Symptomatische Trigeminusneuralgie mit invertiertem Papillom
Eine 35-jährige Patientin stellte sich immer wieder mit rezidivierenden Schmerzen der linken Gesichtshälfte bei mehreren Ärzten vor. Die Beschwerden bestanden seit Jahren. Schon im Vorfeld waren mehrfach bei chronischer Sinusitis eine Kieferhöhlenrevision sowie eine Infundibulotomie linksseitig erfolgt. Regelmäßig kam es zu erneuten eitrigen Entzündungen. Die fraglichen Fokuszähne des zweiten Quadranten 24–27 waren vor einigen Jahren entfernt worden (Abbildung 1). 2017 war eine komplikationslose implantologisch-prothetische Versorgung der Freiendsituation erfolgt (Abbildungen 2 und 3).
Die Beschwerden der Patientin waren gekennzeichnet durch einen Schmerz bis zu 8/10 (NRS, numerische Ratingskala 0–10 – kein Schmerz = 0 / maximaler Schmerz = 10) mit Punktum maximum über dem linken Infraorbitalpunkt. Mal beschrieb die Patientin die Schmerzen eher als drückendes Gefühl, das in den Kopf ausstrahlen würde, mal schilderte sie die Schmerzqualität mit eher stechendem Charakter. Klopfschmerzhaftigkeit und Kieferhöhlenanschlagsschmerz bestanden nicht. Die Schmerzepisoden waren stressabhängig häufiger und stärker, eine deutliche Besserung zeigte sich in stressfreieren Intervallen. Die Patientin gab an, sowohl in der familiären Situation als auch in der Arbeitsumgebung einer deutlichen Belastungssituation ausgesetzt zu sein. Damit bestand der Verdacht auf das Vorliegen einer funktionellen Schmerzkomponente bei zugrunde liegendem neuropathischem Schmerzgeschehen.
