Erfolgsfaktor Implantatposition
Herr Dr. Buhtz, Sie sind ein Fan der geführten Implantologie und DVT-Planung, warum?
Buhtz: Weil es funktioniert und ich mich darauf verlassen kann.
Wie hoch ist der Kontrollaufwand?
Buhtz: Der hält sich in Grenzen. Jede Schablone ist natürlich so gut wie die Implantatplanung, die dahintersteht. Die Qualität von DVT und Modellen ist für das Ergebnis von entscheidender Bedeutung. Schleimhautgetragene Schablonen gilt es vorab zu überprüfen. Denn sie können aufgrund von Kompressionen der Schleimhaut anders liegen als geplant. Das führt dann zu Divergenzen in der Achse.
Bei allen Schablonen?
Buhtz: Bei allen schleimhautgetragenen Schablonen, selbst bei Führungsschablonen. Nur zahngetragene Schablonen für Einzelzahnlücken in einer geschlossenen Zahnreihe und knochengetragene Schablonen sind nicht risikobehaftet. Denn sie sind fest an den Zähnen verankert.
Bei Einzelzahnlücken ziehen viele Kollegen ohnehin die Freihandinsertion vor.
Buhtz: Für mich ist das nur in Ausnahmen eine Option, ich inseriere fast ausschließlich schablonengeführt.
Was den Patienten aber mehr kosten dürfte …
Buhtz: … das hängt von dem Preis des Systems ab. Beim 2008 eingeführten ICX-Magellan-Konzept sind die Kosten moderat, dennoch unterstützt das System die digitale Planung perfekt. Die präzise Schablonentechnik garantiert die korrekte Implantatposition – und zwar nicht nur für das ICX-templant, sondern auch für weitere Implantatsysteme.
Wie viele Systeme halten Sie denn vor?
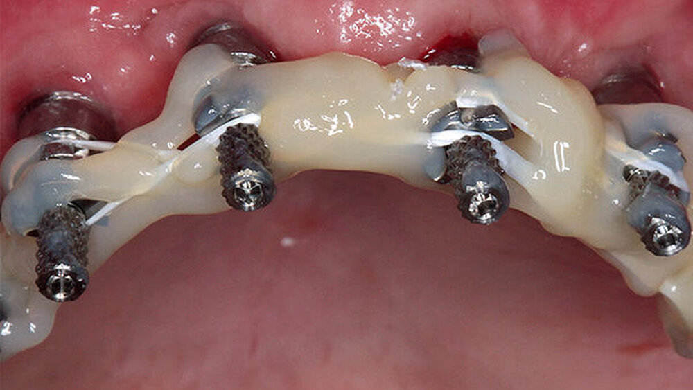
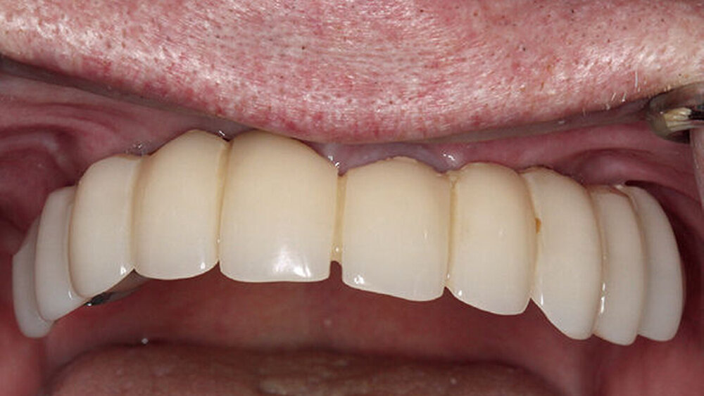
Buhtz: Acht Systeme, um den Wünschen der Überweiser gerecht zu werden. Für alle Systeme bietet die Magellan-Planung eine zuverlässige Lösung mit Blick auf die ideale Positionierung und prothetische Versorgung. Wir mussten seither noch nie „umplanen“. Auch das macht es natürlich für den Patienten kostengünstiger. Inzwischen nutzen wir auch die Mitte 2016 eingeführte „Full-arch-Versorgung“ mit ICX-Imperial, gewissermaßen die Weiterentwicklung des Magellan-Konzepts.
Das ist ein All-on-four- bzw. -six-Konzept für die Sofortversorgung zahnloser Kiefer, korrekt?
Buhtz: Korrekt, die Voraussetzung ist lediglich die Generierung von DICOM- und STL-Daten, die im Computer exakt übereinandergelegt werden können. Dann erfolgen die Behandlungsplanung wie gewohnt mit ICX-Magellan und die provisorische ‧Versorgung mit dem präfabizierten, chairside hergestellten verklebten PMMA-Provisorium (ICX-‧Smile‧bridge). Seit eineinhalb Jahren arbeiten wir zudem mit dem medentis Fräszentrum Denta5 zusammen.
