Antiseptika in der UPT
Das primäre Ziel einer Parodontitistherapie sind das Eliminieren von Entzündungen sowie die Dekontamination der subgingivalen Taschen. Während der antiinfektiösen Therapie werden die Sondierungstiefen auf ein durch den Patienten und die professionelle Nachsorge kontrollierbares Niveau reduziert. Anschließend erfolgt die Reevaluation der klinischen Situation. Auf der Grundlage des parodontalen Befundes muss dann die Entscheidung getroffen werden, ob zur unterstützenden Parodontitistherapie übergegangen oder eine weiterführende chirurgische Therapie notwendig wird. Ein wichtiger Risikofaktor für die weitere Progression der Parodontitis sind dabei verbleibende Sondierungstiefen von ≥ 5 mm mit Aktivitätszeichen, d. h. Bluten des Zahnfleischs auf Sondieren.
Im Rahmen der unterstützenden Parodontitistherapie können einzelne persistierende oder rezidivierende Taschen mit Sondierungstiefen ≥ 5 mm und „Bluten auf Sondieren“ zusätzlich zur mechanischen Instrumentierung der Wurzeloberfläche (Scaling und Root Planing, kurz SRP) mit lokalen Antiseptika behandelt werden. Bei deren Anwendung sollte aber eine Darreichungsform verwendet werden, die ein stabiles subgingivales Depot bildet, aus dem dann kontinuierlich – und in wirksamer Konzentration – Antiseptika freigesetzt werden. Ein biologisch abbaubarer Medikamententräger, der mit einer antimikrobiellen Substanz beschickt ist, ist PerioChip (Dexcel Pharma GmbH, Alzenau). Er besteht aus einer biologisch abbaubaren Matrix (Gelatineglutaraldehyd-Polykondensat, Glyzerin) und ist mit ca. 36 Prozent Chlorhexidinbis(D-Glukonat) beladen.
Der konkrete Fall
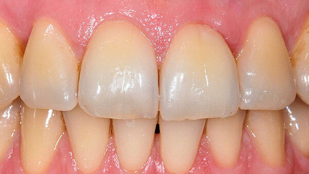
Die Patientin (44 Jahre alt, guter Allgemeinzustand) wies vor Behandlungsbeginn eine befriedigende Mundhygiene mit approximalen Belägen und Sondierungstiefen bis 7 mm auf (Abb. 1).
Vier Wochen nach dieser Initialsitzung wurde eine subgingivale Instrumentierung aller pathologisch vertieften Taschen durchgeführt („Full Mouth Disinfection“). Bei der Reevaluation acht Wochen nach antiinfektiöser Therapie waren die klinischen Anzeichen einer parodontalen Entzündung verbessert. Persistierende Sondierungstiefen ab sechs Millimeter mit Bluten auf Sondierung wurden nur noch an 12 distal festgestellt (Abb. 2).
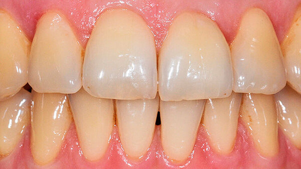
Als unterstützende Therapie zur mechanischen Reinigung wurde ein PerioChip eingesetzt, mit dem Ziel einer weiteren Reduktion der Sondierungstiefe. Weitere vier Monate später wurde die Sondierungstiefe auf 4 mm reduziert, ohne klinische Entzündungszeichen, d. h. Bluten auf Sondierung (Abb. 3).
Ergebnis: Mithilfe der zusätzlichen Anwendung des mit Chlorhexidin beschickten Medikamententrägers konnte im Rahmen der gewählten unterstützenden Parodontitistherapie die parodontale Tasche lokal erfolgreich behandelt werden. Dies ist auch im Röntgenbild erkennbar (Abb. 4), das den radiologisch konsolidierten Knochenanbau am distalen Bereich deutlich zeigt.
Fazit
Lokal applizierte Antiseptika wie der PerioChip entfalten rasch und hochkonzentriert ihre Wirkung. Nach Abgabe einer Trägersubstanz haftet der Wirkstoff an Hart- und Weichgeweben. Dadurch wird eine kontinuierliche Freisetzung im Sulkus über einen bestimmten Zeitraum ermöglicht. Die lokale Chlorhexidinbehandlung mit PerioChip findet ihre Indikation hauptsächlich bei persistierenden Sondierungstiefen in der unterstützenden Parodontitistherapie. Die Reduktion der Taschen ist deutlicher als allein mit mechanischen Maßnahmen. Auch die Gefahr von möglichen Nebenwirkungen besteht nicht. Allerdings ist eine engmaschige Kontrolle bei guter Mitarbeit des Patienten eine zwingende Voraussetzung für die erfolgreiche Behandlung.
Dr. Tobias Thalmair studierte Zahnmedizin in Erlangen und führt seit 2013 seine eigene Praxis in Freising. Tätigkeitsschwerpunkte: Parodontologie, Implantologie.info@praxis-thalmair.de