Die Patientin wurde mit Ibuprofen und Amytriptilin medikamentös eingestellt und es erfolgte eine schmerzmedizinische Beratung. Unter der Medikation und der psychosozialen Begleitung ließ sich eine Besserung der Schmerzsymptomatik mit Werten von 0–3/10 NRS erzielen. Unter der medikamentösen Therapie kam es zwar auch immer wieder zu längerfristigen Schmerzepisoden, es konnte jedoch eine deutliche Schmerzreduktion erreicht werden.
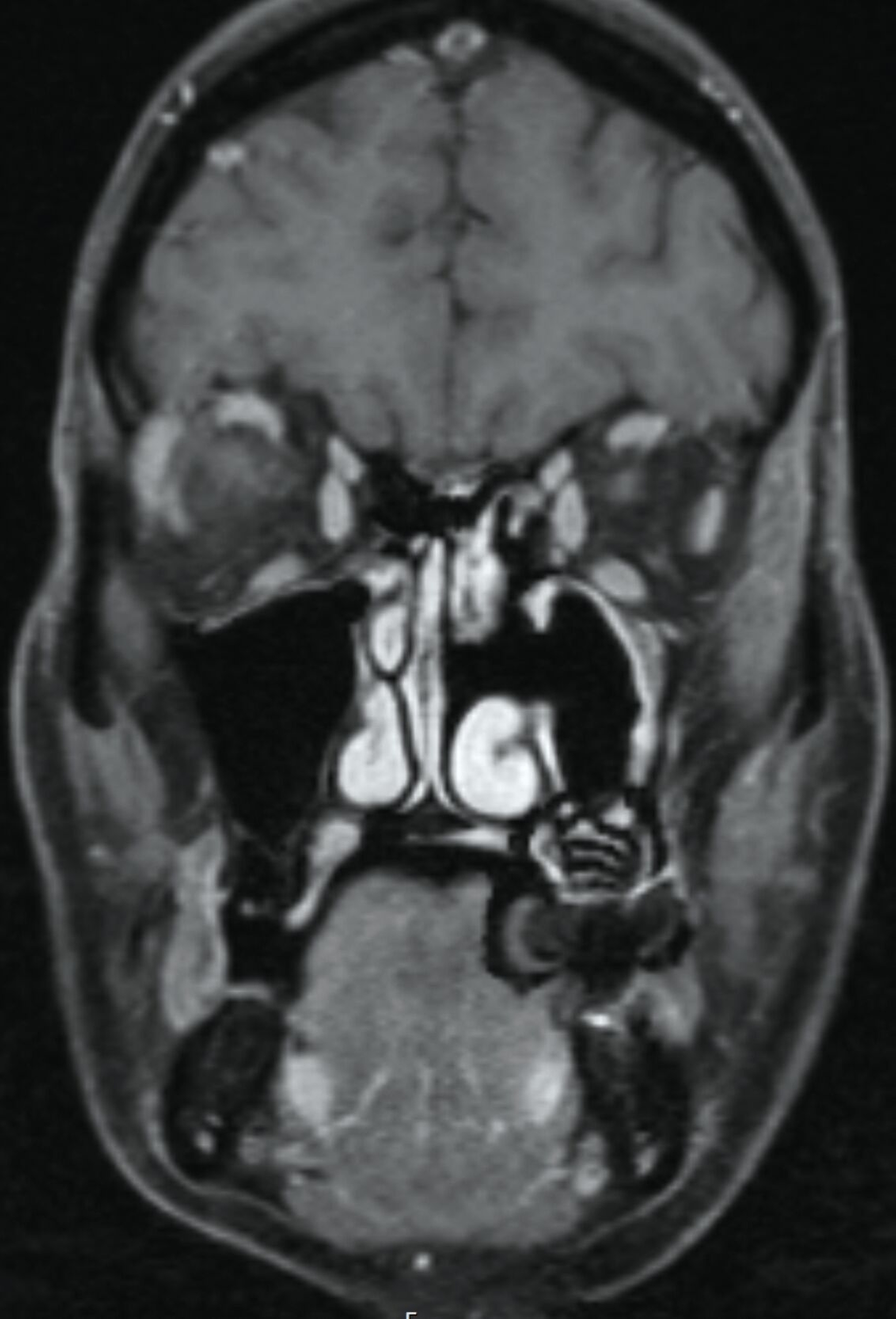
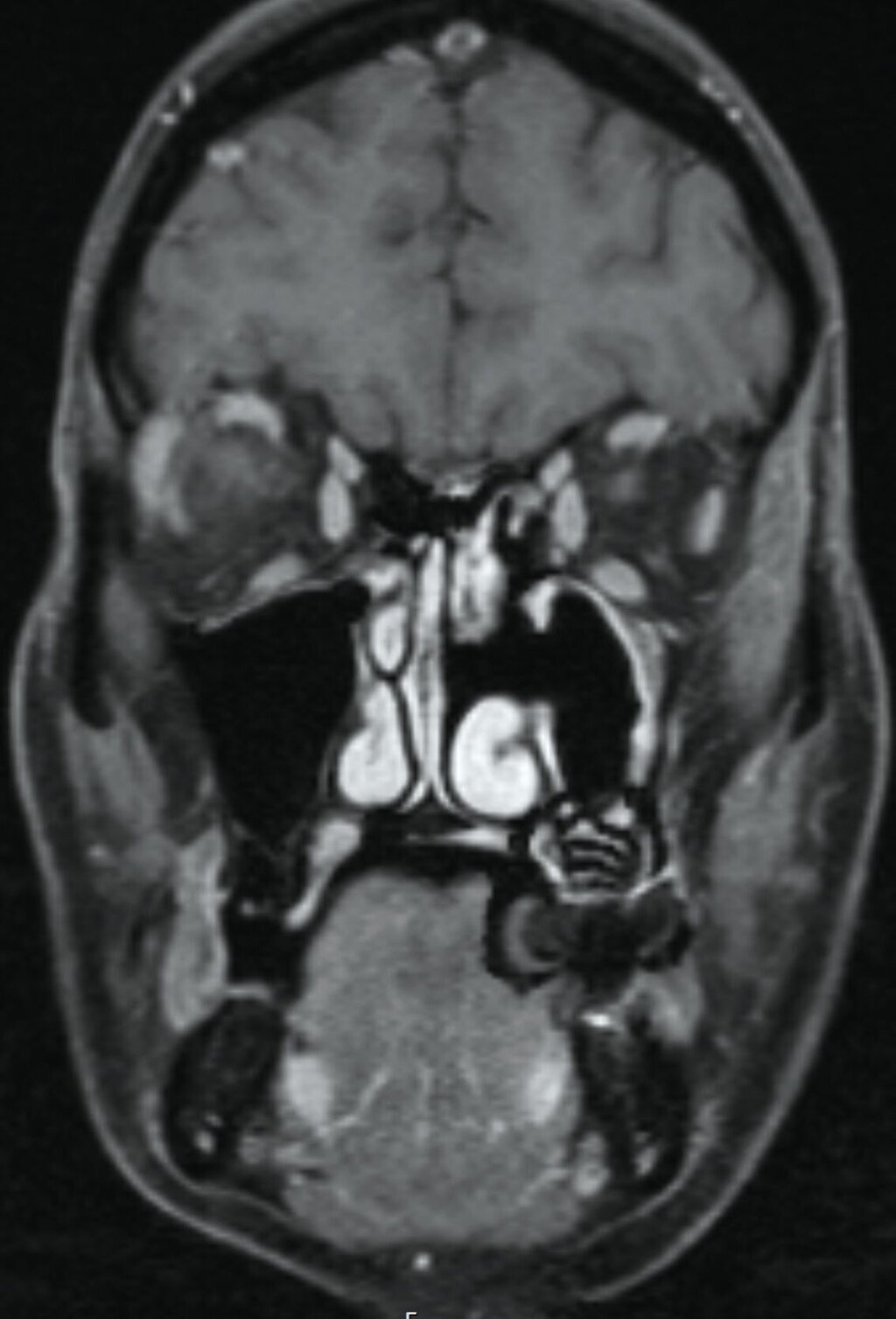
Im Verlauf stellte sich die Patientin trotz stringent eingehaltener Medikation mit erneut verstärkten Schmerzepisoden vor. Die Patientin assoziierte dies mit im Bereich der Kiefer – infolge einer im Vorfeld erfolgten Operation – vorhandenem Osteosynthesematerial zur Re-Fixierung des Kieferhöhlendeckels alio loco. Dies war von eitrigem Ausfluss aus der linken Nase begleitet. In der erweiterten Bildgebung mittels Magnetresonanztomografie zeigte die Patientin eine diffuse Kontrastmittelanhebung des Nervus infraorbitalis bildmorphologisch einer Neuritis entsprechend sowie eine diffuse Kontrastmittelanhebung des kranio-lateralen Kieferhöhlenknochens, teils mit Destruktion der kortikalen Strukturen, was den Verdacht einer Osteomyelitis nahelegte (Abbildung 4). Im zusätzlich angefertigten DVT konnte der Verdacht auf basale Aufhellung des linken Kieferhöhlenbodens bestätigt werden (Abbildung 5). Um eine definitive antimikrobielle Therapie und Diagnosesicherung zu ermöglichen, wurde die Entscheidung zur endoskopischen Probeentnahme gestellt.
