Der Fall: Hypoplasie durch Strukturanomalie
Die Mutter des Patienten berichtete, dass die bleibenden Frontzähne ihres Sohnes so durchgebrochen seien, wie sie jetzt aussähen. Das Milchgebiss dagegen sei völlig unversehrt gewesen. Bisher hätten Untersuchungen durch den Zahnarzt in der Schule sowie halbjährliche Untersuchungen durch den Hauszahnarzt stattgefunden.
Ursprünglich habe man sich mit dem Hauszahnarzt darauf geeinigt, die Zähne dann zu versorgen, wenn das Wachstum abgeschlossen sei – bis eben der Kieferorthopäde um eine frühere Restauration gebeten habe.
Klinischer Befund
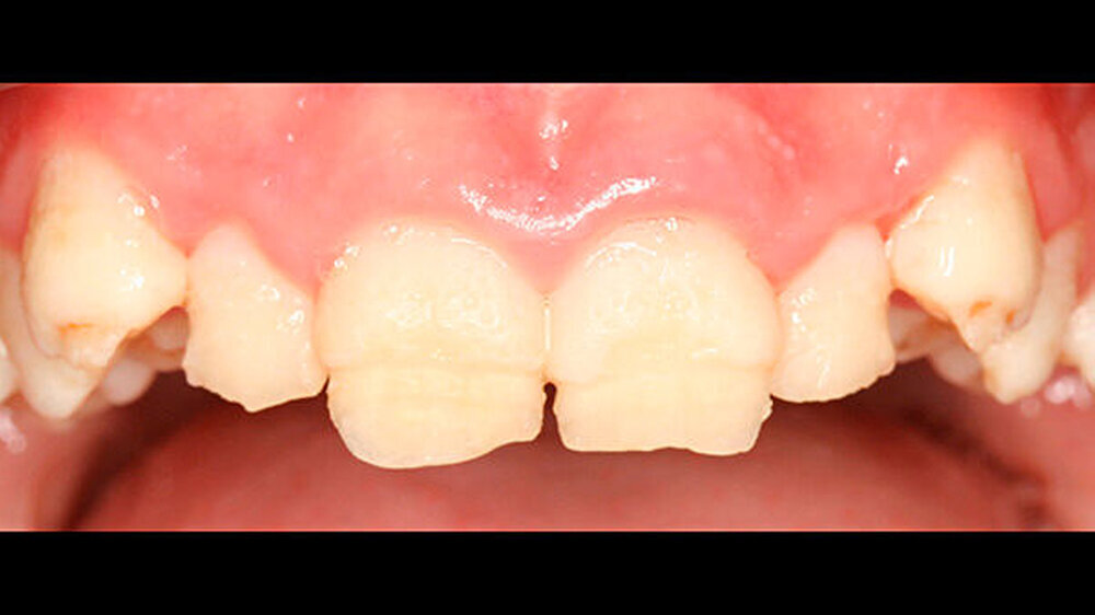
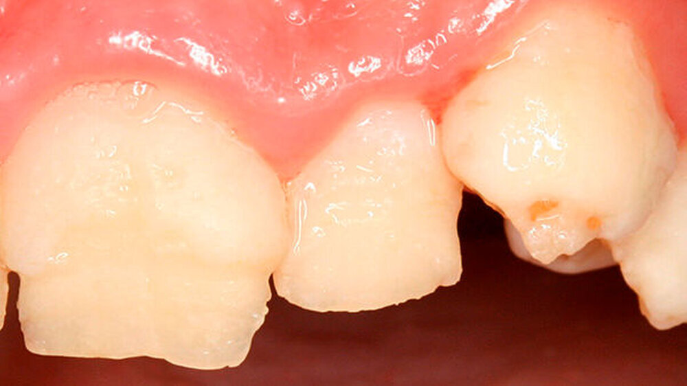
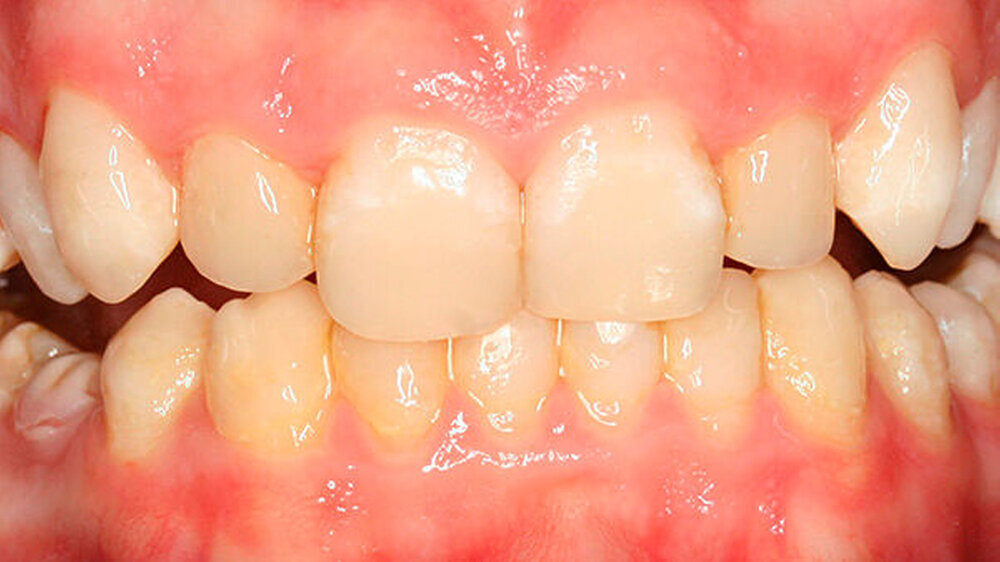
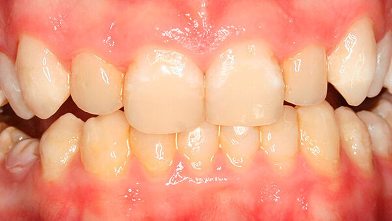
