Das pleomorphe Adenom
In Bezug auf Pathologien der großen Speicheldrüsen ist neben der allgemeinen Anamneseerhebung die klinische Untersuchung mit Inspektion und Palpation wegweisend für die Diagnosefindung. Aufgrund der anatomischen Lage sowie der paarigen Anlage der großen Speicheldrüsen sollten eine intra- und eine extraorale Untersuchung erfolgen, ebenso eine Beurteilung im Seitenvergleich. In der Mehrzahl der Fälle weisen Speicheldrüsenerkrankungen eine Seitendifferenz mit unilateral auffälligen Befunden und keine generalisierte oder symmetrische Veränderung der Speicheldrüsengewebe auf.
Schwellungen infektiöser, degenerativer oder tumoröser Ätiologie insbesondere im Bereich der Glandula parotidea sind oft bereits bei der extraoralen Inspektion erkennbar. Nicht druckdolente Schwellungen können auf Sialadenosen oder Speichel- drüsentumore verschiedener Entitäten hinweisen. Im Fall einer vorliegenden Raumforderung lässt sich palpatorisch eine isolierte Strukturveränderung gegen das umgebende Speicheldrüsengewebe abgrenzen.
Tumoren der Speicheldrüsen können vom spezifischen Speicheldrüsenparenchym oder vom unspezifischen Stroma ausgehen. Aufgrund der im Bereich der Glandula parotidea vorhandenen lymphatischen Gewebeanteile sind hier differenzialdiagnostisch zusätzlich Absiedelungen lokoregionärer Metastasen oder Fernmetastasen anderer Tumoren in Betracht zu ziehen.
Fallbericht
Eine 81-jährige Patientin wurde bei einer anamnestisch vor drei Jahren erstmals aufgefallenen und seither größenprogredienten Schwellung präaurikulär rechts (Abbildungen 1 bis 3) mit der Bitte um Weiterbehandlung an die Klinik für Mund-, Kiefer- und Gesichtschirurgie der LMU München überwiesen. Die alio loco durchgeführte bildgebende Diagnostik mittels MRT hatte einen abgegrenzten Prozess in der rechten Glandula parotidea gezeigt (Abbildungen 4 und 5). In der Zusammenschau der klinischen und der radiologischen Befunde wurde die Verdachtsdiagnose eines pleomorphen Adenoms im Bereich der Glandula parotis rechts gestellt.
Allgemeinanamnestisch ist bei der Patientin ein Diabetes mellitus Typ II und ein arterieller Hypertonus bekannt. Die Dauermedikation der Patientin beinhaltet Metformin und Ramipril. Die Patientin raucht nicht. Familienanamnestisch sind keine Tumore bekannt.
Klinisch präsentierte sich eine derbe, nicht druckdolente und nicht verschiebliche Schwellung präaurikulär rechts. Es zeigten sich keine motorischen beziehungsweise sensiblen Einschränkungen im Versorgungsgebiet der Nn. faciales oder trigemini. Es lagen keine weiteren Hinweise auf eine Entzündung (Rubor, Calor, Dolor) vor. Im Bereich des Stenongangs rechts ließ sich klares Speichelsekret exprimieren.
Nach Durchführung der präoperativen Untersuchung zur Narkosefähigkeit und Aufklärung der Patientin über die möglichen Therapieoptionen erfolgte die gemeinsame Entscheidung für die Durchführung einer konservativen lateralen Parotidektomie rechts unter Fazialismonitoring (Abbildung 6). Der Eingriff erfolgte in Intubationsnarkose im Rahmen eines stationären Aufenthalts. Der postoperative Verlauf gestaltete sich komplikationslos. Es erfolgte eine antibiotische Infektionsprophylaxe mit Augmentan 875/125 mg oral, eine lokale Applikation von Scopodermpflastern sowie eine Analgesie mit Ibuprofen 600 mg bei Bedarf. Die postoperative durchgeführte klinische Funktionstestung des N. facialis zeigte keine pathologischen Befunde.
