Akute Pankreatitis nach nicht chirurgischer Parodontaltherapie
Zusammenfassung
Die nicht chirurgische Parodontaltherapie wird häufig in Kombination mit einer systemischen Antibiotikatherapie (Amoxicillin und Metronidazol) durchgeführt. Obwohl die Kombinationstherapie mit systemischen Antibiotika als sicher beschrieben wird, wird eine zu freigiebige Verwendung von Antibiotika aufgrund der Problematik der Resistenzentwicklung nach wie vor kontrovers diskutiert. In diesem Fallbericht wird eine schwere unerwünschte Arzneimittelreaktion bei einer 61-jährigen Frau beschrieben, welche nach konservativer Parodontaltherapie in Kombination mit Amoxicillin und Metronidazol aufgrund einer akuten Pankreatitis für drei Tage hospitalisiert werden musste. Die medikamentös-induzierte Pankreatitis ist eine seltene, aber potenziell schwer verlaufende Komplikation der systemischen Antibiotikatherapie. Eine frühzeitige Diagnosestellung erleichtert die Behandlung der Pankreatitis und reduziert Pankreatitis-assoziierte Komplikationen. Der Entscheid zu einer kombinierten Antibiotikatherapie sollte somit immer auch unter Berücksichtigung allfälliger unerwünschter Arzneimittelreaktionen gefällt werden.
Einleitung
Die Erforschung und das Verständnis der Pathogenese der chronischen Parodontitis begannen in den 1960er-Jahren, als die kausalen Zusammenhänge zwischen der bakteriellen Besiedlung und der Entstehung einer Wirtsantwort, der Entzündung der parodontalen Gewebe, erkannt wurden (Löe et al. 1965). Die nachfolgende systematische Erforschung der parodontalen Mikrobiota (Biofilm) führte zu einem besseren Verständnis der pathogenen Mechanismen (Socransky &Haffajee2005). Da nicht alle der Pathogenese zugrunde liegenden Mechanismen rein mikrobiologisch erklärt werden können, kommt der Entzündungsantwort eine entscheidende Rolle zu (Page et al. 1997). Insofern wird die chronische Parodontitis als eine obligat durch Bakterien ausgelöste entzündliche Erkrankung betrachtet (Van Dyke 2014).
Aufgrund der Schwierigkeit, das Immunsystem positiv zu beeinflussen, sowie unerwünschter Nebenwirkungen einer Modulation der Immunantwort zielen die am häufigsten angewendeten Therapien auf die Beseitigung von supra- und subgingivalen weichen und harten Biofilmen. Studien zu traditionellen Konzepten konnten zeigen, dass durch eine optimale, regelmäßige Mundhygiene und eine mechanische Initialtherapie sowie ggf. weitere parodontalchirurgische Maßnahmen langfristiger Zahnerhalt gewährleistet ist (Axelsson et al. 2004). Nebst diesen konservativen Therapieformen für die chronischen Parodontitiden hat sich für die Behandlung aggressiver Formen seit Ende der 1980er-Jahre der Einsatz von systemischen Antibiotika etabliert (Guerrero et al. 2005; van Winkelhoff et al. 1989).
Systemische Antibiotika (insbesondere Amoxicillin und Metronidazol) werden in neuster Zeit auch vermehrt für die Behandlung von schweren chronischen Parodontitiden empfohlen (Cionca et al. 2009; Mombelli et al. 2011). Mit einer Kombinationstherapie konnten bessere initiale Behandlungsergebnisse erreicht werden als ohne Verwendung von systemischen Antibiotika (Sgolastra et al. 2012a; Sgolastra et al. 2012b; Zandbergen et al. 2013). Die systemische Verabreichung von Antibiotika führte dabei im Vergleich zur Placebomedikation zu einem vermehrten Auftreten von einfach verlaufenden systemischen Komplikationen wie z.B. Durchfall oder Übelkeit (Cionca et al. 2009; Feres et al. 2012) und wird deshalb grundsätzlich als eine Therapieform mit vertretbaren Risiken betrachtet.
