Die restaurative Therapie auf Basis des Würzburger Konzepts
Die MIH ist in den vergangenen Jahren vor allem deshalb vermehrt in den Fokus der öffentlichen Wahrnehmung gerückt, weil ihre Prävalenz in Teilen Deutschlands mittlerweile die der Karies übersteigt [Fresen et al., 2024]. Außerdem ist die Ätiologie der Erkrankung nach wie vor ungeklärt [Garot et al., 2022].
Aktuelle Erhebungen zeigen beispielsweise, dass im Flächenstaat Bayern mittlerweile über 17 Prozent der acht- bis zehnjährigen Kinder an MIH erkrankt sind. Knapp 50 Prozent dieser Schüler haben einen Restaurationsbedarf, da die Zahnhartsubstanz eingebrochen ist und/oder die Zähne überempfindlich auf thermische Reize reagieren [Fresen et al., 2024]. Repräsentative regionale Untersuchungen in Hessen weisen darauf hin, dass sowohl die Häufigkeit als auch der Schweregrad der Erkrankung in den vergangenen Jahren zugenommen haben [Amend et al., 2021].
Somit muss mit einer weiteren Steigerung des invasiven Versorgungsbedarfs gerechnet werden. Diese Ergebnisse wurden in der aktuellen Deutschen Mundgesundheitsstudie bestätigt. Von den dort untersuchten Zwölfjährigen zeigten circa 15 Prozent Anzeichen einer MIH. Und von ihnen hatte mehr als ein Drittel einen invasiven Versorgungsbedarf wegen Schmelzeinbrüchen oder bereits Füllungen erhalten [Bekes et al., 2025].

Dr. med. dent. Stefanie Amend, M. Sc.
2006-2012: Studium der Zahnheilkunde an der Justus-Liebig-Universität Gießen
seit 2012: Wissenschaftliche Mitarbeiterin der Poliklinik für Kinderzahnheilkunde
2017: Promotion
2014-2017: Weiterbildungsstudiengang Kinderzahnheilkunde der Justus-Liebig-Universität Gießen und Philipps-Universität Marburg (M. Sc.)
2023-2025: Weiterbildungsstudiengang Master of Health Professions Education (MHPE) der Maastricht University (Niederlande).
Prof. Dr. Dr. Norbert Krämer
1986: Staatsexamen
1987: Promotion
1997: Habilitation
2000: 1. Vorsitzender der Gesellschaft für Kinderzahnheilkunde und Primärprophylaxe der DGZMK
2001: Mitglied im Vorstand der DGZMK (Delegierter des Beirates)
2002: Präsident der DGK, Mitglied im Vorstand der DGZMK (Fachvertreter Kinderzahnheilkunde), beratendes Mitglied im Direktorium der APW/DGZMK
2003: Ernennung zum wissenschaftlichen Berater der LAGZ Bayern e. V.
2004: Schriftleiter Oralprophylaxe und Kinderzahnheilkunde
seit 2005: Mitglied im Editorial Board verschiedener Zeitschriften.
2006: 2. Vorsitzender der APW
2006-2009: Professur für Kinderzahnheilkunde an der TU Dresden
2009: Professur für Kinderzahnheilkunde an der Justus-Liebig-Universität Gießen
2010-2012: Präsident der European Academy of Paediatric Dentistry (EAPD)
2015-2019: Präsident der Deutschen Gesellschaft für Kinderzahnheilkunde (DGKiZ)
2017-2020: Board Member der International Association of Paediatric Dentistry (IAPD)
seit 2024: Fortbildungsreferent der DGKiZ
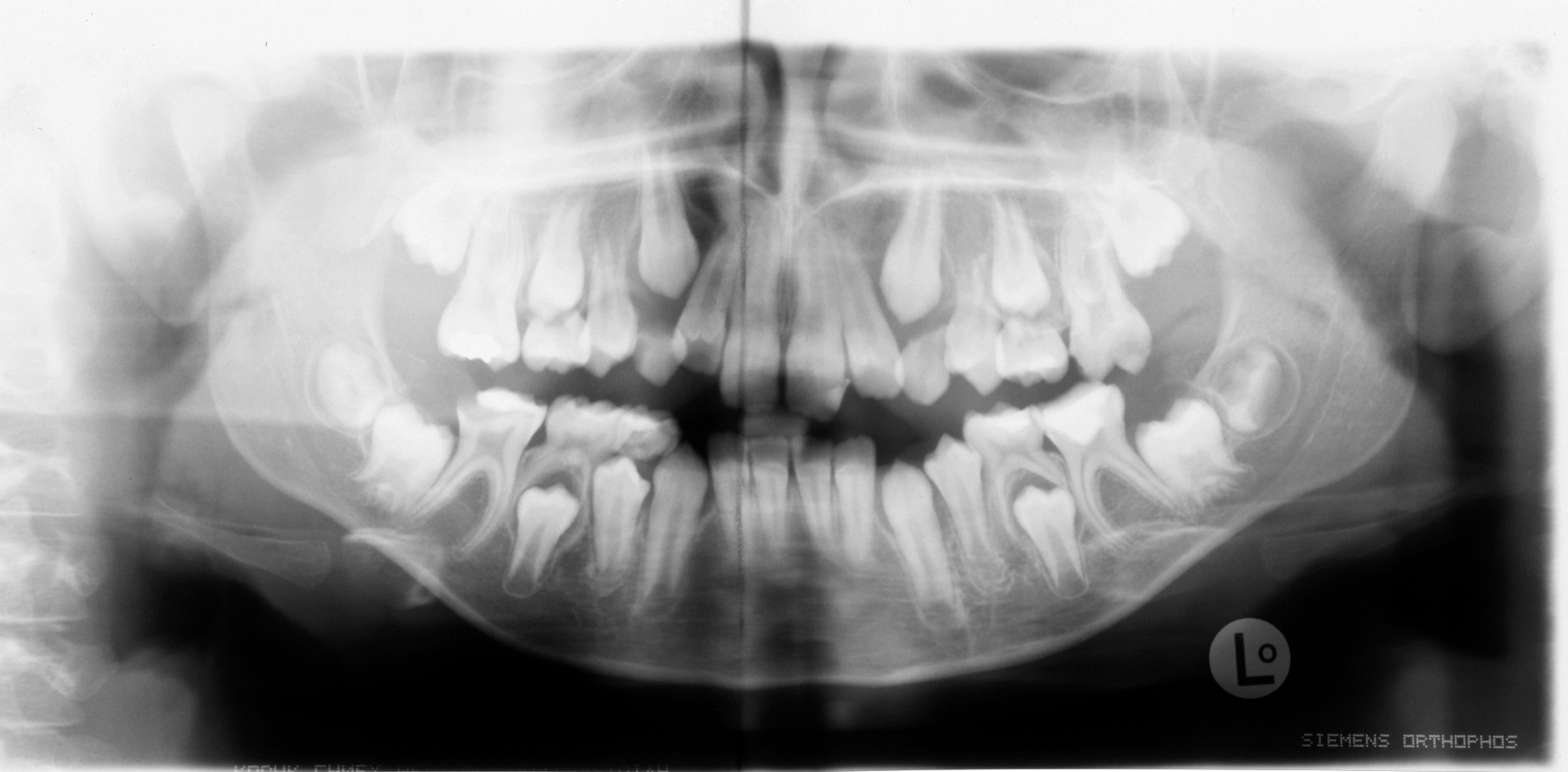
