine altersassoziierten Kontraindikationen für zahnmedizinische Interventionen. Voraussagbare Therapieergebnisse sind von besonderer Bedeutung, um erneute Behandlungen zu vermeiden. Das gesamte Spektrum zahnmedizinischer Interventionen kann bei der Behandlung von Personen mit Pflegebedarf sinnvoll sein. Die Abbildungen 6 bis 9 zeigen zahnmedizinische Interventionen bei Personen mit ausgeprägter Frailty (Stufe 7 der klinischen Frailty-Skala).
Herausforderungen an Praxis und Ausbildung
Die genannten Herausforderungen sollen nicht abschrecken, sich mit dem Thema Alterszahnmedizin auseinanderzusetzen. Jede Praxis wird früher oder später mit dem Thema konfrontiert werden. Tatsächlich bietet die Alterszahnmedizin unter demografischen Gesichtspunkten ein enormes Potenzial, um die eigene Praxis stärker zu profilieren. Auch ökonomische Aspekte weisen in diese Richtung. Daher kann eine klinische Ausrichtung auf Alterszahnmedizin nur empfohlen werden.
Um den zahnmedizinischen Nachwuchs auf die Versorgung dieser wachsenden Klientel vorzubereiten, sind im Curriculum der neuen zahnmedizinischen Approbationsordnung verschiedene Fächer und Veranstaltungen vorgesehen, die eine Verankerung der Alterszahnmedizin (unter anderem Vermittlung von geriatrischen Grundkenntnissen, Fachwissen Gerostomatologie und barrierefreie Praxisorganisation und -kommunikation) zulassen. Es gibt bereits einige Beispiele und Ansätze dafür, wie die Alterszahnmedizin in die universitäre Lehre integriert werden kann [Lamprecht et al., 2020; Röcker et al., 2022; Wighton et al., 2022; Hillebrecht et al., 2023]. Ein wesentlicher Punkt dabei ist neben der Vermittlung des theoretischen Wissens die praktische Tätigkeit, um potenzielle Barrieren abzubauen. Diese betreffen sowohl den Umgang als auch die Kommunikation mit Patientinnen und Patienten mit zahnmedizinisch relevanten Beeinträchtigungen. Hilfreich können dabei Kurse mit Simulations- beziehungsweise SchauspielpatientInnen sein. In diesem geschützten Rahmen können Szenarien aus dem Bereich der Alterszahnmedizin durchgespielt und besprochen werden. Ein frühzeitiger Kontakt der Studierenden zur aufsuchenden Zahnmedizin (Behandlungen und/oder Kontrolluntersuchungen in Pflegeeinrichtungen) sensibilisiert diese für die Behandlungs- und Betreuungsmöglichkeiten außerhalb der Praxis-/Klinikräume. Diese Angebote in der Ausbildung werden nicht nur von den Studierenden geschätzt, sie verbessern direkt und indirekt die zahnmedizinische Versorgung vulnerabler Patientengruppen.
Fazit
Die zahnmedizinische Therapie von fitten Seniorinnen und Senioren unterscheidet sich nicht wesentlich von der Versorgung junger Erwachsener. Auch bei der Behandlung von SeniorInnen mit besonderem Unterstützungsbedarf ist vieles möglich – primär gilt es, die Notwendigkeit komplexer oraler Rehabilitationen bei allgemein geschwächten PatientInnen zu verhindern. Bei zahnmedizinischen Interventionen bestimmen die Kooperationsfähigkeit bei den einzelnen Therapieschritten, die realisierbare Mundhygiene und das Ausmaß der dentalen/parodontalen Schädigung die Wahl der einzelnen Therapeutika. Anzustreben sind hier insbesondere auf die Hygienefähigkeit der PatientInnen und des betreuenden Umfelds abgestimmte Therapien. Wichtig bleibt in jedem Alter die regelmäßige zahnärztliche Kontrolluntersuchung.
Literaturliste
Aquilanti L, Santarelli A, Mascitti M, Procaccini M, Rappelli G (2020): Dental Care Access and the Elderly: What Is the Role of Teledentistry? A Systematic Review. Int J Environ Res Public Health 17, 9053.
DIMDI, Internationale Klassifikation der Funktionsfähigkeit, Behinderung und Gesundheit (ICF), Herausgegeben vom Deutschen Institut für Medizinische Dokumentation und Information (DIMDI), 2005.
Gomez-Rossi J, Schwartzkopff J, Müller A, Hertrampf K, Abraham J, Gassmann G, Schlattmann P, Göstemeyer G, Schwendicke F (2022): Health policy analysis on barriers and facilitators for better oral health in German care homes: a qualitative study. BMJ Open 12, e049306.
Göstemeyer G, Baker SR, Schwendicke F (2019): Barriers and facilitators for provision of oral health care in dependent older people: a systematic review. Clin Oral Investig 23, 979–993.
Hillebrecht A-L, Steffens S, Roesner AJ, Kohal R-J, Vach K, Spies BC (2023): Effects of a disability-simulating learning unit on ableism of final-year dental students - a pilot study. Spec Care Dent Off Publ Am Assoc Hosp Dent Acad Dent Handicap Am Soc Geriatr Dent.
Hoben M, Clarke A, Huynh KT, Kobagi N, Kent A, Hu H, Pereira RAC, Xiong T, Yu K, Xiang H, Yoon MN (2017): Barriers and facilitators in providing oral care to nursing home residents, from the perspective of care aides: A systematic review and meta-analysis. Int J Nurs Stud 73, 34–51.
Jordan AR, Stark H, Nitschke I, Micheelis W, Schwendicke F (2021): Epidemiological trends, predictive factors, and projection of tooth loss in Germany 1997-2030: part I. missing teeth in adults and seniors. Clin Oral Investig 25, 67–76.