Die Verwendung von systemischen Antibiotika in der nicht chirurgischen Parodontaltherapie wird allerdings nach wie vor kontrovers diskutiert (Preus et al. 2014), empfehlen doch sowohl die Europäische Union als auch die Weltgesundheitsorganisation (Bronzwaer et al. 2004; European Centre for Disease Prevention and Control 2010; World Health Organization 2012) aufgrund der Resistenzentwicklungsproblematik (Kumarasamy et al. 2010) eine restriktive Verwendung von Antibiotika. Dieses Argument wird insbesondere aufgrund der Tatsache bekräftigt, dass in vielen Fällen eine erfolgreiche Therapie auch ohne die Verwendung von systemischen Antibiotika erfolgreich durchgeführt werden kann und damit eine Initialtherapie mit Antibiotika infrage gestellt wird (Preus et al. 2014). Dass bei der Verwendung von systemischen Antibiotika nebst der beschriebenen Antibiotikaresistenzen auch ernsthafte systemische Komplikationen auftreten können, wurde bisher nur selten beschrieben. Der folgende Fallbericht stellt eine zwar seltene, aber ernsthafte Komplikation vor, die im Rahmen einer nicht chirurgischen Parodontaltherapie unter systemischer Antibiotikakombinationstherapie auftrat.
Fallbericht
Eine 61-jährige Patientin mit einer postmenopausalen Osteoporose, einer Divertikulose, seit 2005 bekannten und im Verlauf größenregredienten Pankreaszysten sowie einer Allergie auf Neo-Citran® stellte sich aufgrund einer zwar relativ lokalisierten, gleichwohl aber schweren Parodontitis vor. Insbesondere die lateralen Inzisiven zeigten dabei Sondierungstiefen bis zu 9mm mit Suppuration/Bluten auf Sondieren (Abbildung 1 und 2), die bisher – trotz relativ guter Mundhygiene – bei verschiedenen Zahnärzten ohne Erfolg behandelt wurde.
Im Rahmen einer Gesamtbehandlungsplanung wurde festgelegt, die parodontalen Probleme mittels einer erneuten nicht chirurgischen "Initialtherapie" anzugehen. Es wurde eine mechanisch-medikamentöse Kombinationstherapie (Cionca et al. 2009) mit systematischer Entfernung von supra- und subgingivalen Biofilmen durch Scaling und Wurzelglätten sowie eine systemische Antibiotikatherapie (Amoxicillin und Metronidazol) durchgeführt. Sowohl die nicht chirurgische Parodontaltherapie als auch die Woche der systemischen Antibiotikatherapie (375mg Amoxicillin/500mg Metronidazol 3× täglich, 7Tage) verliefen komplikationslos.
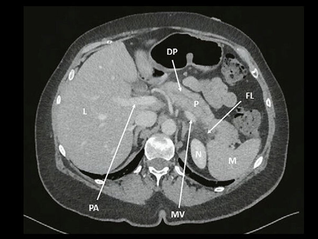
Zwei Tage nach Beenden der Antibiotikakombinationstherapie bemerkte die Patientin eine Appetitlosigkeit sowie ein Unwohlsein im Magen. Sie erwachte in der folgenden Nacht mit stärksten Oberbauchschmerzen und begab sich daraufhin frühmorgens in den medizinischen Notfalldienst. Die klinischen und laborchemischen Untersuchungen ergaben das Bild einer akuten Pankreatitis, deren Ätiologie vorerst unklar war. Anamnestisch konnten ein erhöhter Alkoholkonsum sowie fetthaltige Speisen als Auslöser ausgeschlossen werden. Sonografisch zeigten sich normale intra- und extrahepatische Gallenwege, womit eine (persistierende) obstruktive Ursache (Choleztzystolithiasis, Choledocholithiasis) ebenfalls ausgeschlossen werden konnte. Die ergänzend durchgeführte Computertomografie zeigte bekannte größenregrediente Zysten im Pankreasschwanz mit neu abgrenzbaren kleinfleckigen Verkalkungen der Zystenwände sowie wenig freie Flüssigkeit subsplenisch und peripankreatisch auf Höhe des Pankreasschwanzes (Abbildung 3).