Bereits 2003 unterteilte die European Academy of Paediatric Dentistry (EAPD) die Erkrankung nach dem Schweregrad, da dieser wesentlich die Art der Versorgung beeinflusst. Dabei wurde zwischen umschriebenen Opazitäten, posteruptiven Schmelzeinbrüchen und sogenannten atypischen Restaurationen an den Schlüsselzähnen der MIH (Sechsjahrmolaren und bleibende Frontzähne) unterschieden [Weerheijm et al., 2003].
Basierend auf dieser Einteilung wurden 2010 erstmals Empfehlungen zur Versorgung der MIH-Zähne gegeben [Lygidakis et al., 2010]. Allerdings spielte das Symptom der Hypersensitivität bei den MIH-Zähnen nur eine untergeordnete Rolle, weil es damals eher selten auftrat [Preusser et al., 2007]. Heute hat sich das Bild gewandelt: Insbesondere der Anteil der MIH-Molaren mit Überempfindlichkeiten ist seitdem deutlich gestiegen.
Neue Untersuchungen zeigen, dass der Anteil der hypersensiblen MIH-Zähne bei Kindern im Grundschulalter etwa zehn Prozent beträgt [Fresen et al., 2024; Gaballah et al., 2025]. Dies ist in der kinderzahnärztlichen Praxis eine große Herausforderung, da die permanent gereizten Zähne mittels einfacher Lokalanästhesie nur schwer zu anästhesieren sind [Özgül et al., 2022].
Mit dem Würzburger Konzept wurde erstmals eine Klassifikation vorgestellt (MIH Treatment Need Index – MIH-TNI), die die unterschiedliche Ausprägung der Erkrankung einschließlich der Hypersensitivität erfasst (Tabelle 1).
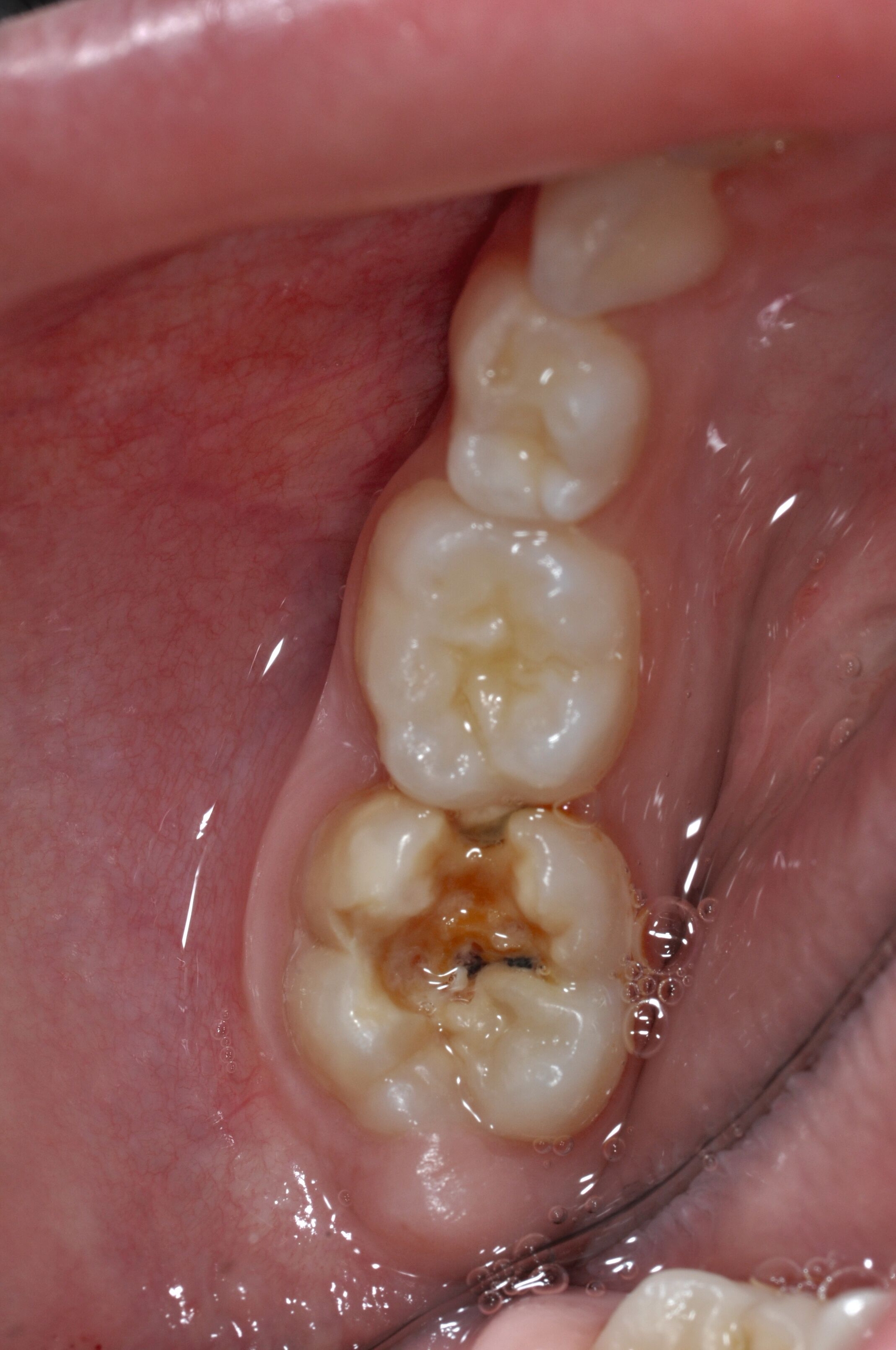
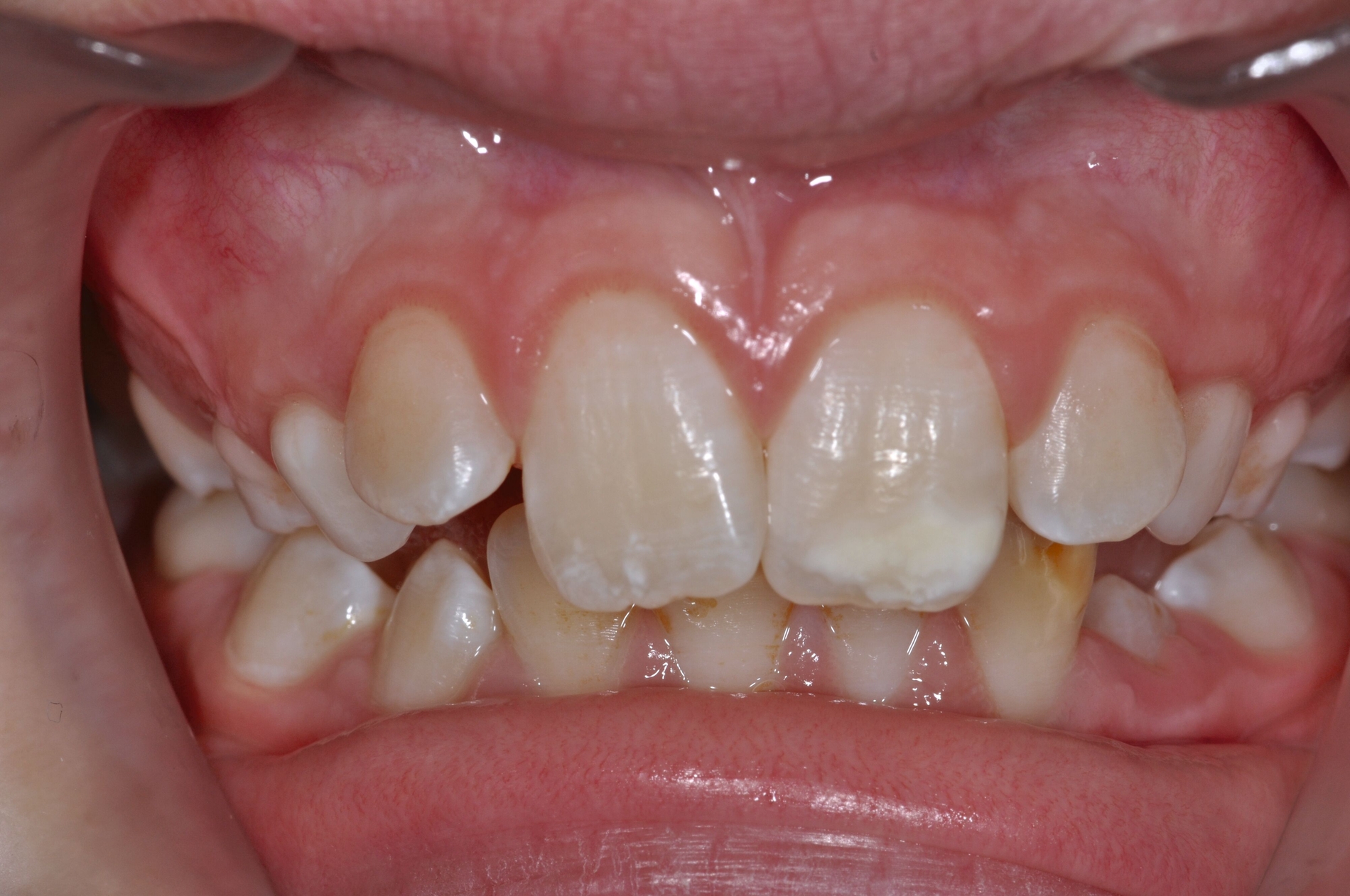
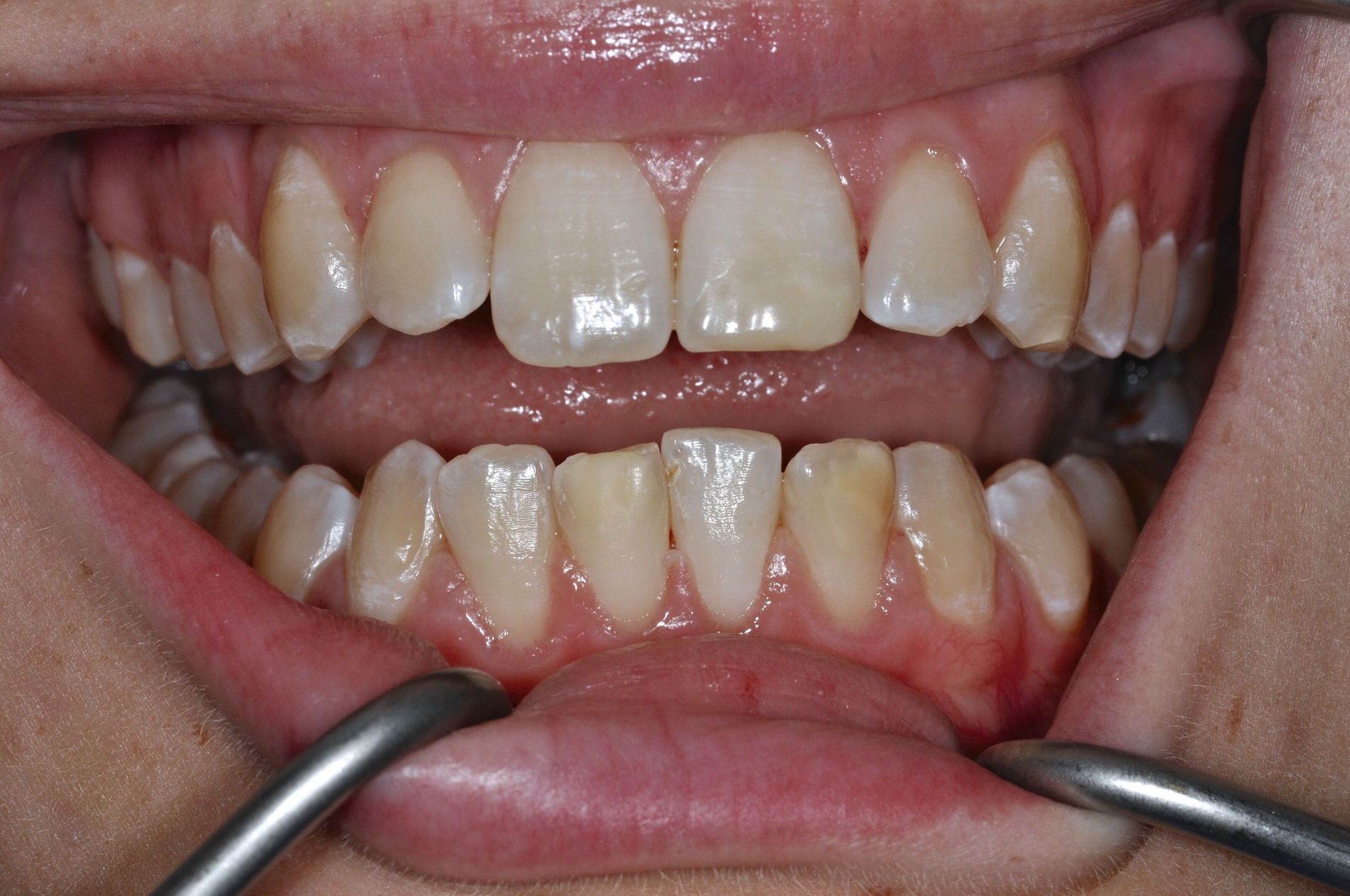
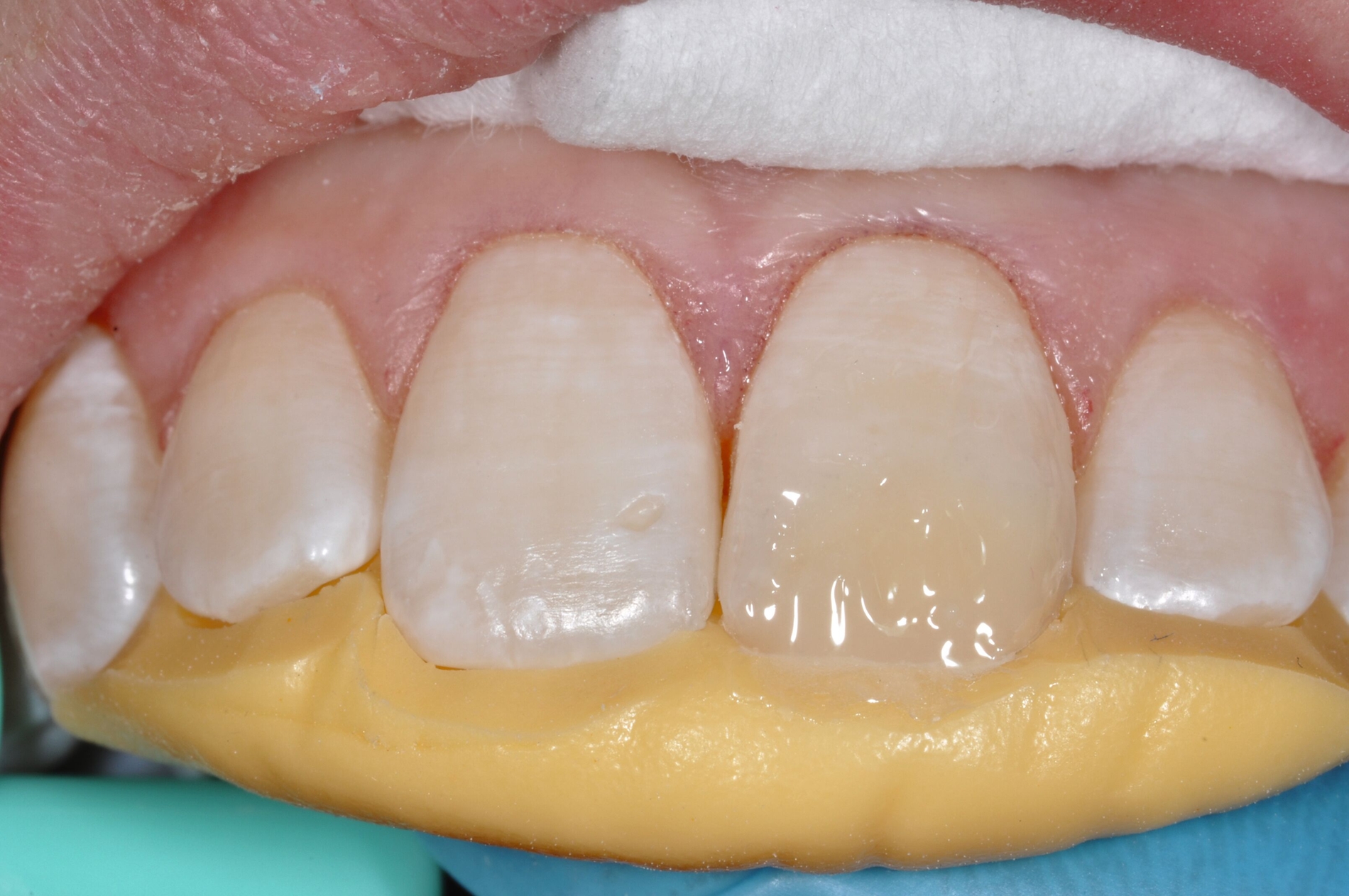
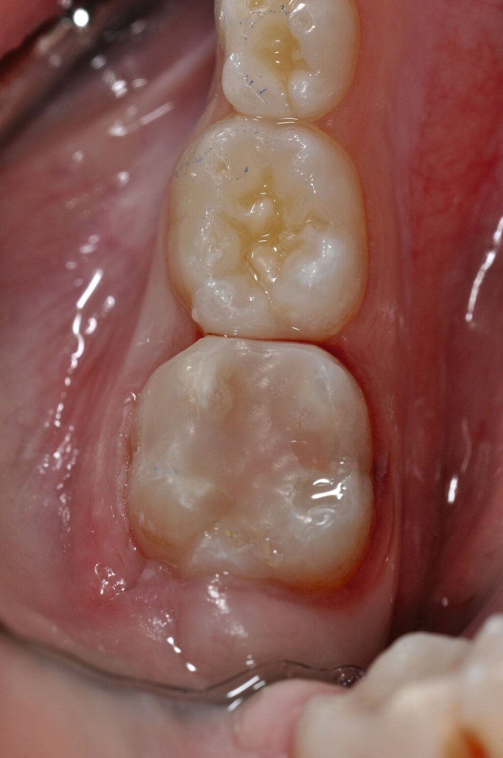
Diese Klassifikation dient als Grundlage für die Therapieempfehlungen. Deutlich wird, dass aufgrund der Symptomatik die Therapie der Zähne höchst unterschiedlich ausfällt. Dass etwa eine Opazität ohne Überempfindlichkeit (Index 1, Abbildung 1) ein anderes therapeutisches Vorgehen erfordert als ein Zahn mit nahezu komplettem Einbruch der Zahnoberfläche und mit Hypersensitivität (Index 4, Abbildung 2), ist offensichtlich.
Der MIH-TNI hat sich mittlerweile im klinischen Alltag bewährt und wird auch häufig bei klinischen Studien zur Einteilung der MIH oder zur Definition von Ein- und Ausschlusskriterien herangezogen [Bekes et al., 2022; Contac et al., 2025; Karim et al., 2025; Olczak-Kowalczyk et al., 2023; Sekundo et al., 2024].
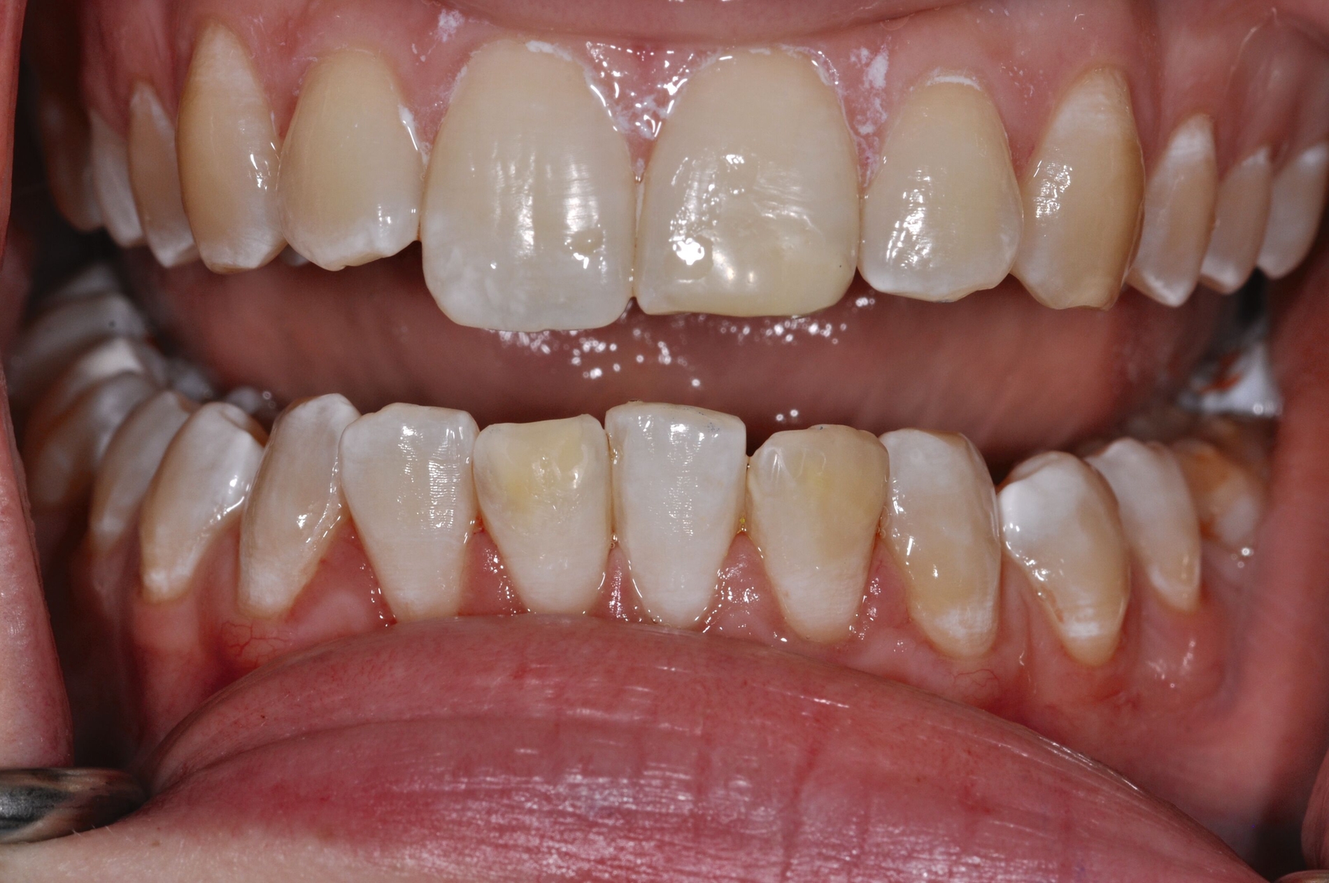
Für die zahnärztliche Praxis gibt die Einteilung eine Orientierung darüber, welche Behandlungsmaßnahmen erforderlich sind beziehungsweise eingesetzt werden können. Je nach Schweregrad wird dabei zwischen nichtinvasiven und invasiven Maßnahmen sowie einer kurzzeitigen oder längerfristigen, restaurativen Therapie unterschieden. Bei der Überarbeitung des Konzepts wurde zudem zwischen Front- und Seitenzähnen differenziert (Abbildung 3) [Bekes et al., 2023; Steffen et al., 2017].

