Wo Moderne und Bewährtes aufeinandertreffen
Immer wieder treffen Zahntechniker auf insuffizienten Zahnersatz. In einigen Fällen liegen die Ursachen in Abnutzungserscheinungen, in anderen an zu geringer Individualität: Die Prothese hält nicht, ist über- oder unterextendiert, nimmt dem Patienten die sprachliche und funktionelle Artikulation oder wird als nicht ästhetisch empfunden. Ein möglicher Grund: das Aufstellkonzept. Denn gerade dort, wo mit standardisierten Maßen gearbeitet wird, bleibt wenig Raum für Individualität. Daher überraschte es nicht, als ZTM Gerhard Schmidt, Laborinhaber der maretec GbR, den zweitägigen Kurs „Totalprothetik in ästhetisch, phonetisch, funktioneller Arbeitsweise 2.0“ von Kulzer mit folgenden Worten eröffnete: „Eine Totalprothese herzustellen ist echte Handarbeit. Denn jeder Patient bringt ganz spezifische Informationen mit. Es wäre unklug, die wertvollen Hinweise nicht zu nutzen.
Erst oben, danach unten – und dann?
Das Vorgehen der Totalprothetik 2.0 ermögliche es, die Patienteninformationen in der Aufstellung sinnvoll zu nutzen, so ZTM Gerhard Schmidt, und ließ die Teilnehmer die Methodik frei nach dem Motto „learning by doing“ anhand von zwei Patientenfällen erproben. Die erste Aufgabe bestand darin, die oberen Einser auf Basis der physiognomischen Kontrollschablone aufzustellen. Danach folgten 12, 22, 13, 23 sowie 31, 41, 32, 42, 33 und 43 mit den Pala Zahnlinien Mondial und Premium von Kulzer. „So weit, so gut“, schloss der Referent den ersten Praxisteil, „aber wie geht es nun weiter? Woher weiß ich, wie weit ich aufstellen darf? Und wie lege ich die Okklusionsflächen an?“ Die Antworten auf diese Fragen lieferte er unmittelbar: mittels äußerer und innerer Modellanalyse.
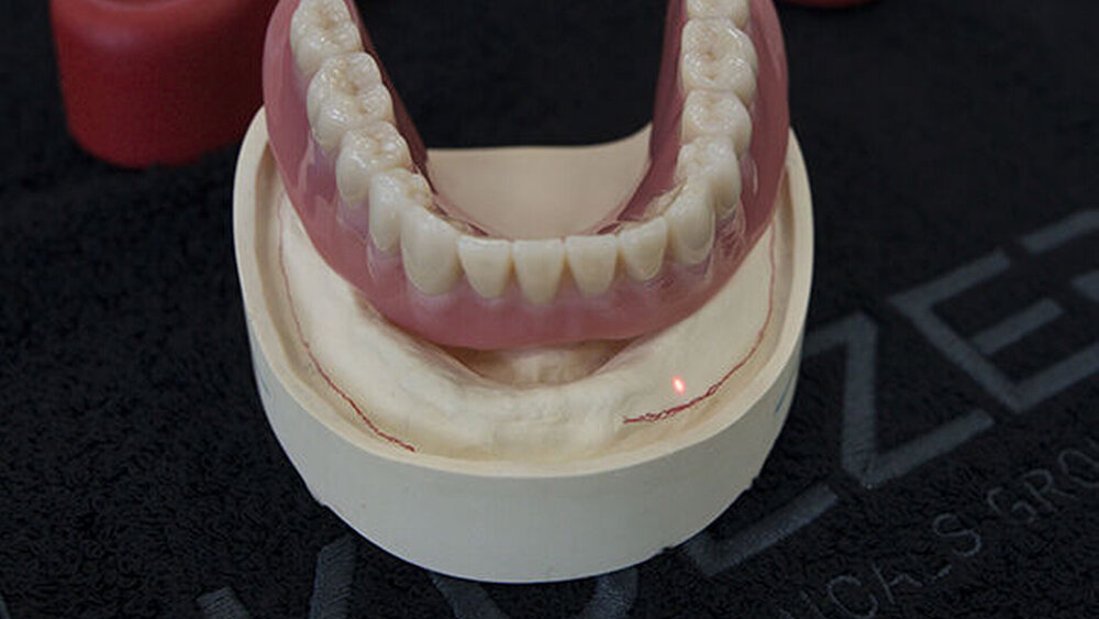
"Nach hinten oben" pulsiert die Lebensader
„Bei der äußeren Modellanalyse fahre ich den Kieferkamm des UK mit dem Profilzirkel ab. Danach stelle ich das vorgleitbare Kondylenelement des Artikulators auf exemplarische 30 Grad ein. Verlängere ich die Linie, die sich durch diesen Winkel ergibt, in Richtung Gipsmodell, verläuft sie ein Stück parallel zur sagittalen Atrophielinie. Dort, wo die Atrophielinie sprungartig ansteigt und nicht mehr parallel verläuft, zeichne ich eine vertikale Stopplinie ein. Ab diesem Punkt rate ich von einer antagonistischen Aufstellung ab, da die Prothese an Lagestabilität verliert und nach anterior verschoben wird“, erklärte Schmidt und ging am Anschauungsexemplar in medias res. Ziel der inneren Modellanalyse ist