Extrusionstherapie nach subkrestalen Frakturen an Oberkiefer-Inzisiven
Fall 1:
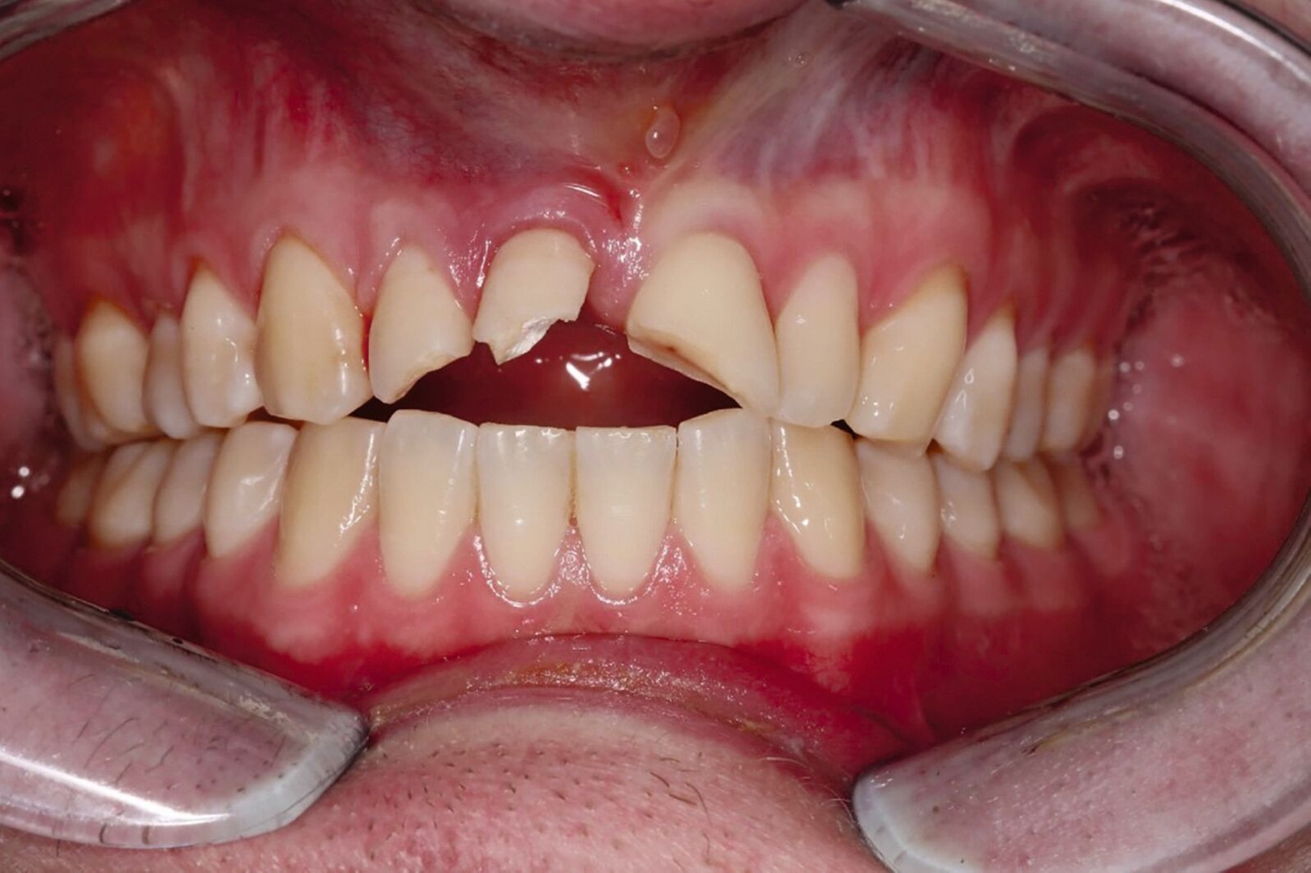
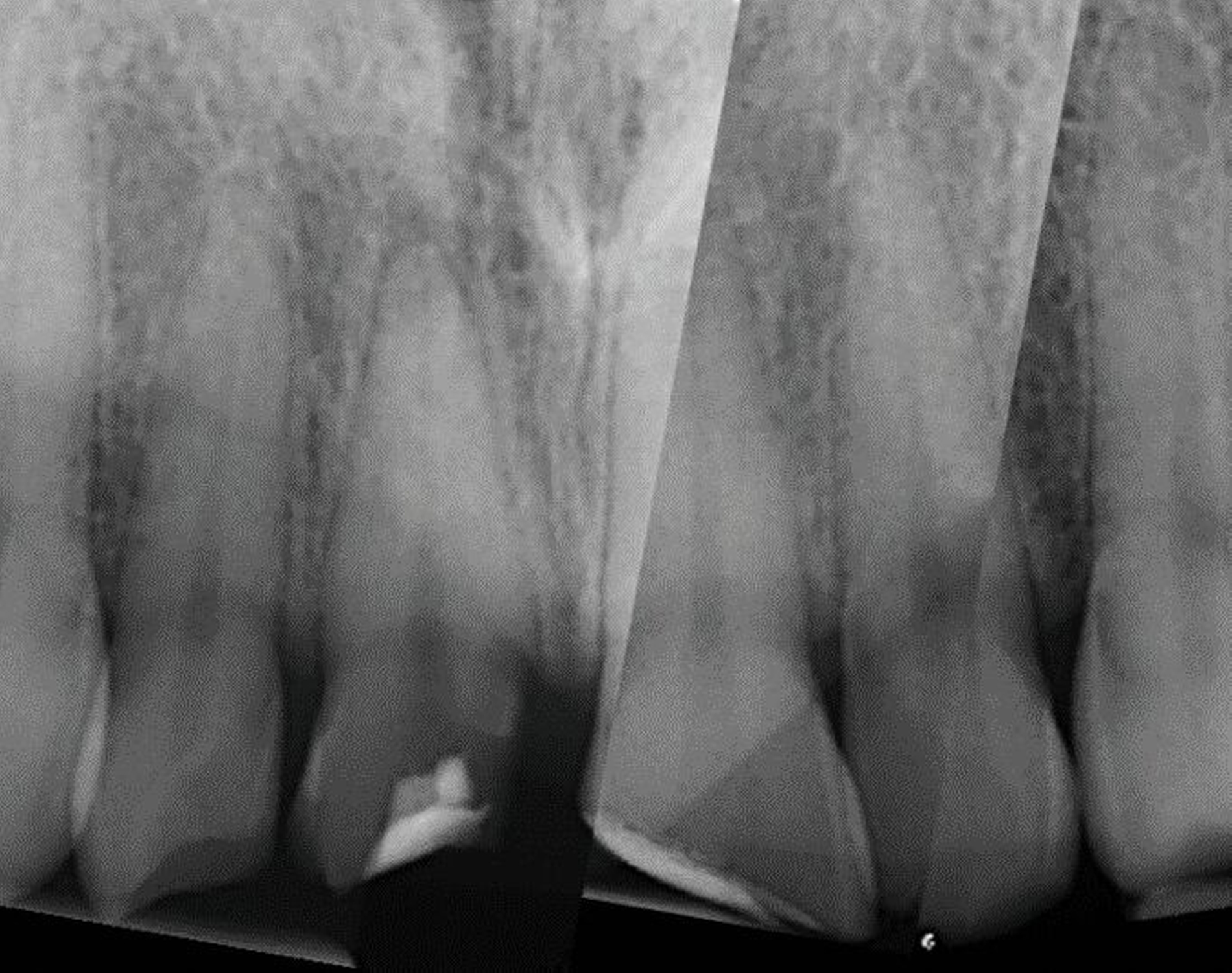
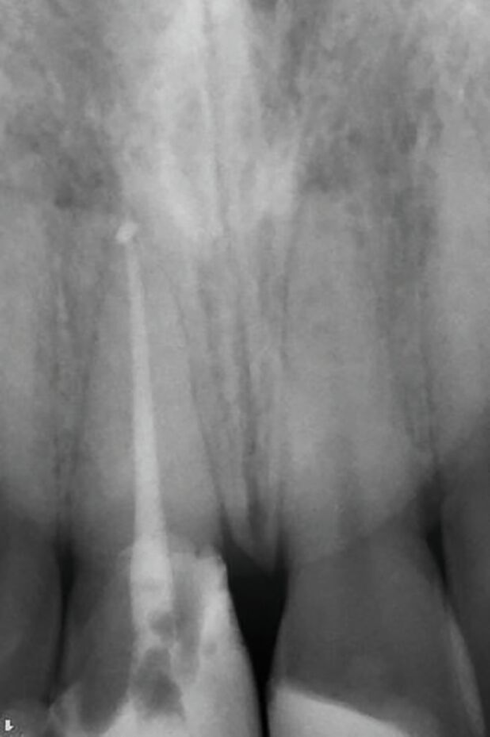
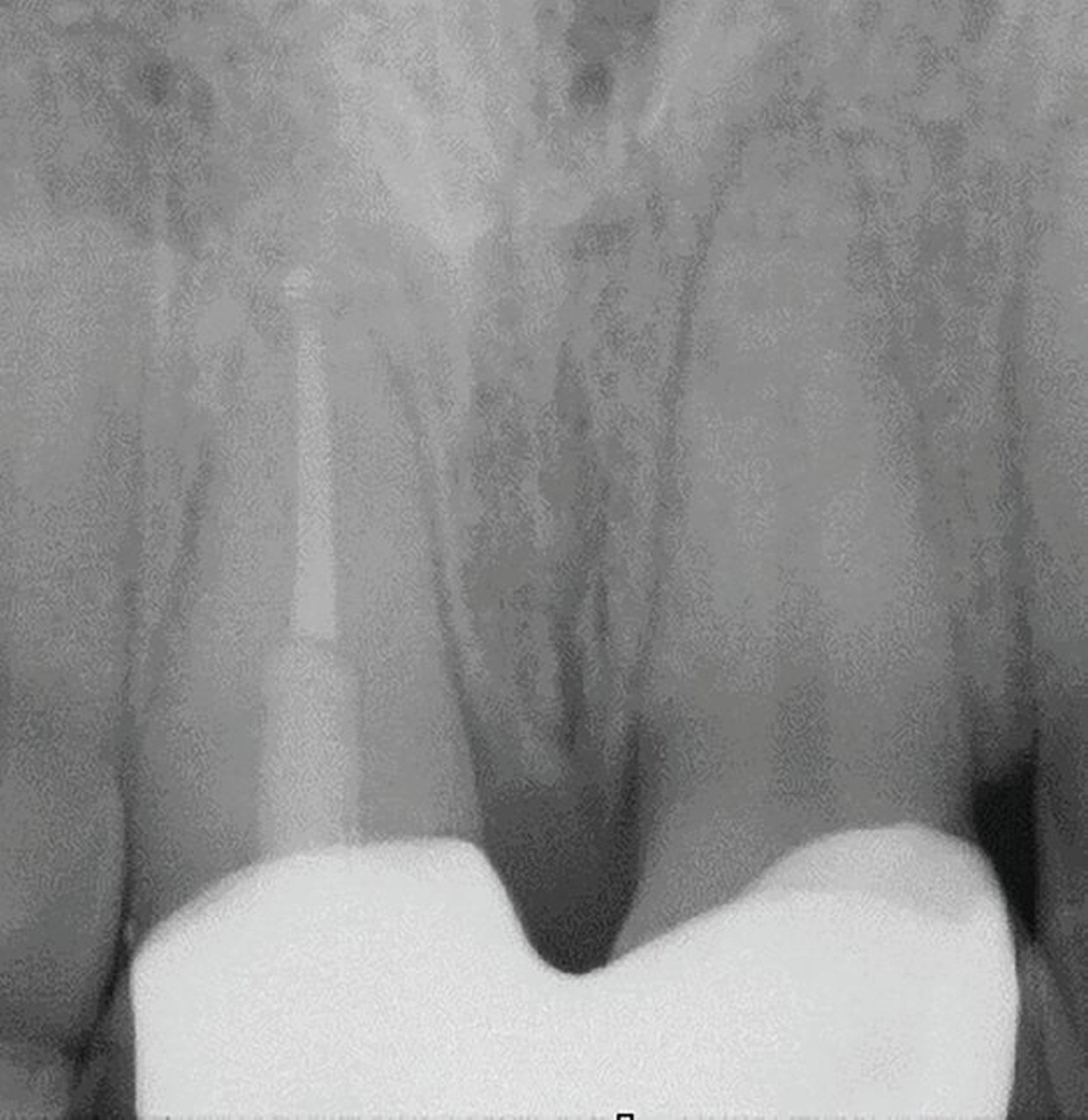
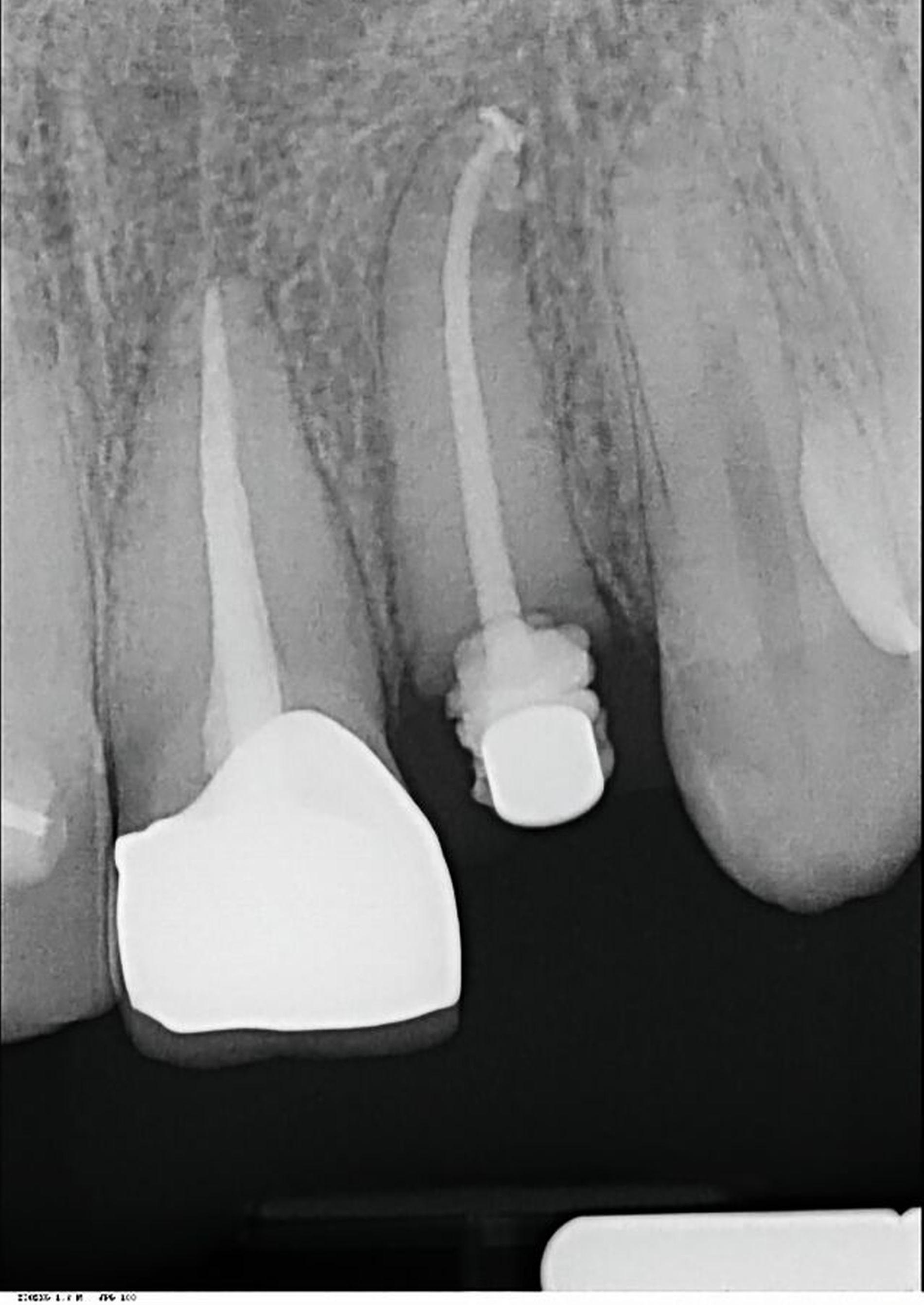
Ein 22-jähriger Patient stellte sich im Februar 2020 im zahnärztlichen Notdienst der Klinik für Zahn-, Mund- und Kieferkrankheiten Mainz vor. Aufgrund einer Synkope war er mit dem Oberkiefer auf den Rand einer Badewanne gestürzt. Intraoral zeigte sich der Zahn 12 mit einer Schmelz-Dentin-Fraktur ohne Pulpabeteiligung (unkomplizierte Kronenfraktur), der Zahn 11 mit einer Kronen-Wurzel-Fraktur mit Pulpabeteiligung und der Zahn 21 mit einer Schmelz-Dentin-Fraktur mit Pulpabeteiligung (komplizierte Kronenfraktur). Die Zähne zeigten keine erhöhten Lockerungsgrade oder Dislokationen (Abbildung 2). Herausfordernd für die weitere Versorgung war der Frakturverlauf an Zahn 11, an dem die Frakturkante palatinal tief subgingival und mesio-palatinal auch subkrestal lag. Röntgenologisch konnte die klinisch gestellte Verdachtsdiagnose bestätigt und eine Wurzelfraktur ausgeschlossen werden (Abbildung 3).