Die temporäre Therapie C (kurzfristig)
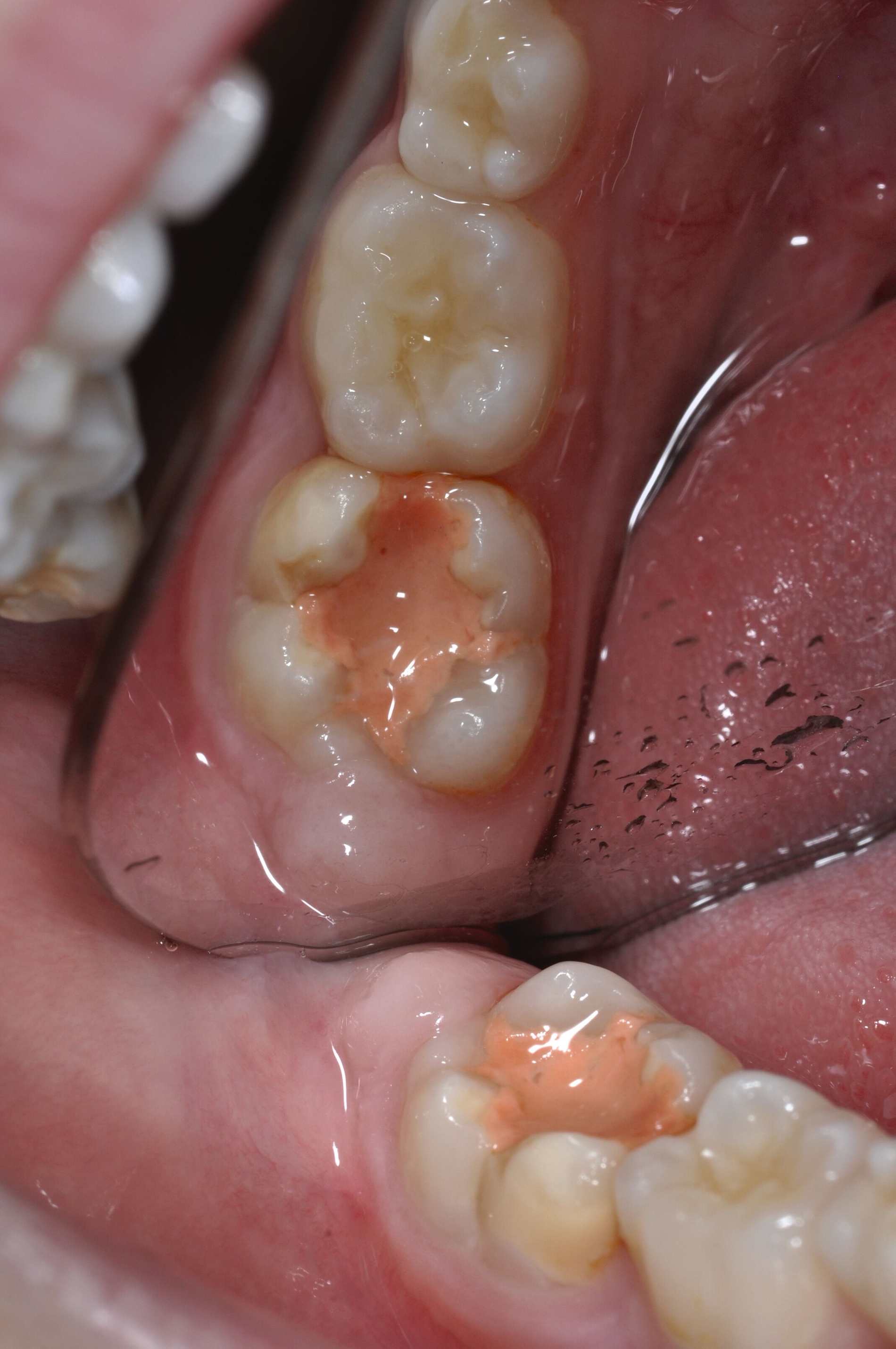
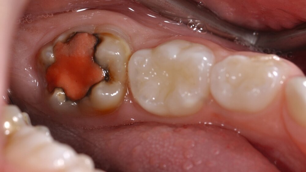
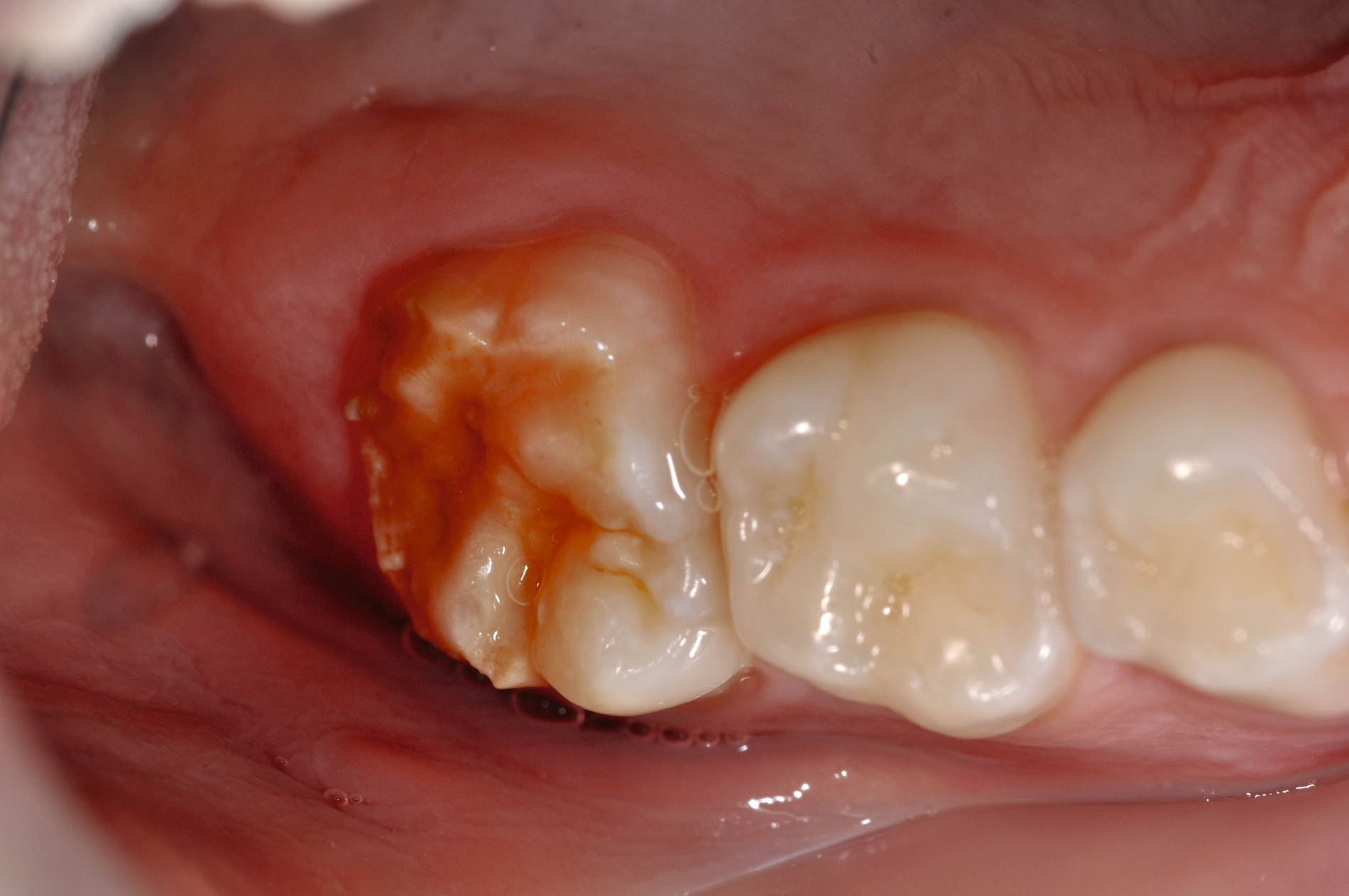
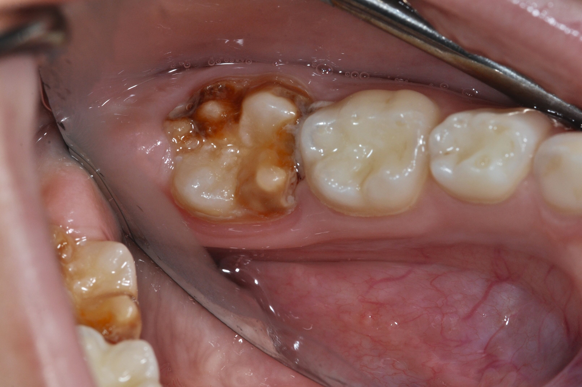
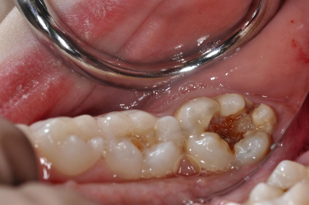
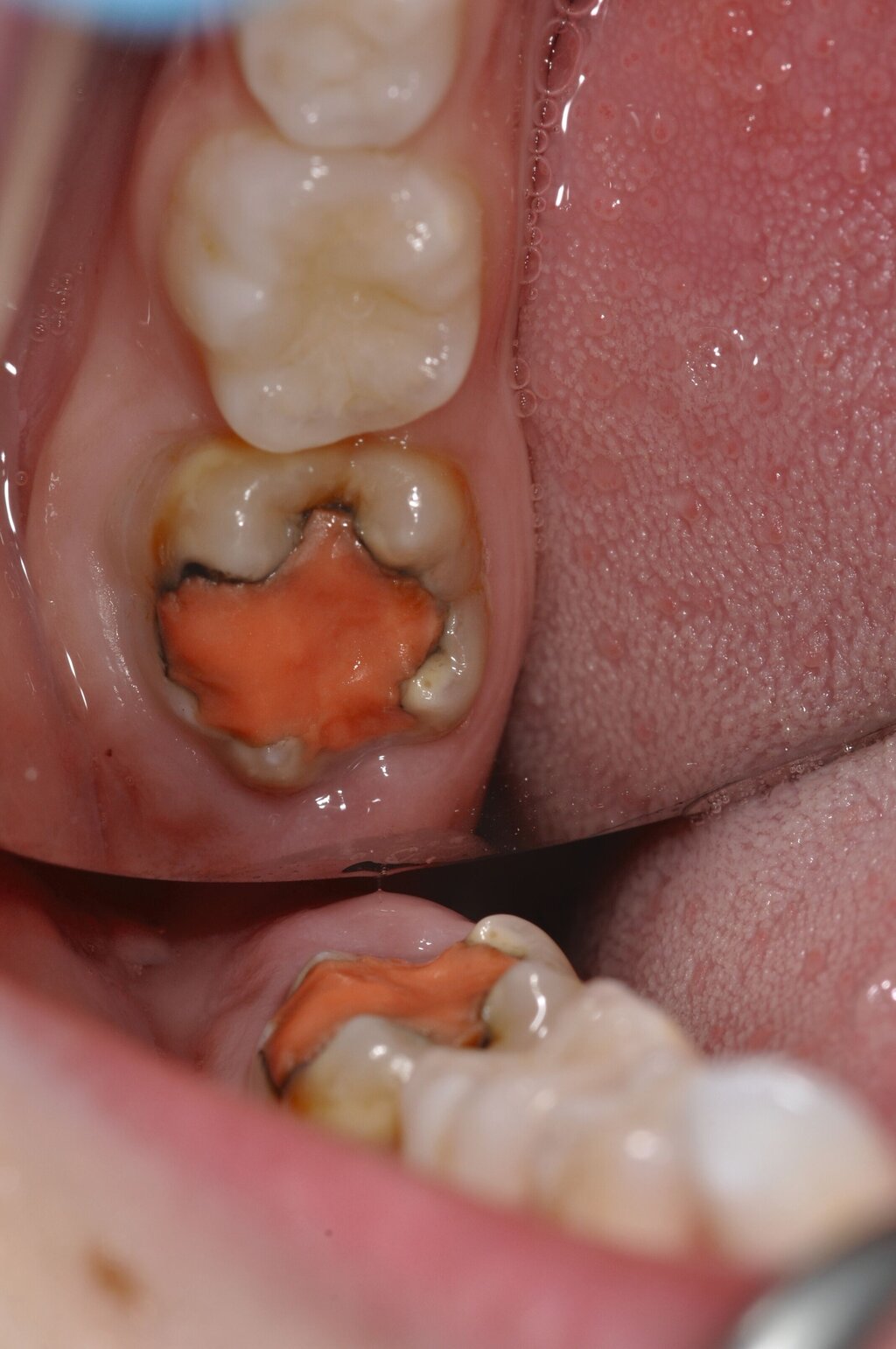
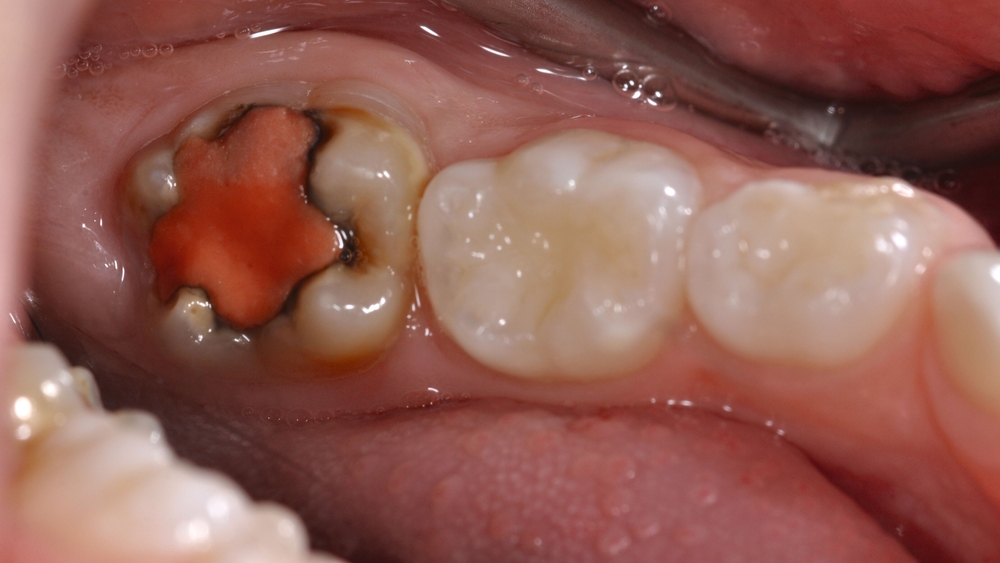
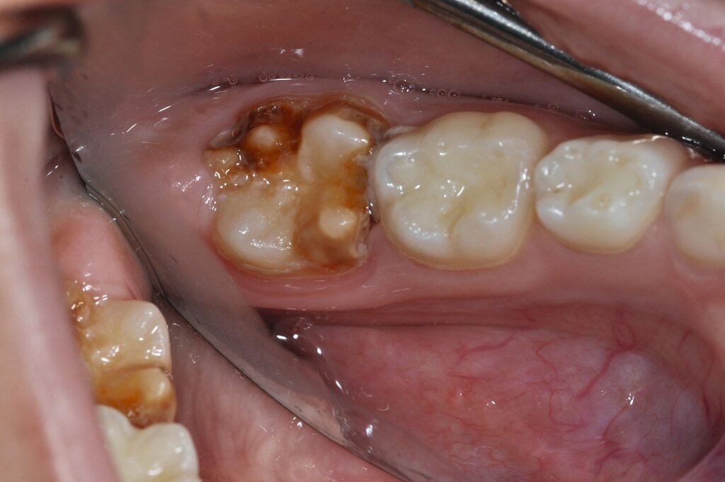
Die Therapie C hat das Ziel, MIH-Zähne vorübergehend zu versorgen, bis der vollständige Durchbruch der Zähne eine adhäsive Restauration ermöglicht, um die hypersensiblen Zähne zu desensibilisieren oder/und die Mitarbeit für die weitere Behandlung aufzubauen. Vor dem Hintergrund des erhöhten Kariesrisikos dieser Zähne (Abbildung 2) muss durch die Maßnahmen eine Kariesprogression vermieden werden.
