Zahnpaste der Wahl in der Seniorenzahnmedizin
Ältere Menschen stellen bei der Mund- und Zahngesundheit eine besondere Risikogruppe dar. Sie leiden überdurchschnittlich häufig unter freiliegenden Zahnhälsen, etwa aufgrund einer parodontalen Erkrankung, und haben ein erhöhtes Kariesrisiko. Die sorgfältige häusliche Mundhygiene fällt ihnen oft schwer. Für Senioren empfehlen sich daher Produkte mit einer erhöhten Fluoridkonzentration wie Duraphat Fluorid 5mg/g Zahnpaste. Bei einem männlichen Parodontitis-Patienten, 72 Jahre alt, konnten wir durch die Anwendung der Zahnpaste spürbare Verbesserungen bei der Schmerzempfindlichkeit der freiliegenden Zahnhälse wie auch bei bestehenden kariösen Läsionen erzielen. Die Zahnpaste wurde sowohl im Rahmen der Unterstützenden Parodontitistherapie (UPT) in der Praxis als auch vom Patienten selbst für die häusliche Mundhygiene genutzt.
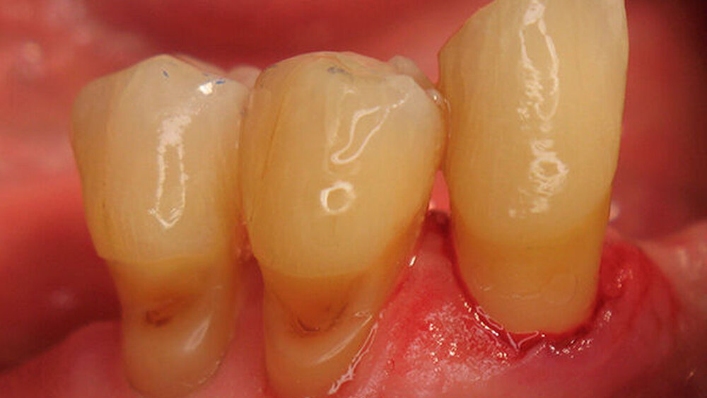
Ausgangssituation: Ausgeprägte Zahnhalsdefekte
Der Patient (männlich, 72 Jahre alt) war vor der Behandlung bereits seit vielen Jahren parodontal erkrankt. Aufgrund der Einnahme verschiedener Medikamente litt er zudem unter Mundtrockenheit, so dass der Speichel seine wichtige Funktion als schützender Puffer für den Zahnschmelz nur ungenügend erfüllen konnte. Der Patient wies ausgeprägte Zahnhalsdefekte mit Rezessionen auf (Abb. 1-2) und reagierte nach der Parodontalbehandlung schmerzempfindlich auf Heißes, Kaltes oder Süßes. Zudem zeigten sich mehrere kariöse Läsionen.
Verzahnung von professioneller Therapie und häuslichen Maßnahmen
Unsere Therapie in der Praxis sieht eine dreimal jährliche UPT vor, bei der regelmäßig im Bereich der freiliegenden Zahnhälse mit Duraphat Fluorid 5mg/g Zahnpaste eingebürstet wird (Abb. 3-5). In unserer Mundhygieneinstruktion empfahlen wir dem Patienten, eine Zahnbürste mit weichem Borstenfeld oder alternativ eine elektrische Zahnbürste mit Drucksensor zu nutzen, um zu stark abrasives Putzen zu verhindern. In der Ernährung sollte der Patient auf möglichst weiche und cremige Kost achten und die Trinkmenge erhöhen, um die Schleimhäute regelmäßig zu befeuchten. Zur Verringerung der Mundtrockenheit eignen sich auch speichelanregende Nahrungsergänzungsmittel oder saure, zuckerfreie Bonbons.
Spürbare Besserung nach kurzer Zeit
Bereits eine Woche nach der ersten UPT und der häuslichen Anwendung der empfohlenen Zahnpaste berichtete der Patient von einer deutlichen Linderung der Schmerzempfindlichkeit bei Heißem, Kaltem oder Süßem. Klinisch war eine Stabilisierung der kariösen Läsionen sichtbar (Abb. 6). Angesichts der generell schwierigen Mundhygienesituation bei Senioren sowie ihrem höheren Risiko für freiliegende Zahnhälse und Karies, kann eine Zahnpaste mit erhöhter Fluoridkonzentration wie Duraphat Fluorid 5mg/g als Mittel der Wahl in der Seniorenzahnmedizin gelten.