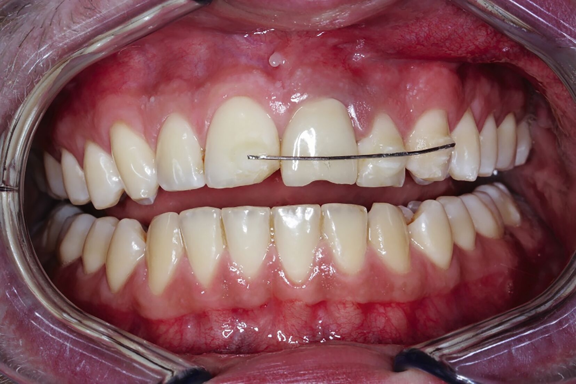
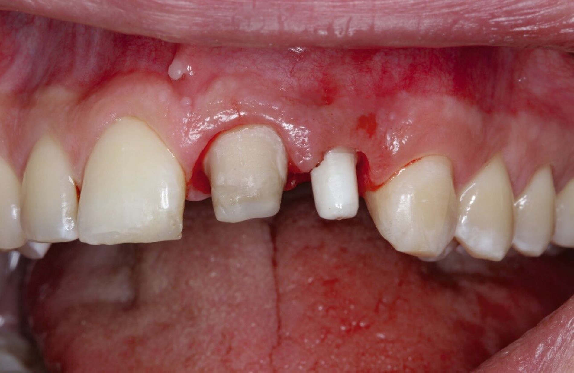
Im Rahmen der Notfallversorgung wurden die Dentinwunden an Zahn 12 provisorisch mit Glasionomerzement verschlossen und die Zähne 11 und 21 mit Kalziumhydroxid-Präparaten direkt überkappt und anschließend dentinadhäsiv versiegelt. Im Verlauf wurde ein Wax-Up für direkte provisorische Kompositaufbauten hergestellt (Abbildung 4). Zur semipermanenten Versorgung musste per Elektrotom mesial und palatinal an Zahn 11 Gingiva exzidiert werden, um einen adäquaten Zugang und eine suffiziente Kontrolle des Arbeitsfeldes zu gewährleisten (Abbildung 5). Durch die direkte provisorische Restauration war der Patient sofort versorgt. Er konnte ohne größere Beeinträchtigung am sozialen Leben teilnehmen und hatte so Zeit für die endgültige Therapieentscheidung (Abbildungen 6 bis 8).
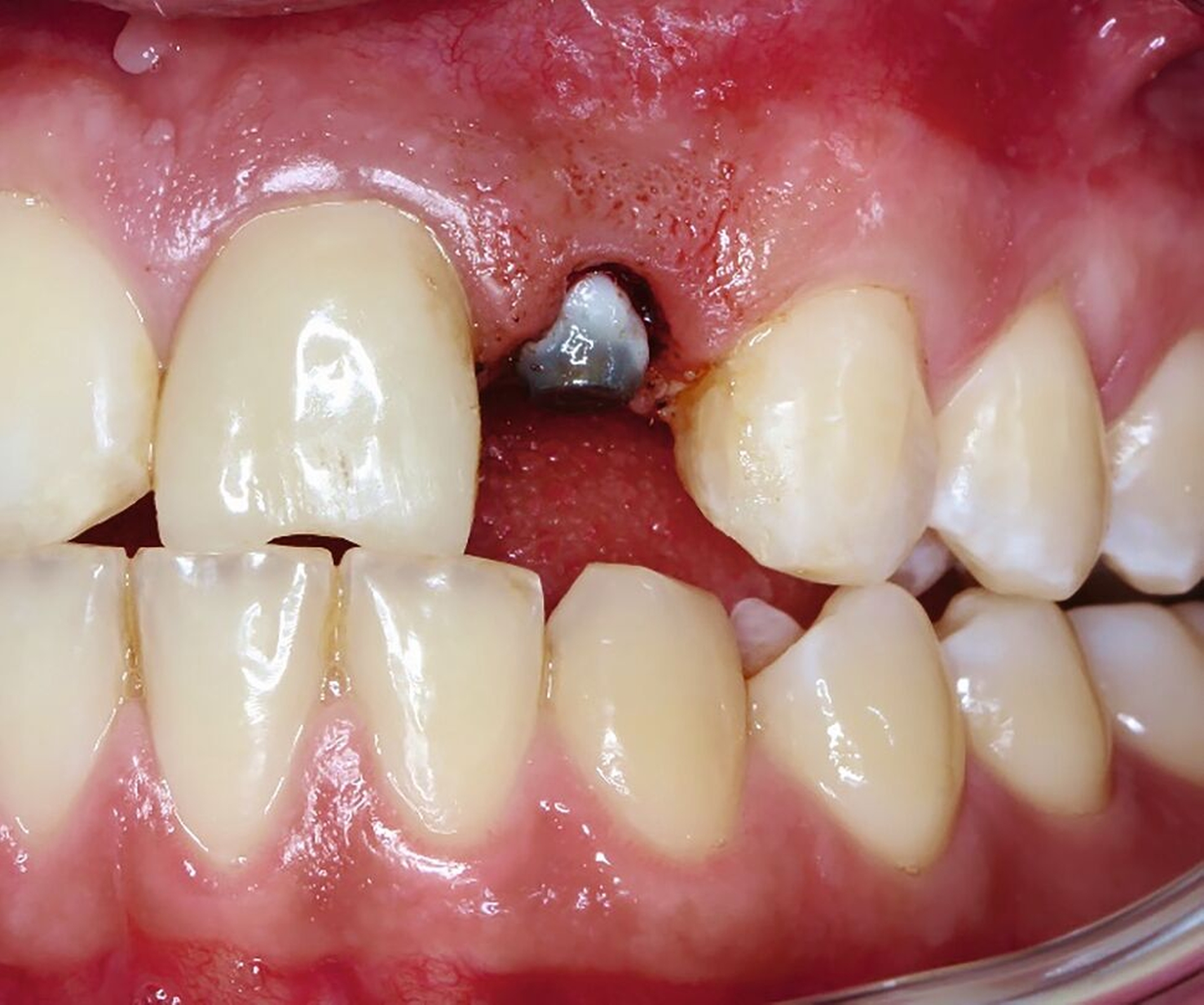
Dem Patienten war der Erhalt der natürlichen Dentition wichtig. Dementsprechend wurde er darüber aufgeklärt, dass Zahn 11 aufgrund des tiefen Frakturverlaufs nicht ohne weiteres restaurativ versorgt werden kann. Deshalb wurde zusammen mit der Poliklinik für Kieferorthopädie die Extrusion des Zahnes – ohne kieferorthopädische Behandlung der Malokklusion – geplant. Da Zahn 11 Symptome einer irreversiblen Pulpitis zeigte, bestand die Indikation zur endodontischen Therapie (Abbildung 9).
