Chirurgische Therapie des Eagle-Syndroms
Wie die Patientin ausführte, leide sie kontinuierlich an Schmerzen, die einen dumpfen Charakter aufwiesen und durch Kopfbewegungen verstärkt würden. Eine Linderung habe sie durch eine Schonhaltung mit einer Kopfdrehung und Kopfneigung nach links erreichen können. Die weitere Allgemeinanamnese war abgesehen von einem Ehlers-Danlos-Syndrom unauffällig.
Die klinische Untersuchung zeigte einen deutlichen beidseitigen, allerdings links stärker ausgeprägten zervikalen Druckschmerz im Bereich des Vorderrandes des Musculus sternocleidomastoideus mit einer Ausstrahlung in den vorderen und den hinteren Halsbereich. Beidseits war die Spitze des Processus styloideus im seitlichen Halsbereich tastbar. Der weitere Untersuchungsbefund war intraoral und extraoral unauffällig.
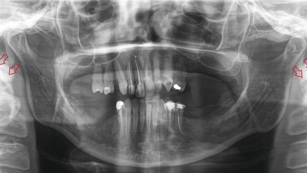
Die bildgebende Untersuchung mittels Orthopantomografie (Abbildung 1) und nachfolgender digitaler Volumentomografie (Abbildung 2) ergab eine Verlängerung des Processus styloideus beidseits, die auch im Rahmen einer dreidimensionalen Rekonstruktion dargestellt werden konnte (Abbildung 3). In Zusammenschau mit der beschriebenen Beschwerdesymptomatik wurde die Diagnose eines Eagle-Syndroms gestellt.
Therapeutisch wurde der Patientin eine operative Kürzung über einen intra- oder wahlweise extraoralen Zugang des Processus styloideus angeboten. Da die Beschwerdesymptomatik links verstärkt ausgeprägt war, wurde zunächst eine operative Therapie der linken Seite festgelegt. Nach ausführlicher Aufklärung entschied sich die Frau für eine Operation über einen extraoralen Zugang.
Der operative Eingriff erfolgte unter stationären Bedingungen in nasotrachealer Intubationsnarkose. Bei einer circa 4 cm langen zervikalen Schnittführung etwa zwei Querfinger unterhalb des Unterkieferrandes unter Schonung der Rami Colli des Nervus fazialis konnte der verlängerte Processus styloideus dargestellt und unmittelbar unterhalb des Foramen stylomastoideum mittels Piezo-Surgery abgesetzt werden.
Der pathologische Befund ergab einen verlängerten Processus styloideus beziehungsweise eine Verknöcherung des Ligamentum stylohyoideum. Eine Mini-VAC-Drainage wurde eingebracht und der Wundverschluss erfolgte subkutan mit resorbierbaren Nähten (Vicryl mit 4/0 Stärke) und kutan mit nichtresorbierbaren Nähten (Prolene mit 5/0 Stärke).
Der postoperative Verlauf gestaltete sich regelrecht ohne Nachblutung oder Wundheilungsstörungen. Die Mini-VAC-Drainage wurde am zweiten postoperativen Tag entfernt. Die Gesichtsmotorik linksseitig im Bereich des Mundwinkels zeigte sich leicht abgeschwächt. Eine postoperative digitale Volumentomografie zeigte die beabsichtigte Verkürzung des linken Processus styloideus (Abbildung 4). Die Entlassung folgte am dritten postoperativen Tag in zeitgerecht gutem Allgemeinzustand.
In der Nachsorge äußerte die Patientin eine Woche postoperativ eine deutliche Verbesserung der Beschwerdesymptomatik. Bei regredienter postoperativer Weichteilschwellung war die postoperative Schwächung der Gesichtsmotorik linksseitig im Bereich des Mundwinkels vollständig regredient. Eine Resektion des rechten Processus styloideus wurde aufgrund des Behandlungserfolgs für einen Termin sechs Monate nach der ersten Operation in Aussicht gestellt.
Diskussion
Unter dem Begriff Eagle-Syndrom werden unterschiedliche klinische Symptome zusammengefasst, die durch eine Verlängerung des Processus styloideus und/oder eine Verknöcherung des Ligamentum stylohyoideum verursacht werden [Piagkou et al., 2009; Badhey et al., 2017]. Das Eagle-Syndrom wurde erstmalig von Watt Eagle im Jahr 1937 als Kombination von Abnormitäten des Processus styloideus und dem Leitsymptom Halsschmerzen beschrieben [Eagle, 1937].