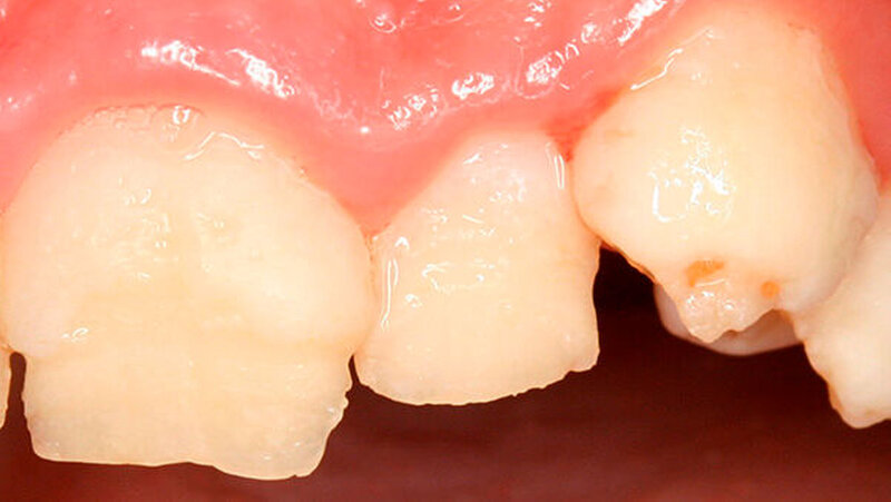
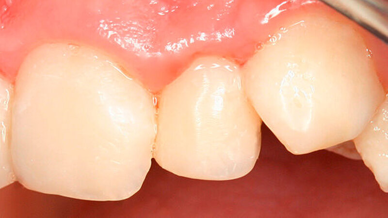
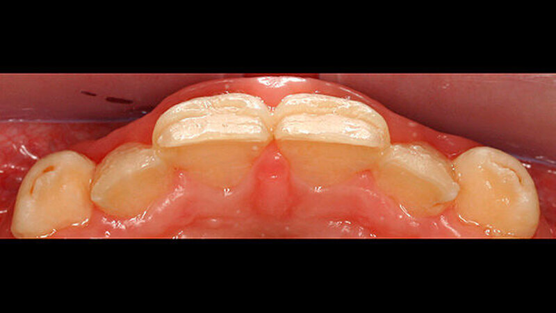
Die mittleren Oberkiefer- und alle Unterkieferfrontzähne des Patienten wiesen im inzisalen Drittel bis hin zur inzisalen Hälfte deutliche Hypoplasien auf (Abbildungen1 und 2). Ebenso war im Ober- wie auch im Unterkiefer das inzisale Drittel der Eckzähne betroffen (Abbildung 3). Nur sehr geringe Hypoplasien wiesen die seitlichen Schneidezähne im Oberkiefer auf (Abbildungen 2 und 3). Der Schmelz, der die hypoplastischen Areale bedeckte, war deutlich sichtbar grübchenförmig vertieft. Der restliche Schmelz dieser Zähne schien ebenfalls eine eher ungewöhnlich raue Struktur aufzuweisen.