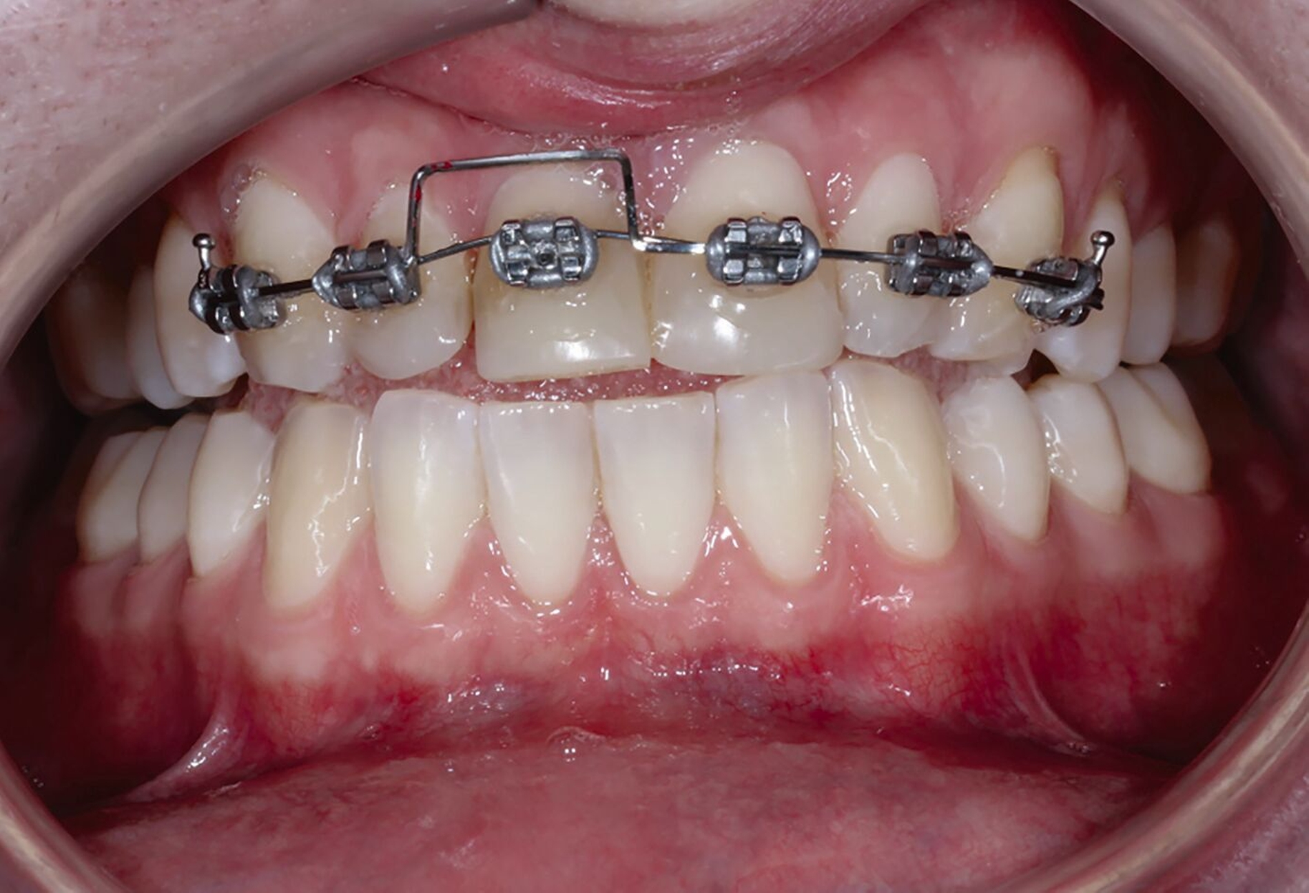
Nachfolgend konnte die Multibracket-Apparatur (MBA) für die Extrusion in Segmentbogentechnik befestigt werden (Abbildung 10). Dazu wurden die zu beklebenden Kompositflächen mit Aluminiumoxid-Pulver gestrahlt und mit einem Silan-haltigen Haftvermittler benetzt. Anschließend wurde drei Monate die kieferorthopädische Extrusionstherapie durchgeführt (Abbildungen 10 bis 12). Der Patient stellte sich wöchentlich zur Fibrotomie vor, um eine Verlagerung der Gingiva nach koronal zu vermeiden. Aufgrund der nach koronal gerichteten Bewegung erfolgte im Bedarfsfall das Einkürzen der Schneidekante.
In der zwischenzeitlich angefertigten Einzelzahnaufnahme sind die orthopädisch bedingten Umbauprozesse anhand eines deutlich erweiterten Parodontalspalts und an der Verlagerung des Zahnes nach koronal zu erkennen (Abbildung 13). Auffällig ist, dass approximal ein Knochenumbau stattgefunden hat, was im Rahmen der kieferorthopädischen Extrusionstherapie zu erwarten war.
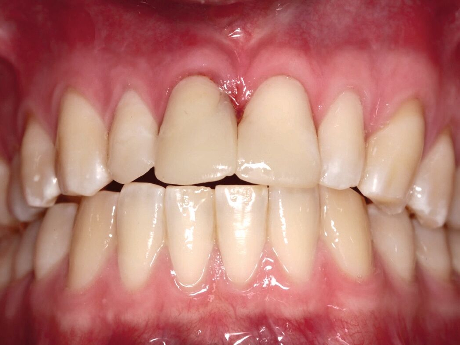
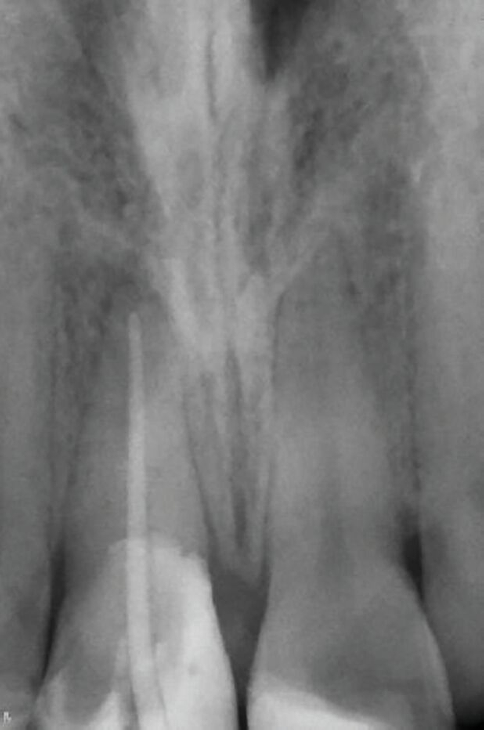
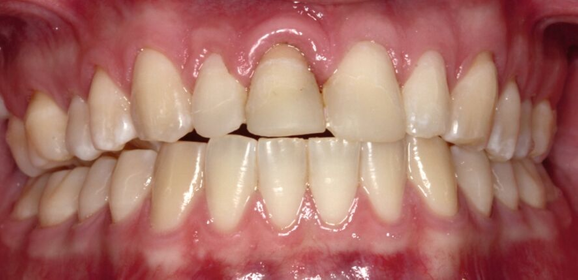
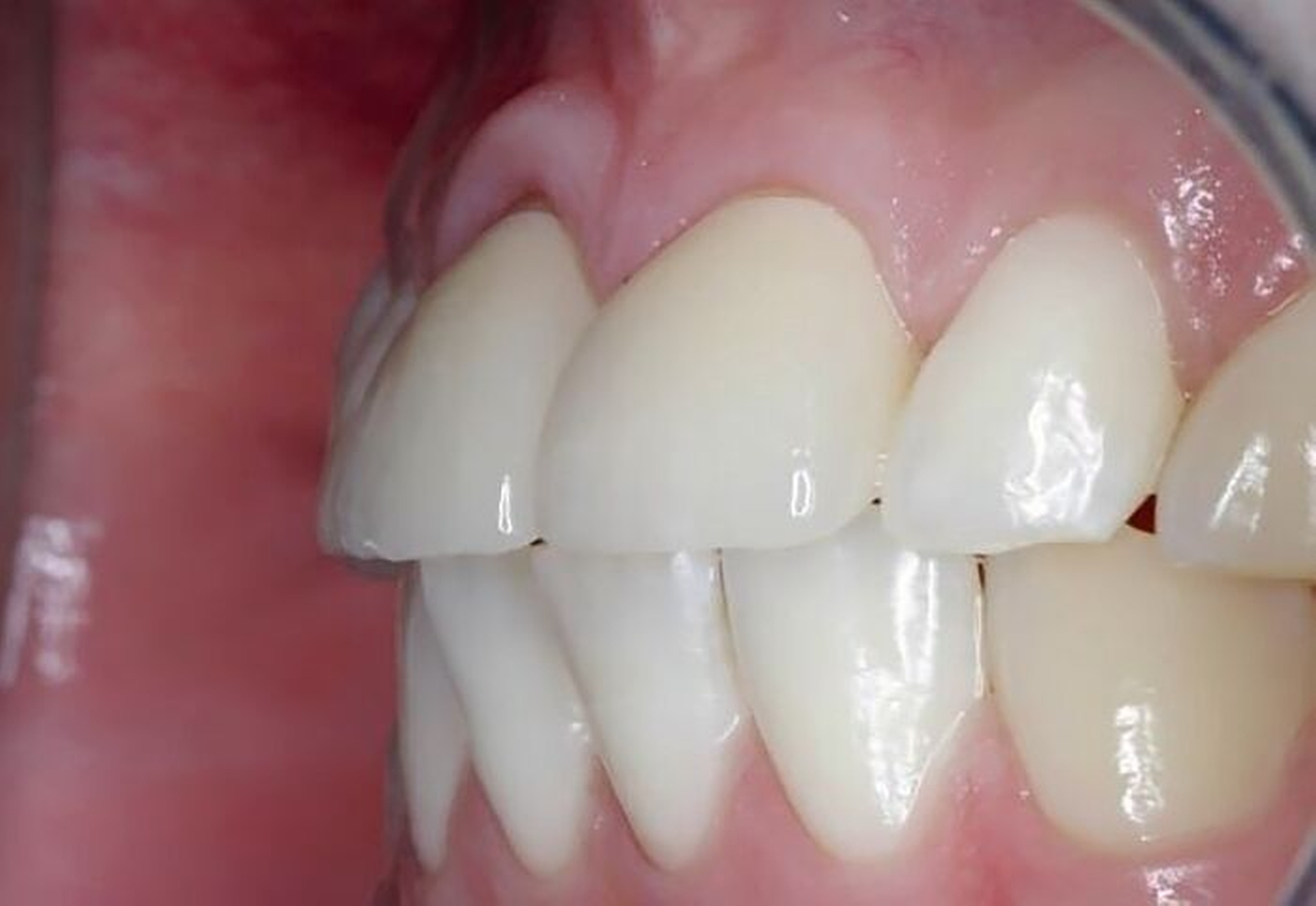
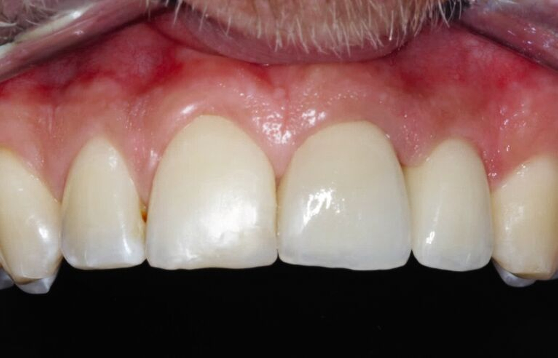
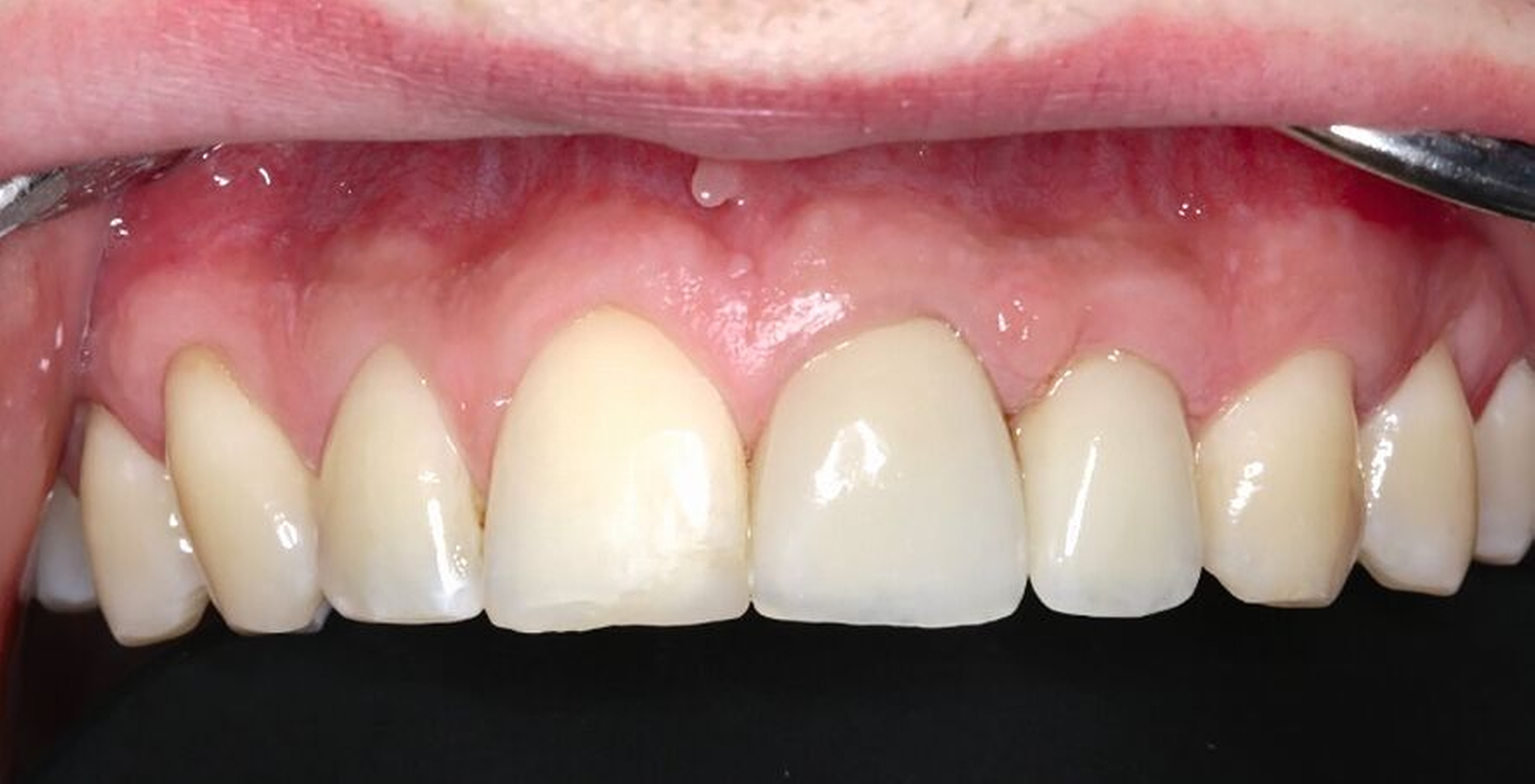
Die Zähne 11 und 21 wurden nach Abschluss der kieferorthopädischen Behandlung mit Lithiumdisilikat-Keramikkronen versorgt (Abbildungen 14 bis 16). Durch die Extrusion waren das Fassen der Frakturkante und die Etablierung des Ferrule-Effekts nun ohne Probleme möglich. Die Eingliederung der Arbeit konnte unter absoluter Trockenlegung erfolgen. Die nach dem Einsetzen angefertigte Einzelzahnaufnahme zeigt die präzise Adaptation der Kronen sowie Umbauprozesse des Alveolarkamms. Drei Jahre nach Therapieabschluss zeigt sich eine suffiziente klinische Situation (Abbildung 17).

Fall 2:
