Nichtinvasive Therapie der MIH
Die MIH ist eine systematisch bedingte Hypomineralisation im Kindes- und Jugendalter, die durch abgegrenzte Opazitäten, die an den ersten permanenten Molaren – mit oder ohne Beteiligung der bleibenden Inzisivi – auftreten, gekennzeichnet ist [Garot et al., 2022]. Die MIH tritt weltweit auf. In Deutschland sind es nach Angaben der Sechsten Deutschen Mundgesundheitsstudie (DMS • 6) 15,3 Prozent der 12-Jährigen, die von einer MIH betroffen sind [Bekes et al., 2025].
PD Dr. med. dent. Nelly Schulz-Weidner
2001: Staatsexamen und Approbation
2002: Promotion: „Häufigkeit und PCR-Typisierung von Candida albicans aus der Mundhöhle und dem Magen-Darm-Trakt bei Kindern mit naturgesunden und kariösen Gebissen“, Justus-Liebig-Universität Gießen
2007: Zahnärztin mit Zusatzqualifikation in Kinder- und Jugendzahnheilkunde (DGZMK) (Spezialistin für Kinder- und Jugendzahnmedizin)
2009: Ernennung zur Oberärztin der Poliklinik für Kinderzahnheilkunde
2023: Habilitation am Fachbereich Medizin der Justus-Liebig-Universität Gießen „Kinder mit angeborener Herzerkrankung in ihrer zahnärztlichen Betreuung und Therapie“
Klinische Schwerpunkte: Zahnärztliche Betreuung und Versorgung von Kindern mit Allgemeinerkrankungen und/oder Behinderung, Zahnärztliche Versorgung von Kindern in Allgemeinanästhesie, Mundgesundheit und Therapie bei Kindern mit Allgemeinerkrankungen und/oder Behinderungen, Digitalisierung in der Kinderzahnheilkunde
Hypersensibilitäten
Neben Opazitäten können auch posteruptive Schmelzeinbrüche sowie Hypersensibilitäten auftreten. Dabei scheint eine frühzeitige Porosität des Schmelzes zu einer Bakterieninvasion und einer chronischen Pulpainfektion zu führen [Rodd et al., 2007; Lygidakis et al., 2010]. Hypersensibilitäten liegen dabei vor allem bei mittelschweren und schweren Fällen vor, können aber auch bei leichten Formen auftreten [Raposo et al., 2019].
Die Überempfindlichkeiten sind für betroffene Kinder mit starken Beeinträchtigungen verbunden. Neben Einschränkungen in der Mundhygiene und bei der Nahrungsaufnahme – insbesondere bei kalten und heißen Lebensmitteln – kann auch die zahnärztliche Betreuung erschwert sein. So kann der Püster problematisch sein, da allein die auf den Zahn gerichtete Luft bereits Beschwerden verursacht.
In vielen Fällen ist auch die Lokalanästhesie erschwert und beeinträchtigt dadurch die Behandlung [Lygidakis et al., 2022]. Darüber hinaus ist die Karieserfahrung bei Kindern und Jugendlichen mit MIH erhöht. So wiesen in der DMS • 6 8,2 Prozent der MIH-Betroffenen auch Karies auf [Bekes et al., 2025]. Dies zeigt neben der Notwendigkeit von etablierten strukturierten Therapien für hypomineralisierte Zähne und den damit möglichen verbundenen Hypersensibilitäten auch, dass die Kariesprävention zur Vermeidung einer zusätzlichen oralen Beeinträchtigung von Bedeutung ist.
Non-invasive Interventionen
Non-invasive Behandlungsmöglichkeiten im Rahmen der MIH-Therapie lassen sich gut anhand des „Würzburger Konzepts“ ableiten, das erstmals 2016 im deutschsprachigen Raum publiziert [Steffen et al., 2016; Bekes und Steffen, 2016] und 2023 aktualisiert wurde [Bekes et al., 2023]. Die Therapie differenziert nach Seitenzahn- und Frontzahngruppe, berücksichtigt mögliche Hypersensibilitäten und behandelt aktualisiert auch die betroffenen Frontzähne (Tabelle 1). Insgesamt sollte aber zudem die Patienten- und Praxisebene mit in das Betreuungskonzept eingebunden werden [Schmöckel et al., 2025]. Die begleitende Prophylaxe als Behandlungsoption flankiert dabei alle anderen Behandlungsmöglichkeiten.