Es werden ein klassisches Eagle-Syndrom mit Halsschmerzen, Schluckschmerzen und einem Fremdkörpergefühl im Halsbereich und ein sogenanntes Stylo-Carotid-Syndrom mit halbseitigen parietalen Kopfschmerzen, transienten Sehstörungen und synkopalen Ereignissen unterschieden [Eagle, 1948; Eagle, 1949; Eagle, 1962; Piagkou et al., 2009]. Das Eagle-Syndrom tritt bei 40 bis 80 von 100.000 Menschen auf. Frauen mit einem Lebensalter über 50 Jahren sind am häufigsten betroffen [Kawasaki et al., 2012; Saccomanno et al., 2018].
Im Hinblick auf die Ätiologie finden verschiedene Vorstellungen hinsichtlich der zugrundeliegenden Ursache Zuspruch, unter anderem eine traumatisch bedingte reaktive Hyperplasie des Processus styloideus, eine traumatisch bedingte reaktive Verkalkung des Ligamentum stylohyoideum und eine nicht traumatisch bedingte anatomische Varianz [Steinmann, 1968; Steinmann, 1970].
Dabei kann pathogenetisch die klinische Symptomatik auf eine Kompression oder Irritation der in unmittelbarer Umgebung liegenden neurovaskulären Strukturen, unter anderem der Hirnnerven Nervus fazialis, Nervus glossopharyngeus und Nervus hypoglossus, und der Halsgefäße Arteria carotis externa und Arteria carotis interna, zurückgeführt werden [Badhey et al., 2017].
Klinisch werden zahlreiche und in ihrer Ausprägung vielfältige Symptome wie Halsschmerzen mit möglicher Schmerzausstrahlung in Richtung Ohr, Kiefer und Kiefergelenk, Schluckbeschwerden mit Schmerzen, ein Fremdkörpergefühl, Schmerzen bei Mundöffnung, Kopfschmerzen bei Drehbewegungen, aber auch Sehstörungen, Hörminderungen, Zahnschmerzen und Mundschleimhautulzerationen angegeben, wobei die Symptome Halsschmerzen und Schluckschmerzen als Leitsymptome gelten [Montalbetti et al., 1995; Badhey et al., 2017].
Teilweise lässt sich ein Zusammenhang zwischen der Länge, der Breite und dem Verknöcherungsgrad des Processus styloideus und dem Ausprägungsgrad der Symptomatik feststellen [Ilgüy et al., 2005]. Interessanterweise wird oft eine einseitige Symptomatik angegeben, obwohl in der Regel eine beidseitige Verlängerung des Processus styloideus beziehungsweise eine Verknöcherung des Ligamentum stylohyoideum festgestellt wird [Piagkou et al., 2009].
Die Diagnostik beruht auf einer klinischen Symptomatik, einem intraoralen und/oder extraoralen Tastbefund und einer Bildgebung [Piagkou et al., 2009]. Im Hinblick auf die Bildgebung gilt die dreidimensionale Bildgebung mittels Computertomografie als Goldstandard, wobei jene aber auch durch eine digitale Volumentomografie ersetzt werden kann [Oztunç et al., 2014; Badhey et al., 2017].
Ausschlaggebend für die Diagnose gilt in der Bildgebung eine Länge des Processus styloideus von über 25 mm und/oder eine ebenso lange Verkalkung des Ligamentum stylohyoideum [Searle und Searle, 2021]. Die Differenzialdiagnosen sind zahlreich, unter anderem Migräne, Clusterkopfschmerz, atypischer Gesichtsschmerz, Craniomandibuläre Dysfunktion, Trigeminusneuralgie, Mastitis, Tonsillitis und Otitis [Montalbetti et al., 1995; Piagkou et al., 2009].
Fazit für die Praxis
Bei allen therapierefraktären Halsschmerzen sollte auch an die Möglichkeit des Vorliegens eines Eagle-Syndroms gedacht werden [Piagkou et al., 2009].