Intraoperativ zeigte sich eine reizlose intakte Kieferhöhlenvorderwand mit Osteosyntheseschrauben ohne Anhalt für Lockerung oder Superinfektion (Abbildung 6). Die Schrauben wurden komplikationslos vollständig entfernt; die anteriore Kieferhöhlenwand zeigte sich als gut verheilt (Abbildung 7). Mittels transnasaler Endoskopie wurde über den vorhandenen Infundibulotomiedefekt eine mikrobiologische und histopathologische Probe entnommen. Klinisch zeigte sich eine Polyposa und gräulich-brauner Detritus.
Die histopathologische Befundung zeigte respiratorische Schleimhaut mit Metaplasien und invertierte Epithelverbände, die ins subepitheliale Stroma reichten. Histopathologisch entsprach der Befund einem invertierten Papillom ohne Karzinomnachweis, der Befund war in der Histologie nur anteilig erfasst. Mikrobiologisch wurde eine aerobe Mischflora nachgewiesen.
Postoperativ wurde nach Erhalt des mikrobiologischen Befunds eine spezifische Antibiotika-Therapie mit Cefaclor eingeleitet, die putride Exsudation sistierte. Der postoperative Heilungsverlauf zeigte sich unter der gewohnten Medikation unkompliziert und schmerzarm. Zur weiteren Therapie des invertierten Papilloms wurde eine weitere Operation mit navigierter endoskopischer Entfernung der Neoplasie geplant. Diese wurde komplikationslos durchgeführt. In der nun dreijährigen Nachsorge zeigte sich die Patientin ohne Anhalt für Rezidiv oder eine erneute eitrige Entzündung. Neben schmerzfreien Intervallen hat die Patientin unter Stress auch weiterhin schmerzhafte Episoden. Insgesamt ist sie mit der aktuellen Situation zufrieden.