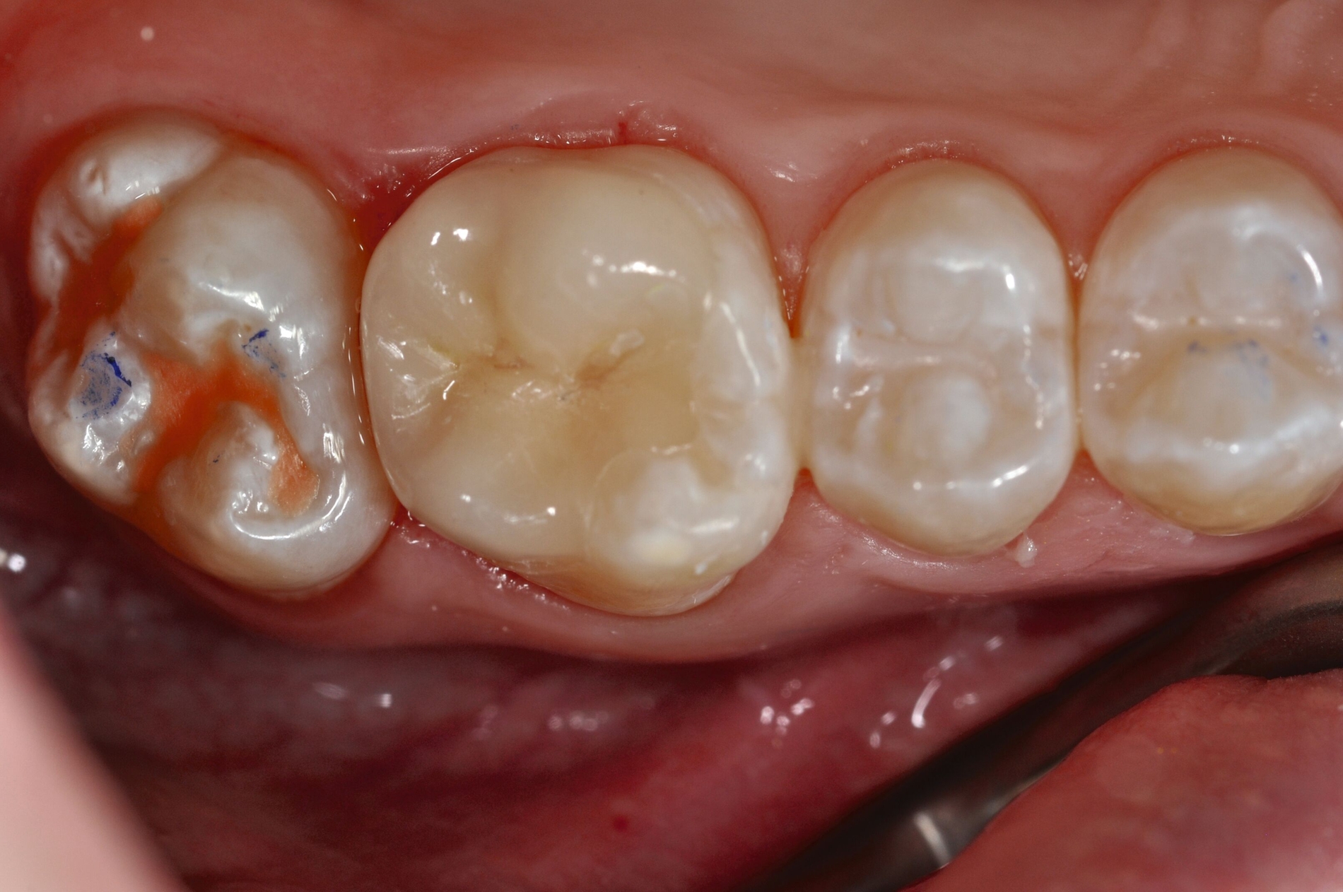
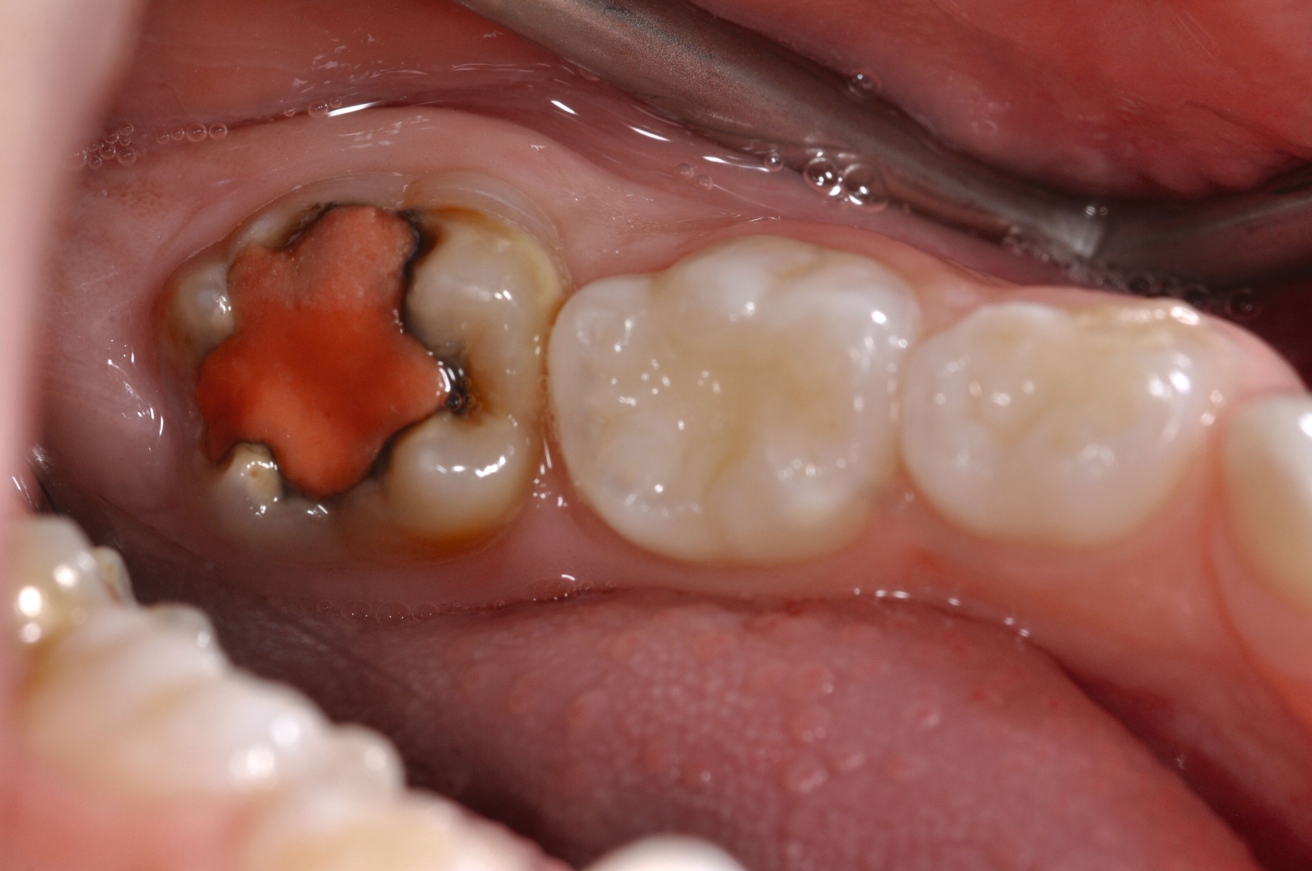
Als mögliche Maßnahme steht eine Abdeckung der Defekte mittels konventioneller Glasionomerzemente (GIZ) zur Verfügung. Vorteil der Materialien ist die schnelle und einfache Applikation der Zemente. Bei MIH-Molaren werden diese in der Regel mittels der sogenannten ART-Technik (Atraumatic Restorative Treatment) eingesetzt [Grossi et al., 2018]. Dabei wird lediglich mit einem Handinstrument die Zahnoberfläche gereinigt und gegebenenfalls Karies exkaviert. Anschließend wird die Kavität unter relativer Trockenlegung mit dem GIZ aufgefüllt.
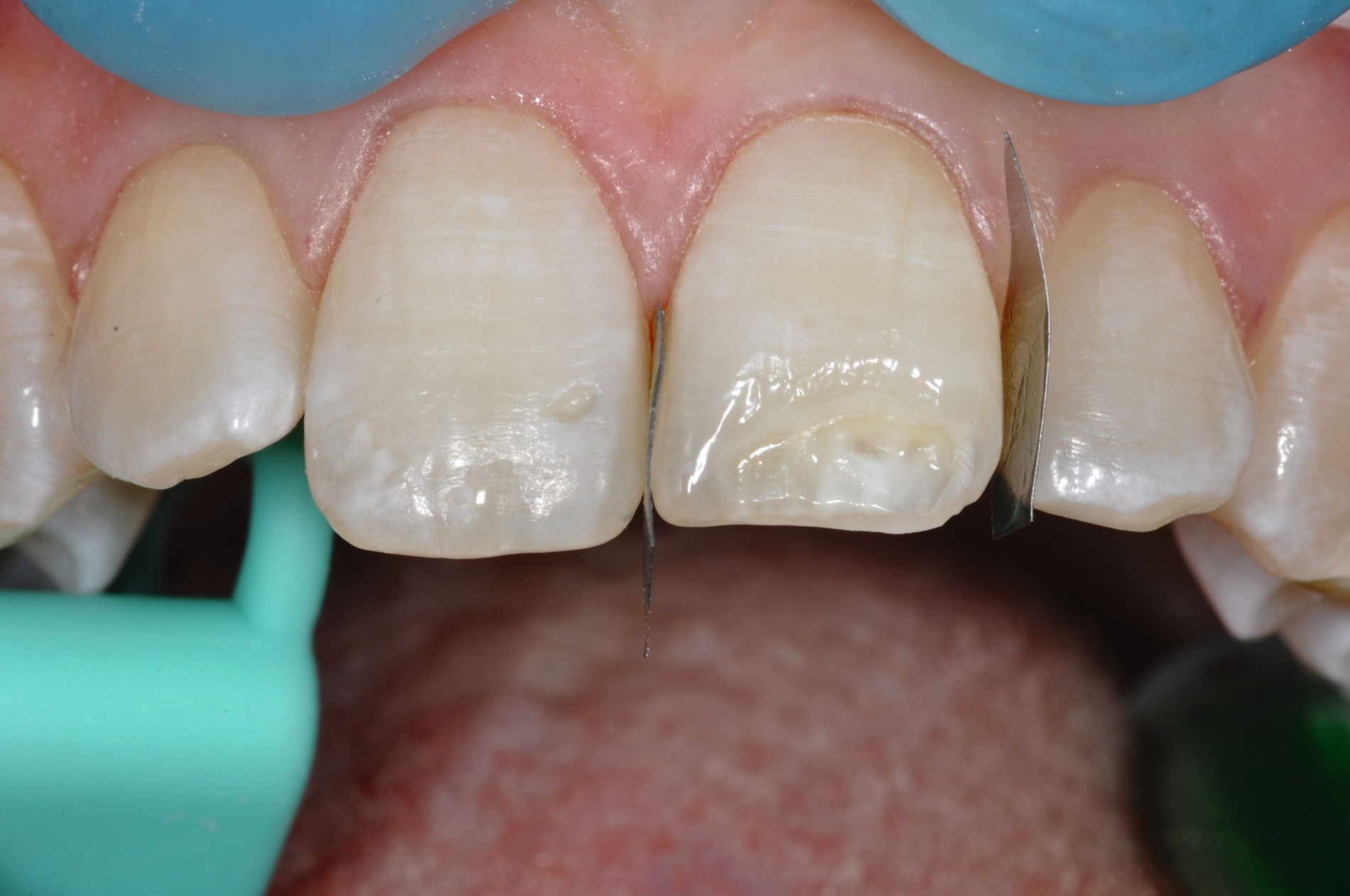
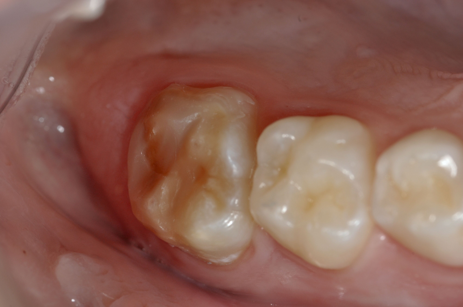
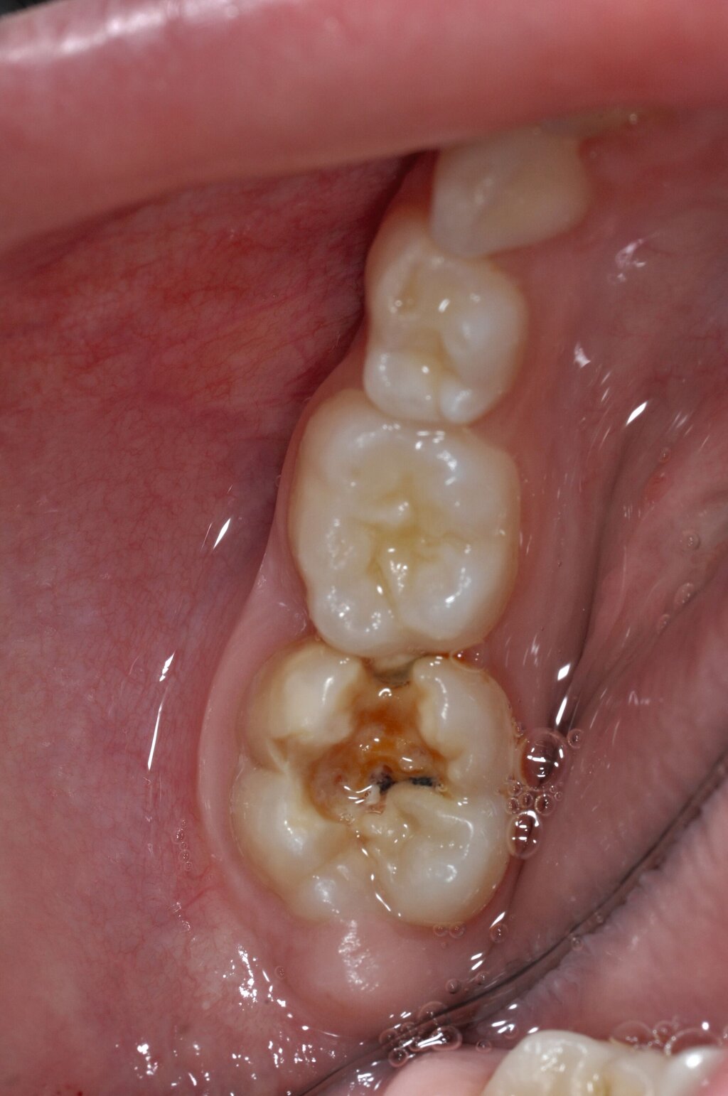
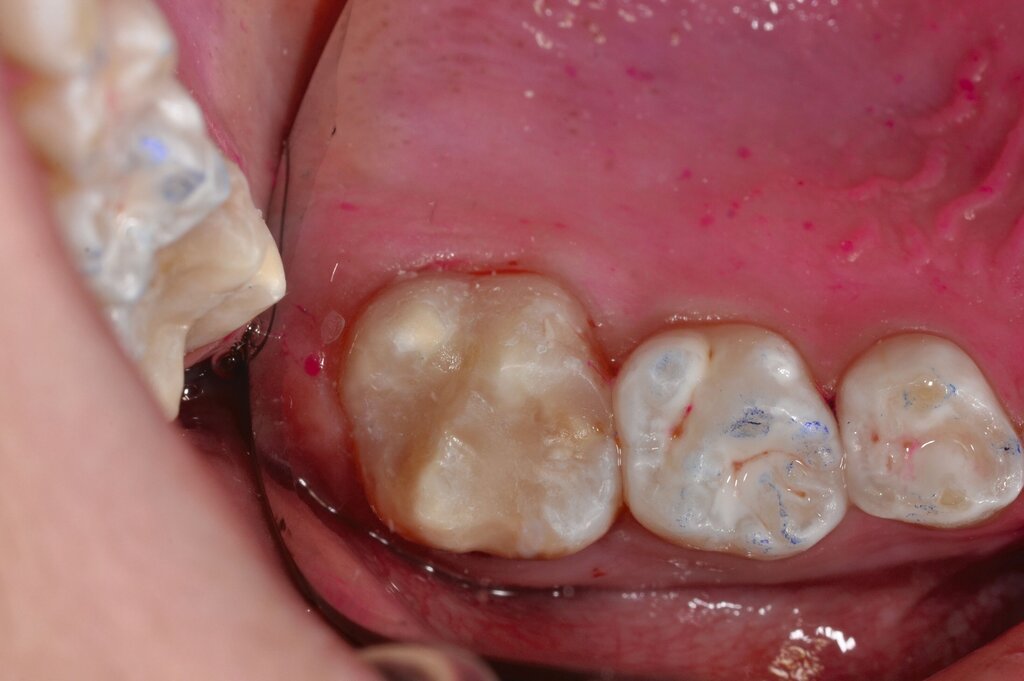
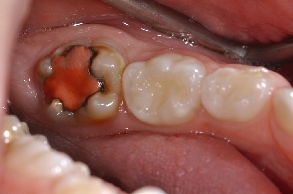
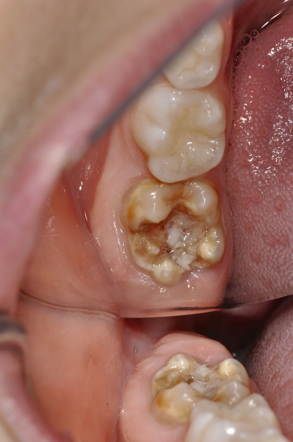
Der Vorteil der Methode ist, dass die betroffenen Zähne auch ohne Lokalanästhesie und Präparation versorgt werden können. Die temporäre Versorgung ermöglicht es, die Patienten an die zahnärztliche Behandlung zu gewöhnen. Häufig führt diese temporäre Versorgung auch zu einer Reduktion der Hypersensitivität der MIH-Zähne. Nachteil der GIZ-Versorgung ist das Risiko einer Füllungsfraktur oder eines vollständigen Verlusts der Füllung (Abbildung 4). Aktuelle Erhebungen bestätigen eine Erfolgsrate von über 80 Prozent nach einem bis zwei Jahren [Durmus et al., 2021; Mahfouz et al., 2025].



Der Behandlungsfall (Abbildung 4d) veranschaulicht die Schwächen des Verfahrens. Wird das Angebot der regelmäßigen Kontrollen nicht wahrgenommen, so droht bei Verlust der Füllung die Kariesprogression. In dem vorliegenden Fall konnte jedoch eine endodontische Maßnahme vermieden und durch die selektive Kariesentfernung die Zahnhartsubstanz weitestgehend erhalten werden.
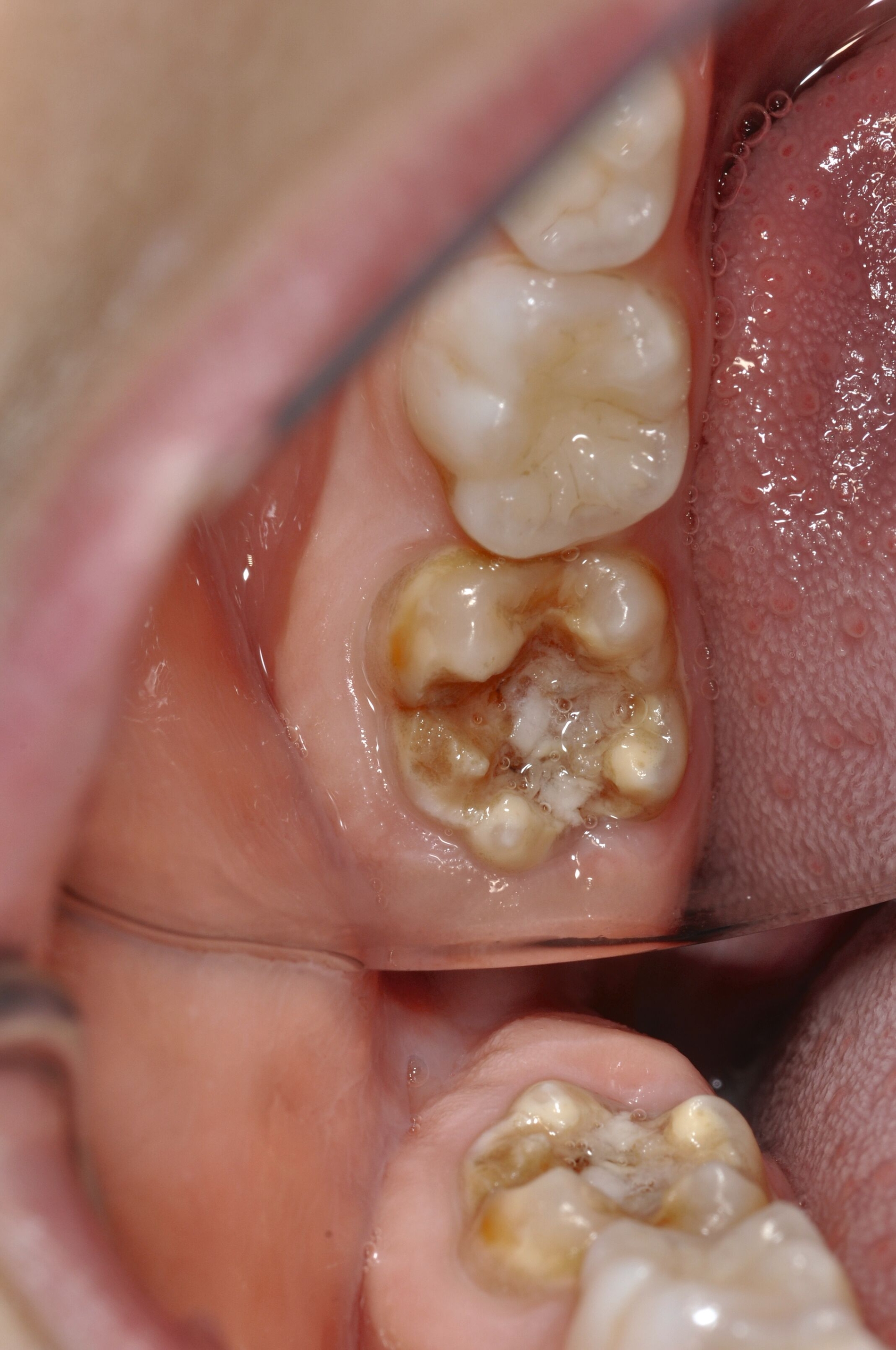
Mit der Einführung von Silberdiamminfluorid (SDF) als 38-prozentige Lösung wurde ein Verfahren vorgestellt, welches die Kariesprogression stoppt und zusätzlich zur Desensibilisierung überempfindlicher Zähne beiträgt [Seifo et al., 2020]. Seifo et al. beschrieben in einer Übersichtsarbeit, dass silberionenhaltige Präzipitate die freiliegenden Dentintubuli verschließen und das im SDF enthaltene Fluorid zur Bildung einer Kalziumfluoriddeckschicht auf der Dentinoberfläche beiträgt [Seifo et al., 2019].