Prophylaxe (und/oder Regeneration)
At-home-/In-office-Prophylaxe
Aus kariesprophylaktischer Sicht umfasst die häusliche Prophylaxe zuallererst das klassische zweimalige tägliche Zähneputzen mit einer fluoridhaltigen Zahnpasta (mindestens 1.450 ppm Fluorid). Ergänzend wird die häusliche Anwendung einer Casein-Phosphopeptid-amorphen Calciumphosphat (CPP-ACP)-Paste als Quelle für bioverfügbares Kalzium und Phosphat zur Unterstützung der Mineralisierung empfohlen [Bakkal et al., 2017].
So unterstützt CPP-ACP die positive Veränderung des Schmelzes in Bezug auf Mineralisierung, Morphologie und Porosität (Regeneration) [Baroni und Marchionni, 2011] und scheint auch die Hypersensibilität zu vermindern [Pasini et al., 2018], was die Empfehlung zur Verwendung dieser Pasten bei betroffenen Patienten unterstreicht.
Auch die Verwendung von Tri-Calcium-Phosphat(TCP)-Pasten wird bei von MIH betroffenen Patienten empfohlen, um vor allem die Hypersensibilitäten zu vermindern. Diese ursprünglich zur Behandlung von Dentinhypersensibilitäten entwickelten Ansätze finden sich auch in der Verwendung von Pro-Argin-Pasten. So zeigten Bekes et al.,dass unmittelbar nach der Behandlung mittels Pro-Argin-Technologie eine signifikante Reduktion der Hypersensibilität erreicht werden konnte [Bekes et al., 2017].
Die empfohlene In-Office-Therapie flankiert jede „MIH-Betreuung“ und sollte aufgrund des erhöhten Kariesrisikos zwei- bis viermal jährlich durchgeführt werden. Die Fluoridtouchierung mittels Fluoridierungslack kann je nach Kariesrisiko alle drei bis sechs Monate erfolgen.
Durch die Kombination topischer Fluoridtouchierung mit häufigen Kontrollterminen im Abstand von drei bis sechs Monaten kann der Zahnarzt die betroffenen Zähne regelmäßig monitoren, um eine eventuell notwendige weiterführende Therapie zu veranlassen [Lykidakis, 2022]. Insgesamt sollte neben der In-office-Fluoridlackapplikation dieser Recall-Kontrolltermin die Durchführung der zahnärztlichen Prophylaxe (IP) mit Elternberatung (Mundhygiene, Ernährung) beinhalten.
Fluoridlacke und oben genannte At-home-Präparate bieten somit einen strukturierten Ansatz, um die betroffenen Patienten in der Prophylaxe zu betreuen.
Non-invasive Therapie
Während die Prophylaxe die Front- und Seitenzähne umfasst, wird die non-invasive Therapie für beide Zahngruppen differenziert beschrieben.
Molaren
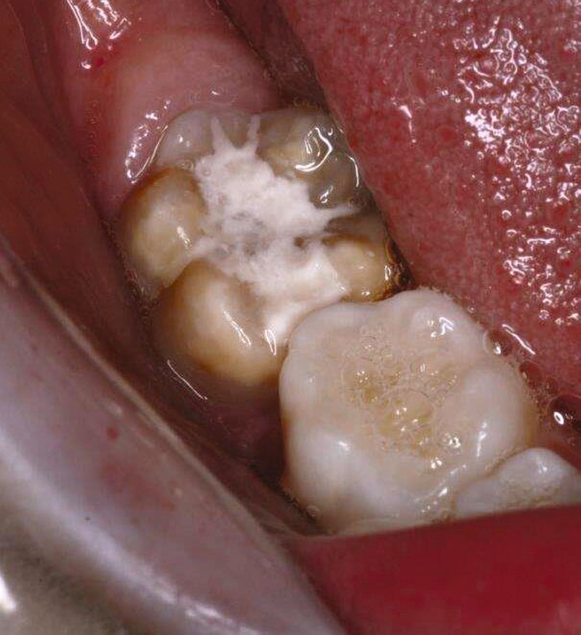
Fissurenversiegelungen: Daten zeigen, dass durch die Versiegelung von hypersensiblen MIH-Molaren Patienten weniger Empfindlichkeiten aufweisen[Bekes et al., 2022; 2024]. Darüber hinaus konnten die vor Beginn der Behandlung berichteten Einschränkungen in der Lebensqualität mit der Applikation der Versiegelungen gemildert werden [Bekes et al., 2021]. Dabei wird die klassische adhäsive Fissurenversiegelung nur für die betroffenen Seitenzähne empfohlen, die keinen posteruptiven Zahnhartsubstanzverlust in der Region der Fissur aufweisen (Abbildung 1).