Khanagar SB, Al-Ehaideb A, Shivanna MM, Ul Haq I, Al Kheraif AA, Naik S, Maganur P, Vishwanathaiah S (2020): Age-related Oral Changes and Their Impact on Oral Health-related Quality of Life among Frail Elderly Population: A Review. J Contemp Dent Pract 21, 1298–1303.
Koistinen S, Olai L, Ståhlnacke K, Fält A, Ehrenberg A (2020): Oral health-related quality of life and associated factors among older people in short-term care. Int J Dent Hyg 18, 163–172.
Lamprecht R, Guse J, Schimmel M, Müller F, Heydecke G, Reissmann DR (2020): Benefits of combined quantitative and qualitative evaluation of learning experience in a gerodontology course for dental students. BMC Med Educ 20, 281.
López R, Smith PC, Göstemeyer G, Schwendicke F (2017): Ageing, dental caries and periodontal diseases. J Clin Periodontol 44 Suppl 18, S145–S152.
Müller F, Srinivasan M, Krause K-H, Schimmel M (2022): Periodontitis and peri-implantitis in elderly people experiencing institutional and hospital confinement. Periodontol 2000 90, 138–145.
Nitschke I, Wendland A, Weber S, Jockusch J, Lethaus B, Hahnel S (2021): Considerations for the Prosthetic Dental Treatment of Geriatric Patients in Germany. J Clin Med 10, 304.
Paris S, Banerjee A, Bottenberg P, Breschi L, Campus G, Doméjean S, Ekstrand K, Giacaman RA, Haak R, Hannig M, et al. (2020): How to Intervene in the Caries Process in Older Adults: A Joint ORCA and EFCD Expert Delphi Consensus Statement. Caries Res 54, 1–7.
Röcker N, Wershofen B, Pudritz Y, Fischer MR, Auerbacher M, Fintz M, Drey M, Schmidmaier R (2022): Interprofessional geriatric assessment in nursing home (IgAP): a curricular development in geriatrics. GMS J Med Educ 39, Doc7.
Röhrig G, Pia S, Bussmann M, Kunter H, Noack MJ, Barbe AG (2020): Do subjectively and objectively impaired oral health parameters influence geriatric assessment results in hospitalized geriatric patients? Eur Geriatr Med 11, 465–474.
Sirsch E, Ludwig E, Müller K, Blumenberg P, Nitschke I, Büscher A (2022): Förderung der Mundgesundheit in der Pflege – ein interprofessioneller Expertenstandard. Z Für Gerontol Geriatr 55, 204–209.
Statistisches Bundesamt. 2015. Bevölkerung Deutschlands bis 2060 - 13. Koordinierte Bevölkerungsvorausberechnung. Wiesbaden: Statistisches Bundesamt.
Statistisches Bundesamt. www.destatis.de/DE/Themen/Querschnitt/Demografischer-Wandel/Aspekte/demografie-lebenserwartung.html; abgerufen am 02.06.2023.
Statistisches Bundesamt Deutschland - GENESIS-Online: Statistik: 22711. www-genesis.destatis.de/genesis/online; abgerufen am 02.06.2023
Wighton H, Derman SHM, Wicht MJ, Scharfenberg I, Röhrig G, Noack MJ, Barbe AG (2022): Impact of an interdisciplinary curriculum for dental students (GeriDent-Cologne) on attitudes and awareness towards older people and geriatric conditions. Eur J Dent Educ Off J Assoc Dent Educ Eur 26, 586–598.
Der Begriff demografischer Wandel ist mittlerweile in der Mitte der Gesellschaft angekommen, die meisten Menschen können sich etwas darunter vorstellen. Welche Folgen dieser Wandel insgesamt hat, wird jedoch häufig noch nicht ausreichend betrachtet und in Entscheidungen einbezogen. Die durchschnittliche Lebenserwartung steigt seit vielen Jahren, insbesondere durch die Fortschritte in der medizinischen Versorgung. Wer heute geboren wird, hat in Deutschland als Frau eine durchschnittliche Lebenserwartung von 84 Jahren, als Mann 79 Jahre [Statistisches Bundesamt, 2015]. Auch bei den heutigen Senioren kann nicht mehr die Lebenserwartung zu Geburt angesetzt werden, da viele Gefahren und Ereignisse bereits überstanden sind, die sich negativ auf das Überleben auswirken können. Wenn wir also einen fitten 80-Jährigen in der Praxis antreffen, dann hat dieser die durchschnittliche Lebenserwartung zwar bereits überschritten, aber bei guter Gesundheit sind zehn bis 15 weitere Jahre absolut plausibel. Allerdings steigt die Wahrscheinlichkeit, schwerbehindert zu sein, mit zunehmendem Alter stark an. In der Altersgruppe ab 65 Jahren ist rund ein Viertel schwerbehindert. Insgesamt ist zwischen 2009 und 2017 die Anzahl der Menschen mit einer Beeinträchtigung um neun Prozent gestiegen [Statistisches Bundesamt Deutschland, GENESIS-Online, 2023]. Unabhängig von körperlichen oder kognitiven Beeinträchtigungen sollten auch die letzten Lebensjahre mit guter Lebensqualität genossen werden können.