Diskussion
Der vorliegende Fall illustriert eindrücklich das komplexe Geschehen bei Patienten mit chronischen Schmerzen. Auch wenn ein neuropathisches oder funktionelles Schmerzgeschehen vorliegt, muss bei entsprechender Zusatzsymptomatik eine parallel bestehende Pathologie ausgeschlossen werden. In der Handlungsempfehlung der Deutschen Gesellschaft für Allgemeinmedizin und Familienmedizin (DEGAM) ist dies als „Erkennen abwendbar gefährlicher Verläufe“ verankert [AWMF, 2013].
Im vorgestellten Fall hatte die Patientin schon eine jahrelange Vorgeschichte mit vielfachen Voroperationen und Entzündungsepisoden. Sie präsentierte sich mit einer „Mixed Pain“-Problematik, einer Schmerzsymptomatik mit neuropathischen und nozizeptiven Anteilen [Freynhagen et al., 2019], aber auch einer ausgeprägten funktionellen Schmerz-Komponente. Unter medikamentöser und psychosozialer Begleittherapie kam es zu einer für die Patientin zufriedenstellenden Verbesserung der Problematik.
Chirurgische Interventionen bei chronischen Schmerzpatienten sollten nur unter sorgsamer Abwägung des Nutzens erfolgen [Egle, 2003]. Man bewegt sich hier auf dem schwierigen Grat, die Patienten mit behandlungsbedürftigen Befunden zu selektieren und nicht durch unnötige Interventionen einen Circulus vitiosus mit rezidivierenden Schmerzen und darauf aufbauend immer erneuten Interventionen zu beginnen [Egle, 2003]. Vor allem bei der Erstvorstellung kann es schwierig sein, bei Patienten mit bereits bestehenden chronischen Schmerzen eine akute Problematik korrekt einzuordnen. Ein junges Alter und vorausgegangene häufige Arztwechsel können ein Hinweis für eine eher psychogene Schmerzproblematik sein [Egle, 2003]. Der bestehende Schmerz kann dann nur eingeschränkt als Hinweis auf ein kompliziertes Geschehen genutzt werden. Im vorliegenden Fall bot die Patientin allerdings auch klinische und diagnostische Befunde, die einen Anhalt für eine notwendige Intervention gaben.
Neben der chronischen Schmerzproblematik hatte die Patientin ein invertiertes Papillom. Hierbei handelt es sich um eine gutartige Neoplasie der Schleimhäute des Nasennebenhöhlensystems. Das Durchschnittsalter dieser Erkrankung liegt bei 53 Jahren, Männer sind häufiger betroffen und in fünf Prozent der Fälle tritt es bilateral auf [Neville, 2009]. Das invertierte Papillom macht 0,4 bis 5 Prozent der Neubildungen der Nasennebenhöhlen aus [Neville, 2009]. Charakteristisch ist das lokal aggressive Wachstum. Differenzialdiagnostisch kommen das exophytische oder das onkotische Papillom infrage.
Das invertierte Papillom betrifft am häufigsten die laterale Nasenwand / Sinus maxillaris, seltener die medialen Nasenanteile, den Sinus frontalis oder andere Lokalisationen (Mastoid, Mittelohr) [Wang und Noel, 2017]. Das Risiko für eine maligne Transformation liegt bei fünf bis zehn Prozent; Papillome des Sinus frontalis haben ein deutlich erhöhtes Entartungsrisiko. Invertierte Papillome haben ein hohes Rezidivrisiko [Mehrad et al., 2020], das teilweise mit bis zu 67 Prozent angegeben wird. Das Rezidivrisiko steigt bei jungem Alter zum Zeitpunkt der Ersterkrankung und unvollständiger Entfernung [Pahler Vor der Holte et al., 2020].