Diese Befunde waren mit entzündlichen Veränderungen und somit mit der klinischen Präsentation und den Laborbefunden vereinbar. Aufgrund dieser Befunde wurde die Patientin auf der gastroenterologischen/viszeralchirurgischen Station des Inselspitals Bern zur weiteren Behandlung stationär aufgenommen. Unter Hydrierung, analgetischer Therapie sowie Nahrungskarenz stellte sich in der Folge eine Besserung ein und die Patientin konnte nach drei Tagen in gutem Allgemeinzustand nach Hause entlassen werden. Zahnmedizinisch zeigten die weiteren Recalls nach Initialtherapie erfreuliche parodontale Befunde, weshalb keine weiteren parodontalchirurgischen Therapien durchgeführt werden mussten (Abbildung 1 und 2).
###more### ###title### Diskussion ###title### ###more###
Diskussion
Eine akute Pankreatitis zeichnet sich durch eine Erhöhung der Lipasen und Amylasen im Serum sowie klinisch typischerweise durch gürtelförmige Oberbauchschmerzen aus (Swaroop et al. 2004). Die meisten akuten Pankreasentzündungen verlaufen mild und selbstlimitierend (ca. 80%). Gelegentlich kommt es jedoch im Rahmen eines schweren Krankheitsverlaufs zu lokalen und extrapankreatischen Manifestationen, die zu einem Multiorganversagen führen können (Frossard et al. 2008). Bei Patienten ohne Nekrosen und mit normaler Organfunktion ist die Mortalität tief (0–3%). Liegen hingegen Pankreasnekrosen vor, kann die Mortalität auf 23% ansteigen (Forsmark &Baillie 2007).
Häufigste Ursache für eine akute Pankreatitis ist eine biliäre Obstruktion durch Gallensteine (35–40%) gefolgt von Alkohol (30%) (Forsmark & Baillie 2007). Medikamente sind hingegen nur in 1–2% für die Entwicklung der akuten Pankreatitiden verantwortlich (Lankisch et al. 1995; Trivedi & Pitchumoni 2005). Eine medikamentös ausgelöste Pankreatitis ist immer eine Ausschlussdiagnose, womit andere Ursachen aktiv gesucht und ausgeschlossen werden müssen.
Die Prognose der medikamentös induzierten Pankreatitis ist gut und die Mortalität tief (Lankisch et al. 1995). Die Pathogenese der medikamentös induzierten Pankreatitis hängt von der auslösenden Substanz ab: Es werden immunologische, ischämische oder direkt toxische Mechanismen, aber auch eine Akkumulation von toxischen Metaboliten diskutiert. Im vorliegenden Fall wurde die Diagnose der medikamentös induzierten Pankreatitis nach Ausschluss von anderen Ursachen gestellt. Insbesondere konnten eine lithogene sowie eine alkoholtoxische Ätiologie ausgeschlossen werden. Als Auslöser steht deshalb die Kombinationsantibiotikatherapie mit Metronidazol und Amoxicillin im Vordergrund. In Bezug auf Metronidazol finden sich mehrere Fallberichte (Tabelle I) (z.B. O’Halloran et al. 2010).