Das heißt?
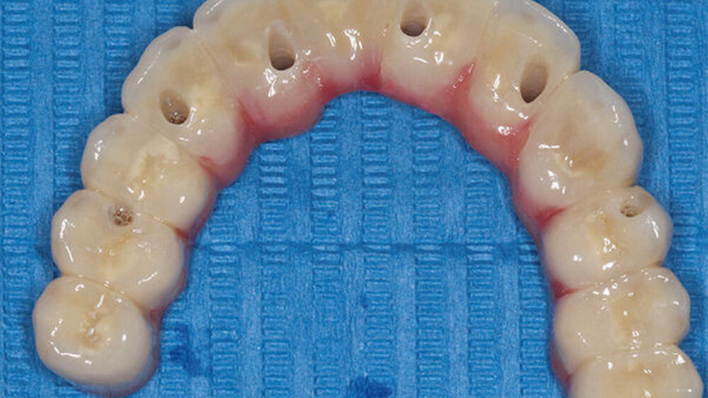
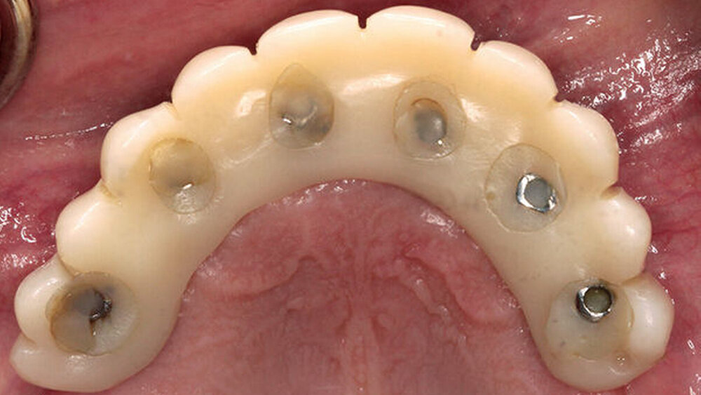
Buhtz: Wir schicken die Scan-Daten, ein Wax-up und ggf. das Modell mit den Laborimplantaten an das medentis-Fräszentrum und erhalten zwei Tage später die verschraubte Unterkonstruktion. Denta 5 gibt es bereits seit einigen Jahren. Doch erst seit wir einen eigenen Modellscanner haben, stellen wir verschraubte Brücken auf diese Weise her. Jetzt habe ich eine Zahntechnikerin, die damit gut klarkommt. Full-arch-Versorgungen sind bei uns allerdings nicht das Tagesgeschäft, wir machen das vielleicht zehn- bis zwanzigmal pro Jahr. Unsere Patientenklientel ist in der Regel nicht zahnlos.
Ihre ersten Erfahrungen mit medentis-Implantaten haben Sie aber schon mit einem System für zahnlose Kiefer gemacht ...
Buhtz: Das ist richtig, aber es handelte sich eher um eine Sozialindikation. Damals habe ich mit der ersten Genera‧tion von templant-Implantaten – die hatten eine Außenverbindung für Kugelkopf, Locator und Stegarbeiten – vielen Patienten helfen können, die ihre Unterkieferprothesen nicht fest bekommen haben. Es handelte sich im Grund um ein Nischenprodukt.
Anders als das ICX templant?
Buhtz: Ja, das ICX templant nutze ich heute für viele meiner Fälle. Auf Überweiserwunsch greife ich zu anderen Implantatlinien.
Sehen Sie derzeit einen Trend zu Implantaten mit moderaten Preisen?
Buhtz: Definitiv! Das Segement wächst nachweislich und deutlich. Die Zahlen sprechen für sich, allein medentis hat 8500 Kunden. Und medentika firmiert inzwischen unter der Dachmarke Straumann.
Arbeiten Sie auch mit dem neuen ICX-Active?
Buhtz: Das Active-Master-Implantat ist mein Standardimplantat von medentis.
Ihr Fazit?
Buhtz: Egal, wie viele Implantate ich wo setze – am Anfang stehen in meiner Praxis meist eine DVT-Aufnahme und eine 3D-Planung. Ohne Schablone setze ich heute nur noch in absoluten Ausnahmefällen ein Implantat. Die Sicherheit und die gute Planbarkeit reduzieren die Angst der Patienten vor dem Eingriff und erleichtern die Aufklärung. Artefaktarme DVT-Aufnahmen sind natürlich für die Präzision entscheidend.
Die ideal prothetisch ausgerichtete Implantatposition ist der wohl wichtigste Erfolgsfaktor in der Implantologie. Mit ICX-Magellan lässt sich das einfach, schnell und kostengünstig realisieren.