Dieser gewünschte Effekt hat dazu geführt, dass SDF insbesondere bei der temporären Versorgung von hypersensiblen MIH-Molaren mit freiliegenden Dentinoberflächen eine zunehmend bedeutsame Rolle spielt [Erbas et al., 2024; Linner et al., 2020; Saad et al., 2024; Seifo et al., 2019].
Allerdings muss dazu die Dentinoberfläche freiliegen, so dass der oben genannte Effekt auch wirken kann. Dabei wird die behandelte Oberfläche nach der Applikation von SDF mit einem GIZ abgedeckt. Diese Technik ist eine Modifikation der klassischen Applikation von ausschließlich SDF und wird als SMART-Technik (silver modified atraumatic restorative technique) bezeichnet [Lall M, 2024].
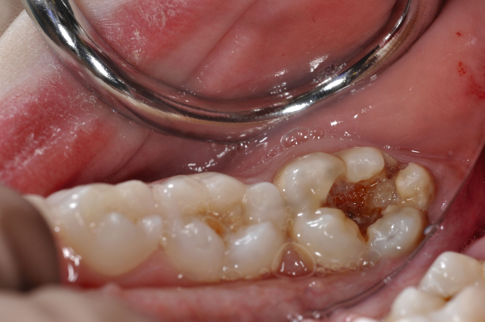
Mittlerweile gelingt es, mithilfe der SMART-Technik die Überempfindlichkeit der betroffenen Zähne wirksam zu reduzieren [Erbas et al., 2024; Lall M, 2024]. Abbildung 5 zeigt exemplarisch den Behandlungsverlauf bei einem sechsjährigen ängstlichen Patienten mit kälte- und berührungsempfindlichen Sechsjahrmolaren.




Die temporäre Therapie D (langfristig)
Die „temporäre Therapie“ umfasst neben den konfektionierten Edelstahlkronen (Abbildung 6) [Kotsanos et al., 2005; Oh et al., 2020] nun auch die vorgefertigten Zirkonoxidkronen [Geduk et al., 2023; Talekar et al., 2023]. Stahlkronen (SSC, stainless steel crowns; PMC, preformed metal crowns) werden heute auch mittels Halltechnik eingesetzt [Grizzo et al., 2022].
Vorteil ist dabei, dass aufgrund der geringen Schichtstärke der Kronen keine Zahnhartsubstanz geopfert werden muss. Die Indikation zum Einsatz dieses Verfahrens ist eine mittelfristige Versorgung über wenige Jahre, wenn beispielsweise der optimale Zeitpunkt für die Extraktion abgewartet werden muss. De Farias et al. konnten zeigen, dass über einen Zeitraum von 24 Monaten eine Versorgung von MIH-Molaren mit Stahlkronen eine signifikant höhere Überlebensrate aufwies als die Kompositversorgung [de Farias et al., 2022].
Die definitive Therapie E
Direkte Versorgung mit Kompositrestaurationen
Die definitive Versorgung der MIH-affektierten Molaren und Frontzähne umfasst die adhäsive Versorgung direkt mit Komposit oder indirekt mit Keramik oder Komposit.