Therapeutisch kommen sowohl konservative Behandlungen wie die Verabreichung von Analgetika, Glukokortikoiden, Antidepressiva und Antikonvulsiva als auch operative Maßnahmen mit dem Ziel der Entfernung beziehungsweise der Kürzung des Processus styloideus und des Ligamentum stylo-hyoideum infrage [Badhey et al., 2017]. Die operative Therapie kann dabei von intraoral, verbunden mit den Vorteilen einer kürzeren Operationszeit und einer nicht sichtbaren Narbe, oder extraoral, verbunden mit den Vorteilen einer besseren intraoperativen Übersicht und einem geringeren postoperativen Wundinfektionsrisiko, erfolgen [Ghosh und Dubey, 1999; Müderris et al., 2014].
Insgesamt zeigt sich bei operativer Therapie ein höherer Therapieerfolg mit einer dauerhaften Erfolgsrate von 80 Prozent, wobei eine Rekurrenz auf eine Reossifikation zurückgeführt werden kann [Zaki et al., 1996; Saccomanno et al., 2018; Mortellaro et al., 2022].
Literaturliste
Badhey A, Jategaonkar A, Anglin Kovacs AJ, Kadakia S, De Deyn PP, Ducic Y, Schantz S, Shin E. Eagle syndrome: A comprehensive review. Clin Neurol Neurosurg. 2017 Aug;159:34-38.
EAGLE WW. Elongated styloid processes: report of two cases. Arch Otolaryngol Head Neck Surg. 1937;25(5):584–587.
EAGLE WW. Elongated styloid process; further observations and a new syndrome. Arch Otolaryngol (1925). 1948 May;47(5):630-40.
EAGLE WW. Symptomatic elongated styloid process; report of two cases of styloid process-carotid artery syndrome with operation. Arch Otolaryngol (1925). 1949 May;49(5):490-503.
EAGLE WW. The symptoms, diagnosis and treatment of the elongated styloid process. Am Surg. 1962 Jan;28:1-5.
Ghosh LM, Dubey SP. The syndrome of elongated styloid process. Auris Nasus Larynx. 1999 Apr;26(2):169-75.
Ilgüy M, Ilgüy D, Güler N, Bayirli G. Incidence of the type and calcification patterns in patients with elongated styloid process. J Int Med Res. 2005 Jan-Feb;33(1):96-102.
Kawasaki M, Hatashima S, Matsuda T. Non-surgical therapy for bilateral glossopharyngeal neuralgia caused by Eagle's syndrome, diagnosed by three-dimensional computed tomography: a case report. J Anesth. 2012 Dec;26(6):918-21.
Montalbetti L, Ferrandi D, Pergami P, Savoldi F. Elongated styloid process and Eagle's syndrome. Cephalalgia. 1995 Apr;15(2):80-93.
Mortellaro C, Biancucci P, Picciolo G, Vercellino V. Eagle's syndrome: importance of a corrected diagnosis and adequate surgical treatment. J Craniofac Surg. 2002 Nov;13(6):755-8.
Müderris T, Bercin S, Sevil E, Beton S, Kırıs M. Surgical management of elongated styloid process: intraoral or transcervical? Eur Arch Otorhinolaryngol. 2014 Jun;271(6):1709-13.
Oztunç H, Evlice B, Tatli U, Evlice A. Cone-beam computed tomographic evaluation of styloid process: a retrospective study of 208 patients with orofacial pain. Head Face Med. 2014 Feb 15;10:5.
Piagkou M, Anagnostopoulou S, Kouladouros K, Piagkos G. Eagle's syndrome: a review of the literature. Clin Anat. 2009 Jul;22(5):545-58.
Saccomanno S, Greco F, DE Corso E, Lucidi D, Deli R, D'Addona A, Paludetti G. Eagle's Syndrome, from clinical presentation to diagnosis and surgical treatment: a case report. Acta Otorhinolaryngol Ital. 2018 Apr;38(2):166-169.
Searle E, Searle A. An overview of Eagle's syndrome. Br J Pain. 2021 Nov;15(4):388-392.
Steinmann EP. Styloid syndrome in absence of an elongated process. Acta Otolaryngol. 1968 Oct;66(4):347-56.
Steinmann EP. A new light on the pathogenesis of the styloid syndrome. Arch Otolaryngol. 1970 Feb;91(2):171-4.
Zaki HS, Greco CM, Rudy TE, Kubinski JA. Elongated styloid process in a temporomandibular disorder sample: prevalence and treatment outcome. J Prosthet Dent. 1996 Apr;75(4):399-405.