Bei vollständig durchgebrochenen Molaren stellen adhäsive Fissurenversiegelungen die erste Wahl zur Vorbeugung von Karies und posteruptivem Zahnhartsubstanzverlust dar [Lygidakis et al., 2010; Fragelli et al., 2017]. Im Hinblick auf adhäsive Fissurenversiegler muss bedacht werden, dass die Adhäsion in von MIH betroffener Zahnhartsubstanz im Vergleich zu gesundem Schmelz deutlich schlechter ist [Solanke et al., 2025]. Um die Retentionsrate zu erhöhen, wird daher die Verwendung eines Haftvermittlers empfohlen [Lygidakis et al., 2009].
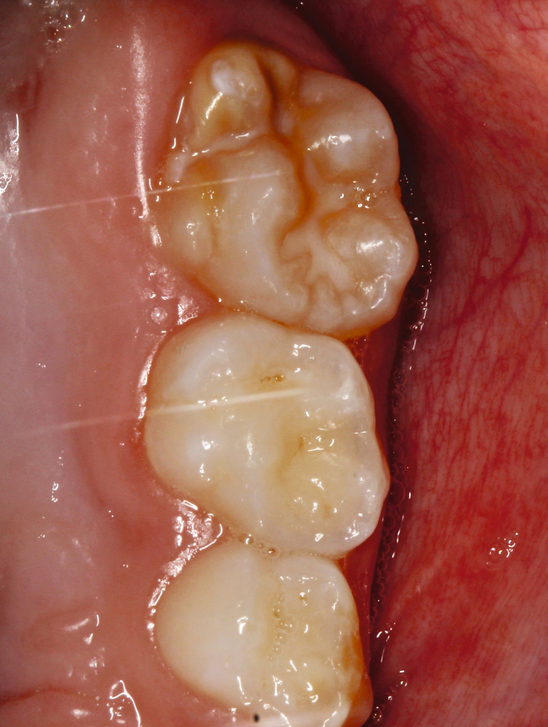
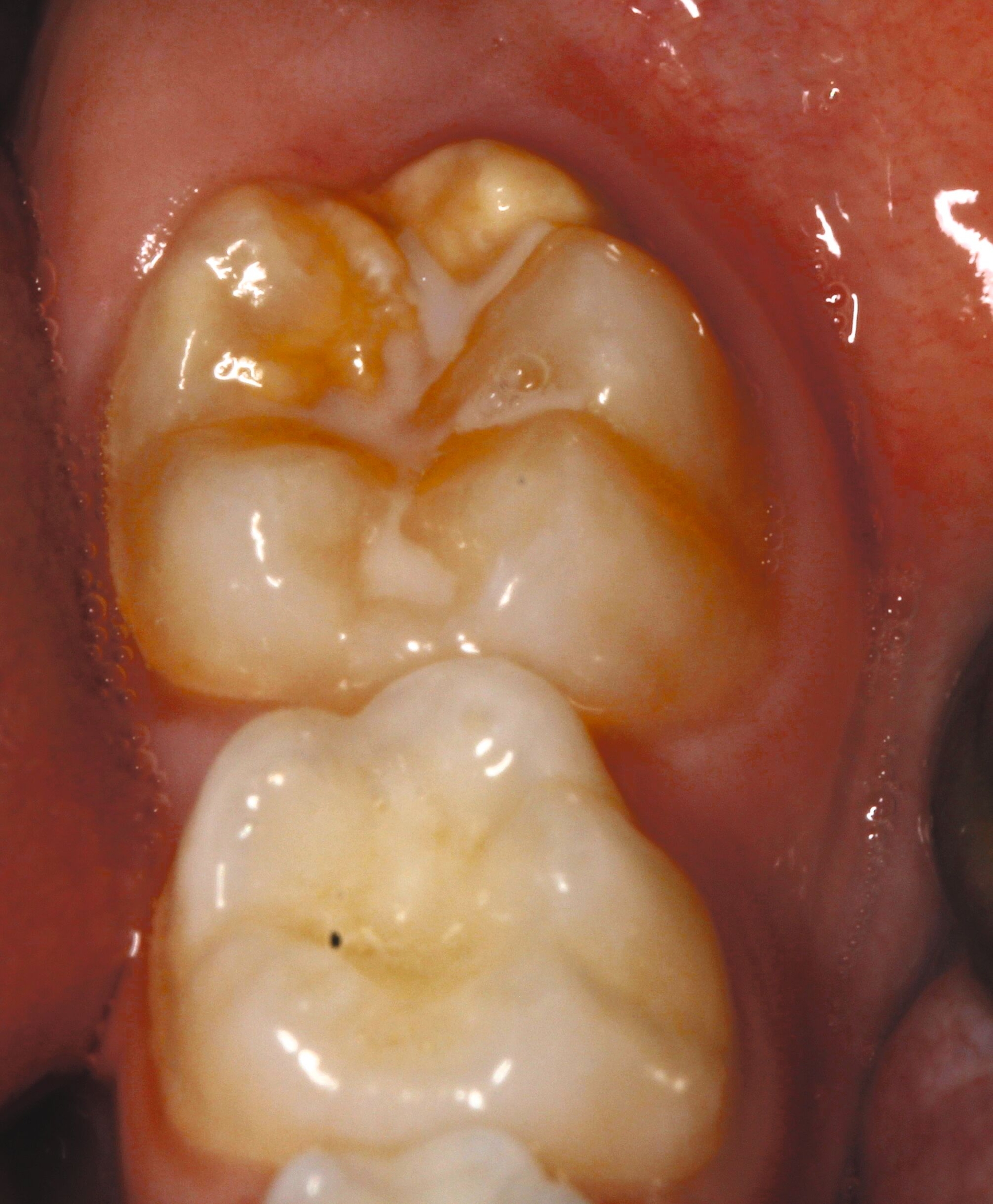
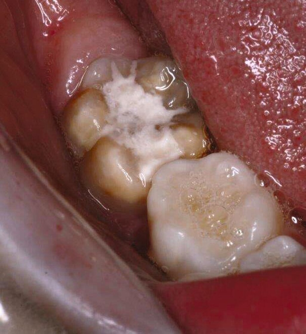
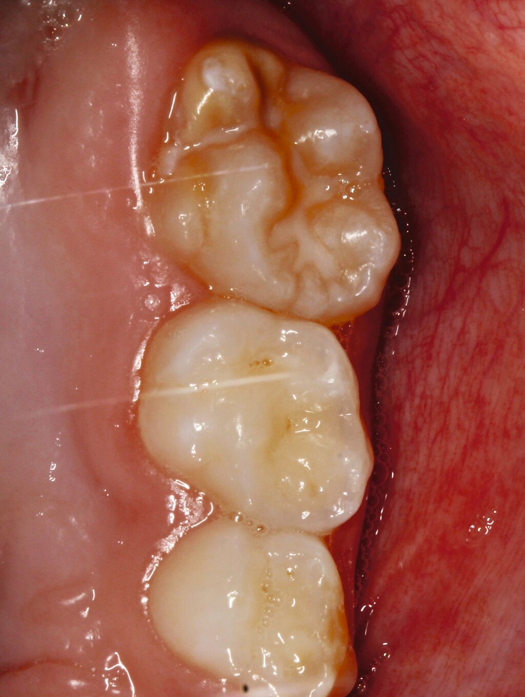
Häufig erfolgt aus verschiedenen Gründen (mangelnde Compliance, noch nicht vollständig durchgebrochene Zähne) eine Abdeckung vor allem hypersensibler MIH-Molaren mit einem Glasionomerzement (GIZ) in Form einer „temporären Fissurenversiegelung“ (Abbildungen 2 und 3), bevor – zum Beispiel nach vollständigem Durchbruch – eine klassische adhäsive Fissurenversiegelung durchgeführt wird.
Frontzähne
Die Therapien für die Frontzähne betreffen neben der Reduktion möglicher Hypersensitivitäten vor allem die Verbesserung der Ästhetik.
