Caries-profunda-Behandlung mit Biodentine
Biodentine ist ein bioaktiver Kalzium-Silikat-Zement und eignet sich als Dentinersatzmaterial für einen breiten Indikationsbereich in der zahnärztlichen Therapie. Er ist sowohl bei restaurativen Maßnahmen im Bereich der Zahnkrone als auch bei endodontischen Behandlungen einsetzbar.
Der Indikationsbereich bei restaurativen Maßnahmen umfasst neben der Versorgung der Dentinwunde (Unterfüllung; Caries-profunda-Behandlung bei ausgedehnten kariösen Läsionen) die rein provisorische Versorgung im Schmelz- und Dentinbereich sowie die direkte und indirekte Überkappung [Septodont R&D, 2010]. Im folgenden Fallbeispiel wurde das Material zur Caries-profunda-Behandlung und als Unterfüllungsmaterial im Rahmen der direkten Versorgung einer Klasse-II-Kavität mit einer Kompositfüllung verwendet.
Der Fall
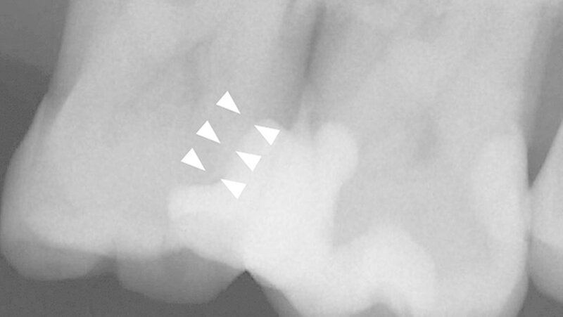
Ein 72-jähriger Patient stellte sich im Oktober 2013 zu einer Routinekontrolle in der Poliklinik für Zahnerhaltung und Parodontologie der Universität Regensburg vor. Bei der Befunderhebung wurde aufgrund des Verdachts auf Approximalkaries eine Röntgenaufnahme im Bereich des zweiten Quadranten angefertigt. Im Bereich des Zahns 26 distal wurde eine "Caries profunda“ diagnostiziert (Abbildung 1) und daher ein Termin zur Füllungstherapie vereinbart.
Die Therapie
Die Sensibilitätsprüfung des Zahnes 26 auf Kälte mit CO
2
-Schnee war positiv. Die Behandlung wurde auf Wunsch des Patienten ohne Lokalanästhesie durchgeführt. Vor der Präparation erfolgte das Anlegen von Kofferdam an den Zähnen 24 bis 27. Zunächst wurde mit rotierenden Diamantschleifern unter Wasserkühlung von okklusal ein Zugang zum Defekt geschaffen. Der distale Kavitätenbereich wurde mit oszillierenden Instrumenten präpariert (SonicFlex, KaVo) (Abbildung 2). Dabei wurde die Kavität so zierlich wie möglich gestaltet.
Anschließend erfolgte die Kariesexkavation mit Rosenbohrern unter optischer Kontrolle mit einem OP-Mikroskop. Die Kavität wurde im Verlauf der Exkavation mehrmals mittels FACE (fluoreszenzgestützter Kariesexkavation, SIROinspect, Sirona) auf Residualkaries überprüft [Buchalla W et al., 2013].
Bei der vollständigen Kariesentfernung kam es nicht zu einer Freilegung der Pulpa (Abbildung 3). Anschließend wurde eine Metallmatrize (HaweTofflemire Matrize, Kerr Dental) angelegt und verkeilt. Die Kavität wurde gereinigt und getrocknet.
Das Zementmaterial wurde nach Herstellerangaben angemischt und mittels eines kleinen Kugelstopfers (Dycal-Instrument) im Bereich der distalen pulpalen Wand appliziert und mit einem Heidemann-Spatel adaptiert. Das Material wurde damit gleichzeitig sowohl zur Caries-profunda-Behandlung als auch zur Unterfüllung eingesetzt. Nach einer Abbindezeit für das Material von zwölf Minuten wurde der Defekt mit einer Kompositfüllung restauriert (Abbildung 4).
Zur Füllungstherapie wurde ein Etch&Rinse-Adhäsiv (ExciTE, Ivoclar Vivadent) in Kombination mit einem Feinpartikelhybridkomposit (Tetric EvoCeram, Ivoclar Vivadent) verwendet. Nach Anätzen des Schmelzes mit Phosphorsäure (Total Etch, Ivoclar Vivadent) (Abbildung 5) und Applikation des Adhäsivs (ExciTE DC, Ivoclar Vivadent) (Abbildung 6) wurde zunächst eine erste Schicht aus einem opaken, fließfähigen Komposit in die Kavität eingebracht (Venus Flow Baseliner, Heraeus Kulzer).
