20 Jahre Präventive Zahnmedizin und Kinderzahnheilkunde in Greifswald
Die Greifswalder Kinderzahnheilkunde hatte schon immer einen hohen Praxisbezug – in Lehre, Forschung und Krankenversorgung. Als eine der wenigen Abteilungen und eigenständigen Professuren in Deutschland haben Studierende hier die Chance, schon im Grundstudium in diesem unterversorgten Fachbereich der Zahnmedizin umfangreiche klinische Erfahrungen zu sammeln. Auch durch den seit über zehn Jahren bestehenden Masterstudiengang, der jedes Jahr ungefähr 15 neue Kinderzahnärztinnen und -zahnärzte ausbildet. „Inzwischen ist dies eine große, internationale Gemeinde und wir haben überall auf der Welt Freunde und Kooperationspartner“, berichtet der Abteilungsleiter Prof. Christian Splieth.
Klinische Erfahrung schon im Grundstudium
Auf dem Jubiläumssymposium am 9. März beleuchteten acht Referentinnen und Referenten die gesamte Bandbreite der praktischen Kinderzahnheilkunde. Nachdem Prof. Dr. Kathrin Bekes (Wien) die Veranstaltung als Präsidentin der Deutschen Gesellschaft für Kinderzahnmedizin eröffnet hatte, ging es um zentrale Fragen der Behandlung von Kindern. So diskutierte PD Dr. Julian Schmoeckel (Greifswald), welche Möglichkeiten der Verhaltensformung und Kinderhypnose funktionieren, damit man auch tatsächlich die gewünschte zahnärztliche Therapie durchführen kann. Neben den wirksam erwiesenen Ansätzen wie Pausenhand, Zeitbegrenzung und visual distraction ist vor allem die kindgerechte und zugewandte Kommunikation des zahnärztlichen Teams entscheidend. Auch die Stellung einer korrekten Diagnose sowie die Wahl der richtigen Therapie sind essenziell, um das Kind nicht zu überfordern.