In einer populationsbasierten Fallkontrollstudie zeigte sich ein dreifach erhöhtes Risiko für eine akute Pankreatitis bei Patienten, die während der vergangenen 30Tage mit Metronidazol behandelt wurden (Plotnik et al. 1985). Erfolgte die Therapie in Kombination mit einem Protonenpumpenhemmer, Amoxicillin, einem Makrolid oder Tetrazyklin, so war das Risiko sogar 8,3-fach erhöht (Norgaard et al. 2005). Badalov und Mitarbeiter haben in ihrer Übersichtsarbeit Medikamente als potenzielle Auslöser einer akuten Pankreatitis entsprechend der verfügbaren Evidenz in vier Medikamentengruppen eingeteilt (Badalov et al. 2007). In dieser Klassifizierung wurde Metronidazol der Gruppe Ia, der Gruppe mit der besten Evidenz, zugeteilt.
Das Intervall zwischen der Einnahme von Metronidazol und dem Auftreten der akuten Pankreatitiden betrug in den von O’Halloran (2010) publizierten Fällen zwischen 1und 8 Tagen bzw. zwischen 1 und 37 Tagen bei Reexposition. Im vorliegenden Fall trat die Pankreatitis nach 9 Tagen auf. Das gleichzeitig mit dem Metronidazol verabreichte Amoxicillin steht als Auslöser einer akuten Pankreatitis im Hintergrund. In der Klassifizierung von Badalov et al. (2007) werden Ampicillin und Penicillin in der Gruppe IV mit der niedrigsten Evidenz als potenzielle Auslöser einer akuten Pankreatitis aufgeführt (Badalov et al. 2007). Amoxicillin ist hingegen nicht aufgelistet.
Das bereits erwähnte relative Risiko von 8,3 bei einer Kombinationsantibiotikatherapie darf hingegen nicht vernachlässigt werden (Norgaard et al. 2007). In Anbetracht der breiten Anwendung von Metronidazol im stationären wie auch im ambulanten Bereich kann das Risiko einer medikamentös induzierten Pankreatitis unter Therapie mit Metronidazol generell als klein eingeschätzt werden. Die Inzidenz wird mit 4,6 auf 10000 mit Metronidazol behandelten Patienten angegeben (Friedman &Selby 1990). Bei der beschriebenen Patientin war der Einsatz einer systemischen Antibiotikakombinationstherapie grundsätzlich möglich. Der zu erwartende Nutzen muss allerdings immer gegenüber dem potenziellen Risiko einer unerwünschten Arzneimittelreaktion abgewogen werden. Von einer Reexposition im Falle einer vorangegangenen akuten Pankreatitis unter Metronidazol muss zwingend abgesehen werden, da das Rezidivrisiko relativ hoch einzuschätzen ist (75%) (O’Halloran 2010).
Von zentraler Bedeutung sind deshalb die richtige Interpretation der klinischen Symptomatik, die relevante Diagnostik und eine rasche Einleitung einer adäquaten Therapie. Die Kenntnis unerwünschter Arzneimittelreaktionen von systemisch eingesetzten Antibiotika, insbesondere von Kombinationstherapien, bildet eine wichtige Voraussetzung für eine sichere Arzneimitteltherapie. Die Indikation einer systemischen Antibiotikatherapie ist von Fall zu Fall im Sinne einer sorgfältigen Risikoabwägung zu überprüfen. Dies erfolgt im Hinblick auf die zunehmende Antibiotikaresistenzproblematik und unter Berücksichtigung der Tatsache, dass eine nicht chirurgische Parodontaltherapie in vielen Fällen ohne systemische Antibiotikatherapie zu einem sehr guten Behandlungsresultat führt.
HägiT, StirnimannG, StutzA, LangNP:Acute pancreatitis following non-surgical periodontal therapy in combination with systemic amoxicillin and metronidazole – A case report (in German). SWISS DENTAL JOURNAL SSO127: 315–319(2017)
Dr.med.dent.Tobias Hägi
Klinik für Parodontologie, Zahnmedizinische Kliniken der Universität BernMAS Fachzahnarzt für Parodontologie (CH)/EFP
Weinbergstrasse 98CH-8006 Zürich
tobias.haegi@ gmail.com