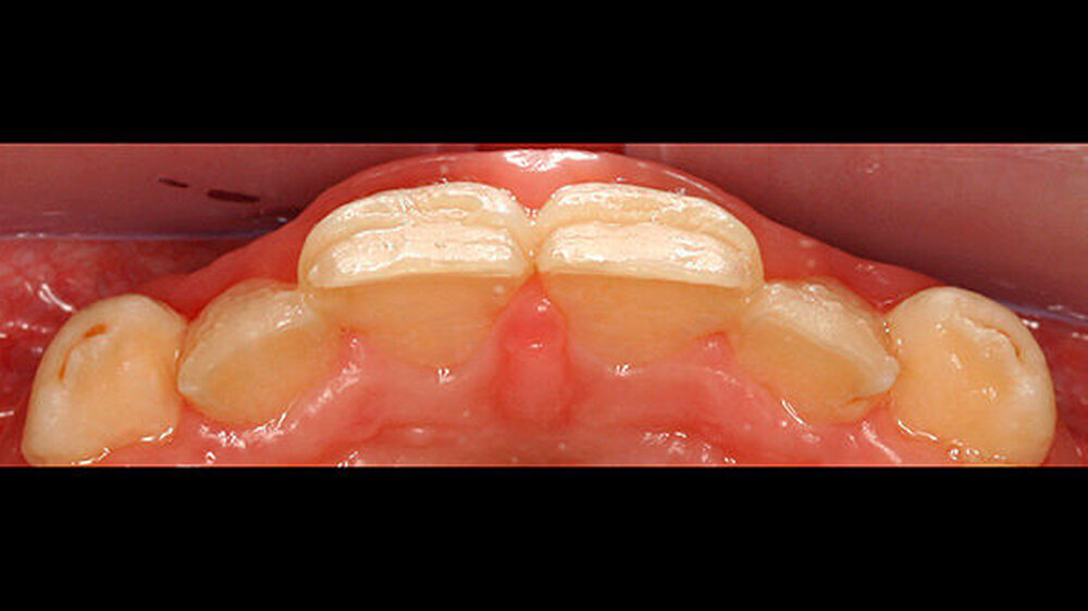
Auffallend war, dass ausschließlich die Labial- und die Approximalflächen der Zähne betroffen waren, die Palatinalfläche aber regelhaft ausgebildet wurde (Abbildung 4). Die noch vorhandenen Milchmolaren wiesen klinisch keine Besonderheiten auf. Die Familien- und die Fluoridanamnese wiesen ebenfalls keine ungewöhnlichen Merkmale auf. Allgemeinmedizinisch gab es die Besonderheit einer Frühgeburt, die aber laut Aussage der Mutter ohne größere Komplikationen abgelaufen sei, ihr Sohn habe sich trotz des verfrühten Starts von Beginn an gut entwickelt.
Diagnose
Die Diagnose lautete Hypoplasien der Ober- und der Unterkieferfrontzähne im Sinne erworbener Strukturanomalien.