es wiederum, die Zone der knöchernen Unterlage zu definieren, auf der die Zähne aufgestellt werden sollten. Diese fanden die Teilnehmer, indem sie unter Anleitung des Referenten die linea mylohoidea und die linea obliqua mandibulae nachzeichneten. Schmidt erklärte: „In dem zwischen den Stiftlinien befindlichen Bereich können die Zähne im muskulären Gleichgewicht positioniert werden, sodass die Prothese optimal ausbalanciert ist.“
Danach widmete sich ZTM Gerhard Schmidt der Okklusionsebene, die er als Lebensader der Totalprothese bezeichnete: „Diese wird nach hinten oben angelegt – und zwar indem zuerst die letzten Molaren (je nach Stopplinie Sechser oder Siebener) positioniert werden. Durch Verlängerung der Linie der Schneidekante der Eckzähne zu den Höckern der Molaren lässt sich prüfen, ob die Okklusionsebene genügend aufsteigt.“ Im Seitenzahnbereich ist es zudem wichtig, dass die Vestibulärflächen der Zähne Wangenkontakt zulassen: Zum einen formt dieser die Wangen aus, zum anderen gewinnt die Prothese an Lagestabilität. Nachdem sich die Teilnehmer so die Richtung ihrer Aufstellung erarbeitetet hatten, stellten sie die restlichen Zähne in einer Zahn-zu-zwei-Zahn-Beziehung auf. Das Ergebnis: natürlich und ästhetisch wirkende Prothesen, die in ihrer Kräfteverteilung passgenau sitzen, besser ausbalanciert sind, positionsgerecht halten und darüber hinaus die ästhetischen Ansprüche der Patienten erfüllen.
Auch nach oben: der Daumen
„Ich habe viel Erfahrung in der Totalprothetik. Dennoch hat mir der Kurs Neues gezeigt und einige Aspekte noch einmal in Erinnerung gerufen – und das hatte ich mir erhofft“, resümierte Zahntechnikern Stefanie Huth aus Aachen. Ähnlich bewertete auch Rica Teipen aus Steinfurt ihr Kurserlebnis. „Der Kurs hat es geschafft, Theorie mit Praxis zu verbinden. Es war gut, theoretische Ansatzpunkte wie die knöcherne Unterlage oder auch Zahnachsen direkt in die Aufstellung einfließen lassen zu können“, so die Zahntechnikerin.
Interessierte, die die ästhetisch, phonetisch und funktionelle Arbeitsweise 2.0 der Totalprothetik erproben möchten, haben an folgenden Terminen die Gelegenheit dazu:
14. bis 15 September 2018 in Hanau
26. bis 27. Oktober 2018 in Berlin
23. bis 24. November 2018 in Hamm
Eine Anmeldung für die Kurse ist unter
http://www.kulzer.de/kursprogramm
online möglich.
In einem Hands-On Workshop von Kulzer stellte ZTM Gerhard Schmidt im Juli in Hamm die innovative „ästhetisch, phonetisch und funktionelle Arbeitsweise 2.0“ in der Totalprothetik vor.