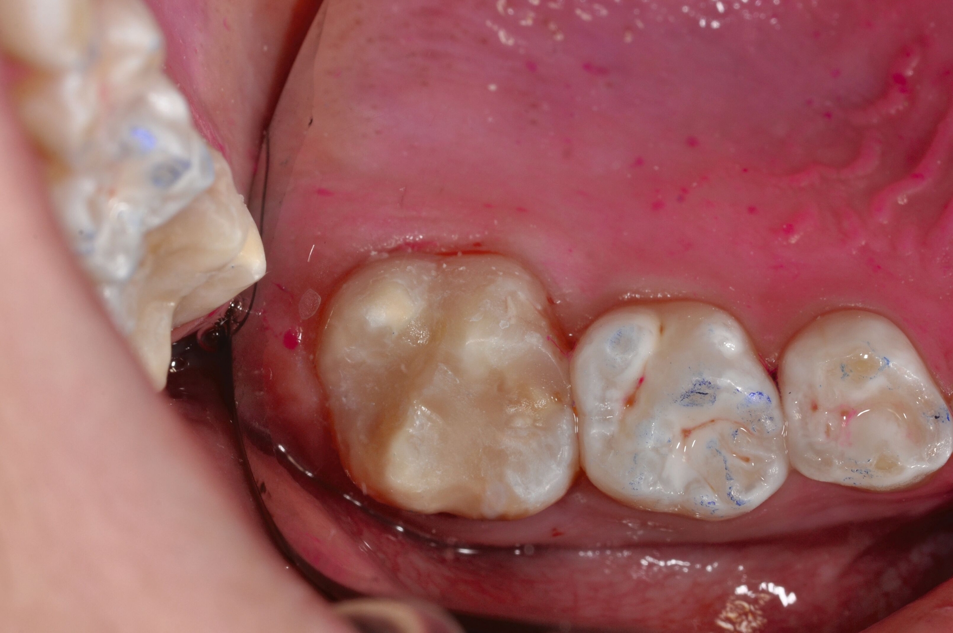
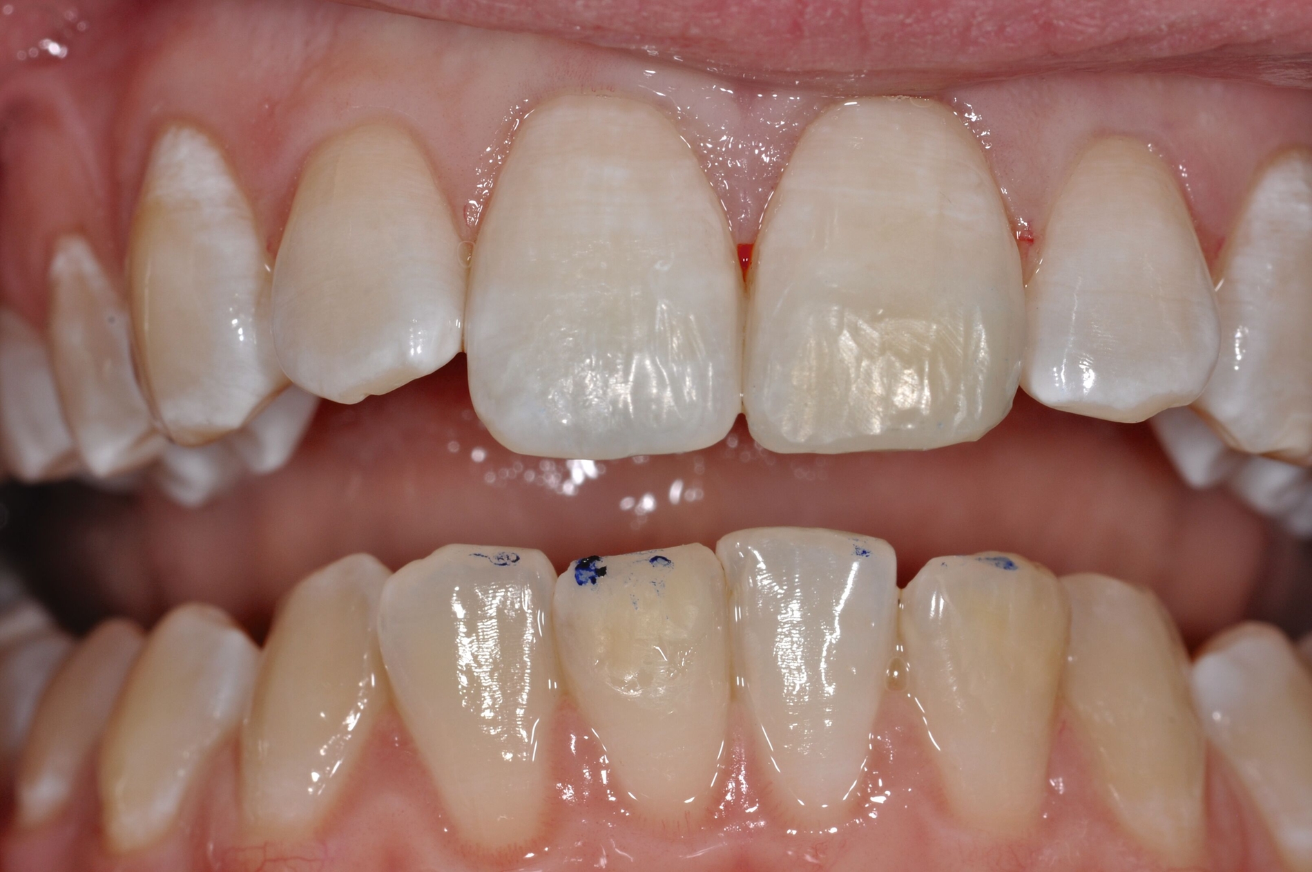
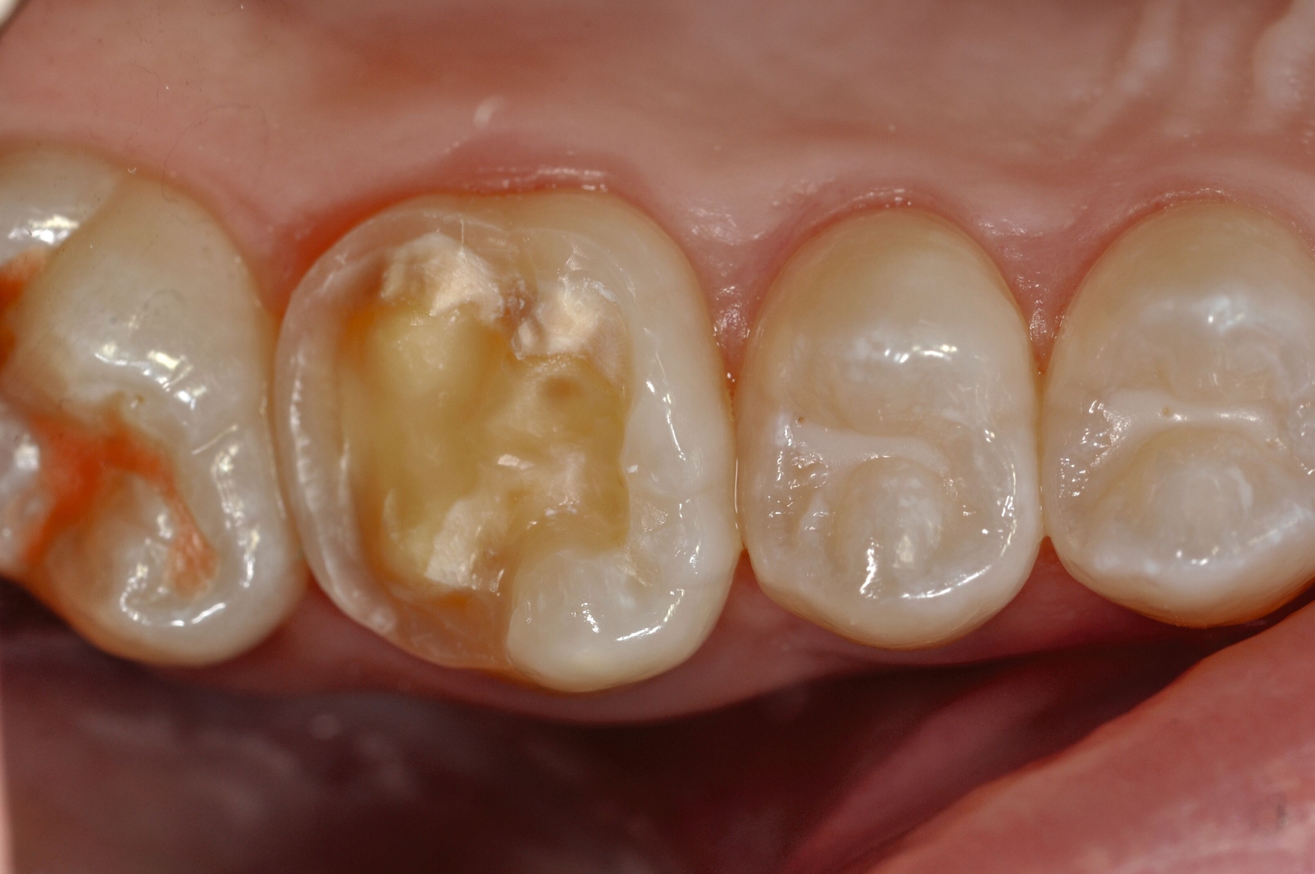
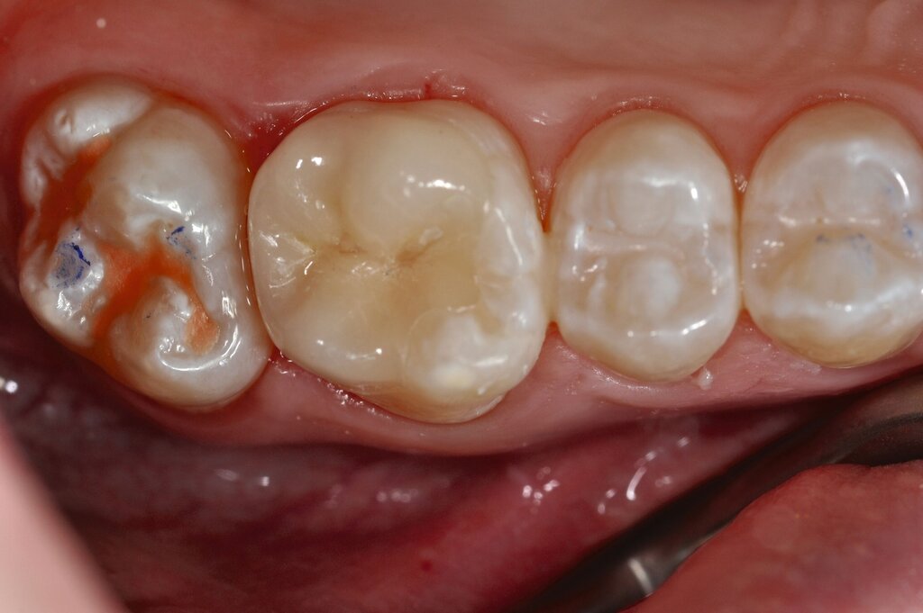
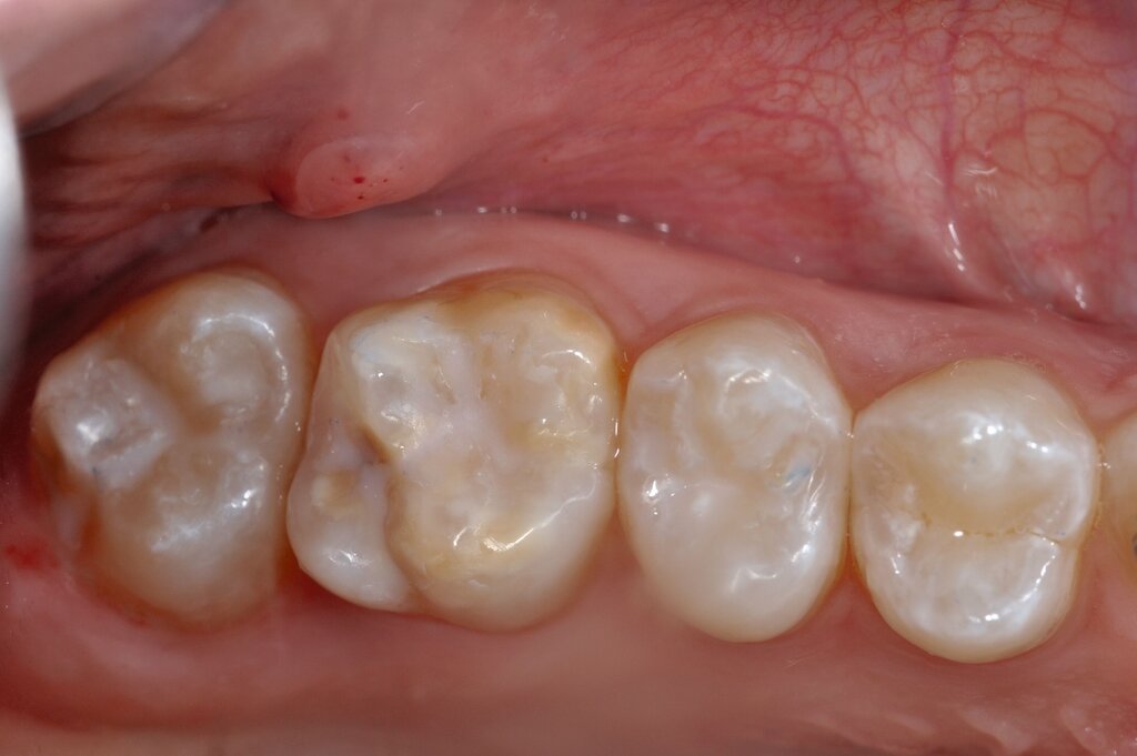
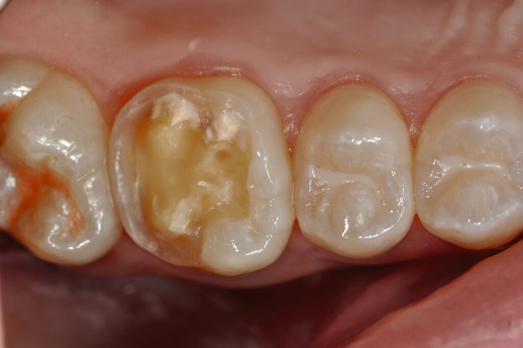
Die direkte Versorgung mit Komposit hat den Vorteil, dass durch die Verwendung von Dentinadhäsiven das Dentin dicht versiegelt werden kann. Hypersensitivitäten werden dadurch deutlich reduziert. Zudem kann der Zahn bei der direkten Versorgung sehr defektorientiert versorgt werden (Abbildung 7).
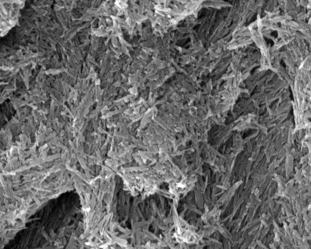
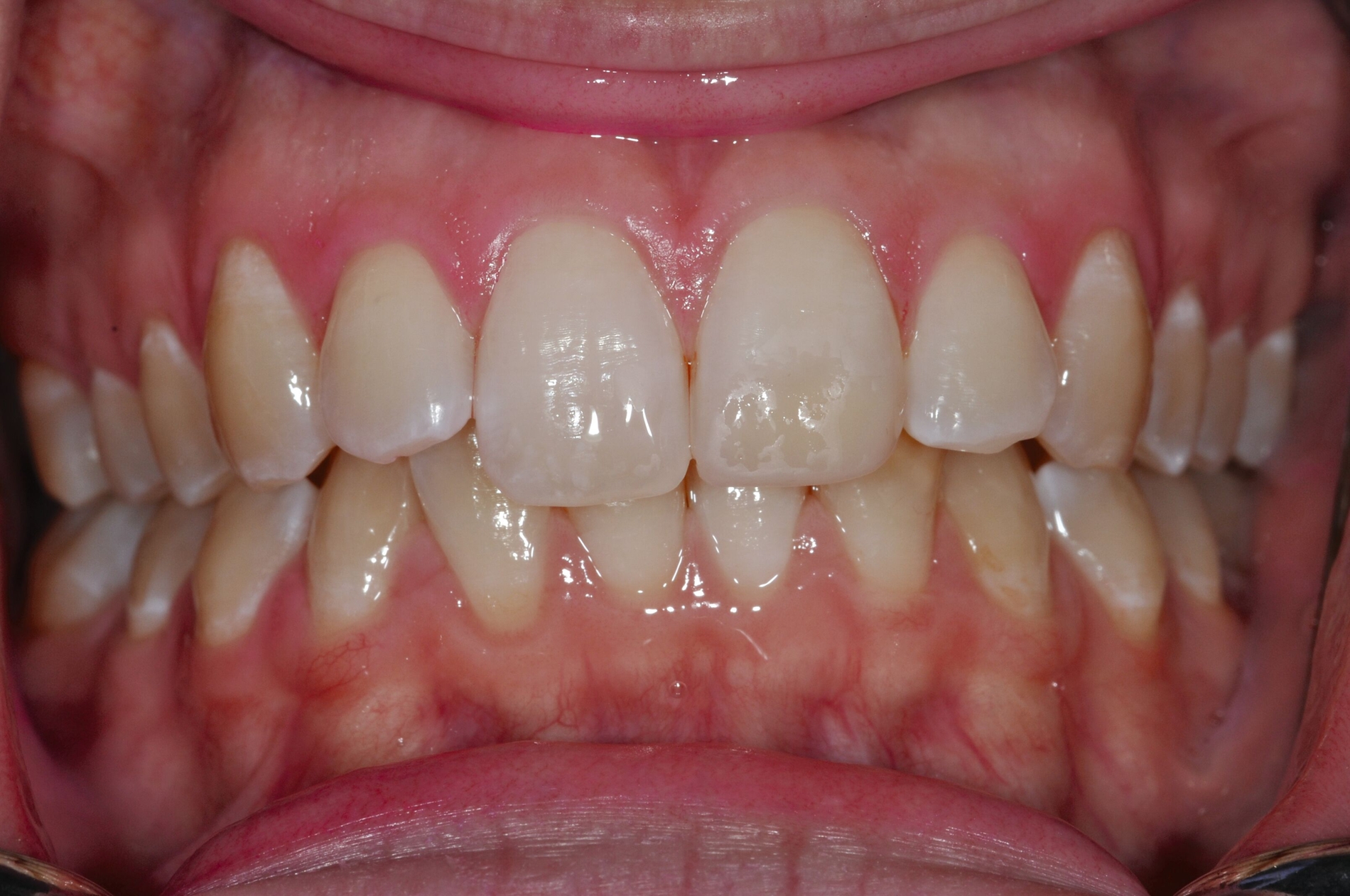
Während die Dentinhaftung unterhalb des affektierten Schmelzes vergleichbar mit der von gesundem Dentin ist, funktioniert die Haftung an dem strukturell veränderten Schmelz schlechter. Eigene Untersuchungen haben gezeigt, dass die Haftung an dem porösen, proteinreichen Schmelz stark reduziert ist (Abbildung 8) [Krämer et al., 2018]. Sind die Füllungsränder in dem veränderten Bereich lokalisiert, muss mit Randspalten und Abplatzungen gerechnet werden.

