Der Fall: Perforation der Kieferhöhle
Die heute 74-jährige Frau stellte sich im Jahr 2011 in der Praxis von Dr. Gert Fischer in Frankfurt vor. Die Zähne 24 bis 28 fehlten. Ansonsten war das Gebiss kariesfrei, die Abrasion altersgemäß.
Die Vorgeschichte
Wie die Patientin berichtete, war ihr bereits in den 70ern Zahn 28 extrahiert worden. Im Anschluss litt sie monatelang unter Schmerzen und einem ständig abgehenden Exsudat. Einige Jahre später wurden schnell hintereinander die Zähne 27 und 26 gezogen und es wurde eine Wurzelbehandlung an Zahn 25 durchgeführt. Als dieser Zahn frakturierte, wurde auch er entfernt. Trotz dieser Eingriffe persistierten ihre Beschwerden.
Diagnose und Therapie
Die Patientin kam im Frühjahr 2014 in meine Praxis, um ihre Zahnsituation lösen zu lassen. Ihr HNO-Arzt hatte abgeklärt, dass keine Infektion vorlag. Vor der geplanten Implantat-Insertion wurde sie in eine Spezialpraxis zur DVT geschickt, um das OP-Gebiet dreidimensional zu betrachten. Dies war unauffällig.
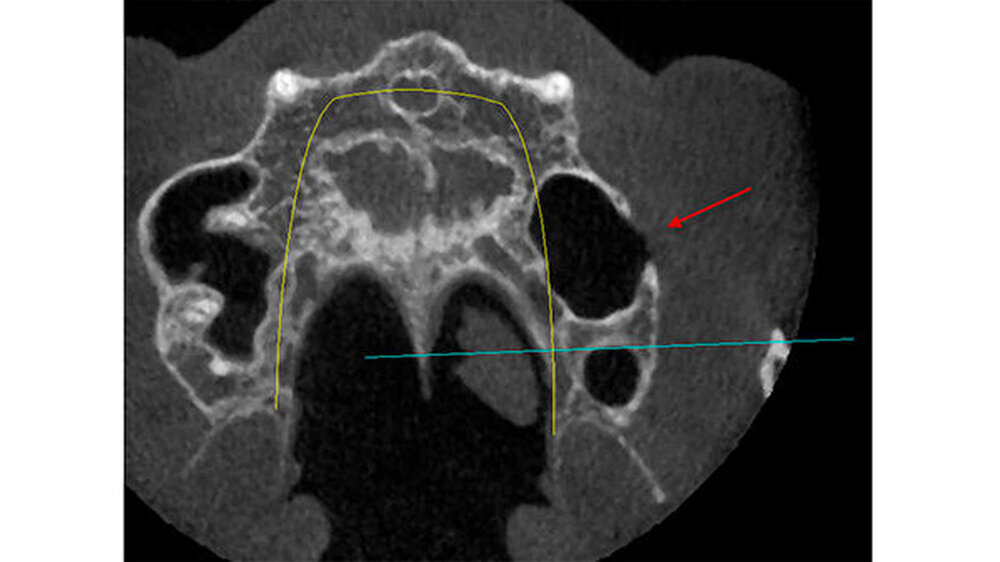
So planten wir für den März 2014 einen Sinuslift mit Augmentation und die Insertion zweier Implantate. Während dieses Eingriffs wurde ein Defekt in der buccalen Sinuswand deutlich sichtbar. Anscheinend bindegewebig war die Schneider`sche Membran durch den Knochendefekt mit der Wangenschleimhaut verbunden (Abbildung 1). Nach Durchtrennung des Gewebes und einer Abdeckung des Durchgangs mit einer resorbierbaren Membran wurde synthetisches Knochenersatzmaterial eingebracht und die Operation wie ursprünglich vorgesehen durchgeführt. Seither ist die Patientin beschwerdefrei.
Beurteilung
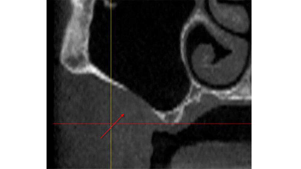
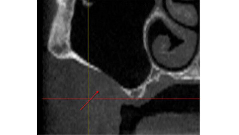
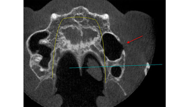
Die vor der geplanten Implantation gesichtete DVT hatte zunächst keinen knöchernen Defekt ausgewiesen. Erst bei nochmaligem und kompletten "Durchscrollen" aller Aufnahmen wurde der Defekt sichtbar (Abbildungen 2 bis 5).
Fazit
Bei unklaren Beschwerden sollte unbedingt mittels DVT eine Perforation der Kieferhöhle ausgeschlossen werden.
Dieser Fall wurde eingesandt von Dr. Gert Fischer, Am Salzhaus 6, 60311 Frankfurt.
Wir suchen Ihre Fälle!Haben Sie in Ihrer Praxis auch Fälle dokumentiert, die für Ihre Kollegen interessant sind? Dann schicken Sie uns den Fallbericht und die Fotos (inklusive Quellenangabe) zur Veröffentlichung auf zm-online.de.
Wir freuen uns auf Ihre Geschichten!