Dr. Anna-Lena Hillebrecht
Funktionsoberärztin und Bereichsleitung Gerostomatologie, Klinik für Zahnärztliche Prothetik, Universitätsklinikum Freiburg
Hugstetter Str. 55, 79106 Freiburg
anna-lena.hillebrecht@uniklinik-freiburg.de
2009: Gesellenprüfung Zahntechnik
2009–2014: Studium der Zahnmedizin, Georg-August-Universität Göttingen
2014–2018: Assistenzzahnärztin in der Polikilinik für Präventive Zahnmedizin, Parodontologie und Kariologie, Universitätsmedizin Göttingen
2018–2021: Assistenzzahnärztin in der Klinik für Allgemein-, Behinderten- und Seniorenzahnmedizin, Universität Zürich
2020: Spezialistin für Alterszahnmedizin der Deutschen Gesellschaft für Alterszahnmedizin (DGAZ).
2020: Promotion: „Die Auswirkungen der zahnärztlichen Behandlung in Intubationsnarkose auf die mundgesundheitsbezogene Lebensqualität von Patienten mit kognitiver Einschränkung“
2021–2023: Assistenzzahnärztin und wissenschaftliche Mitarbeiterin, Klinik für Zahnärztliche Prothetik Universitätsklinikum Freiburg
seit 2021: Schriftführerin und Vorstandsmitglied der Deutschen Gesellschaft Zahnmedizin für Menschen mit Behinderung und besonderem medizinischem Unterstützungsbedarf (DGZMB)
seit 2023: Funktionsoberärztin und Bereichsleitung Gerostomatologie, Klinik für Zahnärztliche Prothetik Universitätsklinikum Freiburg
Veränderungen im Versorgungsbedarf
Mit Zunahme der Lebenserwartung steigt auch die Zahl der älteren Menschen in Deutschland. Gleichzeitig steigt durch den Erfolg präventiver Maßnahmen die Anzahl der Zähne, mit denen der letzte Lebensabschnitt durchlebt wird [Jordan et al., 2021]. Die signifikant höhere Anzahl von erhaltenen Zähnen und dentalen Implantaten bei älteren Menschen bedingt auch vermehrt exponierte Zahnoberflächen mit dem Risiko für (Wurzel-)Karies sowie einem Bedarf an parodontaler und periimplantärer Nachsorge. Obwohl der demografische Wandel und der wachsende zahnmedizinische Behandlungsbedarf seit vielen Jahren bekannt sind, sucht man die Rubrik „Alterszahnmedizin“ in den Katalogen der einschlägigen Dentaldepots vergeblich. Liegt die Unterversorgung an einem Mangel an speziellen Geräten und Materialien? Wohl eher nicht, denn die Zähne der Seniorinnen und Senioren unterscheiden sich makroskopisch und mikroskopisch nicht wesentlich von den Zähnen der jungen Erwachsenen. Gealterte orale Strukturen sprechen ähnlich gut auf zahnmedizinische Therapien und präventive Interventionen an wie jugendliche orale Strukturen [López et al., 2017].
Die Herausforderungen der zahnmedizinischen Betreuung im höheren Lebensalter liegen außerhalb der Mundhöhle und haben nur indirekt etwas mit dem Alter zu tun. Im höheren Lebensalter steigt die Gefahr für Erkrankungen und Funktionseinschränkungen wie Gebrechlichkeit (Frailty), Demenz und Depressionen und/oder internistische sowie muskuloskelettale Erkrankungen. Diese Erkrankungen und Funktionseinschränkungen führen zu einer reduzierten Mundhygienefähigkeit der betroffenen Person. In der Folge kommt es besonders im vorgeschädigten Gebiss zu einer schnellen Progression kariöser oder parodontaler Erkrankungen. In Kombination mit organischen Funktionseinschränkungen wie zum Beispiel einer medikamenteninduzierten Xerostomie führt die Summation der Noxen – auch bei Personen, die ihre Mundgesundheit bis dato aufrechterhalten haben – zu oralen Komplikationen wie Zahnverlust und Entzündungen (Abbildung 1).
Die längere Lebenserwartung und mehr eigene Zähne sind für das Gesundheitssystem eine große Herausforderung. Bei Zahnlosigkeit ist die klassische Totalprothese das Mittel der Wahl, was eine kosteneffiziente Lösung bedeutet, im individuellen Fall aber mit einer erheblichen Beeinträchtigung der Lebensqualität durch eine eingeschränkte Kaufunktion, eine eingeschränkte Phonetik und psychosozialen Einfluss verbunden sein kann. Mehr eigene Zähne oder Implantate bedeuten mehr Lebensqualität, bedingen aber einen höheren Nachsorge- und Mundhygieneaufwand, höhere Kosten bei prothetischen Versorgungen und ein gewisses Risiko für die Zukunft. Müssen Zähne oder Implantate nämlich entfernt werden und hat sich die allgemeine Gesundheitssituation erheblich verschlechtert, kann dies in einigen Fällen nur unter Vollnarkose durchgeführt werden, was weitere gesundheitliche Risiken (zum Beispiel Delir) mit sich bringt. Auch die Überführung einer festsitzenden prothetischen Restauration in eine abnehmbare kann die Adaptationsfähigkeit im Alter übersteigen. Daher sind bei der Planung der zahnmedizinischen Versorgung älterer Menschen viele Aspekte zu berücksichtigen. Besonders relevant sind dabei die Aspekte, die das physiologische Altern vom pathologischen Altern und den damit verbundenen Beeinträchtigungen unterscheiden.