Bei größeren Restaurationen muss man im Laufe der Jahre mit Verfärbungen der Füllungen und mit Abrasionen rechnen. Dies spielt insbesondere eine Rolle, wenn im Seitenzahnbereich Höcker ersetzt werden müssen, da Kompositfüllungen mit Höckerersatz an MIH-Molaren eine etwas geringere durchschnittliche Überlebenszeit in der Mundhöhle haben als solche ohne Höckerrekonstruktion [Rolim et al., 2021].
Die Anzahl der klinischen Studien zur direkten adhäsiven Versorgung an MIH-Molaren ist begrenzt, so dass nur bedingt Aussagen zur Erfolgsrate getroffen werden können. So zeigten Linner et al. [2020], dass konventionelle direkte Kompositfüllungen eine kumulative Überlebensrate von rund 76 Prozent nach drei Jahren aufwiesen, die zwischen der von indirekten Keramikrestaurationen (100 Prozent) und GIZ-Füllungen (7 Prozent) lag [Linner et al., 2020].
Ähnliche Überlebensraten berichteten auch Rolim et al. [2021] für direkte Kompositfüllungen an MIH-Zähnen, die bei der Verwendung eines Universaladhäsivs in Etch-and-Rinse Technik bei 80,8 Prozent und in Self-Etch Technik bei 62,3 Prozent nach zwölf Monaten lagen [Rolim et al., 2021]. Wenngleich dies positive Ergebnisse hinsichtlich des kurz- und mittelfristigen Erfolgs direkter Kompositfüllungen bei MIH-Molaren sind, bleibt zu berücksichtigen, dass es weiteren Forschungsbedarf zur Bestimmung des Langzeiterfolgs dieser restaurativen Maßnahme gibt [Lygidakis et al., 2022].
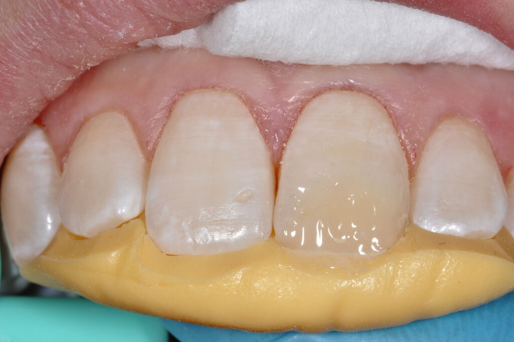
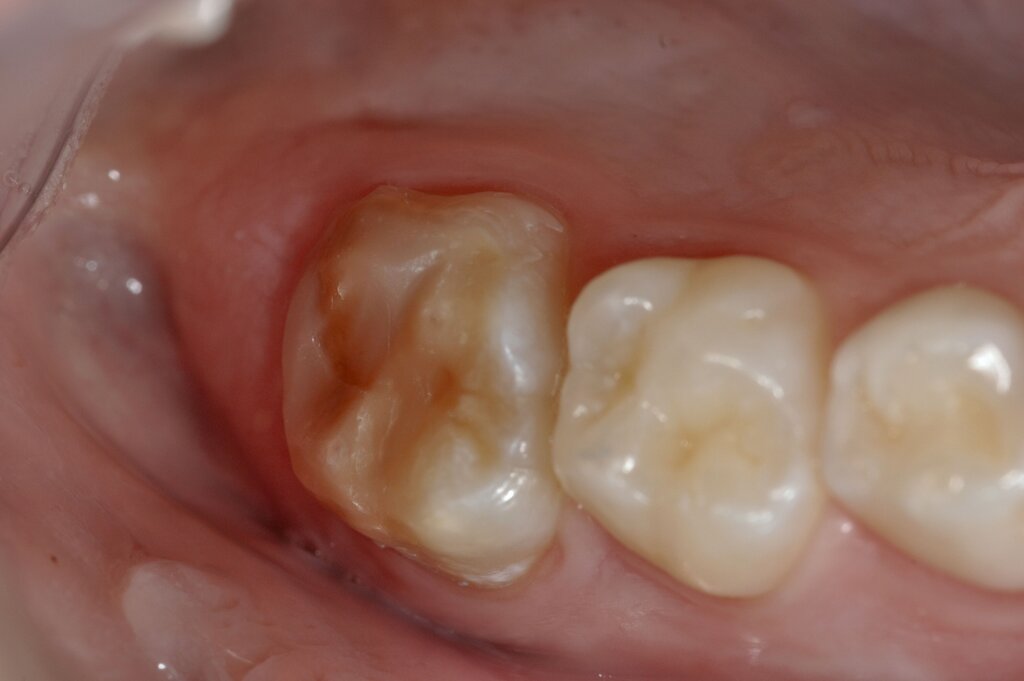
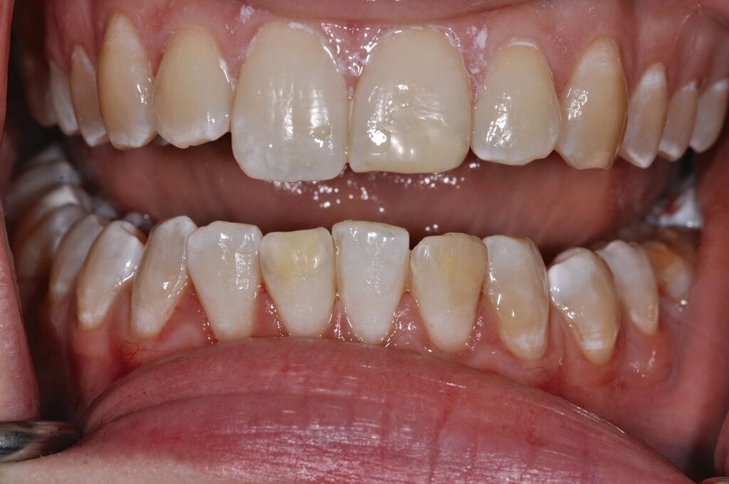
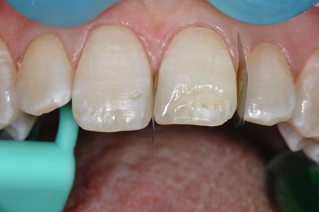
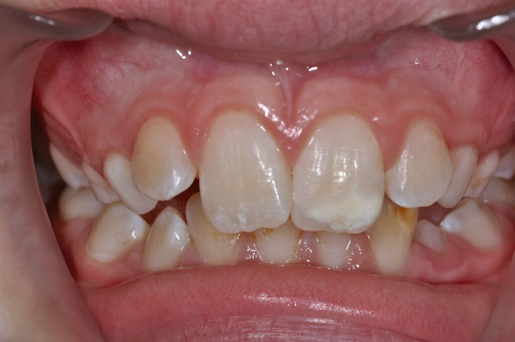
Die Versorgung der MIH-Frontzähne entspricht dem Vorgehen im Seitenzahnbereich. Problematisch ist die Maskierung der Opazitäten. Dazu müssen opake Komposite verwendet werden und es muss eine Schichtstärke von circa 1,5 mm garantiert sein (Abbildung 9).
Indirekte Versorgung mit zahnfarbenen Restaurationen
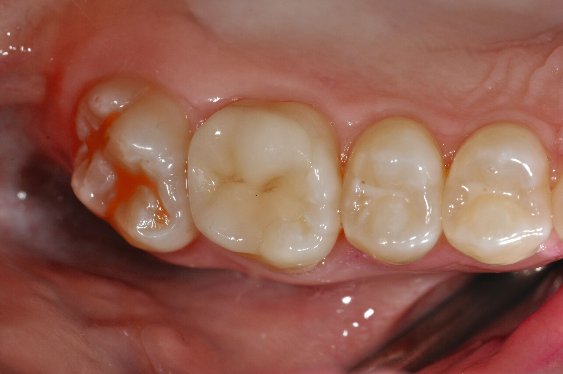
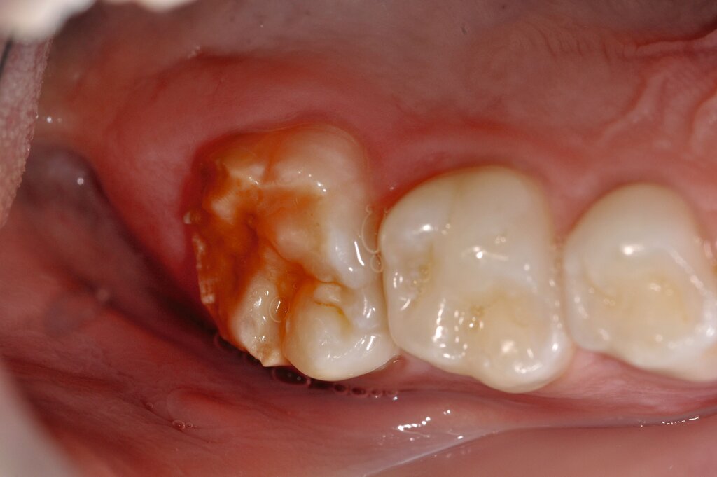
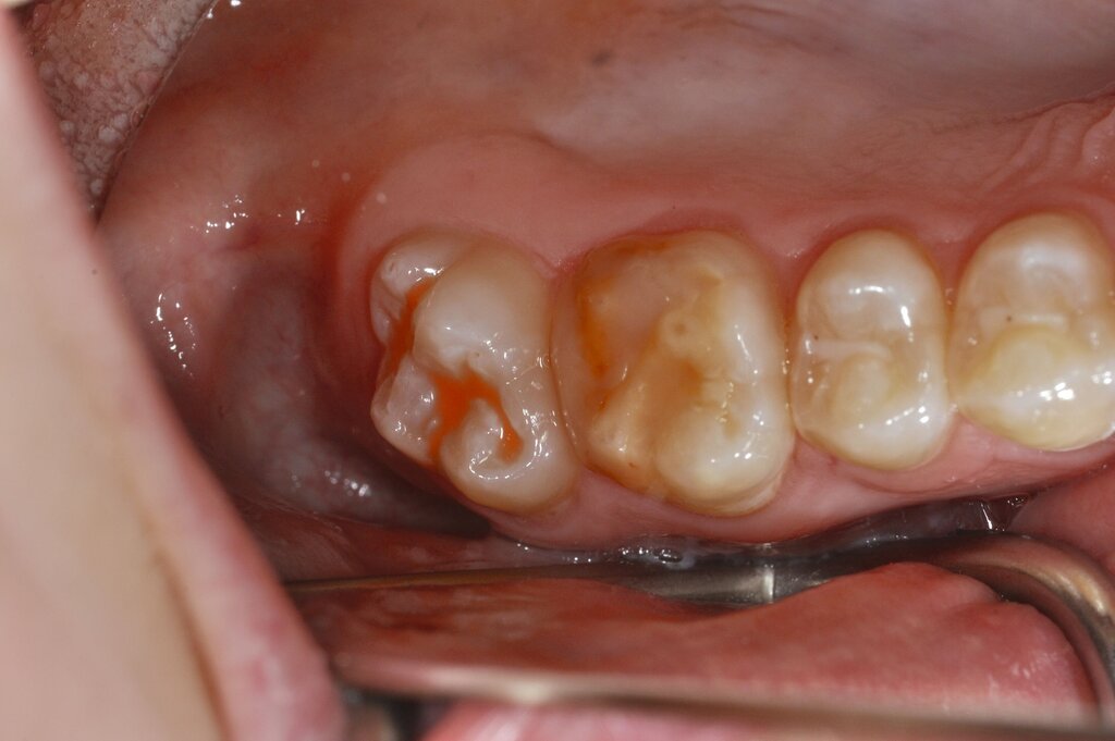
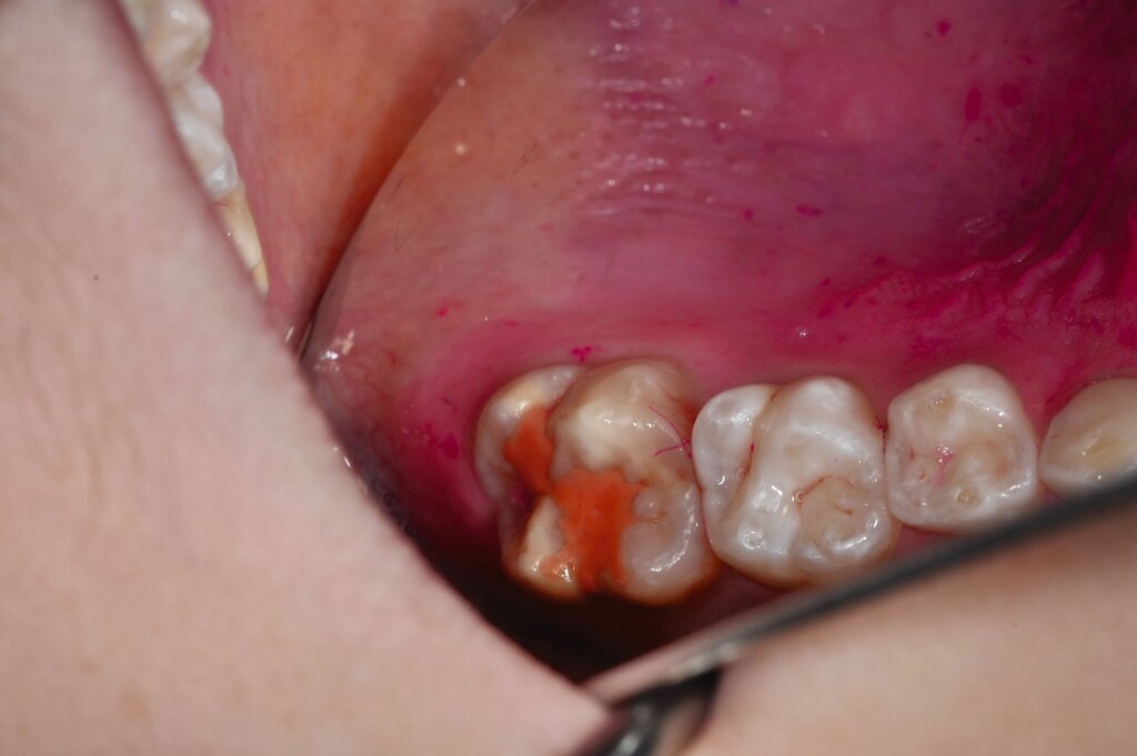
Für größere Defekte an MIH-Molaren müssen häufig tragende Höcker ersetzt werden. Dies stellt eine besondere Herausforderung dar, weil in diesen Fällen große Dentinflächen abgedeckt werden müssen (Abbildung 10). Da die direkte Kompositversorgung eher zur Materialermüdung und zum Verschleiß neigt, schlägt das Würzburger Konzept in diesen Fällen die indirekte adhäsive Versorgung der Zähne vor.