Bleaching: Externes (vitales) Bleaching kann bei ästhetisch störenden MIH-Opazitäten einen kosmetischen Nutzen bringen. Zu den Nebenwirkungen gehören dabei Zahnfleischreizungen und Empfindlichkeit. Diese sollten ernsthaft in Betracht gezogen werden, nicht nur im Hinblick auf eventuell bereits bestehende Hypersensibilitäten, als auch, wenn das Medikament bei jüngeren Kindern angewendet wird. Das Verfahren ist in der EU rechtlich und sicherheitsbezogen nur eingeschränkt anwendbar.
Derzeit beschränkt die EU-Kommission (Richtlinie 2011/84/EU) die Zahnaufhellungsmittel auf eine Konzentration von 0,1 Prozent Wasserstoffperoxid für die Anwendung bei Kindern. Diese Konzentration ist jedoch klinisch ineffektiv bei MIH, da die Schmelzstruktur stark verändert ist und höhere Konzentrationen erforderlich wären [Monteiro, 2020; Griffiths und Parekh, 2021].
Neuere Daten zeigen, dass ein zehnprozentiges Carbamidperoxid-Nacht-Schienensystem zur Aufhellung vitaler bleibender Zähne bei Kindern wirksam ist und die damit verbundene Zahnempfindlichkeit und Mundreizungen in einem ähnlichen Bereich liegen wie in Studien mit Erwachsenen [Griffiths und Parekh, 2021]. Neuerdings gibt es hierfür ein von der Dosierung angepasstes Home-Bleaching-Gel, das in fünf- und zehnprozentiger Konzentration zur Verfügung steht. Aufgrund der sehr geringen Evidenzstärke weniger Studien kann hierzu für Kinder jedoch keine Empfehlung abgegeben werden.