###more### ###title### Differenzialdiagnose ###title### ###more###
Differenzialdiagnose
a) Amelogenesis imperfecta: Die hypoplastische Form der Amelogenesis imperfecta ist durch rillen- oder grübchenförmige Schmelzstrukturen gekennzeichnet. Generell ist der gesamte Schmelz betroffen, ebenso beide Dentitionen - wenn auch gelegentlich mit unterschiedlichem Ausprägungsgrad. Es gibt allerdings seltene Ausnahmen [Crawford et al., 2007]. Da bei dem hier vorgestellten Patienten das inzisale Drittel / die inzisale Hälfte nur der Frontzähne betroffen war, kann eine Amelogenesis imperfecta daher ausgeschlossen werden.
b) Molaren-Inzisiven-Hypomineralisation: Da ein wesentliches Merkmal der Molaren-Inzisiven-Hypomineralisation ist, dass mindestens einer der ersten bleibenden Molaren betroffen ist [Weerheijm et al., 2001], kann auch dies im vorliegenden Fall ausgeschlossen werden, da die Sechsjahrmolaren nicht betroffen waren. Hinzu kommt, dass es sich bei dem vorgestellten Patienten um Hypoplasien - also zu wenig Zahnhartsubstanz - handelt, nicht um eine Hypomineralisation, bei der die Morphologie des Zahnes zunächst normal ist.
c) Schmelzhypoplasien nach Frontzahntrauma: Unfälle, die die Milchfrontzähne involvieren, können die Entwicklung der bleibenden Zähne negativ beeinflussen. Dies trifft insbesondere für Intrusions- und Luxationsverletzungen zu. Neben Veränderungen der Opazität kann es auch immer zu Formveränderungen kommen [Flores, 2002].
Die Anzahl der bei dem hier vorgestellten Patienten betroffenen Zähne reicht allerdings weit über das Ausmaß normalerweise betroffener Zähne hinaus, aber entscheidend ist, dass die Ober- und die Unterkieferfrontzähne in der chronologischen Reihenfolge ihrer Entwicklung betroffen sind. In der Regel sind auch bei komplexen Traumata meist nur die Zähne eines Kiefers betroffen.
###more### ###title### Behandlungsablauf ###title### ###more###
Behandlungsablauf
In der ersten Sitzung wurde die Möglichkeit direkter Aufbauten durch Komposit besprochen. Mutter und Patient entschieden sich zügig dafür, um jegliche Präparation der vorhandenen (und ansonsten gesunden) Zahnhartsubstanz für andere Restaurationen zu vermeiden. Die Zähne wurden zudem gereinigt und der Patient wurde bezüglich Mundhygiene instruiert, um bis zur nächsten Sitzung bessere Gingivaverhältnisse zu ermöglichen.
In dieser zweiten Sitzung wurde zum Anhalten der Lippen und Weichgewebe OptraGate (Ivoclar Vivadent) eingesetzt. Die Zähne wurden erneut gereinigt (AIRFLOW® HANDY 2+ mit Air-Flow Prophylaxe Pulver (Firma EMS)). Sofern erforderlich wurden Matrizen in den Approximalbereich eingebracht (Hawe Transparent Striproll, Kerr Hawe). Der hypoplastische Schmelz sowie der Übergang zum zervikalen Drittel / zur zervikalen Hälfte wurden mit 35-prozentiger Phosphorsäure für eine Minute geätzt.
Es folgte die schrittweise Applikation eines Komposits für den Frontzahnbereich (Enamel HFO +, Gruppo Micerium). Verwendet wurden für die mitteleren und für die lateralen Inzisivi im Oberkiefer die Dentinmassen UD 4, 3,5 und 3, im Unterkiefer nur UD 3, sowie für alle Zähne die Schmelzmasse GE 2. Die Dentinmasse wurde in etwas dickerer Schichtstärke, als es bei natürlichem Dentin zu erwarten wäre, eingesetzt, die Schmelzmasse jeweils in etwas geringerer Schichtstärke. Nach der Applikation einer jeden Schicht folgte die Polymerisation.
