Kettenbach: Visalys Veneer Chairside
Visalys Veneer ist ein Produkt auf Hybrid-Komposite-Basis. Das Material wird ausgehärtet und die Veneer-Oberfläche anschließend in einem speziellen Plasma-Vergütungs-Verfahren veredelt. Hierdurch ergeben sich eine außergewöhnliche Bruchfestigkeit und Abrasionsstabilität. Veneers und Komposite basieren auf der gleichen chemischen Grundlage und ermöglichen eine höchste dauerhafte Ästhetik, ohne Verfärben.
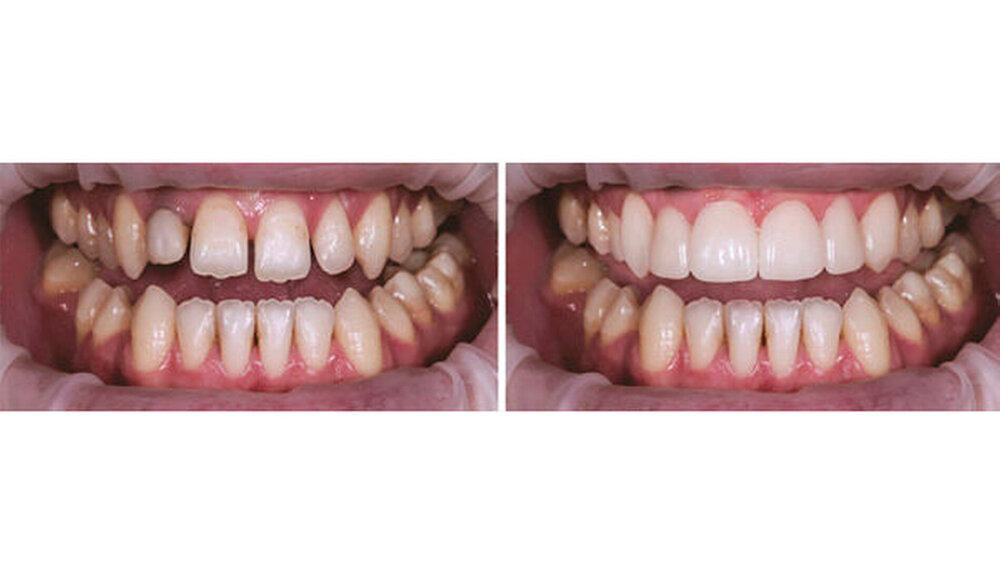
Das neue Visalys Veneer ist minimalinvasiv und daher für zahlreiche Indikationen geeignet: Zahnverfärbungen, anatomische Fehlbildungen, Schneidekantenverlängerung, Zahn-fehlstellungen, Diastema, Attrition/Abrasion/Erosion, Karies, Zahnfrakturen, Abdeckung alter Restaurationen und kosmetische Korrekturen. In nur einer Sitzung (1-3 Stunden, je nach Indikation) kann der Zahnarzt unmittelbar nach der Präparation der Zähne individuelle und qualitativ hochwertige Ergebnisse erzielen. Das Therapieergebnis ist sofort sichtbar.
Stark im Vergleich - die Alternative in der Praxis
So lassen sich ästhetisch ansprechende und langzeitstabile Versorgungen zahnhartsub-stanzschonend anfertigen – und dies, ohne extensive zahntechnische Kosten zu verursa-chen. Weiteres Einsparpotenzial bietet sich dadurch, dass das gesamte Equipment auf ein Minimum reduziert ist und der restliche Bedarf sich aus dem Praxiszubehör deckt (wie bei-spielsweise Veneer-Halter, Phosphorsäure etc.). Damit ergeben sich sowohl für Arzt als auch Patient ökonomische Vorteile.
Im Gegensatz zu anderen Materialien wie Keramik-Veneers besitzt das Kettenbach-Produkt keinerlei Indikationseinschränkungen und ist zu geringeren Kosten ohne hohen Aufwand anwendbar. Bisher galten Kronen, Keramik-Veneers oder freihandmodellierbare Werkstoffe in aufwändiger Schichttechnik als Mittel der Wahl. Visalys Veneer ist eine echte Alternative und die ideale Lösung, wenn es um eine schnelle minimalinvasive ästhetische Versorgung geht.