Mikroabrasion: Die Mikroabrasion erfolgt mit 18-prozentiger Salz- oder 37-prozentiger Phosphorsäure unter mechanischem Abrieb, worauf eine Remineralisierung aus Caseinphosphopeptid-amorphem Calciumphosphat (CPP-ACP) folgt – dies scheint eine wirksame Methode zur Verbesserung des ästhetischen Erscheinungsbildes zu sein [Bandhari et al., 2019]. Wong und Winter zeigten, dass die Methode nur für weißliche und nicht für dunklere Hypomineralisationen geeignet ist [Wong und Winter, 2002].
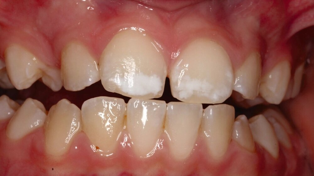
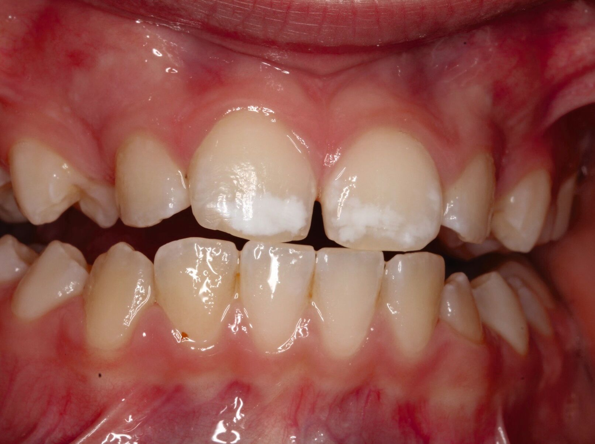
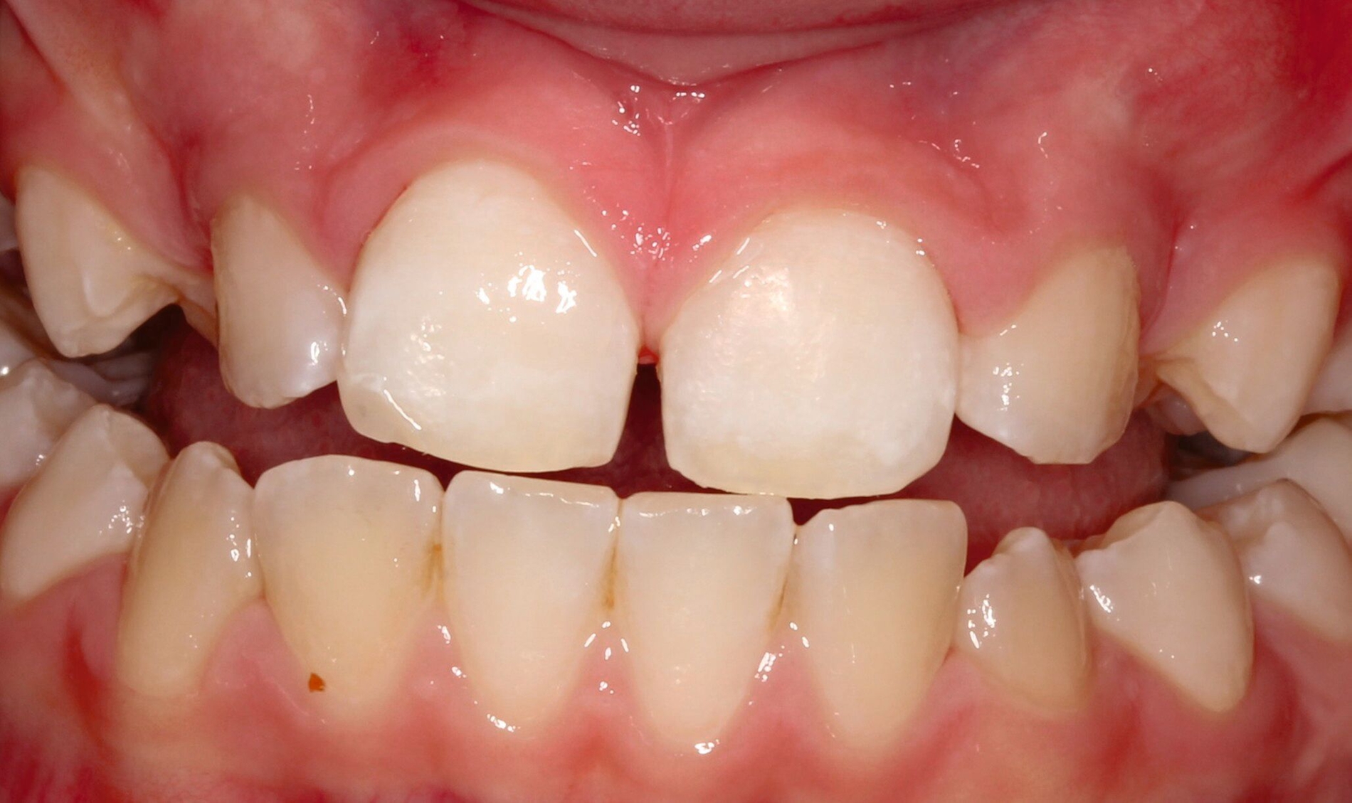
Infiltration: Die Infiltration wurde ursprünglich zur Behandlung initialkariöser Läsionen beschrieben [Richard et al., 2017]. Zunächst wird die Oberflächenschicht mittels Salzsäure (Icon Etch, DMG dental, Hamburg, Deutschland) entfernt, um Zugang zum Körper der Läsion zu erhalten. Im zweiten Schritt wird der Defekt mit Icon Infiltrant (DMG dental, Hamburg, Deutschland) infiltriert. Diese Infiltrationstherapie mit einem 15- bis 20-prozentigen Salzsäure-Ätzmittel, Ethanol und Infiltrant scheint eine praktikable Option für die Farbabdeckung weißlicher Opazitäten bei MIH zu sein [Altan und Yilmaz, 2023; Hoan et al., 2024]. Alghawe et al. bestätigten, dass bei MIH-Opazitäten insbesondere bei mehrfachen Icon-Etch-Zyklen bei weißen/cremefarbenen Opazitäten gute ästhetische Maskierungen der Opazitäten erreicht werden können [Alghawe et al., 2024] (Abbildung 4).
Etch-Bleach-seal: Mit der Etch-Bleach-Seal-Methode scheinen sich auch gelbbraune Verfärbungen verbessern zu lassen. Die Anwendung beinhaltet die Vorbehandlung mittels Konditionierung der proteinreichen Läsionen mit 37-prozentiger Phosphorsäure. Anschließend wird eine fünfprozentige Natriumhypochlorit-Lösung angewendet [Wright, 2002]. Im Anschluss findet die Infiltrationsbehandlung mittels Infiltrant (DMG dental, Hamburg, Deutschland) statt [Prud'homme et al., 2017].