PD Dr. Ruth Santamaría Sanchez (Greifswald) stellte das Greifswalder Kariesmanagementkonzept vor,das die ganze Bandbreite von der Prävention über minimalinvasive Maßnahmen bis hin zur Restauration nach dem aktuellen Stand der Wissenschaft umfasst. Dabei werden klassische Prävention, Kariesinaktivierung (beispielsweise mit Silberfluorid oder Slicing), non- beziehungsweise minimalinvasive Verfahren wie die Hall-Technik sowie klassische Restaurationen und Lückenhalter beziehungsweise Platzmanagement miteinander verzahnt.
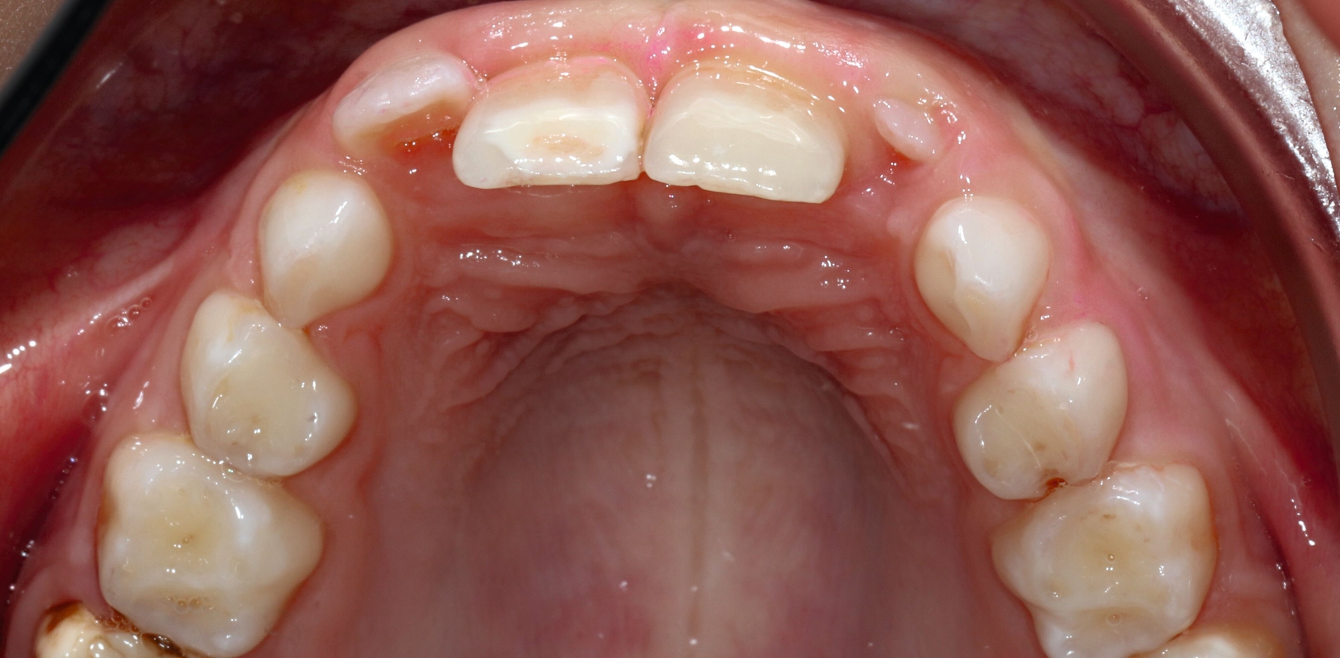
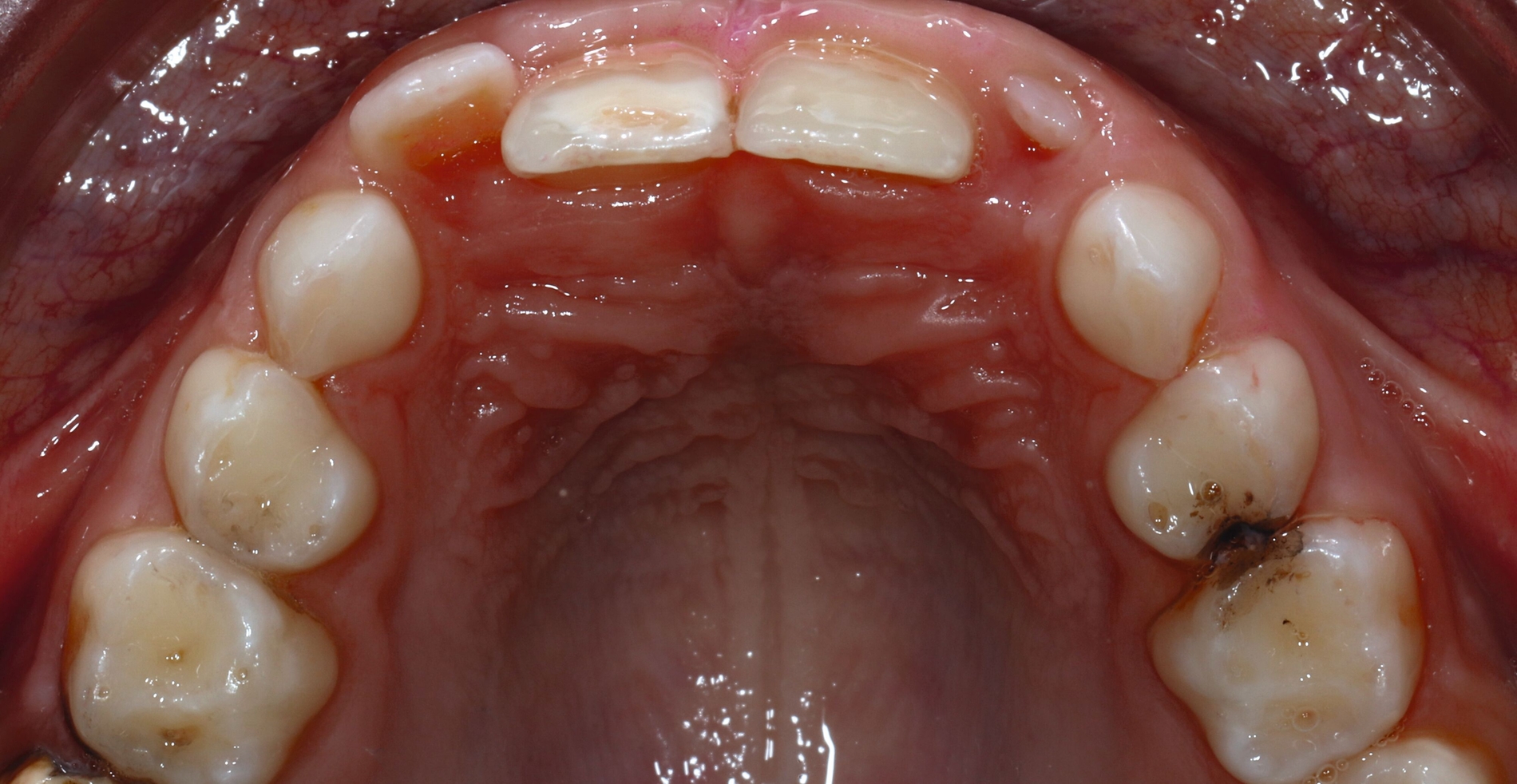
Bei Dr. Ahmad Al Masri (Greifswald) stand die kariesbedingte, entzündete und schmerzhafte Milchzahnpulpa im Fokus, deren Therapieoptionen er in seinem Vortrag „Des Pudels Kern: Endodontie im Milchgebiss“ darstellte. Sinnvoll sei hier entweder eine präventive Pulpotomie oder sie durch Inaktivierung weiträumig zu umgehen. Dann präsentierte Splieth die neue Trauma-Leitlinie, wobei er betonte, dass dabei auch die innovativen Therapieoptionen wie die Autotransplantation oder die regenerative Endodontie als Standardalternativen abgewogen werden sollten.
„Kinderzahnheilkunde in der Praxis“ – jetzt ergänzt um MIH
Abgerundet wurde das Programm durch den Vortrag von Dr. Mhd Said Mourad (Greifswald), der – etwas überspitzt – fragte: „Drogen, wenn die Kinder nicht wollen?“ Die Antwort lautet eindeutig: Ja! Lachgas sei eine exzellente Möglichkeit, um zahnärztliche Behandlungen für die Kinder und für das zahnärztliche Team angenehmer zu gestalten, und könne zudem Narkose-Behandlungen vermeiden.
Die Vorträge des Greifswalder Teams basieren auf Kapiteln des neu aufgelegten Buches „Kinderzahnheilkunde in der Praxis“, das von Bekes um ihren umfänglichen Vortrag über MIH ergänzt und mit den Aspekten aus der Greifswalder Kieferorthopädie und Chirurgie komplementiert wurde.