Das Kavitätenlining mit einem Flowkomposit ermöglicht eine gute Primäradaptation und stabilisiert den Haftverbund zum Dentin beim Einsetzen der Polymerisationsschrumpfung des nachfolgend platzierten Komposits [Haller B, 2009]. Zudem ermöglicht der opake Liner eine Abgrenzung des Übergangs zur natürlichen Zahnhartsubstanz (Abbildung 7).
Anschließend erfolgte der Aufbau der Restauration in Inkrement-Technik. Nachdem der Kofferdam entfernt wurde, wurden Okklusion und Artikulation überprüft, und es erfolgten Ausarbeitung und Politur (Abbildung 8) mit Feinkorndiamanten.
Die Nachsorge
Im April 2014, sieben Monate nach der Cp-Behandlung, stellte sich der Patient erneut zu einer zahnärztlichen Untersuchung vor. Zahn 26 reagierte bei der Sensibilitätsprüfung mit CO
2
-Schnee weiterhin positiv.
Der Patient berichtete über keine postoperativen Hypersensitivitäten nach der Behandlung. Die Röntgenaufnahme zeigt eine dichte Adaption von Biodentine an das Dentin, wobei aufgrund der ähnlichen Röntgenopazität von Dentin und dem Material eine Diskriminierung zwischen den beiden Schichten nicht leicht ist (Abbildungen 9 und 10).
Bezüglich einer reaktiven Reizdentinbildung, wie sie in der Literatur ebenfalls für das Produkt angegeben wird [Septodont R&D, 2010], lässt sich in diesem Fall auf der Basis der Röntgenbilder keine Aussage treffen.
Diskussion
Der Zement wurde im vorliegenden Fall als Unterfüllung im Sinne eines Dentinersatzes und zur Caries-profunda-Behandlung eingesetzt. Bei stark reduzierter Restdentinstärke nach Kariesexkavation können Mikroperforationen zur Pulpa vorhanden sein. Hierdurch kann es zu einem direkten Kontakt der Komponenten des methacrylatbasierten Adhäsivsystems mit dem Pulpagewebe und in der Folge im schlimmsten Fall zu einer irreversiblen Schädigung der Pulpa kommen [Schmalz G, 2005].
Daher wurde im vorliegenden Fall das Material aufgrund seiner biologischen Aktivität einerseits und der dentinähnlichen mechanischen Eigenschaften andererseits als Unterfüllungsmaterial eingesetzt. Klinisch zeigte sich dabei, dass sich der Kalzium-Silikat-Zement gegenüber anderen Materialien zur Cp-Behandlung aufgrund seiner Konsistenz nach dem Anmischen ohne Druck aufbringen sowie dicht an das Dentin adaptieren lässt und nach der Abbindung eine mechanisch stabile Barriere darstellt. Dies zeigt auch die Röntgenaufnahme nach sieben Monaten. Ein zweizeitiges Vorgehen war im vorliegenden Fall nicht indiziert.
Priv.-Doz. Dr. med. dent. Marianne FederlinUniversitätsklinikum RegensburgZentrum für Zahn-, Mund- und KieferheilkundePoliklinik für Zahnerhaltung und ParodontologieFranz-Josef-Strauß-Allee 11, 93053 Regensburgmarianne.federlin@klinik.uni-regensburg.de
Dieser Beitrag ist erschienen im
Septodont Biodentine Handbuch von Fall 14
###more### ###title### Literaturverzeichnis ###title### ###more###
Literaturverzeichnis
Septodont R&D Department: Biodentine™ - Active Biosilicate Technology: Scientific File. www.septodont.fr/fichiers_upload/biodentinescientificfile.pdf.
Buchalla W, Lennon AM. Die fluoreszenzunterstütze Kariesexkavation – Funktionsprinzip und Empfehlungen für den Gebrauch. Oralprophylaxe und Kinderzahnheilkunde, 2013; 35 (4): 162–167.
Haller B. Direkte Seitenzahnrestauration mit Komposit. Zahnmedizin up2date 6, 2009: 579–598.
Schmalz G. Kompositkunststoffe: Lokale Toxizität und Gewebeverträglichkeit – Pulpareaktionen. In: Biokompatibilität zahnärztlicher Werkstoffe Hrsg.: G. Schmalz, D. Arenholt-Bindslev, Elsevier GmbH, Urban & Fischer Verlag, 2005 München, S. 111–115.
Mehr zum Thema: Kariestherapie
Karies zerstört Zahnschmelz und Dentin. Für jede Läsion gibt es eine eigene Behandlungsoption. Hier finden Sie alles zum Thema Kariestherapie.













