Digital von A bis Z
Die Digitalisierung von Arbeitsschritten in der Zahnheilkunde hat in den letzten Jahren aufgrund der technologischen Fortschritte bei intraoralen Scannern und entsprechender Software zugenommen. Diese Entwicklung hat zeitgleich zu einer besseren Kommunikation zwischen Zahnarzt und Zahntechniker beigetragen. Das Digital Smile Design (DSD) ist ein digitales Instrument zur Planung der ästhetischen Wiederherstellung der Gesichtssymmetrie. Es verbessert die Kommunikation zwischen den Spezialisten und das erwartbare Behandlungsergebnis [1]. Die dynamische Dokumentation des Lächelns ist ein wichtiger Schritt im 2D/3D-Prozess des Digital Smile Design. Sie kann vollständig digitalisiert durchgeführt werden und unterstützt bei den Rehabilitationsverfahren.
Die Vorteile der Videodokumentation bestehen darin, dass die Dokumentation, das Smile Design, die Analyse der Gesichtssymmetrie, die Behandlungsplanung, die Teamkommunikation und die Patientenaufklärung vereinfacht und verbessert werden [2]. Das DSD kann in ein herkömmliches oder virtuelles diagnostisches Modell umgewandelt werden, um nachfolgende klinische Behandlungen wie zum Beispiel CAD/CAM-Restaurationen leichter umzusetzen [3–7]. Dank der Kombination der Adhäsivtechnik mit lichtdurchlässigen Restaurationsmaterialien ist die Vorbereitung für minimalinvasive Behandlungen in der restaurativen Zahnheilkunde einfacher geworden. Materialien wie Lithium‧disilikat-Keramik [8–11] verfügen über ähnliche Eigenschaften wie natürliche Zähne, weshalb mit ihnen positive Ergebnisse erzielt worden sind [12, 13].
Digitale Abformung
Ein weiteres wichtiges Instrument im digitalen Workflow sind intraorale Scanner. Diese praktischen Geräte ermöglichen die direkte Überprüfung der Abformungsqualität und darüber hinaus die einfache sowie kosten- und zeitsparende Übermittlung der Modelle per E-Mail an das Labor [14]. Allerdings findet man in der Fachliteratur wenig über die Fähigkeit intraoraler Scanner, hochwertige Abformungen zu erfassen [15–24].
Die Software für computergestützte Konstruktion (Computer-aided Design, CAD) ist ein unverzichtbares Tool, da sie die vollautomatischen Geräte steuert, die Objekte und Baugruppen in einer virtuellen Umgebung erstellen [25]. In diesem Bericht wird ein klinischer Fall vorgestellt, bei dem die Arbeitsschritte vollständig digitalisiert sind. Nach einer minimalinvasiven Präparation wurden das Digital-‧Smile-Protokoll sowie per CAD/CAM hergestellte monolithische Veneers und Kronen aus Lithiumdisilikat-Keramik verwendet, um den Verlust der Bisshöhe und damit einhergehende ästhetische und Kiefergelenkbeeinträchtigungen zu beheben.