Der vorliegende Fall veranschaulicht den langen gemeinsamen Weg, den die Kinder mit dem Zahnarzt während der Schulzeit gehen. Eine hochqualitative indirekte Versorgung lässt sich bei durchbrechenden Zähnen kaum umsetzen. Außerdem muss bei der Präparation viel Zahnhartsubstanz geopfert werden, so dass bei den jugendlichen Zähnen ein hohes Risiko der Eröffnung der Pulpakammer bestehen würde.
Linner et al. konnten über eine 100-prozentige Erfolgsrate bei der Versorgung der MIH-Zähne zeigen [Linner et al., 2020], was auf eine strikte Einhaltung des adhäsiven Protokolls („total etch“ und „total bond“ sowie Einsetzen mit einem dual-härtenden Kompositzement) in dieser Studie zurückzuführen sein kann [Krämer et al., 2000].
Im Unterschied dazu erscheinen selbstadhäsive Zemente für das Einsetzen von zahnfarbenen Restaurationen bei MIH-Zähnen problematisch zu sein, da in einer klinischen Studie die Erfolgsrate nur 90 Prozent nach zwölf Monaten betrug. Zusätzlich wiesen die Autoren darauf hin, dass nach dem Einsetzen mit Hypersensitivitäten zu rechnen ist [Hakmi and Dashash, 2023].
Therapie F: Extraktion
Der Therapieplan wird unverändert mit der Therapie F, der Extraktion, abgeschlossen. In schweren Fällen, wenn zum Beispiel Sechsjahrmolaren mit MIH massive posteruptive Einbrüche der Zahnhartsubstanz aufweisen, die Pulpa betroffen ist oder Zahnabszesse vorliegen, ist eine geplante Extraktion mit anschließender Einstellung der Zwölfjahrmolaren sowie der Weisheitszähne eine Behandlungsoption (Abbildung 11).

Allerdings sollte vor der geplanten Extraktion eines Sechsjahrmolaren eine radiologische und kieferorthopädische Beurteilung der Gebisssituation erfolgen [Brusevold et al., 2022], um die Anlage der bleibenden Zahnkeime zu überprüfen und mögliche Dysgnathien zu diagnostizieren [Ashley and Noar, 2019]. Zusätzlich sollte der optimale Zeitpunkt für eine geplante Extraktion gewählt werden [Lygidakis et al., 2022].
Auch wenn ein Alter von acht bis zehn Jahren als geeigneter Zeitpunkt für die Extraktion eines Sechsjahrmolaren gilt, ist der spontane Lückenschluss nicht immer gewährleistet [Ashley und Noar, 2019]. Insbesondere bei der Extraktion von Sechsjahrmolaren im Unterkiefer gilt der spontane Lückenschluss als weniger wahrscheinlich als im Oberkiefer [Brusevold et al., 2022].
In Anbetracht der Tatsache, dass bei ausbleibendem spontanen Lückenschluss nach der Zahnextraktion eine kieferorthopädische Behandlung indiziert sein kann [Jälevik und Möller, 2007], ist eine sorgfältige Aufklärung und die Berücksichtigung der Wünsche der Kinder und deren Sorgeberechtigten wichtig, um im Einzelfall die bestmögliche Therapieentscheidung zu treffen.
Fazit
Eine invasive restaurative Versorgung von MIH-Zähnen ist heute bei nahezu der Hälfte der Patienten mit der Erkrankung notwendig. Das hier vorgestellte Würzburger MIH-Konzept hat sich dabei in den letzten neun Jahren klinisch bewährt. Bis heute ist der Index immer noch der einzige, der Schmelzdefekte und Hypersensitivität bei MIH-Zähnen gleichermaßen quantitativ erfasst. Die Behandlungsempfehlungen geben eine gute Hilfestellung, um unterschiedlich komplexe Fälle erfolgreich behandeln zu können.
Literaturliste
Amend, S, Nossol, C, Bausback-Schomakers, S, Wleklinski, C, Scheibelhut, C, Pons-Kuhnemann, J, Frankenberger, R, Kramer, N. Prevalence of molar-incisor-hypomineralisation (MIH) among 6-12-year-old children in Central Hesse (Germany). Clin Oral Investig 2021;25:2093-100.
Ashley, P, Noar, J. Interceptive extractions for first permanent molars: a clinical protocol. Br Dent J 2019;227:192-5.
Bekes, K, Amend, S, Priller, J, Zamek, C, Stamm, T, Kramer, N. Hypersensitivity relief of MIH-affected molars using two sealing techniques: a 12-week follow-up. Clin Oral Investig 2022;26:1879-88.
Bekes, K, Meyer-Lueckel, H, Jordan, AR, Kuhr, K, Schiffner, U. Molar incisor hypomineralization: results of the 6th German Oral Health Study (DMS * 6). Quintessence Int 2025;56:S70-S74.
Bekes, K, Steffen, R, Kramer, N. Update of the molar incisor hypomineralization: Wurzburg concept. Eur Arch Paediatr Dent 2023;24:807-13.
Brusevold, IJ, Kleivene, K, Grimsoen, B, Skaare, AB. Extraction of first permanent molars severely affected by molar incisor hypomineralisation: a retrospective audit. Eur Arch Paediatr Dent 2022;23:89-95.
Contac, LR, Pop, SI, Dobreanu, M, Oprica, M, Voidazan, S, Bica, CI. Salivary Cortisol as a Biomarker for Assessing Fear and Anxiety in Patients with Molar-Incisor Hypomineralization. Diagnostics (Basel ) 2025;15.
de Farias, AL, Rojas-Gualdron, DF, Mejia, JD, Bussaneli, DG, Santos-Pinto, L, Restrepo, M. Survival of stainless-steel crowns and composite resin restorations in molars affected by molar-incisor hypomineralization (MIH). Int J Paediatr Dent 2022;32:240-50.
Durmus, B, Sezer, B, Tugcu, N, Caliskan, C, Bekiroglu, N, Kargul, B. Two-Year Survival of High-Viscosity Glass Ionomer in Children with Molar Incisor Hypomineralization. Med Princ Pract 2021;30:73-9.
Erbas, UG, Ballikaya, E, Cehreli, ZC. Clinical comparison of silver diamine fluoride (SDF) or silver-modified atraumatic restorative technique (SMART) on hypomineralised permanent molars with initial carious lesions: 3-year results of a prospective, randomised trial. J Dent 2024;147:105098.
Fresen, KF, Gaballah, R, Schill, HI, Amend, S, Sarpari, K, Pitchika, V, Kramer, N, Kuhnisch, J. Prevalence and association of caries and enamel hypomineralisation (EH)/molar-incisor hypomineralisation (MIH) in 8- to 10-year-old children from Bavaria, Germany. Caries Res 2024;1-21.
Gaballah, R, Amend, S, Fresen, KF, Schill, H, Michel, R, Pitchika, V, Kuhnisch, J, Kramer, N. Hypersensitivity associated with molar-incisor hypomineralisation (MIH) among elementary schoolchildren in Bavaria, Germany: results from a cross-sectional study. Eur Arch Paediatr Dent 2025;26:987-96.
Garot, E, Rouas, P, Somani, C, Taylor, GD, Wong, F, Lygidakis, NA. An update of the aetiological factors involved in molar incisor hypomineralisation (MIH): a systematic review and meta-analysis. Eur Arch Paediatr Dent 2022;23:23-38.
Geduk, N, Ozdemir, M, Erbas, UG, Ballikaya, E, Cehreli, ZC. Clinical and radiographic performance of preformed zirconia crowns and stainless-steel crowns in permanent first molars: 18-month results of a prospective, randomized trial. BMC Oral Health 2023;23:828.
Grizzo, IC, Bisaia, A, Di Leone, CCL, Di Campli, FGR, Mendonca, FL, Rios, D. Revisiting the use of stainless steel crowns for treatment of molar-incisor hypomineralization: a case series. Gen Dent 2022;70:62-6.
Grossi, JA, Cabral, RN, Ribeiro, APD, Leal, SC. Glass hybrid restorations as an alternative for restoring hypomineralized molars in the ART model. BMC Oral Health 2018;18:65.
Hakmi, A, Dashash, M. Direct or indirect composite for restoring permanent first molars affected by Molar Incisor Hypomineralisation (MIH): a randomized clinical controlled trial. BDJ Open 2023;9:37.
Jalevik, B, Moller, M. Evaluation of spontaneous space closure and development of permanent dentition after extraction of hypomineralized permanent first molars. Int J Paediatr Dent 2007;17:328-35.
Karim, R, Baider, M, Splieth, CH, Schmoeckel, J. Efficiency of glass ionomer sealant application in reducing hypersensitivity in MIH-molars in schoolchildren immediately and after 12 weeks. Eur Arch Paediatr Dent 2025;26:361-73.
Kotsanos, N, Kaklamanos, EG, Arapostathis, K. Treatment management of first permanent molars in children with Molar-Incisor Hypomineralisation. Eur J Paediatr Dent 2005;6:179-84.
Krämer, N, Bui Khac, NN, Lucker, S, Stachniss, V, Frankenberger, R. Bonding strategies for MIH-affected enamel and dentin. Dent Mater 2018;34:331-40.
Krämer, N, Lohbauer, U, Frankenberger, R. Adhesive luting of indirect restorations. Am J Dent 2000;13:60D-76D.
Lall, M. Is SDF better than the SMART (silver modified atraumatic restorative technique) in the management of molar incisor hypomineralisation molars with initial caries? Evid Based Dent 2024.
Lall, M. Is SDF better than the SMART (silver modified atraumatic restorative technique) in the management of molar incisor hypomineralisation molars with initial caries? Evid Based Dent 2024.
Linner, T, Khazaei, Y, Bucher, K, Pfisterer, J, Hickel, R, Kuhnisch, J. Comparison of four different treatment strategies in teeth with molar-incisor hypomineralization-related enamel breakdown-A retrospective cohort study. Int J Paediatr Dent 2020;30:597-606.
Lygidakis, NA, Garot, E, Somani, C, Taylor, GD, Rouas, P, Wong, FSL. Best clinical practice guidance for clinicians dealing with children presenting with molar-incisor-hypomineralisation (MIH): an updated European Academy of Paediatric Dentistry policy document. Eur Arch Paediatr Dent 2022;23:3-21.
Lygidakis, NA, Wong, F, Jalevik, B, Vierrou, AM, Alaluusua, S, Espelid, I. Best Clinical Practice Guidance for clinicians dealing with children presenting with Molar-Incisor-Hypomineralisation (MIH): An EAPD Policy Document. Eur Arch Paediatr Dent 2010;11:75-81.
Mahfouz, RA, Hanno, AG, Rahman, AMAE. Zirconia-reinforced glass ionomer restorations in molar incisor hypomineralization: a randomized controlled clinical trial. Clin Oral Investig 2025;29:290.
Oh, NY, Nam, SH, Lee, JS, Kim, HJ. Retrospective study on the survival rate of preformed metal crowns in permanent first molars. Journal of the Academy of Pediatric Dentistry 2020;47:140-7.
Olczak-Kowalczyk, D, Kramer, N, Gozdowski, D, Turska-Szybka, A. Developmental enamel defects and their relationship with caries in adolescents aged 18 years. Sci Rep 2023;13:4932.
Ozgul, BM, Sakaryali, D, Tirali, RE, Cehreli, SB. Does MIH Affects Preoperative and Intraoperative Hypersensitivity? J Clin Pediatr Dent 2022;46:204-10.
Preusser, SE, Ferring, V, Wleklinski, C, Wetzel, WE. Prevalence and severity of molar incisor hypomineralization in a region of Germany -- a brief communication. J Public Health Dent 2007;67:148-50.
Rolim, TZC, da Costa, TRF, Wambier, LM, Chibinski, AC, Wambier, DS, Da Silva Assuncao, LR, de Menezes, JVBN, Feltrin-Souza, J. Adhesive restoration of molars affected by molar incisor hypomineralization: a randomized clinical trial. Clin Oral Investig 2021;25:1513-24.
Saad, AE, Alhosainy, AY, Abdellatif, AM. „Evaluation of Silver Diamine Fluoride Modified Atraumatic Restorative Treatment (SMART) on hypomineralized first permanent molar“- a randomized controlled clinical study. BMC Oral Health 2024;24:1182.
Seifo, N, Cassie, H, Radford, JR, Innes, NPT. Silver diamine fluoride for managing carious lesions: an umbrella review. BMC Oral Health 2019;19:145.
Seifo, N, Robertson, M, MacLean, J, Blain, K, Grosse, S, Milne, R, Seeballuck, C, Innes, N. The use of silver diamine fluoride (SDF) in dental practice. Br Dent J 2020;228:75-81.
Sekundo, C, Jung, M, Muscholl, C, Frese, C. Oral health-related quality of life and survival analysis after preventive and restorative treatment of molar-incisor hypomineralisation. Sci Rep 2024;14:777.
Steffen, R, Krämer, N, Bekes, K. The Wurzburg MIH concept: the MIH treatment need index (MIH TNI) : A new index to assess and plan treatment in patients with molar incisior hypomineralisation (MIH). Eur Arch Paediatr Dent 2017;18:355-61.
Talekar, AL, Waggoner, WF, Silotry, TMH, Musale, PK, Chaudhari, GS. Prospective, Randomized, Clinical Evaluation of Preformed Zirconia Crowns and Stainless Steel Crowns on Permanent First Molars: 12-Month Results. Pediatr Dent 2023;45:232-9.
Weerheijm, KL, Duggal, M, Mejare, I, Papagiannoulis, L, Koch, G, Martens, LC, Hallonsten, AL. Judgement criteria for molar incisor hypomineralisation (MIH) in epidemiologic studies: a summary of the European meeting on MIH held in Athens, 2003. Eur J Paediatr Dent 2003;4:110-3.
