Ein 29-jähriger Patient wurde nach Lockerung seiner Traumaschienung bei uns vorstellig. Er berichtete über ein vier Tage zuvor erlittenes Trauma und eine Erstversorgung alio loco, bei der eine Lockerung (Grad II) an Zahn 22, eine Beschädigung der Krone 21 sowie eine Schmelzfraktur an Zahn 11 festgestellt wurde (Abbildung 18). Eine Röntgendiagnostik war alio loco nicht erfolgt.
Anhand der von uns durchgeführten Einzelzahnaufnahme konnte die alio loco gestellte Erstdiagnose korrigiert werden: Wurzelfraktur des Zahnes 22 mit Kommunikation zur Mundhöhle (Abbildung 19). Der Patient favorisierte nach Diagnosesicherung zunächst Zahnersatz an 22 durch ein Sofortimplantat, weshalb eine DVT-Aufnahme zur weiteren Planung angefertigt wurde (Abbildung 20). In der Aufnahme zeigte sich jedoch, dass keine suffiziente vestibuläre Knochenlamelle vorhanden und somit der Erfolg eines Sofortimplantats nicht sicher vorhersagbar war. Nach umfassender Aufklärung entschied sich der Patient für den Zahnerhalt und eine Extrusion mit Magneten (Abbildungen 21 bis 24).
Nachdem eine Wurzelkanalbehandlung durchgeführt worden war, wurde der Magnet adhäsiv befestigt und die Zahnwurzel bis circa 4 mm über das Knochenniveau bewegt. Hierfür waren wochenweise Recalltermine notwendig, um den Magneten in der Schiene umzupositionieren und durch suprakrestale Fibrotomie die parodontalen Fasern zu lösen (Abbildung 22 und 23).
Als die Wurzel des Zahnes 22 ausreichend extrudiert war, wurde ein adhäsiver Stift-Stumpf-Aufbau inseriert (Abbildungen 24 und 25). Die Krone an Zahn 21 wurde entfernt, da diese durch das Trauma inzisal beschädigt worden war und der Patient eine Neuanfertigung wünschte.
So konnten beide Lithiumdisilikat-Keramikkronen im Labor verblockt hergestellt werden, um einer unerwünschten Re-Intrusion vorzubeugen. Abbildung 26 zeigt die Situation zur Aufnahme der prothetischen Versorgung. In Abbildung 27 ist die Situation nach Einsetzen mit adhäsivem Befestigungskomposit zu sehen. Bei der Kontrolle ein Jahr nach Einsetzen der Versorgung zeigt sich klinisch der Therapieerfolg (Abbildung 28).