Ursächlich für das Entstehen eines invertierten Papilloms können chronische Entzündungen oder eine chronische Reizung der Schleimhäute durch Schweißrauch und organische Lösungsmittel sein [Wang und Noel, 2017]. Bei beruflicher Exposition für solche Noxen kann das invertierte Papillom deswegen als Berufskrankheit anerkannt werden. Die Infektion mit dem Humanen Papilloma Virus wird als weiterer ätiologischer Faktor diskutiert, hierfür gibt es jedoch keine eindeutige Evidenz [Govindaraj und Wang, 2014; Mohajeri et al., 2018; Mehrad et al., 2020; Pahler Vor der Holte et al., 2020].
Klinisch präsentiert sich ein invertiertes Papillom meist mit Epistaxis, purulentem Ausfluss, Obstruktion der Nasennebenhöhlen oder Kopfschmerzen [Neville, 2009]. Bei ausgedehnten Befunden mit Schädelbasis-Invasion können neurologische Defizite auftreten. Radiologische Befunde sind die meist einseitige Verschattung der Kieferhöhle, die Erosion des Knochens und gegebenenfalls fokale Hyperostosen [Neville, 2009]. Einen besonderen Stellenwert in der Diagnostik hat die Magnetresonanztomografie: Hier können gegebenenfalls „cerebriforme“ Formationen in der kontrastmittelverstärkten T1-Wichtung (contrast enhanced) oder auch in der T2-Wichtung dargestellt werden. Diese Formationen entsprechen der Ursprungslokalisation und vereinfachen damit die Planung einer vollständigen Entfernung – zusätzlich weist ein Verlust von cerebriformen Formationen auf eine Tendenz zur malignen Entartung hin [Ma et al., 2020].
Histologisch zeigt sich ein invertiertes Wachstum des Schleimhautepithels ins unterliegende Stroma bei intakter Basalmembran. Verhornungen sind eher selten – gegebenenfalls gibt es eine dünne parakeratotische Schicht, Schleimzellen und schleimgefüllte Mikrozysten. Variable Anteile epithelialer Atypie können vorkommen, eventuell mit Invasion durch Immunzellen. Bei histopathologisch vorliegender lokalisierter Keratinisierung oder mittelschwerer bis schwerer Dysplasie besteht der Verdacht auf eine maligne Transformation.
Die Therapie des invertierten Papilloms erfolgt endoskopisch, gegebenenfalls in Kombination mit einer offenen Resektion. Beide Verfahren können auch solitär angewandt werden, wobei unter kombinierten Verfahren die Rezidivrate geringer ist (67 Prozent rein offene Therapie, 29 Prozent kombinierte Therapie). Werden zusätzlich Navigationsverfahren angewandt, verringert sich diese bis auf sechs Prozent [Busquets und Hwang, 2006; Ahn et al., 2018; Goudakos et al., 2018]. Rezidive treten häufiger in den ersten zwei Jahren auf, es können aber auch Spätrezidive nach über zehn Jahren auftreten [Sbrana et al., 2019], dies unterstreicht die Notwendigkeit einer Langzeitnachsorge. Rauchen scheint das Risiko für ein Wiederauftreten des invertierten Papilloms zu erhöhen.
Fazit für die Praxis
Bei chronischen Schmerzpatienten muss sorgsam abgewogen werden, ob eine chirurgische Intervention erfolgen sollte, um einen Verstärkung von Somatisierungsvorgängen zu vermeiden.
Die Entstehung eines invertierten Papilloms der Nasennebenhöhlen kann durch chronische Entzündungen begünstigt werden.
Wegen des lokal-aggressiven Wachstums und der Entartungstendenz eines invertierten Papilloms sollte immer die vollständige chirurgische Entfernung erfolgen.
Das invertierte Papillom lässt sich zusammenfassend als lokal-aggressiver Tumor mit Entartungstendenz von fünf bis zehn Prozent und hoher Rezidivneigung beschreiben. Es stellt eine Differenzialdiagnose der einseitigen Kieferhöhlenverschattung dar (bis 17 Prozent, 2 Prozent Malignom-bedingt, 47 Prozent dentogen-inflammatorisch bedingt, 36 Prozent nicht-zahnbezogene Entzündung [Turfe et al., 2019]). Die vollständige chirurgische Entfernung ist Standardtherapie, eine Nachsorge ist aufgrund der Rezidivneigung indiziert.