Der konkrete Fall
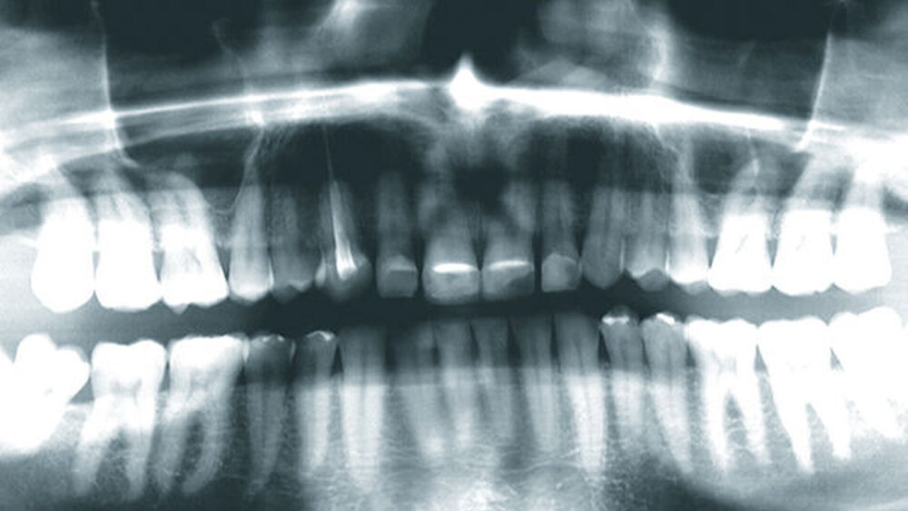
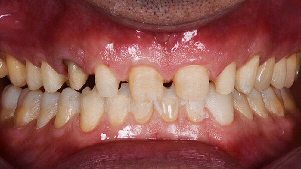
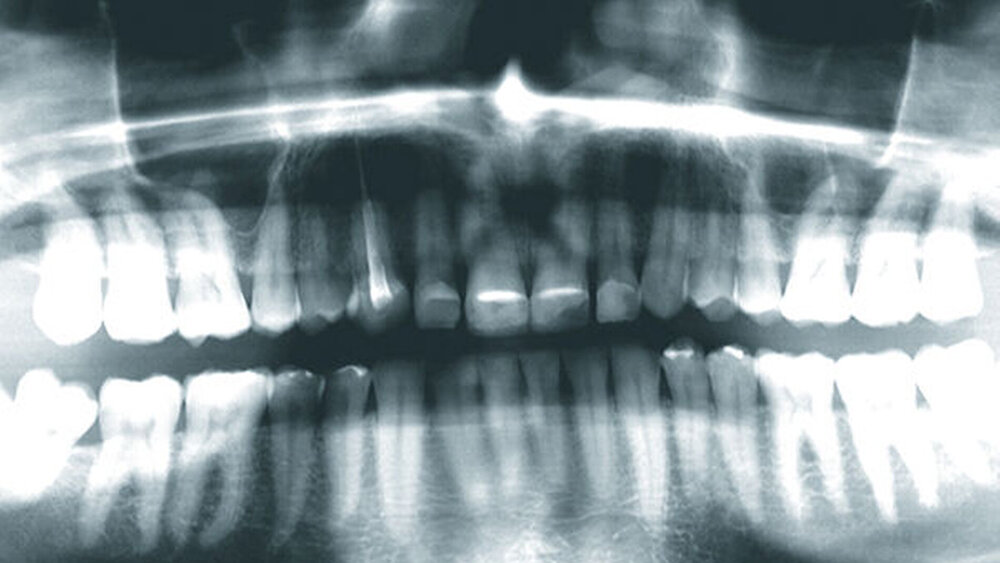
2015 stellte sich ein 47 Jahre alter Mann mit Schmerzen im TMG (Temporomandibulargelenk) vor. Er hatte außerdem ein ästhetisches Anliegen, da ein Stück vom Veneer eines mittleren oberen Schneidezahns abgebrochen war (Abb. 1–3). Die klinische und radiografische Analyse (Abb. 4) ergab einen Verlust der Bisshöhe und der Zahnsubstanz aufgrund von Bruxismus.
Digitale intraorale Fotos wurden aus der Vorderansicht unter Retraktion sowie aus der Okklusions- und lateralen Ansicht erstellt. Zudem wurden mit einer digitalen Spiegelreflexkamera (DSLR) zusätzliche Fotos erstellt (frontal, lateral und 45º). Eine diagnostische Abformung beider Kiefer wurde mit einem intraoralen Scanner (Carestream 3500) durchgeführt. Die maximale Interkuspidationsposition (MIP) wurde intraoral mit dem intraoralen Scanner Carestream 3500 erfasst, und die neue Vertikaldimension der Okklusion (VDO) wurde durch entsprechend weites Öffnen des virtuellen Artikulators in der CAD/CAM-Software (CAD/CAM = computergestützte Konstruktion und Fertigung) erreicht.