Beim Vorhandensein schwerer Allgemeinerkrankungen und von Pflegebedürftigkeit werden zahnmedizinische Kontrolluntersuchungen und auch die Durchführung häuslicher Mundhygienemaßnahmen oft nicht prioritär eingeschätzt [Hoben et al., 2017]. Hinzu kommt, dass Patienten die Zahnarztpraxis eventuell nicht mehr selbstständig oder nur mit großem Aufwand aufsuchen können. Seniorinnen und Senioren mit Pflegebedarf sind beim Zugang zu zahnmedizinischen Leistungen behindert [Göstemeyer et al., 2019; Gomez-Rossi et al., 2022]. Das Konzept der Weltgesundheitsorganisation (WHO) zur funktionalen Gesundheit, die Internationale Klassifikation der Funktionsfähigkeit, Behinderung und Gesundheit (ICF) gewichtet die Umweltfaktoren als entscheidenden Faktor beim Erhalt von Funktionalität, Aktivität und Teilhabe bei Personen mit Gesundheitsproblemen Sowohl die Funktionsfähigkeit und die Teilhabe im Alltag als auch die Behinderung einer Person an der Teilhabe bei Alltagsaktivitäten oder Gesundheitsmaßnahmen sind demnach das Ergebnis beziehungsweise die Folge einer komplexen Beziehung zwischen dem Menschen mit einem Gesundheitsproblem und seinen Umwelt- und personenbezogenen Faktoren [Cibis, 2009] (Abbildung 2).
Wendet man das bio-psycho-soziale Modell der ICF auf die Zahnmedizin an, stehen auf der einen Seite die zahnmedizinisch relevante Funktionseinschränkung oder die Allgemeinerkrankung (zum Beispiel demenzielle Erkrankung oder Funktionseinschränkungen nach Schlaganfall) und dem gegenüber die Umweltfaktoren, die in erster Linie durch das Zusammenspiel des betreuenden Umfelds (Pflegefachpersonen, Angehörige) mit dem zahnmedizinischen Praxisteam mitgestaltet werden (Kompensation von Mundhygienedefiziten, Zugang zu niederschwelligen zahnmedizinischen Betreuungs- und Behandlungsangeboten, die die aus der Funktionseinschränkung resultierenden besonderen Bedürfnisse berücksichtigen). Ob die Funktionseinschränkung/Allgemeinerkrankung tatsächlich Auswirkungen auf die Mundgesundheit beziehungsweise auf die mundgesundheitsbezogene Lebensqualität hat, hängt im besonderen Maß vom erfolgreichen Zusammenspiel der (kompensatorischen) Umweltfaktoren ab. Dem zahnmedizinischen Team wird hiermit eine erhebliche Verantwortung zuteil, zu deren Umsetzung es adäquater Rahmenbedingungen bedarf [Gomez-Rossi et al., 2022].
Individuelle Patientenbedürfnisse
Der lebenslange Erhalt des individuellen Maximums an Mundgesundheit und mundgesundheitsbezogener Lebensqualität sollte Ziel jeder zahnmedizinischen Betreuung sein. Die individuellen Ansprüche an die persönliche mundgesundheitsbezogene Lebensqualität sind bei älteren genauso heterogen wie bei jüngeren Personen [Koistinen et al., 2020]. Je ausgeprägter eine geriatrische Erkrankung ist, desto höher ist das Risiko für einen schlechten Mundgesundheitszustand und desto schlechter bewerten die Personen auch ihre Lebensqualität [Khanagar et al., 2020; Röhrig et al., 2020]. Die mundgesundheitsbezogene Lebensqualität stellt bei allen, aber insbesondere bei älteren PatientInnen, die primäre Zielgröße aller zahnmedizinischen Maßnahmen dar. Viele Aspekte, die wir für die Qualität einer Behandlung betrachten – wie Randspalt, Approximalkontakt oder Okklusionskontakte –, sind letztlich nur Surrogatparameter. Für die Patientinnen und Patienten stehen die Funktion (hauptsächlich Mastikation und Phonation), die Ästhetik, die Schmerzfreiheit und letztlich der psychosoziale Einfluss (zum Beispiel soziale Kontakte, psychisches Wohlbefinden) an erster Stelle. Diese stark fokussierte Betrachtung der PatientInnenperspektive stammt ursprünglich aus der Tumorforschung, etabliert sich aber zunehmend in allen Bereichen der Medizin und Zahnmedizin.
Ein weiterer wichtiger Punkt in der zahnmedizinischen Versorgung ist die Art und Weise der Entscheidungsfindung. Während früher ein stark paternalistisches Modell vorherrschte, geht die Entwicklung heute zu partizipativen Entscheidungsprozessen mit informierten Patientinnen und Patienten. Eine patientenzentrierte zahnmedizinische Betreuung hat einen positiven Einfluss auf die Lebensqualität dieser vulnerablen Personengruppe [Baniasadi et al., 2021]. Der Erhalt der Kaufunktion ist besonders bei Personen mit der Gefahr von Fehl- und Mangelernährung wichtig. Hier kann Zahnmedizin die Gesundheit und die Lebensqualität der Senioren direkt unterstützen.
