Bösing Dental: Secret-Smile-Schienen
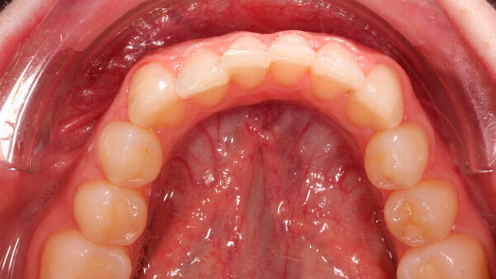
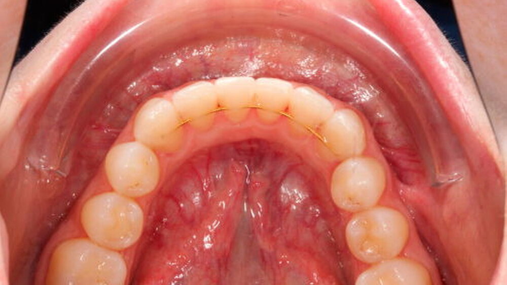
Zahnschiefstellungen, gerade im sichtbaren Frontzahnbereich, erwecken besonders bei erwachsenen Patienten mit hohen ästhetischen Anforderungen den Wunsch nach einer möglichst unauffälligen Korrektur ihrer Zähne. Mit den Secret-Smile-Schienen bietet Bösing Dental (Bingen am Rhein) die Möglichkeit der (fast) unsichtbaren, komfortablen und nachhaltigen Korrektur von Zahnfehlstellungen an. Bei den Secret-Smile-Schienen handelt es sich um transparente Kunststoffschienen, deren Anzahl je nach Grad der Schiefstellung vom Zahnarzt festgelegt wird. Auf Basis des Therapievorschlags stellen die Zahntechniker von Bösing Dental die benötigte Anzahl an Schienen her, die von der Fehlstellung der Zähne abhängt. Jede Alignerschiene muss 10 Tage für 24 Stunden getragen werden, um eine Zahnstellung im jeweiligen Korrekturstadium optimal zu verschieben. Sowohl beim Sprechen als auch bei alltäglichen Tätigkeiten ergibt sich kein Störgefühl beim Patienten. Die Secret-Smile-Schiene ist fast unsichtbar, so dass der Patient ohne Einschränkungen reden und lachen kann. Lediglich zum Zähneputzen sowie beim Essen und Trinken sollte die Schiene kurz herausgenommen werden. Für ein optimales Ergebnis mit hoher Nachhaltigkeit sorgt ein Retainer oder eine Abschluss-Schiene nach der durchgeführten Schienentherapie.
Vorteile der Secret-Smile-Schienen:
Bewegung der Zähne auf sanfte Art
Vorhersagbares Ergebnis
Kurze Behandlungsdauer für den Patienten
Kein Störgefühl
Einfache Handhabung
Nahezu unsichtbar
Schmerzfrei
Kostengünstig
Weitere Informationen telefonisch unter 06721 491 680 erhältlich.




