Zahnhalsdefekte füllen
Zahnhalsdefekte verzeichnen. Dies ist vor allem auf die zunehmende Erwartung der Menschen sich und ihren Zähnen gegenüber und auf laufende Veränderungen der Ernährungsgewohnheiten zurückzuführen.
Zahnhalsdefekte gehen mit dem Verlust von mineralisierter Zahnsubstanz einher. Die häufigsten Ursachen sind Erosionen, Abrasionen und Abfraktionen. Neben dem häufigen Auftreten empfindlicher Zahnhälse führen solche Defekte zu konkaven Bereichen in unmittelbarer Nähe zu den parodontalen Geweben. In dieser sehr anfälligen Region kann sich leicht ein mikrobieller Biofilm ansammeln. Mögliche Folgen: Zahnfleischentzündung mit allen ihren schädlichen Auswirkungen auf die weitere Mundgesundheit sowie die allgemeine Gesundheit.
Diese Fälle stellen eine klassische Indikation für Kompositfüllungen dar, denn die nichtkariösen Defekte neigen ohne Versorgung dazu, sich fortlaufend zu vergrößern. Der Erfolg und die Langlebigkeit dieser Füllungen hängen direkt mit der Füllungstechnik und der Wahl der richtigen Materialien zusammen. Dabei sollte ein Material mit günstigen physikalischen Eigenschaften sowie Beständigkeit gegenüber dem Mundmilieu gewählt werden.
Außerdem ist es besonders wichtig, dass sich das Material gut polieren lässt, um eine glatte Oberfläche zu erzielen. All diese Voraussetzungen bringt das Füllungsmaterial Admira Fu‧sion (VOCO) aus der Gruppe der ORMOCERE mit.
Das farblich gut aussehende und gut polierbare Material wurde für einen klinischen Fall mit Füllungen der Klasse V an Zahnhalsdefekten durch Abfraktion verwendet.
Der konkrete Fall
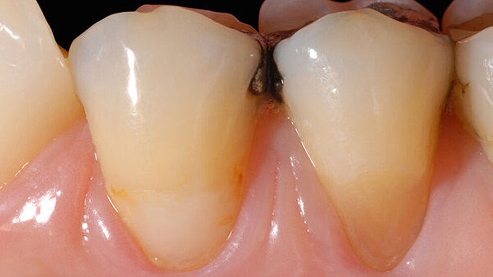
Eine Patientin stellte sich in der zahnärztlichen Praxis vor und klagte über Hypersensibilitäten an den Zähnen 34 und 35. Beide Zähne wurden schon zweimal versorgt, allerdings gingen die Füllungen nach kurzer Zeit wieder verloren. Der Zahn 34 besaß außerdem eine insuffiziente Kunststofffüllung.
Eine eingehende klinische Untersuchung ergab bei den Seitwärtsbewegungen okklusale Störkontakte, die vor dem Legen neuer Füllungen zunächst beseitigt wurden.
Wegen des geringeren Risikos einer Schädigung der verbliebenen Zahnsubstanz wurde für die Entfernung der alten Füllung und für die Kavitätenpräparation ein Ultraschallinstrument gewählt (Abb. 2 bis 4).
Die Füllungen wurden unter relativer Trockenlegung des Arbeitsfelds und mithilfe zweier kräftiger Sauger gelegt. Nach einer vollständigen Konditionierung mit 37-prozentiger Phosphorsäure (Abb. 5) wurde das Adhäsivsystem Admira Bond (VOCO (Abb. 6)) aufgetragen und 20 Sekunden lang lichtgehärtet (Abb. 7).
Nach der Inkrementtechnik mit Inkrementen einer Dicke von maximal 2 mm wurde vorsichtig mit der Füllung der Kavitäten begonnen (Abb. 8). Die Geschicklichkeit des Behandlers sorgt für dichte Füllungen und richtige Gestaltung. Dafür sind adäquate Spatel und Pinsel fundamentale Hilfsmittel.
Das gesamte Ausarbeiten und die Politur einer Füllung fallen leichter, wenn der Zahnarzt beim Glätten der Schichten, insbesondere der letzten, mit Sorgfalt und Geduld und unter Zuhilfenahme guter Pinsel arbeitet (Abb. 9 und 10). Jede Füllung wurde nach dem letzten Inkrement 40 Sekunden lang polymerisiert, wobei beim letzten Polymerisa‧tionsvorgang ein wasserlösliches Gel verwendet wurde, um die Bildung einer Sauerstoffinhibitionsschicht auf der Kunststoffoberfläche zu verhindern und somit seine physikalischen Eigenschaften zu verbessern (Abb. 11).
Mit einer 12-er-Skalpellklinge wurden die proximalen und zervikalen Überschüsse entfernt und damit die Ausarbeitung und Politur begonnen. Unter Verwendung einer Polierscheibe mittlerer Körnung wurden die Feingestaltung und eine erste Oberflächenglättung vorgenommen (Abb. 12). Für die Politur der Oberfläche kamen diamantierte Gummipolierer mit flexiblen Polierlamellen in zwei Körnungen zum Einsatz (Eve Diacomp Plus Twist) (Abb. 13 und 14). Der endgültige Glanz wurde erreicht durch Ziegenhaarbürstchen und Filzpolierer sowie Diamantpasten und Aluminiumoxid.
Fazit
Das Endergebnis war ästhetisch und funktionell sehr zufriedenstellend und trug durch die vollständige Beseitigung der Hypersensibilität zusätzlich zum Erhalt guter Gesundheit und des Wohlbefindens der Patientin bei (Abb. 15). Admira Fusion erwies sich als hervorragende Option für Füllungen bei nichtkariösen zervikalen Defekten.
Alle Voraussetzungen, die für bestmögliche Füllungen erforderlich sind, wurden erreicht.
Der langfristige Erfolg dieser Füllungstherapie hängt insbesondere von einer Nachsorge mit der genauen Kontrolle der ursächlichen Faktoren, dem Verhalten der Patientin und der regelmäßigen Wiedervorstellung in der Praxis zur Untersuchung und Vorsorge ab.


