Welche Therapie im Frontzahnbereich angewendet wird, hängt vor allem vom Leidensdruck der Patienten im Hinblick auf ästhetische Einschränkungen und Hypersensibilitäten und auch von der Schwere und Farbe der Hypomineralisation ab. Auch Kombinationsbehandlungen der ästhetischen Korrekturen sind möglich. Teilweise muss jedoch auch eine restaurative Therapie erfolgen. Zusammenfassend fehlen für die beschriebene Therapien für die Frontzähne weitere klinische Studien, um die Wirksamkeit zu bestätigen.
Fazit und Empfehlungen
Patienten, die von MIH betroffen sind, sollten frühzeitig diagnostiziert und in ein engmaschiges zahnärztliches Betreuungsprogramm aufgenommen werden. Die Prophylaxe zu Hause sollte die Verwendung von fluoridhaltiger Zahnpasta und die unterstützende Anwendung von CPP-ACP-Präparaten umfassen. Die Überempfindlichkeit kann durch Fissurenversiegelung effektiv behandelt werden. Hinsichtlich der eingeschränkten Ästhetik der Frontzähne kann derzeit keine eindeutige Behandlungsempfehlung gegeben werden.
Literaturliste
Alghawe S, Raslan N. Management of permanent incisors affected by Molar-Incisor-Hypomineralisation (MIH) using resin infiltration: a pilot study. Eur Arch Paediatr Dent. 2024 Feb;25(1):105-116. doi: 10.1007/s40368-024-00861-2. Epub 2024 Jan 29. PMID: 38285169.
Altan, H., & Yilmaz, R. E. (2023). Clinical evaluation of resin infiltration treatment masking effect on hypomineralised enamel surfaces. BMC oral health, 23(1), 444. doi.org/10.1186/s12903-023-03140-6.
Bakkal, M.; Abbasoglu, Z.; Kargul, B. The Effect of Casein Phosphopeptide-Amorphous Calcium Phosphate on Molar-Incisor Hypomineralisation: A Pilot Study. Oral Health Prev. Dent. 2017, 15, 163–167.
Baroni C, Marchionni S. MIH supplementation strategies: prospective clinical and laboratory trial. J Dent Res. 2011 Mar;90(3):371-6. doi: 10.1177/0022034510388036. Epub 2010 Dec 13. PMID: 21149856.