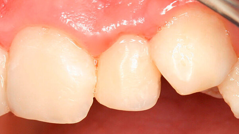
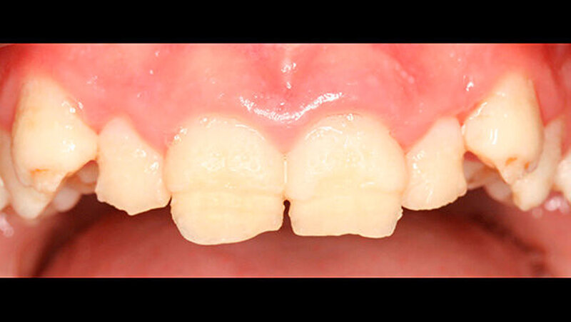
Die Überschüsse wurden per Skalpell entfernt und die Übergänge und Flächen mittels Brownie, Greenie und Okklubrush (Shofu Dental GmbH) ausgearbeitet und poliert (Abbildung 5). Um an den mittleren und an den lateralen Inzisivi die Perikymatien jugendlicher Zähne imitieren zu können, wurde nach der Anwendung des Greenies die Oberfläche mit einem rotierenden Diamanten touchiert. Danach erfolgte nur noch die Politur mittels Okklubrush (Abb. 6).
###more### ###title### Erläuterungen zum Therapieentscheid ###title### ###more###
Erläuterungen zum Therapieentscheid
Die Entscheidung, die Hypoplasien früher als zunächst angedacht zu behandeln, war durch die Notwendigkeit der kieferorthopädischen Behandlung begründet. Die Gründe dafür waren einerseits die erforderliche Fläche für die Applikation der Brackets und andererseits konnte mit dem Aufbau der Zähne die Positionierung der Zähne exakter erfolgen als ohne.
Ein zusätzlicher positiver Nebeneffekt, der sich aber erst im Nachhinein herausstellte, war, dass die Mutter berichtete, ihr Sohn sei in der Schule nun keinen Hänseleien mehr ausgesetzt. Es stellte sich erst nach der Behandlung heraus, dass dies durchaus ein Thema für den jungen Patienten gewesen war, er dieses aber sowohl zu Hause als auch beim Zahnarzt weitestgehend vermied.
Bezüglich der kieferorthopädischen Notwendigkeit der Brackets hat der direkte Aufbau mit Komposit den Vorteil, dass - sofern es bei der Entfernung dieser zu einem Schaden der Restauration kommen sollte - mittels direkter Reparatur diese unmittelbar wiederhergestellt werden kann. Die Entfernung einer Laborrestauration und/oder der zusätzliche Verlust gesunder Zahnhartsubstanz können so vermieden werden. Zudem konnte so vermieden werden, dass im weiteren Wachstumsverlauf - mit dem möglichen bzw. wahrscheinlichen weiteren Durchbruch der Frontzähne - ursprünglich iso- oder subgingivale Restaurationsränder zum Vorschein kommen würden.
Weiterhin wurde im vorliegenden Fall auf jegliche Präparation verzichtet, was gerade bei jugendlicher, großer Pulpa hinsichtlich einer möglichen Schädigung dieser (Schleiftrauma) vorteilhaft ist. Die Überlebensraten und Reparaturmöglichkeiten solcher bzw. ähnlicher direkter Aufbauten ist als sehr gut einzuschätzen [Wirsching, 2012; Frese et al., 2013].
Ein möglicher Zusammenhang zwischen der Frühgeburt und den Hypoplasien besteht. Häufig werden Frühgeburten mit respiratorischen Problemen assoziiert, die wiederum auf die Mineralisation der sich entwickelnden Zähne einwirken können. Der Zeitraum des Einflusses kann dabei variieren. Dass bei dem vorgestellten Patienten die Spitzen der Eckzähne stärker betroffen sind als die seitlichen oberen Schneidezähne, ist daher nicht verwunderlich, da diese früher mineralisieren als die lateralen Inzisivi [Liversidge, 2000].