Problematisch bei der Therapie tiefer Kronen-Wurzel-Frakturen ist oftmals eine Verletzung des suprakrestalen Attachements, das heißt der Bindegewebs- und Saumepithelstruktur oberhalb des Alveolarknochenrandes (Abbildung 1) [Caton et al., 2018]. Bei Frontzahntraumata liegt häufig vestibulär ein supragingivaler Defektverlauf vor, während die Zahnfrakturlinie palatinal weit nach subgingival reichen kann [Krastl et al., 2008]. Resultat von Restaurationsrändern im Gebiet des suprakrestalen Attachments sind in der Regel fortschreitender Attachmentverlust und/oder parodontale Entzündungen [Carnevale et al., 1983; Parma-Benfenali et al., 1985].
Der gingivale Phänotyp wird durch die Dicke der Gingiva sowie durch die Breite der freien und befestigten Gingiva und der interdentalen Papille definiert. Klinisch neigt der dünne gingivale Phänotyp bei Verletzungen des suprakrestalen Attachments eher zur Bildung von Rezessionen, während der dicke Phänotyp eher zur Bildung von parodontalen Taschen tendiert [Sanavi et al., 1998]. Die vertikale Dimension des suprakrestalen Attachments beträgt je nach Studie im Durchschnitt 2 – 4 mm und variiert interindividuell [Vacek 1994; Schmidt et al., 2013]. Für die Therapieplanung Trauma-bedingter Zahnhartsubstanzdefekte sollten daher Aspekte wie der gingivale Phänotyp, die Breite der keratinisierten Gingiva und der Abstand der Frakturkante zum Alveolarknochen berücksichtigt werden.
Alternative Therapieoptionen
Grundsätzlich bestehen diverse Therapiemöglichkeiten nach traumatisch bedingten Zahnhartsubstanzdefekten bleibender Zähne, die das suprakrestale Attachment verletzen. Diese werden im Folgenden erläutert.
Chirurgische Kronenverlängerung
Die chirurgische Kronenverlängerung hat zum Ziel, durch gezielte Ostektomie ausreichend Abstand zwischen Restaurationsrand und Alveolarkammkante herzustellen. Bei Patienten mit dickem gingivalem Phänotyp und ausreichend Keratinisierung kann der Gingivarand exzidiert und nach der Ostektomie re-adaptiert werden [Caton et al., 2018]. Ist das Band der mastikatorischen Mukosa zu schmal, sollte ein Voll-Spaltlappen mit apikaler Reposition gewählt werden [Zuhr et al., 2011]. Bei der Ostektomie sollte eine physiologische Knochenarchitektur geschaffen und scharfe Kanten sollten vermieden werden. Die chirurgische Kronenverlängerung bietet sich in der Front allerdings nur bedingt an, da es zur Beeinträchtigung der Ästhetik kommen kann. Dementsprechend ist diese Behandlungsalternative meist dem Seitenzahnbereich vorbehalten oder Fällen, in denen die Ostektomie rein palatinal erfolgen kann.
Chirurgische Extrusion
Die chirurgische Extrusion ist im Grunde eine intentionelle Avulsion unter kontrollierten Bedingungen. Bei dieser Therapieoption wird der frakturierte Zahn möglichst „atraumatisch“ extrahiert, replantiert und weiter koronal gelegen geschient [Plotino et al., 2021]. Gegebenenfalls kann eine Drehung des Zahnes um 180 Grad sinnvoll sein, um die Defektgrenzen weiter nach supragingival zu legen [Plotino et al., 2020; DGMKG und DGZMK, 2022]. Analog zur Therapie nach Avulsion ist es wichtig, die Wurzeloberfläche nicht zu berühren, um das parodontale Ligament (PDL) zu schonen [DGMKG und DGZMK, 2022]. Auch die „atraumatische“ Extraktion ist für die parodontale Heilung ohne Ankylose und zur Vermeidung von Wurzelresorptionen wichtig [Krug et al., 2018]. Vorteil der chirurgischen Extrusion gegenüber der kieferorthopädischen Extrusion ist die kürzere Behandlungsdauer, jedoch ist im Vergleich das Wurzelresorptionsrisiko erhöht und eine anschließende Wurzelkanalbehandlung notwendig [Kim et al., 2009].
Kompositversorgung/ Kastenbodenelevation
Frakturkanten oder Kavitätenböden können in einigen Fällen direkt im Sinne einer „Proximal Box Elevation“ oder „Deep Margin Elevation“ versorgt und/oder zugänglich gemacht werden. Durch diese Techniken lassen sich auch moderat tiefe Defekte adäquat fassen [Kuper et al., 2012].
Grundvoraussetzung hierfür sind hoch polierbare Komposite, die möglichst spaltfrei mit dem Kavitätenrand abschließen und einen glatten Übergang aufweisen [Lührs et al., 2020]. Zur Auswahl stehen unter anderem die modifizierte Matrizentechnik und deren Abwandlungen sowie die matrizenlose Technik nach Frese [Magne et al., 2012; Frese et al., 2014]. Verläuft der Restaurationsrand im koronalen Anteil des Saumepithels, gilt dies bei perfektem Randschluss als akzeptabel [Konradsson et al., 2005]. Diese Methoden sind jedoch techniksensitiv und finden ihre Limitation in der Verletzung des bindegewebigen Attachments. Einstrahlende Sharpey-Fasern benötigen naturgemäß Wurzelzement, in das sie inserieren können.
Extraktion mit anschließender Lückenversorgung
Zu den Therapieoptionen nach Zahnextraktion gehören im jugendlichen Alter der kieferorthopädische Lückenschluss, die einflügelige Adhäsivbrücke oder die autogene Zahntransplantation [DGMKG und DGZMK, 2022]. Im Erwachsenengebiss stellt die Implantation eine weitere Alternative dar. Zu beachten ist jedoch, dass es auch hier zu Komplikationen wie Resorptionen, Hart- und Weichgewebeverlust, oder wachstumsbedingten Infrapositionen kommen kann [Zitzmann et al., 2015; Mameno et al., 2020]. Die ausgiebige Diskussion der Lückenversorgungsmöglichkeiten würde den Rahmen dieses Artikels sprengen, deshalb sei hier auf die einschlägige Fachliteratur und nicht zuletzt auf die in dieser Fachzeitschrift erschienen Artikelreihe „Die Einzelzahnlücke – Optionen der Versorgung“ verwiesen (zm 4/2022).
Diskussion
In beiden Fällen wäre eine Sofortimplantation aufgrund von fehlendem vestibulärem Knochen möglicherweise problembehaftet gewesen. Und ein rein adhäsiver Aufbau ohne weitere Maßnahmen wäre in den dargestellten Fällen aufgrund der Verletzung des suprakrestalen Attachments nicht möglich gewesen. Auch ein Platzieren des Restaurationrandes koronal des suprakrestalen Attachments hätte ein ästhetisch insuffizientes Ergebnis nach sich gezogen, stellt aber prinzipiell eine wenig invasive Therapieoption dar.
Gegen eine chirurgische Kronenverlängerung entschieden wir uns in beiden Fällen aufgrund eines konsekutiv resultierenden unharmonischen Gingivaverlaufs. Die chirurgische Extrusion wäre in beiden Fällen eine mögliche Therapieoption gewesen, wurde aber patientenseitig abgelehnt. Eine Kastenbodenelevation war in Fall 1 möglich und wurde als vorübergehende Primärversorgung gewählt; langfristig wurde der Defekt nach der Extrusion aber durch Überkronung gefasst.
In Fall 1 wurde die schnelle kieferorthopädische Extrusion mittels Segmentbogentechnik vorgenommen. Hier werden höhere Kräfte (50–60 cN) als bei der regulären kieferorthopädischen Bewegung angewandt [Luís et al., 2003]. Dementsprechend belaufen sich die Bewegungszeiten bei der klassischen langsamen kieferorthopädischen Bewegung auf 1 – 2 mm pro Monat und auf 3 – 4 mm pro Monat bei der schnellen kieferorthopädischen Bewegung [Prapas et al., 2008].
Sehr häufig ist bei tief frakturierten Zähnen ohne ausreichende Retention mit eröffneter Pulpa die Indikation zur Stiftversorgung gegeben. Durch die schnelle Zahnbewegung wird das PDL gestreckt und neu ausgerichtet. Dadurch entsteht wenig bis keine Verlagerung der Knochenkante nach koronal. Zusätzlich sollten, um diese Verlagerung zu vermeiden, regelmäßige Fibrotomien sowie Instrumentierungen des nach koronal verlagerten Wurzelzements durchgeführt werden, um ein „Mitwandern“ des Weichgewebes zu verhindern [Carvalho et al., 2006]. Als unerwünschte Wirkungen dieser Therapieform können neben der Re-Intrusion in seltenen Fällen auch Wurzelresorptionen auftreten [Han et al., 2005].