Bekes K, Meyer-Lueckel H, Jordan AR, Kuhr K, Schiffner U. Molar incisor hypomineralization: results of the 6th German Oral Health Study (DMS • 6). Quintessence Int. 2025 Mar 17;56(11):S70-S74. doi: 10.3290/j.qi.b5986273. PMID: 40091724.
Bekes K. Fissure Sealants for Managing Hypersensitivity and Posteruptive Breakdown in MIH-Affected Molars. Monogr Oral Sci. 2024;32:185-194. doi: 10.1159/000538888. Epub 2024 Jul 1. PMID: 39321775.
Bekes K, Steffen R, Krämer N. Update of the molar incisor hypomineralization: Würzburg concept. Eur Arch Paediatr Dent. 2023 Dec;24(6):807-813. doi: 10.1007/s40368-023-00848-5. Epub 2023 Oct 19. PMID: 37856065; PMCID: PMC10657291.
Bekes K, Amend S, Priller J, Zamek C, Stamm T, Krämer N. Hypersensitivity relief of MIH-affected molars using two sealing techniques: a 12-week follow-up. Clin Oral Investig. 2022 Feb;26(2):1879-1888. doi: 10.1007/s00784-021-04163-5. Epub 2021 Sep 1. PMID: 34468888; PMCID: PMC8816787.
Bekes K, Amend S, Priller J, Zamek C, Stamm T, Krämer N. Changes in oral health-related quality of life after treatment of hypersensitive molar incisor hypomineralization-affected molars with a sealing. Clin Oral Investig. 2021 Nov;25(11):6449-6454. doi: 10.1007/s00784-021-03947-z. Epub 2021 Apr 20. PMID: 33876317; PMCID: PMC8531117.
Bekes et al. Efficacy of desensitizing products containing 8% arginine and calcium carbonate for hypersensitivity relief in MIH-affected molars: an 8-week clinical study. Clin Oral Invest (2017) 21:2311–2317.
Bekes, K., and R. Steffen. „The Wuerzburg MIH concept: part 1.“ The treatment plan. Oralprophylaxe & Kinderzahnheilkunde 38.4 (2016): 171-175.
Bhandari R, Thakur S, Singhal P, Chauhan D, Jayam C, Jain T. In vivo Comparative Evaluation of Esthetics after Microabrasion and Microabrasion followed by Casein Phosphopeptide-Amorphous Calcium Fluoride Phosphate on Molar Incisor Hypomineralization-Affected Incisors. Contemp Clin Dent. 2019 Jan-Mar;10(1):9-15. doi: 10.4103/ccd.ccd_852_17. PMID: 32015635; PMCID: PMC6975009.
Bhandari R, Thakur S, Singhal P, Chauhan D, Jayam C, Jain T. In vivo comparative evaluation of esthetics after microabrasion and microabrasion followed by casein phosphopeptide-amorphous calcium fluoride phosphate on molar incisor hypomineralization affected incisors. Contemp Clin Dent. 20.
Council Directive 2011/84/EU of 20 September 2011 amending Directive 76/768/EEC, concerning cosmetic products, for the purpose of adapting Annex III thereto to technical progress Text with EEA relevancehttps://eur-lex.europa.eu/legal-content/EN/TXT/?uri=CELEX:02009R1223-20200501.
Fragelli CM, Souza JF, Jeremias F, Cordeiro Rde C, Santos-Pinto L. Molar incisor hypomineralization (MIH): conservative treatment management to restore affected teeth. Braz Oral Res. 2015;29:S1806-83242015000100271. doi: 10.1590/1807-3107BOR-2015.vol29.0076. Epub 2015 Jun 16. PMID: 26083091.
Garot E, Rouas P, Somani C, Taylor GD, Wong F, Lygidakis NA. An update of the aetiological factors involved in molar incisor hypomineralisation (MIH): a systematic review and meta-analysis. Eur Arch Paediatr Dent. 2022 Feb;23(1):23-38. doi: 10.1007/s40368-021-00646-x. Epub 2021 Jun 24. PMID: 34164793.
Griffiths, F., & Parekh, S. (2021). Is it time to reconsider the use of vital teeth bleaching in children and adolescents in Europe? European archives of paediatric dentistry: official journal of the European Academy of Paediatric Dentistry, 22(4), 759–763. doi.org/10.1007/s40368-021-00609-2.
Hoan NQ, Huyen NP, Son DC, Thien DH, Sabet CJ, Ngoc VTN. Effectiveness of resin infiltration in the management of anterior teeth affected by molar incisor hypomineralisation (MIH): A systematic review and meta-analysis. J Dent. 2024 Oct;149:105254. doi: 10.1016/j.jdent.2024.105254. Epub 2024 Jul 26. PMID: 39067648.