Der beschriebene zusätzliche Effekt auf die psychische Gesundheit des Patienten wurde zunächst in der Behandlungsplanung und auch zuvor durch den Entschluss, erst nach Abschluss des Wachstums zu restaurieren, durchaus unterschätzt. In diesem speziellen Fall sicherlich dadurch unterstützt, dass der junge Patient kaum über die Belastungen, die für ihn durch die Hänseleien entstanden, sprach. Eine merkbare Veränderung seines Verhaltens trat nach Applikation der Restaurationen auf: Er war wesentlich gelöster und zugänglicher und lächelte sehr befreit, so dass diese Veränderung tatsächlich nicht zu übersehen war. Auf Nachfrage gab er auch zu, bisher darüber immer geschwiegen zu haben, weil er ja wisse, man könne nichts machen, bis er ausgewachsen sei.
Mobbing durch Gleichaltrige und Zahnanomalien
An dieser Stelle soll deshalb ausdrücklich erwähnt werden, dass Kinder und Jugendliche sich eine lange Zeit während ihrer Entwicklung durch das Feedback ihrer gleichaltrigen Freunde und Mitschüler definieren [Kapp-Simon et al., 1997; Pope, 1997]. Hänseleien und Mobbing können in diesem Lebensabschnitt große Schäden anrichten, bis hin zu unterdurchschnittlichen Leistungen in der Schule, schlechten Schulabschlüssen, verringerten Chancen auf eine gute Berufsausbildung, wenigen sozialen Kontakten und vielem anderem mehr. Oft werden diese Personen auch als "Underachiever“ zusammengefasst.
###more### ###title### Fazit ###title### ###more###
Fazit
Die Hypoplasien der Frontzähne des hier vorgestellten Patienten konnten non-invasiv und zeitsparend mit einem Zeitaufwand von etwa zwei Stunden funktionell und ästhetisch ansprechend behandelt werden. Somit wurde nicht nur eine regelrechte kieferorthopädische Behandlung möglich und subjektiv das Wohlbefinden des Patienten deutlich verbessert, sondern auch objektiv eine ansprechende Ästhetik geschaffen.
Die Zähne könnten - rein theoretisch - durch Entfernung des Komposits wieder in ihren Ausgangszustand zurückgebracht werden. Wesentlich bedeutender ist aber, dass für den weiteren restaurativen Verlauf dieser Zähne bisher keine Zahnhartsubstanz präpariert wurde, somit also für die Zukunft bei notwendiger neuer Versorgung alle Möglichkeiten offen bleiben.
Dr. Stefanie FeierabendAlbert-Ludwigs-Universität FreiburgAbteilung für Zahnerhaltungskunde und ParodontologieHugstetter Str. 5579106 Freiburg i. Brsg.stefanie.feierabend@uniklinik-freiburg.de LiteraturCrawford PJ, Aldred M, Bloch-Zupan A (2007). Amelogenesis imperfecta. Orphanet J Rare Dis doi:10.1186/1750-1172-2-17Flores MT (2002). Traumatic injuries in the primary dentition. Dent Traumatol 18(6):287-298Frese C, Schiller P, Staehle HJ, Wolff D (2013). Recontouring teeth and closing diastemas with direct composite buildups: a 5-year follow-up. J Dent 41(11):979-985Kapp-Simon KA, McGuire DE (1997). Observed social interaction patterns in adolescents with and without craniofacial conditions. Cleft Palate Craniofac 34(5): 380-384Liversidge HM (2000). Crown formation times of human permanent anterior teeth. Arch Oral Biol 45:713-721Pope AW, Ward J (1997). Factors associated with peer social competence in preadolescents with craniofacial anomalies. J Pediatr Psychol 22(4):455-469Weerheijm KL, Jälevik B, Alaluusua S (2001) Molar-incisor Hypomineralisation. Caries Res 35:390-391Wirsching E (2012). Komposite im Frontzahnbereich für Formkorrekturen – eine dauerhafte Therapieform? Dtsch Zahnärztl Z 67(1):11