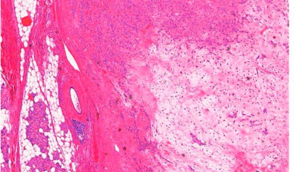
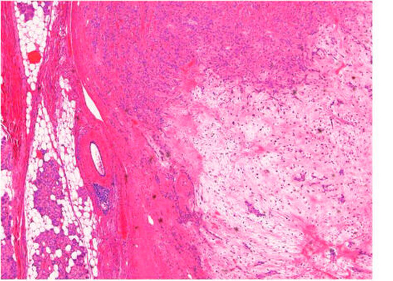
Die Untersuchung des eingesandten Weichgewebsresektats der Parotis rechts (Abbildung 7) ergab ein in sano entferntes pleomorphes Adenom neben regelhaft strukturiertem Speicheldrüsenparenchym mit mäßiger Lipatrophie (Abbildung 8) und insgesamt drei tumorfreien Lymphknoten. Es zeigte sich kein Anhalt für Dysplasie oder für Malignität.
Diskussion
In 70 bis 80 Prozent der Fälle handelt es sich bei Tumoren der Glandula parotidea um benigne Tumoren [Som et al., 2003], in der Mehrzahl der Fälle um ein pleomorphes Adenom, das überwiegend im lateralen Drüsenanteil lokalisiert ist [Schwenzer, Ehrenfeld et al., 2011].
Histologisch ist das pleomorphe Adenom durch eine sowohl strukturelle als auch zelluläre Pleomorphie mit epithelialen, myoephithelialen, mukoiden, myxoiden, hyalinen und chondroiden Anteilen gekennzeichnet [Ethunandan et al., 2006], weshalb der Tumor ehemals auch als „Misch-Tumor“ beschrieben wurde. Häufig wird der Tumor durch eine komplette oder inkomplette kapselartige Struktur umschieden. Dabei handelt es sich um eine Pseudokapsel mit feinen Ausläufern, die sich in das umgebende Gewebe fortsetzen. [Henrikkson et al., 1998; Phillips et al., 1995]
Auch Risikofaktoren für das Auftreten eines pleomorphen Adenoms sind, abgesehen von einer höheren Inzidenz beim weiblichen Geschlecht, bisher nicht bekannt [Moeller et al., 2013]. Klinisch präsentiert sich der Tumor durch eine langsame und schmerzlose Größenprogredienz präaurikulär bei intraparotidealer Lokalisation. Palpatorisch zeigt sich eine harte Auftreibung im Bereich der großen Speicheldrüsen beziehungsweise im Bereich der kleinen Speicheldrüsen am Übergang vom harten zum weichen Gaumen als zweithäufigster Lokalisation für das Auftreten eines pleomorphen Adenoms. Die bildgebende Diagnostik der Wahl stellt die Magnet- resonanztomografie dar, die der Computertomografie vor allem bei einer palatinalen Lokalisation überlegen ist [Kakimoto et al., 2009].
Änderungen des Wachstumsverhaltens mit plötzlich rapider Größenprogredienz oder Fazialisschwächen beziehungsweise peripheren Fazialisparesen können ein Hinweis auf eine maligne Transformation sein. Ein Karzinom im pleomorphen Adenom tritt in etwa zwei bis fünf Prozent der Fälle auf [Som et al., 2003]. In seltenen Fällen wurden auch lokoregionäre Situationen und Fernmetastasierungen beschrieben. Einer Metastasierung gehen dabei meist über einen langen Zeitraum auftretende Lokalrezidive voraus [Wenig et al., 1992]. Auch eine intraoperative Tumorverletzung mit diffuser Aussaat kann ursächlich für das Auftreten disseminierter Adenome sein [Tarsitano et al., 2014].
Therapeutisch ist aufgrund der nach alleiniger Tumorenukleation vor allem im Bereich der Glandula parotidea auftretenden hohen Rezidivrate oft eine laterale Parotidektomie oder eine vollständige konservative Parotidektomie die Methode der Wahl [Zbären et al., 2003]. Die Patienten sollten postoperativ über die hohe Rezidivgefahr aufgeklärt, engmaschig in regelmäßige Recall-Untersuchungen eingebunden und darüber hinaus zur Selbstbeobachtung instruiert werden.
Dr. Dr. Christin Kleye
PD Dr. Dr. Wenko Smolka
Prof. Dr. Dr. Michael Ehrenfeld
PD Dr. Dr. Sven Otto
Klinik für Mund-, Kiefer- und Gesichtschirurgie
Ludwig-Maximilians-Universität München
Lindwurmstr. 2a
80337 München
PD Dr. med. Susanna Müller
Institut für Pathologie
Ludwig-Maximilians-Universität München
Pathologisches Institut der LMU
Thalkirchner Str. 36
80337 München