In Fall 2 wurde die Extrusion mit einem Magneten durchgeführt. Hier wird mittels Säure-Ätz-Technik ein Magnet mit 3 mm Durchmesser auf den verbliebenen Wurzelrest geklebt. Der Gegenmagnet wurde im Abstand von circa 2 mm in eine Tiefziehschiene einpolymerisiert. Dadurch war der Patient gleichzeitig für die Extrusionszeit provisorisch versorgt. Hilfreich ist hier ein im Vorfeld angefertigter, wenig resilienter Platzhalter. Des Weiteren hat dieses Vorgehen den Vorteil, dass die axiale Ausrichtung bereits optimal angepasst werden kann. Nach Bedarf sollten der Magnet weiter nach inzisal versetzt und eine Fibrotomie durchgeführt werden, bis der Wurzelrest ausreichend extrudiert ist.
Eine Retentionsphase von zumindest drei bis sechs Monaten sollte nach der Extrusion eingehalten werden, wobei die Daten in der Literatur heterogen sind [Emerich-Poplatek et al., 2005; Prapas et al., 2008]. Die Compliance des Patienten sollte für diese Therapieform gut sein. Die Prognose solcher Art versorgter Zähne ist – bei adäquater Hygiene und regelmäßigem Recall – als gut einzustufen, da die knöcherne und die weichgewebige Architektur intakt bleiben, was vor allem im ästhetischen Bereich vorteilhaft ist [Elkhadem et al., 2014].
In beiden Fällen führte die Extrusion zum erwünschten Therapieergebnis und erfüllte die Patientenerwartungen. Die beiden vorgestellten Fälle, aber auch die wissenschaftliche Datenlage legen nahe, dass auch tief frakturierte Zähne adäquat erhalten werden können. Da Frontzahntraumata häufig bei jungen Patienten auftreten, bieten diese Verfahren die Möglichkeit, Zähne wenig-invasiv zu erhalten, somit können restaurative Zyklen in die Zukunft verschoben werden [Schwendicke et al., 2017; DGMKG und DGZMK, 2022].
Literaturliste
Andreasen, G.; Margeas, R.; Green, K.; Nowak, A.; Lainson, P.; Dembo, J. (1989): A multidisciplinary approach for optimal total patient care: a case report. In: Quintessence international (Berlin, Germany : 1985) 20 (4), S. 295–297. DOI: Case.
Bensimon et al. (1999): Surgical crown-lengthening procedure to enhance esthetics. In: International Journal of Periodontics & Restorative Dentistry 19 (4). Online verfügbar unter www.quintpub.com/userhome/prd/prd_19_4_bensimon_4.pdf.
Bondemark, L.; Kurol, J.; Hallonsten, A. L.; Andreasen, J. O. (1997): Attractive magnets for orthodontic extrusion of crown-root fractured teeth. In: American Journal of Orthodontics and Dentofacial Orthopedics 112 (2), S. 187–193. DOI: 10.1016/s0889-5406(97)70245-2.
Carnevale, G.; Sterrantino, S. F.; Di Febo, G. (1983): Soft and hard tissue wound healing following tooth preparation to the alveolar crest. In: The International journal of periodontics & restorative dentistry 3 (6), S. 36–53. Online verfügbar unter pubmed.ncbi.nlm.nih.gov/6584413/.
Carvalho, Cássio Volponi; Bauer, Flávio Paim Falcão; Romito, Giuseppe Alexandre; Pannuti, Cláudio Mendes; Micheli, Giorgio de (2006): Orthodontic extrusion with or without circumferential supracrestal fiberotomy and root planing. In: Int J Periodontics Restorative Dent 26 (1), S. 87–93. DOI: Study.
Caton, Jack G.; Armitage, Gary; Berglundh, Tord; Chapple, Iain L. C.; Jepsen, Søren; Kornman, Kenneth S. et al. (2018): A new classification scheme for periodontal and peri-implant diseases and conditions - Introduction and key changes from the 1999 classification. In: Journal of Clinical Periodontology 45 Suppl 20, S1-S8. DOI: 10.1111/jcpe.12935.
DGMKG, DGZMK: S2k-Leitlinie (Langfassung) „Therapie des dentalen Traumas bleibender Zähne“ AWMF-Registernummer: 083-004. Stand März 2022 (2022). In: AWMF online. Online verfügbar unter register.awmf.org/assets/guidelines/083-004l_S2k_Therapie-des-dentalen-Traumas-bleibender-Zaehne_2022-10.pdf.
Elkhadem, Ahmed; Mickan, Sharon; Richards, Derek (2014): Adverse events of surgical extrusion in treatment for crown-root and cervical root fractures: a systematic review of case series/reports. In: Dental Traumatology 30 (1), S. 1–14. DOI: 10.1111/edt.12051.
Emerich-Poplatek, Katarzyna; Sawicki, Leszek; Bodal, Maciej; Adamowicz-Klepalska, Barbara (2005): Forced eruption after crown/root fracture with a simple and aesthetic method using the fractured crown. In: Dental traumatology : official publication of International Association for Dental Traumatology 21 (3), S. 165–169. DOI: 10.1111/j.1600-9657.2005.00287.x.
Frese, C.; Wolff, D.; Staehle, H. J. (2014): Proximal box elevation with resin composite and the dogma of biological width: clinical R2-technique and critical review. In: Operative Dentistry 39 (1), S. 22–31. DOI: 10.2341/13-052-T.
Gargiulo, Anthony W.; Wentz, Frank M.; Orban, Balint (1961): Dimensions and Relations of the Dentogingival Junction in Humans. In: Journal of Periodontology 32 (3), S. 261–267. DOI: 10.1902/jop.1961.32.3.261.
Garrett, G. B. (1985): Forced eruption in the treatment of transverse root fractures. In: The Journal of the American Dental Association 111 (2), S. 270–272. DOI: 10.14219/jada.archive.1985.0101.
Goldson et al. (1981): Orthodontic treatment of traumatized teeth: Copenhagen: Munksgaard.
Guilford et al. (1984): Vertical extrusion: a standardized technique. In: The Compendium of continuing education in dentistry 5 (7), S. 562–567. Online verfügbar unter europepmc.org/article/med/6590201.
Han, Guangli; Huang, Shengfu; den Hoff, Johannes W. von; Zeng, Xianglong; Kuijpers-Jagtman, Anne Marie (2005): Root Resorption after Orthodontic Intrusion and Extrusion:An Intraindividual Study. In: Angle Orthod 75 (6), S. 912–918. DOI: 10.1043/0003-3219(2005)75[912:RRAOIA]2.0.CO;2.
Heithersay, G. S. (1973): Combined endodontic-orthodontic treatment of transverse root fractures in the region of the alveolar crest. In: Oral Surgery, Oral Medicine, Oral Pathology 36 (3), S. 404–415. DOI: 10.1016/0030-4220(73)90220-x.
Ingber, J. S. (1974): Forced eruption. I. A method of treating isolated one and two wall infrabony osseous defects-rationale and case report. In: Journal of Periodontology 45 (4), S. 199–206. DOI: 10.1902/jop.1974.45.4.199.
Ivey, D. W.; Calhoun, R. L.; Kemp, W. B.; Dorfman, H. S.; Wheless, J. E. (1980): Orthodontic extrusion: its use in restorative dentistry. In: The Journal of Prosthetic Dentistry 43 (4), S. 401–407. DOI: 10.1016/0022-3913(80)90209-7.
Jensen, Simon Storgård (2019): Timing of Implant Placement after Traumatic Dental Injury. In: Journal of Endodontics 45 (12S), S52-S56. DOI: 10.1016/j.joen.2019.05.013.
Kim et al. (2009): Experimental surgical and orthodontic extrusion of teeth in dogs. In: International Journal of Periodontics & Restorative Dentistry 29 (4).
Konradsson et al. (2005): Interleukin-1 levels in gingival crevicular fluid adjacent to restorations of calcium aluminate cement and resin composite. In: Journal of Clinical Periodontology 32 (5), S. 462–466. DOI: 10.1111/j.1600-051X.2005.00698.x.
Kozlovsky, A.; Tal, H.; Lieberman, M. (1988): Forced eruption combined with gingival fiberotomy. A technique for clinical crown lengthening. In: Journal of Clinical Periodontology 15 (9), S. 534–538. DOI: 10.1111/j.1600-051X.1988.tb02125.x.
Krastl, G.; Filippi, A.; Weiger, R. (2020): Initial management of dental trauma: musts, shoulds, and cans. Online verfügbar unter search.ebscohost.com/login.aspx.