Versorgungsoptionen
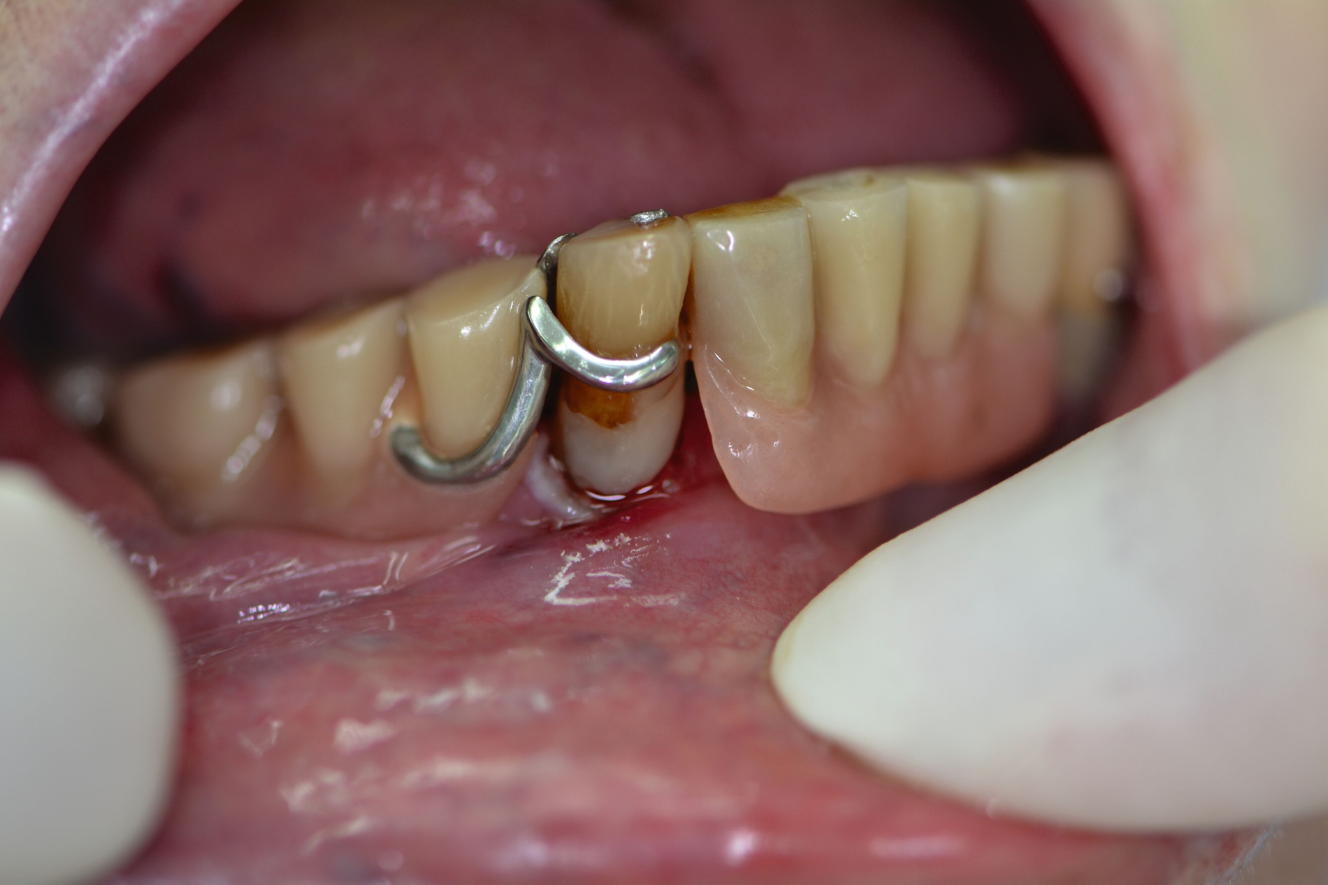
Zahnmedizinische Leitlinien zur zahnmedizinischen Betreuung von geriatrischen und demenziell erkrankten PatientInnen sind aktuell im Entstehungsprozess. Zusätzlich zu den oft komplexen zahnmedizinischen Befunden müssen bei der individuellen Therapieplanung dieser vulnerablen Klientel die Therapiefähigkeit und die Eigenverantwortlichkeit berücksichtigt werden. Dabei ist es weniger das Alter, sondern vielmehr der Zustand der körperlichen und mentalen Funktionsfähigkeit, der den Erfolg zahnmedizinischer Therapien limitiert. Therapien, die bei gesunden Personen jahrelang das Alltagsgeschäft der Zahnmedizin waren, sind bei Personen mit erhöhtem Pflege- und/oder Unterstützungsbedarf eventuell nicht umsetzbar. Gebrechlichkeit (Frailty) ist ein Zustand zwischen guter Gesundheit und Pflegebedürftigkeit im Alter – ein Zwischenstadium, in dem ein vorher fitter älterer Mensch Symptome der Gebrechlichkeit entwickelt und die Gefahr besteht, dass sich sein Zustand verschlechtert. Die geriatrischen Erkrankungen Frailty und auch Demenz sind im Rahmen zahnmedizinischer Behandlungen mit einer reduzierten Kooperations- und Therapiefähigkeit sowie bei der Anfertigung von Zahnersatz mit einer reduzierten Adaptationsfähigkeit assoziiert (Abbildung 3).
Je nach Therapiebedarf und -fähigkeit gilt es bei geriatrischen PatientInnen, ein pragmatisches Therapieziel und Behandlungssetting (aufsuchende Betreuung, ambulante Behandlung in der Praxis, Sanierung in ITN) zu wählen. Präventive, erkrankungsspezifische und funktionsorientierte Maßnahmen müssen sich bei der Behandlung älterer, mehrfach erkrankter Patienten sinnvoll ergänzen. Restaurative Therapien sollten immer von einer Intensivierung der Prophylaxemaßnahmen begleitet werden, um die Therapieergebnisse zu erhalten. Bei Personen mit reduzierter Mundhygienefähigkeit sollten diese Defizite frühzeitig erkannt und über individuelle Unterstützungsangebote kompensiert werden. Gesetzlich Krankenversicherte, die einem Pflegegrad nach Paragraf 15 SGB XI zugeordnet sind oder Eingliederungshilfe nach Paragraf 99 SGB IX erhalten, haben deshalb seit dem 01.07.2018 Anspruch auf spezielle Vorsorge- und Früherkennungsmaßnahmen nach Paragraf 22a SGB V.