Das dynamische Dokumentationsprotokoll des Digital Smile Design (DSD) wurde angewendet: Mit einem Smart‧phone wurden aus vier verschiedenen berechneten Winkeln Videos aufgenommen, um eine harmonische Gesichtssymmetrie für das Lächeln zu erzielen: ein frontales Video des lächelnden Gesichts mit und ohne Lippen-Wangen-Halter, ein Profilvideo, ein 12-Uhr-Video und ein anteriores Okklusionsvideo lotrecht zur Okklusionsebene ohne Spiegel.
Vier weitere ergänzende Videos wurden für die funktionale, strukturelle und Gesichtsanalyse aufgenommen: ein Gespräch über die Erwartungen des Patienten, ein 180º-Phonetikvideo, ein intraorales funktionales und ein intraorales strukturelles Video mit Lippen-Wangen-Halter (Abb. 5). Die Informationen wurden an das DSD-Labor übermittelt. Das Hauptziel der DSD-Technik besteht darin, die Fotos der drei Ansichten (okklusal, frontal und 12 Uhr) mit einem digitalen Lineal in Einklang zu bringen, um mithilfe der Videoanalyse die Proportionen des Lächelns (Smile Frame) herzustellen.
Anschließend wurde der Smile Frame unter Berücksichtigung der Gesichtssymmetrie wie folgt erzeugt: digitaler Gesichtsbogen, Form und Position der Lachkurve, Breitenermittlung anhand der RED-Korrelation, Längenproportion, Gingivakurve, Papillenkurve, Amorbogen und Kieferkurve. Die 2D-Proportionen des Lächelns wurden in der CAD-Software in ein digitales 3D-Simulationsmodell überführt. Die so erstellte 3D-Datei im STL-Format wurde an einen Drucker übermittelt, der das Modell mit dem neuen Design erzeugte. Anschließend wurde es zur Herstellung einer Matrize aus Bis-Acryl (Structur; VOCO) für das Motivations-Mock-up verwendet (Abb. 6). Im neuen Modell wurde die Vertikaldimen‧sion (VD) erhöht, weshalb der Patient das Mock-up zwei Wochen testete, um zu prüfen, ob die neue Bisshöhe den Erwartungen entsprach. Die Bisserprobung ergab keine Stabilitätsprobleme, und der Patient fühlte sich damit wohl, weshalb kein Anlass für eine weitere Deprogrammierung des Aufbisses und die Definition einer neuen zentrischen Relation bestand. Mit dieser neuen VD fühle sich der Patient wohler und hatte keine Schmerzen im TMG. Der Behandlungsplan wurde vorgestellt, aber aus finanziellen Gründen wollte der Patient die Behandlung nicht fortsetzen.
3D-Druck in der Praxis
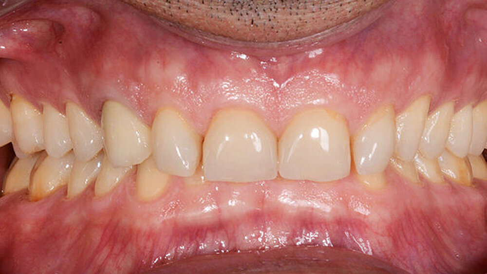
2017 kehrte der Patient wieder, um die Behandlung wiederaufzunehmen (Abb. 7) und ein neuer intraoraler Scan (Carestream 3600) wurde durchgeführt. Ein neues Mock-up für die Zahnpräparation wurde unter Verwendung einer vakuumgeformten Matrize (V-print Ortho clear; VOCO) mit einem 3D-Drucker (SolFlex; VOCO) aus Bis-Acryl (Structur; VOCO) gedruckt. Ausgehend vom Mock-up, wurden die Pfeilerzähne minimal präpariert (Abb. 8). Die alten Präparationen der Zähne im zweiten Sextanten wurden erhalten, die oberen Seitenzähne. Ein neuer intraoraler Scan wurde erstellt. Die Informationen wurden an das DSD-Labor übermittelt (Abb. 9), das daraus eine STL-Datei mit virtuellen Modellen erstellte, die im Labor (Anatomic Lab) gefertigt wurden. Diese 3D-Modelle (V-Print-Modell; VOCO) wurden in einem 3D-Drucker (SolFlex 650; VOCO) erstellt.