Literaturliste
Ahn, S. H., E. J. Lee, J. W. Kim, K. H. Baek, H. J. Cho, J. H. Yoon and C. H. Kim (2018). "Better surgical outcome by image-guided navigation system in endoscopic removal of sinonasal inverted papilloma." J Craniomaxillofac Surg 46(6): 937-941.
(AWMF, 2013). S1-Handlungsempfehlung Chronischer Schmerz, Deutsche Gesellschaft für Allgemeinmedizin und Familienmedizin, AWMF.
Busquets, J. M. and P. H. Hwang (2006). "Endoscopic resection of sinonasal inverted papilloma: a meta-analysis." Otolaryngol Head Neck Surg 134(3): 476-482.
Egle, U. T. (2003). Handbuch chronischer Schmerz: Grundlagen, Pathogenese, Klinik und Therapie aus bio-psycho-sozialer Sicht ; mit 106 Tabellen, Schattauer.
Freynhagen, R., H. A. Parada, C. A. Calderon-Ospina, J. Chen, D. Rakhmawati Emril, F. J. Fernandez-Villacorta, H. Franco, K. Y. Ho, A. Lara-Solares, C. C. Li, A. Mimenza Alvarado, S. Nimmaanrat, M. Dolma Santos and D. Ciampi de Andrade (2019). "Current understanding of the mixed pain concept: a brief narrative review." Curr Med Res Opin 35(6): 1011-1018.
Goudakos, J. K., S. Blioskas, A. Nikolaou, K. Vlachtsis, P. Karkos and K. D. Markou (2018). "Endoscopic Resection of Sinonasal Inverted Papilloma: Systematic Review and Meta-Analysis." Am J Rhinol Allergy 32(3): 167-174.
Govindaraj, S. and H. Wang (2014). "Does human papilloma virus play a role in sinonasal inverted papilloma?" Curr Opin Otolaryngol Head Neck Surg 22(1): 47-51.
Ma, S., M. Xian, B. Yang, G. Fang, H. Lou, W. Yu, X. Wang, J. Xian, X. Song, E. Fan, Y. Li, L. Zhang and C. Wang (2020). "Pathological changes from the originating to the peripheral sites of Sinonasal Inverted Papilloma are the underlying mechanisms of preoperative MRI-tumor origin prediction." Rhinology 58(1): 59-65.
Mehrad, M., E. B. Stelow, J. A. Bishop, X. Wang, W. Haynes, D. Oliver, R. D. Chernock and J. S. Lewis, Jr. (2020). "Transcriptionally Active HPV and Targetable EGFR Mutations in Sinonasal Inverted Papilloma: An Association Between Low-risk HPV, Condylomatous Morphology, and Cancer Risk?" Am J Surg Pathol 44(3): 340-346.
Mohajeri, S., C. Lai, B. Purgina, D. Almutairi, T. Baghai, J. Dimitroulakos and S. Kilty (2018). "Human papillomavirus: An unlikely etiologic factor in sinonasal inverted papilloma." Laryngoscope 128(11): 2443-2447.
Neville, D., Allen, Bouquot (2009). Oral & Maxillofacial Pathology. Philadelphia, Sounders, Elsevier.
Pahler Vor der Holte, A., I. Fangk, S. Glombitza, L. Wilkens and H. J. Welkoborsky (2020). "Prognostic factors and risk factors for development and recurrence of sinonasal papillomas: potential role of different HPV subtypes." Eur Arch Otorhinolaryngol 277(3): 767-775.
Sbrana, M. F., R. F. R. Borges, F. R. Pinna, D. B. Neto and R. L. Voegels (2019). "Sinonasal inverted papilloma: rate of recurrence and malignant transformation in 44 operated patients." Braz J Otorhinolaryngol.
Turfe, Z., A. Ahmad, E. I. Peterson and J. R. Craig (2019). "Odontogenic sinusitis is a common cause of unilateral sinus disease with maxillary sinus opacification." Int Forum Allergy Rhinol 9(12): 1515-1520.
Wang, M. J. and J. E. Noel (2017). "Etiology of sinonasal inverted papilloma: A narrative review." World J Otorhinolaryngol Head Neck Surg 3(1): 54-58.