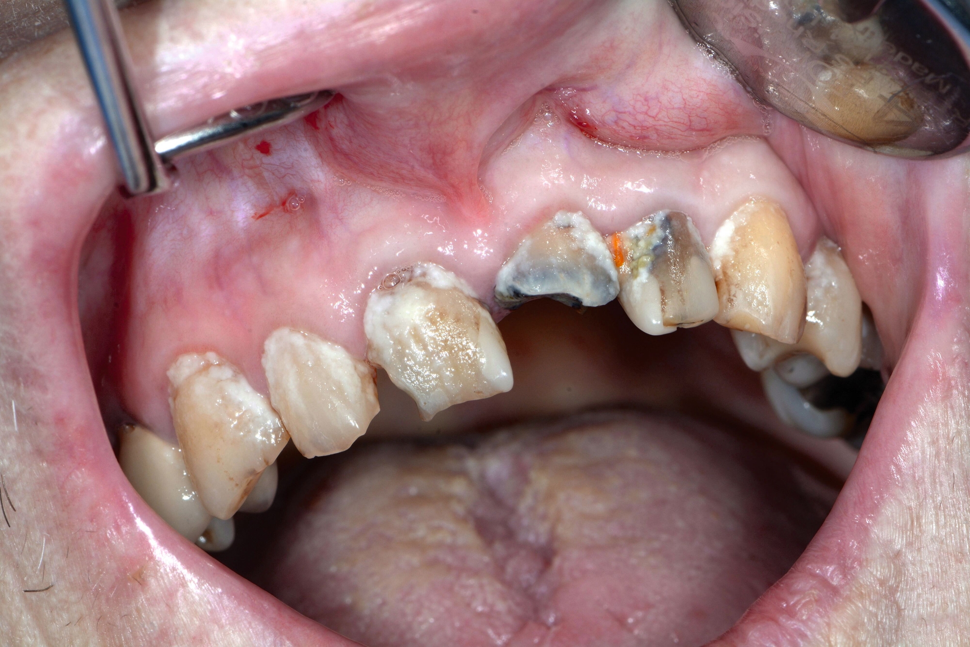
Auch aufseiten der Pflege wurden durch die Einführung des DNQP-Expertenstandards Rahmenbedingungen zur Verbesserung der Mundgesundheit bei Personen mit Pflegebedarf geschaffen. Der Expertenstandard definiert unter anderem das Aufgabenspektrum, den Verantwortungsbereich und das nötige Kompetenzprofil von Pflegefachpersonen in Bezug auf die Mundgesundheit bei Personen mit Pflegebedarf. Als zentrale Anforderung an Pflegefachpersonen formuliert der Expertenstandard zudem die Kompetenz, einschätzen zu können, wann weitere zahnmedizinische Expertise hinzuzuziehen ist [Sirsch et al., 2022]. Um die Maßnahmen zur Förderung der Mundgesundheit nachhaltig zu implementieren, ist ein dauerhafter Austausch zwischen Zahnmedizinern und Pflegeverantwortlichen, unter regelmäßiger Einbeziehung geriatrisch-hausärztlicher Expertise notwendig. Die Telemedizin verspricht in Bezug auf die Verbesserung des Zugangs zu zahnmedizinischen Leistungen für Personen in Pflegeeinrichtungen Zukunftspotenzial [Aquilanti et al., 2020]. Nicht in allen Fällen sind Defizite der Mundhygienefähigkeit absehbar. Nach Unfällen oder Schlaganfällen sind Patientinnen und Patienten eventuell von einem auf den anderen Tag nicht mehr in der Lage, ihre Mundhygiene selbstständig adäquat durchzuführen (Abbildung 4).
Die Hygienefähigkeit des Zahnersatzes spielt eine wichtige Rolle für die Prävention von Mundhöhlen- und Allgemeinerkrankungen. Das regelmäßige Entfernen des oralen Biofilms oder das Ausgliedern von Prothesen vor dem Schlafengehen sind effiziente Maßnahmen, um das Risiko von Lungenentzündungen zu verringern [Chebib et al., 2021]. Pessimistisch müsste man jeden Zahnersatz so planen, dass er beim Verlust der Mundhygienefähigkeit zu einer einfacher pflegbaren Variante umgearbeitet werden kann.
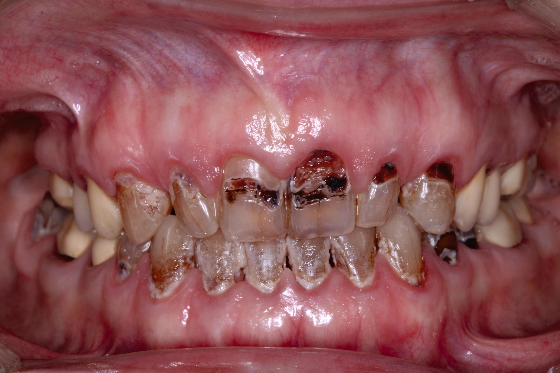
Auch wenn sich Karies, Parodontitis und dentale Traumata bei dieser vulnerablen Hochrisikogruppe in absehbarer Zeit wohl nicht gänzlich vermeiden lassen, ermöglicht die regelmäßige zahnmedizinische Kontrolluntersuchung, dass einzelne Befunde frühzeitig identifiziert und mit moderatem Aufwand therapiert werden können (Abbildung 5). Bei stark reduzierter Therapiefähigkeit sollten als Minimalziel die oralen Strukturen schmerz- und entzündungsfrei sein, um lebensbedrohliche Komplikationen wie Pneumonien oder Bakteriämien zu verhindern. Parodontale und periimplantäre Erkrankungen sollten im Kontext des allgemeinen Gesundheitszustands, der physiologischen Alterung des Immunsystems und der allgemeinen Körperfunktion beurteilt werden [Paris et al., 2020; Müller et al., 2022]. Prothetische Rehabilitationen sind zum Erhalt der Kaufunktion und der mundgesundheitsbezogenen Lebensqualität je nach Lokalisation und Ausmaß des Zahnverlusts sinnvoll, bedingen aber ein Mindestmaß an Mitarbeit von Patient und betreuendem Umfeld. Eine möglicherweise reduzierte Adaptationsfähigkeit an neu angefertigten Zahnersatz gilt es besonders bei neurodegenerativen Erkrankungen im Vorfeld der Therapie zu besprechen [Nitschke et al., 2021].