Lygidakis NA, Garot E, Somani C, Taylor GD, Rouas P, Wong FSL. Best clinical practice guidance for clinicians dealing with children presenting with molar-incisor-hypomineralisation (MIH): an updated European Academy of Paediatric Dentistry policy document. Eur Arch Paediatr Dent. 2022 Feb;23(1):3-21. doi: 10.1007/s40368-021-00668-5. Epub 2021 Oct 20. PMID: 34669177; PMCID: PMC8926988.
Lygidakis NA. Treatment modalities in children with teeth affected by molar-incisor enamel hypomineralisation (MIH): A systematic review. Eur Arch Paediatr Dent. 2010 Apr;11(2):65-74. doi: 10.1007/BF03262715. PMID: 20403300.
Lygidakis NA, Dimou G, Stamataki E. Retention of fissure sealants using two different methods of application in teeth with hypomineralised molars (MIH): a 4 year clinical study. Eur Arch Paediatr Dent. 2009 Dec;10(4):223-6. doi: 10.1007/BF03262686. PMID: 19995506.
Monteiro, J., Ashley, P.F. & Parekh, S. Vital bleaching for children with dental anomalies: EAPD members’ survey. Eur Arch Paediatr Dent 21, 565–571 (2020). doi.org/10.1007/s40368-019-00494-w.
Pasini M, Giuca MR, Scatena M, Gatto R, Caruso S. Molar incisor hypomineralization treatment with casein phosphopeptide and amorphous calcium phosphate in children. Minerva Stomatol. 2018 Feb;67(1):20-25. doi: 10.23736/S0026-4970.17.04086-9. Epub 2017 Oct 3. PMID: 28975773.
Prud'homme T, Hyon I, Dajean Trutaud S, Lopez Cazaux S. Different applicabilities of the etch-bleach-seal technique for treating opacities on permanent incisor damage by molar incisor hypomineralisation in three young patients. BMJ Case Rep. 2017 Dec 29;2017:bcr2017221442. doi: 10.1136/bcr-2017-221442. PMID: 29289946; PMCID: PMC6833919.
Raposo F, de Carvalho Rodrigues AC, Lia ÉN, Leal SC. Prevalence of Hypersensitivity in Teeth Affected by Molar-Incisor Hypomineralization (MIH). Caries Res. 2019;53(4):424-430. doi: 10.1159/000495848. Epub 2019 Jan 24. PMID: 30677762.
Rodd HD, Graham A, Tajmehr N, Timms L, Hasmun N. Molar Incisor Hypomineralisation: Current Knowledge and Practice. Int Dent J. 2021 Aug;71(4):285-291. doi: 10.1111/idj.12624. Epub 2021 Jan 27. PMID: 34286697; PMCID: PMC9275314.
Schmöckel, J. MIH und Hypersensibilitäten – Initialtherapie unter Berücksichtigung mittel- und langfristiger Optionen. aus: MIH und Hypersensibilitäten – Initialtherapie unter Berücksichtigung mittel- und langfristiger Optionen | Dentalwelt. Zugriff am 09.09.2025.
Solanke C, Shokoohi-Tabrizi H, Schedle A, Bekes K. Shear Bond Strengths of Composite Resin Bonded to MIH-Affected Hard Tissues with Different Adhesives and Pre-Treatments. Dent J (Basel). 2025 Aug 20;13(8):377. doi: 10.3390/dj13080377. PMID: 40863080; PMCID: PMC12385336.
Steffen R, Krämer N, Bekes K. The Würzburg MIH concept: the MIH treatment need index (MIH TNI) : A new index to assess and plan treatment in patients with molar incisior hypomineralisation (MIH). Eur Arch Paediatr Dent. 2017 Oct;18(5):355-361. doi: 10.1007/s40368-017-0301-0. Epub 2017 Sep 14. PMID: 28913739.
Wierichs Richard J., Julian Kogel, Julian Lausch, Marcella Esteves-Oliveira, Hendrik Meyer-Lueckel; Effects of Self-Assembling Peptide P11-4, Fluorides, and Caries Infiltration on Artificial Enamel Caries Lesions in vitro. Caries Res 8 November 2017; 51 (5): 451–459. https://doi.org/10.1159/000477215
Wong, F., Winter, G. Effectiveness of microabrasion technique for improvement of dental aesthetics. Br Dent J 193, 155–158 (2002). doi.org/10.1038/sj.bdj.4801511.
Wright JT. The etch-bleach-seal technique for managing stained enamel defects in young permanent incisors. Pediatr Dent. 2002 May-Jun;24(3):249-52. PMID: 12064500.

