Krastl, G.; Weiger, R.; Filippi, A.; van Waes, H.; Ebeleseder, K.; Ree, M. et al. (2021): European Society of Endodontology position statement: endodontic management of traumatized permanent teeth. In: International Endodontic Journal 54 (9), S. 1473–1481. DOI: 10.1111/iej.13543.
Krastl, Gabriel; Filippi, Andreas; Weiger, Roland (2008): Frontzahntrauma: Zahnhartsubstanzverletzungen. In: Zahnmedizin up2date 2 (06), S. 519–537. DOI: 10.1055/s-2008-1038996.
Krug, Ralf; Connert, Thomas; Soliman, Sebastian; Syfrig, Benno; Dietrich, Thomas; Krastl, Gabriel (2018): Surgical extrusion with an atraumatic extraction system: A clinical study. In: Journal of Prosthetic Dentistry 120 (6), S. 879–885. DOI: 10.1016/j.prosdent.2018.02.006.
Kuper, N. K.; Opdam, N. J. M.; Bronkhorst, E. M.; Huysmans, M. C. D. N. J. M. (2012): The influence of approximal restoration extension on the development of secondary caries. In: Journal of Dentistry 40 (3), S. 241–247. DOI: 10.1016/j.jdent.2011.12.014.
Lang et al. (2015): Clinical Periodontology and Implant Dentistry. 6th ed. Somerset: Wiley.
Lemon, R. R. (1982): Simplified esthetic root extrusion techniques. In: Oral Surgery, Oral Medicine, Oral Pathology 54 (1), S. 93–99. DOI: 10.1016/0030-4220(82)90422-4.
Levine, R. A. (1988): Forced eruption, Part I: Periodontal and orthodontic considerations for the treatment of an isolated periodontal angular infrabony defect. In: Compendium (Newtown, Pa.) 9 (1), 10, 13-4, 16 passim. DOI: Case.
Lührs, Anne-Katrin (2020): Subgingival = suboptimal? Die Proximal Box Elevation zur Therapie tiefer Defekte. In: Zahnmedizin up2date 14 (02), S. 127–143. DOI: 10.1055/a-1123-5856.
Luís et al. (2003): Reestablishing biologic width with forced eruption. In: Quintessence international 34 (10). Online verfügbar unter search.ebscohost.com/login.aspx.
Magne et al. (2012): Deep margin elevation: a paradigm shift. In: Am J Esthet Dent 2 (2), S. 86–96. Online verfügbar unter www.tcbsc.net/pdfs/magne_dme.pdf.
Malmgren, O.; Malmgren, B.; Frykholm, A. (1991): Rapid orthodontic extrusion of crown root and cervical root fractured teeth. In: Endodontics & dental traumatology 7 (2), S. 49–54. DOI: 10.1111/j.1600-9657.1991.tb00183.x.
Mameno, Tomoaki; Wada, Masahiro; Otsuki, Motohiro; Okuno, Ikuhisa; Ozeki, Kenji; Tahara, Akihiko; Ikebe, Kazunori (2020): Risk indicators for marginal bone resorption around implants in function for at least 4 years: A retrospective longitudinal study. In: Journal of Periodontology 91 (1), S. 37–45. DOI: 10.1002/JPER.18-0756.
Mankani, Nivedita; Chowdhary, Ramesh; Patil, Brijesh A.; Nagaraj, E.; Madalli, Poornima (2014): Osseointegrated dental implants in growing children: a literature review. In: The Journal of oral implantology 40 (5), S. 627–631. DOI: 10.1563/AAID-JOI-D-11-00186.
NEVINS, M. (1984): The intracrevicular restorative margin, the biologic width, and the maintenance of the gingival margin. In: Int J Periodont Rest Dent 4, S. 31. Online verfügbar unter ci.nii.ac.jp/naid/10018226451/.
Nobre, Cintia Mirela Guimaraes; Barros Pascoal, Ana Luisa de; Albuquerque Souza, Emmanuel; Machion Shaddox, Luciana; dos Santos Calderon, Patricia; Aquino Martins, Ana Rafaela Luz de; Vasconcelos Gurgel, Bruno César de (2017): A systematic review and meta-analysis on the effects of crown lengthening on adjacent and non-adjacent sites. In: Clin Oral Invest 21 (1), S. 7–16. DOI: 10.1007/s00784-016-1921-1.
Parma-Benfenali et al (1985): The effect of restorative margins on the postsurgical development and nature of the periodontium. Part I. In: The International journal of periodontics & restorative dentistry 5 (6), S. 30–51. Online verfügbar unter europepmc.org/article/med/3867652.
Plotino, G.; Abella Sans, F.; Duggal, M. S.; Grande, N. M.; Krastl, G.; Nagendrababu, V.; Gambarini, G. (2020): Clinical procedures and outcome of surgical extrusion, intentional replantation and tooth autotransplantation - a narrative review. In: International Endodontic Journal 53 (12), S. 1636–1652. DOI: 10.1111/iej.13396.
Plotino, G.; Abella Sans, F.; Duggal, M. S.; Grande, N. M.; Krastl, G.; Nagendrababu, V.; Gambarini, G. (2021): European Society of Endodontology position statement: Surgical extrusion, intentional replantation and tooth autotransplantation: European Society of Endodontology developed by. In: International Endodontic Journal 54 (5), S. 655–659. DOI: 10.1111/iej.13456.
Prapas, E.; Ibel, G.; Zachrisson, B.; Bantleon, H.-P. (2008): Forcierte Eruption – eine Literaturübersicht. In: Inf Orthod Kieferorthop 40 (03), S. 225–231. DOI: 10.1055/s-2008-1076933.
Reitan, K. (1967): Clinical and histologic observations on tooth movement during and after orthodontic treatment. In: American Journal of Orthodontics 53 (10), S. 721–745. DOI: 10.1016/0002-9416(67)90118-2.
Sanavi, F.; Weisgold, A. S.; Rose, L. F. (1998): Biologic width and its relation to periodontal biotypes. In: Journal of esthetic dentistry 10 (3), S. 157–163. DOI: 10.1111/j.1708-8240.1998.tb00351.x.
Schmidt, Julia C.; Sahrmann, Philipp; Weiger, Roland; Schmidlin, Patrick R.; Walter, Clemens (2013): Biologic width dimensions--a systematic review. In: Journal of Clinical Periodontology 40 (5), S. 493–504. DOI: 10.1111/jcpe.12078.
Schwendicke et al. (2017): Behandlung kariöser Läsionen: Konsensempfehlungen zu Terminologie und Entfernung kariösen Gewebes. In: Deutsche Zahnärztliche Zeitschrift 72. Online verfügbar unter www.online-dzz.de/fileadmin/user_upload/heftarchiv/dzz/article/2017/02/6b4c115f-34a0-48be-8b9a-314002a17c80/6b4c115f34a048be8b9a314002a17c80_em_ues_schwendicke_laesionen_1_original.pdf.
Simon, J. H.; Kelly, W. H.; Gordon, D. G.; Ericksen, G. W. (1978): Extrusion of endodontically treated teeth. In: The Journal of the American Dental Association 97 (1), S. 17–23. DOI: 10.14219/jada.archive.1978.0454.
Thoma, Daniel S.; Sailer, Irena; Ioannidis, Alexis; Zwahlen, Marcel; Makarov, Nikolay; Pjetursson, Bjarni E. (2017): A systematic review of the survival and complication rates of resin-bonded fixed dental prostheses after a mean observation period of at least 5 years. In: Clinical Oral Implants Research 28 (11), S. 1421–1432. DOI: 10.1111/clr.13007.
Vacek, James S. (1994): The dimensions of the human dentogingival junction. In: nternational Journal of Periodontics & Restorative Dentistry 14 (2). Online verfügbar unter www.quintpub.com/userhome/prd/prd_14_2_vacek_6.pdf.
Ziskind, D.; Schmidt, A.; Hirschfeld, Z. (1998): Forced eruption technique: rationale and clinical report. In: The Journal of prosthetic dentistry 79 (3), S. 246–248. DOI: 10.1016/S0022-3913(98)70231-8.
Zitzmann et al. (2015): Treatment strategies for infraoccluded dental implants. In: Journal of Prosthetic Dentistry 113 (3), S. 169–174. DOI: 10.1016/j.prosdent.2014.08.012.
Zuhr et al. (2011): Plastisch-ästhetische Parodontal-und Implantatchirurgie: Quintessenz. Online verfügbar unter www.quintessence-publishing.com/downloads/leseprobe_18220_zuhr_huerzeler_paro_u_impl_chirurgie.pdf.


