Umsetzungsmöglichkeiten
Die Umsetzung der Alterszahnmedizin in der Praxis ist anspruchsvoll, da sie zusätzlich zur zahnmedizinischen Expertise besondere kommunikative Fähigkeiten sowie ein fundiertes geriatrisches und allgemeinmedizinisches Wissen bedingt Wenn man diese Hürden aber überwindet, kann die Behandlung älterer und pflegebedürftiger Patientinnen und Patienten subjektiv erfüllend sein.
Orale Rehabilitationen bei Personen mit Pflege- und/oder Unterstützungsbedarf verlangen ein routiniertes und effizientes Behandeln sowie ein barrierefreies Praxiskonzept. Ein barrierefreies Praxiskonzept bedeutet nicht nur, dass die Praxis mit dem Rollstuhl zugänglich ist, sondern vor allem ein im Umgang und in der Kommunikation mit Personen mit erhöhtem Pflegebedarf geübtes Praxisteam, dass die PatientInnen entsprechend ihrer alters- und/oder erkrankungsassoziierten Bedürfnisse unterstützt.
Patientinnen und Patienten mit stark reduzierter Therapiefähigkeit profitieren in besonderem Maß von zeiteffektiven Methoden und Materialien, zum Beispiel Bulk-fill-Kompositen, Reparaturfüllungen, Glasionomerzementen oder Intraoralscans. Die Therapiefähigkeit kann – ähnlich wie in der Kinderzahnmedizin – durch ein vertrauensvolles Verhältnis optimiert werden. Anders als in der Kinderzahnmedizin gibt es in der Alterszahnmedizin aber keine altersassoziierten Kontraindikationen für zahnmedizinische Interventionen. Voraussagbare Therapieergebnisse sind von besonderer Bedeutung, um erneute Behandlungen zu vermeiden. Das gesamte Spektrum zahnmedizinischer Interventionen kann bei der Behandlung von Personen mit Pflegebedarf sinnvoll sein. Die Abbildungen 6 bis 9 zeigen zahnmedizinische Interventionen bei Personen mit ausgeprägter Frailty (Stufe 7 der klinischen Frailty-Skala).
Herausforderungen an Praxis und Ausbildung
Die genannten Herausforderungen sollen nicht abschrecken, sich mit dem Thema Alterszahnmedizin auseinanderzusetzen. Jede Praxis wird früher oder später mit dem Thema konfrontiert werden. Tatsächlich bietet die Alterszahnmedizin unter demografischen Gesichtspunkten ein enormes Potenzial, um die eigene Praxis stärker zu profilieren. Auch ökonomische Aspekte weisen in diese Richtung. Daher kann eine klinische Ausrichtung auf Alterszahnmedizin nur empfohlen werden.
Um den zahnmedizinischen Nachwuchs auf die Versorgung dieser wachsenden Klientel vorzubereiten, sind im Curriculum der neuen zahnmedizinischen Approbationsordnung verschiedene Fächer und Veranstaltungen vorgesehen, die eine Verankerung der Alterszahnmedizin (unter anderem Vermittlung von geriatrischen Grundkenntnissen, Fachwissen Gerostomatologie und barrierefreie Praxisorganisation und -kommunikation) zulassen. Es gibt bereits einige Beispiele und Ansätze dafür, wie die Alterszahnmedizin in die universitäre Lehre integriert werden kann [Lamprecht et al., 2020; Röcker et al., 2022; Wighton et al., 2022; Hillebrecht et al., 2023]. Ein wesentlicher Punkt dabei ist neben der Vermittlung des theoretischen Wissens die praktische Tätigkeit, um potenzielle Barrieren abzubauen. Diese betreffen sowohl den Umgang als auch die Kommunikation mit Patientinnen und Patienten mit zahnmedizinisch relevanten Beeinträchtigungen. Hilfreich können dabei Kurse mit Simulations- beziehungsweise SchauspielpatientInnen sein. In diesem geschützten Rahmen können Szenarien aus dem Bereich der Alterszahnmedizin durchgespielt und besprochen werden. Ein frühzeitiger Kontakt der Studierenden zur aufsuchenden Zahnmedizin (Behandlungen und/oder Kontrolluntersuchungen in Pflegeeinrichtungen) sensibilisiert diese für die Behandlungs- und Betreuungsmöglichkeiten außerhalb der Praxis-/Klinikräume. Diese Angebote in der Ausbildung werden nicht nur von den Studierenden geschätzt, sie verbessern direkt und indirekt die zahnmedizinische Versorgung vulnerabler Patientengruppen.
Fazit
Die zahnmedizinische Therapie von fitten Seniorinnen und Senioren unterscheidet sich nicht wesentlich von der Versorgung junger Erwachsener. Auch bei der Behandlung von SeniorInnen mit besonderem Unterstützungsbedarf ist vieles möglich – primär gilt es, die Notwendigkeit komplexer oraler Rehabilitationen bei allgemein geschwächten PatientInnen zu verhindern. Bei zahnmedizinischen Interventionen bestimmen die Kooperationsfähigkeit bei den einzelnen Therapieschritten, die realisierbare Mundhygiene und das Ausmaß der dentalen/parodontalen Schädigung die Wahl der einzelnen Therapeutika. Anzustreben sind hier insbesondere auf die Hygienefähigkeit der PatientInnen und des betreuenden Umfelds abgestimmte Therapien. Wichtig bleibt in jedem Alter die regelmäßige zahnärztliche Kontrolluntersuchung.