Finale Versorgung
Die endgültigen Veneers und Kronen wurden mit der Konstruktionssoftware „Ceramill mind“ (Amann Girrbach) digital vorbereitet und in einer Fräsmaschine (Ceramill Motion 2, Amann Girrbach) aus maschinell bearbeitbaren Lithiumdisilikat-Keramikblöcken (VITA BLOCS TriLuxe forte für Ceramill Motion 2, Amann Girrbach) gefertigt (Abb. 10). Nach der Bestätigung des Randschlusses und der optischen Eigenschaften bei einem probeweisen Einsetzen wurde ein Lippen-Wangen-Halter (OptraGate, Ivoclar Vivadent) angelegt.
Die Pfeilerzähne und Keramikveneers und -kronen wurden gemäß den Herstellerempfehlungen präpariert: Die Keramikoberfläche wurde mit Aluminiumoxid 50 µm und 20 s mit Flusssäure 5 % präpariert, dann 20 s gespült, danach mit Phosphorsäure 37 % (Total Etch, Ivoclar Vivadent) und Alkohol 96 % zur Reinigung behandelt und ausschließlich 20 Sekunden mit Silan konditioniert (Monobond Plus, Ivoclar Vivadent).
Die Kronen (11–13, 21–23) und Veneers (14, 15, 16, 17, 24, 25, 26, 27, 31, 32, 33, 34, 35, 36, 37, 41, 42, 43, 44, 45, 46, 47) wurden mit einem lichthärtenden, polymerisierenden Harz‧adhäsiv (Futurabond U und Bifix QM; VOCO) an den Abutments befestigt. Zur Polymerisation wurde ein Hochleistungs-LED-Lichthärtegerät verwendet (Celalux 3; VOCO), siehe die Abbildungen 11 und 12.
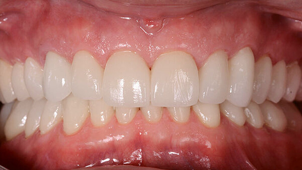
Überschüssiges Befestigungsmaterial wurde entfernt und Anpassungen der Okklusion wurden vorgenommen und mit der T-Scan-Technologie (TeK-scan) überprüft. Zum Schutz der endgültigen Restaurationen wurde eine abnehmbare Acrylschiene angefertigt. Nach 6 Monaten wurden die endgültigen Restaurationen überprüft. Sie waren noch immer stabil und wiesen keine Frakturspuren auf (Abb. 13–15). Der Patient berichtete zudem, dass er mit der neuen Bisshöhe keine Kopfschmerzen mehr hatte.
Fazit
Dank der technologischen Weiterentwicklung in der Zahnheilkunde konnte eine vollständig digitalisierte Behandlung durchgeführt werden, die es ermöglicht, Probleme wie den Verlust der Bisshöhe erfolgreich zu beheben. Es sind jedoch weitere klinische Studien nötig, um belastbare Ergebnisse im Hinblick auf den digitalisierten Arbeitsablauf im Vergleich zur herkömmlichen Technik bei Verlust der Bisshöhe zu erhalten. Auch die Funktionsweise der endgültigen Versorgungen muss langfristig geprüft werden.
Dank der technologischen Weiterentwicklung in der Zahnheilkunde kann eine vollständig digitalisierte Behandlung durchgeführt werden, um Probleme wie den Verlust der Bisshöhe erfolgreich zu beheben.


