Literaturliste
Aquilanti L, Santarelli A, Mascitti M, Procaccini M, Rappelli G (2020): Dental Care Access and the Elderly: What Is the Role of Teledentistry? A Systematic Review. Int J Environ Res Public Health 17, 9053.
DIMDI, Internationale Klassifikation der Funktionsfähigkeit, Behinderung und Gesundheit (ICF), Herausgegeben vom Deutschen Institut für Medizinische Dokumentation und Information (DIMDI), 2005.
Gomez-Rossi J, Schwartzkopff J, Müller A, Hertrampf K, Abraham J, Gassmann G, Schlattmann P, Göstemeyer G, Schwendicke F (2022): Health policy analysis on barriers and facilitators for better oral health in German care homes: a qualitative study. BMJ Open 12, e049306.
Göstemeyer G, Baker SR, Schwendicke F (2019): Barriers and facilitators for provision of oral health care in dependent older people: a systematic review. Clin Oral Investig 23, 979–993.
Hillebrecht A-L, Steffens S, Roesner AJ, Kohal R-J, Vach K, Spies BC (2023): Effects of a disability-simulating learning unit on ableism of final-year dental students - a pilot study. Spec Care Dent Off Publ Am Assoc Hosp Dent Acad Dent Handicap Am Soc Geriatr Dent.
Hoben M, Clarke A, Huynh KT, Kobagi N, Kent A, Hu H, Pereira RAC, Xiong T, Yu K, Xiang H, Yoon MN (2017): Barriers and facilitators in providing oral care to nursing home residents, from the perspective of care aides: A systematic review and meta-analysis. Int J Nurs Stud 73, 34–51.
Jordan AR, Stark H, Nitschke I, Micheelis W, Schwendicke F (2021): Epidemiological trends, predictive factors, and projection of tooth loss in Germany 1997-2030: part I. missing teeth in adults and seniors. Clin Oral Investig 25, 67–76.
Khanagar SB, Al-Ehaideb A, Shivanna MM, Ul Haq I, Al Kheraif AA, Naik S, Maganur P, Vishwanathaiah S (2020): Age-related Oral Changes and Their Impact on Oral Health-related Quality of Life among Frail Elderly Population: A Review. J Contemp Dent Pract 21, 1298–1303.
Koistinen S, Olai L, Ståhlnacke K, Fält A, Ehrenberg A (2020): Oral health-related quality of life and associated factors among older people in short-term care. Int J Dent Hyg 18, 163–172.
Lamprecht R, Guse J, Schimmel M, Müller F, Heydecke G, Reissmann DR (2020): Benefits of combined quantitative and qualitative evaluation of learning experience in a gerodontology course for dental students. BMC Med Educ 20, 281.
López R, Smith PC, Göstemeyer G, Schwendicke F (2017): Ageing, dental caries and periodontal diseases. J Clin Periodontol 44 Suppl 18, S145–S152.
Müller F, Srinivasan M, Krause K-H, Schimmel M (2022): Periodontitis and peri-implantitis in elderly people experiencing institutional and hospital confinement. Periodontol 2000 90, 138–145.
Nitschke I, Wendland A, Weber S, Jockusch J, Lethaus B, Hahnel S (2021): Considerations for the Prosthetic Dental Treatment of Geriatric Patients in Germany. J Clin Med 10, 304.
Paris S, Banerjee A, Bottenberg P, Breschi L, Campus G, Doméjean S, Ekstrand K, Giacaman RA, Haak R, Hannig M, et al. (2020): How to Intervene in the Caries Process in Older Adults: A Joint ORCA and EFCD Expert Delphi Consensus Statement. Caries Res 54, 1–7.
Röcker N, Wershofen B, Pudritz Y, Fischer MR, Auerbacher M, Fintz M, Drey M, Schmidmaier R (2022): Interprofessional geriatric assessment in nursing home (IgAP): a curricular development in geriatrics. GMS J Med Educ 39, Doc7.
Röhrig G, Pia S, Bussmann M, Kunter H, Noack MJ, Barbe AG (2020): Do subjectively and objectively impaired oral health parameters influence geriatric assessment results in hospitalized geriatric patients? Eur Geriatr Med 11, 465–474.
Sirsch E, Ludwig E, Müller K, Blumenberg P, Nitschke I, Büscher A (2022): Förderung der Mundgesundheit in der Pflege – ein interprofessioneller Expertenstandard. Z Für Gerontol Geriatr 55, 204–209.
Statistisches Bundesamt. 2015. Bevölkerung Deutschlands bis 2060 - 13. Koordinierte Bevölkerungsvorausberechnung. Wiesbaden: Statistisches Bundesamt.
Statistisches Bundesamt. www.destatis.de/DE/Themen/Querschnitt/Demografischer-Wandel/Aspekte/demografie-lebenserwartung.html; abgerufen am 02.06.2023.
Statistisches Bundesamt Deutschland - GENESIS-Online: Statistik: 22711. www-genesis.destatis.de/genesis/online; abgerufen am 02.06.2023
Wighton H, Derman SHM, Wicht MJ, Scharfenberg I, Röhrig G, Noack MJ, Barbe AG (2022): Impact of an interdisciplinary curriculum for dental students (GeriDent-Cologne) on attitudes and awareness towards older people and geriatric conditions. Eur J Dent Educ Off J Assoc Dent Educ Eur 26, 586–598.


























